Cellular Therapy in Experimental Autoimmune Encephalomyelitis as an Adjuvant Treatment to Translate for Multiple Sclerosis
Abstract
1. Introduction
2. Results
2.1. Characterization of Wharton’s Jelly Mesenchymal Stem Cells and Neural Precursors
2.1.1. Flow Cytometry Analysis
2.1.2. Trilineage Assay
2.1.3. Immunocytochemistry
2.2. Clinical Score Signs and Weight
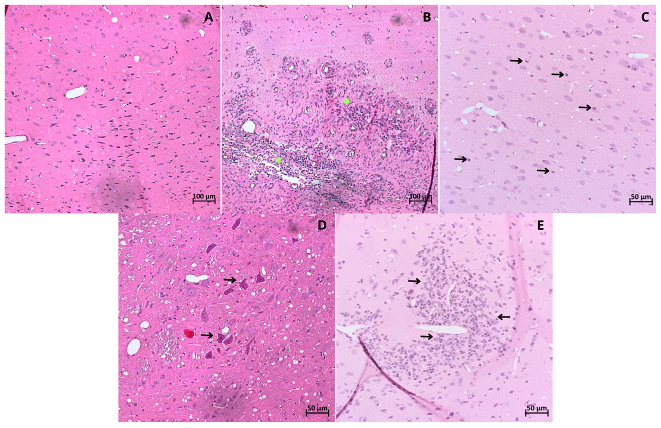
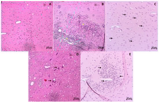
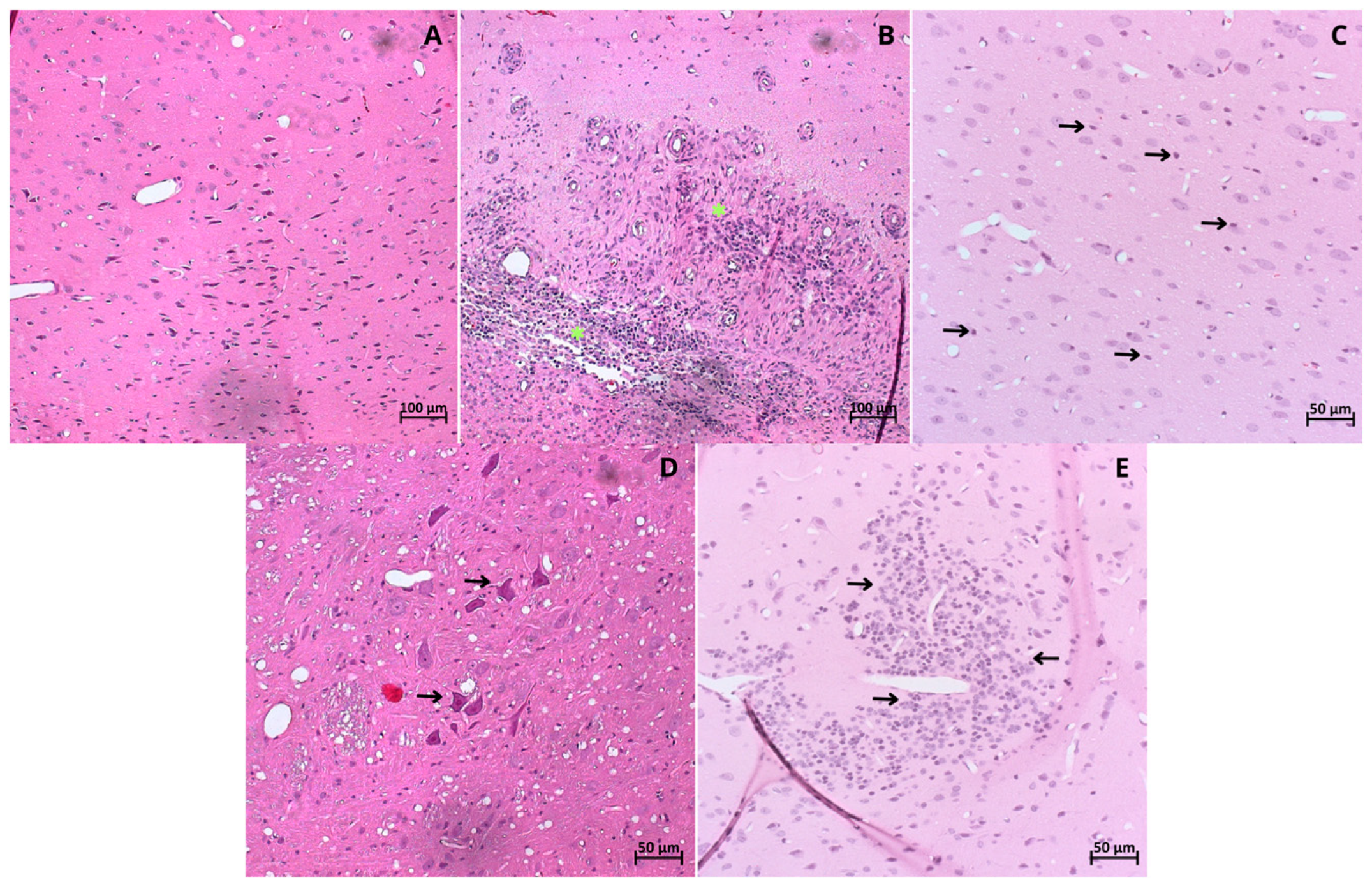
2.3. Histopathological Analysis
Morphological Analysis
2.4. Histopathology and Immunohistochemistry (IHC) Analysis
2.4.1. Cytokines
2.4.2. Membrane Cell Markers
3. Discussion
4. Conclusions
5. Materials and Methods
5.1. Animals
5.2. Experimental Design
5.3. EAE Induction
5.4. Clinical Signs of EAE
5.5. Acquisition and Isolation of Wharton’s Jelly Mesenchymal Stem Cells
5.6. Characterization of WJ-MSCs
5.6.1. Flow Cytometry
5.6.2. Trilineage Assay
5.7. Differentiation of Neural Precursors
5.8. Immunocytochemistry of Neural Precursors
5.9. Cell Therapy
5.10. Histopathology and Immunohistochemistry (IHC) Analysis
5.11. Statistical Analysis
Supplementary Materials
Author Contributions
Funding
Institutional Review Board Statement
Informed Consent Statement
Data Availability Statement
Acknowledgments
Conflicts of Interest
References
- The Multiple Sclerosis International Federation. Atlas of MS, 3rd ed.; Report; The Multiple Sclerosis International Federation: London, UK, 2020; pp. 1–36. [Google Scholar]
- Amin, M.; Hersh, C.M. Updates and advances in multiple sclerosis neurotherapeutics. Neurodegener. Dis. Manag. 2023, 13, 47–70. [Google Scholar] [CrossRef] [PubMed]
- ABEM, Brazilian Multiple Sclerosis Association. O que é Esclerose Múltipla (EM). Available online: https://www.abem.org.br/esclerose-multipla/o-que-e-esclerose-multipla/ (accessed on 11 June 2024).
- He, H.; Hu, Z.; Xiao, H.; Zhou, F.; Yang, B. The tale of histone modifications and its role in multiple sclerosis. Hum. Genom. 2018, 12, 1–12. [Google Scholar] [CrossRef] [PubMed]
- Waubant, E.; Lucas, R.; Mowry, E.; Graves, J.; Olsson, T.; Alfredsson, L.; Langer-Gould, A. Environmental and genetic risk factors for MS: An integrated review. Ann. Clin. Transl. Neurol. 2019, 6, 1905–1922. [Google Scholar] [CrossRef] [PubMed]
- International Multiple Sclerosis Genetics Consortium. Multiple sclerosis genomic map implicates peripheral immune cells and microglia in susceptibility. Science 2019, 365, eaav7188. [Google Scholar] [CrossRef] [PubMed]
- Shams, H.; Shao, X.; Santaniello, A.; Kirkish, G.; Harroud, A.; Ma, Q.; Isobe, N.; Alexander, J.; Bove, R.; Baranzini, S.; et al. Polygenic risk score association with multiple sclerosis susceptibility and phenotype in Europeans. Brain 2022, 146, 645–656. [Google Scholar] [CrossRef] [PubMed]
- Meijer, M.; Agirre, E.; Kabbe, M.; van Tuijn, C.A.; Heskol, A.; Zheng, C.; Falcão, A.M.; Bartosovic, M.; Kirby, L.; Calini, D.; et al. Epigenomic priming of immune genes implicates oligodendroglia in multiple sclerosis susceptibility. Neuron 2022, 110, 1193–1210.e13. [Google Scholar] [CrossRef] [PubMed]
- Dendrou, C.A.; Fugger, L.; Friese, M.A. Immunopathology of multiple sclerosis. Nat. Rev. Immunol. 2015, 15, 545–558. [Google Scholar] [CrossRef] [PubMed]
- Lublin, F.D. New Multiple Sclerosis Phenotypic Classification. Eur. Neurol. 2014, 72, 1–5. [Google Scholar] [CrossRef] [PubMed]
- Thompson, A.J.; Baranzini, S.E.; Geurts, J.; Hemmer, B.; Ciccarelli, O. Multiple sclerosis. Lancet 2018, 391, 1622–1636. [Google Scholar] [CrossRef]
- Florou, D.; Katsara, M.; Feehan, J.; Dardiotis, E.; Apostolopoulos, V. Anti-CD20 Agents for Multiple Sclerosis: Spotlight on Ocrelizumab and Ofatumumab. Brain Sci. 2020, 10, 758. [Google Scholar] [CrossRef]
- Absinta, M.; Maric, D.; Gharagozloo, M.; Garton, T.; Smith, M.D.; Jin, J.; Fitzgerald, K.C.; Song, A.; Liu, P.; Lin, J.-P.; et al. A lymphocyte–microglia–astrocyte axis in chronic active multiple sclerosis. Nature 2021, 597, 709–714. [Google Scholar] [CrossRef] [PubMed]
- Charabati, M.; Wheeler, M.A.; Weiner, H.L.; Quintana, F.J. Multiple sclerosis: Neuroimmune crosstalk and therapeutic targeting. Cell 2023, 186, 1309–1327. [Google Scholar] [CrossRef] [PubMed]
- Biotti, D.; Ciron, J. First-line therapy in relapsing remitting multiple sclerosis. Rev. Neurol. 2018, 174, 419–428. [Google Scholar] [CrossRef] [PubMed]
- Constantinescu, C.S.; Farooqi, N.; O’Brien, K.; Gran, B. Experimental autoimmune encephalomyelitis (EAE) as a model for multiple sclerosis (MS). Br. J. Pharmacol. 2011, 164, 1079–1106. [Google Scholar] [CrossRef] [PubMed]
- Rosenling, T.; Stoop, M.P.; Attali, A.; van Aken, H.; Suidgeest, E.; Christin, C.; Stingl, C.; Suits, F.; Horvatovich, P.; Hintzen, R.Q.; et al. Profiling and Identification of Cerebrospinal Fluid Proteins in a Rat EAE Model of Multiple Sclerosis. J. Proteome Res. 2012, 11, 2048–2060. [Google Scholar] [CrossRef] [PubMed]
- Lemus, H.N.; Warrington, A.E.; Rodriguez, M. Multiple Sclerosis. Neurol. Clin. 2018, 36, 1–11. [Google Scholar] [CrossRef] [PubMed]
- Bjelobaba, I.; Begovic-Kupresanin, V.; Pekovic, S.; Lavrnja, I. Animal models of multiple sclerosis: Focus on experimental autoimmune encephalomyelitis. J. Neurosci. Res. 2018, 96, 1021–1042. [Google Scholar] [CrossRef] [PubMed]
- Verfaillie, C.M. Adult stem cells: Assessing the case for pluripotency. Trends Cell Biol. 2002, 12, 502–508. [Google Scholar] [CrossRef] [PubMed]
- Herzog, E.L.; Chai, L.; Krause, D.S. Plasticity of marrow-derived stem cells. Blood 2003, 102, 3483–3493. [Google Scholar] [CrossRef]
- da Silva Meirelles, L.; Chagastelles, P.C.; Nardi, N.B. Mesenchymal stem cells reside in virtually all post-natal organs and tissues. J. Cell Sci. 2006, 119, 2204–2213. [Google Scholar] [CrossRef]
- Caseiro, A.; Pereira, T.; Ribeiro, J.; Santos, J.; Amorim, I.; Luís, A.; Maurício, A. Neuro-muscular regeneration using scaffolds with mesenchymal stem cells (MSCs) isolated from human umbilical cord Wharton’s jelly. Ciência Tecnol. Dos Mater. 2017, 29, e135–e139. [Google Scholar] [CrossRef]
- Zou, J.; Yang, W.; Cui, W.; Li, C.; Ma, C.; Ji, X.; Hong, J.; Qu, Z.; Chen, J.; Liu, A.; et al. Therapeutic potential and mechanisms of mesenchymal stem cell-derived exosomes as bioactive materials in tendon–bone healing. J. Nanobiotechnology 2023, 21, 1–24. [Google Scholar] [CrossRef] [PubMed]
- Lotfy, A.; AboQuella, N.M.; Wang, H. Mesenchymal stromal/stem cell (MSC)-derived exosomes in clinical trials. Stem Cell Res. Ther. 2023, 14, 1–18. [Google Scholar] [CrossRef] [PubMed]
- Mukai, T.; Tojo, A.; Nagamura-Inoue, T. Umbilical Cord-Derived Mesenchymal Stromal Cells Contribute to Neuroprotection in Neonatal Cortical Neurons Damaged by Oxygen-Glucose Deprivation. Front. Neurol. 2018, 9, 466. [Google Scholar] [CrossRef] [PubMed]
- Dobuchak, D.d.S.; Stricker, P.E.F.; de Oliveira, N.B.; Mogharbel, B.F.; da Rosa, N.N.; Dziedzic, D.S.M.; Irioda, A.C.; de Carvalho, K.A.T. The Neural Multilineage Differentiation Capacity of Human Neural Precursors from the Umbilical Cord—Ready to Bench for Clinical Trials. Membranes 2022, 12, 873. [Google Scholar] [CrossRef] [PubMed]
- Lim, J.; Razi, Z.R.M.; Law, J.; Nawi, A.M.; Idrus, R.B.H.; Ng, M.H. MSCs can be differentially isolated from maternal, middle and fetal segments of the human umbilical cord. Cytotherapy 2016, 18, 1493–1502. [Google Scholar] [CrossRef] [PubMed]
- Stricker, P.E.F.; Dobuchak, D.d.S.; Irioda, A.C.; Mogharbel, B.F.; Franco, C.R.C.; Leite, J.R.d.S.A.; de Araújo, A.R.; Borges, F.A.; Herculano, R.D.; Graeff, C.F.d.O.; et al. Human Mesenchymal Stem Cells Seeded on the Natural Membrane to Neurospheres for Cholinergic-like Neurons. Membranes 2021, 11, 598. [Google Scholar] [CrossRef] [PubMed]
- Brown, C.; McKee, C.; Halassy, S.; Kojan, S.; Feinstein, D.L.; Chaudhry, G.R. Neural stem cells derived from primitive mesenchymal stem cells reversed disease symptoms and promoted neurogenesis in an experimental autoimmune encephalomyelitis mouse model of multiple sclerosis. Stem Cell Res. Ther. 2021, 12, 1–21. [Google Scholar] [CrossRef]
- Mishra, V.K.; Shih, H.-H.; Parveen, F.; Lenzen, D.; Ito, E.; Chan, T.-F.; Ke, L.-Y. Identifying the Therapeutic Significance of Mesenchymal Stem Cells. Cells 2020, 9, 1145. [Google Scholar] [CrossRef]
- Gibson-Corley, K.N.; Boyden, A.W.; Leidinger, M.R.; Lambertz, A.M.; Ofori-Amanfo, G.; Naumann, P.W.; Goeken, J.A.; Karandikar, N.J. A method for histopathological study of the multifocal nature of spinal cord lesions in murine experimental autoimmune encephalomyelitis. PeerJ 2016, 4, e1600. [Google Scholar] [CrossRef]
- Perussolo, M.C.; Mogharbel, B.F.; Saçaki, C.S.; Dziedzic, D.S.M.; Nagashima, S.; de Meira, L.F.; Guarita-Souza, L.C.; de Noronha, L.; de Carvalho, K.A.T. Demyelination Lesions Do Not Correlate with Clinical Manifestations by Bordetella pertussis Toxin Concentrations. Life 2022, 12, 962. [Google Scholar] [CrossRef] [PubMed]
- Distéfano-Gagné, F.; Bitarafan, S.; Lacroix, S.; Gosselin, D. Roles and regulation of microglia activity in multiple sclerosis: Insights from animal models. Nat. Rev. Neurosci. 2023, 24, 397–415. [Google Scholar] [CrossRef] [PubMed]
- Yong, V.W. Microglia in multiple sclerosis: Protectors turn destroyers. Neuron 2022, 110, 3534–3548. [Google Scholar] [CrossRef] [PubMed]
- Junior, M.S.O.; Schira-Heinen, J.; Reiche, L.; Han, S.; de Amorim, V.C.M.; Lewen, I.; Gruchot, J.; Göttle, P.; Akkermann, R.; Azim, K.; et al. Myelin repair is fostered by the corticosteroid medrysone specifically acting on astroglial subpopulations. EBioMedicine 2022, 83, 104204. [Google Scholar] [CrossRef]
- Sofroniew, M.V. Astrocyte barriers to neurotoxic inflammation. Nat. Rev. Neurosci. 2015, 16, 249–263. [Google Scholar] [CrossRef] [PubMed]
- Hoang, D.M.; Pham, P.T.; Bach, T.Q.; Ngo, A.T.L.; Nguyen, Q.T.; Phan, T.T.K.; Nguyen, G.H.; Le, P.T.T.; Hoang, V.T.; Forsyth, N.R.; et al. Stem cell-based therapy for human diseases. Signal Transduct. Target. Ther. 2022, 7, 1–41. [Google Scholar] [CrossRef] [PubMed]
- Rahman, M.; Islam, R.; Islam, M.T.; Rashid, H.O.; Islam, M.; Abdullah, S.; Uddin, M.B.; Das, S.; Rahaman, S.; Ahmed, M.; et al. Stem Cell Transplantation Therapy and Neurological Disorders: Current Status and Future Perspectives. Biology 2022, 11, 147. [Google Scholar] [CrossRef] [PubMed]
- Gadani, S.P.; Cronk, J.C.; Norris, G.T.; Kipnis, J. IL-4 in the Brain: A Cytokine To Remember. J. Immunol. 2012, 189, 4213–4219. [Google Scholar] [CrossRef]
- Glatigny, S.; Bettelli, E. Experimental Autoimmune Encephalomyelitis (EAE) as Animal Models of Multiple Sclerosis (MS). Cold Spring Harb. Perspect. Med. 2018, 8, a028977. [Google Scholar] [CrossRef]
- Luz-Crawford, P.; Kurte, M.; Bravo-Alegría, J.; Contreras, R.; Nova-Lamperti, E.; Tejedor, G.; Noël, D.; Jorgensen, C.; Figueroa, F.; Djouad, F.; et al. Mesenchymal stem cells generate a CD4+CD25+Foxp3+ regulatory T cell population during the differentiation process of Th1 and Th17 cells. Stem Cell Res. Ther. 2013, 4, 65. [Google Scholar] [CrossRef]
- Camara, M.; Beyersdorf, N.; Fischer, H.J.; Herold, M.J.; Ip, C.W.; Brandt, J.v.D.; Toyka, K.V.; Taurog, J.D.; Hünig, T.; Herrmann, T.; et al. CD8+ T cell help is required for efficient induction of EAE in Lewis rats. J. Neuroimmunol. 2013, 260, 17–27. [Google Scholar] [CrossRef]
- Saligrama, N.; Zhao, F.; Sikora, M.J.; Serratelli, W.S.; Fernandes, R.A.; Louis, D.M.; Yao, W.; Ji, X.; Idoyaga, J.; Mahajan, V.B.; et al. Opposing T cell responses in experimental autoimmune encephalomyelitis. Nature 2019, 572, 481–487. [Google Scholar] [CrossRef]
- Sonobe, Y.; Jin, S.; Wang, J.; Kawanokuchi, J.; Takeuchi, H.; Mizuno, T.; Suzumura, A. Chronological Changes of CD4+ and CD8+ T Cell Subsets in the Experimental Autoimmune Encephalomyelitis, a Mouse Model of Multiple Sclerosis. Tohoku J. Exp. Med. 2007, 213, 329–339. [Google Scholar] [CrossRef][Green Version]
- Lassmann, H.; Bradl, M. Multiple sclerosis: Experimental models and reality. Acta Neuropathol. 2016, 133, 223–244. [Google Scholar] [CrossRef]
- Wright, P.; Dundee, J. Attitudes to intravenous infusion anaesthesia. Anaesthesia 1982, 37, 1209–1211. [Google Scholar] [CrossRef]
- Paxinos, G.; Watson, C. The Rat Brain in Stereotaxic Coordinates, 6th ed.; Elsevier: Amsterdam, The Netherlands; Academic Press: London, UK, 2007; ISBN 9780123919496. [Google Scholar]












| Weight (g) | p-Value |
|---|---|
| Non-Induced vs. Sham | 0.011 |
| Non-Induced vs. MSCs | 0.001 |
| Non-Induced vs. NPs | 0.000 |
| Non-Induced vs. MSCs + NPs | 0.000 |
| Sham vs. MSCs | 0.363 |
| Sham vs. NPs | 0.001 |
| Sham vs. MSCs + NPs | 0.002 |
| MSCs vs. NPs | 0.000 |
| MSCs vs. MSCs + NPs | 0.000 |
| NPs vs. MSCs + NPs | 0.000 |
| CD4/CD8 ≤ 1.0 vs. Perivascular Infiltrates | CD4/CD8 ≤ 1.0 vs. Parenchyma Infiltrates | CD4/CD8 ≤ 1.0 vs. Cell Activation and Death | |||
|---|---|---|---|---|---|
| Non-induced | p | Non-induced | p | Non-induced | p |
| Mild (+) | 0.030 | Mild (+) | 0.022 | Microglia | 0.133 |
| Moderate (++) | 0.035 | Moderate (++) | 0.041 | Astrocyte | 0.231 |
| Severe (+++) | 0.346 | Severe (+++) | 0.046 | Cell death | 0.255 |
| Sham | p | Sham | p | Sham | p |
| Mild (+) | 0.257 | Mild (+) | 0.022 | Microglia | 0.011 |
| Moderate (++) | 0.379 | Moderate (++) | 0.017 | Astrocyte | 0.025 |
| Severe (+++) | 0.455 | Severe (+++) | 0.012 | Cell death | 0.270 |
| WJ-MSC | p | WJ-MSC | p | WJ-MSC | p |
| Mild (+) | 0.222 | Mild (+) | 0.350 | Microglia | 0.366 |
| Moderate (++) | 0.235 | Moderate (++) | 0.466 | Astrocyte | 0.247 |
| Severe (+++) | 0.044 | Severe (+++) | 0.688 | Cell death | 0.577 |
| NP | p | NP | p | NP | p |
| Mild (+) | 0.034 | Mild (+) | 0.112 | Microglia | 0.038 |
| Moderate (++) | 0.047 | Moderate (++) | 0.024 | Astrocyte | 0.333 |
| Severe (+++) | 0.049 | Severe (+++) | 0.042 | Cell death | 0.421 |
| WJ-MSC+NP | p | WJ-MSC+NP | p | WJ-MSC+NP | p |
| Mild (+) | 0.012 | Mild (+) | 0.242 | Microglia | 0.455 |
| Moderate (++) | 0.037 | Moderate (++) | 0.445 | Astrocyte | 0.587 |
| Severe (+++) | 0.299 | Severe (+++) | 0.032 | Cell death | 0.592 |
| Tube | Content |
|---|---|
| 1 | Cells without markers |
| 2 | Isotypic control |
| 3 | CD90 FITC/CD105 PE/7-AAD PERCP/CD34 PE-CY7/CD73 APC/CD45 APC-CY7 |
| 4 | HLA-DR FITC/CD13 PE/7-AAD PERCP/CD34 PE-CY7/CD45 APC-CY7 |
| FMO | CD105 PE/7-AAD PERCP/CD34 PE-CY7/CD73APC/CD45 APC-CY7 |
| FMO | CD90 FITC/7-AAD PERCP/CD34 PE-CY7/CD73 APC/CD45 APC-CY7 |
Disclaimer/Publisher’s Note: The statements, opinions and data contained in all publications are solely those of the individual author(s) and contributor(s) and not of MDPI and/or the editor(s). MDPI and/or the editor(s) disclaim responsibility for any injury to people or property resulting from any ideas, methods, instructions or products referred to in the content. |
© 2024 by the authors. Licensee MDPI, Basel, Switzerland. This article is an open access article distributed under the terms and conditions of the Creative Commons Attribution (CC BY) license (https://creativecommons.org/licenses/by/4.0/).
Share and Cite
Perussolo, M.C.; Mogharbel, B.F.; Saçaki, C.S.; Rosa, N.N.d.; Irioda, A.C.; Oliveira, N.B.d.; Appel, J.M.; Lührs, L.; Meira, L.F.; Guarita-Souza, L.C.; et al. Cellular Therapy in Experimental Autoimmune Encephalomyelitis as an Adjuvant Treatment to Translate for Multiple Sclerosis. Int. J. Mol. Sci. 2024, 25, 6996. https://doi.org/10.3390/ijms25136996
Perussolo MC, Mogharbel BF, Saçaki CS, Rosa NNd, Irioda AC, Oliveira NBd, Appel JM, Lührs L, Meira LF, Guarita-Souza LC, et al. Cellular Therapy in Experimental Autoimmune Encephalomyelitis as an Adjuvant Treatment to Translate for Multiple Sclerosis. International Journal of Molecular Sciences. 2024; 25(13):6996. https://doi.org/10.3390/ijms25136996
Chicago/Turabian StylePerussolo, Maiara Carolina, Bassam Felipe Mogharbel, Cláudia Sayuri Saçaki, Nádia Nascimento da Rosa, Ana Carolina Irioda, Nathalia Barth de Oliveira, Julia Maurer Appel, Larissa Lührs, Leanderson Franco Meira, Luiz Cesar Guarita-Souza, and et al. 2024. "Cellular Therapy in Experimental Autoimmune Encephalomyelitis as an Adjuvant Treatment to Translate for Multiple Sclerosis" International Journal of Molecular Sciences 25, no. 13: 6996. https://doi.org/10.3390/ijms25136996
APA StylePerussolo, M. C., Mogharbel, B. F., Saçaki, C. S., Rosa, N. N. d., Irioda, A. C., Oliveira, N. B. d., Appel, J. M., Lührs, L., Meira, L. F., Guarita-Souza, L. C., Nagashima, S., Paula, C. B. V. d., Noronha, L. d., Zotarelli-Filho, I. J., Abdelwahid, E., & Carvalho, K. A. T. d. (2024). Cellular Therapy in Experimental Autoimmune Encephalomyelitis as an Adjuvant Treatment to Translate for Multiple Sclerosis. International Journal of Molecular Sciences, 25(13), 6996. https://doi.org/10.3390/ijms25136996

