The Protective Effect of Uridine in a Rotenone-Induced Model of Parkinson’s Disease: The Role of the Mitochondrial ATP-Dependent Potassium Channel
Abstract
1. Introduction
2. Results
2.1. Effect of Uridine on the Physical Condition of Animals with a Model of PD Induced by the Subcutaneous Injection of Rotenone
2.2. Behavioral Changes in Rats with the Rotenone-Induced Model of PD and during the Treatment with Uridine
2.3. Effect of Uridine on the Functioning of Mitochondria from the Cerebral Cortex in the Model of PD Induced by the Administration of Rotenone
2.4. Effect of Uridine on the Functioning of Mitochondria from the Cerebral Cortex in the Model of PD Induced by the Administration of Rotenone
2.5. Effect of Uridine on the Cytobiochemical Characteristics of Energy Metabolism in Blood Lymphocytes of Animals with the Rotenone-Induced PD Model
3. Discussion
4. Materials and Methods
4.1. Administration of the Neurotoxin Rotenone and Uridine to Animals in an Experimental Model of Parkinson’s Disease
4.2. Isolation of Mitochondria from the Cerebral Cortex of the Rat
4.3. Behavioral Tests
4.4. Determination of the Ca2+ Retention Capacity of Brain Mitochondria
4.5. Determination of the Rate of Hydrogen Peroxide Formation in Brain Mitochondria
4.6. Determination of Lipid Peroxidation Products in Brain Mitochondria and Blood Serum
4.7. Determination of the Activity of Succinate Dehydrogenase and Lactate Dehydrogenase in Immobilized Lymphocytes on a Blood Smear
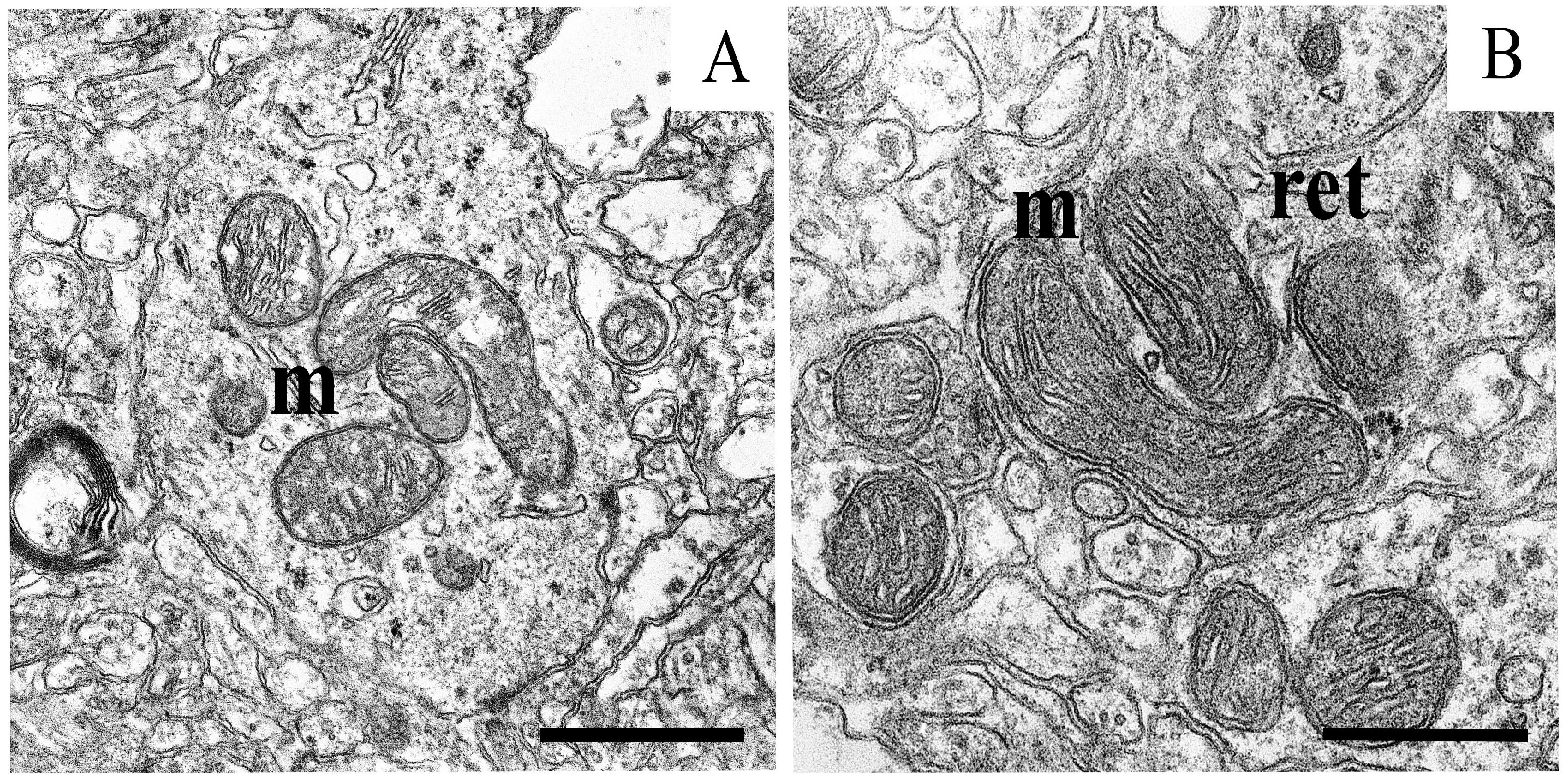
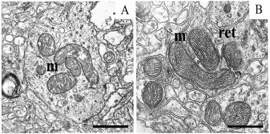
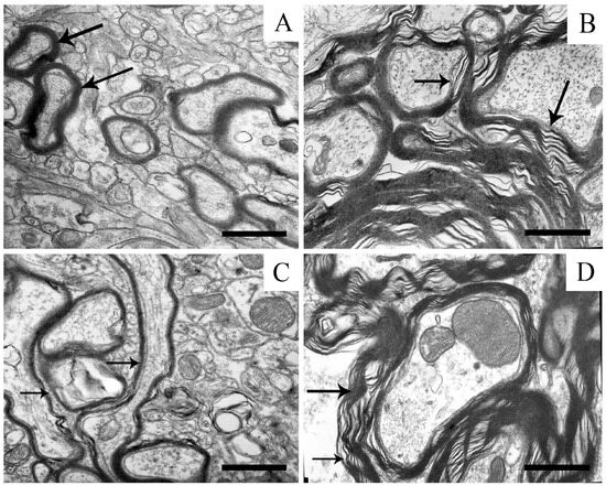
4.8. Electron Microscopic Examination of Slices of the Substantia Nigra of the Brain
4.9. Statistical Analysis
5. Conclusions
Author Contributions
Funding
Institutional Review Board Statement
Informed Consent Statement
Data Availability Statement
Acknowledgments
Conflicts of Interest
References
- Trifonova, O.P.; Maslov, D.L.; Balashova, E.E.; Urazgildeeva, G.R.; Abaimov, D.A.; Fedotova, E.Y.; Poleschuk, V.V.; Illarioshkin, S.N.; Lokhov, P.G. Parkinson’s Disease: Available Clinical and Promising Omics Tests for Diagnostics, Disease Risk Assessment, and Pharmacotherapy Personalization. Diagnostics 2020, 10, 339. [Google Scholar] [CrossRef] [PubMed]
- Obeso, J.A.; Rodriguez-Oroz, M.C.; Goetz, C.G.; Marin, C.; Kordower, J.H.; Rodriguez, M.; Hirsch, E.C.; Farrer, M.; Schapira, A.H.; Halliday, G. Missing pieces in the Parkinson’s disease puzzle. Nat. Med. 2010, 16, 653–661. [Google Scholar] [CrossRef] [PubMed]
- Bellucci, A.; Mercuri, N.B.; Venneri, A.; Faustini, G.; Longhena, F.; Pizzi, M.; Missale, C.; Spano, P. Parkinson’s disease: From synaptic loss to connectome dysfunction. Neuropathol. Appl. Neurobiol. 2016, 42, 77–94. [Google Scholar] [CrossRef] [PubMed]
- Schapira, A.H.; Cooper, J.M.; Dexter, D.; Jenner, P.; Clark, J.B.; Marsden, C.D. Mitochondrial complex I deficiency in Parkinson’s disease. Lancet 1989, 1, 1269. [Google Scholar] [CrossRef] [PubMed]
- Chia, S.J.; Tan, E.-K.; Chao, Y.-X. Historical Perspective: Models of Parkinson’s Disease. Int. J. Mol. Sci. 2020, 21, 2464. [Google Scholar] [CrossRef] [PubMed]
- Lawana, V.; Cannon, J.R. Rotenone neurotoxicity: Relevance to Parkinson’s disease. Adv. Neurotoxicol. 2020, 4, 209–254. [Google Scholar] [CrossRef]
- Grünewald, A.; Kumar, K.R.; Sue, C.M. New insights into the complex role of mitochondria in Parkinson’s disease. Prog. Neurobiol. 2019, 177, 73–93. [Google Scholar] [CrossRef]
- Uspalenko, N.I.; Mosentsov, A.A.; Khmil, N.V.; Pavlik, L.L.; Belosludtseva, N.V.; Khunderyakova, N.V.; Shigaeva, M.I.; Medvedeva, V.P.; Malkov, A.E.; Kitchigina, V.F.; et al. Uridine as a Regulator of Functional and Ultrastructural Changes in the Brain of Rats in a Model of 6-OHDA-Induced Parkinson’s Disease. Int. J. Mol. Sci. 2023, 24, 14304. [Google Scholar] [CrossRef]
- Mironova, G.D.; Fedotcheva, N.I.; Makarov, P.R.; Pronevich, L.A.; Mironov, G.P. Protein from beef heart mitochondria inducing the potassium channel conductivity of bilayer lipid membrane. Biofizika 1981, 26, 451–457. [Google Scholar]
- Mironova, G.D.; Negoda, A.E.; Marinov, B.S.; Paucek, P.; Costa, A.D.; Grigoriev, S.M.; Skarga, Y.Y.; Garlid, K.D. Functional distinctions between the mitochondrial ATP-dependent K+ channel (mitoKATP) and its inward rectifier subunit (mitoKIR). J. Biol. Chem. 2004, 279, 32562–32568. [Google Scholar] [CrossRef]
- Connolly, G.P.; Duley, J.A. Uridine and its nucleotides: Biological actions, therapeutic potentials. Trends Pharmacol. Sci. 1999, 20, 218–225. [Google Scholar] [CrossRef] [PubMed]
- Mironova, G.D.; Khrenov, M.O.; Talanov, E.Y.; Glushkova, O.V.; Parfenyuk, S.B.; Novoselova, T.V.; Lunin, S.M.; Belosludtseva, N.V.; Novoselova, E.G.; Lemasters, J.J. The role of mitochondrial KATP channel in anti-inflammatory effects of uridine in endotoxemic mice. Arch. Biochem. Biophys. 2018, 654, 70–76. [Google Scholar] [CrossRef] [PubMed]
- Krylova, I.B.; Selina, E.N.; Bulion, V.V.; Rodionova, O.M.; Evdokimova, N.R.; Belosludtseva, N.V.; Shigaeva, M.I.; Mironova, G.D. Uridine treatment prevents myocardial injury in rat models of acute ischemia and ischemia/reperfusion by activating the mitochondrial ATP-dependent potassium channel. Sci. Rep. 2021, 11, 16999. [Google Scholar] [CrossRef] [PubMed]
- Spector, R. Uridine transport and metabolism in the central nervous system. J. Neurochem. 1985, 45, 1411–1418. [Google Scholar] [CrossRef] [PubMed]
- Rozova, E.V.; Mankovskaya, I.N.; Belosludtseva, N.V.; Khmil, N.V.; Mironova, G.D. Uridine as a protector against hypoxia-induced lung injury. Sci. Rep. 2019, 9, 9418. [Google Scholar] [CrossRef] [PubMed]
- Skinner, O.S.; Blanco-Fernández, J.; Goodman, R.P.; Kawakami, A.; Shen, H.; Kemény, L.V.; Joesch-Cohen, L.; Rees, M.G.; Roth, J.A.; Fisher, D.E.; et al. Salvage of ribose from uridine or RNA supports glycolysis in nutrient-limited conditions. Nat. Metab. 2023, 5, 765–776. [Google Scholar] [CrossRef] [PubMed]
- Belosludtseva, N.V.; Starinets, V.S.; Mikheeva, I.B.; Belosludtsev, M.N.; Dubinin, M.V.; Mironova, G.D.; Belosludtsev, K.N. Effect of Chronic Treatment with Uridine on Cardiac Mitochondrial Dysfunction in the C57BL/6 Mouse Model of High-Fat Diet-Streptozotocin-Induced Diabetes. Int. J. Mol. Sci. 2022, 23, 10633. [Google Scholar] [CrossRef] [PubMed]
- Zhu, D.; Wei, Y.; Yin, J.; Liu, D.; Ang, E.L.; Zhao, H.; Zhang, Y. A pathway for degradation of uracil to acetyl coenzyme A in Bacillus megaterium. Appl. Environ. Microbiol. 2020, 86, e02837-19. [Google Scholar] [CrossRef] [PubMed]
- Tracey, T.J.; Steyn, F.J.; Wolvetang, E.J.; Ngo, S.T. Neuronal lipid metabolism: Multiple pathways driving functional outcomes in health and disease. Front. Mol. Neurosci. 2018, 11, 10. [Google Scholar] [CrossRef]
- Trist, B.G.; Hare, D.J.; Double, K.L. Oxidative stress in the aging substantia nigra and the etiology of Parkinson’s disease. Aging Cell 2019, 18, e13031. [Google Scholar] [CrossRef]
- Yang, S.; Lian, G. ROS and diseases: Role in metabolism and energy supply. Mol. Cell. Biochem. 2020, 467, 1–12. [Google Scholar] [CrossRef] [PubMed]
- Khunderyakova, N.V.; Yachkula, T.V.; Zakharchenko, M.V.; Plyasunova, S.A.; Sukhorukov, V.S.; Baranich, N.I.; Litvinova, E.G.; Fedotcheva, N.I.; Schwartsburd, P.M.; Kondrashova, M.N. Cytobiochemical biomarkers of the state of mitochondria in Humans. I. A new assessment of Warburg effect by the ratio of lactate dehydrogenase to succinate dehydrogenase activity in lymphocytes as a distinct biomarker of pronounced differences between leukemia, norm and myopathy in young patients. J. World Mitochondria Soc. 2017, 2, 118. [Google Scholar] [CrossRef]
- Perez-Pardo, P.; Dodiya, H.B.; Broersen, L.M.; Douna, H.; van Wijk, N.; Lopes da Silva, S.; Garssen, J.; Keshavarzian, A.; Kraneveld, A.D. Gut-brain and brain-gut axis in Parkinson’s disease models: Effects of a uridine and fish oil diet. Nutr. Neurosci. 2018, 21, 391–402. [Google Scholar] [CrossRef] [PubMed]
- Perez-Pardo, P.; de Jong, E.M.; Broersen, L.M.; van Wijk, N.; Attali, A.; Garssen, J.; Kraneveld, A.D. Promising Effects of Neurorestorative Diets on Motor, Cognitive, and Gastrointestinal Dysfunction after Symptom Development in a Mouse Model of Parkinson’s Disease. Front. Aging Neurosci. 2017, 9, 57. [Google Scholar] [CrossRef] [PubMed]
- Slézia, A.; Hegedüs, P.; Rusina, E.; Lengyel, K.; Solari, N.; Kaszas, A.; Balázsfi, D.; Botzanowski, B.; Acerbo, E.; Missey, F.; et al. Behavioral, neural and ultrastructural alterations in a graded-dose 6-OHDA mouse model of early-stage Parkinson’s disease. Sci. Rep. 2023, 13, 19478. [Google Scholar] [CrossRef]
- Miyazaki, I.; Asanuma, M. The Rotenone Models Reproducing Central and Peripheral Features of Parkinson’s Disease. NeuroSci 2020, 1, 1–14. [Google Scholar] [CrossRef]
- Palumbo, A.; Napolitano, A.; Barone, P.; d’Ischia, M. Nitrite- and peroxidedependent oxidation pathways of dopamine: 6-nitrodopamine and 6-hydroxydopamine formation as potential contributory mechanisms of oxidative stress- and nitric oxide-induced neurotoxicity in neuronal degeneration. Chem. Res. Toxicol. 1999, 12, 1213–1222. [Google Scholar] [CrossRef]
- Gross, G.J.; Auchampach, J.A. Role of ATP dependent potassium channels in myocardial ischaemia. Cardiovasc. Res. 1992, 26, 1011–1016. [Google Scholar] [CrossRef]
- Turrens, J.F. Mitochondrial formation of reactive oxygen species. J. Physiol. 2003, 552, 335–344. [Google Scholar] [CrossRef]
- Garlid, K.D.; Paucek, P. Mitochondrial potassium transport: The K+ cycle. Biochim. Biophys. Acta (BBA) Bioenerg. 2003, 1606, 23–41. [Google Scholar] [CrossRef]
- Korshunov, S.S.; Skulachev, V.P.; Starkov, A.A. High protonic potential actuates a mechanism of production of reactive oxygen species in mitochondria. FEBS Lett. 1997, 416, 15–18. [Google Scholar] [CrossRef] [PubMed]
- Guven, C. The effect of Diazoxide on norepinephrine-induced cardiac hypertrophy, in vitro. Cell. Mol. Biol. 2018, 64, 50–54. [Google Scholar] [CrossRef] [PubMed]
- Dahlem, Y.A.; Horn, T.F.; Buntinas, L.; Gonoi, T.; Wolf, G.; Siemen, D. The human mitochondrial KATP channel is modulated by calcium and nitric oxide: A patch-clamp approach. Biochim. Biophys. Acta 2004, 1656, 46–56. [Google Scholar] [CrossRef] [PubMed]
- Rodriguez, M.; Morales, I.; Rodriguez-Sabate, C.; Sanchez, A.; Castro, R.; Brito, J.M.; Sabate, M. The degeneration and replacement of dopamine cells in Parkinson’s disease: The role of aging. Front. Neuroanat. 2014, 8, 80. [Google Scholar] [CrossRef] [PubMed]
- Shigaeva, M.I.; Gritsenko, E.N.; Murzaeva, S.V.; Gorbacheva, O.S.; Talanov, E.; Mironova, G.D. Age-related changes in the functioning of the mitochondrial potassium-transporting system. Biofizika 2010, 55, 1030–1037. [Google Scholar] [CrossRef] [PubMed]
- de Arriba, G.; Calvino, M.; Benito, S.; Parra, T. Cyclosporine A-induced apoptosis in renal tubular cells is related to oxidative damage and mitochondrial fission. Toxicol. Lett. 2013, 218, 30–38. [Google Scholar] [CrossRef] [PubMed]
- Maevsky, E.I.; Rozenfel’d, A.S.; Grishina, E.V.; Kondrashova, M.N. Correction of Metabolic Acidosis by Maintaining Mitochondrial Function; Russian Academy of Sciences, Institute of Theoretical and Experimental Biophysics: Pushchino, Russia, 2001; 155p. (In Russian) [Google Scholar]
- Kondrashova, M.N.; Zakharchenko, M.V.; Khunderiakova, N.V.; Fedotcheva, N.I.; Litvinova, E.G.; Romanova, O.I.; Guliaev, A.A. State of succinate dehydrogenase in the organism—“unbalanced” or hyperactive. Biofizika 2013, 58, 106–116. [Google Scholar] [PubMed]
- Khunderyakova, N.V.; Zakharchenko, M.V.; Zakharchenko, A.V.; Kondrashova, M.N. Hyperactivation of succinate dehydrogenase in lymphocytes of newborn rats. Biochemistry 2008, 73, 337–341. [Google Scholar] [CrossRef] [PubMed]
- Mironova, G.D.; Pavlik, L.L.; Kirova, Y.I.; Belosludtseva, N.V.; Mosentsov, A.A.; Khmil, N.V.; Germanova, E.L.; Lukyanova, L.D. Effect of hypoxia on mitochondrial enzymes and ultrastructure in the brain cortex of rats with different tolerance to oxygen shortage. J. Bioenerg. Biomembr. 2019, 51, 329–340. [Google Scholar] [CrossRef]
- Ravaeva, M.Y.; Cheretaev, I.V.; Chuyan, E.N.; Galenko-Yaroshevskii, P.A.; Dzheldubaeva, E.R.; Mironyuk, I.S. Tissue oxidative metabolism and microhemodynamics of the skin in rats exposed to stress factors of different durations and combinations. Rev. Clin. Pharmacol. Drug Ther. 2023, 21, 357–366. [Google Scholar] [CrossRef]
- Kondrashova, M.; Zakharchenko, M.; Khunderyakova, N. Preservation of the in vivo state of mitochondrial network for ex vivo physiological study of mitochondria. Int. J. Biochem. Cell Biol. 2009, 41, 2036–2050. [Google Scholar] [CrossRef] [PubMed]
- Mimnaugh, E.G.; Xu, W.; Vos, M.; Yuan, X.; Neckers, L. Endoplasmic reticulum vacuolization and valosin-containing protein relocalization result from simultaneous hsp90 inhibition by geldanamycin and proteasome inhibition by velcade. Mol. Cancer Res. 2006, 4, 667–681. [Google Scholar] [CrossRef] [PubMed]
- Fetisova, E.; Chernyak, B.; Korshunova, G.; Muntyan, M.; Skulachev, V. Mitochondria-targeted Antioxidants as a Prospective Therapeutic Strategy for Multiple Sclerosis. Curr. Med. Chem. 2017, 24, 2086–2114. [Google Scholar] [CrossRef] [PubMed]
- Banijamali, S.M.A.; Versek, C.; Babinski, K.; Kamarthi, S.; Green-LaRoche, D.; Sridhar, S. Portable multi-focal visual evoked potential diagnostics for multiple sclerosis/optic neuritis patients. Doc. Ophthalmol. 2024. [Google Scholar] [CrossRef] [PubMed]
- Son, Y.; Kim, K.; Cho, H.R. Sildenafil protects neuronal cells from mitochondrial toxicity induced by β-amyloid peptide via ATP-sensitive K+ channels. Biochem. Biophys. Res. Commun. 2018, 500, 504–510. [Google Scholar] [CrossRef] [PubMed]
- Gohel, D.; Zhang, P.; Gupta, A.K.; Li, Y.; Chiang, C.W.; Li, L.; Hou, Y.; Pieper, A.A.; Cummings, J.; Cheng, F. Sildenafil as a Candidate Drug for Alzheimer’s Disease: Real-World Patient Data Observation and Mechanistic Observations from Patient-Induced Pluripotent Stem Cell-Derived Neurons. J. Alzheimer’s Dis. 2024, 98, 643–657. [Google Scholar] [CrossRef] [PubMed]
- Swope, D.M. Preliminary report: Use of sildenafil to treat dyskinesias in patients with Parkinson’s disease. Neurology 2000, 54, A90–A91. [Google Scholar]
- Jones, B.J.; Roberts, D.J. The quantitative measurement of motor inco-ordination in naive mice using an accelerating rotarod. J. Pharm. Pharmacol. 1968, 20, 302–304. [Google Scholar] [CrossRef]
- Ferranti, R.; da Silva, M.M.; Kowaltowski, A.J. Mitochondrial ATP-sensitive K+ channel opening decreases reactive oxygen species generation. FEBS Lett. 2003, 536, 51–55. [Google Scholar] [CrossRef]







| Experimental Groups | Injections | |||
|---|---|---|---|---|
| DMSO-Intalipid Mixture, mL/kg | Rotenone, mg/kg | 5-HD, mg/kg | Uridine, mg/kg | |
| Control (n = 32) | 1.5 | - | - | - |
| Rotenone (n = 43) | - | 1.75 | - | - |
| Rotenone + uridine 3 mg (n = 26) | - | 1.75 | - | 3.00 |
| Rotenone + uridine 30 mg (n = 21) | - | 1.75 | - | 30.00 |
| Rotenone +5-HD + uridine 3 mg (n = 28) | - | 1.75 | 3.00 | 3.00 |
| Rotenone +5-HD + uridine 30 mg (n = 21) | - | 1.75 | 3.00 | 30.00 |
Disclaimer/Publisher’s Note: The statements, opinions and data contained in all publications are solely those of the individual author(s) and contributor(s) and not of MDPI and/or the editor(s). MDPI and/or the editor(s) disclaim responsibility for any injury to people or property resulting from any ideas, methods, instructions or products referred to in the content. |
© 2024 by the authors. Licensee MDPI, Basel, Switzerland. This article is an open access article distributed under the terms and conditions of the Creative Commons Attribution (CC BY) license (https://creativecommons.org/licenses/by/4.0/).
Share and Cite
Mironova, G.D.; Mosentsov, A.A.; Mironov, V.V.; Medvedeva, V.P.; Khunderyakova, N.V.; Pavlik, L.L.; Mikheeva, I.B.; Shigaeva, M.I.; Agafonov, A.V.; Khmil, N.V.; et al. The Protective Effect of Uridine in a Rotenone-Induced Model of Parkinson’s Disease: The Role of the Mitochondrial ATP-Dependent Potassium Channel. Int. J. Mol. Sci. 2024, 25, 7441. https://doi.org/10.3390/ijms25137441
Mironova GD, Mosentsov AA, Mironov VV, Medvedeva VP, Khunderyakova NV, Pavlik LL, Mikheeva IB, Shigaeva MI, Agafonov AV, Khmil NV, et al. The Protective Effect of Uridine in a Rotenone-Induced Model of Parkinson’s Disease: The Role of the Mitochondrial ATP-Dependent Potassium Channel. International Journal of Molecular Sciences. 2024; 25(13):7441. https://doi.org/10.3390/ijms25137441
Chicago/Turabian StyleMironova, Galina D., Alexei A. Mosentsov, Vasilii V. Mironov, Vasilisa P. Medvedeva, Natalia V. Khunderyakova, Lyubov L. Pavlik, Irina B. Mikheeva, Maria I. Shigaeva, Alexey V. Agafonov, Natalya V. Khmil, and et al. 2024. "The Protective Effect of Uridine in a Rotenone-Induced Model of Parkinson’s Disease: The Role of the Mitochondrial ATP-Dependent Potassium Channel" International Journal of Molecular Sciences 25, no. 13: 7441. https://doi.org/10.3390/ijms25137441
APA StyleMironova, G. D., Mosentsov, A. A., Mironov, V. V., Medvedeva, V. P., Khunderyakova, N. V., Pavlik, L. L., Mikheeva, I. B., Shigaeva, M. I., Agafonov, A. V., Khmil, N. V., & Belosludtseva, N. V. (2024). The Protective Effect of Uridine in a Rotenone-Induced Model of Parkinson’s Disease: The Role of the Mitochondrial ATP-Dependent Potassium Channel. International Journal of Molecular Sciences, 25(13), 7441. https://doi.org/10.3390/ijms25137441

