Genome-Wide Identification, Expression, and Interaction Analysis of the Auxin Response Factor and AUX/IAA Gene Families in Vaccinium bracteatum
Abstract
1. Introduction
2. Results
2.1. Identification of VaARF-IAA Families in Vaccinium bracteatum
2.2. Chromosomal Localization and Collinearity Analysis of VaARF-IAA Gene Families in Vaccinium bracteatum
2.2.1. Chromosomal Distribution and Gene Duplication Events
2.2.2. Synteny Relationships Highlighting Evolutionary Conservation
2.3. Phylogenetic Analysis of VaARF-IAA Gene Families in Vaccinium bracteatum
2.4. Gene Structure and Conserved Domain Analysis of VaARF-IAA Gene Families in Vaccinium bracteatum
2.5. Promoter and Synteny Analysis of VaARF-IAA Gene Families in Vaccinium bracteatum
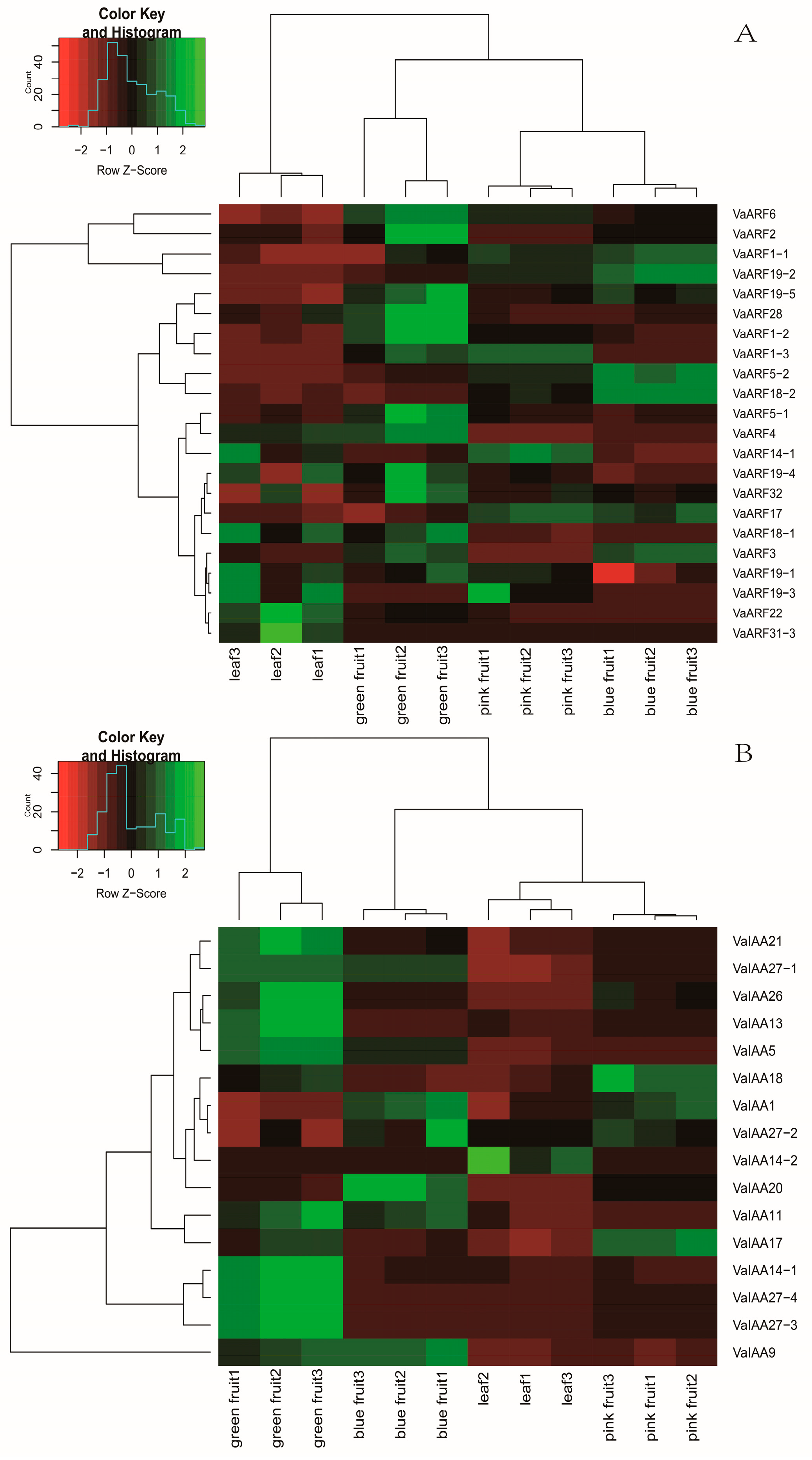
2.6. Expression Analysis of VaARF-IAAs during Fruit Ripening
2.7. Interaction Networks of VaARF-IAAs with Functional Genes
2.8. Protein 3D Structure Analysis
3. Discussion
3.1. Interpretation of Phylogenetic Relationships and Gene Structure Diversity
3.2. Role of ARF Genes in the Fruit Ripening of Vaccinium bracteatum Based on Expression Profiles
3.3. Analysis of Interaction Networks
3.4. Functional Implications of the Protein Structure Findings
4. Materials and Methods
4.1. Plant Resources
4.2. Genome-Wide Identification and Classification of ARF-Aux/IAA Gene Families
4.3. Visualization and Collinearity Analysis of Chromosomal Positioning
4.4. The Establishment of the Phylogenetic Tree
4.5. Analysis of Introns, Exons, and Regulatory Sequences
4.6. Analysis of Promoter Sequence
4.7. Expression Patterns within Different Fruit Stages
4.8. Analysis of Protein–Protein Interaction Expression
5. Conclusions
Supplementary Materials
Author Contributions
Funding
Informed Consent Statement
Data Availability Statement
Acknowledgments
Conflicts of Interest
References
- Li, Y.; Han, S.; Qi, Y. Advances in structure and function of auxin response factor in plants. J. Integr. Plant Biol. 2023, 65, 617–632. [Google Scholar] [CrossRef]
- Ali, S.; Wang, W.; Zhang, Z.; Xie, L.; Boer, D.R.; Khan, N. Genome-Wide Identification, Expression and Interaction Analysis of ARF and AUX/IAA Gene Family in Soybean. Front. Biosci. (Landmark Ed.) 2022, 27, 251. [Google Scholar] [CrossRef] [PubMed]
- Li, Z.A.; Li, Y.; Liu, D.; Molloy, D.P.; Luo, Z.F.; Li, H.O.; Zhao, J.; Zhou, J.; Su, Y.; Wang, R.Z.; et al. YUCCA2 (YUC2)-Mediated 3-Indoleacetic Acid (IAA) Biosynthesis Regulates Chloroplast RNA Editing by Relieving the Auxin Response Factor 1 (ARF1)-Dependent Inhibition of Editing Factors in Arabidopsis thaliana. Int. J. Mol. Sci. 2023, 24, 16988. [Google Scholar] [CrossRef] [PubMed]
- Luo, W.; Xiao, N.; Wu, F.; Mo, B.; Kong, W.; Yu, Y. Genome-Wide Identification and Characterization of YUCCA Gene Family in Mikania micrantha. Int. J. Mol. Sci. 2022, 23, 13037. [Google Scholar] [CrossRef]
- Wang, Z.; Shang, Q.; Zhang, W.; Huang, D.; Pan, X. Identification of ARF genes in Juglans Sigillata Dode and analysis of their expression patterns under drought stress. Mol. Biol. Rep. 2024, 51, 539. [Google Scholar] [CrossRef] [PubMed]
- Chandler, J.W. Auxin response factors. Plant Cell Environ. 2016, 39, 1014–1028. [Google Scholar] [CrossRef] [PubMed]
- Zhang, J.; Li, S.; Gao, X.; Liu, Y.; Fu, B. Genome-wide identification and expression pattern analysis of the Aux/IAA (auxin/indole-3-acetic acid) gene family in alfalfa (Medicago sativa) and the potential functions under drought stress. BMC Genom. 2024, 25, 382. [Google Scholar] [CrossRef] [PubMed]
- Rienstra, J.; Hernández-García, J.; Weijers, D. To bind or not to bind: How AUXIN RESPONSE FACTORs select their target genes. J. Exp. Bot. 2023, 74, 6922–6932. [Google Scholar] [CrossRef]
- Guilfoyle, T.J. The PB1 domain in auxin response factor and Aux/IAA proteins: A versatile protein interaction module in the auxin response. Plant Cell 2015, 27, 33–43. [Google Scholar] [CrossRef]
- Fontana, M.; Roosjen, M.; Crespo García, I.; van den Berg, W.; Malfois, M.; Boer, R.; Weijers, D.; Hohlbein, J. Cooperative action of separate interaction domains promotes high-affinity DNA binding of Arabidopsis thaliana ARF transcription factors. Proc. Natl. Acad. Sci. USA 2023, 120, e2219916120. [Google Scholar] [CrossRef]
- Wang, H.; Jones, B.; Li, Z.; Frasse, P.; Delalande, C.; Regad, F.; Chaabouni, S.; Latché, A.; Pech, J.C.; Bouzayen, M. The tomato Aux/IAA transcription factor IAA9 is involved in fruit development and leaf morphogenesis. Plant Cell 2005, 17, 2676–2692. [Google Scholar] [CrossRef]
- Wang, D.; Pei, K.; Fu, Y.; Sun, Z.; Li, S.; Liu, H.; Tang, K.; Han, B.; Tao, Y. Genome-wide analysis of the auxin response factors (ARF) gene family in rice (Oryza sativa). Gene 2007, 394, 13–24. [Google Scholar] [CrossRef]
- Qiao, L.; Zhang, W.; Li, X.; Zhang, L.; Zhang, X.; Li, X.; Guo, H.; Ren, Y.; Zheng, J.; Chang, Z. Characterization and Expression Patterns of Auxin Response Factors in Wheat. Front. Plant Sci. 2018, 9, 1395. [Google Scholar] [CrossRef] [PubMed]
- Wang, S.; Bai, Y.; Shen, C.; Wu, Y.; Zhang, S.; Jiang, D.; Guilfoyle, T.J.; Chen, M.; Qi, Y. Auxin-related gene families in abiotic stress response in Sorghum bicolor. Funct. Integr. Genom. 2010, 10, 533–546. [Google Scholar] [CrossRef]
- Wang, Y.; Deng, D.; Shi, Y.; Miao, N.; Bian, Y.; Yin, Z. Diversification, phylogeny and evolution of auxin response factor (ARF) family: Insights gained from analyzing maize ARF genes. Mol. Biol. Rep. 2012, 39, 2401–2415. [Google Scholar] [CrossRef]
- Freire-Rios, A.; Tanaka, K.; Crespo, I.; van der Wijk, E.; Sizentsova, Y.; Levitsky, V.; Lindhoud, S.; Fontana, M.; Hohlbein, J.; Boer, D.R.; et al. Architecture of DNA elements mediating ARF transcription factor binding and auxin-responsive gene expression in Arabidopsis. Proc. Natl. Acad. Sci. USA 2020, 117, 24557–24566. [Google Scholar] [CrossRef]
- Rademacher, E.H.; Möller, B.; Lokerse, A.S.; Llavata-Peris, C.I.; van den Berg, W.; Weijers, D. A cellular expression map of the Arabidopsis AUXIN RESPONSE FACTOR gene family. Plant J. Cell Mol. Biol. 2011, 68, 597–606. [Google Scholar] [CrossRef]
- Bargmann, B.O.; Estelle, M. Auxin perception: In the IAA of the beholder. Physiol. Plant. 2014, 151, 52–61. [Google Scholar] [CrossRef] [PubMed]
- Ding, T.; Zhang, F.; Wang, J.; Wang, F.; Liu, J.; Xie, C.; Hu, Y.; Shani, E.; Kong, X.; Ding, Z.; et al. Cell-type action specificity of auxin on Arabidopsis root growth. Plant J. Cell Mol. Biol. 2021, 106, 928–941. [Google Scholar] [CrossRef] [PubMed]
- Simonini, S.; Mas, P.J.; Mas, C.; Østergaard, L.; Hart, D.J. Auxin sensing is a property of an unstructured domain in the Auxin Response Factor ETTIN of Arabidopsis thaliana. Sci. Rep. 2018, 8, 13563. [Google Scholar] [CrossRef] [PubMed]
- Song, H.; Ji, X.; Wang, M.; Li, J.; Wang, X.; Meng, L.; Wei, P.; Xu, H.; Niu, T.; Liu, A. Genome-wide identification and expression analysis of the Dof gene family reveals their involvement in hormone response and abiotic stresses in sunflower (Helianthus annuus L.). Gene 2024, 910, 148336. [Google Scholar] [CrossRef]
- Marzi, D.; Brunetti, P.; Saini, S.S.; Yadav, G.; Puglia, G.D.; Dello Ioio, R. Role of transcriptional regulation in auxin-mediated response to abiotic stresses. Front. Genet. 2024, 15, 1394091. [Google Scholar] [CrossRef] [PubMed]
- Tian, Q.; Reed, J.W. Control of auxin-regulated root development by the Arabidopsis thaliana SHY2/IAA3 gene. Development 1999, 126, 711–721. [Google Scholar] [CrossRef] [PubMed]
- Rogg, L.E.; Lasswell, J.; Bartel, B. A gain-of-function mutation in IAA28 suppresses lateral root development. Plant Cell 2001, 13, 465–480. [Google Scholar] [CrossRef] [PubMed]
- Uehara, T.; Okushima, Y.; Mimura, T.; Tasaka, M.; Fukaki, H. Domain II mutations in CRANE/IAA18 suppress lateral root formation and affect shoot development in Arabidopsis thaliana. Plant Cell Physiol. 2008, 49, 1025–1038. [Google Scholar] [CrossRef] [PubMed]
- Liu, M.; Chen, Y.; Chen, Y.; Shin, J.H.; Mila, I.; Audran, C.; Zouine, M.; Pirrello, J.; Bouzayen, M. The tomato Ethylene Response Factor Sl-ERF.B3 integrates ethylene and auxin signaling via direct regulation of Sl-Aux/IAA27. New Phytol. 2018, 219, 631–640. [Google Scholar] [CrossRef] [PubMed]
- Ebstrup, E.; Ansbøl, J.; Paez-Garcia, A.; Culp, H.; Chevalier, J.; Clemmens, P.; Coll, N.S.; Moreno-Risueno, M.A.; Rodriguez, E. NBR1-mediated selective autophagy of ARF7 modulates root branching. EMBO Rep. 2024, 25, 2571–2591. [Google Scholar] [CrossRef] [PubMed]
- Kirolinko, C.; Hobecker, K.; Cueva, M.; Botto, F.; Christ, A.; Niebel, A.; Ariel, F.; Blanco, F.A.; Crespi, M.; Zanetti, M.E. A lateral organ boundaries domain transcription factor acts downstream of the auxin response factor 2 to control nodulation and root architecture in Medicago truncatula. New Phytol. 2024, 242, 2746–2762. [Google Scholar] [CrossRef] [PubMed]
- Jung, H.; Lee, D.K.; Choi, Y.D.; Kim, J.K. OsIAA6, a member of the rice Aux/IAA gene family, is involved in drought tolerance and tiller outgrowth. Plant Sci. Int. J. Exp. Plant Biol. 2015, 236, 304–312. [Google Scholar] [CrossRef]
- He, F.; Gui, L.; Zhang, Y.; Zhu, B.; Zhang, X.; Shen, M.; Wan, F.; Yang, L.; Xiao, J. Validation of reference genes for gene expression analysis in fruit development of Vaccinium bracteatum Thunb. using quantitative real-time PCR. Sci. Rep. 2022, 12, 16946. [Google Scholar] [CrossRef] [PubMed]
- Wang, Y.Y.; Pan, Y.B.; Wan, Z.Y.; Li, J.J.; Bao, J.; Zhang, J.S.; Zhang, H. Anti-inflammatory Polyketides from an Endophytic Fungus Chaetomium sp. UJN-EF006 of Vaccinium bracteatum. Chem. Biodivers. 2024, 21, e202400002. [Google Scholar] [CrossRef] [PubMed]
- Oh, D.R.; Choi, C.; Kim, M.J.; Mun, B.Y.; Ko, H.; Oh, K.N.; Jo, A.; Kim, J.Y.; Bae, D. Antidepressant effects of p-coumaric acid isolated from Vaccinium bracteatum leaves extract on chronic restraint stress mouse model and antagonism of serotonin 6 receptor in vitro. Phytomedicine Int. J. Phytother. Phytopharm. 2023, 116, 154871. [Google Scholar] [CrossRef]
- Verma, S.; Negi, N.P.; Pareek, S.; Mudgal, G.; Kumar, D. Auxin response factors in plant adaptation to drought and salinity stress. Physiol. Plant. 2022, 174, e13714. [Google Scholar] [CrossRef] [PubMed]
- Chao, M.; Dong, J.; Hu, G.; Li, Y.; Huang, L.; Zhang, J.; Tang, J.; Wang, Q. Phylogeny, gene structures, and expression patterns of the auxin response factor (GhARF2) in upland cotton (Gossypium hirsutum L.). Mol. Biol. Rep. 2023, 50, 1089–1099. [Google Scholar] [CrossRef] [PubMed]
- Wang, H.; Huang, H.; Shang, Y.; Song, M.; Ma, H. Identification and characterization of auxin response factor (ARF) family members involved in fig (Ficus carica L.) fruit development. PeerJ 2022, 10, e13798. [Google Scholar] [CrossRef] [PubMed]
- Li, W.; Chen, F.; Wang, Y.; Zheng, H.; Yi, Q.; Ren, Y.; Gao, J. Genome-wide identification and functional analysis of ARF transcription factors in Brassica juncea var. tumida. PLoS ONE 2020, 15, e0232039. [Google Scholar] [CrossRef] [PubMed]
- Xu, L.; Wang, D.; Liu, S.; Fang, Z.; Su, S.; Guo, C.; Zhao, C.; Tang, Y. Comprehensive Atlas of Wheat (Triticum aestivum L.) AUXIN RESPONSE FACTOR Expression during Male Reproductive Development and Abiotic Stress. Front. Plant Sci. 2020, 11, 586144. [Google Scholar] [CrossRef] [PubMed]
- Nan, Q.; Qian, D.; Niu, Y.; He, Y.; Tong, S.; Niu, Z.; Ma, J.; Yang, Y.; An, L.; Wan, D.; et al. Plant Actin-Depolymerizing Factors Possess Opposing Biochemical Properties Arising from Key Amino Acid Changes throughout Evolution. Plant Cell 2017, 29, 395–408. [Google Scholar] [CrossRef]
- Gomes, G.L.B.; Scortecci, K.C. Auxin and its role in plant development: Structure, signalling, regulation and response mechanisms. Plant Biol. 2021, 23, 894–904. [Google Scholar] [CrossRef]
- Tiwari, S.B.; Wang, X.J.; Hagen, G.; Guilfoyle, T.J. AUX/IAA proteins are active repressors, and their stability and activity are modulated by auxin. Plant Cell 2001, 13, 2809–2822. [Google Scholar] [CrossRef]
- Kim, J.; Harter, K.; Theologis, A. Protein-protein interactions among the Aux/IAA proteins. Proc. Natl. Acad. Sci. USA 1997, 94, 11786–11791. [Google Scholar] [CrossRef] [PubMed]
- Xie, Q.; Frugis, G.; Colgan, D.; Chua, N.H. Arabidopsis NAC1 transduces auxin signal downstream of TIR1 to promote lateral root development. Genes. Dev. 2000, 14, 3024–3036. [Google Scholar] [CrossRef]
- Casanova-Sáez, R.; Mateo-Bonmatí, E.; Ljung, K. Auxin Metabolism in Plants. Cold Spring Harb. Perspect. Biol. 2021, 13, a039867. [Google Scholar] [CrossRef] [PubMed]
- Roosjen, M.; Paque, S.; Weijers, D. Auxin Response Factors: Output control in auxin biology. J. Exp. Bot. 2018, 69, 179–188. [Google Scholar] [CrossRef] [PubMed]
- Zhang, Y.; Wu, W.; Shen, H.; Yang, L. Genome-wide identification and expression analysis of ARF gene family in embryonic development of Korean pine (Pinus koraiensis). BMC Plant Biol. 2024, 24, 267. [Google Scholar] [CrossRef] [PubMed]
- Hu, W.; Zuo, J.; Hou, X.; Yan, Y.; Wei, Y.; Liu, J.; Li, M.; Xu, B.; Jin, Z. The auxin response factor gene family in banana: Genome-wide identification and expression analyses during development, ripening, and abiotic stress. Front. Plant Sci. 2015, 6, 742. [Google Scholar] [CrossRef] [PubMed]
- Finet, C.; Berne-Dedieu, A.; Scutt, C.P.; Marlétaz, F. Evolution of the ARF gene family in land plants: Old domains, new tricks. Mol. Biol. Evol. 2013, 30, 45–56. [Google Scholar] [CrossRef] [PubMed]
- Tinoco-Tafolla, H.A.; López-Hernández, J.; Ortiz-Castro, R.; López-Bucio, J.; Reyes de la Cruz, H.; Campos-García, J.; López-Bucio, J.S. Sucrose supplements modulate the Pseudomonas chlororaphis-Arabidopsis thaliana interaction via decreasing the production of phenazines and enhancing the root auxin response. J. Plant Physiol. 2024, 297, 154259. [Google Scholar] [CrossRef] [PubMed]
- Wang, W.X.; Yang, C.; Xiong, W.; Chen, C.Y.; Li, N. Transcriptome-wide identification of ARF gene family in medicinal plant Polygonatum kingianum and expression analysis of PkARF members in different tissues. Mol. Biol. Rep. 2024, 51, 648. [Google Scholar] [CrossRef] [PubMed]
- Niu, J.; Bi, Q.; Deng, S.; Chen, H.; Yu, H.; Wang, L.; Lin, S. Identification of AUXIN RESPONSE FACTOR gene family from Prunus sibirica and its expression analysis during mesocarp and kernel development. BMC Plant Biol. 2018, 18, 21. [Google Scholar] [CrossRef] [PubMed]
- Wen, J.; Guo, P.; Ke, Y.; Liu, M.; Li, P.; Wu, Y.; Ran, F.; Wang, M.; Li, J.; Du, H. The auxin response factor gene family in allopolyploid Brassica napus. PLoS ONE 2019, 14, e0214885. [Google Scholar] [CrossRef] [PubMed]
- Zhang, Y.; Zeng, Z.; Chen, C.; Li, C.; Xia, R.; Li, J. Genome-wide characterization of the auxin response factor (ARF) gene family of litchi (Litchi chinensis Sonn.): Phylogenetic analysis, miRNA regulation and expression changes during fruit abscission. PeerJ 2019, 7, e6677. [Google Scholar] [CrossRef] [PubMed]
- Gan, Z.; Feng, Y.; Wu, T.; Wang, Y.; Xu, X.; Zhang, X.; Han, Z. Downregulation of the auxin transporter gene SlPIN8 results in pollen abortion in tomato. Plant Mol. Biol. 2019, 99, 561–573. [Google Scholar] [CrossRef]
- Vain, T.; Raggi, S.; Ferro, N.; Barange, D.K.; Kieffer, M.; Ma, Q.; Doyle, S.M.; Thelander, M.; Pařízková, B.; Novák, O.; et al. Selective auxin agonists induce specific AUX/IAA protein degradation to modulate plant development. Proc. Natl. Acad. Sci. USA 2019, 116, 6463–6472. [Google Scholar] [CrossRef]
- Vidal, E.A.; Moyano, T.C.; Riveras, E.; Contreras-López, O.; Gutiérrez, R.A. Systems approaches map regulatory networks downstream of the auxin receptor AFB3 in the nitrate response of Arabidopsis thaliana roots. Proc. Natl. Acad. Sci. USA 2013, 110, 12840–12845. [Google Scholar] [CrossRef] [PubMed]
- Cai, Z.; Wang, Y.; Zhu, L.; Tian, Y.; Chen, L.; Sun, Z.; Ullah, I.; Li, X. GmTIR1/GmAFB3-based auxin perception regulated by miR393 modulates soybean nodulation. New Phytol. 2017, 215, 672–686. [Google Scholar] [CrossRef] [PubMed]
- Vojta, P.; Kokáš, F.; Husičková, A.; Grúz, J.; Bergougnoux, V.; Marchetti, C.F.; Jiskrová, E.; Ježilová, E.; Mik, V.; Ikeda, Y.; et al. Whole transcriptome analysis of transgenic barley with altered cytokinin homeostasis and increased tolerance to drought stress. New Biotechnol. 2016, 33 Pt B, 676–691. [Google Scholar] [CrossRef]
- Yang, Z.B.; Geng, X.; He, C.; Zhang, F.; Wang, R.; Horst, W.J.; Ding, Z. TAA1-regulated local auxin biosynthesis in the root-apex transition zone mediates the aluminum-induced inhibition of root growth in Arabidopsis. Plant Cell 2014, 26, 2889–2904. [Google Scholar] [CrossRef] [PubMed]
- Ha, C.V.; Le, D.T.; Nishiyama, R.; Watanabe, Y.; Sulieman, S.; Tran, U.T.; Mochida, K.; Dong, N.V.; Yamaguchi-Shinozaki, K.; Shinozaki, K.; et al. The auxin response factor transcription factor family in soybean: Genome-wide identification and expression analyses during development and water stress. DNA Res. Int. J. Rapid Publ. Rep. Genes. Genomes 2013, 20, 511–524. [Google Scholar]
- Boer, D.R.; Freire-Rios, A.; van den Berg, W.A.; Saaki, T.; Manfield, I.W.; Kepinski, S.; López-Vidrieo, I.; Franco-Zorrilla, J.M.; de Vries, S.C.; Solano, R.; et al. Structural basis for DNA binding specificity by the auxin-dependent ARF transcription factors. Cell 2014, 156, 577–589. [Google Scholar] [CrossRef] [PubMed]
- Fan, J.; Deng, M.; Li, B.; Fan, G. Genome-Wide Identification of the Paulownia fortunei Aux/IAA Gene Family and Its Response to Witches’ Broom Caused by Phytoplasma. Int. J. Mol. Sci. 2024, 25, 2260. [Google Scholar] [CrossRef] [PubMed]
- Planchais, S.; Perennes, C.; Glab, N.; Mironov, V.; Inzé, D.; Bergounioux, C. Characterization of cis-acting element involved in cell cycle phase-independent activation of Arath;CycB1;1 transcription and identification of putative regulatory proteins. Plant Mol. Biol. 2002, 50, 111–127. [Google Scholar] [CrossRef]
- Shen, C.; Wang, S.; Bai, Y.; Wu, Y.; Zhang, S.; Chen, M.; Guilfoyle, T.J.; Wu, P.; Qi, Y. Functional analysis of the structural domain of ARF proteins in rice (Oryza sativa L.). J. Exp. Bot. 2010, 61, 3971–3981. [Google Scholar] [CrossRef] [PubMed]
- Maraschin Fdos, S.; Memelink, J.; Offringa, R. Auxin-induced, SCF(TIR1)-mediated poly-ubiquitination marks AUX/IAA proteins for degradation. Plant J. Cell Mol. Biol. 2009, 59, 100–109. [Google Scholar] [CrossRef]
- Wang, J.L.; Wang, M.; Zhang, L.; Li, Y.X.; Li, J.J.; Li, Y.Y.; Pu, Z.X.; Li, D.Y.; Liu, X.N.; Guo, W.; et al. WAV E3 ubiquitin ligases mediate degradation of IAA32/34 in the TMK1-mediated auxin signaling pathway during apical hook development. Proc. Natl. Acad. Sci. USA 2024, 121, e2314353121. [Google Scholar] [CrossRef] [PubMed]









Disclaimer/Publisher’s Note: The statements, opinions and data contained in all publications are solely those of the individual author(s) and contributor(s) and not of MDPI and/or the editor(s). MDPI and/or the editor(s) disclaim responsibility for any injury to people or property resulting from any ideas, methods, instructions or products referred to in the content. |
© 2024 by the authors. Licensee MDPI, Basel, Switzerland. This article is an open access article distributed under the terms and conditions of the Creative Commons Attribution (CC BY) license (https://creativecommons.org/licenses/by/4.0/).
Share and Cite
Gao, X.; Liu, X.; Zhang, H.; Cheng, L.; Wang, X.; Zhen, C.; Du, H.; Chen, Y.; Yu, H.; Zhu, B.; et al. Genome-Wide Identification, Expression, and Interaction Analysis of the Auxin Response Factor and AUX/IAA Gene Families in Vaccinium bracteatum. Int. J. Mol. Sci. 2024, 25, 8385. https://doi.org/10.3390/ijms25158385
Gao X, Liu X, Zhang H, Cheng L, Wang X, Zhen C, Du H, Chen Y, Yu H, Zhu B, et al. Genome-Wide Identification, Expression, and Interaction Analysis of the Auxin Response Factor and AUX/IAA Gene Families in Vaccinium bracteatum. International Journal of Molecular Sciences. 2024; 25(15):8385. https://doi.org/10.3390/ijms25158385
Chicago/Turabian StyleGao, Xuan, Xiaohui Liu, Hong Zhang, Li Cheng, Xingliang Wang, Cheng Zhen, Haijing Du, Yufei Chen, Hongmei Yu, Bo Zhu, and et al. 2024. "Genome-Wide Identification, Expression, and Interaction Analysis of the Auxin Response Factor and AUX/IAA Gene Families in Vaccinium bracteatum" International Journal of Molecular Sciences 25, no. 15: 8385. https://doi.org/10.3390/ijms25158385
APA StyleGao, X., Liu, X., Zhang, H., Cheng, L., Wang, X., Zhen, C., Du, H., Chen, Y., Yu, H., Zhu, B., & Xiao, J. (2024). Genome-Wide Identification, Expression, and Interaction Analysis of the Auxin Response Factor and AUX/IAA Gene Families in Vaccinium bracteatum. International Journal of Molecular Sciences, 25(15), 8385. https://doi.org/10.3390/ijms25158385

