Dietary Walnuts Prevented Indomethacin-Induced Gastric Damage via AP-1 Transcribed 15-PGDH, Nrf2-Mediated HO-1, and n-3 PUFA-Derived Resolvin E1
Abstract
1. Introduction
2. Results
2.1. WPE-Inhibited PGE2 via COX-2 and NF-κB Inhibition
2.2. Walnut Extracts Prevented Indomethacin-Induced Inhibition of 15-PGDH
2.3. Walnut Extracts Afforded Antioxidative Action under Indomethacin Stimulation
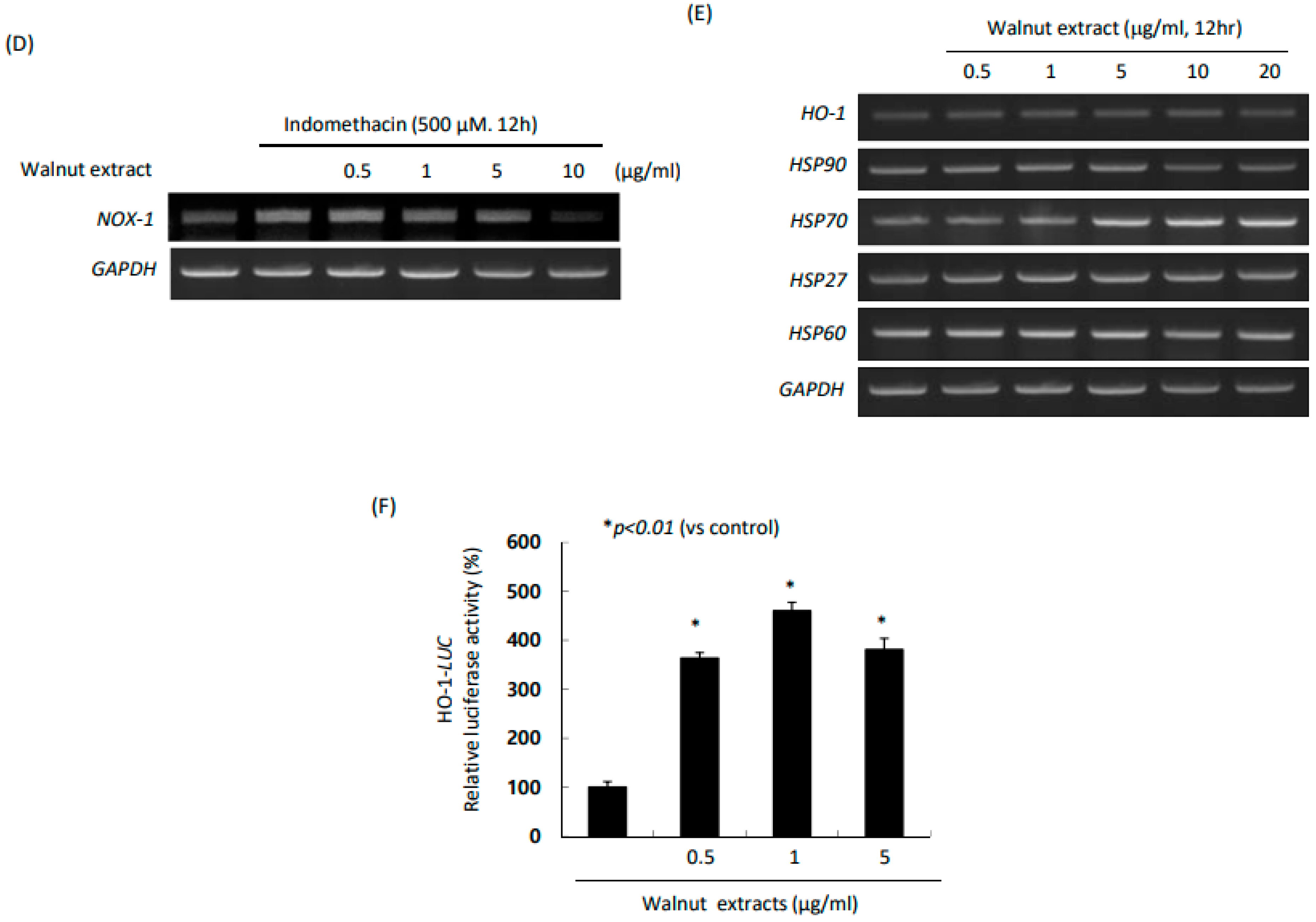
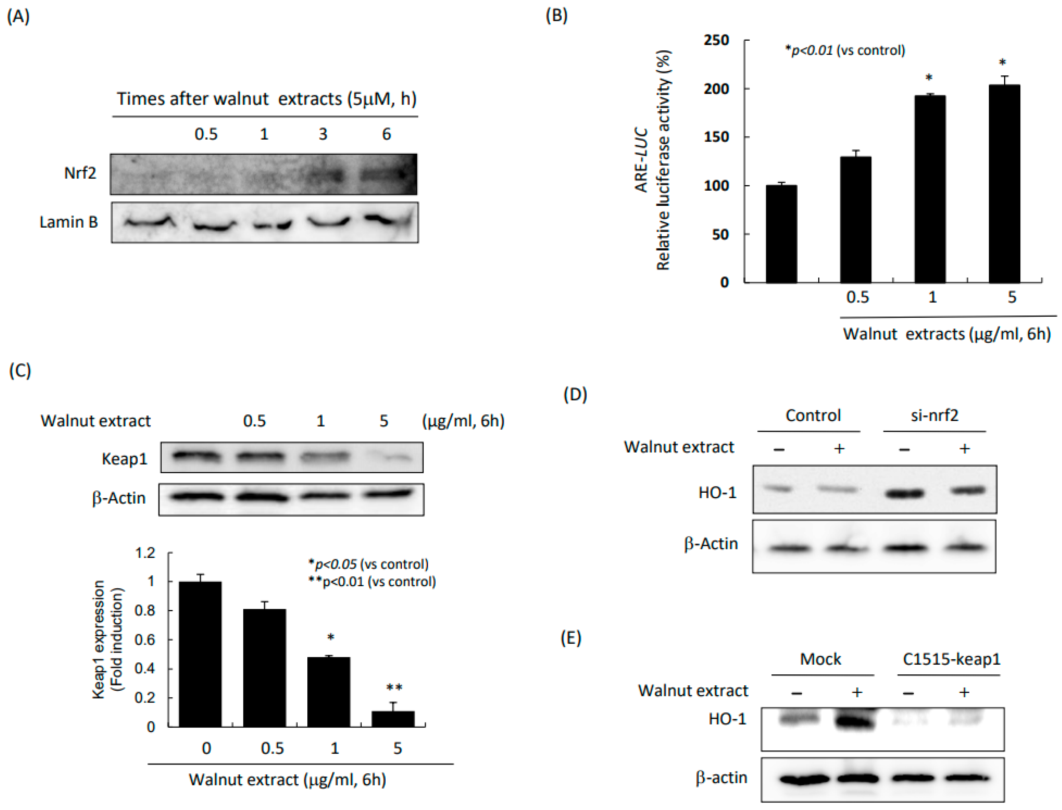
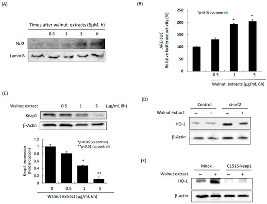
2.4. Significant Induction of Nrf2 via keap1 Inhibition Led to HO-1 Induction
2.5. Anti-Apoptotic Action of Walnut Extracts against Indomethacin Cytotoxicity
2.6. RvE1 Induction with WPE to Increase Cytoprotection
2.7. Dietary Walnut Led to Significant Rescue from Indomethacin-Induced Gastric Damage
3. Discussion
4. Materials and Methods
4.1. Reagents
4.2. Preparation of WPE
4.3. Cells and Cytotoxicity Assay
4.4. Dichlorofluorescin Diacetate (DCF-DA) Measurement
4.5. Animal Experimental Procedure
4.6. Hematoxylin and Eosin (H&E) Staining and Immunohistochemistry
4.7. Terminal Deoxynucleotidyl Transferase-Mediated dUTP Nick End Labeling (TUNEL) Assay
4.8. Cytokine Array and ELISA
4.9. Statistical Analysis
5. Conclusions
Supplementary Materials
Author Contributions
Funding
Institutional Review Board Statement
Informed Consent Statement
Data Availability Statement
Acknowledgments
Conflicts of Interest
References
- Dorais, J.; Gregoire, G.; LeLorier, J. Gastrointestinal damage associated with nonsteroidal antiinflammatory drugs. N. Engl. J. Med. 1992, 327, 1882–1883. [Google Scholar] [CrossRef] [PubMed]
- Wolfe, M.M.; Lichtenstein, D.R.; Singh, G. Gastrointestinal toxicity of nonsteroidal antiinflammatory drugs. N. Engl. J. Med. 1999, 340, 1888–1899. [Google Scholar] [CrossRef]
- Morgan, R.W. Gastrointestinal toxicity of nonsteroidal antiinflammatory drugs. N. Engl. J. Med. 1999, 341, 1397–1399. [Google Scholar] [CrossRef]
- Kangwan, N.; Park, J.M.; Hahm, K.B. Development of GI-safe NSAID; progression from the bark of willow tree to modern pharmacology. Curr. Opin. Pharmacol. 2014, 19, 17–23. [Google Scholar] [CrossRef]
- Lim, Y.J.; Lee, J.S.; Ku, Y.S.; Hahm, K.B. Rescue strategies against non-steroidal anti-inflammatory drug-induced gastroduodenal damage. J. Gastroenterol. Hepatol. 2009, 24, 1169–1178. [Google Scholar] [CrossRef]
- Goldstein, J.L.; Larson, L.R.; Yamashita, B.D. Prevention of nonsteroidal anti-inflammatory drug-induced gastropathy: Clinical and economic implications of a single-tablet formulation of diclofenac/misoprostol. Am. J. Manag. Care 1998, 4, 687–697. [Google Scholar] [PubMed]
- Cryer, B.; Feldman, M. Effects of nonsteroidal anti-inflammatory drugs on endogenous gastrointestinal prostaglandins and therapeutic strategies for prevention and treatment of nonsteroidal anti-inflammatory drug-induced damage. Arch. Intern. Med. 1992, 152, 1145–1155. [Google Scholar] [CrossRef]
- Shen, F.; Zhao, C.S.; Shen, M.F.; Wang, Z.; Chen, G. The role of hydrogen sulfide in gastric mucosal damage. Med. Gas Res. 2019, 9, 88–92. [Google Scholar] [CrossRef] [PubMed]
- Kim, M.Y.; Han, Y.M.; Park, J.M.; Hahm, K.B. GI-Safer Aspirin: Sometimes Sugar Coating Helps. Dig. Dis. Sci. 2016, 61, 2151–2153. [Google Scholar] [CrossRef] [PubMed]
- Ayuob, N.; ElBeshbeishy, R. Impact of an Energy Drink on the Structure of Stomach and Pancreas of Albino Rat: Can Omega-3 Provide a Protection? PLoS ONE 2016, 11, e0149191. [Google Scholar] [CrossRef]
- Suleyman, H.; Albayrak, A.; Bilici, M.; Cadirci, E.; Halici, Z. Different mechanisms in formation and prevention of indomethacin-induced gastric ulcers. Inflammation 2010, 33, 224–234. [Google Scholar] [CrossRef] [PubMed]
- Garcia-Rayado, G.; Navarro, M.; Lanas, A. NSAID induced gastrointestinal damage and designing GI-sparing NSAIDs. Expert Rev. Clin. Pharmacol. 2018, 11, 1031–1043. [Google Scholar] [CrossRef] [PubMed]
- Pereira-Leite, C.; Nunes, C.; Jamal, S.K.; Cuccovia, I.M.; Reis, S. Nonsteroidal Anti-Inflammatory Therapy: A Journey Toward Safety. Med. Res. Rev. 2017, 37, 802–859. [Google Scholar] [CrossRef] [PubMed]
- FitzGerald, G.A.; Patrono, C. The coxibs, selective inhibitors of cyclooxygenase-2. N. Engl. J. Med. 2001, 345, 433–442. [Google Scholar] [CrossRef]
- Chang, S.Y.; Howden, C.W. Is no NSAID a good NSAID? Approaches to NSAID-associated upper gastrointestinal disease. Curr. Gastroenterol. Rep. 2004, 6, 447–453. [Google Scholar] [CrossRef] [PubMed]
- Keeble, J.E.; Moore, P.K. Pharmacology and potential therapeutic applications of nitric oxide-releasing non-steroidal anti-inflammatory and related nitric oxide-donating drugs. Br. J. Pharmacol. 2002, 137, 295–310. [Google Scholar] [CrossRef] [PubMed]
- Lichtenberger, L.M.; Barron, M.; Marathi, U. Association of phosphatidylcholine and NSAIDs as a novel strategy to reduce gastrointestinal toxicity. Drugs Today 2009, 45, 877–890. [Google Scholar] [CrossRef] [PubMed]
- De Cicco, P.; Panza, E.; Ercolano, G.; Armogida, C.; Sessa, G.; Pirozzi, G.; Cirino, G.; Wallace, J.L.; Ianaro, A. ATB-346, a novel hydrogen sulfide-releasing anti-inflammatory drug, induces apoptosis of human melanoma cells and inhibits melanoma development in vivo. Pharmacol. Res. 2016, 114, 67–73. [Google Scholar] [CrossRef]
- Yum, H.W.; Kang, J.X.; Hahm, K.B.; Surh, Y.J. Constitutive omega-3 fatty acid production in fat-1 transgenic mice and docosahexaenoic acid administration to wild type mice protect against 2,4,6-trinitrobenzene sulfonic acid-induced colitis. Biochem. Biophys. Res. Commun. 2017, 487, 847–855. [Google Scholar] [CrossRef]
- Han, Y.M.; Park, J.M.; Kang, J.X.; Cha, J.Y.; Lee, H.J.; Jeong, M.; Go, E.J.; Hahm, K.B. Mitigation of indomethacin-induced gastrointestinal damages in fat-1 transgenic mice via gate-keeper action of omega-3-polyunsaturated fatty acids. Sci. Rep. 2016, 6, 33992. [Google Scholar] [CrossRef]
- Scally, B.; Emberson, J.R.; Spata, E.; Reith, C.; Davies, K.; Halls, H.; Holland, L.; Wilson, K.; Bhala, N.; Hawkey, C.; et al. Effects of gastroprotectant drugs for the prevention and treatment of peptic ulcer disease and its complications: A meta-analysis of randomised trials. Lancet Gastroenterol. Hepatol. 2018, 3, 231–241. [Google Scholar] [CrossRef] [PubMed]
- Gargallo, C.J.; Sostres, C.; Lanas, A. Prevention and Treatment of NSAID Gastropathy. Curr. Treat. Options Gastroenterol. 2014, 12, 398–413. [Google Scholar] [CrossRef]
- Lee, S.W.; Kim, H.Y.; Park, S.H.; Hahm, K.B.; Bae, J.M.; Jung, H.C.; Kim, J.H. The effect of non-steroidal anti-inflammatory drugs in upper gastrointestinal bleeding. Korean J. Gastroenterol. 2004, 44, 13–18. [Google Scholar] [PubMed]
- Park, J.M.; Han, Y.M.; Jeong, M.; Kim, E.H.; Ko, W.J.; Cho, J.Y.; Hahm, K.B. Omega-3 polyunsaturated fatty acids as an angelus custos to rescue patients from NSAID-induced gastroduodenal damage. J. Gastroenterol. 2015, 50, 614–625. [Google Scholar] [CrossRef]
- Hofer, M.; Hoferova, Z.; Falk, M. Brief Story on Prostaglandins, Inhibitors of their Synthesis, Hematopoiesis, and Acute Radiation Syndrome. Molecules 2019, 24, 4019. [Google Scholar] [CrossRef] [PubMed]
- Takeuchi, K.; Satoh, H. NSAID-induced small intestinal damage--roles of various pathogenic factors. Digestion 2015, 91, 218–232. [Google Scholar] [CrossRef]
- Pellicano, R. Gastrointestinal damage by non-steroidal anti-inflammatory drugs: Updated clinical considerations. Minerva Gastroenterol. Dietol. 2014, 60, 255–261. [Google Scholar] [PubMed]
- Fink, S.P.; Yamauchi, M.; Nishihara, R.; Jung, S.; Kuchiba, A.; Wu, K.; Cho, E.; Giovannucci, E.; Fuchs, C.S.; Ogino, S.; et al. Aspirin and the risk of colorectal cancer in relation to the expression of 15-hydroxyprostaglandin dehydrogenase (HPGD). Sci. Transl. Med. 2014, 6, 233re2. [Google Scholar] [CrossRef] [PubMed]
- Tai, H.H.; Chi, X.; Tong, M. Regulation of 15-hydroxyprostaglandin dehydrogenase (15-PGDH) by non-steroidal anti-inflammatory drugs (NSAIDs). Prostaglandins Other Lipid Mediat. 2011, 96, 37–40. [Google Scholar] [CrossRef]
- Lim, K.; Han, C.; Dai, Y.; Shen, M.; Wu, T. Omega-3 polyunsaturated fatty acids inhibit hepatocellular carcinoma cell growth through blocking beta-catenin and cyclooxygenase-2. Mol. Cancer Ther. 2009, 8, 3046–3055. [Google Scholar] [CrossRef]
- Charames, G.S.; Bapat, B. Cyclooxygenase-2 knockdown by RNA interference in colon cancer. Int. J. Oncol. 2006, 28, 543–549. [Google Scholar] [CrossRef] [PubMed][Green Version]
- Cheng, Y.T.; Lu, C.C.; Yen, G.C. Phytochemicals enhance antioxidant enzyme expression to protect against NSAID-induced oxidative damage of the gastrointestinal mucosa. Mol. Nutr. Food Res. 2017, 61, 1600659. [Google Scholar] [CrossRef]
- Naito, Y.; Yoshikawa, T. Oxidative stress involvement and gene expression in indomethacin-induced gastropathy. Redox Rep. 2006, 11, 243–253. [Google Scholar] [CrossRef] [PubMed]
- Carrasco-Pozo, C.; Castillo, R.L.; Beltran, C.; Miranda, A.; Fuentes, J.; Gotteland, M. Molecular mechanisms of gastrointestinal protection by quercetin against indomethacin-induced damage: Role of NF-κB and Nrf2. J. Nutr. Biochem. 2016, 27, 289–298. [Google Scholar] [CrossRef] [PubMed]
- Song, H.J.; Shin, C.Y.; Oh, T.Y.; Min, Y.S.; Park, E.S.; Sohn, U.D. Eupatilin with heme oxygenase-1-inducing ability protects cultured feline esophageal epithelial cells from cell damage caused by indomethacin. Biol. Pharm. Bull. 2009, 32, 589–596. [Google Scholar] [CrossRef]
- Lee, H.J.; Han, Y.M.; Kim, E.H.; Kim, Y.J.; Hahm, K.B. A possible involvement of Nrf2-mediated heme oxygenase-1 up-regulation in protective effect of the proton pump inhibitor pantoprazole against indomethacin-induced gastric damage in rats. BMC Gastroenterol. 2012, 12, 143. [Google Scholar] [CrossRef]
- Naito, Y.; Takagi, T.; Uchiyama, K.; Yoshikawa, T. Heme oxygenase-1: A novel therapeutic target for gastrointestinal diseases. J. Clin. Biochem. Nutr. 2011, 48, 126–133. [Google Scholar] [CrossRef]
- Facchinetti, M.M. Heme-Oxygenase-1. Antioxid. Redox Signal. 2020, 32, 1239–1242. [Google Scholar] [CrossRef]
- Drummond, G.S.; Baum, J.; Greenberg, M.; Lewis, D.; Abraham, N.G. HO-1 overexpression and underexpression: Clinical implications. Arch. Biochem. Biophys. 2019, 673, 108073. [Google Scholar] [CrossRef]
- Aburaya, M.; Tanaka, K.; Hoshino, T.; Tsutsumi, S.; Suzuki, K.; Makise, M.; Akagi, R.; Mizushima, T. Heme oxygenase-1 protects gastric mucosal cells against non-steroidal anti-inflammatory drugs. J. Biol. Chem. 2006, 281, 33422–33432. [Google Scholar] [CrossRef]
- Wu, B.; Wu, Y.; Tang, W. Heme Catabolic Pathway in Inflammation and Immune Disorders. Front. Pharmacol. 2019, 10, 825. [Google Scholar] [CrossRef] [PubMed]
- Pineda-Pena, E.A.; Martinez-Perez, Y.; Galicia-Moreno, M.; Navarrete, A.; Segovia, J.; Muriel, P.; Favari, L.; Castaneda-Hernandez, G.; Chavez-Pina, A.E. Participation of the anti-inflammatory and antioxidative activity of docosahexaenoic acid on indomethacin-induced gastric injury model. Eur. J. Pharmacol. 2018, 818, 585–592. [Google Scholar] [CrossRef] [PubMed]
- Campbell, E.L.; MacManus, C.F.; Kominsky, D.J.; Keely, S.; Glover, L.E.; Bowers, B.E.; Scully, M.; Bruyninckx, W.J.; Colgan, S.P. Resolvin E1-induced intestinal alkaline phosphatase promotes resolution of inflammation through LPS detoxification. Proc. Natl. Acad. Sci. USA 2010, 107, 14298–14303. [Google Scholar] [CrossRef] [PubMed]
- Lee, J.; Kim, Y.S.; Lee, J.; Heo, S.C.; Lee, K.L.; Choi, S.W.; Kim, Y. Walnut Phenolic Extract and Its Bioactive Compounds Suppress Colon Cancer Cell Growth by Regulating Colon Cancer Stemness. Nutrients 2016, 8, 439. [Google Scholar] [CrossRef] [PubMed]
- Nakanishi, M.; Matz, A.; Klemashevich, C.; Rosenberg, D.W. Dietary Walnut Supplementation Alters Mucosal Metabolite Profiles During DSS-Induced Colonic Ulceration. Nutrients 2019, 11, 1118. [Google Scholar] [CrossRef] [PubMed]
- Koh, S.J.; Choi, Y.I.; Kim, Y.; Kim, Y.S.; Choi, S.W.; Kim, J.W.; Kim, B.G.; Lee, K.L. Walnut phenolic extract inhibits nuclear factor kappaB signaling in intestinal epithelial cells, and ameliorates experimental colitis and colitis-associated colon cancer in mice. Eur. J. Nutr. 2019, 58, 1603–1613. [Google Scholar] [CrossRef] [PubMed]
- Liu, H.; Wan, Y.; Wang, Y.; Zhao, Y.; Zhang, Y.; Zhang, A.; Weng, Q.; Xu, M. Walnut Polyphenol Extract Protects against Fenitrothion-Induced Immunotoxicity in Murine Splenic Lymphocytes. Nutrients 2018, 10, 1838. [Google Scholar] [CrossRef] [PubMed]
- Shin, P.K.; Zoh, Y.; Choi, J.; Kim, M.S.; Kim, Y.; Choi, S.W. Walnut phenolic extracts reduce telomere length and telomerase activity in a colon cancer stem cell model. Nutr. Res. Pract. 2019, 13, 58–63. [Google Scholar] [CrossRef] [PubMed]
- Chung, J.; Kim, Y.S.; Lee, J.; Lee, J.H.; Choi, S.W.; Kim, Y. Compositional analysis of walnut lipid extracts and properties as an anti-cancer stem cell regulator via suppression of the self-renewal capacity. Food Sci. Biotechnol. 2016, 25, 623–629. [Google Scholar] [CrossRef]
- Garcia-Aloy, M.; Hulshof, P.J.M.; Estruel-Amades, S.; Oste, M.C.J.; Lankinen, M.; Geleijnse, J.M.; de Goede, J.; Ulaszewska, M.; Mattivi, F.; Bakker, S.J.L.; et al. Biomarkers of food intake for nuts and vegetable oils: An extensive literature search. Genes. Nutr. 2019, 14, 7. [Google Scholar] [CrossRef]
- Daglia, M.; Di Lorenzo, A.; Nabavi, S.F.; Talas, Z.S.; Nabavi, S.M. Polyphenols: Well beyond the antioxidant capacity: Gallic acid and related compounds as neuroprotective agents: You are what you eat! Curr. Pharm. Biotechnol. 2014, 15, 362–372. [Google Scholar] [CrossRef]
- Vinson, J.A.; Cai, Y. Nuts, especially walnuts, have both antioxidant quantity and efficacy and exhibit significant potential health benefits. Food Funct. 2012, 3, 134–140. [Google Scholar] [CrossRef] [PubMed]
- Selma, M.V.; Beltran, D.; Luna, M.C.; Romo-Vaquero, M.; Garcia-Villalba, R.; Mira, A.; Espin, J.C.; Tomas-Barberan, F.A. Isolation of Human Intestinal Bacteria Capable of Producing the Bioactive Metabolite Isourolithin A from Ellagic Acid. Front. Microbiol. 2017, 8, 1521. [Google Scholar] [CrossRef] [PubMed]
- Kang, I.; Buckner, T.; Shay, N.F.; Gu, L.; Chung, S. Improvements in Metabolic Health with Consumption of Ellagic Acid and Subsequent Conversion into Urolithins: Evidence and Mechanisms. Adv. Nutr. 2016, 7, 961–972. [Google Scholar] [CrossRef] [PubMed]
- Park, J.M.; An, J.M.; Han, Y.M.; Surh, Y.J.; Hwang, S.J.; Kim, S.J.; Hahm, K.B. Walnut polyphenol extracts inhibit Helicobacter pylori-induced STAT3(Tyr705) phosphorylation through activation of PPAR-γ and SOCS1 induction. J. Clin. Biochem. Nutr. 2020, 67, 248–256. [Google Scholar] [CrossRef]
- Park, J.M.; Han, Y.M.; Park, Y.J.; Hahm, K.B. Dietary intake of walnut prevented Helicobacter pylori-associated gastric cancer through rejuvenation of chronic atrophic gastritis. J. Clin. Biochem. Nutr. 2021, 68, 37–50. [Google Scholar] [CrossRef]









Disclaimer/Publisher’s Note: The statements, opinions and data contained in all publications are solely those of the individual author(s) and contributor(s) and not of MDPI and/or the editor(s). MDPI and/or the editor(s) disclaim responsibility for any injury to people or property resulting from any ideas, methods, instructions or products referred to in the content. |
© 2024 by the authors. Licensee MDPI, Basel, Switzerland. This article is an open access article distributed under the terms and conditions of the Creative Commons Attribution (CC BY) license (https://creativecommons.org/licenses/by/4.0/).
Share and Cite
Park, J.M.; Hahm, K.B. Dietary Walnuts Prevented Indomethacin-Induced Gastric Damage via AP-1 Transcribed 15-PGDH, Nrf2-Mediated HO-1, and n-3 PUFA-Derived Resolvin E1. Int. J. Mol. Sci. 2024, 25, 7239. https://doi.org/10.3390/ijms25137239
Park JM, Hahm KB. Dietary Walnuts Prevented Indomethacin-Induced Gastric Damage via AP-1 Transcribed 15-PGDH, Nrf2-Mediated HO-1, and n-3 PUFA-Derived Resolvin E1. International Journal of Molecular Sciences. 2024; 25(13):7239. https://doi.org/10.3390/ijms25137239
Chicago/Turabian StylePark, Jong Min, and Ki Baik Hahm. 2024. "Dietary Walnuts Prevented Indomethacin-Induced Gastric Damage via AP-1 Transcribed 15-PGDH, Nrf2-Mediated HO-1, and n-3 PUFA-Derived Resolvin E1" International Journal of Molecular Sciences 25, no. 13: 7239. https://doi.org/10.3390/ijms25137239
APA StylePark, J. M., & Hahm, K. B. (2024). Dietary Walnuts Prevented Indomethacin-Induced Gastric Damage via AP-1 Transcribed 15-PGDH, Nrf2-Mediated HO-1, and n-3 PUFA-Derived Resolvin E1. International Journal of Molecular Sciences, 25(13), 7239. https://doi.org/10.3390/ijms25137239

