Parotid Gland Tumors: Molecular Diagnostic Approaches
Abstract
1. Introduction
2. Material and Methods
3. Differential Diagnosis of Parotid Gland Tumors
3.1. Warthin Tumor
3.2. Pleomorphic Adenoma
3.3. Solitary Fibrous Tumor
3.4. Desmoplastic Small Round Cell Tumor
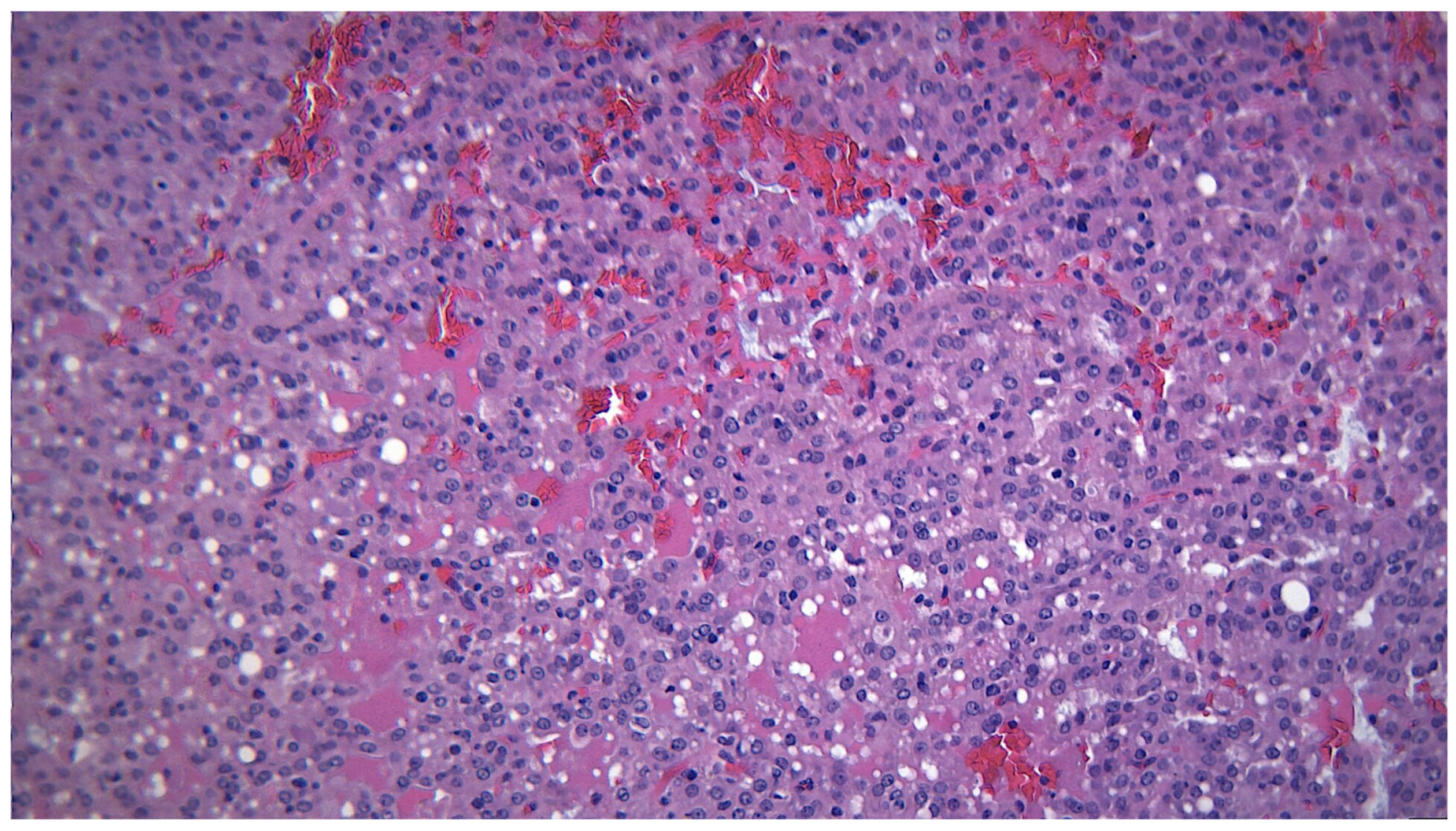
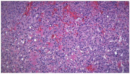
3.5. Granulomatous Pathology
3.6. Oncocytoma
3.7. Schwannoma
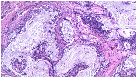
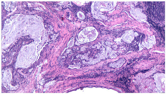
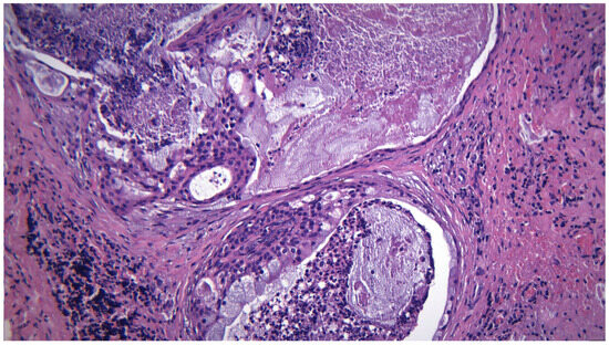
3.8. Intraductal Carcinoma
3.9. Acinic Cell Carcinoma
3.10. Adenocarcinoma
3.11. Sarcomas
3.12. Other Carcinoma
3.13. Metastasis to the Parotid Gland
3.14. Mucoepidermoid Carcinoma
4. Discussions
5. Current Status in Romania
6. Limitations
7. Conclusions
Author Contributions
Funding
Institutional Review Board Statement
Informed Consent Statement
Data Availability Statement
Acknowledgments
Conflicts of Interest
References
- van Herpen, C.; Poorten, V.V.; Skalova, A.; Terhaard, C.; Maroldi, R.; van Engen, A.; Baujat, B.; Locati, L.; Jensen, A.; Smeele, L.; et al. Salivary gland cancer: ESMO-European Reference Network on Rare Adult Solid Cancers (EURACAN) Clinical Practice Guideline for diagnosis, treatment and follow-up. ESMO Open 2022, 7, 100602, Correction in ESMO Open 2023, 8, 101630. [Google Scholar] [CrossRef] [PubMed]
- Kim, J.K.; Lee, D.W.; Geum, S.; Yoo, J.H.; Park, H. Ultrasonographic Localization of Parotid Gland Tumor Relative to the Facial Nerve Using Stensen’s Duct Criterion. J. Oral Maxillofac. Surg. 2023, 81, 1055–1061. [Google Scholar] [CrossRef] [PubMed]
- Zhao, L.; Mao, Y.; Mu, J.; Zhao, J.; Li, F.; Zhang, S.; Xin, X. The diagnostic value of Superb Microvascular Imaging in identifying benign tumors of parotid gland. BMC Med. Imaging 2020, 20, 107. [Google Scholar] [CrossRef] [PubMed] [PubMed Central]
- Lee, J.Y.; Kim, H.J.; Kim, Y.K.; Cha, J.; Kim, S.T. Basal cell adenoma and myoepithelioma of the parotid gland: Patterns of enhancement at two-phase CT in comparison with Warthin tumor. Diagn. Interv. Radiol. 2019, 25, 285–290. [Google Scholar] [CrossRef] [PubMed]
- Jiang, J.-S.; Zhu, L.-N.; Wu, Q.; Sun, Y.; Liu, W.; Xu, X.-Q.; Wu, F.-Y. Feasibility study of using simultaneous multi-slice RESOLVE diffusion weighted imaging to assess parotid gland tumors: Comparison with conventional RESOLVE diffusion weighted imaging. BMC Med. Imaging 2020, 20, 93. [Google Scholar] [CrossRef] [PubMed]
- Nakaguro, M.; Faquin, W.C.; Baloch, Z.W.; Cantley, R.L.; Compton, M.L.; Ely, K.A.; Holmes, B.J.; Hu, R.; Kerr, D.A.; Montone, K.T.; et al. Fine needle aspiration of salivary gland carcinomas with high-grade transformation: A multi-institutional study of 22 cases and review of the literature. Cancer Cytopathol. 2021, 129, 318–325. [Google Scholar] [CrossRef] [PubMed] [PubMed Central]
- Laccourreye, O.; Gaultier, A.L.; Haroun, F.; Lepine, C.; Malinvaud, D.; Mirghani, H. Positive predictive values of MRI and ultrasound-guided fine-needle aspiration biopsy for isolated parotid swelling in adults: A STARD comparative analysis. Eur. Ann. Otorhinolaryngol. Head Neck Dis. 2022, 139, 269–274. [Google Scholar] [CrossRef] [PubMed]
- Maleki, Z.; Baloch, Z.; Lu, R.; Shafique, K.; Song, S.J.; Viswanathan, K.; Rao, R.A.; Lefler, H.; Fatima, A.; Wiles, A.; et al. Application of the Milan System for Reporting Submandibular Gland Cytopathology: An international, multi-institutional study. Cancer Cytopathol. 2019, 127, 306–315. [Google Scholar] [CrossRef]
- Molher, J.; Sagardoy, T.; Dassé, R.; Champel, S.; Castetbon, V.; de Monès, E. Educational video to improve memorization of preoperative information in parotidectomy: A randomized controlled study. Eur. Ann. Otorhinolaryngol. Head Neck Dis. 2022, 139, 281–284. [Google Scholar] [CrossRef]
- Giotakis, E.I.; Giotakis, A.I. Modified facelift incision and superficial musculoaponeurotic system flap in parotid malignancy: A retrospective study and review of the literature. World J. Surg. Oncol. 2020, 18, 8. [Google Scholar] [CrossRef]
- Tharakan, T.; Marfowaa, G.; Akakpo, K.; Jackson, R.; Zenga, J.; Puram, S.V.; Pipkorn, P. Multiple simultaneous free flaps for head and neck reconstruction: A multi-institutional cohort. Oral Oncol. 2023, 136, 106269. [Google Scholar] [CrossRef]
- Nelson, B.E.; Tsimberidou, A.M.; Fu, X.; Fu, S.; Subbiah, V.; Sood, A.K.; Rodon, J.; Karp, D.D.; Blumenschein, G.; Kopetz, S.; et al. A Phase I Trial of Bevacizumab and Temsirolimus in Combination with Valproic Acid in Advanced Solid Tumors. Oncologist 2023, 28, 1100-e1292. [Google Scholar] [CrossRef] [PubMed] [PubMed Central]
- Kalinsky, K.; Hong, F.; McCourt, C.K.; Sachdev, J.C.; Mitchell, E.P.; Zwiebel, J.A.; Doyle, L.A.; McShane, L.M.; Li, S.; Gray, R.J.; et al. Effect of Capivasertib in Patients with an AKT1 E17K-Mutated Tumor: NCI-MATCH Subprotocol EAY131-Y Nonrandomized Trial. JAMA Oncol. 2021, 7, 271–278, Correction in JAMA Oncol. 2021, 7, 1729. [Google Scholar] [CrossRef]
- Jhaveri, K.; Wang, X.; Makker, V.; Luoh, S.-W.; Mitchell, E.; Zwiebel, J.; Sharon, E.; Gray, R.; Li, S.; McShane, L.; et al. Ado-trastuzumab emtansine (T-DM1) in patients with HER2-amplified tumors excluding breast and gastric/gastroesophageal junction (GEJ) adenocarcinomas: Results from the NCI-MATCH trial (EAY131) subprotocol Q. Ann. Oncol. 2019, 30, 1821–1830, Correction in Ann. Oncol. 2021, 32, 1068. [Google Scholar] [CrossRef]
- Page, M.J.; McKenzie, J.E.; Bossuyt, P.M.; Boutron, I.; Hoffmann, T.C.; Mulrow, C.D.; Shamseer, L.; Tetzlaff, J.M.; Akl, E.A.; Brennan, S.E.; et al. The PRISMA 2020 statement: An updated guideline for reporting systematic reviews. BMJ 2021, 372, n71. [Google Scholar] [CrossRef]
- Saravakos, P.; Kourtidis, S.; Hartwein, J.; Preyer, S. Parotid Gland Tumors: A Multicenter Analysis of 1020 Cases. Increasing Incidence of Warthin’s Tumor. Indian J. Otolaryngol. Head Neck Surg. 2022, 74 (Suppl. S2), 2033–2040. [Google Scholar] [CrossRef]
- Fisher, R.; Ronen, O. Cytologic diagnosis of parotid gland Warthin tumor: Systematic review and meta-analysis. Head. Neck. 2022, 44, 2277–2287. [Google Scholar] [CrossRef]
- Hung, C.J.; Kang, B.H.; Wang, J.S.; Lin, Y.S. Ulcerative Warthin Tumor: A Case Report and Review of the Literature. Ear Nose Throat J. 2022, 101, 332–335. [Google Scholar] [CrossRef]
- Alnoor, F.; Gandhi, J.S.; Stein, M.K.; Gradowski, J.F. Follicular Lymphoma Diagnosed in Warthin Tumor: A Case Report and Review of the Literature. Head Neck Pathol. 2020, 14, 386–391. [Google Scholar] [CrossRef]
- Bieńkowski, M.; Kunc, M.; Iliszko, M.; Kuźniacka, A.; Studniarek, M.; Biernat, W. MAML2 rearrangement as a useful diagnostic marker discriminating between Warthin tumour and Warthin-like mucoepidermoid carcinoma. Virchows Arch. 2020, 477, 393–400. [Google Scholar] [CrossRef] [PubMed] [PubMed Central]
- Khan, H.Z.; Khan, I.M. Synchronous pleomorphic adenoma in parotid gland and parapharyngeal space: A case report and literature review. J. Pak. Med. Assoc. 2023, 73, 728–730. [Google Scholar] [CrossRef] [PubMed]
- Ochal-Choińska, A.; Bruzgielewicz, A.; Osuch-Wójcikiewicz, E. Synchronous multiple unilateral parotid gland tumors of benign and malignant histological types: Case report and literature review. Braz. J. Otorhinolaryngol. 2019, 85, 388–392. [Google Scholar] [CrossRef] [PubMed] [PubMed Central]
- Roth, S.H.; Faquin, W.C.; Gimenez, C.; Vadalia, B.; Frank, D.K.; Li, J.Y. Schwannoma-Like Pleomorphic Adenoma: Two Cases and a Review of the Literature. Head Neck Pathol. 2020, 14, 166–172. [Google Scholar] [CrossRef] [PubMed] [PubMed Central]
- Dan, H.; Kim, K.; Kokubo, R.; Nomura, R.; Morimoto, D.; Morita, A. Metastatic Spinal Tumor from Benign Pleomorphic Adenoma: Case Report and Literature Review. J. Nippon. Med. Sch. 2023, 90, 121–125. [Google Scholar] [CrossRef] [PubMed]
- Júnior, E.C.F.; Dias, I.J.; Alves, P.M.; Nonaka, C.F.W.; Gomes, D.Q.C.; Pereira, J.V. Pleomorphic adenoma of buccal mucosa: A case report and review of the literature. Stomatologija 2020, 22, 92–96. [Google Scholar] [PubMed]
- Lee, Y.J.; Fischbein, N.J.; Megwalu, U.; Baik, F.M.; Divi, V.; Kaplan, M.J.; Sirjani, D.B. Radiographic surveillance of abdominal free fat graft in complex parotid pleomorphic adenomas: A case series. Heliyon 2020, 6, e03894. [Google Scholar] [CrossRef] [PubMed] [PubMed Central]
- Goker, F.; Mazzucato, C.; Maggioni, M.; Baj, A.; Gianni, A.B.; Beltramini, G.; Russillo, A.; Buccellato, F.R.P.; Rossi, D.S.; Mortellaro, C.; et al. Solitary fibrous tumor of parotid gland: A case report and short review of literature. Eur. Rev. Med. Pharmacol. Sci. 2022, 26 (Suppl. S3), 45–50. [Google Scholar] [CrossRef] [PubMed]
- Romano, N.; Ferrari, A.; Moroni, M.; Dessanti, P.; Bardine, A.; D’amato, M.; Stefanini, T. Solitary Fibrous Tumor of the Deep Parotid Gland. Ear Nose Throat J. 2022, 101, NP291–NP293. [Google Scholar] [CrossRef]
- Wakely, P.E., Jr. Mesenchymal neoplasms of the parotid gland and parapharyngeal space: An FNA cytologic study of 22 nonlipomatous tumors. Cancer Cytopathol. 2022, 130, 443–454. [Google Scholar] [CrossRef]
- Hatanaka, K.C.; Takakuwa, E.; Hatanaka, Y.; Suzuki, A.; Iizuka, S.; Tsushima, N.; Mitsuhashi, T.; Sugita, S.; Homma, A.; Morinaga, S.; et al. Desmoplastic small round cell tumor of the parotid gland-report of a rare case and a review of the literature. Diagn. Pathol. 2019, 14, 43. [Google Scholar] [CrossRef]
- Chen, S.L.; Hwang, C.C.; Liu, Y.C.; Chen, W.T.; Yang, S.W. Warthin’s tumor with necrotizing tuberculous granulomatous inflammation causing severe facial nerve adhesion in parotid gland: A case report and literature review. Medicine 2020, 99, e18763. [Google Scholar] [CrossRef] [PubMed]
- Sangiorgi, E.; Rigante, D. The Clinical Chameleon of Autoinflammatory Diseases in Children. Cells 2022, 11, 2231. [Google Scholar] [CrossRef] [PubMed] [PubMed Central]
- Corvino, A.; Caruso, M.; Varelli, C.; Di Gennaro, F.; Pignata, S.; Corvino, F.; Vallone, G.; Catalano, O. Diagnostic imaging of parotid gland oncocytoma: A pictorial review with emphasis on ultrasound assessment. J. Ultrasound 2021, 24, 241–247. [Google Scholar] [CrossRef] [PubMed]
- Sureja, V.P.; Tagore, K.R. Oncocytic sialolipoma of parotid gland: Case report and literature review. Indian J. Pathol. Microbiol. 2023, 66, 591–593. [Google Scholar] [CrossRef] [PubMed]
- Ruangritchankul, K.; Connor, S.; Oakley, R. Oncocytic Sialolipoma of Parotid Gland: Case Report and Literature Review. Head Neck Pathol. 2019, 13, 548–553. [Google Scholar] [CrossRef] [PubMed] [PubMed Central]
- Sharma, P.; Zaheer, S.; Goyal, S.; Ahluwalia, C.; Goyal, A.; Bhuyan, G.; Mandal, A.K. Clinicopathological analysis of extracranial head and neck schwannoma: A case series. J. Cancer Res. Ther. 2019, 15, 659–664. [Google Scholar] [CrossRef] [PubMed]
- Vrinceanu, D.; Dumitru, M.; Popa-Cherecheanu, M.; Marinescu, A.N.; Patrascu, O.M.; Bobirca, F. Extracranial Facial Nerve Schwannoma-Histological Surprise or Therapeutic Planning? Medicina 2023, 59, 1167. [Google Scholar] [CrossRef] [PubMed] [PubMed Central]
- Russo, D.; Di Crescenzo, R.M.; Varricchio, S.; Broggi, G.; Bizzoca, M.E.; Troise, S.; Salzano, G.; Ilardi, G.; Merolla, F. Low-Grade Intraductal Carcinoma of the Parotid Gland: A Case Report and Literature Review. Head Neck Pathol. 2021, 15, 1359–1371. [Google Scholar] [CrossRef] [PubMed]
- Zhang, Y.; Long, J.; Ren, J.; Huang, X.; Zhong, P.; Wang, B. Potential Molecular Biomarkers of Vestibular Schwannoma Growth: Progress and Prospects. Front. Oncol. 2021, 11, 731441. [Google Scholar] [CrossRef] [PubMed] [PubMed Central]
- Wakely, P.E. Salivary duct carcinoma: A report of 70 FNA cases and review of the literature. Cancer Cytopathol. 2022, 130, 595–608. [Google Scholar] [CrossRef]
- Kusafuka, K.; Sato, Y.; Nakatani, E.; Baba, S.; Maeda, M.; Yamanegi, K.; Ueda, K.; Inagaki, H.; Otsuki, Y.; Kuroda, N.; et al. The implicated clinical factors for outcomes in 304 patients with salivary duct carcinoma: Multi-institutional retrospective analysis in Japan. Head Neck 2022, 44, 1430–1441. [Google Scholar] [CrossRef]
- De Luca, P.; de Campora, L.; Tassone, D.; Atturo, F.; Colangeli, R.; Petruzzi, G.; Fermi, M.; Molinari, G.; Abeshi, A.; Cintoli, G.; et al. Acinic cell carcinoma of the parotid gland: Timeo Danaos et dona ferentes? A multicenter retrospective analysis focusing on survival outcome. Eur. Arch. Otorhinolaryngol. 2022, 279, 5821–5829. [Google Scholar] [CrossRef] [PubMed] [PubMed Central]
- Wade, L.; Kitching, P.; De Winton, E. Ectopic ACTH Secretion Secondary to Metastatic Acinic Cell Carcinoma of the Parotid Gland: A Case Report and Review of Current Evidence for Systemic Therapy. J. Investig. Med. High. Impact Case Rep. 2020, 8, 2324709620918080. [Google Scholar] [CrossRef]
- Wiles, A.B.; Gabrielson, M.; Baloch, Z.W.; Faquin, W.C.; Jo, V.Y.; Callegari, F.; Kholova, I.; Song, S.; Centeno, B.A.; Ali, S.Z.; et al. Secretory carcinoma of the salivary gland, a rare entity: An international multi-institutional study. Cancer Cytopathol. 2022, 130, 684–694. [Google Scholar] [CrossRef]
- Cunha, J.L.S.; Hernandez-Guerrero, J.C.; de Almeida, O.P.; Soares, C.D.; Mosqueda-Taylor, A. Salivary Gland Tumors: A Retrospective Study of 164 Cases from a Single Private Practice Service in Mexico and Literature Review. Head Neck Pathol. 2021, 15, 523–531. [Google Scholar] [CrossRef]
- Jain, S.; Abdelwahed, M.; Chavarria, D.H.; Pereira, L.; Stone, G.; Johnson, A.; Li, J.Y. Carcinosarcoma of the parotid gland: A case report and review of the literature. J. Med. Case Rep. 2024, 18, 24. [Google Scholar] [CrossRef] [PubMed] [PubMed Central]
- Jo, S.; Shim, H.K.; Kim, J.Y.; Bae, S.K.; Kim, M.R. Myeloid Sarcoma That Infiltrated a Preexisting Sebaceous Lymphadenoma in the Parotid Gland: Diagnostic Challenges and Literature Review. BioMed Res. Int. 2019, 2019, 9869406. [Google Scholar] [CrossRef]
- Shahid, H.; Dhanani, R.; Faisal, M.; Rehman, A.; Jamshed, A.; Hussain, R. Mammary analogue secretory carcinoma of parotid gland: Literature review and experience of a dedicated cancer institution in Pakistan. J. Pak. Med. Assoc. 2022, 72, 950–953. [Google Scholar] [CrossRef]
- Saik, W.N.; Da Forno, P.; Thway, K.; Khurram, S.A. NUT Carcinoma Arising from the Parotid Gland: A Case Report and Review of the Literature. Head Neck Pathol. 2021, 15, 1064–1068. [Google Scholar] [CrossRef] [PubMed]
- Kara, H.; Sönmez, S.; Bağbudar, S.; Güllüoğlu, M.; Başaran, B. Malignant Transformation of Parotid Gland Non-sebaceous Lymphadenoma: Case Report and Review of Literature. Head Neck Pathol. 2020, 14, 1123–1128. [Google Scholar] [CrossRef] [PubMed] [PubMed Central]
- Young, S.; Oh, J.; Bukhari, H.; Ng, T.; Chau, N.; Tran, E. Primary Parotid Merkel Type Small Cell Neuroendocrine Carcinoma with Oligometastasis to the Brain and Adrenal Gland: Case Report and Review of Literature. Head Neck Pathol. 2021, 15, 311–318. [Google Scholar] [CrossRef] [PubMed] [PubMed Central]
- Kunc, M.; Kamieniecki, A.; Walczak, G.; Nowicki, T.; Wasąg, B.; Mikaszewski, B.; Stodulski, D.; Biernat, W. Intrasalivary Thymic Carcinoma: A Case Report and Literature Review. Head Neck Pathol. 2022, 16, 857–864. [Google Scholar] [CrossRef] [PubMed] [PubMed Central]
- Pellikaan, K.; Nguyen, N.Q.C.; Rosenberg, A.G.W.; Coupaye, M.; Goldstone, A.P.; Høybye, C.; Markovic, T.; Grugni, G.; Crinò, A.; Caixàs, A.; et al. Malignancies in Prader-Willi Syndrome: Results from a Large International Cohort and Literature Review. J. Clin. Endocrinol. Metab. 2023, 108, e1720–e1730. [Google Scholar] [CrossRef]
- Cui, Y.; Cui, X.Y.; Wu, Y.; Yin, W.Z.; Zhu, Z.P. A case of metastasis of small cell lung cancer to the parotid gland: A case report and literature review. J. Int. Med. Res. 2019, 47, 5824–5830. [Google Scholar] [CrossRef] [PubMed] [PubMed Central]
- Deng, S.; Ruan, D.; He, J. Rare submandibular gland metastasis of hepatocellular carcinoma: Case report and review of the literature. J. Int. Med. Res. 2021, 49, 300060521997592. [Google Scholar] [CrossRef]
- Lai, T.Y.; Liu, F.H.; Lai, P.A.; Yeh, C.P. Adjuvant Radiotherapy for Dissected Parotid Lymph Nodes Containing Merkel Cell Carcinoma from an Unknown Primary Skin Site: 2 Case Reports. Am. J. Case Rep. 2023, 24, e939183. [Google Scholar] [CrossRef]
- Marouf, A.; Heaphy, J.C.; Sindi, A.M.; Alamri, A.H.; Sheffah, F.R.A.; Noorsaeed, A.; Al-Tammas, A.H.; Rammal, B.I. Intraparotid Recurrence of Papillary Thyroid Carcinoma After Thyroidectomy Coincident with Declining Thyroglobulin Levels: A Case Report and Review of the Literature. Ear Nose Throat J. 2023, 102, NP599–NP603. [Google Scholar] [CrossRef]
- Ullah, A.; Khan, J.; Waheed, A.; Karki, N.R.; Goodbee, M.; Yasinzai, A.Q.K.; Tareen, B.; Wali, A.; Khan, K.A.; Zarak, M.S.; et al. Mucoepidermoid Carcinoma of the Salivary Gland: Demographics and Comparative Analysis in U.S. Children and Adults with Future Perspective of Management. Cancers 2023, 15, 250. [Google Scholar] [CrossRef]
- APeraza, R.; Gómez, J.; Beltran, F.J. Amarista, Mucoepidermoid carcinoma. An update and review of the literature. J. Stomatol. Oral Maxillofac. Surg. 2020, 121, 713–720. [Google Scholar] [CrossRef] [PubMed]
- Coleman, M.; Liang, J.; Rastatter, J.C.; Arch, R.S.; Gartrell, J.; Chelius, D.C., Jr.; Sheyn, A.; Li, C.; Richard, C. Exploring the Epidemiology and Survival Trends in Pediatric Major Salivary Gland Malignancies: Insights from the National Cancer Database. Curr. Oncol. 2023, 30, 6134–6147. [Google Scholar] [CrossRef]
- Yan, K.; Yesensky, J.; Hasina, R.; Agrawal, N. Genomics of mucoepidermoid and adenoid cystic carcinomas. Laryngoscope Investig. Otolaryngol. 2018, 3, 56–61. [Google Scholar] [CrossRef] [PubMed] [PubMed Central]
- Sama, S.; Komiya, T.; Guddati, A.K. Advances in the Treatment of Mucoepidermoid Carcinoma. World J. Oncol. 2022, 13, 1–7. [Google Scholar] [CrossRef] [PubMed] [PubMed Central]
- Balasubiramaniyan, V.; Sultania, M.; Sable, M.; Muduly, D.; Kar, M. Warthin-like mucoepidermoid carcinoma of the parotid gland: A diagnostic and therapeutic dilemma. Autops. Case Rep. 2019, 9, e2019122. [Google Scholar] [CrossRef] [PubMed] [PubMed Central]
- Lei, R.; Yang, H. Warthin-like mucoepidermoid carcinoma of the parotid gland: A clinicopathological analysis of two cases. J. Int. Med. Res. 2022, 50, 3000605221101329. [Google Scholar] [CrossRef] [PubMed] [PubMed Central]
- Owosho, A.A.; Olatunji, A.S.; Adejobi, A.F.; Fatusi, O.A.; Okunade, T.; Maddux, K.; Shaw, J.; Summersgill, K.F. MAML2-Rearranged Mucoepidermoid Carcinoma of the Parotid Gland: A Report in a 20-Month-Old Toddler. Case Rep. Dent. 2022, 2022, 8749836. [Google Scholar] [CrossRef] [PubMed] [PubMed Central]
- Steuer, C.E.; Hanna, G.J.; Viswanathan, K.; Bates, J.E.; Kaka, A.S.; Schmitt, N.C.; Ho, A.L.; Saba, N.F. The evolving landscape of salivary gland tumors. CA Cancer J. Clin. 2023, 73, 597–619. [Google Scholar] [CrossRef] [PubMed] [PubMed Central]
- Iftikhar, H.; Sohail Awan, M.; Usman, M.; Khoja, A.; Khan, W. Discordance between fine-needle aspiration cytology and histopathology in patients with mucoepidermoid carcinoma of parotid gland. Ann. R. Coll. Surg. Engl. 2020, 102, 340–342. [Google Scholar] [CrossRef] [PubMed] [PubMed Central]
- Gherghina, F.L.; Camen, A.; Munteanu, M.C.; Mărgăritescu, C.; Şarlă, C.G. Parotid sclerosing mucoepidermoid carcinoma: A case report and immunohistochemical study. Rom. J. Morphol. Embryol. 2016, 57, 1107–1116. [Google Scholar] [PubMed]
- van Weert, S.; Lissenberg-Witte, B.I.; Bloemena, E.; Leemans, C.R. Mucoepidermoid carcinoma of the head and neck: CRTC1/3 MAML 2 translocation and its prognosticators. Eur. Arch. Otorhinolaryngol. 2022, 279, 2573–2581. [Google Scholar] [CrossRef]
- Porcheri, C.; Meisel, C.T.; Mitsiadis, T.A. Molecular and Cellular Modelling of Salivary Gland Tumors Open New Landscapes in Diagnosis and Treatment. Cancers 2020, 12, 3107. [Google Scholar] [CrossRef]
- Fehr, A.; Werenicz, S.; Trocchi, P.; Falk, M.; Friedrich, R.E.; Stammler, A.; Stang, A.; Oesterling, F.; Khil, L.; Stenman, G.; et al. Mucoepidermoid carcinoma of the salivary glands revisited with special reference to histologic grading and CRTC1/3-MAML2 genotyping. Virchows Arch. 2021, 479, 975–985. [Google Scholar] [CrossRef] [PubMed] [PubMed Central]
- Tonon, G.; Modi, S.; Wu, L.; Kubo, A.; Coxon, A.B.; Komiya, T.; O’Neil, K.; Stover, K.; El-Naggar, A.; Griffin, J.D.; et al. t(11;19)(q21;p13) translocation in mucoepidermoid carcinoma creates a novel fusion product that disrupts a Notch signaling pathway. Nat. Genet. 2003, 33, 208–213, Erratum in Nat Genet. 2003, 33, 430. [Google Scholar] [CrossRef] [PubMed]
- Bou Zerdan, M.; Kumar, P.A.; Zaccarini, D.; Ross, J.; Huang, R.; Sivapiragasam, A. Molecular Targets in Salivary Gland Cancers: A Comprehensive Genomic Analysis of 118 Mucoepidermoid Carcinoma Tumors. Biomedicines 2023, 11, 519. [Google Scholar] [CrossRef]
- Perri, F.; Fusco, R.; Sabbatino, F.; Fasano, M.; Ottaiano, A.; Cascella, M.; Marciano, M.L.; Pontone, M.; Salzano, G.; Maiello, M.E.; et al. Translational Insights in the Landscape of Salivary Gland Cancers: Ready for a New Era? Cancers 2024, 16, 970. [Google Scholar] [CrossRef]
- Martins, C.; Cavaco, B.; Tonon, G.; Kaye, F.J.; Soares, J.; Fonseca, I. A study of MECT1-MAML2 in mucoepidermoid carcinoma and Warthin’s tumor of salivary glands. J. Mol. Diagn. 2004, 6, 205–210. [Google Scholar] [CrossRef] [PubMed] [PubMed Central]
- Seethala, R.R.; Chiosea, S.I. MAML2 Status in Mucoepidermoid Carcinoma Can No Longer Be Considered a Prognostic Marker. Am. J. Surg. Pathol. 2016, 40, 1151–1153. [Google Scholar] [CrossRef]
- Chen, Z.; Ni, W.; Li, J.L.; Lin, S.; Zhou, X.; Sun, Y.; Li, J.W.; Leon, M.E.; Hurtado, M.D.; Zolotukhin, S.; et al. The CRTC1-MAML2 fusion is the major oncogenic driver in mucoepidermoid carcinoma. JCI Insight 2021, 6, e139497. [Google Scholar] [CrossRef] [PubMed]
- Nakano, T.; Yamamoto, H.; Hashimoto, K.; Tamiya, S.; Shiratsuchi, H.; Nakashima, T.; Nishiyama, K.; Higaki, Y.; Komune, S.; Oda, Y. HER2 and EGFR gene copy number alterations are predominant in high-grade salivary mucoepidermoid carcinoma irrespective of MAML2 fusion status. Histopathology 2013, 63, 378–392. [Google Scholar] [CrossRef] [PubMed]
- Yan, L.; Xu, J.; Liu, L.; Li, X. Warthin-like mucoepidermoid carcinoma of the parotid gland: Clinicopathological observation and literature review. Sci. Prog. 2023, 106. [Google Scholar] [CrossRef]
- Bishop, J.A.; Thompson, L.D.R.; Siegele, B.; Gagan, J.; Mansour, M.; Chernock, R.D.; Rooper, L.M. Mucoepidermoid carcinoma may be devoid of squamoid cells by immunohistochemistry: Expanding the histologic and immunohistochemical spectrum of MAML2- rearranged salivary gland tumours. Histopathology 2023, 82, 305–313. [Google Scholar]
- Sansar, B.; Singh, N.; Gupta, A.; Mishra, B.K.; Sharma, A.; Rai, R.; Gupta, P.; Kapoor, A. Incurable advanced salivary gland tumours: A retrospective analysis and peek into the perplexing clinical and molecular intricacies from a tertiary care centre in India. Ecancermedicalscience 2023, 17, 1602. [Google Scholar] [CrossRef] [PubMed] [PubMed Central]







Disclaimer/Publisher’s Note: The statements, opinions and data contained in all publications are solely those of the individual author(s) and contributor(s) and not of MDPI and/or the editor(s). MDPI and/or the editor(s) disclaim responsibility for any injury to people or property resulting from any ideas, methods, instructions or products referred to in the content. |
© 2024 by the authors. Licensee MDPI, Basel, Switzerland. This article is an open access article distributed under the terms and conditions of the Creative Commons Attribution (CC BY) license (https://creativecommons.org/licenses/by/4.0/).
Share and Cite
Vrinceanu, D.; Dumitru, M.; Bratiloveanu, M.; Marinescu, A.; Serboiu, C.; Manole, F.; Palade, D.O.; Costache, A.; Costache, M.; Patrascu, O. Parotid Gland Tumors: Molecular Diagnostic Approaches. Int. J. Mol. Sci. 2024, 25, 7350. https://doi.org/10.3390/ijms25137350
Vrinceanu D, Dumitru M, Bratiloveanu M, Marinescu A, Serboiu C, Manole F, Palade DO, Costache A, Costache M, Patrascu O. Parotid Gland Tumors: Molecular Diagnostic Approaches. International Journal of Molecular Sciences. 2024; 25(13):7350. https://doi.org/10.3390/ijms25137350
Chicago/Turabian StyleVrinceanu, Daniela, Mihai Dumitru, Miruna Bratiloveanu, Andreea Marinescu, Crenguta Serboiu, Felicia Manole, Dragos Octavian Palade, Adrian Costache, Mariana Costache, and Oana Patrascu. 2024. "Parotid Gland Tumors: Molecular Diagnostic Approaches" International Journal of Molecular Sciences 25, no. 13: 7350. https://doi.org/10.3390/ijms25137350
APA StyleVrinceanu, D., Dumitru, M., Bratiloveanu, M., Marinescu, A., Serboiu, C., Manole, F., Palade, D. O., Costache, A., Costache, M., & Patrascu, O. (2024). Parotid Gland Tumors: Molecular Diagnostic Approaches. International Journal of Molecular Sciences, 25(13), 7350. https://doi.org/10.3390/ijms25137350

