The Neuroprotective Effect of Erythropoietin on the Optic Nerve and Spinal Cord in Rats with Experimental Autoimmune Encephalomyelitis through the Activation of the Extracellular Signal-Regulated Kinase 1/2 Signaling Pathway
Abstract
1. Introduction
2. Results
2.1. Histology
Hematoxylin and Eosin/Luxol Fast Blue
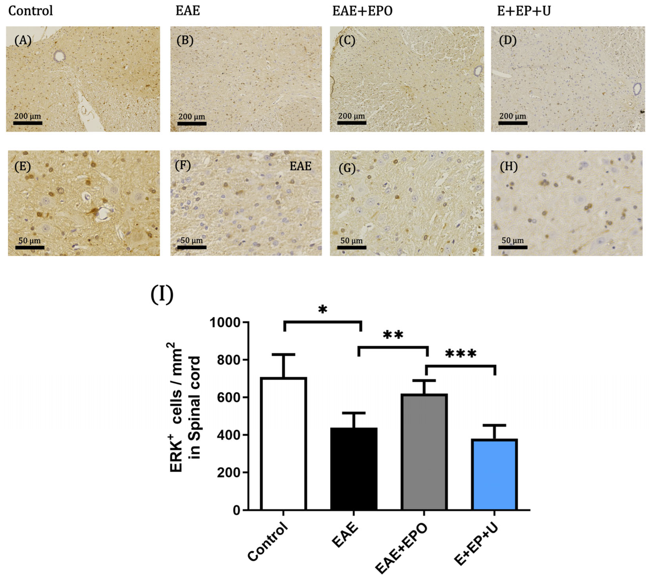
2.2. Immunohistochemistry
ERK Protein Expression
3. Discussion
4. Materials and Methods
4.1. EAE Model
4.2. Evaluation of the Evolution of EAE
4.3. Animals and Experimental Design
4.4. Obtain Optic Nerve and Spinal Cord
4.5. Automated Immunohistochemistry
4.6. Luxol Fast Blue Staining
4.7. Quantification of Histological Parameters
4.8. Statistical Analysis
5. Conclusions
Author Contributions
Funding
Institutional Review Board Statement
Informed Consent Statement
Data Availability Statement
Conflicts of Interest
References
- Robinson, A.P.; Harp, C.T.; Noronha, A.; Miller, S.D. The experimental autoimmune encephalomyelitis (EAE) model of MS. In Handbook of Clinical Neurology [Internet]; Elsevier: Amsterdam, The Netherlands, 2014; pp. 173–189. Available online: https://linkinghub.elsevier.com/retrieve/pii/B978044452001200008X (accessed on 24 November 2020).
- Winquist, R.J.; Kwong, A.; Ramachandran, R.; Jain, J. The complex etiology of multiple sclerosis. Biochem. Pharmacol. 2007, 74, 1321–1329. [Google Scholar] [CrossRef]
- Aleagha, M.S.E.; Harirchian, M.H.; Lavasani, S.; Javan, M.; Allameh, A. Differential Expression of Klotho in the Brain and Spinal Cord is Associated with Total Antioxidant Capacity in Mice with Experimental Autoimmune Encephalomyelitis. J. Mol. Neurosci. 2018, 64, 543–550. [Google Scholar] [CrossRef]
- Benveniste, E.N. Role of macrophages/microglia in multiple sclerosis and experimental allergic encephalomyelitis. J. Mol. Med. 1997, 75, 165–173. [Google Scholar] [CrossRef]
- Baxter, A.G. The origin and application of experimental autoimmune encephalomyelitis. Nat. Rev. Immunol. 2007, 7, 904–912. [Google Scholar] [CrossRef] [PubMed]
- Shin, T.; Ahn, M.; Matsumoto, Y. Mechanism of experimental autoimmune encephalomyelitis in Lewis rats: Recent insights from macrophages. Anat. Cell Biol. 2012, 45, 141–148. [Google Scholar] [CrossRef]
- Ohl, K.; Tenbrock, K.; Kipp, M. Oxidative stress in multiple sclerosis: Central and peripheral mode of action. Exp. Neurol. 2016, 277, 58–67. [Google Scholar] [CrossRef]
- Zargari, M.; Allameh, A.; Sanati, M.H.; Tiraihi, T.; Lavasani, S.; Emadyan, O. Relationship between the clinical scoring and demyelination in central nervous system with total antioxidant capacity of plasma during experimental autoimmune encephalomyelitis development in mice. Neurosci. Lett. 2007, 412, 24–28. [Google Scholar] [CrossRef] [PubMed]
- Adamczyk, B.; Adamczyk-Sowa, M. New Insights into the Role of Oxidative Stress Mechanisms in the Pathophysiology and Treatment of Multiple Sclerosis. Oxidative Med. Cell. Longev. 2016, 2016, 1973834. [Google Scholar] [CrossRef]
- Punnonen, J.; Miller, J.L.; Collier, T.J.; Spencer, J.R. Agonists of the tissue-protective erythropoietin receptor in the treatment of parkinson’s disease. Curr. Top. Med. Chem. 2015, 15, 955–969. [Google Scholar] [CrossRef]
- Armand-Ugón, M.; Aso, E.; Moreno, J.; Riera-Codina, M.; Sanchez, A.; Vegas, E.; Ferrer, I. Memory Improvement in the AβPP/PS1 Mouse Model of Familial Alzheimer’s Disease Induced by Carbamylated-Erythropoietin is Accompanied by Modulation of Synaptic Genes. J. Alzheimer’s Dis. 2015, 45, 407–421. [Google Scholar] [CrossRef]
- Maiese, K. Charting a course for erythropoietin in traumatic brain injury. J. Transl. Sci. 2016, 2. Available online: http://oatext.com/Charting-a-course-for-erythropoietin-in-traumatic-brain-injury.php (accessed on 16 June 2024). [CrossRef] [PubMed][Green Version]
- Souvenir, R.; Doycheva, D.; Zhang, J.H.; Tang, J. Erythropoietin in stroke therapy: Friend or foe. Curr. Med. Chem. 2015, 22, 1205–1213. [Google Scholar] [CrossRef]
- Moransard, M.; Bednar, M.; Frei, K.; Gassmann, M.; Ogunshola, O.O. Erythropoietin reduces experimental autoimmune encephalomyelitis severity via neuroprotective mechanisms. J. Neuroinflamm. 2017, 14, 202. [Google Scholar] [CrossRef]
- Noguchi, C.T.; Asavaritikrai, P.; Teng, R.; Jia, Y. Role of erythropoietin in the brain. Crit. Rev. Oncol./Hematol. 2007, 64, 159–171. [Google Scholar] [CrossRef]
- Redler, Y.; Levy, M. Rodent Models of Optic Neuritis. Front. Neurol. 2020, 11, 580951. [Google Scholar] [CrossRef] [PubMed]
- Jeong, J.E.; Park, J.H.; Kim, C.S.; Lee, S.L.; Chung, H.L.; Kim, W.T.; Lee, E.J. Neuroprotective effects of erythropoietin against hipoxic injury via modulation of the mitogen-activated protein kinase pathway and apoptosis. Korean J. Pediatr. 2017, 60, 181. [Google Scholar] [CrossRef] [PubMed]
- Mengozzi, M.; Cervellini, I.; Bigini, P.; Martone, S.; Biondi, A.; Pedotti, R.; Gallo, B.; Barbera, S.; Mennini, T.; Boraso, M.; et al. Endogenous Erythropoietin as Part of the Cytokine Network in the Pathogenesis of Experimental Autoimmune Encephalomyelitis. Mol. Med. 2008, 14, 682–688. [Google Scholar] [CrossRef]
- Nekoui, A.; Blaise, G. Erythropoietin and Nonhematopoietic Effects. Am. J. Med. Sci. 2017, 353, 76–81. [Google Scholar] [CrossRef]
- Debeljak, N.; Solár, P.; Sytkowski, A.J. Erythropoietin and Cancer: The Unintended Consequences of Anemia Correction. Front. Immunol. 2014, 5, 563. [Google Scholar] [CrossRef]
- Guo, Y.J.; Pan, W.W.; Liu, S.B.; Shen, Z.F.; Xu, Y.; Hu, L.L. ERK/MAPK signalling pathway and tumorigenesis. Exp. Ther. Med. 2020, 19, 1997–2007. [Google Scholar] [CrossRef]
- Birkner, K.; Wasser, B.; Loos, J.; Plotnikov, A.; Seger, R.; Zipp, F.; Witsch, E.; Bittner, S. The Role of ERK Signaling in Experimental Autoimmune Encephalomyelitis. Int. J. Mol. Sci. 2017, 18, 1990. [Google Scholar] [CrossRef] [PubMed]
- Han, W.; Pan, Y.; Han, Z.; Cheng, L.; Jiang, L. Advanced Maternal Age Impairs Myelination in Offspring Rats. Front. Pediatr. 2022, 10, 850213. [Google Scholar] [CrossRef] [PubMed]
- Rai, S.N.; Dilnashin, H.; Birla, H.; Singh, S.S.; Zahra, W.; Rathore, A.S.; Singh, B.K.; Singh, S.P. The Role of PI3K/Akt and ERK in Neurodegenerative Disorders. Neurotox. Res. 2019, 35, 775–795. [Google Scholar] [CrossRef] [PubMed]
- Kilic, E.; Kilic, Ü.; Soliz, J.; Bassetti, C.L.; Gassmann, M.; Hermann, D.M. Brain-derived erythropoietin protects from focal cerebral ischemia by dual activation of ERK-1/-2 and Akt pathways. FASEB J. 2005, 19, 2026–2028. [Google Scholar] [CrossRef] [PubMed]
- Horstmann, L.; Schmid, H.; Heinen, A.P.; Kurschus, F.C.; Dick, H.B.; Joachim, S.C. Inflammatory demyelination induces glia alterations and ganglion cell loss in the retina of an experimental autoimmune encephalomyelitis model. J. Neuroinflammation 2013, 10, 120. [Google Scholar] [CrossRef]
- Mannie, M.; Swanborg, R.H.; Stepaniak, J.A. Experimental Autoimmune Encephalomyelitis in the Rat. Curr. Protoc. Immunol. 2009, 85, 15.2.1–15.2.15. [Google Scholar] [CrossRef]
- Schneider, C.; Schuetz, G.; Zollner, T.M. Acute neuroinflammation in Lewis rats—A model for acute multiple sclerosis relapses. J. Neuroimmunol. 2009, 213, 84–90. [Google Scholar] [CrossRef]
- Ramos-González, E.J.; Bitzer-Quintero, O.K.; Ortiz, G.; Hernández-Cruz, J.J.; Ramírez-Jirano, L.J. Relationship between inflammation and oxidative stress and its effect on multiple sclerosis. Neurología 2024, 39, 292–301. [Google Scholar] [CrossRef]





Disclaimer/Publisher’s Note: The statements, opinions and data contained in all publications are solely those of the individual author(s) and contributor(s) and not of MDPI and/or the editor(s). MDPI and/or the editor(s) disclaim responsibility for any injury to people or property resulting from any ideas, methods, instructions or products referred to in the content. |
© 2024 by the authors. Licensee MDPI, Basel, Switzerland. This article is an open access article distributed under the terms and conditions of the Creative Commons Attribution (CC BY) license (https://creativecommons.org/licenses/by/4.0/).
Share and Cite
Pérez-Carranza, G.A.; Godínez-Rubí, J.M.; Márquez-Rosales, M.G.; Flores-Soto, M.E.; Bitzer-Quintero, O.K.; Ramírez-Anguiano, A.C.; Ramírez-Jirano, L.J. The Neuroprotective Effect of Erythropoietin on the Optic Nerve and Spinal Cord in Rats with Experimental Autoimmune Encephalomyelitis through the Activation of the Extracellular Signal-Regulated Kinase 1/2 Signaling Pathway. Int. J. Mol. Sci. 2024, 25, 9476. https://doi.org/10.3390/ijms25179476
Pérez-Carranza GA, Godínez-Rubí JM, Márquez-Rosales MG, Flores-Soto ME, Bitzer-Quintero OK, Ramírez-Anguiano AC, Ramírez-Jirano LJ. The Neuroprotective Effect of Erythropoietin on the Optic Nerve and Spinal Cord in Rats with Experimental Autoimmune Encephalomyelitis through the Activation of the Extracellular Signal-Regulated Kinase 1/2 Signaling Pathway. International Journal of Molecular Sciences. 2024; 25(17):9476. https://doi.org/10.3390/ijms25179476
Chicago/Turabian StylePérez-Carranza, Gloria Aleida, Juliana Marisol Godínez-Rubí, María Guadalupe Márquez-Rosales, Mario Eduardo Flores-Soto, Oscar Kurt Bitzer-Quintero, Ana Cristina Ramírez-Anguiano, and Luis Javier Ramírez-Jirano. 2024. "The Neuroprotective Effect of Erythropoietin on the Optic Nerve and Spinal Cord in Rats with Experimental Autoimmune Encephalomyelitis through the Activation of the Extracellular Signal-Regulated Kinase 1/2 Signaling Pathway" International Journal of Molecular Sciences 25, no. 17: 9476. https://doi.org/10.3390/ijms25179476
APA StylePérez-Carranza, G. A., Godínez-Rubí, J. M., Márquez-Rosales, M. G., Flores-Soto, M. E., Bitzer-Quintero, O. K., Ramírez-Anguiano, A. C., & Ramírez-Jirano, L. J. (2024). The Neuroprotective Effect of Erythropoietin on the Optic Nerve and Spinal Cord in Rats with Experimental Autoimmune Encephalomyelitis through the Activation of the Extracellular Signal-Regulated Kinase 1/2 Signaling Pathway. International Journal of Molecular Sciences, 25(17), 9476. https://doi.org/10.3390/ijms25179476

