The In Vitro Toxicity Profile of ZnS and CdS Quantum Dots in Polysaccharide Carriers (Starch/Chitosan)
Abstract
:1. Introduction
2. Results and Discussion
2.1. Cell Viability Assessment Test
2.2. Comet Assay
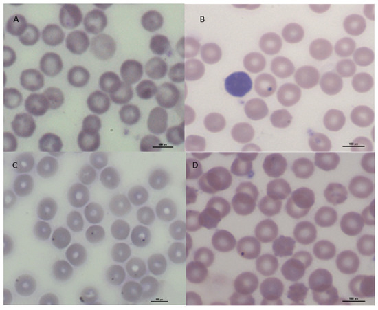
2.3. Erytrocyte Micronucleus Assay
3. Materials and Methods
3.1. Materials
3.2. Preparation of Nanocomposite Films
3.3. Scanning Electron Microscopy
3.4. UV-VIS Spectroscopy
3.5. Toxicity Profile
3.6. Viability Assessment
3.7. Alkaline Comet Assay
3.8. Erytrocyte Micronucleus Assay
3.9. Statistical Analysis
4. Conclusions
Author Contributions
Funding
Institutional Review Board Statement
Informed Consent Statement
Data Availability Statement
Conflicts of Interest
References
- Rizeq, B.R.; Younes, N.N.; Rasool, K.; Nasrallah, G.K. Synthesis, bioapplications, and toxicity evaluation of chitosan-based nanoparticles. Int. J. Mol. Sci. 2019, 20, 5776. [Google Scholar] [CrossRef] [PubMed]
- Hu, Y.-L.; Qi, W.; Han, F.; Shao, J.-Z.; Gao, J.-Q. Toxicity evaluation of biodegradable chitosan nanoparticles using a zebrafish embryo model. Int. J. Nanomed. 2011, 6, 3351–3359. [Google Scholar]
- Le, N.; Zhang, M.; Kim, K. Quantum dots and their interaction with biological systems. Int. J. Mol. Sci. 2022, 23, 10763. [Google Scholar] [CrossRef] [PubMed]
- Rajabi, H.R.; Farsi, M. Study of capping agent effect on the structural, optical and photocatalytic properties of zinc sulfide quantum dots. Mater. Sci. Semicond. Process. 2016, 48, 14–22. [Google Scholar] [CrossRef]
- Montaseri, Z.; Tamaddon, A.M.; Raee, M.J.; Farvadi, F. Exploring the Effects of Various Capping Agents on Zinc Sulfide Quantum Dot Characteristics and In-vitro Fate. ChemistryOpen 2023, 12, e202300094. [Google Scholar] [CrossRef] [PubMed]
- Demir, E.; Castranova, V. Evaluation of the potential genotoxicity of quantum dots. A Rev. Sci. Pages Nanotechnol. 2017, 1, 1–19. [Google Scholar]
- Rzigalinski, B.A.; Strobl, J.S. Cadmium-containing nanoparticles: Perspectives on pharmacology and toxicology of quantum dots. Toxicol. Appl. Pharmacol. 2009, 238, 280–288. [Google Scholar] [CrossRef] [PubMed]
- Singh, N.; Manshian, B.; Jenkins, G.J.; Griffiths, S.M.; Williams, P.M.; Maffeis, T.G.; Wright, C.J.; Doak, S.H. NanoGenotoxicology: The DNA damaging potential of engineered nanomaterials. Biomaterials 2009, 30, 3891–3914. [Google Scholar] [CrossRef]
- Li, H.; Li, M.; Shih, W.Y.; Lelkes, P.I.; Shih, W.-H. Cytotoxicity tests of water soluble ZnS and CdS quantum dots. J. Nanosci. Nanotechnol. 2011, 11, 3543–3551. [Google Scholar] [CrossRef]
- Pajak, P.; Fortune, T.; Przetaczek-Roznowska, I. Protein-and Polysaccharide-Based Edible Packagings: Profile and Applications. Zywnosc-Nauka Technol. Jakosc 2013, 20, 5–18. [Google Scholar] [CrossRef]
- Grzebieniarz, W.; Nowak, N.; Khachatryan, G.; Krzan, M.; Krystyjan, M.; Kosiński, J.; Khachatryan, K. The preparation and characterization of quantum dots in polysaccharide carriers (starch/chitosan) as elements of smart packaging and their impact on the growth of microorganisms in food. Materials 2021, 14, 7732. [Google Scholar] [CrossRef] [PubMed]
- Krystyjan, M.; Khachatryan, G.; Khachatryan, K.; Konieczna-Molenda, A.; Grzesiakowska, A.; Kuchta-Gładysz, M.; Kawecka, A.; Grzebieniarz, W.; Nowak, N. The Functional and Application Possibilities of Starch/Chitosan Polymer Composites Modified by Graphene Oxide. Int. J. Mol. Sci. 2022, 23, 5956. [Google Scholar] [CrossRef] [PubMed]
- Yu, M.; Ji, N.; Wang, Y.; Dai, L.; Xiong, L.; Sun, Q. Starch-based nanoparticles: Stimuli responsiveness, toxicity, and interactions with food components. Compr. Rev. Food Sci. Food Saf. 2021, 20, 1075–1100. [Google Scholar] [CrossRef] [PubMed]
- Hassan, N.A.; Darwesh, O.M.; Smuda, S.S.; Altemimi, A.B.; Hu, A.; Cacciola, F.; Haoujar, I.; Abedelmaksoud, T.G. Recent trends in the preparation of nano-starch particles. Molecules 2022, 27, 5497. [Google Scholar] [CrossRef] [PubMed]
- Marta, H.; Rizki, D.I.; Mardawati, E.; Djali, M.; Mohammad, M.; Cahyana, Y. Starch nanoparticles: Preparation, properties and applications. Polymers 2023, 15, 1167. [Google Scholar] [CrossRef] [PubMed]
- Matica, A.; Menghiu, G.; Ostafe, V. Toxicity of Chitosan Based Products. New Front. Chem. 2017, 26, 65–74. [Google Scholar]
- Sharifi, E.; Jamaledin, R.; Familsattarian, F.; Nejaddehbashi, F.; Bagheri, M.; Chehelgerdi, M.; Zare, E.N.; Akhavan, O. Bioactive chitosan/poly (ethyleneoxide)/CuFe2O4 nanofibers for potential wound healing. Environ. Res. 2023, 239, 117448. [Google Scholar] [CrossRef]
- Rasul, R.M.; Muniandy, M.T.; Zakaria, Z.; Shah, K.; Chee, C.F.; Dabbagh, A.; Abd Rahman, N.; Wong, T.W. A review on chitosan and its development as pulmonary particulate anti-infective and anti-cancer drug carriers. Carbohydr. Polym. 2020, 250, 116800. [Google Scholar] [CrossRef]
- Kim, D.S.; Yang, X.; Lee, J.H.; Yoo, H.Y.; Park, C.; Kim, S.W.; Lee, J. Development of GO/Co/Chitosan-Based Nano-Biosensor for Real-Time Detection of D-Glucose. Biosensors 2022, 12, 464. [Google Scholar] [CrossRef]
- Rafiee, A.; Alimohammadian, M.H.; Gazori, T.; Riazi-rad, F.; Fatemi, S.M.R.; Parizadeh, A.; Haririan, I.; Havaskary, M. Comparison of chitosan, alginate and chitosan/alginate nanoparticles with respect to their size, stability, toxicity and transfection. Asian Pac. J. Trop. Dis. 2014, 4, 372–377. [Google Scholar] [CrossRef]
- Hamed, H.S.; Ali, R.M.; Shaheen, A.A.; Hussein, N.M. Chitosan nanoparticles alleviated endocrine disruption, oxidative damage, and genotoxicity of Bisphenol-A-intoxicated female African catfish. Comp. Biochem. Physiol. Part C Toxicol. Pharmacol. 2021, 248, 109104. [Google Scholar] [CrossRef] [PubMed]
- LogithKumar, R.; KeshavNarayan, A.; Dhivya, S.; Chawla, A.; Saravanan, S.; Selvamurugan, N. A review of chitosan and its derivatives in bone tissue engineering. Carbohydr. Polym. 2016, 151, 172–188. [Google Scholar] [CrossRef] [PubMed]
- Alimirzaei, F.; Vasheghani-Farahani, E.; Ghiaseddin, A.; Soleimani, M. pH-Sensitive Chitosan Hydrogel with Instant Gelation for Myocardial Regeneration. J. Tissue Sci. Eng 2017, 8, 1000212. [Google Scholar]
- Loh, J.W.; Yeoh, G.; Saunders, M.; Lim, L.-Y. Uptake and cytotoxicity of chitosan nanoparticles in human liver cells. Toxicol. Appl. Pharmacol. 2010, 249, 148–157. [Google Scholar] [CrossRef] [PubMed]
- Kean, T.; Thanou, M. Biodegradation, biodistribution and toxicity of chitosan. Adv. Drug Deliv. Rev. 2010, 62, 3–11. [Google Scholar] [CrossRef] [PubMed]
- Younes, I.; Frachet, V.; Rinaudo, M.; Jellouli, K.; Nasri, M. Cytotoxicity of chitosans with different acetylation degrees and molecular weights on bladder carcinoma cells. Int. J. Biol. Macromol. 2016, 84, 200–207. [Google Scholar] [CrossRef]
- Leudjo Taka, A.; Tata, C.M.; Klink, M.J.; Mbianda, X.Y.; Mtunzi, F.M.; Naidoo, E.B. A review on conventional and advanced methods for nanotoxicology evaluation of engineered nanomaterials. Molecules 2021, 26, 6536. [Google Scholar] [CrossRef]
- Longo-Sorbello, G.S.; Saydam, G.; Banerjee, D.; Bertino, J.R. Cytotoxicity and cell growth assays. In Cell Biology; Elsevier: Amsterdam, The Netherlands, 2006; pp. 315–324. [Google Scholar]
- Banu, B.S.; Devi, K.D.; Mahboob, M.; Jamil, K. In vivo genotoxic effect of zinc sulfate in mouse peripheral blood leukocytes using comet assay. Drug Chem. Toxicol. 2001, 24, 63–73. [Google Scholar] [CrossRef]
- Manzoor, K.; Johny, S.; Thomas, D.; Setua, S.; Menon, D.; Nair, S. Bio-conjugated luminescent quantum dots of doped ZnS: A cyto-friendly system for targeted cancer imaging. Nanotechnology 2009, 20, 065102. [Google Scholar] [CrossRef]
- Collins, A.R.; Oscoz, A.A.; Brunborg, G.; Gaivao, I.; Giovannelli, L.; Kruszewski, M.; Smith, C.C.; Štětina, R. The comet assay: Topical issues. Mutagenesis 2008, 23, 143–151. [Google Scholar] [CrossRef]
- Dhawan, A.; Bajpayee, M.; Parmar, D. Comet assay: A reliable tool for the assessment of DNA damage in different models. Cell Biol. Toxicol. 2009, 25, 5–32. [Google Scholar] [CrossRef] [PubMed]
- Grzesiakowska, A.; Kasprowicz, M.J.; Kuchta-Gładysz, M.; Rymuza, K.; Szeleszczuk, O. Genotoxicity of physical silver nanoparticles, produced by the HVAD method, for Chinchilla lanigera genome. Sci. Rep. 2021, 11, 18473. [Google Scholar] [CrossRef] [PubMed]
- Liu, H.; Liu, H.; Liu, H.; Zhang, D.; Wang, Q.; Li, S.; Cao, Y.; Li, Q. Study on the genetic damage caused by cadmium sulfide quantum dots in human lymphocytes. Open Life Sci. 2022, 17, 463–472. [Google Scholar] [CrossRef] [PubMed]
- Sharif, R.; Thomas, P.; Zalewski, P.; Graham, R.D.; Fenech, M. The effect of zinc sulphate and zinc carnosine on genome stability and cytotoxicity in the WIL2-NS human lymphoblastoid cell line. Mutat. Res./Genet. Toxicol. Environ. Mutagen. 2011, 720, 22–33. [Google Scholar] [CrossRef] [PubMed]
- Krishna, G.; Hayashi, M. In vivo rodent micronucleus assay: Protocol, conduct and data interpretation. Mutat. Res. /Fundam. Mol. Mech. Mutagen. 2000, 455, 155–166. [Google Scholar] [CrossRef]
- Sommer, S.; Buraczewska, I.; Kruszewski, M. Micronucleus assay: The state of art, and future directions. Int. J. Mol. Sci. 2020, 21, 1534. [Google Scholar] [CrossRef]
- Aye, M.; Di Giorgio, C.; Berque-Bestel, I.; Aime, A.; Pichon, B.P.; Jammes, Y.; Barthélémy, P.; De Méo, M. Genotoxic and mutagenic effects of lipid-coated CdSe/ZnS quantum dots. Mutat. Res./Genet. Toxicol. Environ. Mutagen. 2013, 750, 129–138. [Google Scholar] [CrossRef]
- Singh, N.P.; McCoy, M.T.; Tice, R.R.; Schneider, E.L. A simple technique for quantitation of low levels of DNA damage in individual cells. Exp. Cell Res. 1988, 175, 184–191. [Google Scholar] [CrossRef]






Disclaimer/Publisher’s Note: The statements, opinions and data contained in all publications are solely those of the individual author(s) and contributor(s) and not of MDPI and/or the editor(s). MDPI and/or the editor(s) disclaim responsibility for any injury to people or property resulting from any ideas, methods, instructions or products referred to in the content. |
© 2023 by the authors. Licensee MDPI, Basel, Switzerland. This article is an open access article distributed under the terms and conditions of the Creative Commons Attribution (CC BY) license (https://creativecommons.org/licenses/by/4.0/).
Share and Cite
Grzesiakowska, A.; Dzióbek, M.; Kuchta-Gładysz, M.; Wojciechowska-Puchałka, J.; Khachatryan, K.; Khachatryan, G.; Krystyjan, M. The In Vitro Toxicity Profile of ZnS and CdS Quantum Dots in Polysaccharide Carriers (Starch/Chitosan). Int. J. Mol. Sci. 2024, 25, 361. https://doi.org/10.3390/ijms25010361
Grzesiakowska A, Dzióbek M, Kuchta-Gładysz M, Wojciechowska-Puchałka J, Khachatryan K, Khachatryan G, Krystyjan M. The In Vitro Toxicity Profile of ZnS and CdS Quantum Dots in Polysaccharide Carriers (Starch/Chitosan). International Journal of Molecular Sciences. 2024; 25(1):361. https://doi.org/10.3390/ijms25010361
Chicago/Turabian StyleGrzesiakowska, Anna, Magdalena Dzióbek, Marta Kuchta-Gładysz, Joanna Wojciechowska-Puchałka, Karen Khachatryan, Gohar Khachatryan, and Magdalena Krystyjan. 2024. "The In Vitro Toxicity Profile of ZnS and CdS Quantum Dots in Polysaccharide Carriers (Starch/Chitosan)" International Journal of Molecular Sciences 25, no. 1: 361. https://doi.org/10.3390/ijms25010361
APA StyleGrzesiakowska, A., Dzióbek, M., Kuchta-Gładysz, M., Wojciechowska-Puchałka, J., Khachatryan, K., Khachatryan, G., & Krystyjan, M. (2024). The In Vitro Toxicity Profile of ZnS and CdS Quantum Dots in Polysaccharide Carriers (Starch/Chitosan). International Journal of Molecular Sciences, 25(1), 361. https://doi.org/10.3390/ijms25010361

