The First In Vivo Study Shows That Gyrophoric Acid Changes Behavior of Healthy Laboratory Rats
Abstract
1. Introduction
2. Results
2.1. Physicochemical Properties of GA
2.1.1. pH Properties and Stability
2.1.2. Microsomal Stability
2.2. Binding to Human Serum Albumin
2.3. In Vivo Experiments
2.3.1. Body Mass Gain, Food, and Fluid Intake of Laboratory Animals
2.3.2. Behavioral Analysis
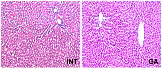
2.3.3. Blood Analysis and Liver Histopathology
2.3.4. Changes in Blood Metabolome
2.3.5. Blood–Brain Barrier Permeability
2.3.6. Neurogenesis and Neuronal Level
3. Discussion
4. Materials and Methods
4.1. pH Properties and Stability
4.2. Microsomal Stability
4.3. Ultra-Performance Liquid Chromatography Coupled to Tandem Mass Spectrometry
4.4. Binding to Human Serum Albumin
4.5. Experimental Design of In Vivo Experiments
4.6. Behavioral Analyses
4.7. Metabolomics
4.8. The Blood–Brain Barrier Transport
4.9. Permeability Assay
4.10. Statistical Analysis
5. Conclusions
Supplementary Materials
Author Contributions
Funding
Institutional Review Board Statement
Informed Consent Statement
Data Availability Statement
Conflicts of Interest
List of Abbreviations
| ALP | alkaline phosphatase |
| ALT | alanine amino transferase |
| Arg | arginine |
| ARRIVE | checklist of recommendations to improve the reporting of research involving animals |
| Asp | aspartate |
| BME | basal medium eagle |
| BSA | bovine serum albumin |
| C | concentration |
| Ca | calcium |
| CA1 | cornu Ammonis 1 zone |
| CaCl2 | calcium chloride |
| CK | creatine kinase |
| CO2 | carbon dioxide |
| Crea | creatinine |
| DMEM | Dulbecco’s modified eagle medium |
| DMSO | dimethylsulfoxide |
| DNA | deoxyribonucleic acid |
| DNase I | deoxyribonuclease I |
| EBM-2 | endothelial basal medium |
| EPM | elevated plus-maze |
| ESI | electrospray ionization |
| FCS | fetal calf serum |
| GA | gyrophoric acid |
| GCL | granular cell layer |
| GRA | granulocytes |
| HCl | hydrochloric acid |
| HCT | hematocrit |
| HEPES | 4-(2-hydroxyethyl)-1-piperazineethanesulfonic acid |
| HGB | hemoglobin |
| HSA | human serum albumin |
| INT | healthy intact control rats |
| K3EDTA | tripotassium ethylenediaminetetraacetic acid |
| KCl | potassium chloride |
| KYNA-1 | kynurenic acid |
| LC-MS/MS | liquid chromatography-mass spectrometry |
| LDH | lactate dehydrogenase |
| LYM | lymphocytes |
| Met-SO | methionine-sulfoxide |
| MgCl2·6H2O | magnesium chloride hexahydrate |
| MME | zinc-dependent metalloprotease neprilysin |
| MON | monocytes |
| MPV | mean platelet volume |
| MS | mass spectrometry |
| NADPH | nicotinamide adenine dinucleotide phosphate |
| NaHCO3 | sodium bicarbonate |
| NaOH | sodium hydroxide |
| NeuN | neuronal nuclei |
| OFT | open field test |
| PDB | protein data bank |
| PDS | plasma-derived serum |
| Pe | permeability coefficient |
| Phe | phenylalanine |
| pKa | acid dissociation constant |
| PLS-DA | partial least squares-discrimination analysis |
| PLT | platelets |
| PSe | permeability value |
| PTP1B | eukaryotic protein tyrosine phosphatase |
| RBC | red blood cells |
| SD | standard deviation |
| SGZ | subgranular zone |
| SRM | standard reference material |
| SVZ | subventricular zone |
| T Bil | total bilirubin |
| TEER | trans-epithelial electrical resistance |
| Trp | tryptophan |
| Tyr | tyrosine |
| UV-VIS | ultraviolet and visible spectroscopy |
| WBC | white blood cells |
References
- Crawford, S. Lichens Used in Traditional Medicine. In Lichen Secondary Metabolites; Ranković, B., Ed.; Springer: Cham, Switzerland, 2015; pp. 27–80. [Google Scholar]
- Simko, P.; Kisková, T. Uncovering the anticancer potential of lichen secondary metabolites. J. Anal. Oncol. 2022, 11, 70–78. [Google Scholar] [CrossRef]
- Paukov, A.; Teptina, A.; Ermoshin, A.; Kruglova, E.; Shabardina, L. The Role of Secondary Metabolites and Bark Chemistry in Shaping Diversity and Abundance of Epiphytic Lichens. Front. For. Glob. Change 2022, 5, 828211. [Google Scholar] [CrossRef]
- Barbero, M.; Artuso, E.; Prandi, C. Fungal anticancer metabolites: Synthesis towards drug discovery. Curr. Med. Chem. 2018, 25, 141–185. [Google Scholar] [CrossRef] [PubMed]
- Goga, M.; Elečko, J.; Marcinčinová, M.; Ručová, D.; Bačkorová, M.; Bačkor, M. Lichen metabolites: An overview of some secondary metabolites and their biological potential. In Co-Evolution of Secondary Metabolites; Mérillon, J.M., Ramawat, K., Eds.; Springer: Cham, Switzerland, 2020; pp. 175–209. [Google Scholar]
- Ingelfinger, R.; Henke, M.; Roser, L.; Ulshöfer, T.; Calchera, A.; Singh, G.; Parnham, M.J.; Geisslinger, G.; Fürst, R.; Schmitt, I. Unraveling the pharmacological potential of lichen extracts in the context of cancer and inflammation with a broad screening approach. Front. Pharmacol. 2020, 11, 1322. [Google Scholar] [CrossRef] [PubMed]
- Molnár, K.; Farkas, E. Current results on biological activities of lichen secondary metabolites: A review. Z. Für Naturforschung C 2010, 65, 157–173. [Google Scholar] [CrossRef] [PubMed]
- Stanojković, T. Investigations of lichen secondary metabolites with potential anticancer activity. In Lichen Secondary Metabolites: Bioactive Properties and Pharmaceutical Potential; Ranković, B., Ed.; Springer: Cham, Switzerland, 2019; pp. 155–174. [Google Scholar]
- Mohammadi, M.; Bagheri, L.; Badreldin, A.; Fatehi, P.; Pakzad, L.; Suntres, Z.; van Wijnen, A.J. Biological effects of gyrophoric acid and other lichen derived metabolites, on cell proliferation, apoptosis and cell signaling pathways. Chem.-Biol. Interact. 2022, 351, 109768. [Google Scholar] [CrossRef] [PubMed]
- Buçukoglu, T.Z.; Albayrak, S.; Halici, M.G.; Tay, T. Antimicrobial and Antioxidant Activities of Extracts and Lichen Acids Obtained from Some Umbilicaria Species from Central Anatolia, Turkey. J. Food Process. Preserv. 2013, 37, 1103–1110. [Google Scholar] [CrossRef]
- Lohézic-Le Dévéhat, F.; Legouin, B.; Couteau, C.; Boustie, J.; Coiffard, L. Lichenic extracts and metabolites as UV filters. J. Photochem. Photobiol. B Biol. 2013, 120, 17–28. [Google Scholar] [CrossRef]
- Nguyen, K.-H.; Chollet-Krugler, M.; Gouault, N.; Tomasi, S. UV-protectant metabolites from lichens and their symbiotic partners. Nat. Prod. Rep. 2013, 30, 1490–1508. [Google Scholar] [CrossRef]
- Kumar KC, S.; Müller, K. Lichen metabolites. 2. Antiproliferative and cytotoxic activity of gyrophoric, usnic, and diffractaic acid on human keratinocyte growth. J. Nat. Prod. 1999, 62, 821–823. [Google Scholar] [CrossRef]
- Correché, E.R.; Enriz, R.D.; Piovano, M.; Garbarino, J.; Gómez-Lechón, M.J. Cytotoxic and apoptotic effects on hepatocytes of secondary metabolites obtained from lichens. Altern. Lab. Anim. ATLA 2004, 32, 605–615. [Google Scholar] [CrossRef] [PubMed]
- Burlando, B.; Ranzato, E.; Volante, A.; Appendino, G.; Pollastro, F.; Verotta, L. Antiproliferative effects on tumour cells and promotion of keratinocyte wound healing by different lichen compounds. Planta Medica 2009, 75, 607–613. [Google Scholar] [CrossRef] [PubMed]
- Bačkorová, M.; Bačkor, M.; Mikeš, J.; Jendželovský, R.; Fedoročko, P. Variable responses of different human cancer cells to the lichen compounds parietin, atranorin, usnic acid and gyrophoric acid. Toxicol. Vitr. Int. J. Publ. Assoc. BIBRA 2011, 25, 37–44. [Google Scholar] [CrossRef] [PubMed]
- Kello, M.; Goga, M.; Kotorova, K.; Sebova, D.; Frenak, R.; Tkacikova, L.; Mojzis, J. Screening Evaluation of Antiproliferative, Antimicrobial and Antioxidant Activity of Lichen Extracts and Secondary Metabolites In Vitro. Plants 2023, 12, 611. [Google Scholar] [CrossRef] [PubMed]
- Kosanić, M.; Ranković, B. Antioxidant and antimicrobial properties of some lichens and their constituents. J. Med. Food 2011, 14, 1624–1630. [Google Scholar] [CrossRef] [PubMed]
- Bačkorová, M.; Jendželovský, R.; Kello, M.; Bačkor, M.; Mikeš, J.; Fedoročko, P. Lichen secondary metabolites are responsible for induction of apoptosis in HT-29 and A2780 human cancer cell lines. Toxicol. Vitr. 2012, 26, 462–468. [Google Scholar] [CrossRef]
- Elečko, J.; Vilková, M.; Frenák, R.; Routray, D.; Ručová, D.; Bačkor, M.; Goga, M. A Comparative Study of Isolated Secondary Metabolites from Lichens and Their Antioxidative Properties. Plants 2022, 11, 1077. [Google Scholar] [CrossRef]
- Norouzi, H.; Azizi, A.; Gholami, M.; Sohrabi, M.; Boustie, J. Chemotype variations among lichen ecotypes of Umbilicaria aprina as revealed by LC-ESI-MS/MS: A survey of antioxidant phenolics. Environ. Sci. Pollut. Res. Int. 2020, 27, 40296–40308. [Google Scholar] [CrossRef] [PubMed]
- Ristić, S.; Ranković, B.; Kosanić, M.; Stanojković, T.; Stamenković, S.; Vasiljević, P.; Manojlović, I.; Manojlović, N. Phytochemical study and antioxidant, antimicrobial and anticancer activities of Melanelia subaurifera and Melanelia fuliginosa lichens. J. Food Sci. Technol. 2016, 53, 2804–2816. [Google Scholar] [CrossRef]
- Ureña-Vacas, I.; González-Burgos, E.; Divakar, P.K.; Gómez-Serranillos, M.P. Lichen Extracts from Cetrarioid Clade Provide Neuroprotection against Hydrogen Peroxide-Induced Oxidative Stress. Molecules 2022, 27, 6520. [Google Scholar] [CrossRef]
- Ibrahim, N.; Ibrahim, H.; Kim, S.; Nallet, J.-P.; Nepveu, F. Interactions between antimalarial indolone-N-oxide derivatives and human serum albumin. Biomacromolecules 2010, 11, 3341–3351. [Google Scholar] [CrossRef] [PubMed]
- Zhang, Y.; Shi, S.; Chen, X.; Zhang, W.; Huang, K.; Peng, M. Investigation on the interaction between ilaprazole and bovine serum albumin without or with different C-ring flavonoids from the viewpoint of food–drug interference. J. Agric. Food Chem. 2011, 59, 8499–8506. [Google Scholar] [CrossRef] [PubMed]
- Tabassum, S.; Ahmad, M.; Afzal, M.; Zaki, M.; Bharadwaj, P.K. Synthesis and structure elucidation of a copper (II) Schiff-base complex: In vitro DNA binding, pBR322 plasmid cleavage and HSA binding studies. J. Photochem. Photobiol. B Biol. 2014, 140, 321–331. [Google Scholar] [CrossRef] [PubMed]
- Zhang, G.; Wang, L.; Pan, J. Probing the binding of the flavonoid diosmetin to human serum albumin by multispectroscopic techniques. J. Agric. Food Chem. 2012, 60, 2721–2729. [Google Scholar] [CrossRef] [PubMed]
- Lakowicz, J.R. Principles of Fluorescence Spectroscopy; Springer: New York, NY, USA, 2006. [Google Scholar]
- Topală, T.; Bodoki, A.; Oprean, L.; Oprean, R. Bovine serum albumin interactions with metal complexes. Clujul Med. 2014, 87, 215. [Google Scholar] [CrossRef] [PubMed]
- Feroz, S.R.; Mohamad, S.B.; Bujang, N.; Malek, S.N.; Tayyab, S. Multispectroscopic and molecular modeling approach to investigate the interaction of flavokawain B with human serum albumin. J. Agric. Food Chem. 2012, 60, 5899–5908. [Google Scholar] [CrossRef] [PubMed]
- Li, X.; Chen, D.; Wang, G.; Lu, Y. Study of interaction between human serum albumin and three antioxidants: Ascorbic acid, α-tocopherol, and proanthocyanidins. Eur. J. Med. Chem. 2013, 70, 22–36. [Google Scholar] [CrossRef]
- Schellman, J.A. Temperature, stability, and the hydrophobic interaction. Biophys. J. 1997, 73, 2960–2964. [Google Scholar] [CrossRef] [PubMed]
- Wani, T.A.; Bakheit, A.H.; Al-Majed, A.-R.A.; Bhat, M.A.; Zargar, S. Study of the interactions of bovine serum albumin with the new anti-inflammatory agent 4-(1, 3-Dioxo-1, 3-dihydro-2 H-isoindol-2-yl)-N′-[(4-ethoxy-phenyl) methylidene] benzohydrazide using a multi-spectroscopic approach and molecular docking. Molecules 2017, 22, 1258. [Google Scholar] [CrossRef] [PubMed]
- Alsaif, N.A.; Wani, T.A.; Bakheit, A.H.; Zargar, S. Multi-spectroscopic investigation, molecular docking and molecular dynamic simulation of competitive interactions between flavonoids (quercetin and rutin) and sorafenib for binding to human serum albumin. Int. J. Biol. Macromol. 2020, 165, 2451–2461. [Google Scholar] [CrossRef]
- Huang, S.; Qiu, H.; Lu, S.; Zhu, F.; Xiao, Q. Study on the molecular interaction of graphene quantum dots with human serum albumin: Combined spectroscopic and electrochemical approaches. J. Hazard. Mater. 2015, 285, 18–26. [Google Scholar] [CrossRef] [PubMed]
- Hale, M.E. 2,4-Dihydroxy depsides in North American lichens. Trans. Kans. Acad. Sci. 1956, 59, 229–232. [Google Scholar] [CrossRef]
- Yang, F.; Zhang, Y.; Liang, H. Interactive association of drugs binding to human serum albumin. Int. J. Mol. Sci. 2014, 15, 3580–3595. [Google Scholar] [CrossRef] [PubMed]
- Simko, P.; Leskanicova, A.; Suvakova, M.; Blicharova, A.; Karasova, M.; Goga, M.; Kolesarova, M.; Bojkova, B.; Majerova, P.; Zidekova, N. Biochemical Properties of Atranorin-Induced Behavioral and Systematic Changes of Laboratory Rats. Life 2022, 12, 1090. [Google Scholar] [CrossRef] [PubMed]
- Urbanska, N.; Simko, P.; Leskanicova, A.; Karasova, M.; Jendzelovska, Z.; Jendzelovsky, R.; Rucova, D.; Kolesarova, M.; Goga, M.; Backor, M. Atranorin, a secondary metabolite of lichens, exhibited anxiolytic/antidepressant activity in Wistar rats. Life 2022, 12, 1850. [Google Scholar] [CrossRef] [PubMed]
- Araújo, H.D.A.d.; Silva, H.A.M.F.; Silva Júnior, J.G.d.; Albuquerque, M.C.P.d.A.; Coelho, L.C.B.B.; Aires, A.d.L. The Natural Compound Hydrophobic Usnic Acid and Hydrophilic Potassium Usnate Derivative: Applications and Comparisons. Molecules 2021, 26, 5995. [Google Scholar] [CrossRef] [PubMed]
- Yin, L.K.; Tong, K.S. Elevated Alt and Ast in an Asymptomatic Person: What the primary care doctor should do? Malays. Fam. Physician 2009, 4, 98. [Google Scholar]
- Park, J.H.; Choi, J.; Jun, D.W.; Han, S.W.; Yeo, Y.H.; Nguyen, M.H. Low alanine aminotransferase cut-off for predicting liver outcomes; a nationwide population-based longitudinal cohort study. J. Clin. Med. 2019, 8, 1445. [Google Scholar] [CrossRef]
- Carrillo, J.; Howard, E.C.; Moten, M.; Houck, B.D.; Czachowski, C.L.; Gonzales, R.A. A 3-day exposure to 10% ethanol with 10% sucrose successfully initiates ethanol self-administration. Alcohol 2008, 42, 171–178. [Google Scholar] [CrossRef]
- Kisková, T.; Ekmekcioglu, C.; Garajová, M.; Orendáš, P.; Bojková, B.; Bobrov, N.; Jäger, W.; Kassayová, M.; Thalhammer, T. A combination of resveratrol and melatonin exerts chemopreventive effects in N-methyl-N-nitrosourea-induced rat mammary carcinogenesis. Eur. J. Cancer Prev. 2012, 21, 163–170. [Google Scholar] [CrossRef]
- Chen, W.; Wang, Z.; Ma, C.; Ma, X.; Meng, W.; Yin, F.; Yang, Y. Tactile cues are important to environmental novelty during repeated open field tests. Behav. Process. 2023, 204, 104796. [Google Scholar] [CrossRef] [PubMed]
- Sturman, O.; Germain, P.-L.; Bohacek, J. Exploratory rearing: A context-and stress-sensitive behavior recorded in the open-field test. Stress 2018, 21, 443–452. [Google Scholar] [CrossRef]
- Ortman, H.A.; Newby, M.L.; Acevedo, J.; Siegel, J.A. The acute effects of multiple doses of methamphetamine on locomotor activity and anxiety-like behavior in adolescent and adult mice. Behav. Brain Res. 2021, 405, 113186. [Google Scholar] [CrossRef] [PubMed]
- Rojas-Carvajal, M.; Fornaguera, J.; Mora-Gallegos, A.; Brenes, J.C. Testing experience and environmental enrichment potentiated open-field habituation and grooming behaviour in rats. Anim. Behav. 2018, 137, 225–235. [Google Scholar] [CrossRef]
- Campos-Cardoso, R.; Novaes, L.S.; Godoy, L.D.; Dos Santos, N.B.; Perfetto, J.G.; Lazarini-Lopes, W.; Garcia-Cairasco, N.; Padovan, C.M.; Munhoz, C.D. The resilience of adolescent male rats to acute stress-induced delayed anxiety is age-related and glucocorticoid release-dependent. Neuropharmacology 2023, 226, 109385. [Google Scholar] [CrossRef] [PubMed]
- Beaman, E.E.; Bonde, A.N.; Larsen, S.M.U.; Ozenne, B.; Lohela, T.J.; Nedergaard, M.; Gíslason, G.H.; Knudsen, G.M.; Holst, S.C. Blood–brain barrier permeable β-blockers linked to lower risk of Alzheimer’s disease in hypertension. Brain 2023, 146, 1141–1151. [Google Scholar] [CrossRef] [PubMed]
- Bickel, U. Modeling blood–brain barrier permeability to solutes and drugs in vivo. Pharmaceutics 2022, 14, 1696. [Google Scholar] [CrossRef] [PubMed]
- Latacz, G.; Lubelska, A.; Jastrzębska-Więsek, M.; Partyka, A.; Marć, M.A.; Satała, G.; Wilczyńska, D.; Kotańska, M.; Więcek, M.; Kamińska, K. The 1,3,5-triazine derivatives as innovative chemical family of 5-HT6 serotonin receptor agents with therapeutic perspectives for cognitive impairment. Int. J. Mol. Sci. 2019, 20, 3420. [Google Scholar] [CrossRef] [PubMed]
- Studzińska-Sroka, E.; Majchrzak-Celińska, A.; Zalewski, P.; Szwajgier, D.; Baranowska-Wójcik, E.; Żarowski, M.; Plech, T.; Cielecka-Piontek, J. Permeability of Hypogymnia physodes extract component—Physodic acid through the blood–brain barrier as an important argument for its anticancer and neuroprotective activity within the central nervous system. Cancers 2021, 13, 1717. [Google Scholar] [CrossRef]
- Di, L.; Kerns, E.H.; Li, S.Q.; Petusky, S.L. High throughput microsomal stability assay for insoluble compounds. Int. J. Pharm. 2006, 317, 54–60. [Google Scholar] [CrossRef]
- Chatterjee, T.; Pal, A.; Dey, S.; Chatterjee, B.K.; Chakrabarti, P. Interaction of virstatin with human serum albumin: Spectroscopic analysis and molecular modeling. PLoS ONE 2012, 7, e37468. [Google Scholar] [CrossRef] [PubMed]
- Petitpas, I.; Petersen, C.E.; Ha, C.-E.; Bhattacharya, A.A.; Zunszain, P.A.; Ghuman, J.; Bhagavan, N.V.; Curry, S. Structural basis of albumin–thyroxine interactions and familial dysalbuminemic hyperthyroxinemia. Proc. Natl. Acad. Sci. USA 2003, 100, 6440–6445. [Google Scholar] [CrossRef] [PubMed]
- Kertys, M.; Grendar, M.; Horak, V.; Zidekova, N.; Skalnikova, H.K.; Mokry, J.; Halasova, E.; Strnadel, J. Metabolomic characterisation of progression and spontaneous regression of melanoma in the melanoma-bearing Libechov minipig model. Melanoma Res. 2021, 31, 140–151. [Google Scholar] [CrossRef] [PubMed]
- Kertys, M.; Grendar, M.; Kosutova, P.; Mokra, D.; Mokry, J. Plasma based targeted metabolomic analysis reveals alterations of phosphatidylcholines and oxidative stress markers in guinea pig model of allergic asthma. Biochim. Biophys. Acta (BBA)-Mol. Basis Dis. 2020, 1866, 165572. [Google Scholar] [CrossRef]
- Majerova, P.; Hanes, J.; Olesova, D.; Sinsky, J.; Pilipcinec, E.; Kovac, A. Novel blood–brain barrier shuttle peptides discovered through the phage display method. Molecules 2020, 25, 874. [Google Scholar] [CrossRef]
- Pardridge, W.M. The blood-brain barrier: Bottleneck in brain drug development. NeuroRx 2005, 2, 3–14. [Google Scholar] [CrossRef]








| HSA | GA-HSA | |||
|---|---|---|---|---|
| 1st Peak | 2nd Peak | 1st Peak | 2nd Peak | |
| peak position (λex/λem) (nm) | 280/342 | 230/335 | 280/340 | 230/342 |
| relative intensity (IF) | 192 | 295 | 113 | 59 |
| Δλ | 62 | 105 | 60 | 112 |
| Ligand | KSV × 105 (M−1) | kq × 1013 (M−1 s−1) | a R2 | KB × 106 (M−1) | n | a R2 |
|---|---|---|---|---|---|---|
| HSA | 4.679 | 4.679 | 0.99 | 1.788 | 1.143 | 0.993 |
| Exp. Week | INT (m) | GA (m) | INT (f) | GA (f) | |
|---|---|---|---|---|---|
| food intake (g) | 6th | 26.58 ± 2.83 | 25.61 ± 2.20 | 17.00 ± 0.73 | 16.10 ± 1.11 |
| 11th | 23.00 ± 6.39 | 22. 38 ± 1.83 | 16.58 ± 3.01 | 15.72 ± 2.90 | |
| fluid intake (mL) | 6th | 46.58 ± 9.40 | 44.41 ± 4.03 | 24.83 ± 0.55 | 26.00 ± 0.42 |
| 11th | 49.17 ± 5.84 | 48.27 ± 5.62 | 37.83 ± 8.40 | 35.42 ± 7.13 |
| INT (m) | GA (m) | INT (f) | GA (f) | ||
|---|---|---|---|---|---|
| WBC | 109/L | 16.10 ± 1.96 | 17.30 ± 1.60 | 11.57 ± 5.38 | 10.26 ± 2.22 |
| LYM | 109/L | 12.30 ± 1.36 | 12.93 ± 0.84 | 8.86 ± 4.24 | 7.96 ± 2.01 |
| MON | 109/L | 0.20 ± 0.08 | 0.03 ± 0.20 ** | 0.16 ± 0.13 | 0.06 ± 0.05 * |
| GRA | 109/L | 2.60 ± 0.51 | 1.16 ± 0.79 ** | 2.53 ± 1.20 | 1.23 ± 0.25 ** |
| HCT | % | 43.63 ± 0.95 | 45.93 ± 0.87 | 32.90 ± 9.47 | 30.17 ± 5.42 |
| HGB | g/L | 161.70 ± 4.77 | 165.70 ± 4.35 | 118.70 ± 34.39 | 109.00 ± 22.27 |
| RBC | 1012/L | 8.40 ± 0.27 | 8.31 ± 0.07 | 5.66 ± 1.77 | 5.01 ± 0.98 |
| PLT | 109/L | 496.00 ± 62.83 | 455.00 ± 65.53 | 112.70 ± 61.90 | 117.70 ± 72.41 |
| MPV | fl | 4.90 ± 0.15 | 4.93 ± 0.18 | 4.80 ± 0.31 | 5.00 ± 0.45 |
| INT (m) | GA (m) | INT (f) | GA (f) | ||
|---|---|---|---|---|---|
| LDH | µkat/L | 23.83 ± 6.86 | 26.88 ± 5.26 | 17.28 ± 4.46 | 17.83 ± 3.12 |
| CK | µkat/L | 58.48 ± 32.94 | 57.20 ± 16.30 | 25.48 ± 8.30 | 33.70 ± 21.24 |
| ALT | µkat/L | 0.91 ± 0.19 | 0.75 ± 0.19 * | 0.57 ± 0.90 | 0.35 ± 0.10 ** |
| ALP | µkat/L | 2.27 ± 0.23 | 2.18 ± 0.37 | 1.42 ± 0.54 | 1.28 ± 0.30 |
| T Bil | µmol/L | 0.58 ± 0.50 | 0.40 ± 0.58 | 0.52 ± 0.73 | 1.80 ± 1.90 |
| CA | mmol/L | 2.25 ± 0.06 | 2.25 ± 0.12 | 2.44 ± 0.06 | 2.43 ± 0.06 |
| Crea | µmol/L | 29.53 ± 6.30 | 22.27 ± 4.83 ** | 24.30 ± 2.40 | 18.58 ± 3.77 ** |
| Urea | mmol/L | 5.78 ± 0.81 | 4.74 ± 0.55 ** | 5.17 ± 0.72 | 4.10 ± 0.87 * |
Disclaimer/Publisher’s Note: The statements, opinions and data contained in all publications are solely those of the individual author(s) and contributor(s) and not of MDPI and/or the editor(s). MDPI and/or the editor(s) disclaim responsibility for any injury to people or property resulting from any ideas, methods, instructions or products referred to in the content. |
© 2024 by the authors. Licensee MDPI, Basel, Switzerland. This article is an open access article distributed under the terms and conditions of the Creative Commons Attribution (CC BY) license (https://creativecommons.org/licenses/by/4.0/).
Share and Cite
Simko, P.; Leskanicova, A.; Suvakova-Nunhart, M.; Koval, J.; Zidekova, N.; Karasova, M.; Majerova, P.; Verboova, L.; Blicharova, A.; Kertys, M.; et al. The First In Vivo Study Shows That Gyrophoric Acid Changes Behavior of Healthy Laboratory Rats. Int. J. Mol. Sci. 2024, 25, 6782. https://doi.org/10.3390/ijms25126782
Simko P, Leskanicova A, Suvakova-Nunhart M, Koval J, Zidekova N, Karasova M, Majerova P, Verboova L, Blicharova A, Kertys M, et al. The First In Vivo Study Shows That Gyrophoric Acid Changes Behavior of Healthy Laboratory Rats. International Journal of Molecular Sciences. 2024; 25(12):6782. https://doi.org/10.3390/ijms25126782
Chicago/Turabian StyleSimko, Patrik, Andrea Leskanicova, Maria Suvakova-Nunhart, Jan Koval, Nela Zidekova, Martina Karasova, Petra Majerova, Ludmila Verboova, Alzbeta Blicharova, Martin Kertys, and et al. 2024. "The First In Vivo Study Shows That Gyrophoric Acid Changes Behavior of Healthy Laboratory Rats" International Journal of Molecular Sciences 25, no. 12: 6782. https://doi.org/10.3390/ijms25126782
APA StyleSimko, P., Leskanicova, A., Suvakova-Nunhart, M., Koval, J., Zidekova, N., Karasova, M., Majerova, P., Verboova, L., Blicharova, A., Kertys, M., Barvik, I., Kovac, A., & Kiskova, T. (2024). The First In Vivo Study Shows That Gyrophoric Acid Changes Behavior of Healthy Laboratory Rats. International Journal of Molecular Sciences, 25(12), 6782. https://doi.org/10.3390/ijms25126782

