New Generation of Orthodontic Elastomeric Ligature to Prevent Enamel Demineralization In Vivo
Abstract
1. Introduction
2. Results
2.1. Analysis of the First Hypothesis
2.1.1. Incorporation of DMAHDM with Elastomeric Ligatures
2.1.2. Antibacterial Properties
2.1.3. Cytotoxicity
2.2. Analysis of the Second Hypothesis
2.2.1. Mechanical Properties of Elastomeric Ligatures
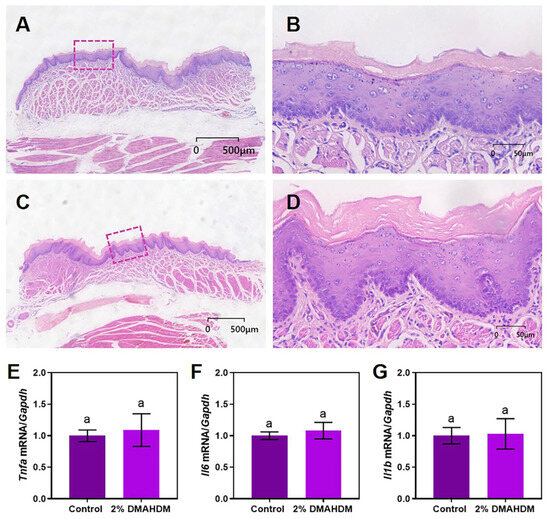
2.2.2. Mucosal Irritation
2.3. Analysis of the Third Hypothesis
2.3.1. Surface Microscopy and Energy Spectrum Analysis
2.3.2. Nanoindentation Mechanical Properties
3. Discussion
4. Materials and Methods
4.1. Incorporation of DMAHDM with Elastomeric Ligatures
4.2. Antibacterial Properties
4.2.1. Biofilms Formation
4.2.2. Lactic Acid Measurement and pH Measurement
4.2.3. Colony-Forming Units (CFUs) Counts
4.2.4. Spectrophotometer Counting
4.3. Cytotoxicity
4.3.1. Preparation of Extract Solution
4.3.2. Cell Proliferation Activity
4.3.3. Cell Migration
4.4. Mechanical Testing of Elastomeric Ligatures with 2% DMAHDM
4.5. Mucosal Irritation
4.6. Enamel Demineralization
4.6.1. Surface Microscopy and Energy Spectrum Analysis
4.6.2. Nanoindentation for Mechanical Properties
4.7. Statistical Analysis
5. Conclusions
Author Contributions
Funding
Institutional Review Board Statement
Informed Consent Statement
Data Availability Statement
Conflicts of Interest
References
- An, J.S.; Lim, B.S.; Ahn, S.J. Managing oral biofilms to avoid enamel demineralization during fixed orthodontic treatment. Korean J. Orthod. 2023, 53, 345–357. [Google Scholar] [CrossRef]
- Bian, C.; Guo, Y.; Zhu, M.; Liu, M.; Xie, X.; Weir, M.D.; Oates, T.W.; Masri, R.; Xu, H.H.K.; Zhang, K.; et al. New generation of orthodontic devices and materials with bioactive capacities to improve enamel demineralization. J. Dent. 2024, 142, 104844. [Google Scholar] [CrossRef]
- Ferreira, R.S.; Ricomini-Filho, A.P.; Tabchoury, C.P.; Vale, G.C. Effect of high-fluoride dentifrice and bracket bonding composite material on enamel demineralization in situ. Clin. Oral. Investig. 2020, 24, 3105–3112. [Google Scholar] [CrossRef]
- Park, S.; Wang, X.; Wang, B.; Xu, H.H.K.; Zhang, N.; Bai, Y. The long observation in vitro of prevention effect of novel self-etching orthodontic adhesive modified with 2-methacryloxyethyl phosphorylcholine in enamel demineralization. Dent. Mater. J. 2021, 40, 631–640. [Google Scholar] [CrossRef]
- Vicente, A.; Ortiz-Ruiz, A.J.; González-Paz, B.M.; Martínez-Beneyto, Y.; Bravo-González, L.A. Effectiveness of a toothpaste and a serum containing calcium silicate on protecting the enamel after interproximal reduction against demineralization. Sci. Rep. 2021, 11, 834. [Google Scholar] [CrossRef]
- Yan, J.; Cao, L.; Luo, T.; Qin, D.; Hua, F.; He, H. In vitro evaluation of a novel fluoride-coated clear aligner with antibacterial and enamel remineralization abilities. Clin. Oral. Investig. 2023, 27, 6027–6042. [Google Scholar] [CrossRef]
- Zhou, W.; Peng, X.; Zhou, X.; Weir, M.D.; Melo, M.A.S.; Tay, F.R.; Imazato, S.; Oates, T.W.; Cheng, L.; Xu, H.H.K. In vitro evaluation of composite containing DMAHDM and calcium phosphate nanoparticles on recurrent caries inhibition at bovine enamel-restoration margins. Dent. Mater. 2020, 36, 1343–1355. [Google Scholar] [CrossRef]
- Zhang, N.; Weir, M.D.; Chen, C.; Melo, M.A.; Bai, Y.; Xu, H.H. Orthodontic cement with protein-repellent and antibacterial properties and the release of calcium and phosphate ions. J. Dent. 2016, 50, 51–59. [Google Scholar] [CrossRef]
- Babadi Oregani, E.; Jafari, A.; Masoud Sajedi, S.; Reza Motamedian, S. Preventive Effect of Professional Fluoride Supplements on Enamel Demineralization in Patients Undergoing Fixed Orthodontic Treatment: A Systematic Review and Meta-Analysis. Turk. J. Orthod. 2022, 35, 223–230. [Google Scholar] [CrossRef]
- Ma, Y.; Su, C.; Yang, H.; Xu, H.H.K.; Bai, Y.; Xu, Y.; Che, X.; Zhang, N. Influence of resin modified glass ionomer cement incorporating protein-repellent and antimicrobial agents on supragingival microbiome around brackets: An in-vivo split-mouth 3-month study. PeerJ 2023, 11, e14820. [Google Scholar] [CrossRef]
- Schubert, A.; Griesmüller, C.; Gersdorff, N.; Bürgers, R.; Wiechens, B.; Wassmann, T. Antibacterial coating of orthodontic elastomeric ligatures with silver and bismuth nanofilms by magnetron sputtering: A feasibility study. Clin. Exp. Dent. Res. 2024, 10, e864. [Google Scholar] [CrossRef]
- Ghanemi, M.; Salehi-Vaziri, A.; Pourhajibagher, M.; Bahador, A. Physico-mechanical and antimicrobial properties of an elastomeric ligature coated with reduced nanographene oxide-nano curcumin subjected to dual-modal photodynamic and photothermal inactivation against Streptococcus mutans biofilms. Photodiagnosis Photodyn. Ther. 2023, 44, 103866. [Google Scholar] [CrossRef]
- Bardill, J.R.; Laughter, M.R.; Stager, M.; Liechty, K.W.; Krebs, M.D.; Zgheib, C. Topical gel-based biomaterials for the treatment of diabetic foot ulcers. Acta Biomater. 2022, 138, 73–91. [Google Scholar] [CrossRef]
- Khare, D.; Basu, B.; Dubey, A.K. Electrical stimulation and piezoelectric biomaterials for bone tissue engineering applications. Biomaterials 2020, 258, 120280. [Google Scholar] [CrossRef]
- Crum, R.J.; Capella-Monsonís, H.; Chang, J.; Dewey, M.J.; Kolich, B.D.; Hall, K.T.; El-Mossier, S.O.; Nascari, D.G.; Hussey, G.S.; Badylak, S.F. Biocompatibility and biodistribution of matrix-bound nanovesicles in vitro and in vivo. Acta Biomater. 2023, 155, 113–122. [Google Scholar] [CrossRef]
- Tanaka, K.; Kawai, S.; Fujii, E.; Yano, M.; Miyayama, T.; Nakano, K.; Terao, K.; Suzuki, M. Development of rat duodenal monolayer model with effective barrier function from rat organoids for ADME assay. Sci. Rep. 2023, 13, 12130. [Google Scholar] [CrossRef]
- Srivastava, H.; Lasher, A.T.; Nagarajan, A.; Sun, L.Y. Sexual dimorphism in the peripheral metabolic homeostasis and behavior in the TgF344-AD rat model of Alzheimer’s disease. Aging Cell 2023, 22, e13854. [Google Scholar] [CrossRef]
- Xu, Y.; You, Y.; Yi, L.; Wu, X.; Zhao, Y.; Yu, J.; Liu, H.; Shen, Y.; Guo, J.; Huang, C. Dental plaque-inspired versatile nanosystem for caries prevention and tooth restoration. Bioact. Mater. 2023, 20, 418–433. [Google Scholar] [CrossRef]
- Marsh, P.D. Dental plaque as a biofilm and a microbial community-implications for health and disease. BMC Oral. Health 2006, 6 (Suppl. S1), S14. [Google Scholar] [CrossRef] [PubMed]
- Abdalla, M.M.; Bijle, M.N.; Abdallah, N.M.A.; Yiu, C.K.Y. Enamel remineralization potential and antimicrobial effect of a fluoride varnish containing calcium strontium silicate. J. Dent. 2023, 138, 104731. [Google Scholar] [CrossRef]
- Zhang, Y.; Chen, Y.; Liu, Z.; Peng, X.; Lu, J.; Wang, K.; Zhang, L. Encapsulation of a novel peptide derived from histatin-1 in liposomes against initial enamel caries in vitro and in vivo. Clin. Oral. Investig. 2023, 28, 35. [Google Scholar] [CrossRef] [PubMed]
- Eskandari, F.; Borzou, S.; Razavian, A.; Babanouri, N.; Yousefi, K. Sustained antibacterial activity of orthodontic elastomeric ligature ties coated with a novel kombucha-derived bacterial nanocellulose: An in-vitro study. PLoS ONE 2024, 19, e0292966. [Google Scholar] [CrossRef]
- Zhao, Z.; Ma, X.; Chen, R.; Xue, H.; Lei, J.; Du, H.; Zhang, Z.; Chen, H. Universal Antibacterial Surfaces Fabricated from Quaternary Ammonium Salt-Based PNIPAM Microgels. ACS Appl. Mater. Interfaces 2020, 12, 19268–19276. [Google Scholar] [CrossRef] [PubMed]
- Kumar Tiwari, S.; Guo, X.; Huang, Y.; Zhou, X.; Xu, H.H.K.; Ren, B.; Peng, X.; Weir, M.D.; Li, M.; Cheng, L. The inhibitory effect of quaternary ammonium salt on bacteria in root canal. Sci. Rep. 2019, 9, 12463. [Google Scholar] [CrossRef] [PubMed]
- Clarin, A.; Ho, D.; Soong, J.; Looi, C.; Ipe, D.S.; Tadakamadla, S.K. The Antibacterial and Remineralizing Effects of Biomaterials Combined with DMAHDM Nanocomposite: A Systematic Review. Materials 2021, 14, 1688. [Google Scholar] [CrossRef] [PubMed]
- Tao, S.; Su, Z.; Xiang, Z.; Xu, H.H.K.; Weir, M.D.; Fan, M.; Yu, Z.; Zhou, X.; Liang, K.; Li, J. Nano-calcium phosphate and dimethylaminohexadecyl methacrylate adhesive for dentin remineralization in a biofilm-challenged environment. Dent. Mater. 2020, 36, e316–e328. [Google Scholar] [CrossRef] [PubMed]
- Wu, J.; Zhou, H.; Weir, M.D.; Melo, M.A.; Levine, E.D.; Xu, H.H. Effect of dimethylaminohexadecyl methacrylate mass fraction on fracture toughness and antibacterial properties of CaP nanocomposite. J. Dent. 2015, 43, 1539–1546. [Google Scholar] [CrossRef] [PubMed]
- Bhandary, R.; Venugopalan, G.; Ramesh, A.; Tartaglia, G.M.; Singhal, I.; Khijmatgar, S. Microbial Symphony: Navigating the Intricacies of the Human Oral Microbiome and Its Impact on Health. Microorganisms 2024, 12, 571. [Google Scholar] [CrossRef] [PubMed]
- Zhou, W.; Chen, H.; Weir, M.D.; Oates, T.W.; Zhou, X.; Wang, S.; Cheng, L.; Xu, H.H.K. Novel bioactive dental restorations to inhibit secondary caries in enamel and dentin under oral biofilms. J. Dent. 2023, 133, 104497. [Google Scholar] [CrossRef]
- Hu, D.; Gong, J.; He, B.; Chen, Z.; Li, M. Surface properties and Streptococcus mutans-Streptococcus sanguinis adhesion of fluorotic enamel. Arch. Oral. Biol. 2021, 121, 104970. [Google Scholar] [CrossRef]
- Wang, H.; Wang, S.; Cheng, L.; Jiang, Y.; Melo, M.A.S.; Weir, M.D.; Oates, T.W.; Zhou, X.; Xu, H.H.K. Novel dental composite with capability to suppress cariogenic species and promote non-cariogenic species in oral biofilms. Mater. Sci. Eng. C Mater. Biol. Appl. 2019, 94, 587–596. [Google Scholar] [CrossRef]
- Feltrin-Souza, J.; Jeremias, F.; Alaluusua, S.; Sahlberg, C.; Santos-Pinto, L.; Jernvall, J.; Sova, S.; Cordeiro, R.C.L.; Cerri, P.S. The effect of amoxicillin on dental enamel development in vivo. Braz. Oral. Res. 2020, 34, e116. [Google Scholar] [CrossRef]
- Raut, H.K.; Das, R.; Liu, Z.; Liu, X.; Ramakrishna, S. Biocompatibility of Biomaterials for Tissue Regeneration or Replacement. Biotechnol. J. 2020, 15, e2000160. [Google Scholar] [CrossRef]
- Woźniak-Budych, M.J.; Staszak, M.; Staszak, K. A critical review of dental biomaterials with an emphasis on biocompatibility. Dent. Med. Probl. 2023, 60, 709–739. [Google Scholar] [CrossRef]
- Zhang, C.; Li, T.; Yin, S.; Gao, M.; He, H.; Li, Y.; Jiang, D.; Shi, M.; Wang, J.; Yu, L. Monocytes deposit migrasomes to promote embryonic angiogenesis. Nat. Cell Biol. 2022, 24, 1726–1738. [Google Scholar] [CrossRef]
- Wang, Y.N.; Wang, Y.Y.; Wang, J.; Bai, W.J.; Miao, N.J.; Wang, J. Vinblastine resets tumor-associated macrophages toward M1 phenotype and promotes antitumor immune response. J. Immunother. Cancer 2023, 11, e007253. [Google Scholar] [CrossRef]
- Yin, Z.; Gong, G.; Liu, X.; Yin, J. Mechanism of regulating macrophages/osteoclasts in attenuating wear particle-induced aseptic osteolysis. Front. Immunol. 2023, 14, 1274679. [Google Scholar] [CrossRef]








| Items | Mass Fraction of DMAHDM | p Value | ||||
|---|---|---|---|---|---|---|
| Blank | 0.5% | 1.0% | 2.0% | 5.0% | ||
| Lactic acid production (mmol/L) | 16.02 ± 0.60 | 12.20 ± 0.49 | 8.69 ± 0.87 | 5.56 ± 1.30 | 1.45 ± 0.63 | <0.001 |
| 24 h OD600 value | 0.70 ± 0.02 | 0.59 ± 0.02 | 0.50 ± 0.03 | 0.35 ± 0.03 | 0.16 ± 0.02 | <0.001 |
| 48 h OD600 value | 1.52 ± 0.05 | 1.42 ± 0.02 | 1.34 ± 0.02 | 1.07 ± 0.06 | 0.30 ± 0.03 | <0.001 |
| 72 h OD600 value | 1.72 ± 0.06 | 1.49 ± 0.03 | 1.40 ± 0.01 | 1.12 ± 0.04 | 0.31 ± 0.02 | <0.001 |
| Items (Each Group/Blank)/(%) | Mass Fraction of DMAHDM | p Value | ||||
|---|---|---|---|---|---|---|
| Blank | 0.5% | 1.0% | 2.0% | 5.0% | ||
| 24 h OD450 value | 100.0 ± 3.0 | 128.1 ± 3.6 | 116.8 ± 8.2 | 92.6 ± 2.5 | 83.9 ± 9.1 | <0.001 |
| 48 h OD450 value | 100.0 ± 5.9 | 102.9 ± 8.1 | 111.0 ± 6.7 | 88.4 ± 6.1 | 51.1 ± 4.1 | <0.001 |
| 72 h OD450 value | 100.0 ± 9.3 | 110.8 ± 20.3 | 112.1 ± 20.9 | 77.5 ± 1.8 | 31.8 ± 6.1 | <0.001 |
| Items (Gpa) | Healthy | Control | DMAHDM | p Value |
|---|---|---|---|---|
| Elastic modulus (Er) | 110.10 ± 6.46 | 43.65 ± 2.62 | 75.61 ± 4.57 | <0.001 |
| Hardness (H) | 5.10 ± 0.54 | 0.62 ± 0.17 | 1.89 ± 0.65 | <0.001 |
| Primers | Nucleotide Sequence (5′–3′) |
|---|---|
| Gapdh | |
| Forward | 5′-TCAGCAATGCCTCCTGCAC-3′ |
| Reverse | 5′-TCTGGGTGGCAGTGATGGC-3′ |
| Tnfa | |
| Forward | 5′-GGGCTCCCTCTCATCAGTTC-3′ |
| Reverse | 5′-CTTGGTGGTTTGCTACGACG-3′ |
| Il6 | |
| Forward | 5′-ACCAAGACCATCCAACTCATC-3′ |
| Reverse | 5′-TTCTGACCACAGTGAGGAATG-3′ |
| Il1b | |
| Forward | 5′-TGCAGGCTTCGAGATGAAC-3′ |
| Reverse | 5′-GGGATTTTGTCGTTGCTTGTC-3′ |
Disclaimer/Publisher’s Note: The statements, opinions and data contained in all publications are solely those of the individual author(s) and contributor(s) and not of MDPI and/or the editor(s). MDPI and/or the editor(s) disclaim responsibility for any injury to people or property resulting from any ideas, methods, instructions or products referred to in the content. |
© 2024 by the authors. Licensee MDPI, Basel, Switzerland. This article is an open access article distributed under the terms and conditions of the Creative Commons Attribution (CC BY) license (https://creativecommons.org/licenses/by/4.0/).
Share and Cite
Bian, C.; Lyu, M.; Zhu, M.; Yu, C.; Guo, Y.; Weir, M.D.; Masri, R.; Bai, Y.; Xu, H.H.K.; Zhang, N. New Generation of Orthodontic Elastomeric Ligature to Prevent Enamel Demineralization In Vivo. Int. J. Mol. Sci. 2024, 25, 8409. https://doi.org/10.3390/ijms25158409
Bian C, Lyu M, Zhu M, Yu C, Guo Y, Weir MD, Masri R, Bai Y, Xu HHK, Zhang N. New Generation of Orthodontic Elastomeric Ligature to Prevent Enamel Demineralization In Vivo. International Journal of Molecular Sciences. 2024; 25(15):8409. https://doi.org/10.3390/ijms25158409
Chicago/Turabian StyleBian, Ce, Menghao Lyu, Mengyao Zhu, Chaoran Yu, Yiman Guo, Michael D. Weir, Radi Masri, Yuxing Bai, Hockin H. K. Xu, and Ning Zhang. 2024. "New Generation of Orthodontic Elastomeric Ligature to Prevent Enamel Demineralization In Vivo" International Journal of Molecular Sciences 25, no. 15: 8409. https://doi.org/10.3390/ijms25158409
APA StyleBian, C., Lyu, M., Zhu, M., Yu, C., Guo, Y., Weir, M. D., Masri, R., Bai, Y., Xu, H. H. K., & Zhang, N. (2024). New Generation of Orthodontic Elastomeric Ligature to Prevent Enamel Demineralization In Vivo. International Journal of Molecular Sciences, 25(15), 8409. https://doi.org/10.3390/ijms25158409
