Single-Cell Transcriptome Sequence Profiling on the Morphogenesis of Secondary Hair Follicles in Ordos Fine-Wool Sheep
Abstract
1. Introduction
2. Results
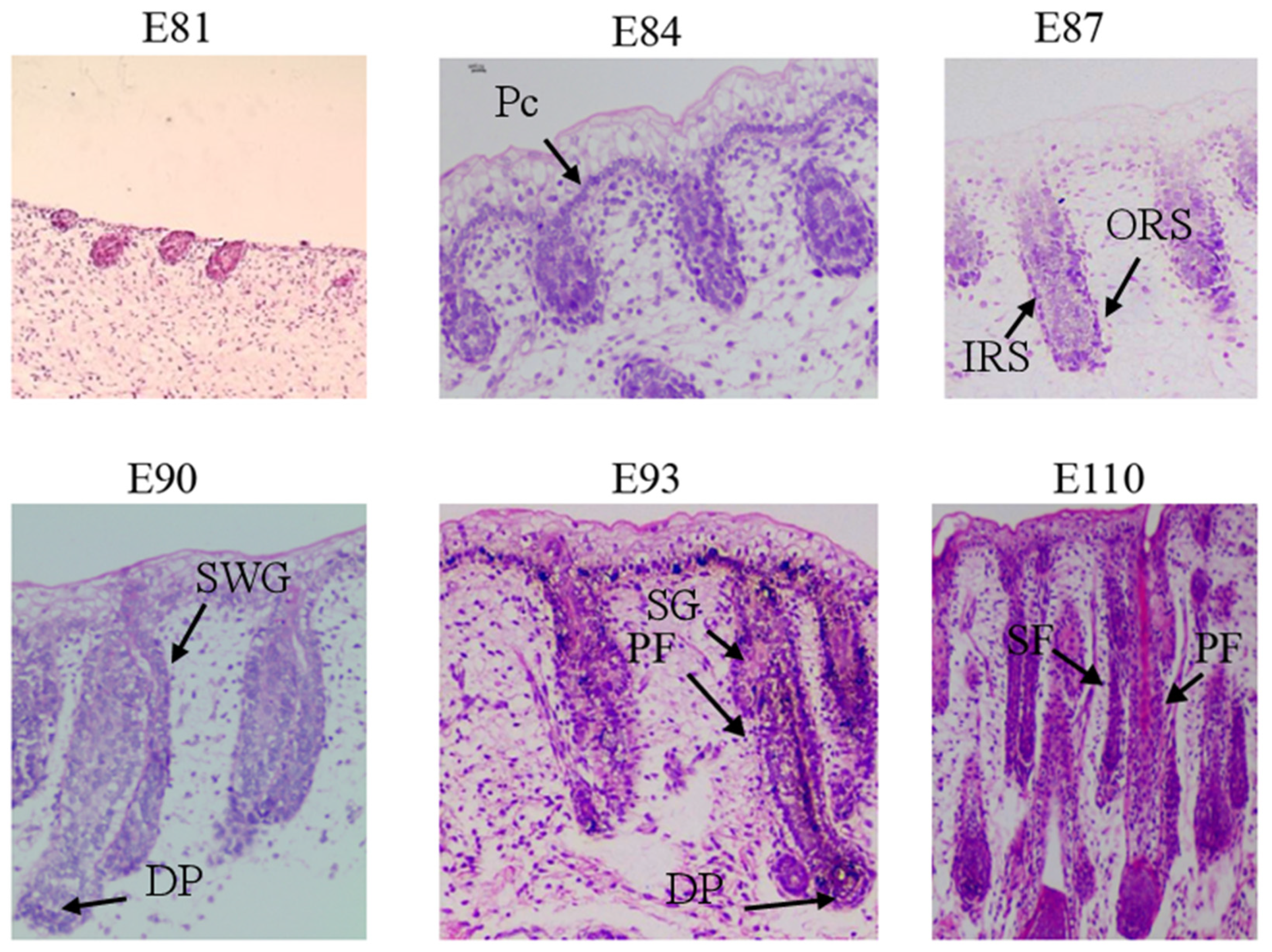
2.1. Morphogenetic Identification of the Early Development of Wool Follicles in Ordos Fine-Wool Sheep
2.2. Identification and Molecular Characteristics of Major Cell Types
2.3. The Construction of the Differentiation Trajectory of Dermal Lineage Cells during the Wool Follicle Morphogenesis Process
2.4. The Construction of the Differentiation Trajectory of Epidermal Lineage Cells during the Wool Follicle Morphogenesis Process
2.5. Fluorescent Immunohistochemical Validation
3. Discussion
3.1. Identification of Major Cell Types
3.2. Construction of Differentiation Trajectories of Dermal Lineage Cells
3.3. Construction of the Differentiation Trajectory of Epidermal Progenitor Cells
4. Materials and Methods
4.1. Experimental Animals
4.2. Main Reagents and Instruments
4.3. Experimental Methods
4.3.1. Observation of HE Staining
4.3.2. scRNA-Seq
4.3.3. Quality Control for 10× Sequencing Data
4.3.4. t-SNE Clustering
4.3.5. Construction of Differentiation Trajectories for Dermal Lineage Cells and Epidermal Lineage Cells
4.3.6. GO Functional Enrichment Analysis of Differentially Expressed Genes
4.3.7. Immunohistochemistry (IHC) for Fluorescence Detection
5. Conclusions
Supplementary Materials
Author Contributions
Funding
Institutional Review Board Statement
Informed Consent Statement
Data Availability Statement
Acknowledgments
Conflicts of Interest
References
- Di, J.; Ainiwaer, L.; Xu, X.-M.; Zhang, Y.-H.; Yu, L.-J.; Li, W.-C. Genetic trends for growth and wool traits of Chinese superfine Merino sheep using a multi-trait animal model. Small Rumin. Res. 2014, 117, 47–51. [Google Scholar] [CrossRef]
- Bolormaa, S.; Hayes, B.J.; van der Werf, J.H.; Pethick, D.; Goddard, M.E.; Daetwyler, H.D. Detailed phenotyping identifies genes with pleiotropic effects on body composition. BMC Genom. 2016, 17, 224. [Google Scholar] [CrossRef] [PubMed]
- Wang, W.; Wulong, D.; Prague, E.; Meng, G. Analysis and development countermeasures of Ordos fine wool production and management. Anim. Husb. Feed Sci. 2018, 39, 89–91. [Google Scholar]
- Li, C.; Li, J.; Wang, H.; Zhang, R.; An, X.; Yuan, C.; Guo, T.; Yue, Y. Genomic Selection for Live Weight in the 14th Month in Alpine Merino Sheep Combining GWAS Information. Animals 2023, 13, 3516. [Google Scholar] [CrossRef] [PubMed]
- Stephens, M. The skin and associated disorders. Br. J. Nurs. 2022, 31, 202–206. [Google Scholar] [CrossRef] [PubMed]
- Alonso, L.; Fuchs, E. Stem cells in the skin: Waste not, Wnt not. Genes Dev. 2003, 17, 1189–1200. [Google Scholar] [CrossRef] [PubMed]
- Doyle, E.K.; Preston, J.W.V.; McGregor, B.A.; Hynd, P.I. The science behind the wool industry. The importance and value of wool production from sheep. Anim. Front. 2021, 11, 15–23. [Google Scholar] [CrossRef] [PubMed]
- Ma, X.; Tian, Y.; Song, Y.; Shi, J.; Xu, J.; Xiong, K.; Li, J.; Xu, W.; Zhao, Y.; Shuai, J.; et al. Msi2 Maintains Quiescent State of Hair Follicle Stem Cells by Directly Repressing the Hh Signaling Pathway. J. Investig. Dermatol. 2017, 137, 1015–1024. [Google Scholar] [CrossRef]
- Nie, Y.; Li, S.; Zheng, X.; Chen, W.; Li, X.; Liu, Z.; Hu, Y.; Qiao, H.; Qi, Q.; Pei, Q. Transcriptome reveals long non-coding RNAs and mRNAs involved in primary wool follicle induction in carpet sheep fetal skin. Front. Physiol. 2018, 9, 446. [Google Scholar] [CrossRef]
- Cao, J.; Packer, J.S.; Ramani, V.; Cusanovich, D.A.; Huynh, C.; Daza, R.; Qiu, X.; Lee, C.; Furlan, S.N.; Steemers, F.J. Comprehensive single-cell transcriptional profiling of a multicellular organism. Science 2017, 357, 661–667. [Google Scholar] [CrossRef]
- Chen, G.; Schell, J.P.; Benitez, J.A.; Petropoulos, S.; Yilmaz, M.; Reinius, B.; Alekseenko, Z.; Shi, L.; Hedlund, E.; Lanner, F. Single-cell analyses of X Chromosome inactivation dynamics and pluripotency during differentiation. Genome Res. 2016, 26, 1342–1354. [Google Scholar] [CrossRef] [PubMed]
- Grün, D.; Lyubimova, A.; Kester, L.; Wiebrands, K.; Basak, O.; Sasaki, N.; Clevers, H.; Van Oudenaarden, A. Single-cell messenger RNA sequencing reveals rare intestinal cell types. Nature 2015, 525, 251–255. [Google Scholar] [CrossRef] [PubMed]
- Jaitin, D.A.; Kenigsberg, E.; Keren-Shaul, H.; Elefant, N.; Paul, F.; Zaretsky, I.; Mildner, A.; Cohen, N.; Jung, S.; Tanay, A. Massively parallel single-cell RNA-seq for marker-free decomposition of tissues into cell types. Science 2014, 343, 776–779. [Google Scholar] [CrossRef] [PubMed]
- Rosenberg, A.B.; Roco, C.M.; Muscat, R.A.; Kuchina, A.; Sample, P.; Yao, Z.; Graybuck, L.T.; Peeler, D.J.; Mukherjee, S.; Chen, W. Single-cell profiling of the developing mouse brain and spinal cord with split-pool barcoding. Science 2018, 360, 176–182. [Google Scholar] [CrossRef] [PubMed]
- Oliver, R. The experimental induction of whisker growth in the hooded rat by implantation of dermal papillae. Development 1967, 18, 43–51. [Google Scholar] [CrossRef]
- Wang, S.; Wu, T.; Sun, J.; Li, Y.; Yuan, Z.; Sun, W. Single-Cell Transcriptomics Reveals the Molecular Anatomy of Sheep Hair Follicle Heterogeneity and Wool Curvature. Front. Cell Dev. Biol. 2021, 9, 800157. [Google Scholar] [CrossRef] [PubMed]
- Gao, Y.; Wang, X.; Yan, H.; Zeng, J.; Ma, S.; Niu, Y.; Zhou, G.; Jiang, Y.; Chen, Y. Comparative Transcriptome Analysis of Fetal Skin Reveals Key Genes Related to Hair Follicle Morphogenesis in Cashmere Goats. PLoS ONE 2016, 11, e0151118. [Google Scholar] [CrossRef]
- Ren, H.; Wang, G.; Chen, L.; Jiang, J.; Liu, L.; Li, N.; Zhao, J.; Sun, X.; Zhou, P. Genome-wide analysis of long non-coding RNAs at early stage of skin pigmentation in goats (Capra hircus). BMC Genom. 2016, 17, 67. [Google Scholar] [CrossRef]
- Ge, W.; Tan, S.J.; Wang, S.H.; Li, L.; Sun, X.F.; Shen, W.; Wang, X. Single-cell Transcriptome Profiling reveals Dermal and Epithelial cell fate decisions during Embryonic Hair Follicle Development. Theranostics 2020, 10, 7581–7598. [Google Scholar] [CrossRef]
- Mok, K.W.; Saxena, N.; Heitman, N.; Grisanti, L.; Srivastava, D.; Muraro, M.J.; Jacob, T.; Sennett, R.; Wang, Z.; Su, Y.; et al. Dermal Condensate Niche Fate Specification Occurs Prior to Formation and Is Placode Progenitor Dependent. Dev. Cell 2019, 48, 32–48.e35. [Google Scholar] [CrossRef]
- Gupta, K.; Levinsohn, J.; Linderman, G.; Chen, D.; Sun, T.Y.; Dong, D.; Taketo, M.M.; Bosenberg, M.; Kluger, Y.; Choate, K.; et al. Single-Cell Analysis Reveals a Hair Follicle Dermal Niche Molecular Differentiation Trajectory that Begins Prior to Morphogenesis. Dev. Cell 2019, 48, 17–31.e16. [Google Scholar] [CrossRef] [PubMed]
- Ibraheem, M.; Galbraith, H.; Scaife, J.; Ewen, S. Growth of secondary hair follicles of the Cashmere goat in vitro and their response to prolactin and melatonin. J. Anat. 1994, 185, 135. [Google Scholar] [PubMed]
- Yu-yu, W.; Yao-jing, Y.; Ting-ting, G.; Tian-xiang, W.; Jian, G.; Gui-ying, L.; Ji-long, H. Study on fetal skin hair follicle development and morphology of China super-fine merino (gansu type). Sci. Agric. Sin. 2013, 46, 1923–1931. [Google Scholar]
- Sulayman, A.; Tian, Y.; Xu, Q.; He, J.; Zhao, B.; Xu, X.; Fu, X.; Ranagul, A.; Huang, X.; Tian, K. Study on fetal skin hair follicle structure and morphological development of Subo Merino sheep. Sci. Agric. Sin. 2017, 50, 3226–3235. [Google Scholar]
- Derynck, R.; Zhang, Y.E. Smad-dependent and Smad-independent pathways in TGF-β family signalling. Nature 2003, 425, 577–584. [Google Scholar] [CrossRef] [PubMed]
- Massagué, J.; Chen, Y.G. Controlling TGF-beta signaling. Genes Dev. 2000, 14, 627–644. [Google Scholar] [CrossRef] [PubMed]
- Miyazawa, K.; Shinozaki, M.; Hara, T.; Furuya, T.; Miyazono, K. Two major Smad pathways in TGF-β superfamily signalling. Genes Cells 2002, 7, 1191–1204. [Google Scholar] [CrossRef]
- ten Dijke, P.; Hill, C.S. New insights into TGF-beta-Smad signalling. Trends Biochem. Sci. 2004, 29, 265–273. [Google Scholar] [CrossRef]
- Botchkarev, V.A.; Kishimoto, J. Molecular control of epithelial–mesenchymal interactions during hair follicle cycling. J. Investig. Dermatol. Symp. Proc. 2003, 8, 46–55. [Google Scholar] [CrossRef]
- Hogan, B. Bone morphogenetic proteins: Multifunctional regulators of vertebrate development. Genes Dev. 1996, 10, 1580–1594. [Google Scholar] [CrossRef]
- Li, A.G.; Koster, M.I.; Wang, X.-J. Roles of TGFβ signaling in epidermal/appendage development. Cytokine Growth Factor Rev. 2003, 14, 99–111. [Google Scholar] [CrossRef] [PubMed]
- Biggs, L.C.; Mäkelä, O.J.; Myllymäki, S.M.; Das Roy, R.; Närhi, K.; Pispa, J.; Mustonen, T.; Mikkola, M.L. Hair follicle dermal condensation forms via Fgf20 primed cell cycle exit, cell motility, and aggregation. Elife 2018, 7, e36468. [Google Scholar] [CrossRef] [PubMed]
- Chen, P.; Zhang, F.; Fan, Z.; Shen, T.; Liu, B.; Chen, R.; Qu, Q.; Wang, J.; Miao, Y.; Hu, Z. Nanoscale microenvironment engineering for expanding human hair follicle stem cell and revealing their plasticity. J. Nanobiotechnology 2021, 19, 94. [Google Scholar] [CrossRef] [PubMed]
- Artavanis-Tsakonas, S.; Rand, M.D.; Lake, R.J. Notch signaling: Cell fate control and signal integration in development. Science 1999, 284, 770–776. [Google Scholar] [CrossRef] [PubMed]
- Proweller, A.; Tu, L.; Lepore, J.J.; Cheng, L.; Lu, M.M.; Seykora, J.; Millar, S.E.; Pear, W.S.; Parmacek, M.S. Impaired notch signaling promotes de novo squamous cell carcinoma formation. Cancer Res. 2006, 66, 7438–7444. [Google Scholar] [CrossRef] [PubMed]
- Hayward, P.; Brennan, K.; Sanders, P.; Balayo, T.; DasGupta, R.; Perrimon, N.; Martinez Arias, A. Notch modulates Wnt signalling by associating with Armadillo/beta-catenin and regulating its transcriptional activity. Development 2005, 132, 1819–1830. [Google Scholar] [CrossRef]
- Kobielak, K.; Pasolli, H.A.; Alonso, L.; Polak, L.; Fuchs, E. Defining BMP functions in the hair follicle by conditional ablation of BMP receptor IA. J. Cell Biol. 2003, 163, 609–623. [Google Scholar] [CrossRef]
- Watt, F.M. Role of integrins in regulating epidermal adhesion, growth and differentiation. EMBO J. 2002, 21, 3919–3926. [Google Scholar] [CrossRef]
- Nguyen, B.C.; Lefort, K.; Mandinova, A.; Antonini, D.; Devgan, V.; Della Gatta, G.; Koster, M.I.; Zhang, Z.; Wang, J.; Tommasi di Vignano, A.; et al. Cross-regulation between Notch and p63 in keratinocyte commitment to differentiation. Genes Dev. 2006, 20, 1028–1042. [Google Scholar] [CrossRef]











Disclaimer/Publisher’s Note: The statements, opinions and data contained in all publications are solely those of the individual author(s) and contributor(s) and not of MDPI and/or the editor(s). MDPI and/or the editor(s) disclaim responsibility for any injury to people or property resulting from any ideas, methods, instructions or products referred to in the content. |
© 2024 by the authors. Licensee MDPI, Basel, Switzerland. This article is an open access article distributed under the terms and conditions of the Creative Commons Attribution (CC BY) license (https://creativecommons.org/licenses/by/4.0/).
Share and Cite
Li, C.; He, X.; Wu, Y.; Li, J.; Zhang, R.; An, X.; Yue, Y. Single-Cell Transcriptome Sequence Profiling on the Morphogenesis of Secondary Hair Follicles in Ordos Fine-Wool Sheep. Int. J. Mol. Sci. 2024, 25, 584. https://doi.org/10.3390/ijms25010584
Li C, He X, Wu Y, Li J, Zhang R, An X, Yue Y. Single-Cell Transcriptome Sequence Profiling on the Morphogenesis of Secondary Hair Follicles in Ordos Fine-Wool Sheep. International Journal of Molecular Sciences. 2024; 25(1):584. https://doi.org/10.3390/ijms25010584
Chicago/Turabian StyleLi, Chenglan, Xue He, Yi Wu, Jianye Li, Rui Zhang, Xuejiao An, and Yaojing Yue. 2024. "Single-Cell Transcriptome Sequence Profiling on the Morphogenesis of Secondary Hair Follicles in Ordos Fine-Wool Sheep" International Journal of Molecular Sciences 25, no. 1: 584. https://doi.org/10.3390/ijms25010584
APA StyleLi, C., He, X., Wu, Y., Li, J., Zhang, R., An, X., & Yue, Y. (2024). Single-Cell Transcriptome Sequence Profiling on the Morphogenesis of Secondary Hair Follicles in Ordos Fine-Wool Sheep. International Journal of Molecular Sciences, 25(1), 584. https://doi.org/10.3390/ijms25010584

