Role of ATG4 Autophagy-Related Protein Family in the Lower Airways of Patients with Stable COPD
Abstract
1. Introduction
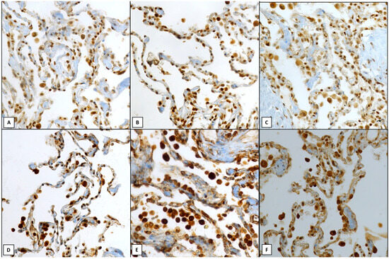
2. Results
3. Discussion
4. Materials and Methods
4.1. Subjects
4.2. Lung Function Tests and Volumes
4.3. Collection and Processing of the Peripheral Lung Tissue
4.4. Immunohistochemistry in Human Peripheral Lung Tissue
4.5. Statistical Analysis
5. Conclusions
Supplementary Materials
Author Contributions
Funding
Institutional Review Board Statement
Informed Consent Statement
Data Availability Statement
Conflicts of Interest
References
- Ieni, A.; Pizzimenti, C.; Giuffre, G.; Caruso, R.A.; Tuccari, G. Autophagy-related Prognostic Signature in HER2 Positive Gastric Carcinomas. Curr. Mol. Med. 2022, 22, 809–818. [Google Scholar] [CrossRef]
- Pizzimenti, C.; Fiorentino, V.; Franchina, M.; Martini, M.; Giuffre, G.; Lentini, M.; Silvestris, N.; Di Pietro, M.; Fadda, G.; Tuccari, G.; et al. Autophagic-Related Proteins in Brain Gliomas: Role, Mechanisms, and Targeting Agents. Cancers 2023, 15, 2622. [Google Scholar] [CrossRef] [PubMed]
- Birgisdottir, A.B.; Johansen, T. Autophagy and endocytosis—Interconnections and interdependencies. J. Cell Sci. 2020, 133, jcs228114. [Google Scholar] [CrossRef]
- Mizushima, N.; Komatsu, M. Autophagy: Renovation of cells and tissues. Cell 2011, 147, 728–741. [Google Scholar] [CrossRef] [PubMed]
- Bejarano, E.; Cuervo, A.M. Chaperone-mediated autophagy. Proc. Am. Thorac. Soc. 2010, 7, 29–39. [Google Scholar] [CrossRef]
- Trivedi, P.C.; Bartlett, J.J.; Pulinilkunnil, T. Lysosomal Biology and Function: Modern View of Cellular Debris Bin. Cells 2020, 9, 1131. [Google Scholar] [CrossRef] [PubMed]
- Klionsky, D.J. This is a public service announcement-BioRender has issued a recall of their autophagy template. Autophagy 2023, 19, 3031–3032. [Google Scholar] [CrossRef] [PubMed]
- Nakatogawa, H. Mechanisms governing autophagosome biogenesis. Nat. Rev. Mol. Cell Biol. 2020, 21, 439–458. [Google Scholar] [CrossRef] [PubMed]
- Perez-Perez, M.E.; Lemaire, S.D.; Crespo, J.L. The ATG4 protease integrates redox and stress signals to regulate autophagy. J. Exp. Bot. 2021, 72, 3340–3351. [Google Scholar] [CrossRef]
- Kauffman, K.J.; Yu, S.; Jin, J.; Mugo, B.; Nguyen, N.; O’Brien, A.; Nag, S.; Lystad, A.H.; Melia, T.J. Delipidation of mammalian Atg8-family proteins by each of the four ATG4 proteases. Autophagy 2018, 14, 992–1010. [Google Scholar] [CrossRef]
- Zhou, Y.; Wang, Z.; Huang, Y.; Bai, C.; Zhang, X.; Fang, M.; Ju, Z.; Liu, B. Membrane dynamics of ATG4B and LC3 in autophagosome formation. J. Mol. Cell Biol. 2022, 13, 853–863. [Google Scholar] [CrossRef]
- Racanelli, A.C.; Choi, A.M.K.; Choi, M.E. Autophagy in chronic lung disease. Prog. Mol. Biol. Transl. Sci. 2020, 172, 135–156. [Google Scholar] [CrossRef]
- Liao, S.X.; Sun, P.P.; Gu, Y.H.; Rao, X.M.; Zhang, L.Y.; Ou-Yang, Y. Autophagy and pulmonary disease. Ther. Adv. Respir. Dis. 2019, 13, 1753466619890538. [Google Scholar] [CrossRef]
- Sun, S.; Shen, Y.; Wang, J.; Li, J.; Cao, J.; Zhang, J. Identification and Validation of Autophagy-Related Genes in Chronic Obstructive Pulmonary Disease. Int. J. Chron. Obstruct. Pulmon. Dis. 2021, 16, 67–78. [Google Scholar] [CrossRef]
- Barnes, P.J.; Baker, J.; Donnelly, L.E. Autophagy in asthma and chronic obstructive pulmonary disease. Clin. Sci. 2022, 136, 733–746. [Google Scholar] [CrossRef]
- Zhang, Y.; Zhang, J.; Fu, Z. Role of autophagy in lung diseases and ageing. Eur. Respir. Rev. 2022, 31, 220134. [Google Scholar] [CrossRef]
- Levra, S.; Rosani, U.; Gnemmi, I.; Brun, P.; Leonardi, A.; Carriero, V.; Bertolini, F.; Balbi, B.; Profita, M.; Ricciardolo, F.L.M.; et al. Impaired autophagy in the lower airways and lung parenchyma in stable COPD. ERJ Open Res. 2023, 9, 00423–02023. [Google Scholar] [CrossRef]
- Xia, F.; Liu, P.; Li, M. The regulatory factors and pathological roles of autophagy-related protein 4 in diverse diseases: Recent research advances. Med. Res. Rev. 2021, 41, 1644–1675. [Google Scholar] [CrossRef]
- Choi, A.M.; Ryter, S.W.; Levine, B. Autophagy in human health and disease. N. Engl. J. Med. 2013, 368, 1845–1846. [Google Scholar] [CrossRef]
- Vij, N.; Chandramani-Shivalingappa, P.; Van Westphal, C.; Hole, R.; Bodas, M. Cigarette smoke-induced autophagy impairment accelerates lung aging, COPD-emphysema exacerbations and pathogenesis. Am. J. Physiol. Cell Physiol. 2018, 314, C73–C87. [Google Scholar] [CrossRef]
- Pehote, G.; Bodas, M.; Brucia, K.; Vij, N. Cigarette Smoke Exposure Inhibits Bacterial Killing via TFEB-Mediated Autophagy Impairment and Resulting Phagocytosis Defect. Mediat. Inflamm. 2017, 2017, 3028082. [Google Scholar] [CrossRef]
- Kanayama, M.; He, Y.W.; Shinohara, M.L. The lung is protected from spontaneous inflammation by autophagy in myeloid cells. J. Immunol. 2015, 194, 5465–5471. [Google Scholar] [CrossRef]
- Eapen, M.S.; Hansbro, P.M.; Larsson-Callerfelt, A.K.; Jolly, M.K.; Myers, S.; Sharma, P.; Jones, B.; Rahman, M.A.; Markos, J.; Chia, C.; et al. Chronic Obstructive Pulmonary Disease and Lung Cancer: Underlying Pathophysiology and New Therapeutic Modalities. Drugs 2018, 78, 1717–1740. [Google Scholar] [CrossRef]
- He, J.; Dong, L.; Luo, L.; Wang, K. Redox Regulation of Autophagy in Cancer: Mechanism, Prevention and Therapy. Life 2022, 13, 98. [Google Scholar] [CrossRef]
- Maruyama, T.; Noda, N.N. Autophagy-regulating protease Atg4: Structure, function, regulation and inhibition. J. Antibiot. 2017, 71, 72–78. [Google Scholar] [CrossRef]
- Vestbo, J.; Hurd, S.S.; Agusti, A.G.; Jones, P.W.; Vogelmeier, C.; Anzueto, A.; Barnes, P.J.; Fabbri, L.M.; Martinez, F.J.; Nishimura, M.; et al. Global strategy for the diagnosis, management, and prevention of chronic obstructive pulmonary disease: GOLD executive summary. Am. J. Respir. Crit. Care Med. 2013, 187, 347–365. [Google Scholar] [CrossRef]
- Di Stefano, A.; Caramori, G.; Barczyk, A.; Vicari, C.; Brun, P.; Zanini, A.; Cappello, F.; Garofano, E.; Padovani, A.; Contoli, M.; et al. Innate immunity but not NLRP3 inflammasome activation correlates with severity of stable COPD. Thorax 2014, 69, 516–524. [Google Scholar] [CrossRef]
- Marwick, J.A.; Chung, K.F. Glucocorticoid insensitivity as a future target of therapy for chronic obstructive pulmonary disease. Int. J. Chron. Obstruct. Pulmon. Dis. 2010, 5, 297–309. [Google Scholar] [CrossRef]
- Taraseviciene-Stewart, L.; Voelkel, N.F. Oxidative stress-induced antibodies to carbonyl-modified protein correlate with severity of chronic obstructive pulmonary disease. Am. J. Respir. Crit. Care Med. 2012, 185, 1026. [Google Scholar] [CrossRef]
- Ieni, A.; Cardia, R.; Giuffre, G.; Rigoli, L.; Caruso, R.A.; Tuccari, G. Immunohistochemical Expression of Autophagy-Related Proteins in Advanced Tubular Gastric Adenocarcinomas and Its Implications. Cancers 2019, 11, 389. [Google Scholar] [CrossRef]
- Masuda, G.O.; Yashiro, M.; Kitayama, K.; Miki, Y.; Kasashima, H.; Kinoshita, H.; Morisaki, T.; Fukuoka, T.; Hasegawa, T.; Sakurai, K.; et al. Clinicopathological Correlations of Autophagy-related Proteins LC3, Beclin 1 and p62 in Gastric Cancer. Anticancer Res. 2016, 36, 129–136. [Google Scholar] [PubMed]


| Localization | Control Non-Smokers with Normal Lung Function | Control Smokers with Normal Lung Function | COPD Patients | Mann–Whitney U Test CNS vs. CS (p Value) | Mann–Whitney U Test CS vs. COPD (p Value) | Mann–Whitney U Test CNS vs. COPD (p Value) | Kruskal–Wallis (p Value) |
|---|---|---|---|---|---|---|---|
| Bronchiolar epithelium (score 0–6) | |||||||
| ATG4A | 1.6 (0–4) | 0.90 (0–3) | 3.5 (2–6) #* | 0.4389 | 0.0006 | 0.038 | 0.0047 |
| ATG4D | 1 (0–3) | 1.6 (0–6) | 3.2 (1–6) #* | 0.5249 | 0.0337 | 0.008 | 0.018 |
| ATG5 | 1.2 (0–3) | 1.1 (0–4) | 3.1 (1–6) #* | 0.8493 | 0.010 | 0.026 | 0.019 |
| Alveolar septa (score 0–6) | |||||||
| ATG4A | 1.4 (0–3) | 1.7 (0–6) | 4.5 (2–6) #* | 0.9424 | 0.010 | 0.0007 | 0.0036 |
| ATG4B | 1.9 (0–4) | 1.1 (0–6) | 4 (3–6) #* | 0.1869 | 0.0061 | 0.0084 | 0.0064 |
| ATG4C | 1.1 (0–3) | 1 (0–4) | 3.5 (2–6) #* | >0.99 | 0.0032 | 0.016 | 0.0064 |
| ATG4D | 1.4 (0–3) | 1.7 (0–6) | 4 (2–6) #* | 0.9763 | 0.0086 | 0.0053 | 0.0084 |
| ATG5 | 1.4 (0–4) | 1.1 (0–4) | 3.7 (1–6) #* | 0.7610 | 0.0050 | 0.015 | 0.0088 |
| ATG7 | 2 (0–4) | 1.5 (0–6) | 4.2 (1–6) #* | 0.4750 | 0.0111 | 0.0327 | 0.018 |
| Group | N. | Age (Mean ± SD) | Male/Female | p-y | Ex/Current Smokers | Pre-BD-FEV1% | Post-BD-FEV1% | FEV1/FVC% |
|---|---|---|---|---|---|---|---|---|
| CNS | 8 | 75 ± 9 | 3/5 | 113 ± 18% | ND | 79 ± 5% | ||
| CS | 10 | 66 ± 8 | 5/5 | 30 ± 13 | 8/2 | 100 ± 5% | ND | 77 ± 8% |
| COPD | 10 | 71 ± 3 | 9/1 | 50 ± 26 | 8/2 | 74 ± 16% *# | 79 ± 16% * | 62 ± 6% *# |
| Primary Antibody | Manufacturer | Catalogue Number | Source/Host | Working Dilution | Positive Control |
|---|---|---|---|---|---|
| ATG2A | Atlas * | HPA038715 | Rabbit | 1:700 | Gastric cancer cells |
| ATG2B | Atlas * | HPA001427 | Rabbit | 1:50 | Gastric cancer cells |
| ATG3 | Atlas * | HPA040471 | Rabbit | 1:300 | Gastric cancer cells |
| ATG4A | Atlas * | HPA036374 | Rabbit | 1:300 | Gastric cancer cells |
| ATG4B | Invitrogen ** | PA5-30462 | Rabbit | 1:500 | Gastric cancer cells |
| ATG4C | Atlas * | HPA007049 | Rabbit | 1:50 | Gastric cancer cells |
| ATG4D | Atlas * | HPA067683 | Rabbit | 1:50 | Gastric cancer cells |
| ATG5 | Atlas * | HPA042973 | Rabbit | 1:100 | Gastric cancer cells |
| ATG7 | Atlas * | HPA007639 | Rabbit | 1:300 | Gastric cancer cells |
| ATG10 | Atlas * | HPA044163 | Rabbit | 1:100 | Gastric cancer cells |
| ATG12 | Invitrogen ** | PA5-32180 | Rabbit | 1:500 | Gastric cancer cells |
| ATG14 (Thr429) | Invitrogen ** | PA5-105670 | Rabbit | 1:200 | Gastric cancer cells |
| ATG14 | Invitrogen ** | PA5-78833 | Mouse | 1:500 | Gastric cancer cells |
| ATG16L | Atlas * | HPA063900 | Rabbit | 1.300 | Gastric cancer cells |
Disclaimer/Publisher’s Note: The statements, opinions and data contained in all publications are solely those of the individual author(s) and contributor(s) and not of MDPI and/or the editor(s). MDPI and/or the editor(s) disclaim responsibility for any injury to people or property resulting from any ideas, methods, instructions or products referred to in the content. |
© 2024 by the authors. Licensee MDPI, Basel, Switzerland. This article is an open access article distributed under the terms and conditions of the Creative Commons Attribution (CC BY) license (https://creativecommons.org/licenses/by/4.0/).
Share and Cite
Nucera, F.; Di Stefano, A.; Ricciardolo, F.L.M.; Gnemmi, I.; Pizzimenti, C.; Monaco, F.; Tuccari, G.; Caramori, G.; Ieni, A. Role of ATG4 Autophagy-Related Protein Family in the Lower Airways of Patients with Stable COPD. Int. J. Mol. Sci. 2024, 25, 8182. https://doi.org/10.3390/ijms25158182
Nucera F, Di Stefano A, Ricciardolo FLM, Gnemmi I, Pizzimenti C, Monaco F, Tuccari G, Caramori G, Ieni A. Role of ATG4 Autophagy-Related Protein Family in the Lower Airways of Patients with Stable COPD. International Journal of Molecular Sciences. 2024; 25(15):8182. https://doi.org/10.3390/ijms25158182
Chicago/Turabian StyleNucera, Francesco, Antonino Di Stefano, Fabio Luigi Massimo Ricciardolo, Isabella Gnemmi, Cristina Pizzimenti, Francesco Monaco, Giovanni Tuccari, Gaetano Caramori, and Antonio Ieni. 2024. "Role of ATG4 Autophagy-Related Protein Family in the Lower Airways of Patients with Stable COPD" International Journal of Molecular Sciences 25, no. 15: 8182. https://doi.org/10.3390/ijms25158182
APA StyleNucera, F., Di Stefano, A., Ricciardolo, F. L. M., Gnemmi, I., Pizzimenti, C., Monaco, F., Tuccari, G., Caramori, G., & Ieni, A. (2024). Role of ATG4 Autophagy-Related Protein Family in the Lower Airways of Patients with Stable COPD. International Journal of Molecular Sciences, 25(15), 8182. https://doi.org/10.3390/ijms25158182

