Baricitinib and Pulse Steroids Combination Treatment in Hyperinflammatory COVID-19: A Rheumatological Approach in the Intensive Care Unit
Abstract
1. Introduction
2. Results
3. Discussion
4. Materials and Methods
4.1. Participants
- SARS-CoV-2 infection confirmed by PCR analysis on nasopharyngeal swab;
- CT-proven SARS-CoV-2 pneumonia;
- Need for invasive or non-invasive ventilatory support for P/F < 200 at baseline;
- Absence of clinical and/or laboratory signs of other concomitant infections at the time of admission in ICU (enrollment).
4.2. Clinical and Laboratory Parameters
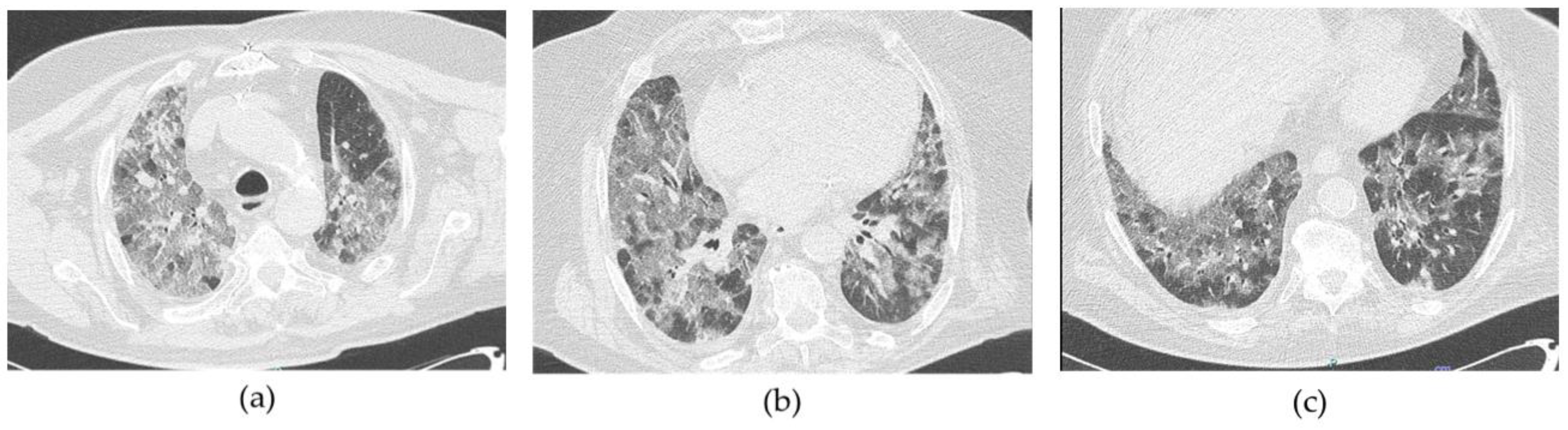
4.3. CT Scan Description
4.4. Therapeutic Approach and Study Design
4.5. Study Objectives
4.6. Statistical Analysis
5. Conclusions
Author Contributions
Funding
Institutional Review Board Statement
Informed Consent Statement
Data Availability Statement
Conflicts of Interest
Abbreviations
| ARDS | Acute Respiratory Distress Syndrome |
| ASS | Antisynthetase Syndrome |
| COVID-19 | Coronavirus Disease 2019 |
| ECMO | Extracorporeal Membrane Oxygenation |
| GC | Glucocorticoids |
| GGO | Ground Glass Opacities |
| HI | Hyperinflammatory |
| ICU | Intensive Care Unit |
| IFN | Interferon |
| IIM | Inflammatory Myopathies |
| RP-ILD | Rapidly-Progressive Interstitial Lung Diseases |
| SARS-CoV-2 | Severe Acute Respiratory Syndrome Coronavirus-2 |
| SoC | Standard of Care |
| 6MP | 6-methylprednisolone |
References
- Vallée, A. Geoepidemiological perspective on COVID-19 pandemic review, an insight into the global impact. Front. Public Health 2023, 11, 1242891. [Google Scholar] [CrossRef]
- Wang, C.; Horby, P.W.; Hayden, F.G.; Gao, G.F. A novel coronavirus outbreak of global health concern. Lancet 2020, 395, 470–473. [Google Scholar] [CrossRef]
- Lu, R.; Zhao, X.; Li, J.; Niu, P.; Yang, B.; Wu, H.; Wang, W.; Song, H.; Huang, B.; Zhu, N.; et al. Genomic characterisation and epidemiology of 2019 novel coronavirus: Implications for virus origins and receptor binding. Lancet 2020, 395, 565–574. [Google Scholar] [CrossRef]
- Zhou, F.; Yu, T.; Du, R.; Fan, G.; Liu, Y.; Liu, Z.; Xiang, J.; Wang, Y.; Song, B.; Gu, X.; et al. Clinical course and risk factors for mortality of adult inpatients with COVID-19 in Wuhan, China: A retrospective cohort study. Lancet 2020, 395, 1054–1062. [Google Scholar] [CrossRef]
- Grasselli, G.; Greco, M.; Zanella, A.; Albano, G.; Antonelli, M.; Bellani, G.; Bonanomi, E.; Cabrini, L.; Carlesso, E.; Castelli, G.; et al. Risk Factors Associated with Mortality Among Patients With COVID-19 in Intensive Care Units in Lombardy, Italy. JAMA Intern. Med. 2020, 180, 1345–1355. [Google Scholar] [CrossRef]
- Yang, L.; Xie, X.; Tu, Z.; Fu, J.; Xu, D.; Zhou, Y. The signal pathways and treatment of cytokine storm in COVID-19. Signal Transduct. Target. Ther. 2021, 6, 255. [Google Scholar] [CrossRef]
- Khan, M.; Adil, S.F.; Alkhathlan, H.Z.; Tahir, M.N.; Saif, S.; Khan, S.T. COVID-19: A Global Challenge with Old History, Epidemiology and Progress So Far. Molecules 2020, 26, 39. [Google Scholar] [CrossRef]
- Huang, R.; Zhu, C.; Wang, J.; Xue, L.; Li, C.; Yan, X.; Huang, S.; Zhang, B.; Zhu, L.; Xu, T.; et al. Corticosteroid therapy is associated with the delay of SARS-CoV-2 clearance in COVID-19 patients. Eur. J. Pharmacol. 2020, 889, 173556. [Google Scholar] [CrossRef]
- Oberfeld, B.; Achanta, A.; Carpenter, K.; Chen, P.; Gilette, N.M.; Langat, P.; Said, J.T.; Schiff, A.E.; Zhou, A.S.; Barczak, A.K.; et al. SnapShot: COVID-19. Cell 2020, 181, 954. [Google Scholar] [CrossRef]
- Sposito, B.; Broggi, A.; Pandolfi, L.; Crotta, S.; Clementi, N.; Ferrarese, R.; Sisti, S.; Criscuolo, E.; Spreafico, R.; Long, J.M.; et al. The interferon landscape along the respiratory tract impacts the severity of COVID-19. Cell 2021, 184, 4953–4968.e16. [Google Scholar] [CrossRef]
- Milross, L.; Majo, J.; Cooper, N.; Kaye, P.M.; Bayraktar, O.; Filby, A.; Fisher, A.J. Post-mortem lung tissue: The fossil record of the pathophysiology and immunopathology of severe COVID-19. Lancet Respir. Med. 2022, 10, 95–106. [Google Scholar] [CrossRef]
- Chappell, L.; Horby, P.; Lim, W.S.; Emberson, J.R.; Mafham, M.; Bell, J.L.; Linsell, L.; Staplin, N.; Brightling, C.; Ustianowski, A.; et al. Dexamethasone in Hospitalized Patients with COVID-19. N. Engl. J. Med. 2021, 384, 693–704. [Google Scholar]
- Agarwal, A.; Hunt, B.J.; Stegemann, M.; Rochwerg, B.; Lamontagne, F.; Siemieniuk, R.A.; Agoritsas, T.; Askie, L.; Lytvyn, L.; Leo, Y.S.; et al. A living WHO guideline on drugs for COVID-19. BMJ 2020, 370, m3379. [Google Scholar] [CrossRef]
- Stebbing, J.; Phelan, A.; Griffin, I.; Tucker, C.; Oechsle, O.; Smith, D.; Richardson, P. COVID-19: Combining antiviral and anti-inflammatory treatments. Lancet Infect Dis. 2020, 20, 400–402. [Google Scholar] [CrossRef]
- Bekerman, E.; Neveu, G.; Shulla, A.; Brannan, J.; Pu, S.-Y.; Wang, S.; Xiao, F.; Barouch-Bentov, R.; Bakken, R.R.; Mateo, R.; et al. Anticancer kinase inhibitors impair intracellular viral trafficking and exert broad-spectrum antiviral effects. J. Clin. Investig. 2017, 127, 1338–1352. [Google Scholar] [CrossRef]
- Kalil, A.C.; Patterson, T.F.; Mehta, A.K.; Tomashek, K.M.; Wolfe, C.R.; Ghazaryan, V.; Marconi, V.C.; Ruiz-Palacios, G.M.; Hsieh, L.; Kline, S.; et al. Baricitinib plus Remdesivir for Hospitalized Adults with COVID-19. N. Engl. J. Med. 2021, 384, 795–807. [Google Scholar] [CrossRef]
- Marconi, V.C.; Ramanan, A.V.; de Bono, S.; E Kartman, C.; Krishnan, V.; Liao, R.; Piruzeli, M.L.B.; Alatorre-Alexander, J.; Pellegrini, R.d.C.; Estrada, V.; et al. Efficacy and safety of baricitinib for the treatment of hospitalised adults with COVID-19 (COV-BARRIER): A randomised, double-blind, parallel-group, placebo-controlled phase 3 trial. Lancet Respir. Med. 2021, 9, 1407–1418. [Google Scholar] [CrossRef]
- Allen, F.D.; RECOVERY Collaborative Group. Baricitinib in patients admitted to hospital with COVID-19 (RECOVERY): A randomised, controlled, open-label, platform trial and updated meta-analysis. Lancet 2022, 400, 359–368. [Google Scholar]
- Gómez, R.I.; Méndez, R.; Palanques-Pastor, T.; Ballesta-López, O.; Almenar, C.B.; Vericat, J.E.; López-Briz, E.; Font-Noguera, I.; Villanueva, R.M.; Iborra, J.A.; et al. Baricitinib against severe COVID-19: Effectiveness and safety in hospitalised pretreated patients. Eur. J. Hosp. Pharm. 2022, 29, e41–e45. [Google Scholar] [CrossRef]
- Akbarzadeh-Khiavi, M.; Torabi, M.; Rahbarnia, L.; Safary, A. Baricitinib combination therapy: A narrative review of repurposed Janus kinase inhibitor against severe SARS-CoV-2 infection. Infection 2022, 50, 295–308. [Google Scholar] [CrossRef]
- Ferro, F.; Elefante, E.; Baldini, C.; Bartoloni, E.; Puxeddu, I.; Talarico, R.; Mosca, M.; Bombardieri, S. COVID-19: The new challenge for rheumatologists. Clin. Exp. Rheumatol. 2020, 38, 175–180. [Google Scholar] [CrossRef]
- Ferro, F.; Elefante, E.; Puxeddu, I.; Baldini, C.; Bartoloni, E.; Baratè, C.; Galimberti, S.; Talarico, R.; Mosca, M.; Bombardieri, S. COVID-19: The new challenge for rheumatologists. First update. Clin. Exp. Rheumatol. 2020, 38, 373–382. [Google Scholar] [CrossRef]
- Puxeddu, I.; Ferro, F.; Bartoloni, E.; Elefante, E.; Baldini, C.; Scirè, C.A.; Talarico, R.; Migliorini, P.; Mosca, M.; Bombardieri, S. COVID-19: The new challenge for rheumatologists. One year later. Clin. Exp. Rheumatol. 2021, 39, 203–213. [Google Scholar] [CrossRef]
- Giannini, M.; Ohana, M.; Nespola, B.; Zanframundo, G.; Geny, B.; Meyer, A. Similarities between COVID-19 and anti-MDA5 syndrome: What can we learn for better care? Eur. Respir. J. 2020, 56, 2001618. [Google Scholar] [CrossRef]
- Cao, M.; Zhang, S.; Chu, D.; Xiao, M.; Liu, X.; Yu, L.; Li, J.; Huang, Y.; Fang, F. COVID-19 or clinical amyopathic dermatomyositis associated rapidly progressive interstitial lung disease? A case report. BMC Pulm. Med. 2020, 20, 304. [Google Scholar] [CrossRef]
- Gracia-Ramos, A.E.; Martin-Nares, E.; Hernández-Molina, G. New Onset of Autoimmune Diseases Following COVID-19 Diagnosis. Cells 2021, 10, 3592. [Google Scholar] [CrossRef]
- Zhou, Y.; Han, T.; Chen, J.; Hou, C.; Hua, L.; He, S.; Guo, Y.; Zhang, S.; Wang, Y.; Yuan, J.; et al. Clinical and Autoimmune Characteristics of Severe and Critical Cases of COVID-19. Clin. Transl. Sci. 2020, 13, 1077–1086. [Google Scholar] [CrossRef]
- Gazzaruso, C.; Carlo Stella, N.; Mariani, G.; Nai, C.; Coppola, A.; Naldani, D.; Gallotti, P. High prevalence of antinuclear antibodies and lupus anticoagulant in patients hospitalized for SARS-CoV-2 pneumonia. Clin. Rheumatol. 2020, 39, 2095–2097. [Google Scholar] [CrossRef]
- Wang, G.; Wang, Q.; Wang, Y.; Liu, C.; Wang, L.; Chen, H.; Jiao, T.; Hu, C.; Lei, X.; Guo, L.; et al. Presence of Anti-MDA5 Antibody and Its Value for the Clinical Assessment in Patients With COVID-19: A Retrospective Cohort Study. Front. Immunol. 2021, 12, 791348. [Google Scholar] [CrossRef]
- Edalatifard, M.; Akhtari, M.; Salehi, M.; Naderi, Z.; Jamshidi, A.; Mostafaei, S.; Najafizadeh, S.R.; Farhadi, E.; Jalili, N.; Esfahani, M.; et al. Intravenous methylprednisolone pulse as a treatment for hospitalised severe COVID-19 patients: Results from a randomised controlled clinical trial. Eur. Respir. J. 2020, 56, 2002808. [Google Scholar] [CrossRef] [PubMed]
- Okano, H.; Furuya, R.; Niida, S.; Minami, S.; Horiuchi, H.; Suzuki, N.; Otsuka, T.; Miyazaki, H. Methylprednisolone pulse therapy for critically ill patients with coronavirus disease 2019: A single-center retrospective observational study. Acute Med. Surg. 2022, 9, e782. [Google Scholar] [CrossRef] [PubMed]
- Ruiz-Irastorza, G.; Pijoan, J.I.; Bereciartua, E.; Dunder, S.; Dominguez, J.; Garcia-Escudero, P.; Rodrigo, A.; Gomez-Carballo, C.; Varona, J.; Guio, L.; et al. Second week methyl-prednisolone pulses improve prognosis in patients with severe coronavirus disease 2019 pneumonia: An observational comparative study using routine care data. PLoS ONE 2020, 15, e0239401. [Google Scholar] [CrossRef] [PubMed]
- Choi, K.J.; Jung, S.K.; Kim, K.C.; Kim, E.J. Methylprednisolone pulse therapy for critically ill patients with COVID-19: A cohort study. Acute Crit. Care 2023, 38, 57–67. [Google Scholar] [CrossRef]
- Salvarani, C.; Massari, M.; Costantini, M.; Merlo, D.F.; Mariani, G.L.; Viale, P.; Nava, S.; Guaraldi, G.; Dolci, G.; Boni, L.; et al. Intravenous methylprednisolone pulses in hospitalised patients with severe COVID-19 pneumonia: A double-blind, randomised, placebo-controlled trial. Eur. Respir. J. 2022, 60, 2200025. [Google Scholar] [CrossRef]
- Czock, D.; Keller, F.; Rasche, F.M.; Häussler, U. Pharmacokinetics and pharmacodynamics of systemically administered glucocorticoids. Clin. Pharmacokinet. 2005, 44, 61–98. [Google Scholar] [CrossRef]
- Hardy, R.S.; Raza, K.; Cooper, M.S. Therapeutic glucocorticoids: Mechanisms of actions in rheumatic diseases. Nat. Rev. Rheumatol. 2020, 16, 133–144. [Google Scholar] [CrossRef]
- Ruiz-Irastorza, G.; Ugarte, A.; Ruiz-Arruza, I.; Khamashta, M. Seventy years after Hench’s Nobel prize: Revisiting the use of glucocorticoids in systemic lupus erythematosus. Lupus 2020, 29, 1155–1167. [Google Scholar] [CrossRef]
- Selvaraj, V.; Finn, A.; Lal, A.; Khan, M.S.; Dapaah-Afriyie, K.; Carino, G.P. Baricitinib in hospitalised patients with COVID-19: A meta-analysis of randomised controlled trials. EClinicalMedicine 2022, 49, 101489. [Google Scholar] [CrossRef]
- Ely, E.W.; Ramanan, A.V.; Kartman, C.E.; de Bono, S.; Liao, R.; Piruzeli, M.L.; Goldman, J.D.; Saraiva, J.F.; Chakladar, S.; Marconi, V.C.; et al. Efficacy and safety of baricitinib plus standard of care for the treatment of critically ill hospitalised adults with COVID-19 on invasive mechanical ventilation or extracorporeal membrane oxygenation: An exploratory, randomised, placebo-controlled trial. Lancet Respir. Med. 2022, 10, 327–336. [Google Scholar] [CrossRef]
- Stebbing, J.; Lauschke, V.M. JAK Inhibitors—More Than Just Glucocorticoids. N. Engl. J. Med. 2021, 385, 463–465. [Google Scholar] [CrossRef]
- Rodriguez-Garcia, J.L.; Sanchez-Nievas, G.; Arevalo-Serrano, J.; Garcia-Gomez, C.; Jimenez-Vizuete, J.M.; Martinez-Alfaro, E. Baricitinib improves respiratory function in patients treated with corticosteroids for SARS-CoV-2 pneumonia: An observational cohort study. Rheumatology 2021, 60, 399–407. [Google Scholar] [CrossRef]
- Ali, A.M.; Rostam, H.M.; Fatah, M.H.; Noori, C.M.; Ali, K.M.; Tawfeeq, H.M. Serum troponin, D-dimer, and CRP level in severe coronavirus (COVID-19) patients. Immun. Inflamm. Dis. 2022, 10, e582. [Google Scholar] [CrossRef] [PubMed]
- Del Valle, D.M.; Kim-Schulze, S.; Huang, H.-H.; Beckmann, N.D.; Nirenberg, S.; Wang, B.; Lavin, Y.; Swartz, T.H.; Madduri, D.; Stock, A.; et al. An inflammatory cytokine signature predicts COVID-19 severity and survival. Nat. Med. 2020, 26, 1636–1643. [Google Scholar] [CrossRef]
- Shakaroun, D.A.; Lazar, M.H.; Horowitz, J.C.; Jennings, J.H. Serum Ferritin as a Predictor of Outcomes in Hospitalized Patients with COVID-19 Pneumonia. J. Intensive Care Med. 2023, 38, 21–26. [Google Scholar] [CrossRef]
- Nasif, W.A.; Mukhtar, M.H.; Althubiti, M.A.; Alamodi, H.S.; Balkhir, O.Y.; Qurban, Y.K.; Alhasni, M.G.; Alharbi, A.K.; Alnemary, S.O.; Fatani, S.H. Serum Ferritin and its Importance for SARS-CoV-2-Infected Patients. Clin. Lab. 2022, 68, 1543–1552. [Google Scholar] [CrossRef]
- Qeadan, F.; Tingey, B.; Gu, L.Y.; Packard, A.H.; Erdei, E.; Saeed, A.I. Prognostic Values of Serum Ferritin and D-Dimer Trajectory in Patients with COVID-19. Viruses 2021, 13, 419. [Google Scholar] [CrossRef]
- Kaushal, K.; Kaur, H.; Sarma, P.; Bhattacharyya, A.; Sharma, D.J.; Prajapat, M.; Pathak, M.; Kothari, A.; Kumar, S.; Rana, S.; et al. Serum ferritin as a predictive biomarker in COVID-19. A systematic review, meta-analysis and meta-regression analysis. J. Crit. Care 2022, 67, 172–181. [Google Scholar] [CrossRef] [PubMed]
- Zuo, Y.; Ye, L.; Chen, F.; Shen, Y.; Lu, X.; Wang, G.; Shu, X. Different Multivariable Risk Factors for Rapid Progressive Interstitial Lung Disease in Anti-MDA5 Positive Dermatomyositis and Anti-Synthetase Syndrome. Front. Immunol. 2022, 13, 845988. [Google Scholar] [CrossRef]
- He, X.; Ji, J.; Chen, X.; Luo, Z.; Fang, S.; Yan, H.; Guo, L. Serum ferritin as a significant biomarker for patients with idiopathic inflammatory myopathy-associated interstitial lung disease: A systematic review and meta-analysis. Semin. Arthritis Rheum. 2024, 64, 152350. [Google Scholar] [CrossRef]
- Lian, L.; Tong, J.J.; Xu, S.Q. Clinical features and prognostic factors of anti-melanoma differentiation-associated gene 5 antibody-positive dermatomyositis with rapidly progressive interstitial lung disease in Chinese patients. Immun. Inflamm. Dis. 2023, 11, e882. [Google Scholar] [CrossRef]
- Halmaciu, I.; Arbănași, E.M.; Kaller, R.; Mureșan, A.V.; Arbănași, E.M.; Bacalbasa, N.; Suciu, B.A.; Cojocaru, I.I.; Runcan, A.I.; Grosu, F.; et al. Chest CT Severity Score and Systemic Inflammatory Biomarkers as Predictors of the Need for Invasive Mechanical Ventilation and of COVID-19 Patients’ Mortality. Diagnostics 2022, 12, 2089. [Google Scholar] [CrossRef]
- Nasoufidou, A.; Kavelidou, M.; Griva, T.; Melikidou, E.; Maskalidis, C.; Machaira, K.; Nikolaidou, B. Total severity score and age predict long-term hospitalization in COVID-19 pneumonia. Front. Med. 2023, 10, 1103701. [Google Scholar] [CrossRef]
- Hasan, J.; Rabbani, R.; Anam, A.M.; Huq, S.M.R.; Polash, M.M.I.; Nessa, S.S.T.; Bachar, S.C. Impact of high dose of baricitinib in severe COVID-19 pneumonia: A prospective cohort study in Bangladesh. BMC Infect. Dis. 2021, 21, 427. [Google Scholar] [CrossRef]
- McPherson, M.; Economidou, S.; Liampas, A.; Zis, P.; Parperis, K. Management of MDA-5 antibody positive clinically amyopathic dermatomyositis associated interstitial lung disease: A systematic review. Semin. Arthritis Rheum. 2022, 53, 151959. [Google Scholar] [CrossRef]
- Wang, L.; Lv, C.; You, H.; Xu, L.; Yuan, F.; Li, J.; Wu, M.; Zhou, S.; Da, Z.; Qian, J.; et al. Rapidly progressive interstitial lung disease risk prediction in anti-MDA5 positive dermatomyositis: The CROSS model. Front. Immunol. 2024, 15, 1286973. [Google Scholar] [CrossRef]
- Jablonski, R.; Bhorade, S.; Strek, M.E.; Dematte, J. Recognition and Management of Myositis-Associated Rapidly Progressive Interstitial Lung Disease. Chest 2020, 158, 252–263. [Google Scholar] [CrossRef]
- Ishikawa, Y.; Iwata, S.; Hanami, K.; Nawata, A.; Zhang, M.; Yamagata, K.; Hirata, S.; Sakata, K.; Todoroki, Y.; Nakano, K.; et al. Relevance of interferon-gamma in pathogenesis of life-threatening rapidly progressive interstitial lung disease in patients with dermatomyositis. Arthritis Res. Ther. 2018, 20, 240. [Google Scholar] [CrossRef]
- Cavagna, L.; Ferro, F.; Zanframundo, G.; La Rocca, G.; Puxeddu, I. Idiopathic inflammatory myopathies and COVID-19: An intriguing liaison? Clin. Exp. Rheumatol. 2023, 41, 217–220. [Google Scholar] [CrossRef]
- La Rocca, G.; Ferro, F.; Baldini, C.; Libra, A.; Sambataro, D.; Colaci, M.; Malatino, L.; Palmucci, S.; Vancheri, C.; Sambataro, G. Targeting intracellular pathways in idiopathic inflammatory myopathies: A narrative review. Front. Med. 2023, 10, 1158768. [Google Scholar] [CrossRef]
- Montero, P.; Milara, J.; Roger, I.; Cortijo, J. Role of JAK/STAT in Interstitial Lung Diseases; Molecular and Cellular Mechanisms. Int. J. Mol. Sci. 2021, 22, 6211. [Google Scholar] [CrossRef]
- Traves, P.G.; Murray, B.; Campigotto, F.; Galien, R.; Meng, A.; Di Paolo, J.A. JAK selectivity and the implications for clinical inhibition of pharmacodynamic cytokine signalling by filgotinib, upadacitinib, tofacitinib and baricitinib. Ann. Rheum. Dis. 2021, 80, 865–875. [Google Scholar] [CrossRef]
- Chen, Z.; Wang, X.; Ye, S. Tofacitinib in Amyopathic Dermatomyositis-Associated Interstitial Lung Disease. N. Engl. J. Med. 2019, 381, 291–293. [Google Scholar] [CrossRef]
- Ida, T.; Furuta, S.; Takayama, A.; Tamura, J.; Hayashi, Y.; Abe, K.; Kurihara, S.; Ishikawa, J.; Iwamoto, T.; Ikeda, K.; et al. Efficacy and safety of dose escalation of tofacitinib in refractory anti-MDA5 antibody-positive dermatomyositis. RMD Open 2023, 9, e002795. [Google Scholar] [CrossRef]
- Harada, H.; Shoda, H.; Tsuchiya, H.; Misaki, M.; Sawada, T.; Fujio, K. Baricitinib for anti-melanoma differentiation-associated protein 5 antibody-positive dermatomyositis-associated interstitial lung disease: A case series and literature review on Janus kinase inhibitors for the disease. Rheumatol. Int. 2024, 44, 961–971. [Google Scholar] [CrossRef]


| Standard of Care Group (n° = 104) | Rheuma Group (n° = 142) | |
|---|---|---|
| Age, years (mean ± SD) | 66.8 ± 10.4 | 64 ± 11.3 |
| Sex, n° (%) | ||
| Male | 70 (67%) | 90 (63%) |
| Female | 34 (33%) | 52 (37%) |
| Pre-existing comorbidities, n° (%) | ||
| COPD 1 | 18 (17%) | 29 (20%) |
| Obesity | 11 (10%) | 25 (17%) |
| CHD 2 | 9 (8%) | 17 (11%) |
| Hypertension | 25 (24%) | 31 (22%) |
| Inflammatory markers, (mean ± SD) | ||
| C-reactive protein, mg/dL | 10.3 ± 8.7 | 11.6 ± 6.6 |
| Ferritin, ng/mL | 1155 ± 1059 | 1294 ± 995 |
| Fibrinogen, mg/dL | 568 ± 200 | 580 ± 130 |
| Lactate dehydrogenase, U/L | 395 ± 165 | 382 ± 130 |
| Lymphocytes/mcL | 810 ± 240 | 480 ± 99 |
| Max d-dimer, mg/L | 1410 ± 749 | 3507 ± 3044 |
| P/F 3 Ratio, (mean ± SD) | 203 ± 122 | 211 ± 143 |
| Time from first symptom to ICU 4, days (mean ± SD) | 15.0 ± 4.2 | 9.5 ± 4.5 |
| Standard of Care Group (n° = 104) | Rheuma Group (n° = 142) | p Value | |
|---|---|---|---|
| Intra ICU 1 death rate, n° (%) | 42/104 (40.4%) | 22/142 (15.5%) | <0.001 |
| Duration of ICU 1 hospitalization, days (mean ± SD) | 14.6 ± 9.6 | 14.5 ± 8.1 | ns |
| Inflammatory markers after 1 week (mean ± SD) | |||
| C-reactive protein, mg/dL | 6.14 ± 7.3 | 2.03 ± 2.75 | <0.001 |
| Ferritin, ng/mL | 1075 ± 856 | 888 ± 619 | <0.05 |
| Fibrinogen, mg/dL | 453 ± 172 | 358 ± 118 | <0.001 |
| Survivors (n° = 104, 84%) | Deceased (n° = 22, 16%) | p Value | |
|---|---|---|---|
| Age, years (mean ± SD) | 62.9 ± 11.5 | 70.9 ± 7.1 | <0.01 |
| Sex, n° (%) | |||
| Male | 76 (63%) | 14 (63%) | ns |
| Female | 28 (27%) | 8 (27%) | ns |
| Inflammatory markers at baseline (mean ± SD) | |||
| C-reactive protein, mg/dL | 6.27 ± 2.55 | 15.67 ± 7.59 | ns |
| Ferritin, ng/mL | 744 ± 409 | 737 ± 205 | ns |
| Fibrinogen, mg/dL | 590 ± 119 | 577 ± 132 | ns |
| Lactate dehydrogenase, U/L | 375 ± 44 | 420 ± 58 | ns |
| Procalcitonin ng/mL | 0.09 ± 0.04 | 0.13 ± 0.02 | ns |
| Baseline TSS 1 | 11.8 ± 3.2 | 12.6 ± 4.3 | ns |
| Inflammatory markers after one week (mean ± SD) | |||
| C-reactive protein, mg/dL | 1.47 ± 1.76 | 5.31 ± 4.60 | <0.001 |
| Ferritin, ng/mL | 842 ± 554 | 1140 ± 871 | <0.05 |
| Fibrinogen, mg/dL | 344 ± 100 | 441 ± 169 | <0.001 |
| Lactate dehydrogenase, U/L | 375 ± 44 | 420 ± 58 | ns |
| Duration of symptoms before hospitalization, days (mean ± SD) | 8.2 ± 3.1 | 6.5 ± 2.5 | ns |
| Time between hospitalization and treatment start, days (mean ± SD) | 5.1 ± 4.2 | 8.2 ± 6.8 | <0.01 |
| Total duration of ICU 2 hospitalization, days (mean ± SD) | 13.5 ± 3.5 | 17.3 ± 8.4 | ns |
Disclaimer/Publisher’s Note: The statements, opinions and data contained in all publications are solely those of the individual author(s) and contributor(s) and not of MDPI and/or the editor(s). MDPI and/or the editor(s) disclaim responsibility for any injury to people or property resulting from any ideas, methods, instructions or products referred to in the content. |
© 2024 by the authors. Licensee MDPI, Basel, Switzerland. This article is an open access article distributed under the terms and conditions of the Creative Commons Attribution (CC BY) license (https://creativecommons.org/licenses/by/4.0/).
Share and Cite
Ferro, F.; La Rocca, G.; Elefante, E.; Italiano, N.; Moretti, M.; Talarico, R.; Pelati, E.; Valentini, K.; Baldini, C.; Mozzo, R.; et al. Baricitinib and Pulse Steroids Combination Treatment in Hyperinflammatory COVID-19: A Rheumatological Approach in the Intensive Care Unit. Int. J. Mol. Sci. 2024, 25, 7273. https://doi.org/10.3390/ijms25137273
Ferro F, La Rocca G, Elefante E, Italiano N, Moretti M, Talarico R, Pelati E, Valentini K, Baldini C, Mozzo R, et al. Baricitinib and Pulse Steroids Combination Treatment in Hyperinflammatory COVID-19: A Rheumatological Approach in the Intensive Care Unit. International Journal of Molecular Sciences. 2024; 25(13):7273. https://doi.org/10.3390/ijms25137273
Chicago/Turabian StyleFerro, Francesco, Gaetano La Rocca, Elena Elefante, Nazzareno Italiano, Michele Moretti, Rosaria Talarico, Erika Pelati, Katia Valentini, Chiara Baldini, Roberto Mozzo, and et al. 2024. "Baricitinib and Pulse Steroids Combination Treatment in Hyperinflammatory COVID-19: A Rheumatological Approach in the Intensive Care Unit" International Journal of Molecular Sciences 25, no. 13: 7273. https://doi.org/10.3390/ijms25137273
APA StyleFerro, F., La Rocca, G., Elefante, E., Italiano, N., Moretti, M., Talarico, R., Pelati, E., Valentini, K., Baldini, C., Mozzo, R., De Simone, L., & Mosca, M. (2024). Baricitinib and Pulse Steroids Combination Treatment in Hyperinflammatory COVID-19: A Rheumatological Approach in the Intensive Care Unit. International Journal of Molecular Sciences, 25(13), 7273. https://doi.org/10.3390/ijms25137273

