The Ethyl Acetate Extract of Phyllanthus emblica L. Alleviates Diabetic Nephropathy in a Murine Model of Diabetes
Abstract
1. Introduction
2. Results
2.1. Effects of EPE on TGF-β1 and Collagen IV In Vitro
2.2. Animal Treatments
2.2.1. Body Weights and Relative Organ Weights
2.2.2. Blood Glucose, HbA1C, and Insulin Levels
2.2.3. Renal Function
2.2.4. Blood Levels of Inflammatory Cytokines
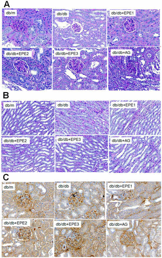
2.2.5. Morphological and Immunohistochemical Analyses of the Kidney
2.2.6. Target Gene Expression Levels by Western Blotting Analysis
2.3. Effects of the Seven Fractions of EPE on Targeted Gene Expression In Vitro
2.4. Analysis of the EA-4 Fraction of EPE
3. Discussion
4. Materials and Methods
4.1. Chemicals
4.2. Preparation of the Ethyl Acetate Extract of P. emblica L. (EPE)
4.3. Cell Culture and Assessment of the Expression Levels of TGF-β1 and Collagen IV in Human Renal Mesangial (HRM) Cells
4.4. Animal Treatment
4.4.1. Collection of Plasma, Urine, and Kidney Samples
4.4.2. Measurements of Blood Glucose, Insulin, and HbA1C Levels
4.4.3. Analysis of Blood Inflammatory Cytokine Levels
4.4.4. Determination of Renal Function
4.4.5. Morphological and Immunohistochemical Staining
4.4.6. Western Blotting Assay
4.5. Analysis of the Effects of the Seven Fractions of EPE on Targeted Gene Expression In Vitro
4.6. Chemical and HPLC Analyses
4.6.1. Fingerprint Analysis by HPLC
4.6.2. Determination of Phenolic Compound Contents
4.7. Statistical Analysis
5. Conclusions
Supplementary Materials
Author Contributions
Funding
Institutional Review Board Statement
Informed Consent Statement
Data Availability Statement
Conflicts of Interest
Abbreviations
References
- Gilbert, R.E.; Cox, A.; Dziadek, M.; Cooper, M.E.; Jerums, G. Extracellular matrix and its interactions in the diabetic kidney: A molecular biological approach. J. Diabetes Complicat. 1995, 9, 252–254. [Google Scholar] [CrossRef] [PubMed]
- Collins, A.J.; Kasiske, B.; Herzog, C.; Chavers, B.; Foley, R.; Gilbertson, D.; Grimm, R.; Liu, J.; Louis, T.; Manning, W.; et al. United States Renal System 2006 Annual Data Report. Am. J. Kidney Dis. 2007, 49, S1–S234. [Google Scholar] [CrossRef] [PubMed]
- Sarnak, M.J.; Levey, A.S.; Schoolwerth, A.C.; Coresh, J.; Culleton, B.; Hamm, L.L.; McCullough, P.A.; Kasiske, B.L.; Kelepouris, E.; Klag, M.J.; et al. Kidney disease as a risk factor development of cardiovascular disease: A statement from the American Heart Association Councils on kidney in cardiovascular disease, high blood pressure research, clinical cardiology, and epidemiology and prevention. Circulation 2003, 108, 2154–2169. [Google Scholar] [CrossRef] [PubMed]
- Ismail, N.; Becker, B.; Strzelczyk, P.; Ritz, E. Renal disease and hypertension in non-insulin-dependent diabetes mellitus. Kidney Int. 1999, 55, 1–28. [Google Scholar] [CrossRef] [PubMed]
- Bailey, R.A.; Wang, Y.; Zhu, V.; Rupnow, M.F.T. Chronic kidney disease in US adults with type 2 diabetes: An updated national estimate of prevalence based on kidney disease: Improving global outcomes (KDIGO) staging. BMC Res. Notes 2014, 7, 415. [Google Scholar] [CrossRef]
- Aaltonen, P.; Luimula, P.; Aström, E.; Palmen, T.; Grönholm, T.; Palojoki, E.; Jaakkola, I.; Ahola, H.; Tikkanen, I.; Holthöfer, H. Changes in the expression of nephrin gene and protein in experimental diabetic nephropathy. Lab. Investig. 2001, 81, 1185–1190. [Google Scholar] [CrossRef] [PubMed]
- Cheng, Y.H.; Park, H.; Jung, I.H.; Chae, Y.N.; Kim, T.H.; Lww, B.R.; Kim, M.K. A dipeptidyl peptidase inhibitor, evogliptin, directly prevents nephrin loss and podocyte damage via post-transcriptional regulation. Diabetes Updates 2020, 6, 1–11. [Google Scholar]
- Chao, C.Y.; Mong, M.C.; Yin, M.C. Anti-glycative and anti-inflammatory effects of caffeic acid and ellagic acid in kidney of diabetic mice. Mol. Nutri. Food Res. 2010, 54, 388–395. [Google Scholar] [CrossRef] [PubMed]
- Chen, H.; Charlat, O.; Tartaglia, L.A.; Woolf, E.A.; Weng, X.; Ellis, S.J.; Lakey, N.D. Evidence that the diabetes gene encodes the leptin receptor: Identification of a mutation in the leptin receptor gene in db/db mice. Cell 1996, 84, 491–495. [Google Scholar] [CrossRef]
- Oliver, J.A. Adenylate cyclase and protein kinase C mediate opposite actions on endothelial junctions. J. Cell Physiol. 1990, 145, 536–542. [Google Scholar] [CrossRef]
- Lynch, J.J.; Ferro, T.J.; Blumenstock, F.A.; Brockenauer, A.M.; Malik, A.B. Increased endothelial albumin permeability mediated by protein kinase C activation. J. Clin. Investig. 1990, 85, 1991–1998. [Google Scholar] [CrossRef] [PubMed]
- De Vriese, A.S.; Tilton, R.G.; Elger, M.; Stephan, C.C.; Kriz, W.; Lameire, N.H. Antibodies against vascular endothelial growth factor improve early renal dysfunction in experimental diabetes. J. Am. Soc. Nephrol. 2001, 12, 993–1000. [Google Scholar] [CrossRef] [PubMed]
- Flyvbjerg, A.; Dagnaes-Hansen, F.; De Vriese, A.S.; Schrijvers, B.F.; Tilton, R.G.; Rasch, R. Amelioration of long-term renal changes in obese type 2 diabetic mice by a neutralizing vascular endothelial growth factor antibody. Diabetes 2002, 51, 3090–3094. [Google Scholar] [CrossRef] [PubMed]
- Schrijvers, B.F.; Flyvbjerg, A.; De Vriese, A.S. The role of vascular endothelial growth factor (VEGF) in renal pathophysiology. Kidney Int. 2004, 65, 2003–2017. [Google Scholar] [CrossRef] [PubMed]
- Duran-Salgado, M.B.; Rubio-Guerra, A.F. Diabetic nephropathy and inflammation. World J. Diabetes 2014, 5, 393–398. [Google Scholar] [CrossRef] [PubMed]
- Nagai, C.L.; Arai, H.; Yanagita, M.; Matsubara, T.; Kanamori, H.; Nakano, T.; Iehara, N.; Fukatsu, A.; Kita, T.; Doi, T. Growth arrest-specific gene 6 is involved in glomerular hypertrophy in the early stage of diabetic nephropathy. J. Biol. Chem. 2003, 278, 18229–18234. [Google Scholar] [CrossRef] [PubMed]
- Lin, C.L.; Hsu, Y.C.; Lee, P.H.; Lei, C.C.; Wang, J.Y.; Huang, Y.T.; Wang, S.Y.; Wang, F.S. Cannabinoid receptor 1 disturbance of PPAR2 augments hyperglycemia induction of mesangial inflammation and fibrosis in renal glomeruli. J. Mol. Med. 2014, 92, 779–792. [Google Scholar] [CrossRef] [PubMed]
- Glibert, R.E.; Cox, A.; Wu, L.L.; Allen, T.J.; Hulthen, U.L.; Jerums, G.; Cooper, M.E. Expression of transforming growth factor-beta1 and type IV collagen in the renal tubulointerstitium in experimental diabetes: Effects of ACE inhibition. Diabetes 1998, 47, 414–422. [Google Scholar] [CrossRef] [PubMed]
- Collagen-Twigg, S.M.; Joly, A.H.; Chen, M.M.; Tsubaki, J.; Kim, H.S.; Hwa, V.; Oh, Y.; Rosenfeld, R.G. Connective tissue through factor/IGF-binding protein-related protein-2 is a mediator in the induction of fibronectin by advanced glycosylation end-products in human dermal fibroblasts. Endocrinology 2002, 143, 1260–1269. [Google Scholar] [CrossRef]
- Leask, A.; Abraham, D.A. TGF-beta signaling and the fibrotic response. FASEB J. 2004, 18, 816–817. [Google Scholar] [CrossRef]
- Dong, F.Q.; Li, H.; Cai, W.M.; Tao, J.; Li, Q.; Ruan, Y.; Zheng, F.P.; Zhang, Z. Effects of pioglitazone on pressions of matrix metalloproteinases 2 and 9 in kidneys of diabetic rats. Clin. Med. J. 2004, 117, 1040–1044. [Google Scholar]
- Adams, L.A.; Angulo, P. Role of liver biopsy and serum markers of liver fibrosis in non-alcoholic fatty liver disease. Clin. Liver Dis. 2007, 11, 25–35. [Google Scholar] [CrossRef] [PubMed]
- Adler, S. Structure-function relationships associated with extracellular matrix alternations in diabetic glomerulopathy. J. Am. Soc. Nephrol. 1994, 5, 1165–1172. [Google Scholar] [CrossRef] [PubMed]
- Hattori, T.; Fujitsuka, N.; Kurogi, A.; Shindo, S. Sairei-to may inhibit the synthesis of endothelin-1 in nephritic glomeruli. Nippon. Jinzo Gakkai Shi 1997, 39, 121–128. [Google Scholar] [PubMed]
- Lin, C.H.; Kuo, Y.H.; Shih, C.C. Antidiabetic and immunoregulatory activities of extract of Phyllanthus emblica L. in NOD with spontaneous and cyclophosphamide-accelerated diabetic mice. Int. J. Mol. Sci. 2023, 24, 9922. [Google Scholar] [CrossRef] [PubMed]
- Huang, S.M.; Lin, C.H.; WF Chang, W.F.; Shih, C.C. Antidiabetic and antihyperlipidemic activities of Phyllanthus emblica L. extract in vitro and the regulation of Akt phosphorylation, gluconeogenesis, and peroxisome proliferator-activated receptor α in streptozotocin-induced diabetic mice. Food Funct. Res. 2023, 67, 9854. [Google Scholar] [CrossRef] [PubMed]
- Peterson, C.T.; Denniston, K.; Chopra, D. Therapeutic Uses of Triphala in Ayurvedic Medicine. J. Altern. Complement. Med. 2017, 23, 607–614. [Google Scholar] [CrossRef] [PubMed]
- Suryavanshi, S.V.; Garud, M.S.; Barve, K.; Addepalli, V.; Utpat, S.V.; Kulkarni, Y.A. Triphala ameliorates nephropathy via inhibition of TGF-β1 and oxidative stress in diabetic rats. Pharmacology 2020, 105, 681–691. [Google Scholar] [CrossRef] [PubMed]
- Sinha, R.; Jindal, R.; Faggio, C. Nephroprotective effect of Emblica officinalis fruit extract against malachite green toxicity in piscine model: Ultrastructure and oxidative stress study. Microsc. Res. Tech. 2021, 84, 1911–1919. [Google Scholar] [CrossRef]
- Noh, H.; King, G.L. The role of protein kinase C activation in diabetic nephropathy. Kidney Int. Suppl. 2007, 106, S49–S53. [Google Scholar] [CrossRef]
- Aiello, L.P.; Bursell, S.-E.; Clermont, A.; Duh, W.; Ishii, H.; Takagi, C.; Mori, F.; Ciulla, T.A.; Ways, K.; Jirousek, M.; et al. Vascular endothelial growth factor-induced retinal permeability is mediated by protein kinase C in vivo and suppressed by an orally effective b-isoform-selective inhibitor. Diabetes 1997, 46, 1473–1480. [Google Scholar] [CrossRef] [PubMed]
- Sohn, E.; Kim, J.; Kim, C.S.; Jo, K.; Kim, J.S. Osteomeles schwerinae extract prevents diabetes-induced renal injury in spontaneously diabetic Torii rats. Evid. Based Complement. Altern. Med. 2018, 2018, 6824215. [Google Scholar] [CrossRef] [PubMed]
- Cove-Smith, A.; Hendry, B.M. The regulation of mesangial cell proliferation. Nephron Exp. Nephrol. 2008, 108, e74–e79. [Google Scholar] [CrossRef] [PubMed]
- Siddiqi, F.S.; Advani, A. Endothelial-podocyte crosstalk: The missing link between endothelial dysfunction and albuminuria in diabetes. Diabetes 2013, 62, 3647–3655. [Google Scholar] [CrossRef] [PubMed]
- Tryggvason, K. Unraveling the mechanisms of glomerular ultrafiltration: Nephrin, a key component of the slit diaphragm. J. Am. Soc. Nephrol. 1999, 10, 2440–2445. [Google Scholar] [CrossRef] [PubMed]
- Sohn, E.J.; Kim, C.S.; Lee, Y.M.; Jo, K.H.; Shin, S.D.; Kim, J.H.; Kim, J.S. The extract of Litsea japonica reduced the development of diabetic nephropathy via the inhibition of advanced glycation end products accumulation in db/db mice. Evid. Based Complement. Altern. Med. 2013, 2013, 769416. [Google Scholar] [CrossRef] [PubMed]
- Xue, R.; Zhai, R.; Xie, L.; Zheng, Z.; Jiang, G.; Chen, T.; Su, J.; Gao, C.; Wang, N.; Yang, X.; et al. Xuesaitong protects podocytes from apoptosis in diabetic rats through modulating PTEN-PDK1-Akt-mTOR pathway. J. Diabetes Res. 2020, 2020, 9309768. [Google Scholar] [CrossRef] [PubMed]
- Ruotasalainen, V.; Ljungberg, P.; Wartiavaara, J.; Lenkkeri, U.; Kestilä, M.; Jalanko, H.; Holmberg, C.; Tryggvason, K. Nephrin is specifically located at the slit diaphragm of glomerular podocytes. Proc. Natl. Acad. Sci. USA 1999, 96, 7962–7967. [Google Scholar] [CrossRef] [PubMed]
- Vilasane, A.; Chun, J.; Seamone, M.E.; Wang, W.; Chin, R.; Hirota, S.; Li, Y.; Clark, S.A. The NLRP3 inflammasone promotes renal inflammation and contributes to CKD. J. Am. Soc. Nephrol. 2010, 21, 1732–1744. [Google Scholar] [CrossRef]
- Miyatake, N.; Shikata, K.; Sugimoto, H.; Kushiro, M.; Shikata, Y.; Ogawa, S.; Hayashi, Y.; Miyasaka, M.; Makino, H. Intracellular adhesion molecule 1 mediates mononuclear cell infiltration into rat glomeruli after renal ablation. Nephron 1998, 79, 91–98. [Google Scholar] [CrossRef]
- Du, N.; Xu, X.; Gao, M.; Liu, P.; Sun, B.; Cao, X. Combination of Ginsenoside Rg1 and Astragaloside IV reduces oxidative stress and inhibits TGF-β1/Smads signaling cascade on renal fibrosis in rats with diabetic nephropathy. Drug Des. Dev. Ther. 2018, 12, 3517–3524. [Google Scholar] [CrossRef]
- Hiragushi, K.; Sugimoto, H.; Shikata, K. Nitric oxide system is involved in glomerular hyperfiltration in Japanese normo- and micro-albuminutric patients with type 2 diabetes. Diabetes Res. Clin. Pract. 2001, 53, 149–159. [Google Scholar] [CrossRef] [PubMed]
- Yoon, J.J.; Park, J.H.; Lee, Y.J.; Kim, H.Y.; Han, B.H.; Jin, H.G.; Kang, D.G.; Lee, H.S. Protective effects of ethanolic extract from Rhizome of Polygoni avicularis against renal fibrosis and inflammation in a diabetic nephropathy model. Int. J. Mol. Sci. 2021, 22, 7230. [Google Scholar] [CrossRef] [PubMed]
- Athira, A.P.; Abhinand, C.S.; Saja, K.; Helen, A.; Reddanna, P.; Sudhakaran, P.R. Anti-angiogenic effect of chebulagic acid involves inhibition of the VEGFR2- and GSK-3β-dependent signaling pathways. Biochem. Cell Biol. 2017, 95, 563–570. [Google Scholar] [CrossRef] [PubMed]
- Wu, J.B.; Kuo, Y.H.; Lin, C.H.; Ho, H.Y.; Shih, C.C. Tormentic acid, a major component of suspension cells of Eriobotrya japonica, suppresses high-fat diet-induced diabetes and hyperlipidemia by glucose transporter 4 and AMP-activated protein kinase phosphorylation. J. Agric. Food Chem. 2014, 62, 10717–10726. [Google Scholar]
- Lin, C.H.; Wu, J.B.; Jian, J.Y.; Shih, C.C. (−)-Epicatechin-3-O-β-D-allopyranoside from Davallia formosana prevents diabetes and dyslipidemia in streptozotocin-induced diabetic mice. PLoS ONE 2017, 12, e0173984. [Google Scholar] [CrossRef]
- Lin, C.H.; Shih, Z.Z.; Kuo, Y.H.; Huang, G.J.; Tu, P.C.; Shih, C.C. Antidiabetic and antihyperlipidemic effects of the flower extract of Eriobotrya japonica in streptozotocin-induced diabetic mice and the potential bioactive constituents in vitro. J. Funct. Foods 2018, 49, 122–136. [Google Scholar] [CrossRef]
- Lin, C.H.; Hsiao, L.W.; Kuo, Y.H.; Shih, C.C. Antidiabetic and antihyperlipidemic effects of sulphurenic acid, a triterpenoid compound from Antrodia camphorata, in streptozotocin-induced diabetic mice. Int. J. Mol. Sci. 2019, 20, 4897. [Google Scholar] [CrossRef]

























| Drug | Dose (mg/kg/day) | Liver Tissue (%) | Kidney Tissue (%) | Pancreas (%) | Skeletal Muscle (%) |
|---|---|---|---|---|---|
| db/m | 5.8 ± 0.2 | 1.8 ± 0.2 | 0.5 ± 0.0 | 1.23 ± 0.08 | |
| db/db | 4.9 ± 0.3 ### | 0.8 ± 0.1 ### | 0.6 ± 0.1 | 0.46 ± 0.08 ### | |
| db/db + EPE1 | 0.1 | 4.6 ± 0.2 | 0.7 ± 0.0 | 0.5 ± 0.1 | 0.38 ± 0.04 |
| db/db + EPE2 | 0.2 | 4.6 ± 0.2 | 1.0 ± 0.1 | 0.7 ± 0.0 | 0.52 ± 0.03 |
| db/db + EPE3 | 0.4 | 4.2 ± 0.2 | 0.9 ± 0.0 | 0.6 ± 0.1 | 0.51 ± 0.03 |
| db/db + AG | 0.02 | 3.8 ± 0.3 * | 0.8 ± 0.1 | 0.3 ± 0.1 * | 0.48 ± 0.05 |
Disclaimer/Publisher’s Note: The statements, opinions and data contained in all publications are solely those of the individual author(s) and contributor(s) and not of MDPI and/or the editor(s). MDPI and/or the editor(s) disclaim responsibility for any injury to people or property resulting from any ideas, methods, instructions or products referred to in the content. |
© 2024 by the authors. Licensee MDPI, Basel, Switzerland. This article is an open access article distributed under the terms and conditions of the Creative Commons Attribution (CC BY) license (https://creativecommons.org/licenses/by/4.0/).
Share and Cite
Lin, C.-H.; Shih, C.-C. The Ethyl Acetate Extract of Phyllanthus emblica L. Alleviates Diabetic Nephropathy in a Murine Model of Diabetes. Int. J. Mol. Sci. 2024, 25, 6686. https://doi.org/10.3390/ijms25126686
Lin C-H, Shih C-C. The Ethyl Acetate Extract of Phyllanthus emblica L. Alleviates Diabetic Nephropathy in a Murine Model of Diabetes. International Journal of Molecular Sciences. 2024; 25(12):6686. https://doi.org/10.3390/ijms25126686
Chicago/Turabian StyleLin, Cheng-Hsiu, and Chun-Ching Shih. 2024. "The Ethyl Acetate Extract of Phyllanthus emblica L. Alleviates Diabetic Nephropathy in a Murine Model of Diabetes" International Journal of Molecular Sciences 25, no. 12: 6686. https://doi.org/10.3390/ijms25126686
APA StyleLin, C.-H., & Shih, C.-C. (2024). The Ethyl Acetate Extract of Phyllanthus emblica L. Alleviates Diabetic Nephropathy in a Murine Model of Diabetes. International Journal of Molecular Sciences, 25(12), 6686. https://doi.org/10.3390/ijms25126686

