Endotypes of Chronic Rhinosinusitis with Primary and Recurring Nasal Polyps in the Latvian Population
Abstract
1. Introduction
2. Results
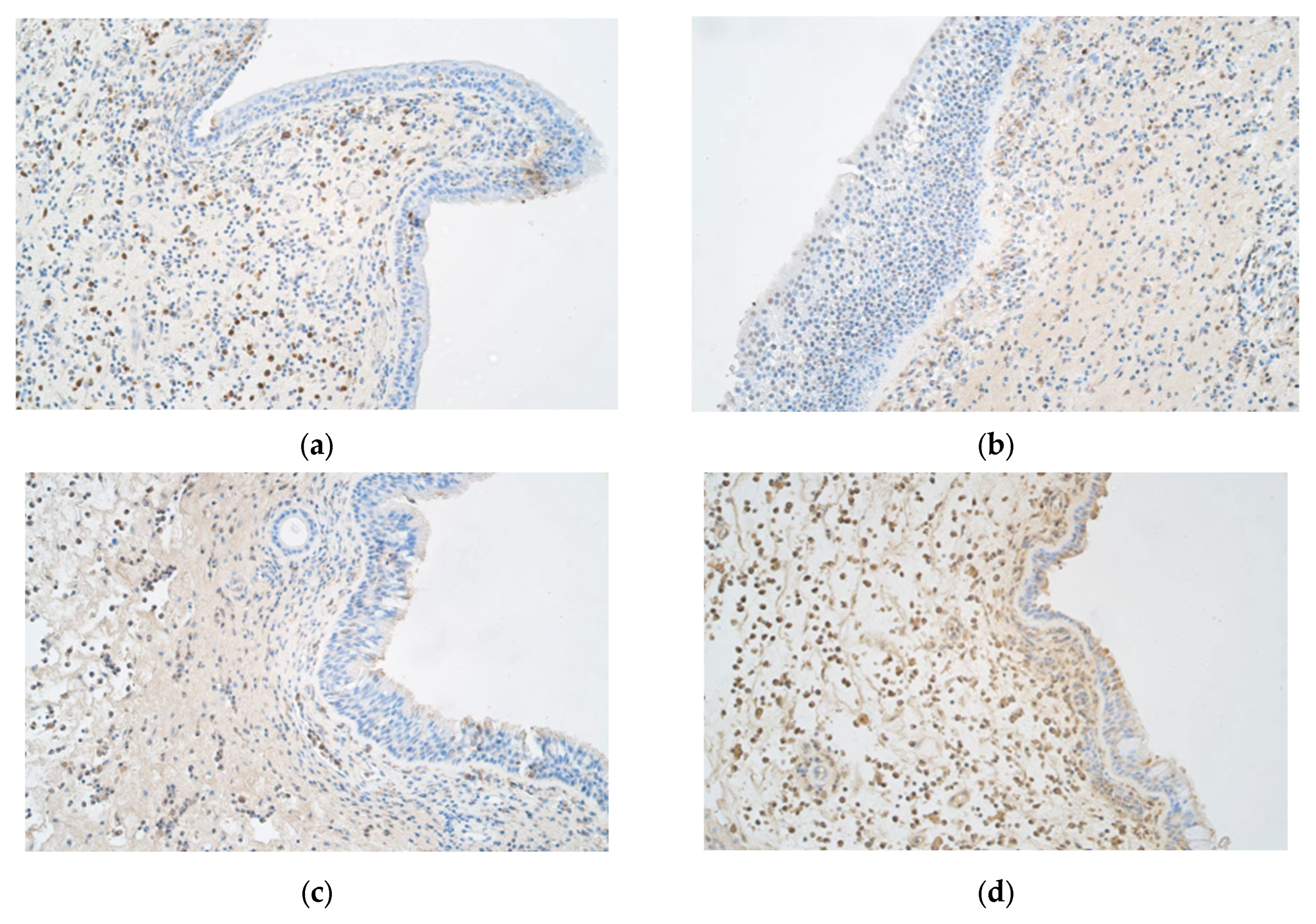
2.1. Proliferation Marker Ki 67
2.2. Interleukin 1α
2.3. Interleukin 4
2.4. Interleukin 6
2.5. Interleukin 7
2.6. Interleukin 8
2.7. Interleukin 10
2.8. Interleukin 12
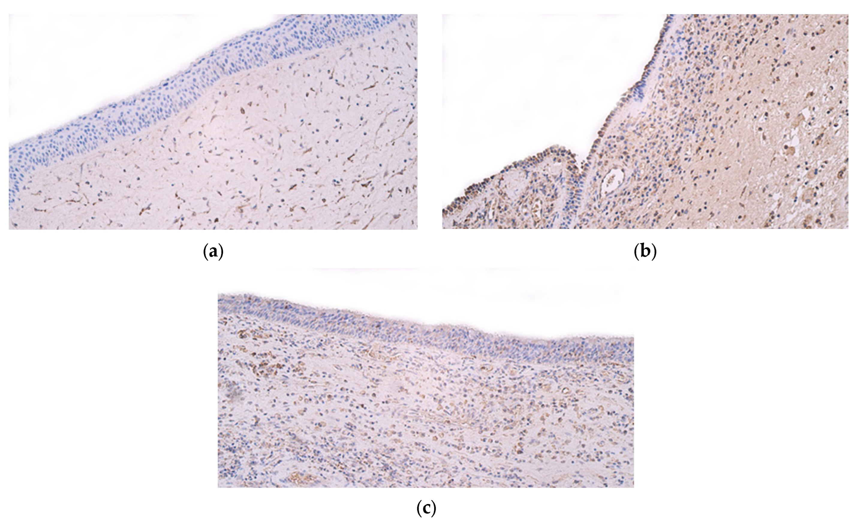
2.9. Human β-Defensin-2
2.10. Human β-Defensin-3
2.11. Cathelicidin LL 37
2.12. Endotype Differences
3. Discussion
3.1. The First Cluster
3.2. The Second Cluster
3.3. The Third Cluster
3.4. The Fourth Cluster
3.5. The Fifth Cluster
3.6. Other Studies on CRS Endotypes
3.7. Treatment Received
3.8. Limitations
4. Materials and Methods
5. Conclusions
Author Contributions
Funding
Institutional Review Board Statement
Informed Consent Statement
Data Availability Statement
Conflicts of Interest
Abbreviations
| CRS | Chronic rhinosinusitis |
| CRSsNP | Chronic rhinosinusitis without nasal polyps |
| CRSwNP | Chronic rhinosinusitis with nasal polyps |
| HBD-2 | Human β-defensin-2 |
| HBD-3 | Human β-defensin-3 |
| IL-1α | Interleukin 1α |
| IL-10 | Interleukin 10 |
| IL-12 | Interleukin 12 |
| IL-13 | Interleukin 13 |
| IL-17A | Interleukin 17A |
| IL-4 | Interleukin 4 |
| IL-6 | Interleukin 6 |
| IL-7 | Interleukin 7 |
| IL-8 | Interleukin 8 |
| Ki 67 | Proliferation marker Ki 67 |
| LL-37 | Cathelicidin LL 37 |
References
- Fokkens, W.J.; Lund, V.J.; Hopkins, C.; Hellings, P.W.; Kern, R.; Reitsma, S.; Toppila-Salmi, S.; Bernal-Sprekelsen, M.; Mullol, J.; Alobid, I.; et al. European Position Paper on Rhinosinusitis and Nasal Polyps 2020. Rhinology 2020, 58, 1–464. [Google Scholar] [CrossRef]
- Mullol, J.; Azar, A.; Buchheit, K.M.; Hopkins, C.; Bernstein, J.A. Chronic Rhinosinusitis with Nasal Polyps: Quality of Life in the Biologics Era. J. Allergy Clin. Immunol. Pract. 2022, 10, 1434–1453.e9. [Google Scholar] [CrossRef]
- Chmielik, L.P.; Mielnik-Niedzielska, G.; Kasprzyk, A.; Stankiewicz, T.; Niedzielski, A. Health-Related Quality of Life Assessed in Children with Chronic Rhinitis and Sinusitis. Children 2021, 8, 1133. [Google Scholar] [CrossRef] [PubMed]
- Kariyawasam, H.H. Chronic Rhinosinusitis with Nasal Polyps: Mechanistic Insights from Targeting IL-4 and IL-13 via IL-4Rα Inhibition with Dupilumab. Expert Rev. Clin. Immunol. 2020, 16, 1115–1125. [Google Scholar] [CrossRef] [PubMed]
- Bauer, A.M.; Turner, J.H. Personalized Medicine in Chronic Rhinosinusitis. Immunol. Allergy Clin. N. Am. 2020, 40, 281–293. [Google Scholar] [CrossRef] [PubMed]
- Remnant, L.; Kochanova, N.Y.; Reid, C.; Cisneros-Soberanis, F.; Earnshaw, W.C. The Intrinsically Disorderly Story of Ki-67. Open Biol. 2021, 11, 210120. [Google Scholar] [CrossRef] [PubMed]
- Kumar, P.; Kizhakkedathu, J.; Straus, S. Antimicrobial Peptides: Diversity, Mechanism of Action and Strategies to Improve the Activity and Biocompatibility In Vivo. Biomolecules 2018, 8, 4. [Google Scholar] [CrossRef]
- Kato, A. Immunopathology of Chronic Rhinosinusitis. Allergol. Int. 2015, 64, 121–130. [Google Scholar] [CrossRef] [PubMed]
- Tanaka, T.; Narazaki, M.; Kishimoto, T. IL-6 in Inflammation, Immunity, and Disease. Cold Spring Harb. Perspect. Biol. 2014, 6, a016295. [Google Scholar] [CrossRef]
- Bequignon, E.; Mangin, D.; Bécaud, J.; Pasquier, J.; Angely, C.; Bottier, M.; Escudier, E.; Isabey, D.; Filoche, M.; Louis, B.; et al. Pathogenesis of Chronic Rhinosinusitis with Nasal Polyps: Role of IL-6 in Airway Epithelial Cell Dysfunction. J. Transl. Med. 2020, 18, 136. [Google Scholar] [CrossRef]
- Winer, H.; Rodrigues, G.O.L.; Hixon, J.A.; Aiello, F.B.; Hsu, T.C.; Wachter, B.T.; Li, W.; Durum, S.K. IL-7: Comprehensive Review. Cytokine 2022, 160, 156049. [Google Scholar] [CrossRef]
- Yoon, B.-N.; Choi, N.-G.; Lee, H.-S.; Cho, K.-S.; Roh, H.-J. Induction of Interleukin-8 from Nasal Epithelial Cells during Bacterial Infection: The Role of IL-8 for Neutrophil Recruitment in Chronic Rhinosinusitis. Mediat. Inflamm. 2010, 2010, 813610. [Google Scholar] [CrossRef] [PubMed]
- Xuan, L.; Zhang, N.; Wang, X.; Zhang, L.; Bachert, C. IL-10 Family Cytokines in Chronic Rhinosinusitis with Nasal Polyps: From Experiments to the Clinic. Front. Immunol. 2022, 13, 947983. [Google Scholar] [CrossRef] [PubMed]
- Viksne, R.J.; Sumeraga, G.; Pilmane, M. Characterization of Cytokines and Proliferation Marker Ki67 in Chronic Rhinosinusitis with Nasal Polyps: A Pilot Study. Medicina 2021, 57, 607. [Google Scholar] [CrossRef] [PubMed]
- Viksne, R.J.; Sumeraga, G.; Pilmane, M. Antimicrobial and Defense Proteins in Chronic Rhinosinusitis with Nasal Polyps. Medicina 2023, 59, 1259. [Google Scholar] [CrossRef] [PubMed]
- Viksne, R.; Sumeraga, G.; Pilmane, M. Characterization of Cytokines and Proliferation Marker Ki-67 in Chronic Rhinosinusitis with Recurring Nasal Polyps. Adv. Respir. Med. 2022, 90, 451–466. [Google Scholar] [CrossRef]
- Mu, K.; Li, L.; Yang, Q.; Yun, H.; Kharaziha, P.; Ye, D.-W.; Auer, G.; Lagercrantz, S.B.; Zetterberg, A. A Standardized Method for Quantifying Proliferation by Ki-67 and Cyclin a Immunohistochemistry in Breast Cancer. Ann. Diagn. Pathol. 2015, 19, 243–248. [Google Scholar] [CrossRef] [PubMed]
- Chalastras, T.; Athanassiadou, P.; Patsouris, E.; Eleftheriadou, A.; Kandiloros, D.; Papaxoinis, K.; Nicolopoulou-Stamati, P. Differential Rates of Proliferation and Apoptosis in Nasal Polyps Correspond to Alterations in DNA Spatial Distribution and Nuclear Polarization as Observed by Confocal Microscopy. Eur. Arch. Otorhinolaryngol. 2010, 267, 1075–1080. [Google Scholar] [CrossRef]
- Hsieh, C.-S.; Macatonia, S.E.; Tripp, C.S.; Wolf, S.F.; O’Garra, A.; Murphy, K.M. Development of T H 1 CD4 + T Cells Through IL-12 Produced by Listeria -Induced Macrophages. Science 1993, 260, 547–549. [Google Scholar] [CrossRef]
- Bal, S.M.; Bernink, J.H.; Nagasawa, M.; Groot, J.; Shikhagaie, M.M.; Golebski, K.; Van Drunen, C.M.; Lutter, R.; Jonkers, R.E.; Hombrink, P.; et al. IL-1β, IL-4 and IL-12 Control the Fate of Group 2 Innate Lymphoid Cells in Human Airway Inflammation in the Lungs. Nat. Immunol. 2016, 17, 636–645. [Google Scholar] [CrossRef]
- Chen, P.-H.; Fang, S.-Y. Expression of Human β-Defensin 2 in Human Nasal Mucosa. Eur. Arch. Otorhinolaryngol. 2004, 261, 238–241. [Google Scholar] [CrossRef]
- Leung, K. 99mTc-Human β-Defensin-3. In Molecular Imaging and Contrast Agent Database (MICAD); National Center for Biotechnology Information (US): Bethesda, MD, USA, 2004. [Google Scholar]
- Saraiva, M.; O’Garra, A. The Regulation of IL-10 Production by Immune Cells. Nat. Rev. Immunol. 2010, 10, 170–181. [Google Scholar] [CrossRef] [PubMed]
- Yazdi, A.S.; Ghoreschi, K. The Interleukin-1 Family. In Regulation of Cytokine Gene Expression in Immunity and Diseases; Ma, X., Ed.; Advances in Experimental Medicine and Biology; Springer: Dordrecht, The Netherlands, 2016; Volume 941, pp. 21–29. ISBN 978-94-024-0919-2. [Google Scholar]
- Lee, W.K.; Ramanathan, M.; Spannhake, E.W.; Lane, A.P. The Cigarette Smoke Component Acrolein Inhibits Expression of the Innate Immune Components IL-8 and Human Beta-Defensin 2 by Sinonasal Epithelial Cells. Am. J. Rhinol. 2007, 21, 658–663. [Google Scholar] [CrossRef]
- Mahanonda, R.; Sa-Ard-Iam, N.; Eksomtramate, M.; Rerkyen, P.; Phairat, B.; Schaecher, K.E.; Fukuda, M.M.; Pichyangkul, S. Cigarette Smoke Extract Modulates Human Β-defensin-2 and Interleukin-8 Expression in Human Gingival Epithelial Cells. J. Periodontal Res. 2009, 44, 557–564. [Google Scholar] [CrossRef]
- Strieter, R.M. Interleukin-8: A Very Important Chemokine of the Human Airway Epithelium. Am. J. Physiol. Lung Cell. Mol. Physiol. 2002, 283, L688–L689. [Google Scholar] [CrossRef]
- Neshani, A.; Zare, H.; Akbari Eidgahi, M.R.; Kamali Kakhki, R.; Safdari, H.; Khaledi, A.; Ghazvini, K. LL-37: Review of Antimicrobial Profile against Sensitive and Antibiotic-Resistant Human Bacterial Pathogens. Gene Rep. 2019, 17, 100519. [Google Scholar] [CrossRef]
- Zhang, S.; Wang, Z. An Emerging Role of Extracellular Traps in Chronic Rhinosinusitis. Curr. Allergy Asthma Rep. 2023, 23, 675–688. [Google Scholar] [CrossRef] [PubMed]
- Wang, X.; Sima, Y.; Zhao, Y.; Zhang, N.; Zheng, M.; Du, K.; Wang, M.; Wang, Y.; Hao, Y.; Li, Y.; et al. Endotypes of Chronic Rhinosinusitis Based on Inflammatory and Remodeling Factors. J. Allergy Clin. Immunol. 2023, 151, 458–468. [Google Scholar] [CrossRef] [PubMed]
- Turner, J.H.; Chandra, R.K.; Li, P.; Bonnet, K.; Schlundt, D.G. Identification of Clinically Relevant Chronic Rhinosinusitis Endotypes Using Cluster Analysis of Mucus Cytokines. J. Allergy Clin. Immunol. 2018, 141, 1895–1897.e7. [Google Scholar] [CrossRef]
- Liao, B.; Liu, J.-X.; Li, Z.-Y.; Zhen, Z.; Cao, P.-P.; Yao, Y.; Long, X.-B.; Wang, H.; Wang, Y.; Schleimer, R.; et al. Multidimensional Endotypes of Chronic Rhinosinusitis and Their Association with Treatment Outcomes. Allergy 2018, 73, 1459–1469. [Google Scholar] [CrossRef] [PubMed]
- Tomassen, P.; Vandeplas, G.; Van Zele, T.; Cardell, L.-O.; Arebro, J.; Olze, H.; Förster-Ruhrmann, U.; Kowalski, M.L.; Olszewska-Ziąber, A.; Holtappels, G.; et al. Inflammatory Endotypes of Chronic Rhinosinusitis Based on Cluster Analysis of Biomarkers. J. Allergy Clin. Immunol. 2016, 137, 1449–1456.e4. [Google Scholar] [CrossRef]
- Min, J.-Y.; Kim, J.Y.; Sung, C.M.; Kim, S.T.; Cho, H.-J.; Mun, S.J.; Cho, S.-W.; Hong, S.D.; Ryu, G.; Cho, K.R.; et al. Inflammatory Endotypes of Chronic Rhinosinusitis in the Korean Population: Distinct Expression of Type 3 Inflammation. Allergy Asthma Immunol. Res. 2023, 15, 437. [Google Scholar] [CrossRef] [PubMed]
- Cergan, R.; Berghi, O.N.; Dumitru, M.; Vrinceanu, D.; Manole, F.; Serboiu, C.S. Biologics for Chronic Rhinosinusitis—A Modern Option for Therapy. Life 2023, 13, 2165. [Google Scholar] [CrossRef] [PubMed]
- Berghi, O.; Dumitru, M.; Caragheorgheopol, R.; Tucureanu, C.; Simioniuc-Petrescu, A.; Sfrent-Cornateanu, R.; Giurcaneanu, C. The Relationship between Chemokine Ligand 3 and Allergic Rhinitis. Cureus 2020, 12, e7783. [Google Scholar] [CrossRef] [PubMed]
- Pilmane, M.; Luts, A.; Sundler, F. Changes in Neuroendocrine Elements in Bronchial Mucosa in Chronic Lung Disease in Adults. Thorax 1995, 50, 551–554. [Google Scholar] [CrossRef]
- Kim, S.-W.; Roh, J.; Park, C.-S. Immunohistochemistry for Pathologists: Protocols, Pitfalls, and Tips. J. Pathol. Transl. Med. 2016, 50, 411–418. [Google Scholar] [CrossRef]






| Interleukin | Description |
|---|---|
| Interleukin 1 alpha (IL-1α) | It is a proinflammatory cytokine. IL-1 derives from the epithelium and can directly and indirectly control type 2 cytokine production by epithelial cells [8]. |
| Interleukin 4 (IL-4) | It is also a proinflammatory cytokine. IL-4 is one of the key cytokines in type 2 inflammation. IL-4 stimulates CD4+ cell polarization to Th2 cells, and it is also essential in the functioning of normal healthy mucosa [4]. |
| Interleukin 6 (IL-6) | This cytokine plays an important role in chronic inflammation and autoimmunity [9]. IL-6 has also been associated with epithelial barrier dysfunction and the pathogenesis of CRS [10]. |
| Interleukin 7 (IL-7) | IL-7 is an important factor in the survival of naïve T cells, T memory cells, pro B cells, and innate lymphocytes [11]. |
| Interleukin 8 (IL-8) | IL-8 is an important factor for neutrophil recruitment and chemotaxis and is therefore associated with type 3 inflammation in CRS [12]. |
| Interleukin 10 (IL-10) | It is a cytokine with an anti-inflammatory function. Upon encountering allergens, epithelial cells release IL-10 to downregulate type 2 inflammatory effects as well as other inflammatory mechanisms [13]. |
| Interleukin 12 (IL-12) | It is a proinflammatory cytokine associated with type 1 inflammation in CRS [1]. |
| Cluster 1 | Cluster 2 | Cluster 3 | Cluster 4 | Cluster 5 | p Value | |
|---|---|---|---|---|---|---|
| Ki 67 E | 1.375 | 0.750 | 0.167 | 0.056 | 0.583 | 0.030 |
| Ki 67 CT | 1.125 | 0.500 | 0.208 | 0.389 | 0.250 | 0.054 |
| IL-1 E | 0.875 | 1.875 | 0.417 | 0.167 | 0.750 | <0.001 |
| IL-1 CT | 1.500 | 2.500 | 1.667 | 1.167 | 1.917 | 0.007 |
| IL-4 E | 1.500 | 1.250 | 1.042 | 0.889 | 1.583 | 0.070 |
| IL-4 CT | 2.125 | 2.125 | 1.833 | 1.389 | 3.250 | 0.001 |
| IL-6 E | 1.250 | 1.500 | 0.917 | 0.722 | 1.000 | 0.018 |
| IL-6 CT | 2.250 | 2.625 | 2.417 | 1.833 | 1.917 | 0.098 |
| IL-7 E | 1.125 | 1.750 | 1.125 | 0.667 | 1.333 | 0.058 |
| IL-7 CT | 2.500 | 2.500 | 2.583 | 1.500 | 2.333 | 0.006 |
| IL-8 E | 0.500 | 0.625 | 1.042 | 0.444 | 1.167 | 0.019 |
| IL-8 CT | 1.125 | 1.000 | 2.667 | 1.556 | 2.083 | <0.001 |
| IL-10 E | 1.250 | 0.500 | 0.458 | 0.056 | 0.333 | 0.004 |
| IL-10 CT | 1.500 | 1.125 | 2.708 | 1.611 | 1.667 | <0.001 |
| IL-12 E | 2.375 | 2.500 | 1.250 | 0.778 | 1.583 | <0.001 |
| IL-12 CT | 3.250 | 2.875 | 2.792 | 1.667 | 2.750 | 0.005 |
| Bdef2 E | 0.625 | 0.000 | 0.083 | 0.000 | 0.250 | 0.010 |
| Bdef2 CT | 1.125 | 1.125 | 1.375 | 0.278 | 1.250 | 0.045 |
| Bdef3 E | 0.250 | 0.000 | 0.500 | 0.056 | 1.167 | <0.001 |
| Bdef3 CT | 1.750 | 0.000 | 2.208 | 1.167 | 2.000 | 0.004 |
| LL 37 E | 0.250 | 0.875 | 0.708 | 0.389 | 1.250 | 0.058 |
| LL 37 CT | 0.625 | 0.750 | 2.417 | 1.278 | 2.583 | <0.001 |
| Cluster 1 | Cluster 2 | Cluster 3 | Cluster 4 | Cluster 5 | |
|---|---|---|---|---|---|
| Number of individuals | 4 | 4 | 12 | 9 | 6 |
| Average age | 52.5 (±8.26) | 41.5 (±9.95) | 49 (±18.64) | 49.3 (±12.85) | 47.2 (±13.89) |
| Lund–Mackay score | 13.25 (±0.96) | 18.25 (±5.06) | 16.00 (±6.52) | 19.44 (±3.88) | 16.67 (±4.08) |
| Snot 22 score | 28.25 (±12.99) | 46.50 (±19.34) | 46.08 (±24.62) | 37.44 (±18.17) | 47.67 (±32.32) |
| History of allergies | 1/4 | 2/4 | 6/12 | 2/9 | 1/6 |
| Bronchial asthma | 1/4 | 4/4 | 6/12 | 4/9 | 1/6 |
| Active smoker | 1/4 | 1/4 | 1/12 | 2/9 | 3/6 |
| History of long-term smoking | 2/4 | 3/4 | 7/12 | 6/9 | 6/6 |
| Previous surgery | 1/4 | 2/4 | 7/12 | 3/9 | 0/6 |
| Average number of years passed since last surgery | 23 (±0) | 7.5 (±9.19) | 5.7 (±6.21) | 4 (±2.65) |
| Cluster 1 | Cluster 2 | Cluster 3 | Cluster 4 | Cluster 5 | |
|---|---|---|---|---|---|
| Intranasal corticosteroids | 2/4 | 4/4 | 7/12 | 7/9 | 6/6 |
| Oral corticosteroids | 2/4 | 1/4 | 5/12 | 2/9 | 0/6 |
| Long course of antibiotics | 2/4 | 1/4 | 4/12 | 0/9 | 1/6 |
| Positive Structures in the Visual Field | Expressed as Symbols | Expressed as Numbers |
|---|---|---|
| No structures | 0 | 0 |
| Occasional | 0/+ | 0.5 |
| Few | + | 1 |
| Moderate | ++ | 2 |
| Numerous | +++ | 3 |
| Abundant | ++++ | 4 |
Disclaimer/Publisher’s Note: The statements, opinions and data contained in all publications are solely those of the individual author(s) and contributor(s) and not of MDPI and/or the editor(s). MDPI and/or the editor(s) disclaim responsibility for any injury to people or property resulting from any ideas, methods, instructions or products referred to in the content. |
© 2024 by the authors. Licensee MDPI, Basel, Switzerland. This article is an open access article distributed under the terms and conditions of the Creative Commons Attribution (CC BY) license (https://creativecommons.org/licenses/by/4.0/).
Share and Cite
Viksne, R.J.; Sumeraga, G.; Pilmane, M. Endotypes of Chronic Rhinosinusitis with Primary and Recurring Nasal Polyps in the Latvian Population. Int. J. Mol. Sci. 2024, 25, 5159. https://doi.org/10.3390/ijms25105159
Viksne RJ, Sumeraga G, Pilmane M. Endotypes of Chronic Rhinosinusitis with Primary and Recurring Nasal Polyps in the Latvian Population. International Journal of Molecular Sciences. 2024; 25(10):5159. https://doi.org/10.3390/ijms25105159
Chicago/Turabian StyleViksne, Rudolfs Janis, Gunta Sumeraga, and Mara Pilmane. 2024. "Endotypes of Chronic Rhinosinusitis with Primary and Recurring Nasal Polyps in the Latvian Population" International Journal of Molecular Sciences 25, no. 10: 5159. https://doi.org/10.3390/ijms25105159
APA StyleViksne, R. J., Sumeraga, G., & Pilmane, M. (2024). Endotypes of Chronic Rhinosinusitis with Primary and Recurring Nasal Polyps in the Latvian Population. International Journal of Molecular Sciences, 25(10), 5159. https://doi.org/10.3390/ijms25105159

