Multisystemic Beryllium Disease: An Exceptional Case Revealed by a Urinary Tract Granulomatosis
Abstract
1. Introduction
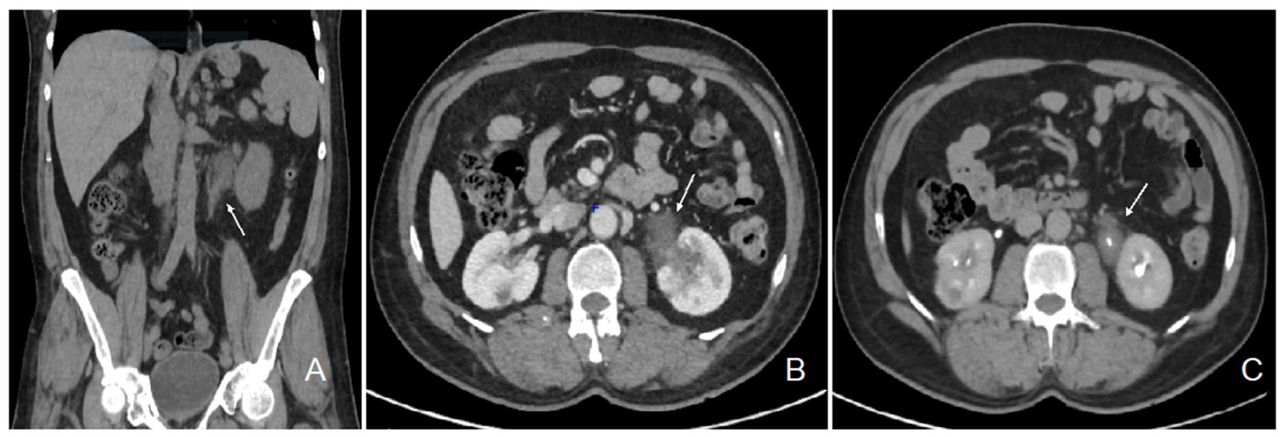
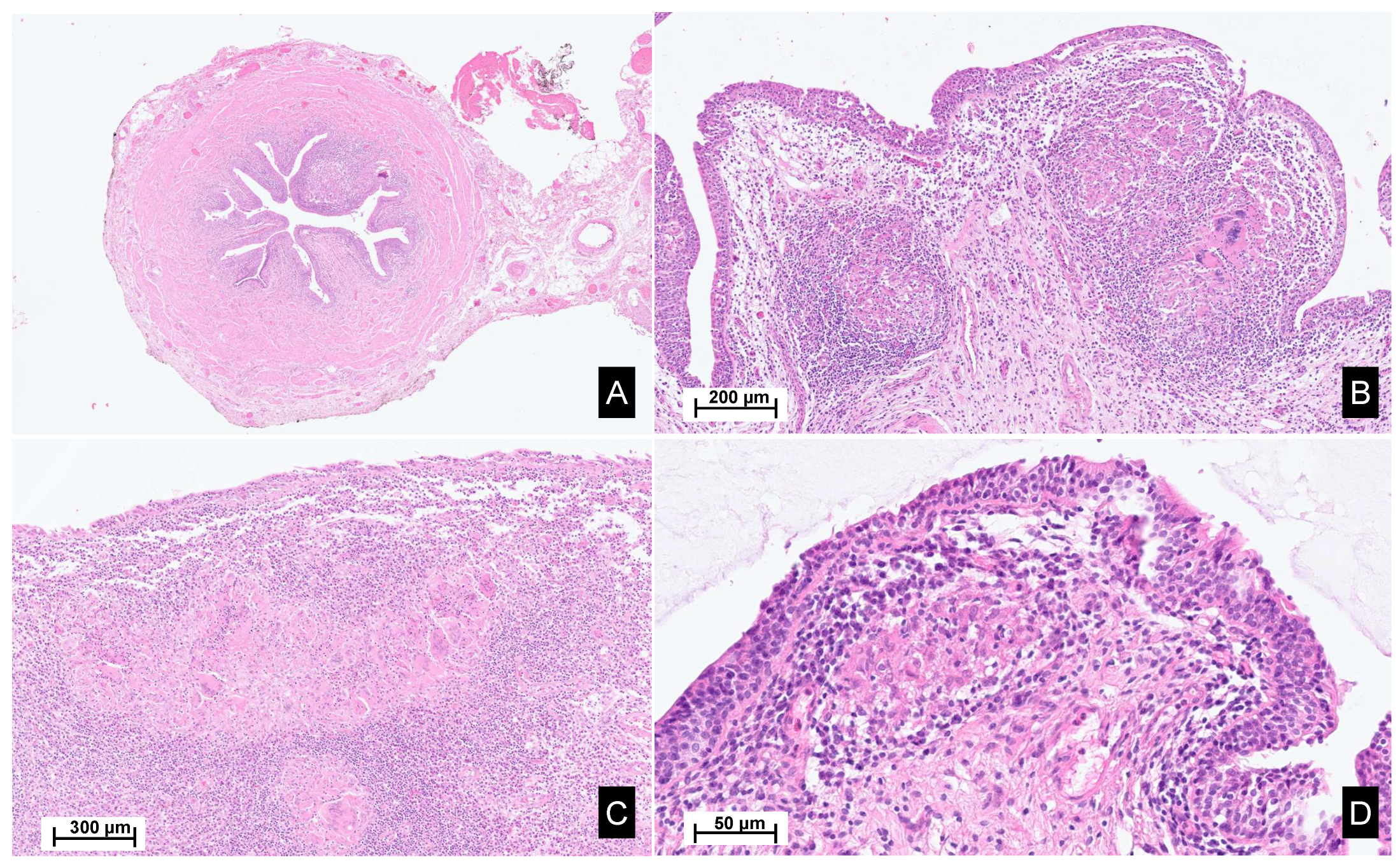
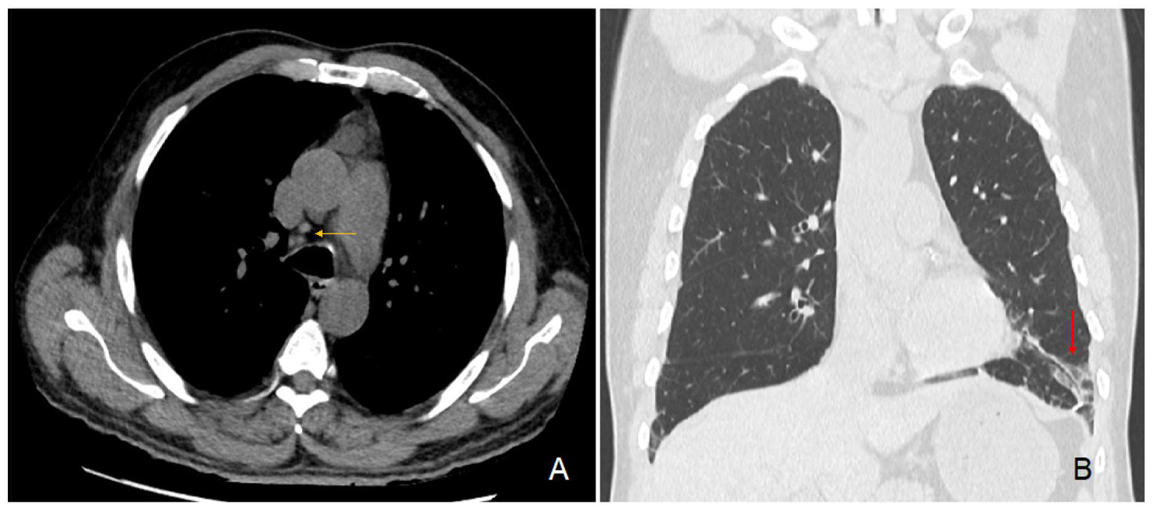
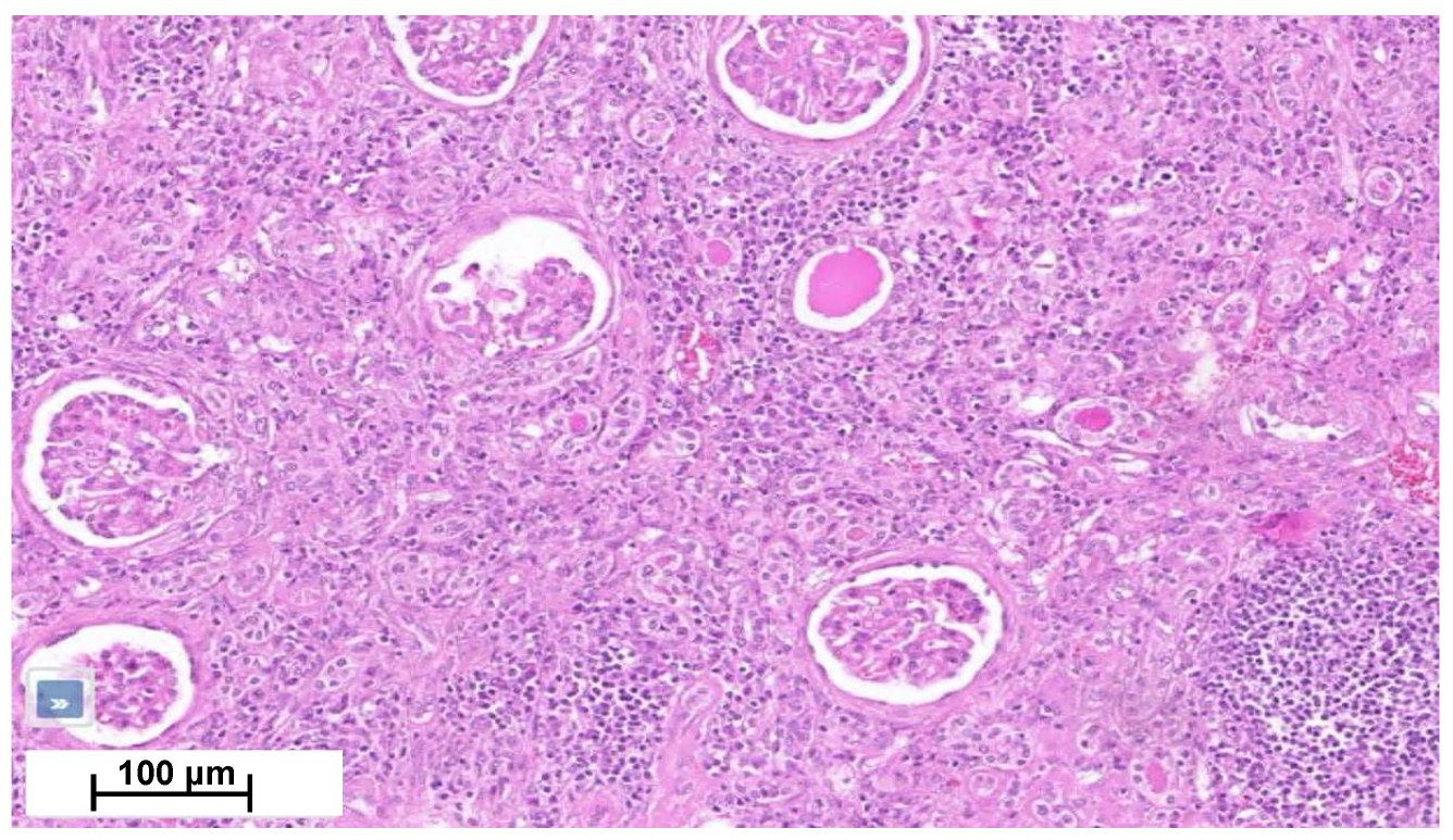
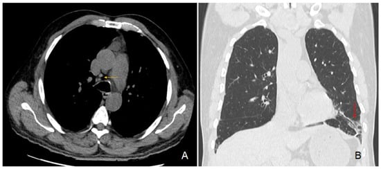
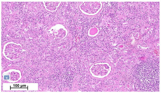
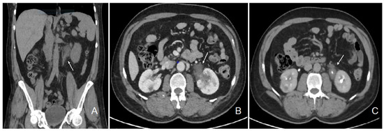
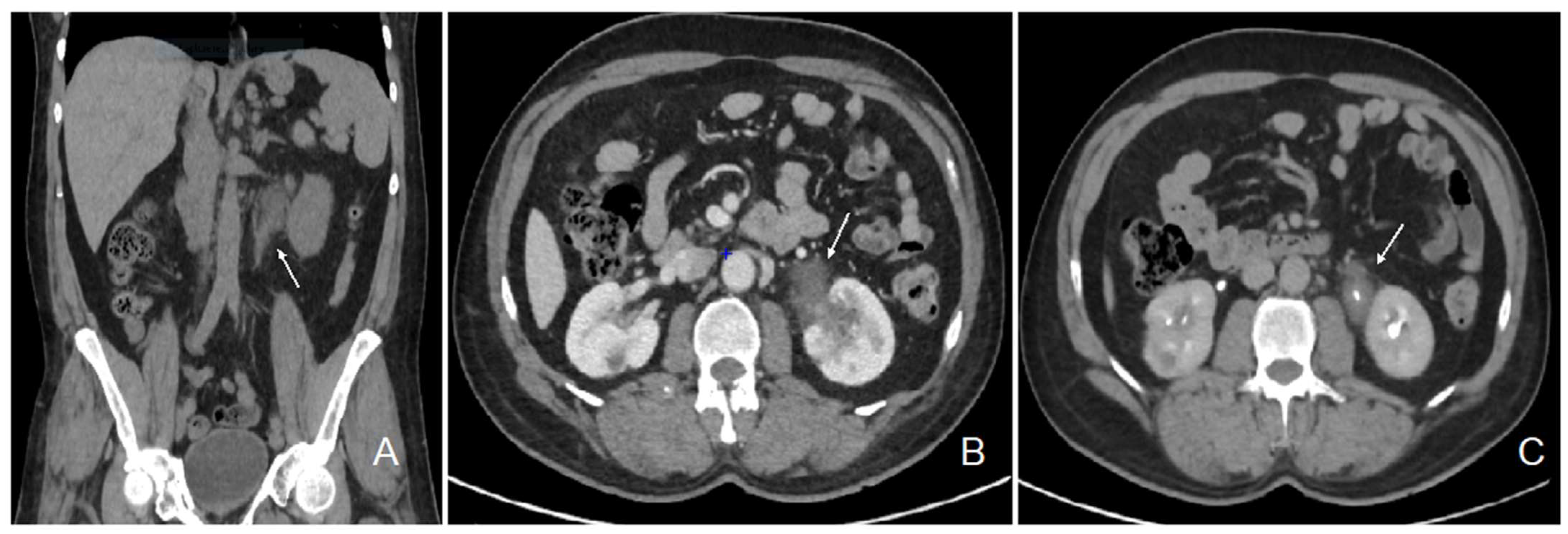
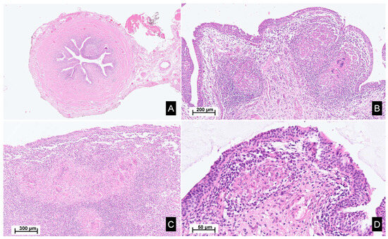
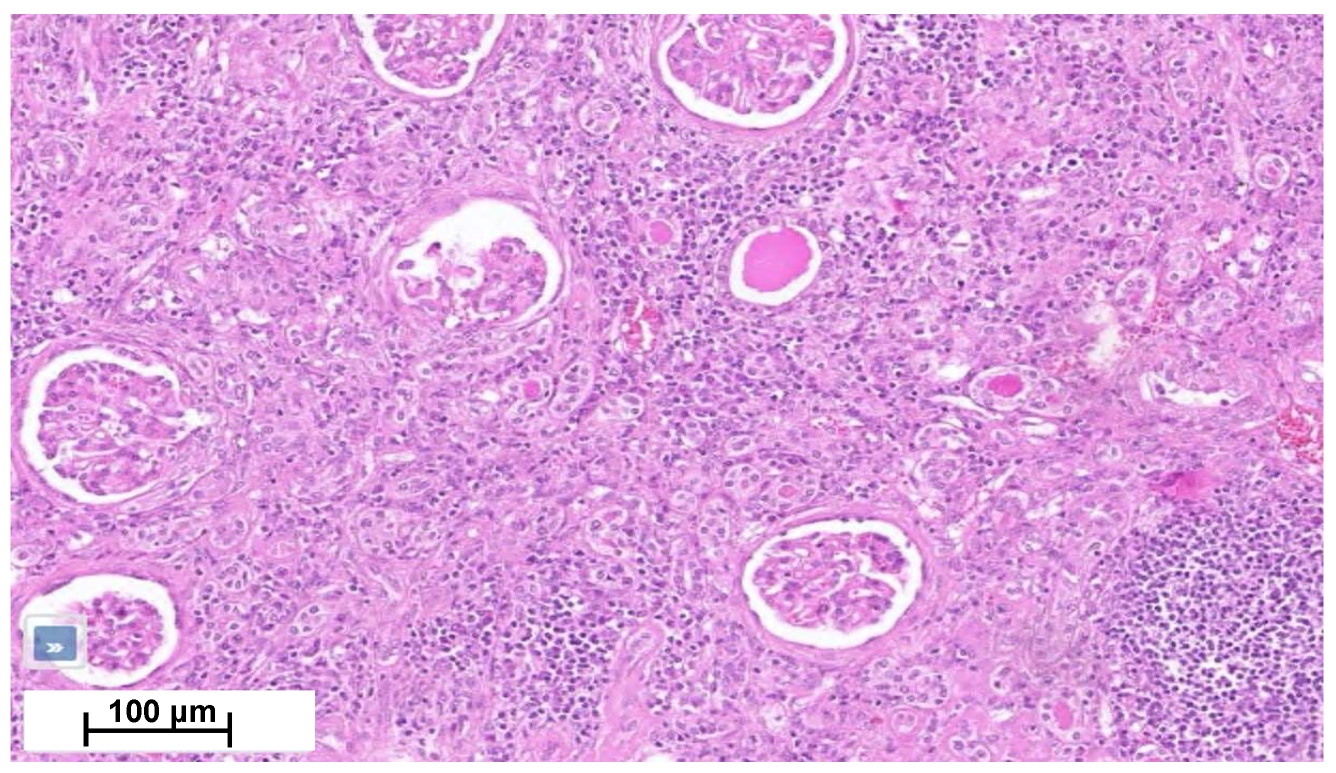
2. Case Presentation
3. Discussion
3.1. Granulomatosis
3.2. Exposure to Beryllium and Toxicokinetics
3.3. Pathogenesis
3.4. Sensitization and Development of Berylliosis
3.5. Clinical and Biological Features
| Chronic Beryllium Disease | Sarcoidosis | |
|---|---|---|
| Diagnosis | Exposition to beryllium. BeLPT (blood or bronchoalveolar lavage) | Exclusion diagnosis |
| Age and gender | Adults, young adults | Adults, young adults |
| Ethnicity | Not a risk factor | 4–8 times more common in individuals of African descent. |
| Genetic susceptibility | HLA-DPB1 alleles with glutamic acid at position 69 of the β-chain (-Glu69), or βGlu71 expressing HLA-DR allele | HLA-DRB1*03, HLA-DRB1*07, DRB1*14 and DRB1*15 |
| General symptoms | Commonly seen: Fever, night sweats, anorexia, unintentional weight loss, fatigue, arthralgia | 30%: Fever, unintentional weight loss, fatigue, abdominal pain |
| Biological markers | BeLPT ACE positive in 25% of CBD (low specificity and sensitivity) Hypercalcemia, hypercalciuria | ACE (low specificity and sensitivity) Hypercalcemia, hypercalciuria normal to elevated 1,25-dihydroxyvitamin D, and normal to low 25-hydroxyvitamin D |
| Lung involvement | Constant. Frequent symptoms: Cough, exertional dyspnea, chest pain | More than 95% |
| Lymphadenopathy | Present (prevalence unknown) | Hilar or mediastinal lymphadenopathies are present in 90 to 98% |
| Kidney involvement | Rarely described. Tubulointerstitial nephritis (rarely granulomatous), nephrocalcinosis and lithiasis | 2 to 10%: mainly nephrocalcinosis, renal stones. Granulomatous TIN in 20% (rarely alone) |
| Eye involvement | Not described in the literature | 20–30% at presentation (25–90% of sarcoidosis): Uveitis represents 30–70% 40% of Granulomatous uveitis 15–38% of anterior bilateral uveitis |
3.6. Diagnosis
3.7. Treatment and Outcome
3.8. Summary
4. Conclusions
Author Contributions
Funding
Data Availability Statement
Conflicts of Interest
References
- James, D. A clinicopathological classification of granulomatous disorders. Postgrad. Med. J. 2000, 76, 457–465. [Google Scholar] [CrossRef] [PubMed]
- Müller-Quernheim, J.; Gaede, K.I.; Fireman, E.; Zissel, G. Diagnoses of chronic beryllium disease within cohorts of sarcoidosis patients. Eur. Respir. J. 2006, 27, 1190–1195. [Google Scholar] [CrossRef] [PubMed]
- Balmes, J.R.; Abraham, J.L.; Dweik, R.A.; Fireman, E.; Fontenot, A.P.; Maier, L.A.; Muller-Quernheim, J.; Ostiguy, G.; Pepper, L.D.; Saltini, C.; et al. An official American Thoracic Society statement: Diagnosis and management of beryllium sensitivity and chronic beryllium disease. Am. J. Respir. Crit. Care Med. 2014, 190, e34–e59. [Google Scholar] [CrossRef] [PubMed]
- Rossman, M.D. Chronic beryllium disease: Diagnosis and management. Environ. Health Perspect. 1996, 104, 945–947. [Google Scholar] [PubMed]
- Shah, K.K.; Pritt, B.S.; Alexander, M.P. Histopathologic review of granulomatous inflammation. J. Clin. Tuberc. Other Mycobact. Dis. 2017, 7, 1–12. [Google Scholar] [CrossRef] [PubMed]
- James, D.G. Sarcoidosis and Other Granulomatous Disorders; M. Dekker: New York, NY, USA, 1994. [Google Scholar]
- Judson, M.A. Granulomatous Sarcoidosis Mimics. Front. Med. 2021, 8, 680989. [Google Scholar] [CrossRef] [PubMed]
- Occupational Safety and Health Administration (OSHA), Department of Labor. Occupational Exposure to Beryllium. Final rule. Fed. Regist. 2017, 82, 2470–2757. [Google Scholar]
- Wegner, R.; Heinrich-Ramm, R.; Nowak, D.; Olma, K.; Poschadel, B.; Szadkowski, D. Lung function, biological monitoring, and biological effect monitoring of gemstone cutters exposed to beryls. Occup. Environ. Med. 2000, 57, 133–139. [Google Scholar] [CrossRef] [PubMed]
- Rapport Statistique (Concernant les Maladies Professionnelles); Agence Fédérale des Risques Professionnels: Bruxelles, Belgium, 2021. Available online: www.fedris.be (accessed on 24 January 2024).
- Fireman, E.; Haimsky, E.; Noiderfer, M.; Priel, I.; Lerman, Y. Misdiagnosis of sarcoidosis in patients with chronic beryllium disease. Sarcoidosis Vasc. Diffus. Lung Dis. 2003, 20, 144–148. [Google Scholar]
- Kauppinen, T.; Toikkanen, J.; Pedersen, D.; Young, R.; Ahrens, W.; Boffetta, P.; Hansen, J.; Kromhout, H.; Blasco, J.M.; Mirabelli, D.; et al. Occupational exposure to carcinogens in the European Union. Occup. Environ. Med. 2000, 57, 10–18. [Google Scholar] [CrossRef] [PubMed]
- Toxicokinetics, Susceptible Populations, Biomarkers, Chemical Interactions. Toxicological Profile for Beryllium Agency for Toxic Substances and Disease Registry (US). 2023. Available online: https://www.ncbi.nlm.nih.gov/books/NBK600840/ (accessed on 28 March 2024).
- Berry, J.P.; Mentre, P.; Hallegot, P.; Levi-Setti, R.; Galle, P. Cytochemical study of abnormal intranuclear structures rich in beryllium. Biol. Cell. 1989, 67, 147–157. [Google Scholar] [CrossRef] [PubMed]
- Apostoli, P.; Schaller, K.H. Urinary beryllium--a suitable tool for assessing occupational and environmental beryllium exposure? Int. Arch. Occup. Environ. Health 2001, 74, 162–166. [Google Scholar] [CrossRef] [PubMed]
- Sterner, J.H.; Eisenbud, M. Epidemiology of beryllium intoxication. AMA Arch. Ind. Hyg. Occup. Med. 1951, 4, 123–151. [Google Scholar] [PubMed]
- Curtis, G.H. Cutaneous hypersensitivity due to beryllium; a study of thirteen cases. AMA Arch. Derm. Syphilol. 1951, 64, 470–482. [Google Scholar] [CrossRef] [PubMed]
- Marchand-Adam, S.; Guillon, F.; Brauner, M.; Valeyre, D. Chronic beryllium disease: A model of interaction between environmental exposure and genetic predisposition. Pathogenesis and clinical features (Part 2). Rev. Mal. Respir. 2005, 22, 271–287. [Google Scholar] [CrossRef]
- Hanifin, J.M.; Epstein, W.L.; Cline, M.J. In vitro studies on granulomatous hypersensitivity to beryllium. J. Investig. Dermatol. 1970, 55, 284–288. [Google Scholar] [CrossRef] [PubMed]
- Sawyer, R.T.; Fadok, V.A.; Kittle, L.A.; Maier, L.A.; Newman, L.S. Beryllium-stimulated apoptosis in macrophage cell lines. Toxicology 2000, 149, 129–142. [Google Scholar] [CrossRef]
- Fontenot, A.P. Immunologic Effects of Beryllium Exposure. Ann. Am. Thorac. Soc. 2018, 15, S81–S85. [Google Scholar] [CrossRef] [PubMed]
- Fontenot, A.P.; Gharavi, L.; Bennett, S.R.; Canavera, S.J.; Newman, L.S.; Kotzin, B.L. CD28 costimulation independence of target organ versus circulating memory antigen-specific CD4+ T cells. J. Clin. Investig. 2003, 112, 776–784. [Google Scholar] [CrossRef] [PubMed]
- Tinkle, S.S.; Kittle, L.A.; Schumacher, B.A.; Newman, L.S. Beryllium induces IL-2 and IFN-gamma in berylliosis. J. Immunol. 1997, 158, 518–526. [Google Scholar] [CrossRef]
- Tinkle, S.S.; Newman, L.S. Beryllium-stimulated release of tumor necrosis factor-alpha, interleukin-6, and their soluble receptors in chronic beryllium disease. Am. J. Respir. Crit. Care Med. 1997, 156, 1884–1891. [Google Scholar] [CrossRef] [PubMed]
- Clarke, S.M. A novel enzyme-linked immunosorbent assay (ELISA) for the detection of beryllium antibodies. J. Immunol. Methods 1991, 137, 65–72. [Google Scholar] [CrossRef] [PubMed]
- Clarke, S.M.; Thurlow, S.M.; Hilmas, D.E. Application of beryllium antibodies in risk assessment and health surveillance: Two case studies. Toxicol. Ind. Health 1995, 11, 399–411. [Google Scholar] [CrossRef] [PubMed]
- Richeldi, L.; Sorrentino, R.; Saltini, C. HLA-DPB1 glutamate 69: A genetic marker of beryllium disease. Science 1993, 262, 242–244. [Google Scholar] [CrossRef] [PubMed]
- Rosenman, K.D.; Rossman, M.; Hertzberg, V.; Reilly, M.J.; Rice, C.; Kanterakis, E.; Monos, D. HLA class II DPB1 and DRB1 polymorphisms associated with genetic susceptibility to beryllium toxicity. Occup. Environ. Med. 2011, 68, 487–493. [Google Scholar] [CrossRef] [PubMed]
- Weston, A. Work-related lung diseases. IARC Sci. Publ. 2011, 163, 387–405. [Google Scholar]
- Mayer, A.S.; Hamzeh, N.; Maier, L.A. Sarcoidosis and chronic beryllium disease: Similarities and differences. Semin. Respir. Crit. Care Med. 2014, 35, 316–329. [Google Scholar] [CrossRef] [PubMed]
- Kriebel, D.; Brain, J.D.; Sprince, N.L.; Kazemi, H. The pulmonary toxicity of beryllium. Am. Rev. Respir. Dis. 1988, 137, 464–473. [Google Scholar] [CrossRef]
- Kreiss, K.; Mroz, M.M.; Newman, L.S.; Martyny, J.; Zhen, B. Machining risk of beryllium disease and sensitization with median exposures below 2 micrograms/m3. Am. J. Ind. Med. 1996, 30, 16–25. [Google Scholar] [CrossRef]
- Sawyer, R.T.; Day, B.J.; Fadok, V.A.; Chiarappa-Zucca, M.; Maier, L.A.; Fontenot, A.P.; Silveira, L.; Newman, L.S. Beryllium-ferritin: Lymphocyte proliferation and macrophage apoptosis in chronic beryllium disease. Am. J. Respir. Cell Mol. Biol. 2004, 31, 470–477. [Google Scholar] [CrossRef] [PubMed]
- Kreiss, K.; Mroz, M.M.; Zhen, B.; Wiedemann, H.; Barna, B. Risks of beryllium disease related to work processes at a metal, alloy, and oxide production plant. Occup. Environ. Med. 1997, 54, 605–612. [Google Scholar] [CrossRef] [PubMed]
- Saltini, C.; Richeldi, L.; Losi, M.; Amicosante, M.; Voorter, C.; Van Den Berg-Loonen, E.; Dweik, R.A.; Wiedemann, H.P.; Deubner, D.C.; Tinelli, C. Major histocompatibility locus genetic markers of beryllium sensitization and disease. Eur. Respir. J. 2001, 18, 677–684. [Google Scholar] [CrossRef] [PubMed]
- Newman, L.S.; Mroz, M.M.; Maier, L.A.; Daniloff, E.M.; Balkissoon, R. Efficacy of serial medical surveillance for chronic beryllium disease in a beryllium machining plant. J. Occup. Environ. Med. 2001, 43, 231–237. [Google Scholar] [CrossRef] [PubMed]
- Maier, L.A. Beryllium health effects in the era of the beryllium lymphocyte proliferation test. Appl. Occup. Environ. Hyg. 2001, 16, 514–520. [Google Scholar] [CrossRef] [PubMed]
- Zacharisen, M.C.; Fink, J.N. Hypersensitivity pneumonitis and related conditions in the work environment. Immunol. Allergy Clin. N. Am. 2011, 31, 769–786. [Google Scholar] [CrossRef] [PubMed]
- Sizar, O.; Talati, R. Berylliosis. StatPearls; StatPearls Publishing: Treasure Island, FL, USA, 2023. Available online: http://www.ncbi.nlm.nih.gov/books/NBK470364/ (accessed on 30 July 2023).
- Newman, L.S. Beryllium disease and sarcoidosis: Clinical and laboratory links. Sarcoidosis 1995, 12, 7–19. [Google Scholar] [PubMed]
- Hardy, H.L. Beryllium poisoning--lessons in control of man-made disease. N. Engl. J. Med. 1965, 273, 1188–1199. [Google Scholar] [CrossRef] [PubMed]
- Clary, J.J.; Bland, L.S.; Stokinger, H.E. The effect of reproduction and lactation on the onset of latent chronic beryllium disease. Toxicol. Appl. Pharmacol. 1975, 33, 214–221. [Google Scholar] [CrossRef]
- Williams, W.J. United Kingdom Beryllium Registry: Mortality and autopsy study. Environ. Health Perspect. 1996, 104, 949–951. [Google Scholar] [PubMed]
- Newman, L.S.; Mroz, M.M.; Balkissoon, R.; Maier, L.A. Beryllium sensitization progresses to chronic beryllium disease: A longitudinal study of disease risk. Am. J. Respir. Crit. Care Med. 2005, 171, 54–60. [Google Scholar] [CrossRef] [PubMed]
- Izumi, T.; Kobara, Y.; Inui, S.; Tokunaga, R.; Orita, Y.; Kitano, M.; Williams, W.J. The first seven cases of chronic beryllium disease in ceramic factory workers in Japan. Ann. N. Y. Acad. Sci. 1976, 278, 636–653. [Google Scholar] [CrossRef] [PubMed]
- Hasan, F.M.; Kazemi, H. Progress report. U.S. Beryllium Case Registry, 1972. Am. Rev. Respir. Dis. 1973, 108, 1252–1253. [Google Scholar] [PubMed]
- Hasan, F.M.; Kazemi, H. Chronic beryllium disease: A continuing epidemiologic hazard. Chest 1974, 65, 289–293. [Google Scholar] [CrossRef] [PubMed]
- Freiman, D.G.; Hardy, H.L. Beryllium disease. The relation of pulmonary pathology to clinical course and prognosis based on a study of 130 cases from the U.S. beryllium case registry. Hum. Pathol. 1970, 1, 25–44. [Google Scholar] [CrossRef] [PubMed]
- Stoeckle, J.D.; Hardy, H.L.; Weber, A.L. Chronic beryllium disease. Long-term follow-up of sixty cases and selective review of the literature. Am. J. Med. 1969, 46, 545–561. [Google Scholar] [CrossRef] [PubMed]
- Vicari, F. Bérylliose pulmonaire chronique: À propos de 12 cas et rôle du médecin du travail dans différentes situations d’approche du diagnostic. Médecine Humaine et Pathologie. 2017. Available online: https://dumas.ccsd.cnrs.fr/dumas-01779115 (accessed on 24 January 2024).
- Busuttil, A. Granulomas in nasal polyps. J. Laryngol. Otol. 1975, 89, 1087–1094. [Google Scholar] [CrossRef] [PubMed]
- Berlinger, N.T. Inhalant granulomas: Silicosis, asbestosis, berylliosis. Otolaryngol. Clin. N. Am. 1982, 15, 561–566. [Google Scholar] [CrossRef] [PubMed]
- Yao, J.J.; Hu, S.Y. A study of immunological indices for diagnosis of chronic berylliosis. Biomed. Environ. Sci. 1989, 2, 318–324. [Google Scholar] [PubMed]
- Sharma, O.P. Hypercalcemia in granulomatous disorders: A clinical review. Curr. Opin. Pulm. Med. 2000, 6, 442–447. [Google Scholar] [CrossRef] [PubMed]
- Newman, L.S.; Orton, R.; Kreiss, K. Serum angiotensin converting enzyme activity in chronic beryllium disease. Am. Rev. Respir. Dis. 1992, 146, 39–42. [Google Scholar] [CrossRef] [PubMed]
- Taghavi, M.; Mesquita, M.; David, C.; Geers, C.; Pozdzik, A.; Nortier, J. Clinical management of a granulomatous tubulointerstitial nephritis associated with a bilateral granulomatous anterior uveitis: A challenging case report and review of the literature. Clin. Nephrol. 2022, 98, 155–161. [Google Scholar] [CrossRef] [PubMed]
- Schepers, G.W. The mineral content of the lung in chronic berylliosis. Dis. Chest. 1962, 42, 600–607. [Google Scholar] [CrossRef] [PubMed]
- Saltini, C.; Amicosante, M.; Franchi, A.; Lombardi, G.; Richeldi, L. Immunogenetic basis of environmental lung disease: Lessons from the berylliosis model. Eur. Respir. J. 1998, 12, 1463–1475. [Google Scholar] [CrossRef] [PubMed]
- Kreiss, K.; Newman, L.S.; Mroz, M.M.; Campbell, P.A. Screening blood test identifies subclinical beryllium disease. J. Occup. Med. 1989, 31, 603–608. [Google Scholar] [CrossRef] [PubMed]
- Newman, L.S. Significance of the blood beryllium lymphocyte proliferation test. Environ. Health Perspect. 1996, 104, 953–956. [Google Scholar]
- Dai, S.; Falta, M.T.; Bowerman, N.A.; McKee, A.S.; Fontenot, A.P. T cell recognition of beryllium. Curr. Opin. Immunol. 2013, 25, 775–780. [Google Scholar] [CrossRef] [PubMed][Green Version]
- Porebski, G.; Gschwend-Zawodniak, A.; Pichler, W.J. In vitro diagnosis of T cell-mediated drug allergy. Clin. Exp. Allergy 2011, 41, 461–470. [Google Scholar] [CrossRef] [PubMed]
- Sachs, B.; Fatangare, A.; Sickmann, A.; Glässner, A. Lymphocyte transformation test: History and current approaches. J. Immunol. Methods 2021, 493, 113036. [Google Scholar] [CrossRef]
- Beeler, A.; Zaccaria, L.; Kawabata, T.; Gerber, B.O.; Pichler, W.J. CD69 upregulation on T cells as an in vitro marker for delayed-type drug hypersensitivity. Allergy 2008, 63, 181–188. [Google Scholar] [CrossRef] [PubMed]
- Van Ganse, W.F.; Oleffe, J.; Van Hove, W.; Groetenbriel, C. Lymphocyte transformation in chronic pulmonary berylliosis. Lancet 1972, 1, 1023. [Google Scholar] [CrossRef]
- Rossman, M.D.; Kern, J.A.; Elias, J.A.; Cullen, M.R.; Epstein, P.E.; Preuss, O.P.; Markham, T.N.; Daniele, R.P. Proliferative response of bronchoalveolar lymphocytes to beryllium. A test for chronic beryllium disease. Ann. Intern. Med. 1988, 108, 687–693. [Google Scholar] [CrossRef] [PubMed]
- Stokes, R.F.; Rossman, M.D. Blood cell proliferation response to beryllium: Analysis by receiver-operating characteristics. J. Occup. Med. 1991, 33, 23–28. [Google Scholar] [CrossRef] [PubMed]
- Rom, W.N.; Lockey, J.E.; Bang, K.M.; Dewitt, C.; Johns, R.E. Reversible beryllium sensitization in a prospective study of beryllium workers. Arch. Environ. Health 1983, 38, 302–307. [Google Scholar] [CrossRef] [PubMed]
- Marchand-Adam, S.; El Khatib, A.; Guillon, F.; Brauner, M.W.; Lamberto, C.; Lepage, V.; Naccache, J.M.; Valeyre, D. Short- and long-term response to corticosteroid therapy in chronic beryllium disease. Eur. Respir. J. 2008, 32, 687–693. [Google Scholar] [CrossRef] [PubMed]
- Ferguson, J.; Mroz, M.M.; Maier, L.A. Beryllium Disease. In A Clinical Guide to Occupational and Environmental Lung Diseases; Huang, Y.-C.T., Ghio, A.J., Maier, L.A., Eds.; Humana Press: Totowa, NJ, USA, 2012; pp. 231–249. [Google Scholar] [CrossRef]
- Maier, L.; Newman, L. Beryllium disease. In Environmental and Occupational Medicine; Rom, W., Ed.; Lippincott Raven: Philadelphia, PA, USA, 1998; pp. 1017–1031. [Google Scholar]
- Gordon, T.; Bowser, D. Beryllium: Genotoxicity and carcinogenicity. Mutat. Res. 2003, 533, 99–105. [Google Scholar] [CrossRef] [PubMed]
- Widdershoven, C.V.; Aarts, B.M.; Zondervan, P.J.; Henderickx, M.M.; Klompenhouwer, E.G.; van Delden, O.M.; Prevoo, W.; Montauban van Swijndregt, A.D.; van Moorselaar, R.J.; Bex, A.; et al. Renal biopsies performed before versus during ablation of T1 renal tumors: Implications for prevention of overtreatment and follow-up. Abdom. Radiol. 2021, 46, 373–379. [Google Scholar] [CrossRef] [PubMed]







| Laboratory Findings | Patient’s Results | Normal Range |
|---|---|---|
| Hemoglobin (g/dL) | 9.4 | 12–16 |
| c-Reactive protein (mg/L) | 15.3 | <10 |
| Serum creatinine (mg/dL) | 5.7 | 0.7–1.2 |
| Calcium (mmol/L) | 2.41 | 2.20–2.55 |
| Albumin (g/L) 25 (OH) Vitamin D (µg/L) | 40 15.8 | 40–49 30–80 |
| 1-25 (OH)2-Vitamin D (pg/mL) Bioactive parathormone (ng/L) | 38.3 560 | 29–84 <49 |
| Serum angiotensin-converting enzyme (U/L) | 54 | 8–55 |
| Antinuclear antibody | Negative | Negative |
| ANCA ELISA anti MPO (U/mL) ELISA anti PR3 (U/mL) IgG 4 (mg/dL) C3 (g/L) C4 (g/L) C3d/C3 Hemolytic AP qualitative Classical pathway (CH50) (U/mL) | Negative <2 <2 22.8 1.33 0.29 0.95 Normal 88 | Negative <20 <20 14–126 0.80–1.64 0.1–0.4 <1.4 Normal 41–94 |
| Borrelia, bartonella, Hepatitis B, C, HIV, syphilis EBV, CMV, parvovirus B19 | Negative | Negative |
| Urinanalysis | Patient’s Values | Reference range |
| Protein/creatinine ratio (g/g of creatinine) | 0.57 | <0.2 |
| Albumin/creatinine ratio (mg/g of creatinine) | 67.4 | <30 |
| Calcium (mmol/24 h) | 4.0 | 2.5–7.5 |
| Leucocytes (/µL) | 129 | <35 |
| Erythrocytes (/µL) Glucose (mg/L) Casts/Crystals | <25 Absence Absence | <25 Absence Absence |
Disclaimer/Publisher’s Note: The statements, opinions and data contained in all publications are solely those of the individual author(s) and contributor(s) and not of MDPI and/or the editor(s). MDPI and/or the editor(s) disclaim responsibility for any injury to people or property resulting from any ideas, methods, instructions or products referred to in the content. |
© 2024 by the authors. Licensee MDPI, Basel, Switzerland. This article is an open access article distributed under the terms and conditions of the Creative Commons Attribution (CC BY) license (https://creativecommons.org/licenses/by/4.0/).
Share and Cite
Jacobs, L.; Taghavi, M.; Fallas, J.; Geers, C.; Libertalis, M.; Smet, J.; Nortier, J.; Mesquita, M.d.C.F. Multisystemic Beryllium Disease: An Exceptional Case Revealed by a Urinary Tract Granulomatosis. Int. J. Mol. Sci. 2024, 25, 8166. https://doi.org/10.3390/ijms25158166
Jacobs L, Taghavi M, Fallas J, Geers C, Libertalis M, Smet J, Nortier J, Mesquita MdCF. Multisystemic Beryllium Disease: An Exceptional Case Revealed by a Urinary Tract Granulomatosis. International Journal of Molecular Sciences. 2024; 25(15):8166. https://doi.org/10.3390/ijms25158166
Chicago/Turabian StyleJacobs, Lucas, Maxime Taghavi, Jennifer Fallas, Caroline Geers, Mark Libertalis, Julie Smet, Joëlle Nortier, and Maria do Carmo Filomena Mesquita. 2024. "Multisystemic Beryllium Disease: An Exceptional Case Revealed by a Urinary Tract Granulomatosis" International Journal of Molecular Sciences 25, no. 15: 8166. https://doi.org/10.3390/ijms25158166
APA StyleJacobs, L., Taghavi, M., Fallas, J., Geers, C., Libertalis, M., Smet, J., Nortier, J., & Mesquita, M. d. C. F. (2024). Multisystemic Beryllium Disease: An Exceptional Case Revealed by a Urinary Tract Granulomatosis. International Journal of Molecular Sciences, 25(15), 8166. https://doi.org/10.3390/ijms25158166

