BpfD Is a c-di-GMP Effector Protein Playing a Key Role for Pellicle Biosynthesis in Shewanella oneidensis
Abstract
1. Introduction
2. Results
2.1. The Bpf System Is Not Required for SSA-Biofilm Formation in S. oneidensis
2.2. The Bpf System Is Mandatory for Pellicle Formation in S. oneidensis
2.3. BpfD Acts as a c-di-GMP Effector
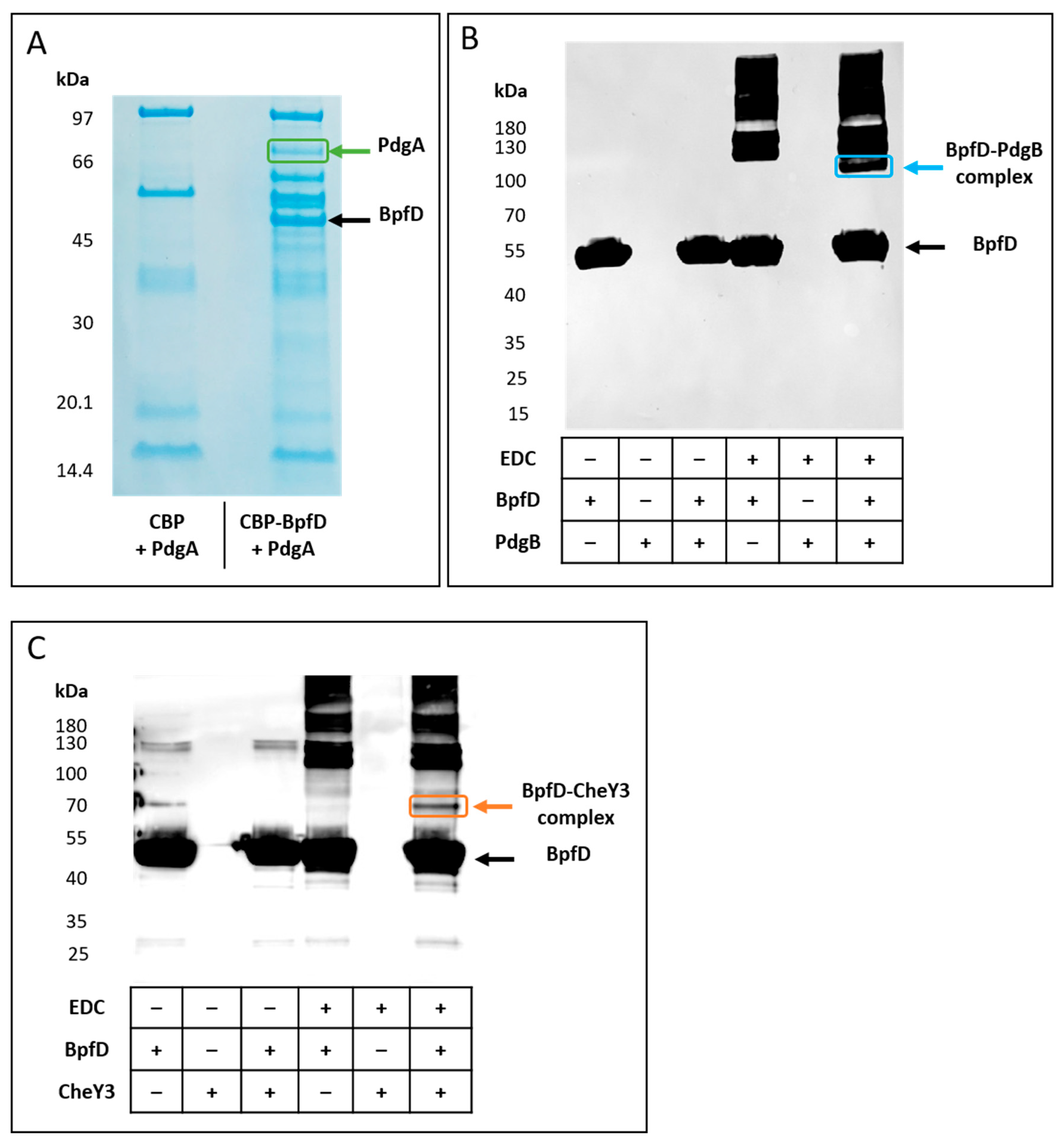
2.4. BpfD Interacts with the PdgA and PdgB Diguanylate Cyclases as Well as with the CheY3 Regulator
3. Discussion
4. Materials and Methods
4.1. Strains and Growth Conditions
4.2. Construction of Deletion Mutants
4.3. Plasmid Constructions
4.4. SSA-Biofilm Formation Assay
4.5. Pellicle Formation Assay
4.6. Expression and Purification of Recombinant Proteins
4.7. Bacterial Two-Hybrid Assays
4.8. Thermal Shift Assays
4.9. Isothermal Titration Calorimetry
4.10. In Vivo Protein Interaction Assay
4.11. In Vitro Protein Interaction Assay
Supplementary Materials
Author Contributions
Funding
Institutional Review Board Statement
Informed Consent Statement
Data Availability Statement
Acknowledgments
Conflicts of Interest
References
- Flemming, H.-C.; Wuertz, S. Bacteria and Archaea on Earth and Their Abundance in Biofilms. Nat. Rev. Microbiol. 2019, 17, 247–260. [Google Scholar] [CrossRef] [PubMed]
- Stoodley, P.; Sauer, K.; Davies, D.G.; Costerton, J.W. Biofilms as Complex Differentiated Communities. Annu. Rev. Microbiol. 2002, 56, 187–209. [Google Scholar] [CrossRef] [PubMed]
- Lappin-Scott, H.; Burton, S.; Stoodley, P. Revealing a World of Biofilms—The Pioneering Research of Bill Costerton. Nat. Rev. Microbiol. 2014, 12, 781–787. [Google Scholar] [CrossRef] [PubMed]
- Armitano, J.; Méjean, V.; Jourlin-Castelli, C. Gram-Negative Bacteria Can Also Form Pellicles. Environ. Microbiol. Rep. 2014, 6, 534–544. [Google Scholar] [CrossRef]
- Kovács, Á.T.; Dragoš, A. Evolved Biofilm: Review on the Experimental Evolution Studies of Bacillus subtilis Pellicles. J. Mol. Biol. 2019, 431, 4749–4759. [Google Scholar] [CrossRef]
- Flemming, H.-C.; Wingender, J. The Biofilm Matrix. Nat. Rev. Microbiol. 2010, 8, 623–633. [Google Scholar] [CrossRef]
- Karygianni, L.; Ren, Z.; Koo, H.; Thurnheer, T. Biofilm Matrixome: Extracellular Components in Structured Microbial Communities. Trends Microbiol. 2020, 28, 668–681. [Google Scholar] [CrossRef]
- Römling, U.; Galperin, M.Y.; Gomelsky, M. Cyclic Di-GMP: The First 25 Years of a Universal Bacterial Second Messenger. Microbiol. Mol. Biol. Rev. MMBR 2013, 77, 1–52. [Google Scholar] [CrossRef]
- Hengge, R.; Gründling, A.; Jenal, U.; Ryan, R.; Yildiz, F. Bacterial Signal Transduction by Cyclic Di-GMP and Other Nucleotide Second Messengers. J. Bacteriol. 2016, 198, 15–26. [Google Scholar] [CrossRef]
- Jenal, U.; Reinders, A.; Lori, C. Cyclic Di-GMP: Second Messenger Extraordinaire. Nat. Rev. Microbiol. 2017, 15, 271–284. [Google Scholar] [CrossRef]
- Chou, S.-H.; Galperin, M.Y. Diversity of Cyclic Di-GMP-Binding Proteins and Mechanisms. J. Bacteriol. 2016, 198, 32–46. [Google Scholar] [CrossRef] [PubMed]
- Collins, A.J.; Smith, T.J.; Sondermann, H.; O’Toole, G.A. From Input to Output: The Lap/c-Di-GMP Biofilm Regulatory Circuit. Annu. Rev. Microbiol. 2020, 74, 607–631. [Google Scholar] [CrossRef] [PubMed]
- Dahlstrom, K.M.; Giglio, K.M.; Collins, A.J.; Sondermann, H.; O’Toole, G.A. Contribution of Physical Interactions to Signaling Specificity between a Diguanylate Cyclase and Its Effector. mBio 2015, 6, e01978-15. [Google Scholar] [CrossRef]
- Chatterjee, D.; Boyd, C.D.; O’Toole, G.A.; Sondermann, H. Structural Characterization of a Conserved, Calcium-Dependent Periplasmic Protease from Legionella pneumophila. J. Bacteriol. 2012, 194, 4415–4425. [Google Scholar] [CrossRef]
- Zhou, G.; Yuan, J.; Gao, H. Regulation of Biofilm Formation by BpfA, BpfD, and BpfG in Shewanella oneidensis. Front. Microbiol. 2015, 6, 790. [Google Scholar] [CrossRef]
- Ambrosis, N.; Boyd, C.D.; O Toole, G.A.; Fernández, J.; Sisti, F. Homologs of the LapD-LapG c-Di-GMP Effector System Control Biofilm Formation by Bordetella bronchiseptica. PLoS ONE 2016, 11, e0158752. [Google Scholar] [CrossRef]
- Cooley, R.B.; Smith, T.J.; Leung, W.; Tierney, V.; Borlee, B.R.; O’Toole, G.A.; Sondermann, H. Cyclic Di-GMP-Regulated Periplasmic Proteolysis of a Pseudomonas aeruginosa Type Vb Secretion System Substrate. J. Bacteriol. 2016, 198, 66–76. [Google Scholar] [CrossRef]
- Kitts, G.; Giglio, K.M.; Zamorano-Sánchez, D.; Park, J.H.; Townsley, L.; Cooley, R.B.; Wucher, B.R.; Klose, K.E.; Nadell, C.D.; Yildiz, F.H.; et al. A Conserved Regulatory Circuit Controls Large Adhesins in Vibrio cholerae. mBio 2019, 10, e02822-19. [Google Scholar] [CrossRef]
- Liang, Y.; Gao, H.; Chen, J.; Dong, Y.; Wu, L.; He, Z.; Liu, X.; Qiu, G.; Zhou, J. Pellicle Formation in Shewanella oneidensis. BMC Microbiol. 2010, 10, 291. [Google Scholar] [CrossRef]
- Armitano, J.; Méjean, V.; Jourlin-Castelli, C. Aerotaxis Governs Floating Biofilm Formation in Shewanella oneidensis. Environ. Microbiol. 2013, 15, 3108–3118. [Google Scholar] [CrossRef]
- Thormann, K.M.; Saville, R.M.; Shukla, S.; Pelletier, D.A.; Spormann, A.M. Initial Phases of Biofilm Formation in Shewanella oneidensis MR-1. J. Bacteriol. 2004, 186, 8096–8104. [Google Scholar] [CrossRef]
- Thormann, K.M.; Duttler, S.; Saville, R.M.; Hyodo, M.; Shukla, S.; Hayakawa, Y.; Spormann, A.M. Control of Formation and Cellular Detachment from Shewanella oneidensis MR-1 Biofilms by Cyclic Di-GMP. J. Bacteriol. 2006, 188, 2681–2691. [Google Scholar] [CrossRef]
- Theunissen, S.; De Smet, L.; Dansercoer, A.; Motte, B.; Coenye, T.; Van Beeumen, J.J.; Devreese, B.; Savvides, S.N.; Vergauwen, B. The 285 KDa Bap/RTX Hybrid Cell Surface Protein (SO4317) of Shewanella oneidensis MR-1 Is a Key Mediator of Biofilm Formation. Res. Microbiol. 2010, 161, 144–152. [Google Scholar] [CrossRef]
- Gambari, C.; Boyeldieu, A.; Armitano, J.; Méjean, V.; Jourlin-Castelli, C. Control of Pellicle Biogenesis Involves the Diguanylate Cyclases PdgA and PdgB, the c-Di-GMP Binding Protein MxdA and the Chemotaxis Response Regulator CheY3 in Shewanella oneidensis. Environ. Microbiol. 2019, 21, 81–97. [Google Scholar] [CrossRef] [PubMed]
- Boyeldieu, A.; Ali Chaouche, A.; Ba, M.; Honoré, F.A.; Méjean, V.; Jourlin-Castelli, C. The Phosphorylated Regulator of Chemotaxis Is Crucial throughout Biofilm Biogenesis in Shewanella oneidensis. Npj Biofilms Microbiomes 2020, 6, 54. [Google Scholar] [CrossRef] [PubMed]
- Newell, P.D.; Monds, R.D.; O’Toole, G.A. LapD Is a Bis-(3′,5′)-Cyclic Dimeric GMP-Binding Protein That Regulates Surface Attachment by Pseudomonas fluorescens Pf0-1. Proc. Natl. Acad. Sci. USA 2009, 106, 3461–3466. [Google Scholar] [CrossRef] [PubMed]
- Hinsa, S.M.; O’Toole, G.A. Biofilm Formation by Pseudomonas fluorescens WCS365: A Role for LapD. Microbiol. Read. Engl. 2006, 152, 1375–1383. [Google Scholar] [CrossRef] [PubMed]
- Boyd, C.D.; Smith, T.J.; El-Kirat-Chatel, S.; Newell, P.D.; Dufrêne, Y.F.; O’Toole, G.A. Structural Features of the Pseudomonas fluorescens Biofilm Adhesin LapA Required for LapG-Dependent Cleavage, Biofilm Formation, and Cell Surface Localization. J. Bacteriol. 2014, 196, 2775–2788. [Google Scholar] [CrossRef]
- Hinsa, S.M.; Espinosa-Urgel, M.; Ramos, J.L.; O’Toole, G.A. Transition from Reversible to Irreversible Attachment during Biofilm Formation by Pseudomonas fluorescens WCS365 Requires an ABC Transporter and a Large Secreted Protein. Mol. Microbiol. 2003, 49, 905–918. [Google Scholar] [CrossRef]
- Reichhardt, C.; Wong, C.; Passos da Silva, D.; Wozniak, D.J.; Parsek, M.R. CdrA Interactions within the Pseudomonas aeruginosa Biofilm Matrix Safeguard It from Proteolysis and Promote Cellular Packing. mBio 2018, 9, e01376-18. [Google Scholar] [CrossRef]
- Borlee, B.R.; Goldman, A.D.; Murakami, K.; Samudrala, R.; Wozniak, D.J.; Parsek, M.R. Pseudomonas aeruginosa Uses a Cyclic-Di-GMP-Regulated Adhesin to Reinforce the Biofilm Extracellular Matrix. Mol. Microbiol. 2010, 75, 827–842. [Google Scholar] [CrossRef] [PubMed]
- Dahlstrom, K.M.; Collins, A.J.; Doing, G.; Taroni, J.N.; Gauvin, T.J.; Greene, C.S.; Hogan, D.A.; O’Toole, G.A. A Multimodal Strategy Used by a Large C-Di-GMP Network. J. Bacteriol. 2018, 200, e00703-17. [Google Scholar] [CrossRef] [PubMed]
- Giacalone, D.; Smith, T.J.; Collins, A.J.; Sondermann, H.; Koziol, L.J.; O’Toole, G.A. Ligand-Mediated Biofilm Formation via Enhanced Physical Interaction between a Diguanylate Cyclase and Its Receptor. mBio 2018, 9, e01254-18. [Google Scholar] [CrossRef] [PubMed]
- Fagerlund, A.; Smith, V.; Røhr, Å.K.; Lindbäck, T.; Parmer, M.P.; Andersson, K.K.; Reubsaet, L.; Økstad, O.A. Cyclic Diguanylate Regulation of Bacillus cereus Group Biofilm Formation. Mol. Microbiol. 2016, 101, 471–494. [Google Scholar] [CrossRef]
- Vasenina, A.; Fu, Y.; O’Toole, G.A.; Mucha, P.J. Local Control: A Hub-Based Model for the c-Di-GMP Network. mSphere 2024, 9, e0017824. [Google Scholar] [CrossRef]
- Bordi, C.; Iobbi-Nivol, C.; Méjean, V.; Patte, J.-C. Effects of ISSo2 Insertions in Structural and Regulatory Genes of the Trimethylamine Oxide Reductase of Shewanella oneidensis. J. Bacteriol. 2003, 185, 2042–2045. [Google Scholar] [CrossRef]
- Battesti, A.; Bouveret, E. The Bacterial Two-Hybrid System Based on Adenylate Cyclase Reconstitution in Escherichia coli. Methods 2012, 58, 325–334. [Google Scholar] [CrossRef]
- Appleyard, R.K. Segregation of New Lysogenic Types during Growth of a Doubly Lysogenic Strain Derived from Escherichia coli K12. Genetics 1954, 39, 440–452. [Google Scholar] [CrossRef]
- Herrero, M.; de Lorenzo, V.; Timmis, K.N. Transposon Vectors Containing Non-Antibiotic Resistance Selection Markers for Cloning and Stable Chromosomal Insertion of Foreign Genes in Gram-Negative Bacteria. J. Bacteriol. 1990, 172, 6557–6567. [Google Scholar] [CrossRef]
- Baraquet, C.; Théraulaz, L.; Iobbi-Nivol, C.; Méjean, V.; Jourlin-Castelli, C. Unexpected Chemoreceptors Mediate Energy Taxis towards Electron Acceptors in Shewanella oneidensis. Mol. Microbiol. 2009, 73, 278–290. [Google Scholar] [CrossRef]
- Guzman, L.M.; Belin, D.; Carson, M.J.; Beckwith, J. Tight Regulation, Modulation, and High-Level Expression by Vectors Containing the Arabinose PBAD Promoter. J. Bacteriol. 1995, 177, 4121–4130. [Google Scholar] [CrossRef]
- Battesti, A.; Bouveret, E. Improvement of Bacterial Two-Hybrid Vectors for Detection of Fusion Proteins and Transfer to PBAD-Tandem Affinity Purification, Calmodulin Binding Peptide, or 6-Histidine Tag Vectors. Proteomics 2008, 8, 4768–4771. [Google Scholar] [CrossRef] [PubMed]
- Figurski, D.H.; Helinski, D.R. Replication of an Origin-Containing Derivative of Plasmid RK2 Dependent on a Plasmid Function Provided in trans. Proc. Natl. Acad. Sci. USA 1979, 76, 1648–1652. [Google Scholar] [CrossRef] [PubMed]
- Baaziz, H.; Gambari, C.; Boyeldieu, A.; Ali Chaouche, A.; Alatou, R.; Méjean, V.; Jourlin-Castelli, C.; Fons, M. ChrASO, the Chromate Efflux Pump of Shewanella oneidensis, Improves Chromate Survival and Reduction. PLoS ONE 2017, 12, e0188516. [Google Scholar] [CrossRef]
- Boyeldieu, A.; Ali Chaouche, A.; Méjean, V.; Jourlin-Castelli, C. Combining Two Optimized and Affordable Methods to Assign Chemoreceptors to a Specific Signal. Anal. Biochem. 2021, 620, 114139. [Google Scholar] [CrossRef]
- Battesti, A.; Hoskins, J.R.; Tong, S.; Milanesio, P.; Mann, J.M.; Kravats, A.; Tsegaye, Y.M.; Bougdour, A.; Wickner, S.; Gottesman, S. Anti-Adaptors Provide Multiple Modes for Regulation of the RssB Adaptor Protein. Genes Dev. 2013, 27, 2722–2735. [Google Scholar] [CrossRef]







| Strains | Relevant Characteristics | Sources |
|---|---|---|
| S. oneidensis strains | ||
| MR1-R | Rifampicin-resistant derivative of MR1 | [36] |
| ΔbpfA | MR1-R deleted of bpfA (so_4317) | This work |
| ΔbpfD | MR1-R deleted of bpfD (so_4323) | This work |
| Δbpf | MR1-R deleted from bpfA to bpfD (from so_4317 to so_4323) | This work |
| E. coli strains | ||
| BL21 (DE3) | F- ompT hsdSB (rB−mB−) dcm gal (DE3) | Novagen |
| BTH101 | F- cya-99 araD139 galE15 galK16 rpsL1 (Strr) hsdR2 mcrA1 mcrB1 | [37] |
| C600 | F- tonA21 thi-1 thr-1 leuB6 lacY1 glnV44 rfbC1 fhuA1 λ− | [38] |
| CC118 λpir | Δ(ara-leu) araDE ΔlacX74 galE galK phoA20 thi-1 rpsE rpoB argE (Am) recA1 λpir | [39] |
| Plasmids | Relevant Characteristics | Sources |
|---|---|---|
| pBAD33 | Vector containing pBAD promoter with a p15A origin of replication (CmR) | [41] |
| pBbpfD | Sequence coding for BpfD (SO_4323) cloned into pBAD33 | This work |
| pBpdgA | Sequence coding for PdgA (SO_4552) cloned into pBAD33 | [24] |
| pBpdgB | Sequence coding for PdgB (SO_0796) cloned into pBAD33 | [24] |
| pBcheY3 | Sequence coding for CheY3 (SO_3209) cloned into pBAD33 | [20] |
| pET52b | Vector containing the T7 phage promoter and the coding sequence of StrepTagII (ApR) | Novagen |
| pETbpfD | Sequence coding for the cytoplasmic part (S225 to E639) of BpfD (SO_4323) cloned into pET52b | This work |
| pETbpfDGGDEF | Sequence coding for the GGDEF domain (S225 to T396) of BpfD (SO_4323) cloned into pET52b | This work |
| pETbpfDEAL | Sequence coding for the EAL domain (E397 to E639) of BpfD (SO_4323) cloned into pET52b | This work |
| pETcheY3 | Sequence coding for CheY3 (SO_3209) cloned into pET52b | [24] |
| pETpdgB | Sequence coding for PdgB (SO_0796) into pET21b | [24] |
| pEB355 | pUT18C derivative, coding for the T18 domain of the adenylate cyclase of Bordetella pertussis | [37] |
| pUT18-bpfD | Sequence coding for the cytoplasmic part (S225 to E639) of BpfD (SO_4323) cloned in frame at the 3’ extremity of the sequence coding for the T18 domain into pEB355 | This work |
| pUT18-zip | Sequence coding for a leucine zipper region cloned in-frame with the T18 domain (positive control) | [37] |
| pEB354 | pKT25 derivative, coding for the T25 domain of the adenylate cyclase of B. pertussis | [37] |
| pKT25-SO4324 | Sequence coding for SO_4324 cloned in frame at the 3’ end of the sequence coding for the T25 domain into pEB354 | This work |
| pKT25-cheY3 | Sequence coding for CheY3 (SO_3209) cloned in frame at the 3’ end of the sequence coding for the T25 domain into pEB354 | [24] |
| pKT25-pdgA | Sequence coding for PdgA (SO_4552) cloned in frame at the 3’ end of the sequence coding for the T25 domain into pEB354 | [24] |
| pKT25-pdgB | Sequence coding for PdgB (SO_0796) cloned in frame at the 3’ end of the sequence coding for the T25 domain into pEB354 | [24] |
| pKT25-zip | Sequence coding for a leucine zipper region cloned in-frame with the T25 domain (positive control) | [37] |
| pBAD24 | Vector containing pBAD promoter (ApR) | [41] |
| pBAD24-CBP-linker | Sequence coding for the calmodulin-binding protein (CBP) cloned into pBAD24 | [42] |
| pBcbp-bpfD | Sequence coding for the cytoplasmic part (S225 to E639) of BpfD (SO_4323) cloned in frame at the 3’ extremity of the sequence coding for the calmodulin-binding protein (CBP) into pBAD24-CBP-linker | This work |
| pKNG101 | R6K-derived suicide plasmid containing StrR and sacB | [39] |
| pRK2013 | RK2-Tra1 RK2-Mob1 KmR ori ColE1 | [43] |
Disclaimer/Publisher’s Note: The statements, opinions and data contained in all publications are solely those of the individual author(s) and contributor(s) and not of MDPI and/or the editor(s). MDPI and/or the editor(s) disclaim responsibility for any injury to people or property resulting from any ideas, methods, instructions or products referred to in the content. |
© 2024 by the authors. Licensee MDPI, Basel, Switzerland. This article is an open access article distributed under the terms and conditions of the Creative Commons Attribution (CC BY) license (https://creativecommons.org/licenses/by/4.0/).
Share and Cite
Poli, J.-P.; Boyeldieu, A.; Lutz, A.; Vigneron-Bouquet, A.; Ali Chaouche, A.; Giudici-Orticoni, M.-T.; Fons, M.; Jourlin-Castelli, C. BpfD Is a c-di-GMP Effector Protein Playing a Key Role for Pellicle Biosynthesis in Shewanella oneidensis. Int. J. Mol. Sci. 2024, 25, 9697. https://doi.org/10.3390/ijms25179697
Poli J-P, Boyeldieu A, Lutz A, Vigneron-Bouquet A, Ali Chaouche A, Giudici-Orticoni M-T, Fons M, Jourlin-Castelli C. BpfD Is a c-di-GMP Effector Protein Playing a Key Role for Pellicle Biosynthesis in Shewanella oneidensis. International Journal of Molecular Sciences. 2024; 25(17):9697. https://doi.org/10.3390/ijms25179697
Chicago/Turabian StylePoli, Jean-Pierre, Anne Boyeldieu, Alexandre Lutz, Amélie Vigneron-Bouquet, Amine Ali Chaouche, Marie-Thérèse Giudici-Orticoni, Michel Fons, and Cécile Jourlin-Castelli. 2024. "BpfD Is a c-di-GMP Effector Protein Playing a Key Role for Pellicle Biosynthesis in Shewanella oneidensis" International Journal of Molecular Sciences 25, no. 17: 9697. https://doi.org/10.3390/ijms25179697
APA StylePoli, J.-P., Boyeldieu, A., Lutz, A., Vigneron-Bouquet, A., Ali Chaouche, A., Giudici-Orticoni, M.-T., Fons, M., & Jourlin-Castelli, C. (2024). BpfD Is a c-di-GMP Effector Protein Playing a Key Role for Pellicle Biosynthesis in Shewanella oneidensis. International Journal of Molecular Sciences, 25(17), 9697. https://doi.org/10.3390/ijms25179697

