Gal3 Plays a Deleterious Role in a Mouse Model of Endotoxemia
Abstract
:1. Introduction
2. Results
2.1. Genetic Deletion of Gal3 Decreases the Mortality Rate
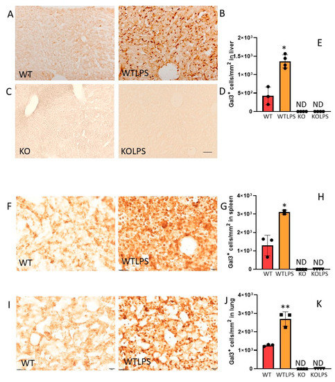
2.2. LPS Induces Changes in the Gal3 Levels in Immune Cells of Peripheral Blood, Serum and Tissues
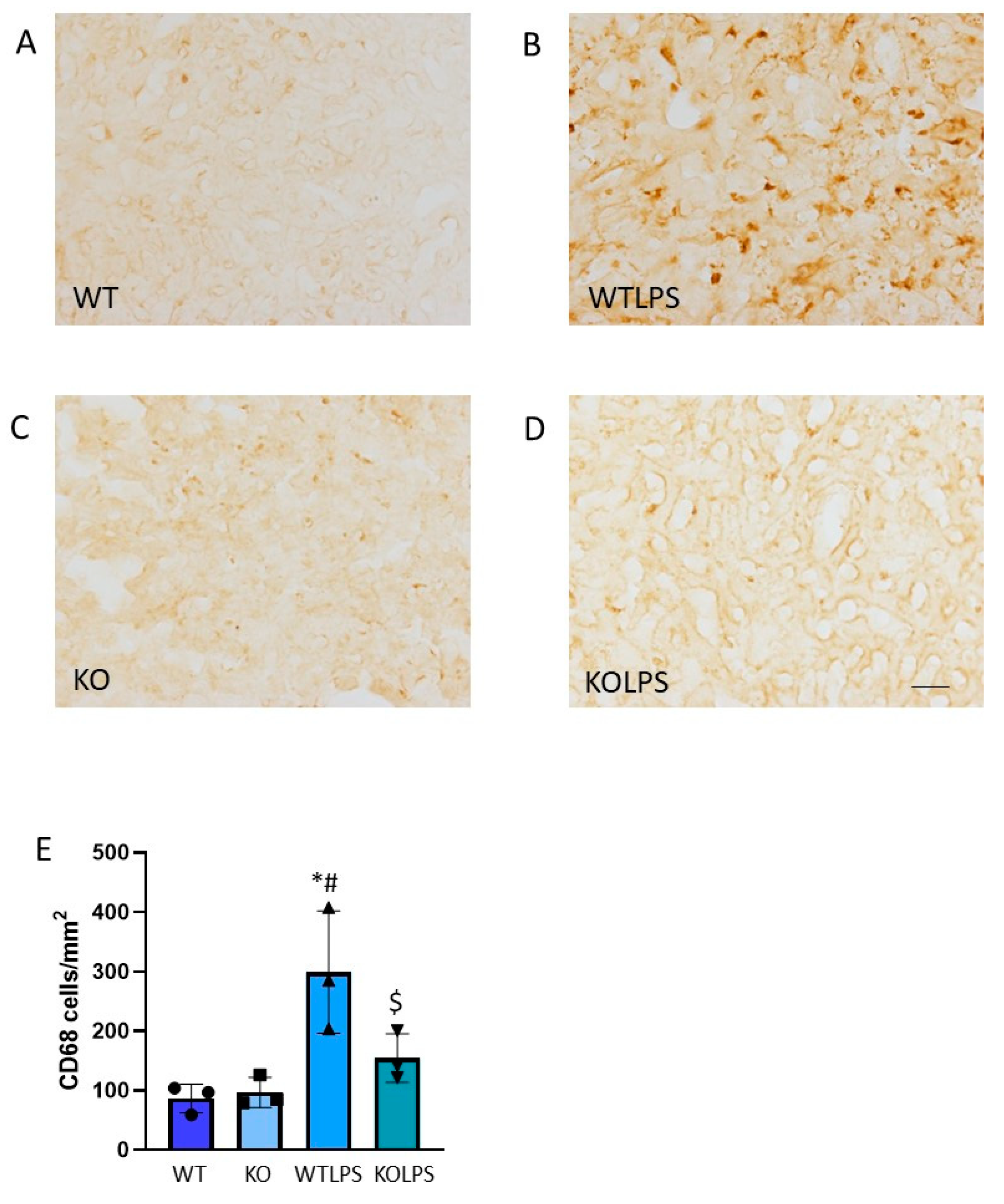
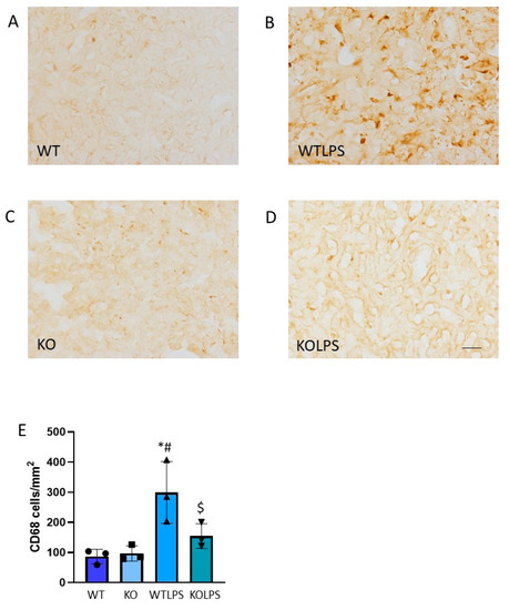
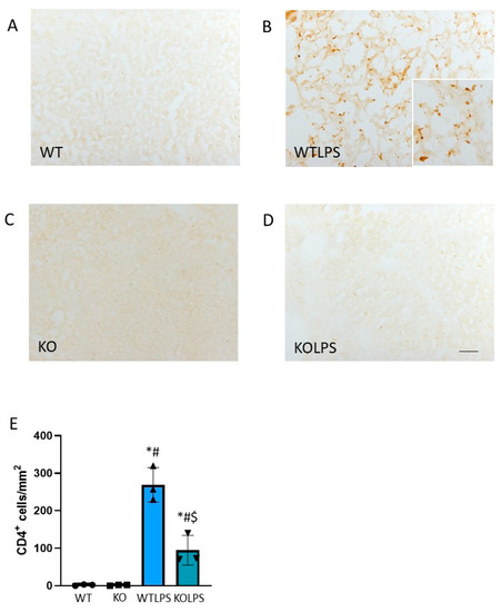
2.3. Genetic Deletion of Gal3 Alters the Immune Response in the Liver, Spleen and Peritoneal Macrophages
2.4. Absence of Gal3 Reduces Serum Levels of TNF-α and IL-6 in Response to LPS Challenge
2.5. Gal3 Depletion Protects from Tissular Damage
3. Discussion
4. Materials and Methods
4.1. Animals and Treatments
4.2. Survival Analysis
4.3. Flow Cytometry
4.4. Isolation and Culture of Primary Peritoneal Macrophages
4.5. RNA Extraction and cDNA Synthesis
4.6. Real Time PCR
4.7. ELISA
4.8. Immunohistological Evaluation of Gal3, CD4 and CD68
4.9. Immunohistochemistry Data Analysis
4.10. Immunofluorescence of Iba-1 and Gal3
4.11. Light and Electron Microscopy
4.12. Statistical Analysis
Supplementary Materials
Author Contributions
Funding
Institutional Review Board Statement
Data Availability Statement
Conflicts of Interest
References
- Andreasen, A.S.; Krabbe, K.S.; Krogh-Madsen, R.; Taudorf, S.; Pedersen, B.K.; Moller, K. Human Endotoxemia as a Model of Systemic Inflammation. Curr. Med. Chem. 2008, 15, 1697–1705. [Google Scholar] [CrossRef] [PubMed]
- Fink, M.P. Animal models of sepsis. Virulence 2014, 5, 143–153. [Google Scholar] [CrossRef]
- Chousterman, B.G.; Swirski, F.; Weber, G.F. Cytokine storm and sepsis disease pathogenesis. Semin. Immunopathol. 2017, 39, 517–528. [Google Scholar] [CrossRef]
- Takeuchi, O.; Akira, S. Pattern Recognition Receptors and Inflammation. Cell 2010, 140, 805–820. [Google Scholar] [CrossRef] [Green Version]
- Park, B.S.; Lee, J.-O. Recognition of lipopolysaccharide pattern by TLR4 complexes. Exp. Mol. Med. 2013, 45, e66. [Google Scholar] [CrossRef] [Green Version]
- Dickson, K.; Lehmann, C. Inflammatory Response to Different Toxins in Experimental Sepsis Models. Int. J. Mol. Sci. 2019, 20, 4341. [Google Scholar] [CrossRef] [PubMed] [Green Version]
- Burguillos, M.A.; Svensson, M.; Schulte, T.; Boza-Serrano, A.; Garcia-Quintanilla, A.; Kavanagh, E.; Santiago, M.; Viceconte, N.; Oliva-Martin, M.J.; Osmanet, A.M.; et al. Microglia-secreted galectin-3 acts as a toll-like receptor 4 ligand and contributes to microglial activation. Cell Rep. 2015, 10, 1626–1638. [Google Scholar] [CrossRef] [Green Version]
- DanellaPolli, C.; Alves Toledo, K.; Franco, L.H.; Sammartino Mariano, V.; de Olivera, L.L.; SoaresBernardes, E.; Roque-Barreira, M.C.; Pereira-da-Silva, G. Monocyte migration driven by Galectin-3 occurs through distinct mechanisms involving selective interactions with the extracellular matrix. ISRN Inflamm. 2013, 2013, 259256. [Google Scholar]
- Hughes, R.C. Galectins as modulators of cell adhesion. Biochimie 2001, 83, 667–676. [Google Scholar] [CrossRef]
- Yang, R.Y.; Hsu, D.K.; Liu, F.T. Expression of galectin-3 modulates T-cell growth and apoptosis. Proc. Natl. Acad. Sci. USA 1996, 93, 6737–6742. [Google Scholar] [CrossRef] [Green Version]
- Kim, H.R.; Lin, H.M.; Biliran, H.; Raz, A. Cell cycle arrest and inhibition of anoikis by galectin-3 in human breast epithelial cells. Cancer Res. 1999, 59, 4148–4154. [Google Scholar] [PubMed]
- An, Y.; Xu, S.; Liu, Y.; Xu, X.; Philips, C.A.; Chen, J.; Méndez-Sánchez, N.; Guo, X.; Qi, X. Role of Galectins in the Liver Diseases: A Systematic Review and Meta-Analysis. Front. Med. 2021, 8, 744518. [Google Scholar] [CrossRef]
- Capone, E.; Iacobelli, S.; Sala, G. Role of galectin 3 binding protein in cancer progression: A potential novel therapeutic target. J. Transl. Med. 2021, 19, 405. [Google Scholar] [CrossRef] [PubMed]
- Velickovic, M.; Arsenijevic, A.; Acovic, A.; Arsenijevic, D.; Milovanovic, J.; Dimitrijevic, J.; Todorovic, Z.; Milovanovic, M.; Kanjevac, T.; Arsenijevic, N. Galectin-3, Possible Role in Pathogenesis of Periodontal Diseases and Potential Therapeutic Target. Front. Pharmacol. 2021, 12, 638258. [Google Scholar] [CrossRef]
- Blanda, V.; Bracale, U.M.; Di Taranto, M.D.; Fortunato, G. Galectin-3 in Cardiovascular Diseases. Int. J. Mol. Sci. 2020, 21, 9232. [Google Scholar] [CrossRef] [PubMed]
- Slack, R.; Mills, R.; Mackinnon, A. The therapeutic potential of galectin-3 inhibition in fibrotic disease. Int. J. Biochem. Cell Biol. 2020, 130, 105881. [Google Scholar] [CrossRef]
- Garcia-Revilla, J.; Deierborg, T.; Venero, J.L.; Boza-Serrano, A. Hyperinflammation and Fibrosis in Severe COVID-19 Patients: Galectin-3, a Target Molecule to Consider. Front. Immunol. 2020, 11, 2069. [Google Scholar] [CrossRef]
- Cerliani, J.P.; Blidner, A.G.; Toscano, M.A.; Croci, D.O.; Rabinovich, G.A. Translating the ‘Sugar Code’ into Immune and Vascular Signaling Programs. Trends Biochem. Sci. 2017, 42, 255–273. [Google Scholar] [CrossRef] [PubMed]
- Shin, T. The pleiotropic effects of galectin-3 in neuroinflammation: A review. Acta Histochem. 2013, 115, 407–411. [Google Scholar] [CrossRef]
- Boza-Serrano, A.; Ruiz, R.; Sanchez-Varo, R.; García-Revilla, J.; Yang, Y.; Jimenez-Ferrer, I.; Paulus, A.; Wennström, M.; Vilalta, A.; Allendorf, D.; et al. Galectin-3, a novel endogenous TREM2 ligand, detrimentally regulates inflammatory response in Alzheimer’s disease. Acta Neuropathol. 2019, 138, 251–273. [Google Scholar] [CrossRef] [Green Version]
- Boza-Serrano, A.; Reyes, J.F.; Rey, N.L.; Leffler, H.; Bousset, L.; Nilsson, U.; Brundin, P.; Venero, J.L.; Burguillos, M.A.; Deierborg, T. The role of Galectin-3 in α-synuclein-induced microglial activation. Acta Neuropathol. Commun. 2014, 2, 156. [Google Scholar] [PubMed]
- Yip, P.K.; Carrillo-Jimenez, A.; King, P.; Vilalta, A.; Nomura, K.; Chau, C.C.; Egerton, A.M.S.; Liu, Z.-H.; Shetty, A.J.; Tremoleda, J.L. Galectin-3 released in response to traumatic brain injury acts as an alarmin orchestrating brain immune response and promoting neurodegeneration. Sci. Rep. 2017, 7, 41689. [Google Scholar] [CrossRef] [Green Version]
- Mostacada, K.; Oliveira, F.L.; Villa-Verde, D.M.; Martinez, A.M.B. Lack of galectin-3 improves the functional outcome and tissue sparing by modulating inflammatory response after a compressive spinal cord injury. Exp. Neurol. 2015, 271, 390–400. [Google Scholar] [CrossRef]
- Lalancette-Hébert, M.; Swarup, V.; Beaulieu, J.-M.; Bohacek, I.; Abdelhamid, E.; Weng, Y.C.; Sato, S.; Kriz, J. Galectin-3 Is Required for Resident Microglia Activation and Proliferation in Response to Ischemic Injury. J. Neurosci. 2012, 32, 10383–10395. [Google Scholar] [CrossRef] [PubMed] [Green Version]
- Oever, J.T.; Giamarellos-Bourboulis, E.J.; Veerdonk, F.L.; Stelma, F.F.; Simon, A.; Janssen, M.; Johnson, M.; Pachot, A.; Kullberg, B.-J.; Joosten, L.A.B.; et al. Circulating galectin-3 in infections and non-infectious inflammatory diseases. Eur. J. Clin. Microbiol. Infect. Dis. 2013, 32, 1605–1610. [Google Scholar] [CrossRef]
- Souza, C.D.O.; Voos, M.C.; Barbosa, A.F.; Chen, J.; Francato, D.C.V.; Milosevic, M.; Popovic, M.; Fonoff, E.T.; Chien, H.F.; Barbosa, E.R. Relationship Between Posturography, Clinical Balance and Executive Function in Parkinson′s Disease. J. Mot. Behav. 2019, 51, 212–221. [Google Scholar] [CrossRef]
- Ferreira, R.G.; Rodrigues, L.C.; Nascimento, D.C.; Kanashiro, A.; Melo, P.H.; Borges, V.F.; Gozzi, A.; Prado, D.D.S.; Borges, M.C.; Ramalho, F.S.; et al. Galectin-3 aggravates experimental polymicrobial sepsis by impairing neutrophil recruitment to the infectious focus. J. Infect. 2018, 77, 391–397. [Google Scholar] [CrossRef] [PubMed]
- Mishra, B.B.; Li, Q.; Steichen, A.L.; Binstock, B.J.; Metzger, D.; Teale, J.M.; Sharma, J. Galectin-3 Functions as an Alarmin: Pathogenic Role for Sepsis Development in Murine Respiratory Tularemia. PLoS ONE 2013, 8, e59616. [Google Scholar] [CrossRef] [Green Version]
- Li, Y.; Komai-Koma, M.; Gilchrist, D.S.; Hsu, D.K.; Liu, F.-T.; Springall, T.; Xu, D. Galectin-3 Is a Negative Regulator of Lipopolysaccharide-Mediated Inflammation. J. Immunol. 2008, 181, 2781–2789. [Google Scholar] [CrossRef] [Green Version]
- Jeng, K.C.G.; Frigeri, L.G.; Liu, F.-T. An endogenous lectin, galectin-3 (ϵBP/Mac-2), potentiates IL-1 production by human monocytes. Immunol. Lett. 1994, 42, 113–116. [Google Scholar] [CrossRef]
- Rabinovich, G.A.; Baum, L.G.; Tinari, N.; Paganelli, R.; Natoli, C.; Liu, F.T.; Iacobelli, S. Galectins and their ligands: Amplifiers, silencers or tuners of the inflammatory response? Trends Immunol. 2002, 23, 313–320. [Google Scholar] [CrossRef]
- Mey, A.; Leffler, H.; Hmama, Z.; Normier, G.; Revillard, J.P. The animal lectin galectin-3 interacts with bacterial lipopolysaccharides via two independent sites. J. Immunol. 1996, 156, 1572–1577. [Google Scholar] [PubMed]
- Levi, M.; Cate, H. Disseminated Intravascular Coagulation. N. Engl. J. Med. 1999, 341, 586–592. [Google Scholar] [CrossRef] [PubMed]
- Pawlinski, R.; Mackman, N. Tissue factor, coagulation proteases, and protease-activated receptors in endotoxemia and sepsis. Crit. Care Med. 2004, 32, S293–S297. [Google Scholar] [CrossRef] [PubMed]
- Shankar-Hari, M.; Phillips, G.S.; Levy, M.L.; Seymour, C.W.; Liu, V.X.; Deutschman, C.S.; Angus, D.C.; Rubenfeld, G.D.; Singer, M.; for the Sepsis Definitions Task Force. Developing a New Definition and Assessing New Clinical Criteria for Septic Shock. JAMA 2016, 315, 775–787. [Google Scholar] [CrossRef] [PubMed]
- Wang, X.-L.; Deng, H.-F.; Tan, C.-Y.; Xiao, Z.-H.; Liu, M.-D.; Liu, K.; Zhang, H.-L.; Xiao, X.-Z. The role of PSGL-1 in pathogenesis of systemic inflammatory response and coagulopathy in endotoxemic mice. Thromb. Res. 2019, 182, 56–63. [Google Scholar] [CrossRef] [PubMed]
- Díaz-Alvarez, L.; Ortega, E. The Many Roles of Galectin-3, a Multifaceted Molecule, in Innate Immune Responses against Pathogens. Mediat. Inflamm. 2017, 2017, 9247574. [Google Scholar] [CrossRef] [PubMed] [Green Version]
- Fritsch, K.; Mernberger, M.; Nist, A.; Stiewe, T.; Brehm, A.; Jacob, R. Galectin-3 interacts with components of the nuclear ribonucleoprotein complex. BMC Cancer 2016, 16, 502. [Google Scholar] [CrossRef] [Green Version]
- Oppenheim, J.J.; Yang, D. Alarmins: Chemotactic activators of immune responses. Curr. Opin. Immunol. 2005, 17, 359–365. [Google Scholar] [CrossRef]
- Bianchi, M.E. DAMPs, PAMPs and alarmins: All we need to know about danger. J. Leukoc. Biol. 2006, 81, 1–5. [Google Scholar] [CrossRef]
- Sato, S.; Ouellet, N.; Pelletier, I.; Simard, M.; Rancourt, A.; Bergeron, M.G. Role of Galectin-3 as an Adhesion Molecule for Neutrophil Extravasation During Streptococcal Pneumonia. J. Immunol. 2002, 168, 1813–1822. [Google Scholar] [CrossRef] [Green Version]
- Gittens, B.R.; Bodkin, J.V.; Nourshargh, S.; Perretti, M.; Cooper, D. Galectin-3: A Positive Regulator of Leukocyte Recruitment in the Inflamed Microcirculation. J. Immunol. 2017, 198, 4458–4469. [Google Scholar] [CrossRef] [Green Version]
- Seneviratne, A.N.; Sivagurunathan, B.; Monaco, C. Toll-like receptors and macrophage activation in atherosclerosis. Clin. Chim. Acta 2011, 413, 3–14. [Google Scholar] [CrossRef] [PubMed]
- Fermino, M.L.; Polli, C.D.; Toledo, K.; Liu, F.-T.; Hsu, D.K.; Barreira, M.C.R.; Pereira-Da-Silva, G.; Bernardes, E.S.; Halbwachs-Mecarelli, L. LPS-Induced Galectin-3 Oligomerization Results in Enhancement of Neutrophil Activation. PLoS ONE 2011, 6, e26004. [Google Scholar] [CrossRef] [PubMed]
- Qin, L.; Wu, X.; Block, M.L.; Liu, Y.; Breese, G.R.; Hong, J.-S.; Knapp, D.J.; Crews, F.T. Systemic LPS causes chronic neuroinflammation and progressive neurodegeneration. Glia 2007, 55, 453–462. [Google Scholar] [CrossRef] [Green Version]
- Chaudhry, H.; Zhou, J.; Zhong, Y.; Ali, M.M.; McGuire, F.; Nagarkatti, P.S.; Nagarkatti, M. Role of cytokines as a double-edged sword in sepsis. In Vivo 2013, 27, 669–684. [Google Scholar]
- Kumar, A.T.; Sudhir, U.; Punith, K.; Kumar, V.N.R.; Rao, M.Y. Cytokine profile in elderly patients with sepsis. Indian J. Crit. Care Med. 2009, 13, 74–78. [Google Scholar] [CrossRef] [PubMed] [Green Version]
- Karlsson, A.; Follin, P.; Leffler, H.; Dahlgren, C. Galectin-3 activates the NADPH-oxidase in exudated but not peripheral blood neutrophils. Blood 1998, 91, 3430–3438. [Google Scholar] [CrossRef] [PubMed] [Green Version]
- Yamaoka, A.; Kuwabara, I.; Frigeri, L.G.; Liu, F.T. A human lectin, galectin-3 (epsilon bp/Mac-2), stimulates superoxide production by neutrophils. J. Immunol. 1995, 154, 3479–3487. [Google Scholar] [PubMed]
- Markovic, B.S.; Nikolic, A.; Gazdic, M.; Bojic, S.; Vucicevic, L.; Kosic, M.; Mitrovic, S.; Milosavljevic, M.; Besra, G.; Trajkovic, V.; et al. Galectin-3 Plays an Important Pro-inflammatory Role in the Induction Phase of Acute Colitis by Promoting Activation of NLRP3 Inflammasome and Production of IL-1β in Macrophages. J. Crohns Colitis 2016, 10, 593–606. [Google Scholar] [CrossRef] [Green Version]
- Papaspyridonos, M.; McNeill, E.; de Bono, J.P.; Smith, A.; Burnand, K.G.; Channon, K.M.; Greaves, D.R. Galectin-3 is an amplifier of inflammation in atherosclerotic plaque progression through macrophage activation and monocyte chemoattraction. Arterioscler. Thromb. Vasc. Biol. 2008, 28, 433–440. [Google Scholar] [CrossRef]
- Kim, H.; Hur, M.; Moon, H.-W.; Yun, Y.-M.; Di Somma, S.; Network, G. Multi-marker approach using procalcitonin, presepsin, galectin-3, and soluble suppression of tumorigenicity 2 for the prediction of mortality in sepsis. Ann. Intensive Care 2017, 7, 27. [Google Scholar] [CrossRef] [Green Version]
- Xie, Y.; Xu, Y.; Chen, Z.; Lu, W.; Li, N.; Wang, Q.; Shao, L.; Li, Y.; Yang, G.; Bian, X. A new multifunctional hydroxytyrosol-fenofibrate with antidiabetic, antihyperlipidemic, antioxidant and antiinflammatory action. Biomed. Pharmacother. 2017, 95, 1749–1758. [Google Scholar] [CrossRef]
- Comim, C.M.; Vilela, M.C.; Constantino, L.; Petronilho, F.; Vuolo, F.; Lacerda-Queiroz, N.; Rodrigues, D.H.; Da Rocha, J.L.; Teixeira, A.L.; de Quevedo, J.L.; et al. Traffic of leukocytes and cytokine up-regulation in the central nervous system in sepsis. Intensive Care Med. 2011, 37, 711–718. [Google Scholar] [CrossRef] [PubMed]
- Gui, H.; Sun, Y.; Luo, Z.-M.; Su, D.-F.; Dai, S.-M.; Liu, X. Cannabinoid Receptor 2 Protects against Acute Experimental Sepsis in Mice. Mediat. Inflamm. 2013, 2013, 741303. [Google Scholar] [CrossRef] [PubMed] [Green Version]
- Hadjiminas, D.J.; McMasters, K.M.; Peyton, J.C.; Cheadle, W.G. Tissue Tumor Necrosis Factor mRNA Expression Following Cecal Ligation and Puncture or Intraperitoneal Injection of Endotoxin. J. Surg. Res. 1994, 56, 549–555. [Google Scholar] [CrossRef]
- Gigliotti, J.C.; Okusa, M.D. The Spleen: The Forgotten Organ in Acute Kidney Injury of Critical Illness. Nephron 2014, 127, 153–157. [Google Scholar] [CrossRef] [PubMed] [Green Version]
- Benavides, U.; Gonzalez-Murguiondo, M.; Harii, N.; Lewis, C.J.; Schwartz, A.L.; Giuliani, C.; Napolitano, G.; Dagia, N.M.; Malgor, R.; McCall, K.D.; et al. Phenylmethimazole inhibits production of proinflammatory mediators and is protective in an experimental model of endotoxic shock*. Crit. Care Med. 2012, 40, 886–894. [Google Scholar] [CrossRef]
- Li, G.; Liu, Y.; Tzeng, N.-S.; Cui, G.; Block, M.L.; Wilson, B.; Qin, L.; Wang, T.; Liu, B.; Liu, J.; et al. Protective effect of dextromethorphan against endotoxic shock in mice. Biochem. Pharmacol. 2005, 69, 233–240. [Google Scholar] [CrossRef] [PubMed]
- Davies, J.Q.; Gordon, S. Isolation and Culture of Murine Macrophages. Methods Mol. Biol. 2005, 290, 91–104. [Google Scholar] [PubMed]
- Tayara, K.; Espinosa-Oliva, A.M.; García-Domínguez, I.; Ismaiel, A.A.; Boza-Serrano, A.; Deierborg, T.; Machado, A.; Herrera, A.J.; Venero, J.L.; De Pablos, R.M. Divergent Effects of Metformin on an Inflammatory Model of Parkinson’s Disease. Front. Cell. Neurosci. 2018, 12, 440. [Google Scholar] [CrossRef] [PubMed] [Green Version]
- Molina, A.M.; Abril, N.; Morales-Prieto, N.; Monterde, J.G.; Lora, A.J.; Ayala, N.; Moyano, R. Evaluation of toxicological endpoints in female zebrafish after bisphenol A exposure. Food Chem. Toxicol. 2018, 112, 19–25. [Google Scholar] [CrossRef] [PubMed]
- Herrero-Fernández, I.; Rosado-Sánchez, I.; Álvarez-Ríos, A.I.; Galvá, M.I.; De Luna-Romero, M.; Sanbonmatsu-Gámez, S.; Pérez-Ruiz, M.; Navarro-Marí, J.M.; Vico, A.C.; Sánchez, B.; et al. Effect of homeostatic T-cell proliferation in the vaccine responsiveness against influenza in elderly people. Immun. Ageing 2019, 16, 14. [Google Scholar] [CrossRef] [PubMed]














| Score | Symptomatology |
|---|---|
| 0 | No symptoms |
| 1 | Reducedmobility and tremor |
| 2 | Reduced mobility, tremor, and prostration |
| 3 | Death |
| Gene | Forward (5′–3′) | Reverse (5′–3′) |
|---|---|---|
| β-actin | 5′-CCACACCCGCCACCAGTTCG-3′ | 5′-CCCATTCCCACCATCACACC-3′ |
| Gal3 | 5′-GATCACAATCATGGGCACAG-3′ | 5′-GTGGAAGGCAACATCATTCC-3′ |
| TNF-α | 5′-TGCCTATGTCTCAGCCTCTTC-3′ | 5′-GAGGCCATTTGGGAACTTCT-3′ |
| iNOS | 5′-CTTTGCCACGGACGAGAC-3′ | 5′-TCATTGTACTCTGAGGGCTGAC-3′ |
| Arginase | 5′-TCACCTGAGCTTTGATGTCG-3′ | 5′-CTGAAAGGAGCCCTGTCTTG-3′ |
| YM1 | 5′-GTACCCTGGGTCTCGAGGAA-3′ | 5′-GCCTTGGAATGTCTTTCTCAC-3′ |
| IL-6 | 5′-GACAAAGCCAGAGTCCTTCAGA-3′ | 5′-AGGAGAGCAATTGGAAATTGGGG-3′ |
| IL-1β | 5′-TGTAATGAAAGACGGCACACC-3′ | 5′-TCTTCTTTGGGTATTGCTTGG-3′ |
| IL 10 | 5′-CCAAGCCTTATCGGAAATGA-3′ | 5′-TTTCACAGGGAGAAATCG-3′ |
| TLR-4 | 5′-GCCTCGAATCCTGAGCAAAC-3′ | 5′-CTCTCGGTCCATAGCAGAGC |
Publisher’s Note: MDPI stays neutral with regard to jurisdictional claims in published maps and institutional affiliations. |
© 2022 by the authors. Licensee MDPI, Basel, Switzerland. This article is an open access article distributed under the terms and conditions of the Creative Commons Attribution (CC BY) license (https://creativecommons.org/licenses/by/4.0/).
Share and Cite
Fernández-Martín, J.C.; Espinosa-Oliva, A.M.; García-Domínguez, I.; Rosado-Sánchez, I.; Pacheco, Y.M.; Moyano, R.; Monterde, J.G.; Venero, J.L.; de Pablos, R.M. Gal3 Plays a Deleterious Role in a Mouse Model of Endotoxemia. Int. J. Mol. Sci. 2022, 23, 1170. https://doi.org/10.3390/ijms23031170
Fernández-Martín JC, Espinosa-Oliva AM, García-Domínguez I, Rosado-Sánchez I, Pacheco YM, Moyano R, Monterde JG, Venero JL, de Pablos RM. Gal3 Plays a Deleterious Role in a Mouse Model of Endotoxemia. International Journal of Molecular Sciences. 2022; 23(3):1170. https://doi.org/10.3390/ijms23031170
Chicago/Turabian StyleFernández-Martín, Juan Carlos, Ana María Espinosa-Oliva, Irene García-Domínguez, Isaac Rosado-Sánchez, Yolanda M. Pacheco, Rosario Moyano, José G. Monterde, José Luis Venero, and Rocío M. de Pablos. 2022. "Gal3 Plays a Deleterious Role in a Mouse Model of Endotoxemia" International Journal of Molecular Sciences 23, no. 3: 1170. https://doi.org/10.3390/ijms23031170
APA StyleFernández-Martín, J. C., Espinosa-Oliva, A. M., García-Domínguez, I., Rosado-Sánchez, I., Pacheco, Y. M., Moyano, R., Monterde, J. G., Venero, J. L., & de Pablos, R. M. (2022). Gal3 Plays a Deleterious Role in a Mouse Model of Endotoxemia. International Journal of Molecular Sciences, 23(3), 1170. https://doi.org/10.3390/ijms23031170

