A Rare Coincidence of Three Inherited Diseases in a Family with Cardiomyopathy and Multiple Extracardiac Abnormalities
Abstract
1. Introduction
2. Results
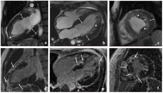
2.1. Clinical Characteristics of the Proband
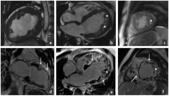
2.2. Phenotypic Cascade Screening of the Relatives
2.3. Genetic Testing Results
2.4. Functional Analysis
3. Discussion
Limitations of this Study
4. Materials and Methods
4.1. Clinical Investigation
4.2. Whole-Exome Sequencing and Bioinformatic Analysis
4.3. Minigene Splicing Assay
5. Conclusions
Supplementary Materials
Author Contributions
Funding
Institutional Review Board Statement
Informed Consent Statement
Data Availability Statement
Conflicts of Interest
References
- Hershberger, R.E.; Givertz, M.M.; Ho, C.Y.; Judge, D.P.; Kantor, P.F.; McBride, K.L.; Morales, A.; Taylor, M.R.G.; Vatta, M.; Ware, S.M.; et al. Genetic Evaluation of Cardiomyopathy: A Clinical Practice Resource of the American College of Medical Genetics and Genomics (ACMG). Genet. Med. 2018, 20, 899–909. [Google Scholar] [CrossRef] [PubMed]
- Wilde, A.A.M.; Semsarian, C.; Márquez, M.F.; Shamloo, A.S.; Ackerman, M.J.; Ashley, E.A.; Sternick, E.B.; Barajas-Martinez, H.; Behr, E.R.; Bezzina, C.R.; et al. European Heart Rhythm Association (EHRA)/Heart Rhythm Society (HRS)/Asia Pacific Heart Rhythm Society (APHRS)/Latin American Heart Rhythm Society (LAHRS) Expert Consensus Statement on the State of Genetic Testing for Cardiac Diseases. Europace 2022, 24, 1307–1367. [Google Scholar] [CrossRef] [PubMed]
- Tadros, R.; Francis, C.; Xu, X.; Vermeer, A.M.C.; Harper, A.R.; Huurman, R.; Kelu Bisabu, K.; Walsh, R.; Hoorntje, E.T.; Te Rijdt, W.P.; et al. Shared Genetic Pathways Contribute to Risk of Hypertrophic and Dilated Cardiomyopathies with Opposite Directions of Effect. Nat. Genet. 2021, 53, 128–134. [Google Scholar] [CrossRef] [PubMed]
- Walsh, R.; Offerhaus, J.A.; Tadros, R.; Bezzina, C.R. Minor Hypertrophic Cardiomyopathy Genes, Major Insights into the Genetics of Cardiomyopathies. Nat. Rev. Cardiol. 2022, 19, 151–167. [Google Scholar] [CrossRef] [PubMed]
- Mazzarotto, F.; Olivotto, I.; Walsh, R. Advantages and Perils of Clinical Whole-Exome and Whole-Genome Sequencing in Cardiomyopathy. Cardiovasc. Drugs Ther. 2020, 34, 241–253. [Google Scholar] [CrossRef] [PubMed]
- Hoss, S.; Habib, M.; Silver, J.; Care, M.; Chan, R.H.; Hanneman, K.; Morel, C.F.; Iwanochko, R.M.; Gollob, M.H.; Rakowski, H.; et al. Genetic Testing for Diagnosis of Hypertrophic Cardiomyopathy Mimics. Circ. Genom. Precis. Med. 2020, 13, e002748. [Google Scholar] [CrossRef]
- Arbelo, E.; Protonotarios, A.; Gimeno, J.R.; Arbustini, E.; Barriales-Villa, R.; Basso, C.; Bezzina, C.R.; Biagini, E.; Blom, N.A.; de Boer, R.A.; et al. 2023 ESC Guidelines for the Management of Cardiomyopathies. Eur. Heart J. 2023, 44, 3503–3626. [Google Scholar] [CrossRef]
- Gaddamedi, S.K.; Koshy, L.; Ganapathi, S.; Jeemon, P.; Ahmed, H.; Bahl, A.; Dhandapany, P.S.; Harikrishnan, S. Genetics of Hypertrophic Cardiomyopathy: Cardiologist’s Perspective. Heart Fail. J. India 2023, 1, 108. [Google Scholar] [CrossRef]
- Riller, Q.; Rieux-Laucat, F. RASopathies: From Germline Mutations to Somatic and Multigenic Diseases. Biomed. J. 2021, 44, 422–432. [Google Scholar] [CrossRef]
- Matthews, H.; Vanneste, M.; Katsura, K.; Aponte, D.; Patton, M.; Hammond, P.; Baynam, G.; Spritz, R.; Klein, O.D.; Hallgrimsson, B.; et al. Refining Nosology by Modelling Variation among Facial Phenotypes: The RASopathies. J. Med. Genet. 2022, 60, 285–293. [Google Scholar] [CrossRef]
- Marian, A.J. Molecular Genetic Basis of Hypertrophic Cardiomyopathy. Circ. Res. 2021, 128, 1533–1553. [Google Scholar] [CrossRef]
- Almomani, R.; Verhagen, J.M.A.; Herkert, J.C.; Brosens, E.; van Spaendonck-Zwarts, K.Y.; Asimaki, A.; van der Zwaag, P.A.; Frohn-Mulder, I.M.E.; Bertoli-Avella, A.M.; Boven, L.G.; et al. Biallelic Truncating Mutations in ALPK3 Cause Severe Pediatric Cardiomyopathy. J. Am. Coll. Cardiol. 2016, 67, 515–525. [Google Scholar] [CrossRef]
- Lopes, L.R.; Garcia-Hernández, S.; Lorenzini, M.; Futema, M.; Chumakova, O.; Zateyshchikov, D.; Isidoro-Garcia, M.; Villacorta, E.; Escobar-Lopez, L.; Garcia-Pavia, P.; et al. Alpha-Protein Kinase 3 (ALPK3) Truncating Variants Are a Cause of Autosomal Dominant Hypertrophic Cardiomyopathy. Eur. Heart J. 2021, 42, 3063–3073. [Google Scholar] [CrossRef]
- Al Senaidi, K.; Joshi, N.; Al-Nabhani, M.; Al-Kasbi, G.; Al Farqani, A.; Al-Thihli, K.; Al-Maawali, A. Phenotypic Spectrum of ALPK3-Related Cardiomyopathy. Am. J. Med. Genet. 2019, 179, 1235–1240. [Google Scholar] [CrossRef]
- Meshkov, A.N.; Myasnikov, R.P.; Kiseleva, A.V.; Kulikova, O.V.; Sotnikova, E.A.; Kudryavtseva, M.M.; Zharikova, A.A.; Koretskiy, S.N.; Mershina, E.A.; Ramensky, V.E.; et al. Genetic Landscape in Russian Patients with Familial Left Ventricular Noncompaction. Front. Cardiovasc. Med. 2023, 10, 1205787. [Google Scholar] [CrossRef]
- Petersen, S.E.; Selvanayagam, J.B.; Wiesmann, F.; Robson, M.D.; Francis, J.M.; Anderson, R.H.; Watkins, H.; Neubauer, S. Left Ventricular Non-Compaction: Insights from Cardiovascular Magnetic Resonance Imaging. J. Am. Coll. Cardiol. 2005, 46, 101–105. [Google Scholar] [CrossRef]
- Jacquier, A.; Thuny, F.; Jop, B.; Giorgi, R.; Cohen, F.; Gaubert, J.-Y.; Vidal, V.; Bartoli, J.M.; Habib, G.; Moulin, G. Measurement of Trabeculated Left Ventricular Mass Using Cardiac Magnetic Resonance Imaging in the Diagnosis of Left Ventricular Non-Compaction. Eur. Heart J. 2010, 31, 1098–1104. [Google Scholar] [CrossRef]
- Grothoff, M.; Pachowsky, M.; Hoffmann, J.; Posch, M.; Klaassen, S.; Lehmkuhl, L.; Gutberlet, M. Value of Cardiovascular MR in Diagnosing Left Ventricular Non-Compaction Cardiomyopathy and in Discriminating between Other Cardiomyopathies. Eur. Radiol. 2012, 22, 2699–2709. [Google Scholar] [CrossRef]
- O’Mahony, C.; Jichi, F.; Pavlou, M.; Monserrat, L.; Anastasakis, A.; Rapezzi, C.; Biagini, E.; Gimeno, J.R.; Limongelli, G.; McKenna, W.J.; et al. A Novel Clinical Risk Prediction Model for Sudden Cardiac Death in Hypertrophic Cardiomyopathy (HCM Risk-SCD). Eur. Heart J. 2014, 35, 2010–2020. [Google Scholar] [CrossRef]
- Van Esch, H.; Groenen, P.; Nesbit, M.A.; Schuffenhauer, S.; Lichtner, P.; Vanderlinden, G.; Harding, B.; Beetz, R.; Bilous, R.W.; Holdaway, I.; et al. GATA3 Haplo-Insufficiency Causes Human HDR Syndrome. Nature 2000, 406, 419–422. [Google Scholar] [CrossRef]
- Richards, S.; Aziz, N.; Bale, S.; Bick, D.; Das, S.; Gastier-Foster, J.; Grody, W.W.; Hegde, M.; Lyon, E.; Spector, E.; et al. Standards and Guidelines for the Interpretation of Sequence Variants: A Joint Consensus Recommendation of the American College of Medical Genetics and Genomics and the Association for Molecular Pathology. Genet. Med. 2015, 17, 405–424. [Google Scholar] [CrossRef]
- Verhoeven, W.M.A.; Egger, J.I.M.; Koolen, D.A.; Yntema, H.; Olgiati, S.; Breedveld, G.J.; Bonifati, V.; van de Warrenburg, B.P.C. Beta-Propeller Protein-Associated Neurodegeneration (BPAN), a Rare Form of NBIA: Novel Mutations and Neuropsychiatric Phenotype in Three Adult Patients. Park. Relat. Disord. 2014, 20, 332–336. [Google Scholar] [CrossRef]
- Redon, S.; Benech, C.; Schutz, S.; Despres, A.; Gueguen, P.; Le Berre, P.; Le Marechal, C.; Peudenier, S.; Meriot, P.; Parent, P.; et al. Intragenic Deletion of the WDR45 Gene in a Male with Encephalopathy, Severe Psychomotor Disability, and Epilepsy. Am. J. Med. Genet. 2017, 173, 1444–1446. [Google Scholar] [CrossRef]
- Nickless, A.; Bailis, J.M.; You, Z. Control of Gene Expression Through the Nonsense-Mediated RNA Decay Pathway. Cell Biosci. 2017, 7, 26. [Google Scholar] [CrossRef]
- Dyle, M.C.; Kolakada, D.; Cortazar, M.A.; Jagannathan, S. How to Get Away with Nonsense: Mechanisms and Consequences of Escape from Nonsense-Mediated RNA Decay. Wiley Interdiscip. Rev. RNA 2020, 11, e1560. [Google Scholar] [CrossRef]
- van Lint, F.H.M.; Mook, O.R.F.; Alders, M.; Bikker, H.; Lekanne Dit Deprez, R.H.; Christiaans, I. Large Next-Generation Sequencing Gene Panels in Genetic Heart Disease: Yield of Pathogenic Variants and Variants of Unknown Significance. Neth. Heart J. 2019, 27, 304–309. [Google Scholar] [CrossRef]
- Herkert, J.C.; Verhagen, J.M.A.; Yotti, R.; Haghighi, A.; Phelan, D.G.; James, P.A.; Brown, N.J.; Stutterd, C.; Macciocca, I.; Leong, K.; et al. Expanding the Clinical and Genetic Spectrum of ALPK3 Variants: Phenotypes Identified in Pediatric Cardiomyopathy Patients and Adults with Heterozygous Variants. Am. Heart J. 2020, 225, 108–119. [Google Scholar] [CrossRef]
- Phelan, D.G.; Anderson, D.J.; Howden, S.E.; Wong, R.C.B.; Hickey, P.F.; Pope, K.; Wilson, G.R.; Pébay, A.; Davis, A.M.; Petrou, S.; et al. ALPK3-Deficient Cardiomyocytes Generated from Patient-Derived Induced Pluripotent Stem Cells and Mutant Human Embryonic Stem Cells Display Abnormal Calcium Handling and Establish that ALPK3 Deficiency Underlies Familial Cardiomyopathy. Eur. Heart J. 2016, 37, 2586–2590. [Google Scholar] [CrossRef]
- Çağlayan, A.O.; Sezer, R.G.; Kaymakçalan, H.; Ulgen, E.; Yavuz, T.; Baranoski, J.F.; Bozaykut, A.; Harmanci, A.S.; Yalcin, Y.; Youngblood, M.W.; et al. ALPK3 Gene Mutation in a Patient with Congenital Cardiomyopathy and Dysmorphic Features. Mol. Case Stud. 2017, 3, a001859. [Google Scholar] [CrossRef]
- Jaouadi, H.; Kraoua, L.; Chaker, L.; Atkinson, A.; Delague, V.; Levy, N.; Benkhalifa, R.; Mrad, R.; Abdelhak, S.; Zaffran, S. Novel ALPK3 Mutation in a Tunisian Patient with Pediatric Cardiomyopathy and Facio-Thoraco-Skeletal Features. J. Hum. Genet. 2018, 63, 1077–1082. [Google Scholar] [CrossRef]
- Cheawsamoot, C.; Phokaew, C.; Chetruengchai, W.; Chantranuwat, P.; Puwanant, S.; Tongsima, S.; Khongphatthanayothin, A.; Shotelersuk, V. A Pathogenic Variant in ALPK3 Is Associated with an Autosomal Dominant Adult-Onset Hypertrophic Cardiomyopathy. Circ. Genom. Precis. Med. 2020, 13, e003127. [Google Scholar] [CrossRef]
- Dai, J.; Li, K.; Huang, M.; Sun, Y.; Liu, H.; Li, Z.; Chen, P.; Wang, H.; Wu, D.; Chen, Y.; et al. The Involvement of ALPK3 in Hypertrophic Cardiomyopathy in East Asia. Front. Med. 2022, 9, 915649. [Google Scholar] [CrossRef]
- Walsh, R.; Bezzina, C.R. ALPK3: A Full Spectrum Cardiomyopathy Gene? Eur. Heart J. 2021, 42, 3074–3077. [Google Scholar] [CrossRef]
- Fernlund, E.; Kissopoulou, A.; Green, H.; Karlsson, J.-E.; Ellegård, R.; Årstrand, H.K.; Jonasson, J.; Gunnarsson, C. Hereditary Hypertrophic Cardiomyopathy in Children and Young Adults—The Value of Reevaluating and Expanding Gene Panel Analyses. Genes 2020, 11, 1472. [Google Scholar] [CrossRef]
- Poleg, T.; Eskin-Schwartz, M.; Proskorovski-Ohayon, R.; Aminov, I.; Dolgin, V.; Agam, N.; Jean, M.; Safran, A.; Freund, O.; Levitas, A.; et al. Compound Heterozygosity for Late-Onset Cardiomyopathy-Causative ALPK3 Coding Variant and Novel Intronic Variant Cause Infantile Hypertrophic Cardiomyopathy. J. Cardiovasc. Transl. Res. 2023, 16, 1325–1331. [Google Scholar] [CrossRef]
- Grutters, L.A.; Klein Wassink-Ruiter, J.S.; Dijkhuizen, T.; Nijenhuis, H.P.; Jongbloed, J.D.H.; Herkert, J.C. Contiguous Gene Deletion of Chromosome 15q25.2q25.3 in Biallelic ALPK3-Related Cardiomyopathy: Novel Insights into Phenotypic Presentation and Variant Spectrum. Circ.: Genom. Precis. Med. 2023, 16, 493–495. [Google Scholar] [CrossRef]
- Papadopoulos, C.; Kekou, K.; Anastasakis, A.; Svingou, M.; Malfatti, E.; Metay, C.; Chrysanthou, M.; Paschou, C.; Miliopoulos, D.; Efthimiadis, G.; et al. A Novel Homozygous ALPK3 Variant Associated with Cardiomyopathy and Skeletal Muscle Involvement. Muscle Nerve 2022, 65, E7–E10. [Google Scholar] [CrossRef]
- Lemos, M.C.; Thakker, R.V. Hypoparathyroidism, Deafness, and Renal Dysplasia Syndrome: 20 Years after the Identification of the First GATA3 Mutations. Hum. Mutat. 2020, 41, 1341–1350. [Google Scholar] [CrossRef]
- Hernández, A.M.; Villamar, M.; Roselló, L.; Moreno-Pelayo, M.A.; Moreno, F.; Del Castillo, I. Novel Mutation in the Gene Encoding the GATA3 Transcription Factor in a Spanish Familial Case of Hypoparathyroidism, Deafness, and Renal Dysplasia (HDR) Syndrome with Female Genital Tract Malformations. Am. J. Med. Genet. 2007, 143A, 757–762. [Google Scholar] [CrossRef]
- Hayflick, S.J.; Kurian, M.A.; Hogarth, P. Neurodegeneration with Brain Iron Accumulation. Handb. Clin. Neurol. 2018, 147, 293–305. [Google Scholar] [CrossRef]
- Wilson, J.L.; Gregory, A.; Kurian, M.A.; Bushlin, I.; Mochel, F.; Emrick, L.; Adang, L.; BPAN Guideline Contributing Author Group; Hogarth, P.; Hayflick, S.J. Consensus Clinical Management Guideline for Beta-Propeller Protein-Associated Neurodegeneration. Dev. Med. Child Neurol. 2021, 63, 1402–1409. [Google Scholar] [CrossRef]
- Talibova, G.; Bilmez, Y.; Ozturk, S. DNA Double-Strand Break Repair in Male Germ Cells During Spermatogenesis and Its Association with Male Infertility Development. DNA Repair 2022, 118, 103386. [Google Scholar] [CrossRef]
- Gahl, W.A.; Mulvihill, J.J.; Toro, C.; Markello, T.C.; Wise, A.L.; Ramoni, R.B.; Adams, D.R.; Tifft, C.J. UDN The NIH Undiagnosed Diseases Program and Network: Applications to Modern Medicine. Mol. Genet. Metab. 2016, 117, 393–400. [Google Scholar] [CrossRef]
- Myasnikov, R.; Brodehl, A.; Meshkov, A.; Kulikova, O.; Kiseleva, A.; Pohl, G.M.; Sotnikova, E.; Divashuk, M.; Klimushina, M.; Zharikova, A.; et al. The Double Mutation DSG2-p.S363X and TBX20-p.D278X Is Associated with Left Ventricular Non-Compaction Cardiomyopathy: Case report. Int. J. Mol. Sci. 2021, 22, 6775. [Google Scholar] [CrossRef]
- Li, H. Aligning Sequence Reads, Clone Sequences and Assembly Contigs with BWA-MEM. arXiv 2013, arXiv:1303.3997. [Google Scholar]
- Van der Auwera, G.A.; O’Connor, B.D. Genomics in the Cloud: Using Docker, GATK, and WDL in Terra; O’Reilly Media, Inc.: Sebastopol, CA, USA, 2020; ISBN 9781491975169. [Google Scholar]
- McLaren, W.; Gil, L.; Hunt, S.E.; Riat, H.S.; Ritchie, G.R.S.; Thormann, A.; Flicek, P.; Cunningham, F. The Ensembl Variant Effect Predictor. Genome Biol. 2016, 17, 122. [Google Scholar] [CrossRef]
- Sparber, P.; Marakhonov, A.; Filatova, A.; Sharkova, I.; Skoblov, M. Novel Case of Neurodegeneration with Brain Iron Accumulation 4 (NBIA4) Caused by a Pathogenic Variant Affecting Splicing. Neurogenetics 2018, 19, 257–260. [Google Scholar] [CrossRef]





Disclaimer/Publisher’s Note: The statements, opinions and data contained in all publications are solely those of the individual author(s) and contributor(s) and not of MDPI and/or the editor(s). MDPI and/or the editor(s) disclaim responsibility for any injury to people or property resulting from any ideas, methods, instructions or products referred to in the content. |
© 2024 by the authors. Licensee MDPI, Basel, Switzerland. This article is an open access article distributed under the terms and conditions of the Creative Commons Attribution (CC BY) license (https://creativecommons.org/licenses/by/4.0/).
Share and Cite
Bukaeva, A.; Myasnikov, R.; Kulikova, O.; Meshkov, A.; Kiseleva, A.; Petukhova, A.; Zotova, E.; Sparber, P.; Ershova, A.; Sotnikova, E.; et al. A Rare Coincidence of Three Inherited Diseases in a Family with Cardiomyopathy and Multiple Extracardiac Abnormalities. Int. J. Mol. Sci. 2024, 25, 7556. https://doi.org/10.3390/ijms25147556
Bukaeva A, Myasnikov R, Kulikova O, Meshkov A, Kiseleva A, Petukhova A, Zotova E, Sparber P, Ershova A, Sotnikova E, et al. A Rare Coincidence of Three Inherited Diseases in a Family with Cardiomyopathy and Multiple Extracardiac Abnormalities. International Journal of Molecular Sciences. 2024; 25(14):7556. https://doi.org/10.3390/ijms25147556
Chicago/Turabian StyleBukaeva, Anna, Roman Myasnikov, Olga Kulikova, Alexey Meshkov, Anna Kiseleva, Anna Petukhova, Evgenia Zotova, Peter Sparber, Alexandra Ershova, Evgeniia Sotnikova, and et al. 2024. "A Rare Coincidence of Three Inherited Diseases in a Family with Cardiomyopathy and Multiple Extracardiac Abnormalities" International Journal of Molecular Sciences 25, no. 14: 7556. https://doi.org/10.3390/ijms25147556
APA StyleBukaeva, A., Myasnikov, R., Kulikova, O., Meshkov, A., Kiseleva, A., Petukhova, A., Zotova, E., Sparber, P., Ershova, A., Sotnikova, E., Kudryavtseva, M., Zharikova, A., Koretskiy, S., Mershina, E., Ramensky, V., Zaicenoka, M., Vyatkin, Y., Muraveva, A., Abisheva, A., ... Drapkina, O. (2024). A Rare Coincidence of Three Inherited Diseases in a Family with Cardiomyopathy and Multiple Extracardiac Abnormalities. International Journal of Molecular Sciences, 25(14), 7556. https://doi.org/10.3390/ijms25147556

