Antibacterial Activity and Cytotoxicity of the Novel Bacteriocin Pkmh
Abstract
1. Introduction
2. Results
2.1. Optimization of Culture Conditions for Pkmh Production
2.2. Purification of Pkmh from Pseudomonas sp. 166
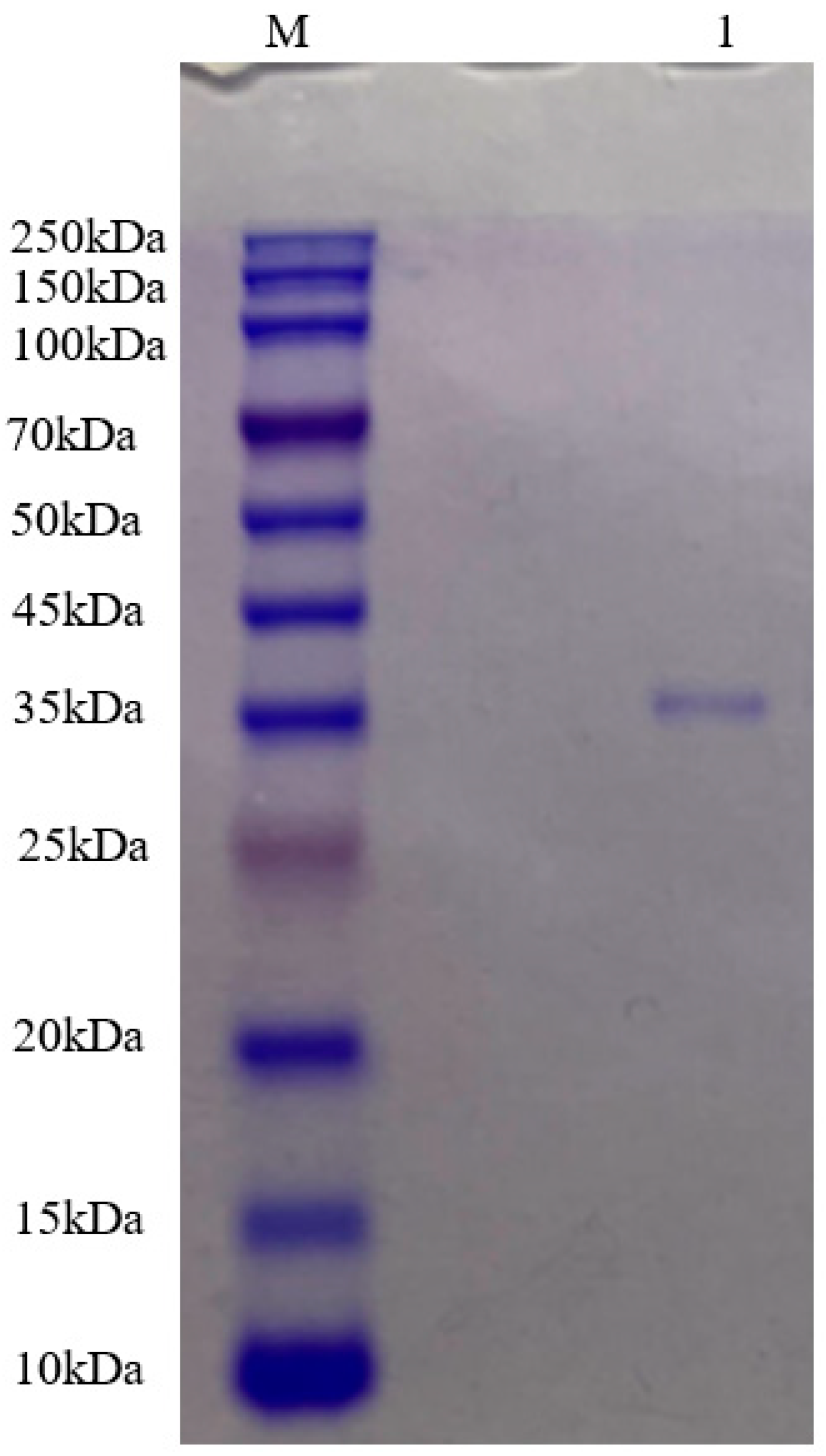
2.3. Molecular Mass Determination of Pkmh
2.4. Stability of Pkmh
2.5. Antimicrobial Activity
2.6. Hemolytic Activity
2.7. Cytotoxicity
2.8. Cytoplasmic Membrane Permeability
2.9. Outer Membrane Permeability Assay
2.10. Membrane Depolarization
2.11. Release of ATP and ROS
3. Discussion
4. Materials and Methods
4.1. Materials
4.2. Bacterial Strains and Growth Conditions
4.3. Optimization of Culture Conditions for Pseudomonas sp. Strain 166 Fermentation
4.3.1. Effect of Media Aeration on Pkmh Activity Units
4.3.2. Effect of Medium pH on Antimicrobial Activity
4.3.3. Effect of Different Incubation Temperatures on Antimicrobial Activity
4.3.4. Effect of Different Incubation Times on Pkmh Activity
4.4. Purification of Bacteriocin Pkmh from Pseudomonas sp. Strain 166
4.4.1. Preparation of Crude Extract
4.4.2. Purification of Pkmh
4.5. Stability Assays
4.6. Determination of Antimicrobial Activity of Pkmh
4.7. Measurement of Hemolytic Activity
4.8. Determination of Cytotoxicity (CCK8 Assay)
4.9. Cytoplasmic Membrane Permeability
4.10. Outer Membrane Permeability Assay
4.11. Membrane Depolarization
4.12. Measurement of Reactive Oxygen Species (ROS)
4.13. Measurement of Adenosine 5′-Triphosphate (ATP)
4.14. Statistical Analysis
5. Conclusions
Author Contributions
Funding
Institutional Review Board Statement
Informed Consent Statement
Data Availability Statement
Acknowledgments
Conflicts of Interest
References
- Credille, B. Antimicrobial resistance in Mannheimia haemolytica: Prevalence and impact. Anim. Health Res. Rev. 2020, 21, 196–199. [Google Scholar] [CrossRef]
- Magstadt, D.R.; Schuler, A.M.; Coetzee, J.F.; Krull, A.C.; O’Connor, A.M.; Cooper, V.L.; Engelken, T.J. Treatment history and antimicrobial susceptibility results for Mannheimia haemolytica, Pasteurella multocida, and Histophilus somni isolates from bovine respiratory disease cases submitted to the Iowa State University Veterinary Diagnostic Laboratory from 2013 to 2015. J. Vet. Diagn. Investig. 2018, 30, 99–104. [Google Scholar]
- Wettstein, K.; Frey, J. Comparison of antimicrobial resistance pattern of selected respiratory tract pathogens isolated from different animal species. Schweiz. Arch. Für Tierheilkd. 2004, 146, 417–422. [Google Scholar] [CrossRef] [PubMed]
- González-Pérez, C.J.; Aispuro-Hernández, E.; Vargas-Arispuro, I.; Hernández-Mendoza, A.; Ayala-Zavala, J.F.; Martínez-Téllez, M. Are Bacteriocins a Feasible Solution for Current Diverse Global Problems? Protein Pept. Lett. 2021, 28, 1330–1337. [Google Scholar] [CrossRef] [PubMed]
- Crowley, L.C.; Scott, A.P.; Marfell, B.J.; Boughaba, J.A.; Chojnowski, G.; Waterhouse, N.J. Measuring Cell Death by Propidium Iodide Uptake and Flow Cytometry. Cold Spring Harb. Protoc. 2016, 2016, pdb.prot087163. [Google Scholar] [CrossRef]
- Wang, J.; Song, J.; Yang, Z.; He, S.; Yang, Y.; Feng, X.; Dou, X.; Shan, A. Antimicrobial Peptides with High Proteolytic Resistance for Combating Gram-Negative Bacteria. J. Med. Chem. 2019, 62, 2286–2304. [Google Scholar] [CrossRef]
- Abo-Amer, A.E. Optimization of bacteriocin production by Lactobacillus acidophilus AA11, a strain isolated from Egyptian cheese. Ann. Microbiol. 2011, 61, 445–452. [Google Scholar] [CrossRef]
- Trinetta, V.; Rollini, M.; Manzoni, M. Development of a low cost culture medium for sakacin A production by L. sakei. Process Biochem. 2008, 43, 1275–1280. [Google Scholar] [CrossRef]
- Wang, Y.; Lei, S.; Muhammad, I.; Jia, Y.; He, C.G.; Wang, Y.M.; Gao, Y.-H.; Kong, L.-C.; Ma, H.-X. Isolation and partial characterization of a novel bacteriocin from Pseudomonas azotoformans with antimicrobial activity against Pasterella multocida. Arch. Microbiol. 2022, 204, 112. [Google Scholar] [CrossRef] [PubMed]
- Elazzazy, A.M.; Mobarki, M.O.; Baghdadi, A.M.; Bataweel, N.M.; Al-Hejin, A.M. Optimization of Culture Conditions and Batch Process Control for the Augmented Production of Bacteriocin by Bacillus Species. Microorganisms 2024, 12, 651. [Google Scholar] [CrossRef]
- Benaud, N.; Zhang, E.; van Dorst, J.; Brown, M.V.; Kalaitzis, J.A.; Neilan, B.A.; Ferrari, B.C. Harnessing long-read amplicon sequencing to uncover NRPS and Type I PKS gene sequence diversity in polar desert soils. FEMS Microbiol. Ecol. 2019, 95, fiz031. [Google Scholar] [CrossRef]
- Cui, Y.; Luo, L.; Wang, X.; Lu, Y.; Yi, Y.; Shan, Y.; Liu, B.; Zhou, Y.; Lü, X. Mining, heterologous expression, purification, antibactericidal mechanism, and application of bacteriocins: A review. Compr. Rev. Food Sci. Food Saf. 2021, 20, 863–899. [Google Scholar] [CrossRef]
- Jamaluddin, N.; Stuckey, D.C.; Ariff, A.B.; Faizal Wong, F.W. Novel approaches to purifying bacteriocin: A review. Crit. Rev. Food Sci. Nutr. 2018, 58, 2453–2465. [Google Scholar] [CrossRef]
- Barman, S.; Ghosh, R.; Mandal, N.C. Production optimization of broad spectrum bacteriocin of three strains of Lactococcus lactis isolated from homemade buttermilk—ScienceDirect. Ann. Agrar. Sci. 2018, 16, 286–296. [Google Scholar] [CrossRef]
- Wang, Y.; Haqmal, M.A.; Liang, Y.D.; Muhammad, I.; Zhao, X.O.; Elken, E.M.; Gao, Y.; Jia, Y.; He, C.; Wang, Y.; et al. Antibacterial activity and cytotoxicity of a novel bacteriocin isolated from Pseudomonas sp. strain 166. Microb. Biotechnol. 2022, 15, 2337–2350. [Google Scholar] [CrossRef]
- Flynn, J.; AoibhínRyan Hudson, S.P. Pre-formulation and delivery strategies for the development of bacteriocins as next generation antibiotics. Eur. J. Pharm. Biopharm. Off. J. Arbeitsgemeinschaft Fur Pharm. Verfahrenstechnik E.V. 2021, 165, 149–163. [Google Scholar] [CrossRef] [PubMed]
- Ołdak, A.; Zielińska, D. Bacteriocins from lactic acid bacteria as an alternative to antibiotics. Postep. Hig. Med. Dosw. 2017, 71, 328–338. [Google Scholar] [CrossRef] [PubMed]
- Van Heel, A.J.; Montalban-Lopez, M.; Kuipers, O.P. Evaluating the feasibility of lantibiotics as an alternative therapy against bacterial infections in humans. Expert. Opin. Drug Metab. Toxicol. 2011, 7, 675. [Google Scholar] [CrossRef] [PubMed]
- Cotter, P.D.; Ross, R.P.; Hill, C. Bacteriocins—A viable alternative to antibiotics? Nat. Rev. Microbiol. 2013, 11, 95–105. [Google Scholar] [CrossRef]
- Shin, J.M.; Gwak, J.W.; Kamarajan, P.; Fenno, J.C.; Rickard, A.H.; Kapila, Y.L. Biomedical applications of nisin. J. Appl. Microbiol. 2016, 120, 1449–1465. [Google Scholar] [CrossRef]
- Ansari, A.; Zohra, R.R.; Tarar, O.M.; Qader, S.A.U.; Aman, A. Screening, purification and characterization of thermostable, protease resistant Bacteriocin active against methicillin resistant Staphylococcus aureus (MRSA). BMC Microbiol. 2018, 18, 192. [Google Scholar] [CrossRef]
- Selvam, D.; Thangarasu, A.; Shyu, D.J.H.; Neelamegam, R.; Nagarajan, K. Antimicrobial Substance Produced by Pseudomonas aeruginosa Isolated from Slaughterhouse Sediment: Physicochemical Characterization, Purification, and Identification. Int. J. Pept. Res. Ther. 2021, 27, 887–897. [Google Scholar] [CrossRef]
- Dicks, L.M.; Dreyer, L.; Smith, C.; Van Staden, A.D. A Review: The Fate of Bacteriocins in the Human Gastro-Intestinal Tract: Do They Cross the Gut-Blood Barrier? Front. Microbiol. 2018, 9, 2297. [Google Scholar]
- Hols, P.; Ledesma-García, L.; Gabant, P.; Mignolet, J. Mobilization of Microbiota Commensals and Their Bacteriocins for Therapeutics. Trends Microbiol. 2019, 27, 690–702. [Google Scholar] [CrossRef]
- Kumariya, R.; Garsa, A.K.; Rajput, Y.S.; Sood, S.K.; Akhtar, N.; Patel, S. Bacteriocins: Classification, synthesis, mechanism of action and resistance development in food spoilage causing bacteria. Microb. Pathog. 2019, 128, 171–177. [Google Scholar] [CrossRef]
- Ríos Colombo, N.S.; Chalón, M.C.; Dupuy, F.G.; Gonzalez, C.F.; Bellomio, A. The case for class II bacteriocins: A biophysical approach using “suicide probes” in receptor-free hosts to study their mechanism of action. Biochimie 2019, 165, 183–195. [Google Scholar] [CrossRef]
- Yi, L.; Li, X.; Luo, L.; Lu, Y.; Yan, H.; Qiao, Z.; Lü, X. A novel bacteriocin BMP11 and its antibacterial mechanism on cell envelope of Listeria monocytogenes and Cronobacter sakazakii. Food Control 2018, 91, 160–169. [Google Scholar] [CrossRef]
- Darbandi, A.; Asadi, A.; Mahdizade Ari, M.; Ohadi, E.; Talebi, M.; Halaj Zadeh, M.; Emamie, A.D.; Ghanavati, R.; Kakanj, M. Bacteriocins: Properties and potential use as antimicrobials. J. Clin. Lab. Anal. 2022, 36, e24093. [Google Scholar] [CrossRef] [PubMed]
- Herb, M.; Schramm, M. Functions of ROS in Macrophages and Antimicrobial Immunity. Antioxidants 2021, 10, 313. [Google Scholar] [CrossRef]
- Mittler, R. ROS Are Good. Trends Plant Sci. 2016, 22, 11–19. [Google Scholar] [CrossRef]
- Zangeneh, M.; Khorrami, S.; Khaleghi, M. Bacteriostatic activity and partial characterization of the bacteriocin produced by L. plantarum sp. isolated from traditional sourdough. Food Sci. Nutr. 2020, 8, 6023–6030. [Google Scholar] [CrossRef]
- Guo, X.; Chen, J.; Sun, H.; Luo, L.; Lü, X. Mining, heterologous expression, purification and characterization of 14 novel bacteriocins from Lactobacillus rhamnosus LS-8. Int. J. Biol. Macromol. 2020, 164, 2162–2176. [Google Scholar] [CrossRef] [PubMed]
- Yan, H.; Aizhan, R.; Lu, Y.Y.; Li, X.; Wang, X.; Yi, Y.L.; Shan, Y.; Liu, B.; Zhou, Y.; Lü, X. A novel bacteriocin BM1029: Physicochemical characterization, antibacterial modes and application. J. Appl. Microbiol. 2021, 130, 755–768. [Google Scholar] [CrossRef]
- Dong, N.; Wang, C.; Zhang, T.; Zhang, L.; Xue, C.; Feng, X.; Bi, C.; Shan, A. Bioactivity and Bactericidal Mechanism of Histidine-Rich β-Hairpin Peptide against Gram-Negative Bacteria. Int. J. Mol. Sci. 2019, 20, 3954. [Google Scholar] [CrossRef] [PubMed]
- Cai, J.; Shi, J.; Chen, C.; He, M.; Wang, Z.; Liu, Y. Structural-Activity Relationship-Inspired the Discovery of Saturated Fatty Acids as Novel Colistin Enhancers. Adv. Sci. 2023, 10, e2302182. [Google Scholar] [CrossRef] [PubMed]






| Conditions | Activity (AU/mL) | |
|---|---|---|
| Volume (mL) | 100 | 800 |
| 200 | 3200 | |
| 300 | 1600 | |
| Medium pH | 5.5 | 3200 |
| 6.5 | 3200 | |
| 7.5 | 3200 | |
| Temperature (°C) | 10 | - |
| 16 | 6400 | |
| 22 | 3200 | |
| 28 | 800 | |
| 34 | - | |
| Incubation times (h) | 24 | - |
| 36 | 200 | |
| 48 | 1600 | |
| 60 | 6400 | |
| 72 | 6400 |
Disclaimer/Publisher’s Note: The statements, opinions and data contained in all publications are solely those of the individual author(s) and contributor(s) and not of MDPI and/or the editor(s). MDPI and/or the editor(s) disclaim responsibility for any injury to people or property resulting from any ideas, methods, instructions or products referred to in the content. |
© 2024 by the authors. Licensee MDPI, Basel, Switzerland. This article is an open access article distributed under the terms and conditions of the Creative Commons Attribution (CC BY) license (https://creativecommons.org/licenses/by/4.0/).
Share and Cite
Wang, Y.; Fu, X.; Wang, Y.; Wang, J.; Kong, L.; Guo, H. Antibacterial Activity and Cytotoxicity of the Novel Bacteriocin Pkmh. Int. J. Mol. Sci. 2024, 25, 9153. https://doi.org/10.3390/ijms25179153
Wang Y, Fu X, Wang Y, Wang J, Kong L, Guo H. Antibacterial Activity and Cytotoxicity of the Novel Bacteriocin Pkmh. International Journal of Molecular Sciences. 2024; 25(17):9153. https://doi.org/10.3390/ijms25179153
Chicago/Turabian StyleWang, Yu, Xiaojia Fu, Yue Wang, Jun Wang, Lingcong Kong, and Haiyong Guo. 2024. "Antibacterial Activity and Cytotoxicity of the Novel Bacteriocin Pkmh" International Journal of Molecular Sciences 25, no. 17: 9153. https://doi.org/10.3390/ijms25179153
APA StyleWang, Y., Fu, X., Wang, Y., Wang, J., Kong, L., & Guo, H. (2024). Antibacterial Activity and Cytotoxicity of the Novel Bacteriocin Pkmh. International Journal of Molecular Sciences, 25(17), 9153. https://doi.org/10.3390/ijms25179153
