Enhancing Cartilage Metabolism in Rats through a Novel Thermal Stimulation Technique with Photosensitizers
Abstract
1. Introduction
2. Results
2.1. In Vitro Studies
2.1.1. Heating Effects of Indocyanine Green (ICG) and NIR on the Medium
2.1.2. Effects of ICG and NIR on LDH Release in Chondrocytes
2.1.3. Effects of ICG and NIR on Gene Expression in Chondrocytes
2.1.4. Role of HSP70 in ICG and NIR Response in Chondrocytes
2.2. In Vivo Studies
2.2.1. Heating Effects of ICG and NIR on Rat Knee Joints
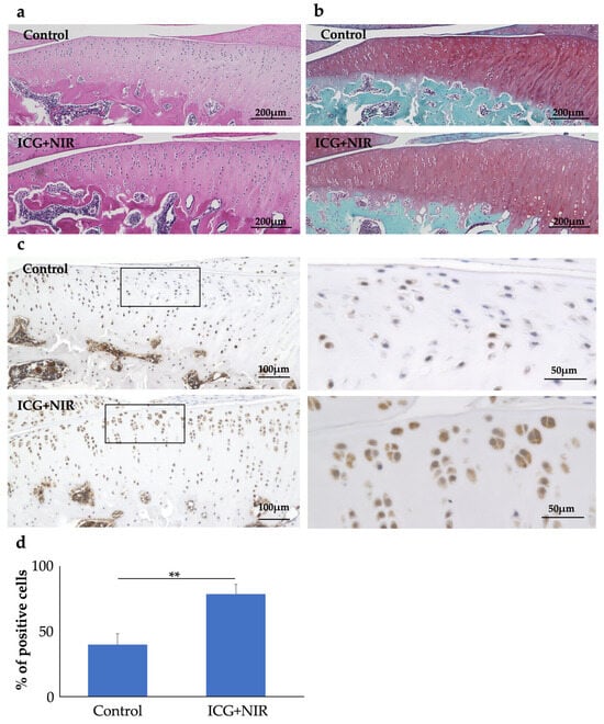
2.2.2. Effects of ICG and NIR on Articular Cartilage Tissue
2.2.3. Effects of ICG and NIR on Gene Expression in Articular Cartilage
3. Discussion
4. Materials and Methods
4.1. In Vitro Studies
4.1.1. Chondrocyte Isolation and Culture
4.1.2. ICG Addition and NIR Irradiation
4.1.3. Measurement of Medium Temperature
4.1.4. Lactate Dehydrogenase (LDH) Release Assay
4.1.5. Real-Time Reverse Transcription PCR (RT-PCR) Analysis
4.1.6. HSP70 Inhibition Experiment
4.2. In Vivo Studies
4.2.1. Preparation of Animals
4.2.2. Intra-Articular Injection of ICG and NIR Irradiation
4.2.3. Temperature Measurement in Joint Cavity
4.2.4. Histochemical Analysis
4.2.5. Real-Time RT-PCR Analysis
4.3. Statistical Analysis
5. Conclusions
Author Contributions
Funding
Institutional Review Board Statement
Informed Consent Statement
Data Availability Statement
Conflicts of Interest
References
- Hart, D.A. Osteoarthritis as an umbrella term for different subsets of humans undergoing joint degeneration: The need to address the differences to develop effective conservative treatments and prevention strategies. Int. J. Mol. Sci. 2022, 23, 15365. [Google Scholar] [CrossRef]
- Guillén, R.; Otero, F.; Mosquera, A.; Vázquez-Mosquera, M.; Rego-Pérez, I.; Blanco, F.J.; Fernández, J.L. Association of accelerated dynamics of telomere sequence loss in peripheral blood leukocytes with incident knee osteoarthritis in osteoarthritis initiative cohort. Sci. Rep. 2021, 11, 15914. [Google Scholar] [CrossRef]
- Hawker, G.A.; King, L.K. The burden of osteoarthritis in older adults. Clin. Geriatr. Med. 2022, 38, 181–192. [Google Scholar] [CrossRef]
- Dantas, L.O.; Salvini, T.F.; McAlindon, T.E. Knee osteoarthritis: Key treatments and implications for physical therapy. Braz. J. Phys. Ther. 2021, 25, 135–146. [Google Scholar] [CrossRef]
- Tonomura, H.; Takahashi, K.A.; Mazda, O.; Arai, Y.; Shin-Ya, M.; Inoue, A.; Honjo, K.; Hojo, T.; Imanishi, J.; Kubo, T. Effects of heat stimulation via microwave applicator on cartilage matrix gene and HSP70 expression in the rabbit knee joint. J. Orthop. Res. 2008, 26, 34–41. [Google Scholar] [CrossRef]
- Hojo, T.; Fujioka, M.; Otsuka, G.; Inoue, S.; Kim, U.; Kubo, T. Effect of heat stimulation on viability and proteoglycan metabolism of cultured chondrocytes: Preliminary report [Preliminary report]. J. Orthop. Sci. 2003, 8, 396–399. [Google Scholar] [CrossRef]
- Fujita, S.; Arai, Y.; Nakagawa, S.; Takahashi, K.A.; Terauchi, R.; Inoue, A.; Tonomura, H.; Hiraoka, N.; Inoue, H.; Tsuchida, S.; et al. Combined microwave irradiation and intraarticular glutamine administration-induced HSP70 expression therapy prevents cartilage degradation in a rat osteoarthritis model. J. Orthop. Res. 2012, 30, 401–407. [Google Scholar] [CrossRef]
- Draper, D.O.; Hopkins, T.J. Increased intramuscular and intracapsular temperature via ThermaCare knee wrap application. Med. Sci. Monit. 2008, 14, PI7–PI11. [Google Scholar]
- Heerink, W.J.; Solouki, A.M.; Vliegenthart, R.; Ruiter, S.J.S.; Sieders, E.; Oudkerk, M.; de Jong, K.P. The relationship between applied energy and ablation zone volume in patients with hepatocellular carcinoma and colorectal liver metastasis. Eur. Radiol. 2018, 28, 3228–3236. [Google Scholar] [CrossRef]
- Chen, Q.; Wen, J.; Li, H.; Xu, Y.; Liu, F.; Sun, S. Recent advances in different modal imaging–guided photothermal therapy. Biomaterials 2016, 106, 144–166. [Google Scholar] [CrossRef]
- Mishra, S.K.; Dhadve, A.C.; Mal, A.; Reddy, B.P.K.; Hole, A.; Chilakapati, M.K.; Ray, P.; Srivastava, R.; De, A. Photothermal therapy (PTT) is an effective treatment measure against solid tumors which fails to respond conventional chemo/radiation therapies in clinic. Biomater. Adv. 2022, 143, 213153. [Google Scholar] [CrossRef]
- Alamdari, S.G.; Amini, M.; Jalilzadeh, N.; Baradaran, B.; Mohammadzadeh, R.; Mokhtarzadeh, A.; Oroojalian, F. Recent advances in nanoparticle-based photothermal therapy for breast cancer. J. Control. Release 2022, 349, 269–303. [Google Scholar] [CrossRef]
- Lehmann, J.F.; Brunner, G.D.; Stow, R.W. Pain threshold measurements after therapeutic application of ultrasound, microwaves and infrared. Arch. Phys. Med. Rehabil. 1958, 39, 560–565. [Google Scholar]
- Robertson, V.J.; Ward, A.R.; Jung, P. The effect of heat on tissue extensibility: A comparison of deep and superficial heating. Arch. Phys. Med. Rehabil. 2005, 86, 819–825. [Google Scholar] [CrossRef]
- Mense, S. Effects of temperature on the discharges of muscle spindles and tendon organs. Pflügers Arch. 1978, 374, 159–166. [Google Scholar] [CrossRef]
- Draper, D.; Mallipudi, R.M. Therapeutic ultrasound: Myths and truths for non-portable in-clinic and portable home use ultrasound. MOJ Sports Med. 2020, 4, 115–116. [Google Scholar] [CrossRef]
- Harada, K.; Takahashi, K.; Ikuta, F.; Shindo, Y.; Kato, K.; Iseki, Y.; Oshima, Y.; Majima, T. Efficacy of a deep thermal therapy system for osteoarthritis of the knee. J. Nippon. Med. Sch. 2021, 88, 335–341. [Google Scholar] [CrossRef]
- Kadkhoda, J.; Tarighatnia, A.; Tohidkia, M.R.; Nader, N.D.; Aghanejad, A. Photothermal therapy-mediated autophagy in breast cancer treatment: Progress and trends. Life Sci. 2022, 298, 120499. [Google Scholar] [CrossRef]
- Dash, B.S.; Das, S.; Chen, J.P. Photosensitizer-functionalized nanocomposites for light-activated cancer theranostics. Int. J. Mol. Sci. 2021, 22, 6658. [Google Scholar] [CrossRef]
- Valcourt, D.M.; Dang, M.N.; Day, E.S. IR820-loaded PLGA nanoparticles for photothermal therapy of triple-negative breast cancer. J. Biomed. Mater. Res. A 2019, 107, 1702–1712. [Google Scholar] [CrossRef]
- Nomura, S.; Morimoto, Y.; Tsujimoto, H.; Arake, M.; Harada, M.; Saitoh, D.; Hara, I.; Ozeki, E.; Satoh, A.; Takayama, E.; et al. Highly reliable, targeted photothermal cancer therapy combined with thermal dosimetry using a near-infrared absorbent. Sci. Rep. 2020, 10, 9765. [Google Scholar] [CrossRef]
- Liu, B.; Jiang, F.; Sun, J.; Wang, F.; Liu, K. Biomacromolecule-based photo-thermal agents for tumor treatment. J. Mater. Chem. B 2021, 9, 7007–7022. [Google Scholar] [CrossRef]
- Hussein, E.A.; Zagho, M.M.; Nasrallah, G.K.; Elzatahry, A.A. Recent advances in functional nanostructures as cancer photothermal therapy. Int. J. Nanomed. 2018, 13, 2897–2906. [Google Scholar] [CrossRef]
- Depciuch, J.; Stec, M.; Maximenko, A.; Pawlyta, M.; Baran, J.; Parlinska-Wojtan, M. Control of arms of Au stars size and its dependent cytotoxicity and photosensitizer effects in photothermal anticancer therapy. Int. J. Mol. Sci. 2019, 20, 5011. [Google Scholar] [CrossRef]
- Du, Z.; Ma, R.; Chen, S.; Fan, H.; Heng, Y.; Yan, T.; Alimu, G.; Zhu, L.; Zhang, X.; Alifu, N.; et al. A highly Efficient polydopamine encapsulated clinical ICG theranostic nanoplatform for enhanced photothermal therapy of cervical cancer. Nanoscale Adv. 2022, 4, 4016–4024. [Google Scholar] [CrossRef]
- Granieri, S.; Bracchetti, G.; Kersik, A.; Frassini, S.; Germini, A.; Bonomi, A.; Lomaglio, L.; Gjoni, E.; Frontali, A.; Bruno, F.; et al. Preoperative indocyanine green (ICG) clearance test: Can we really trust it to predict post hepatectomy liver failure? A systematic review of the literature and meta-analysis of diagnostic test accuracy. Photodiagn. Photodyn. Ther. 2022, 40, 103170. [Google Scholar] [CrossRef]
- Rosen, R.B.; Hathaway, M.; Rogers, J.; Pedro, J.; Garcia, P.; Dobre, G.M.; Podoleanu, A.G. Simultaneous OCT/SLO/ICG imaging. Investig. Ophthalmol. Vis. Sci. 2009, 50, 851–860. [Google Scholar] [CrossRef]
- Nanashima, A.; Hiyoshi, M.; Imamura, N.; Yano, K.; Hamada, T.; Kai, K. Recent advances in photodynamic imaging and therapy in hepatobiliary malignancies: Clinical and experimental aspects. Curr. Oncol. 2021, 28, 4067–4079. [Google Scholar] [CrossRef]
- Terauchi, R.; Takahashi, K.A.; Arai, Y.; Ikeda, T.; Ohashi, S.; Imanishi, J.; Mazda, O.; Kubo, T. Hsp70 prevents nitric oxide-induced apoptosis in articular chondrocytes. Arthritis Rheum. 2003, 48, 1562–1568. [Google Scholar] [CrossRef]
- Shindo, Y.; Takahashi, K.; Ikuta, F.; Iseki, Y.; Harada, K.; Kato, K. Deep heat therapy system with resonant cavity applicator for articular cartilage in knee osteoarthritis. J. Phys. Ther. Sci. 2020, 32, 823–827. [Google Scholar] [CrossRef]
- Tonomura, H.; Takahashi, K.A.; Mazda, O.; Arai, Y.; Inoue, A.; Terauchi, R.; Shin-Ya, M.; Kishida, T.; Imanishi, J.; Kubo, T. Glutamine protects articular chondrocytes from heat stress and NO-induced apoptosis with HSP70 expression. Osteoarthr. Cartil. 2006, 14, 545–553. [Google Scholar] [CrossRef]
- Zhang, C.; Sanghvi, A.; Kirsch, T.; Raya, J.G.; Ruiz, A. Leveraging HSP70 to protect chondrocytes from apoptosis progression after joint injury. Osteoarthr Cartil. 2022, 30, S244–S245. [Google Scholar] [CrossRef]
- Kubo, T.; Arai, Y.; Takahashi, K.; Ikeda, T.; Ohashi, S.; Kitajima, I.; Mazda, O.; Takigawa, M.; Imanishi, J.; Hirasawa, Y. Expression of transduced HSP70 gene protects chondrocytes from stress. J. Rheumatol. 2001, 28, 330–335. [Google Scholar]
- Guo, Y.; Stampoultzis, T.; Karami, P.; Nasrollahzadeh, N.; Rana, V.K.; Pioletti, D.P. HSP70—A key regulator in chondrocyte homeostasis under naturally coupled hydrostatic pressure-thermal stimuli. Osteoarthr. Cartil. 2024, 26, S1063-4584(24)01164-6. [Google Scholar] [CrossRef]
- Guo, Y.; Stampoultzis, T.; Nasrollahzadeh, N.; Karami, P.; Rana, V.K.; Applegate, L.; Pioletti, D.P. Unraveling cartilage degeneration through synergistic effects of hydrostatic pressure and biomimetic temperature increase. iScience 2023, 26, 108519. [Google Scholar] [CrossRef]
- Etienne, S.; Gaborit, N.; Henrionnet, C.; Pinzano, A.; Galois, L.; Netter, P.; Gillet, P.; Grossin, L. Local induction of heat shock protein 70 (Hsp70) by proteasome inhibition confers chondroprotection during surgically induced osteoarthritis in the rat knee. Biomed. Mater. Eng. 2008, 18, 253–260. [Google Scholar] [CrossRef]
- Son, Y.O.; Kim, H.E.; Choi, W.S.; Chun, C.H.; Chun, J.S. RNA-binding protein ZFP36L1 regulates osteoarthritis by modulating members of the heat shock protein 70 family. Nat. Commun. 2019, 10, 77. [Google Scholar] [CrossRef]
- Takahashi, K.A.; Tonomura, H.; Arai, Y.; Terauchi, R.; Honjo, K.; Hiraoka, N.; Hojo, T.; Kunitomo, T.; Kubo, T. Hyperthermia for the treatment of articular cartilage with osteoarthritis. Int. J. Hyperth. 2009, 25, 661–667. [Google Scholar] [CrossRef]
- Serrano, R.L.; Chen, L.Y.; Lotz, M.K.; Liu-Bryan, R.; Terkeltaub, R. Impaired proteasomal function in human osteoarthritic chondrocytes can contribute to decreased levels of SOX9 and Aggrecan. Arthritis Rheumatol. 2018, 70, 1030–1041. [Google Scholar] [CrossRef]
- Sekiya, I.; Tsuji, K.; Koopman, P.; Watanabe, H.; Yamada, Y.; Shinomiya, K.; Nifuji, A.; Noda, M. SOX9 enhances aggrecan gene promoter/enhancer activity and is up-regulated by retinoic acid in a cartilage-derived cell line, TC6. J. Biol. Chem. 2000, 275, 10738–10744. [Google Scholar] [CrossRef]
- Ouyang, Y.; Wang, W.; Tu, B.; Zhu, Y.; Fan, C.; Li, Y. Overexpression of SOX9 alleviates the progression of human osteoarthritis in vitro and in vivo. Drug Des. Dev. Ther. 2019, 13, 2833–2842. [Google Scholar] [CrossRef]
- Simental-Mendía, M.; Lozano-Sepúlveda, S.A.; Garza-Tapia, M.; Lara-Arias, J.; Acosta-Olivo, C.A.; Vilchez-Cavazos, F.; Peña-Martínez, V.M. The effects of the combination of rhein and platelet-rich plasma on human articular chondrocytes. Life 2023, 13, 1723. [Google Scholar] [CrossRef]
- Li, Z.; Xie, L.; Zeng, H.; Wu, Y. PDK4 inhibits osteoarthritis progression by activating the PPAR pathway. J. Orthop. Surg. Res. 2024, 19, 109. [Google Scholar] [CrossRef]
- Dzurinko, V.L.; Gurwood, A.S.; Price, J.R. Intravenous and indocyanine green angiography. Optometry 2004, 75, 743–755. [Google Scholar] [CrossRef]
- Namvar, M.A.; Vahedi, M.; Abdolsamadi, H.R.; Mirzaei, A.; Mohammadi, Y.; Azizi Jalilian, F. Effect of photodynamic therapy by 810 and 940 nm Diode Laser on herpes simplex virus 1: An in vitro Study. Photodiagn. Photodyn. Ther. 2019, 25, 87–91. [Google Scholar] [CrossRef]
- Kanda, Y. Investigation of the freely available easy-to-use software ‘EZR’ for medical statistics. Bone Marrow Transpl. 2013, 48, 452–458. [Google Scholar] [CrossRef]







Disclaimer/Publisher’s Note: The statements, opinions and data contained in all publications are solely those of the individual author(s) and contributor(s) and not of MDPI and/or the editor(s). MDPI and/or the editor(s) disclaim responsibility for any injury to people or property resulting from any ideas, methods, instructions or products referred to in the content. |
© 2024 by the authors. Licensee MDPI, Basel, Switzerland. This article is an open access article distributed under the terms and conditions of the Creative Commons Attribution (CC BY) license (https://creativecommons.org/licenses/by/4.0/).
Share and Cite
Cha, R.; Nakagawa, S.; Arai, Y.; Inoue, A.; Okubo, N.; Fujii, Y.; Kaihara, K.; Nakamura, K.; Kishida, T.; Mazda, O.; et al. Enhancing Cartilage Metabolism in Rats through a Novel Thermal Stimulation Technique with Photosensitizers. Int. J. Mol. Sci. 2024, 25, 6728. https://doi.org/10.3390/ijms25126728
Cha R, Nakagawa S, Arai Y, Inoue A, Okubo N, Fujii Y, Kaihara K, Nakamura K, Kishida T, Mazda O, et al. Enhancing Cartilage Metabolism in Rats through a Novel Thermal Stimulation Technique with Photosensitizers. International Journal of Molecular Sciences. 2024; 25(12):6728. https://doi.org/10.3390/ijms25126728
Chicago/Turabian StyleCha, Ryota, Shuji Nakagawa, Yuji Arai, Atsuo Inoue, Naoki Okubo, Yuta Fujii, Kenta Kaihara, Kei Nakamura, Tsunao Kishida, Osam Mazda, and et al. 2024. "Enhancing Cartilage Metabolism in Rats through a Novel Thermal Stimulation Technique with Photosensitizers" International Journal of Molecular Sciences 25, no. 12: 6728. https://doi.org/10.3390/ijms25126728
APA StyleCha, R., Nakagawa, S., Arai, Y., Inoue, A., Okubo, N., Fujii, Y., Kaihara, K., Nakamura, K., Kishida, T., Mazda, O., & Takahashi, K. (2024). Enhancing Cartilage Metabolism in Rats through a Novel Thermal Stimulation Technique with Photosensitizers. International Journal of Molecular Sciences, 25(12), 6728. https://doi.org/10.3390/ijms25126728

