Natural IgG against S-Protein and RBD of SARS-CoV-2 Do Not Bind and Hydrolyze DNA and Are Not Autoimmune
Abstract
1. Introduction
2. Results
2.1. Antibodies to S- and N-Proteins of SARS-CoV-2
2.2. IgG Isolation and Characterization
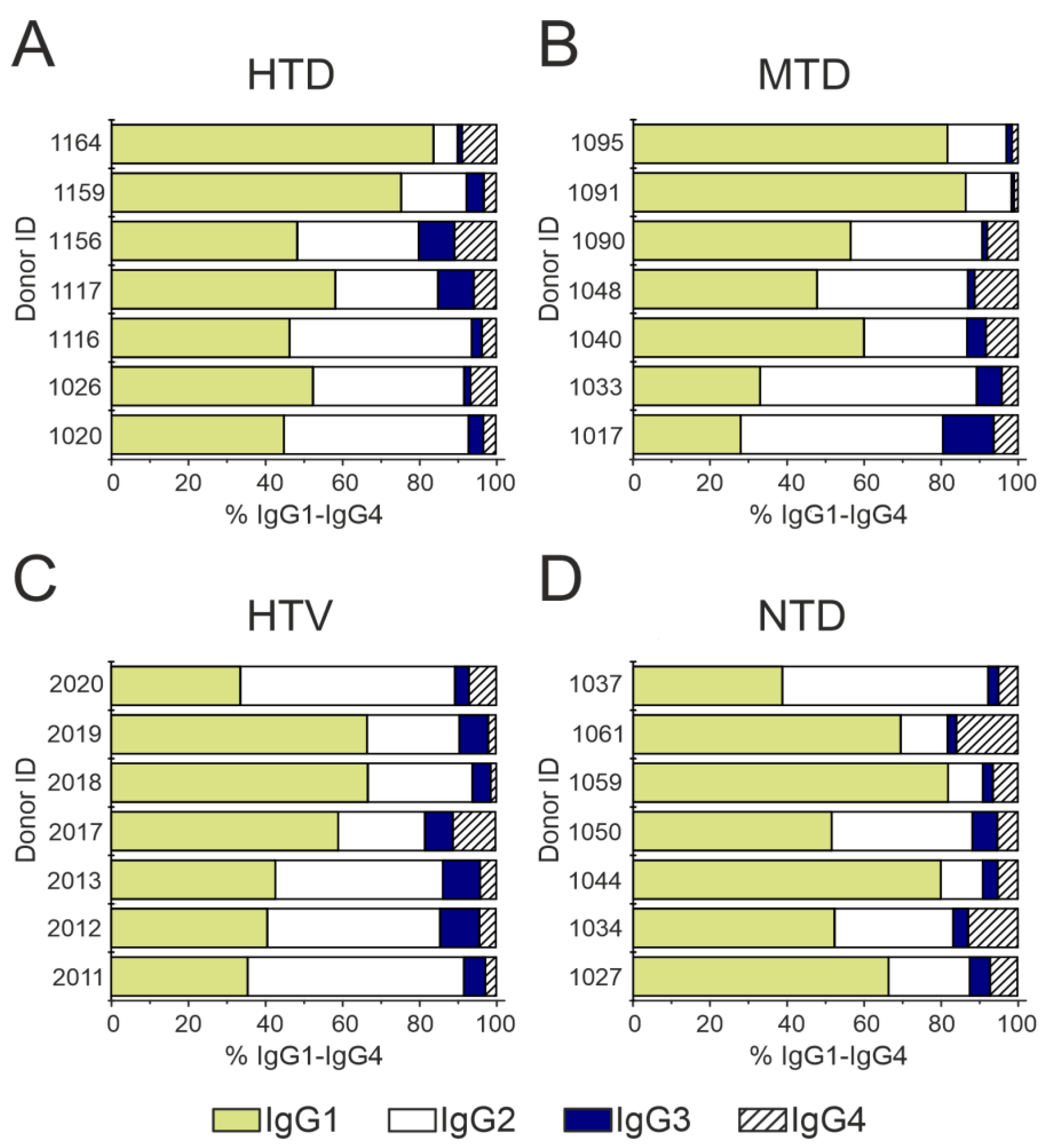
2.3. Characterization of IgG Subclasses in Blood Plasma
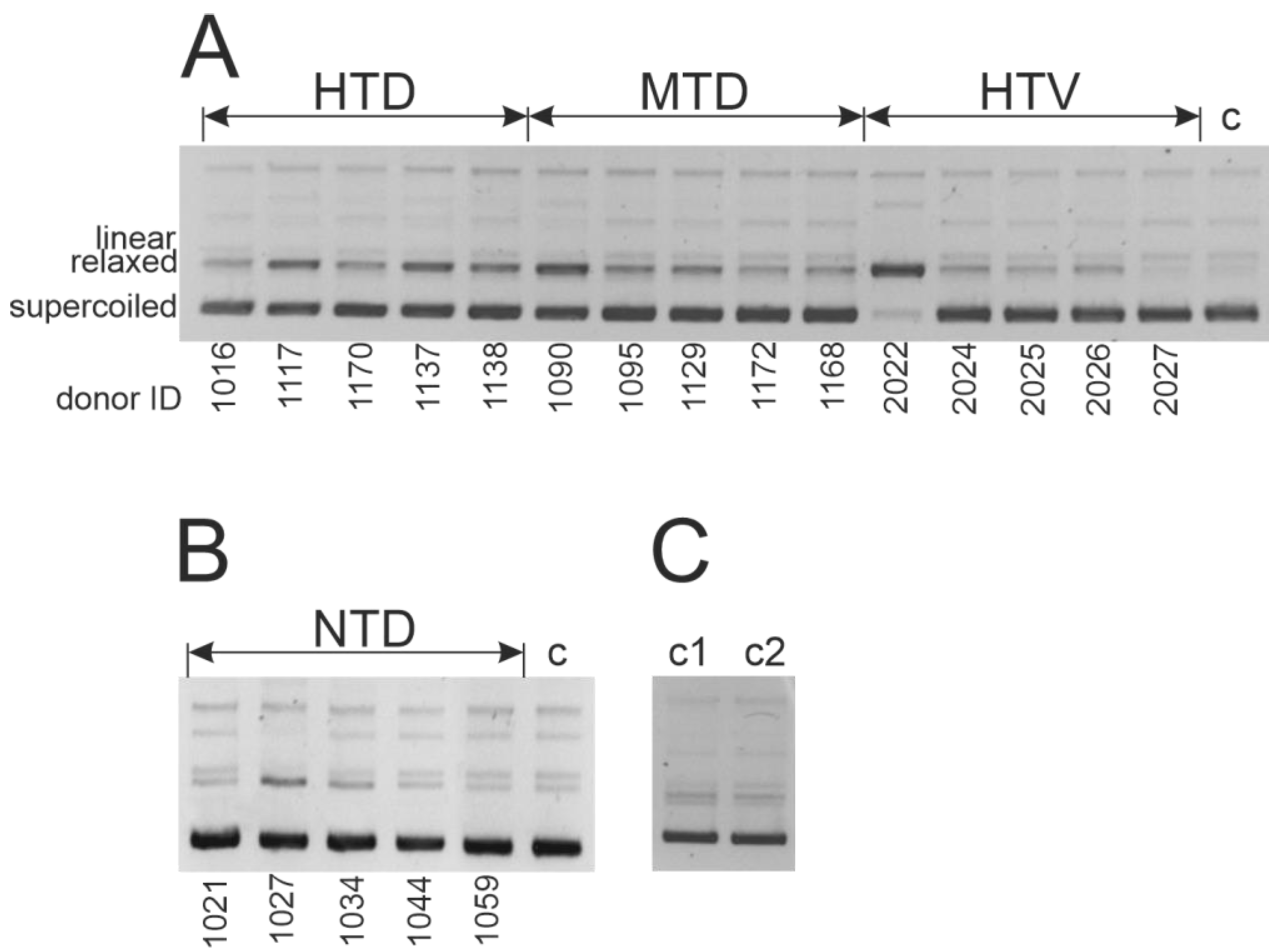
2.4. DNase Activity Assay
3. Discussion
4. Materials and Methods
4.1. Donors and Patients
4.2. ELISA of Antibodies
4.3. Antibody Purification and Analysis
4.4. Isolation of Antibodies against S-Protein and RBD
4.5. ELISA of IgG1–IgG4 Subclasses
4.6. ELISA of Anti-DNA-IgG
4.7. Analysis of DNase Activity
4.8. Statistical Analysis
5. Conclusions
Supplementary Materials
Author Contributions
Funding
Institutional Review Board Statement
Informed Consent Statement
Data Availability Statement
Conflicts of Interest
References
- Kerr, J.R. The Role of Parvovirus B19 in the Pathogenesis of Autoimmunity and Autoimmune Disease. J. Clin. Pathol. 2016, 69, 279–291. [Google Scholar] [CrossRef] [PubMed]
- Horwitz, M.S.; Sarvetnick, N. Viruses, Host Responses, and Autoimmunity. Immunol. Rev. 1999, 169, 241–253. [Google Scholar] [CrossRef] [PubMed]
- Martirosyan, A.; Aminov, R.; Manukyan, G. Environmental Triggers of Autoreactive Responses: Induction of Antiphospholipid Antibody Formation. Front. Immunol. 2019, 10. [Google Scholar] [CrossRef]
- Gracia-Ramos, A.E.; Martin-Nares, E.; Hernández-Molina, G. New Onset of Autoimmune Diseases Following COVID-19 Diagnosis. Cells 2021, 10, 3592. [Google Scholar] [CrossRef]
- Albiol, N.; Awol, R.; Martino, R. Autoimmune Thrombotic Thrombocytopenic Purpura (TTP) Associated with COVID-19. Ann. Hematol. 2020, 99, 1673–1674. [Google Scholar] [CrossRef] [PubMed]
- Galeotti, C.; Bayry, J. Autoimmune and Inflammatory Diseases Following COVID-19. Nat. Rev. Rheumatol. 2020, 16, 413–414. [Google Scholar] [CrossRef]
- Capes, A.; Bailly, S.; Hantson, P.; Gerard, L.; Laterre, P.-F. COVID-19 Infection Associated with Autoimmune Hemolytic Anemia. Ann. Hematol. 2020, 99, 1679–1680. [Google Scholar] [CrossRef]
- Ruan, Q.; Yang, K.; Wang, W.; Jiang, L.; Song, J. Clinical Predictors of Mortality Due to COVID-19 Based on an Analysis of Data of 150 Patients from Wuhan, China. Intensive Care Med. 2020, 46, 846–848. [Google Scholar] [CrossRef]
- He, L.; Ding, Y.; Zhang, Q.; Che, X.; He, Y.; Shen, H.; Wang, H.; Li, Z.; Zhao, L.; Geng, J.; et al. Expression of Elevated Levels of Pro-Inflammatory Cytokines in SARS-CoV-Infected ACE2+ Cells in SARS Patients: Relation to the Acute Lung Injury and Pathogenesis of SARS. J. Pathol. 2006, 210, 288–297. [Google Scholar] [CrossRef]
- Zuo, Y.; Estes, S.K.; Ali, R.A.; Gandhi, A.A.; Yalavarthi, S.; Shi, H.; Sule, G.; Gockman, K.; Madison, J.A.; Zuo, M.; et al. Prothrombotic Autoantibodies in Serum from Patients Hospitalized with COVID-19. Sci. Transl. Med. 2020, 12, eabd3876. [Google Scholar] [CrossRef]
- Vlachoyiannopoulos, P.G.; Magira, E.; Alexopoulos, H.; Jahaj, E.; Theophilopoulou, K.; Kotanidou, A.; Tzioufas, A.G. Autoantibodies Related to Systemic Autoimmune Rheumatic Diseases in Severely Ill Patients with COVID-19. Ann. Rheum. Dis. 2020, 79, 1661–1663. [Google Scholar] [CrossRef] [PubMed]
- Borghi, M.O.; Beltagy, A.; Garrafa, E.; Curreli, D.; Cecchini, G.; Bodio, C.; Grossi, C.; Blengino, S.; Tincani, A.; Franceschini, F.; et al. Anti-Phospholipid Antibodies in COVID-19 Are Different From Those Detectable in the Anti-Phospholipid Syndrome. Front. Immunol. 2020, 11, 584241. [Google Scholar] [CrossRef] [PubMed]
- Wang, E.Y.; Mao, T.; Klein, J.; Dai, Y.; Huck, J.D.; Jaycox, J.R.; Liu, F.; Zhou, T.; Israelow, B.; Wong, P.; et al. Diverse Functional Autoantibodies in Patients with COVID-19. Nature 2021, 595, 283–288. [Google Scholar] [CrossRef]
- Zuniga, M.; Gomes, C.; Carsons, S.E.; Bender, M.T.; Cotzia, P.; Miao, Q.R.; Lee, D.C.; Rodriguez, A. Autoimmunity to Annexin A2 Predicts Mortality among Hospitalised COVID-19 Patients. Eur. Respir. J. 2021, 58, 2100918. [Google Scholar] [CrossRef]
- Tešija Kuna, A.; Đerek, L.; Drvar, V.; Kozmar, A.; Gugo, K. Assessment of Antinuclear Antibodies (ANA): National Recommendations on Behalf of the Croatian Society of Medical Biochemistry and Laboratory Medicine. Biochem. Med. 2021, 31, 210–229. [Google Scholar] [CrossRef] [PubMed]
- Agmon-Levin, N.; Damoiseaux, J.; Kallenberg, C.; Sack, U.; Witte, T.; Herold, M.; Bossuyt, X.; Musset, L.; Cervera, R.; Plaza-Lopez, A.; et al. International Recommendations for the Assessment of Autoantibodies to Cellular Antigens Referred to as Anti-Nuclear Antibodies. Ann. Rheum. Dis. 2014, 73, 17–23. [Google Scholar] [CrossRef] [PubMed]
- Zhou, Y.; Han, T.; Chen, J.; Hou, C.; Hua, L.; He, S.; Guo, Y.; Zhang, S.; Wang, Y.; Yuan, J.; et al. Clinical and Autoimmune Characteristics of Severe and Critical Cases of COVID-19. Clin. Transl. Sci. 2020, 13, 1077–1086. [Google Scholar] [CrossRef]
- Nevinsky, G.A.; Buneva, V.N. Natural Catalytic Antibodies in Norm, Autoimmune, Viral, and Bacterial Diseases. Sci. World J. 2010, 10, 1203–1233. [Google Scholar] [CrossRef]
- Nevinsky, G.A. Natural Catalytic Antibodies in Norm and in HIV-Infected Patients. In Understanding HIV/AIDS Management and Care—Pandemic Approaches in the 21st Century; InTech: London, UK, 2011. [Google Scholar]
- Timofeeva, A.; Sedykh, S.; Nevinsky, G. Post-Immune Antibodies in HIV-1 Infection in the Context of Vaccine Development: A Variety of Biological Functions and Catalytic Activities. Vaccines 2022, 10, 384. [Google Scholar] [CrossRef]
- Odintsova, E.S.; Dmitrenok, P.S.; Baranova, S.V.; Timofeeva, A.M.; Buneva, V.N.; Nevinsky, G.A. Features of Hydrolysis of Specific and Nonspecific Globular Proteins and Oligopeptides by Antibodies against Viral Integrase from Blood of HIV-Infected Patients. Biochemistry 2015, 80, 180–201. [Google Scholar] [CrossRef]
- Parkhomenko, T.A.; Buneva, V.N.; Doronin, B.M.; Volkova, M.V.; Senkovich, S.A.; Generalov, I.I.; Nevinsky, G.A. IgGs Containing λ- and κ-Type Light Chains and of All Subclasses (IgG1-IgG4) from the Sera of Patients with Autoimmune Diseases and Viral and Bacterial Infections Hydrolyze DNA. J. Mol. Recognit. 2012, 25, 383–392. [Google Scholar] [CrossRef] [PubMed]
- Legostaeva, G.A.; Polosukhina, D.I.; Bezuglova, A.M.; Doronin, B.M.; Buneva, V.N.; Nevinsky, G.A. Affinity and Catalytic Heterogeneity of Polyclonal Myelin Basic Protein-Hydrolyzing IgGs from Sera of Patients with Multiple Sclerosis. J. Cell. Mol. Med. 2010, 14, 699–709. [Google Scholar] [CrossRef] [PubMed]
- Bezuglova, A.M.; Konenkova, L.P.; Doronin, B.M.; Buneva, V.N.; Nevinsky, G.A. Affinity and Catalytic Heterogeneity and Metal-Dependence of Polyclonal Myelin Basic Protein-Hydrolyzing IgGs from Sera of Patients with Systemic Lupus Erythematosus. J. Mol. Recognit. 2011, 24, 960–974. [Google Scholar] [CrossRef] [PubMed]
- Timofeeva, A.; Sedykh, S.; Maksimenko, L.; Sedykh, T.; Skudarnov, S.; Ostapova, T.; Yaschenko, S.; Gashnikova, N.; Nevinsky, G. The Blood of the HIV-Infected Patients Contains κ-IgG, λ-IgG, and Bispecific Κλ-IgG, Which Possess DNase and Amylolytic Activity. Life 2022, 12, 304. [Google Scholar] [CrossRef]
- Ermakov, E.A.; Nevinsky, G.A.; Buneva, V.N. Immunoglobulins with Non-Canonical Functions in Inflammatory and Autoimmune Disease States. Int. J. Mol. Sci. 2020, 21, 5392. [Google Scholar] [CrossRef]
- Parkhomenko, T.A.; Doronin, V.B.; Castellazzi, M.; Padroni, M.; Pastore, M.; Buneva, V.N.; Granieri, E.; Nevinsky, G.A. Comparison of DNA-Hydrolyzing Antibodies from the Cerebrospinal Fluid and Serum of Patients with Multiple Sclerosis. PLoS ONE 2014, 9, e93001. [Google Scholar] [CrossRef]
- Ponomarenko, N.A.; Durova, O.M.; Vorobiev, I.I.; Belogurov, A.A.; Kurkova, I.N.; Petrenko, A.G.; Telegin, G.B.; Suchkov, S.V.; Kiselev, S.L.; Lagarkova, M.A.; et al. Autoantibodies to Myelin Basic Protein Catalyze Site-Specific Degradation of Their Antigen. Proc. Natl. Acad. Sci. USA 2006, 103, 281–286. [Google Scholar] [CrossRef]
- Nevinsky, G.A. Autoimmune Processes in Multiple Sclerosis: Production of Harmful Catalytic Antibodies Associated with Significant Changes in the Hematopoietic Stem Cell Differentiation and Proliferation. In Trending Topics in Multiple Sclerosis; InTech: London, UK, 2016. [Google Scholar]
- Nevinsky, G.A. Catalytic Antibodies in Norm and Systemic Lupus Erythematosus. In Lupus; InTech: London, UK, 2017. [Google Scholar]
- Shuster, A.M.; Gololobov, G.V.; Kvashuk, O.A.; Bogomolova, A.E.; Smirnov, I.V.; Gabibov, A.G. DNA Hydrolyzing Autoantibodies. Science 1992, 256, 665–667. [Google Scholar] [CrossRef]
- Bezuglova, A.M.; Konenkova, L.P.; Buneva, V.N.; Nevinsky, G.A. IgGs Containing Light Chains of the λ- and κ-Type and of All Subclasses (IgG1-IgG4) from the Sera of Patients with Systemic Lupus Erythematosus Hydrolyze Myelin Basic Protein. Int. Immunol. 2012, 24, 759–770. [Google Scholar] [CrossRef]
- Baranovskii, A.G.; Ershova, N.A.; Buneva, V.N.; Kanyshkova, T.G.; Mogelnitskii, A.S.; Doronin, B.M.; Boiko, A.N.; Gusev, E.I.; Favorova, O.O.; Nevinsky, G.A. Catalytic Heterogeneity of Polyclonal DNA-Hydrolyzing Antibodies from the Sera of Patients with Multiple Sclerosis. Immunol. Lett. 2001, 76, 163–167. [Google Scholar] [CrossRef]
- Parkhomenko, T.A.; Legostaeva, G.A.; Doronin, B.M.; Buneva, V.N.; Nevinsky, G.A. IgGs Containing Light Chains of the λ and κ Type and of All Subclasses (IgG1-IgG4) from Sera of Patients with Multiple Sclerosis Hydrolyze DNA. J. Mol. Recognit. 2010, 23, 486–494. [Google Scholar] [CrossRef] [PubMed]
- Ermakov, E.A.; Smirnova, L.P.; Parkhomenko, T.A.; Dmitrenok, P.S.; Krotenko, N.M.; Fattakhov, N.S.; Bokhan, N.A.; Semke, A.V.; Ivanova, S.A.; Buneva, V.N.; et al. DNA-Hydrolysing Activity of IgG Antibodies from the Sera of Patients with Schizophrenia. Open Biol. 2015, 5, 150064. [Google Scholar] [CrossRef] [PubMed]
- Ramesh, R.; Sundaresh, A.; Rajkumar, R.P.; Negi, V.S.; Vijayalakshmi, M.A.; Krishnamoorthy, R.; Tamouza, R.; Leboyer, M.; Kamalanathan, A.S. DNA Hydrolysing IgG Catalytic Antibodies: An Emerging Link between Psychoses and Autoimmunity. Npj Schizophr. 2021, 7, 13. [Google Scholar] [CrossRef] [PubMed]
- Kundzer, A.V.; Volkova, M.V.; Bogdanos, D.P.; Rödiger, S.; Schierack, P.; Generalov, I.; Nevinsky, G.A.; Roggenbuck, D. Deoxyribonuclease Activity of Polyclonal IgGs: A Putative Serological Marker in Patients with Spondyloarthritides. Immunol. Res. 2013, 56, 457–464. [Google Scholar] [CrossRef] [PubMed]
- Odintsova, E.S.; Kharitonova, M.A.; Baranovskii, A.G.; Sizyakina, L.P.; Buneva, V.N.; Nevinsky, G.A. DNA-Hydrolyzing IgG Antibodies from the Blood of Patients with Acquired Immune Deficiency Syndrome. Mol. Biol. 2006, 40, 770–777. [Google Scholar] [CrossRef]
- Parkhomenko, T.A.; Buneva, V.N.; Tyshkevich, O.B.; Generalov, I.I.; Doronin, B.M.; Nevinsky, G.A. DNA-Hydrolyzing Activity of IgG Antibodies from the Sera of Patients with Tick-Borne Encephalitis. Biochimie 2010, 92, 545–554. [Google Scholar] [CrossRef]
- Parkhomenko, T.A.; Odintsova, E.S.; Buneva, V.N.; Kunder, E.V.; Zhyltsov, I.V.; Senkovich, S.A.; Generalov, I.I.; Nevinsky, G.A. DNA-Hydrolysing Activity of IgG Antibodies from the Sera of Patients with Diseases Caused by Different Bacterial Infections. J. Cell. Mol. Med. 2009, 13, 2875–2887. [Google Scholar] [CrossRef][Green Version]
- Gushchin, V.A.; Dolzhikova, I.V.; Shchetinin, A.M.; Odintsova, A.S.; Siniavin, A.E.; Nikiforova, M.A.; Pochtovyi, A.A.; Shidlovskaya, E.V.; Kuznetsova, N.A.; Burgasova, O.A.; et al. Neutralizing Activity of Sera from Sputnik V-Vaccinated People against Variants of Concern (VOC: B.1.1.7, B.1.351, P.1, B.1.617.2, B.1.617.3) and Moscow Endemic SARS-CoV-2 Variants. Vaccines 2021, 9, 779. [Google Scholar] [CrossRef]
- Ermakov, E.A.; Ivanova, S.A.; Buneva, V.N.; Nevinsky, G.A. Hydrolysis by Catalytic IgGs of MicroRNA Specific for Patients with Schizophrenia. IUBMB Life 2018, 70, 153–164. [Google Scholar] [CrossRef]
- Magorivska, I.B.; Bilyy, R.O.; Havrylyuk, A.M.; Chop’yak, V.V.; Stoika, R.S.; Kit, Y.Y. Anti-Histone H1 IgGs from Blood Serum of Systemic Lupus Erythematosus Patients Are Capable of Hydrolyzing Histone H1 and Myelin Basic Protein. J. Mol. Recognit. 2010, 23, 495–502. [Google Scholar] [CrossRef]
- Parshukova, D.; Smirnova, L.P.; Ermakov, E.A.; Bokhan, N.A.; Semke, A.V.; Ivanova, S.A.; Buneva, V.N.; Nevinsky, G.A. Autoimmunity and Immune System Dysregulation in Schizophrenia: IgGs from Sera of Patients Hydrolyze Myelin Basic Protein. J. Mol. Recognit. 2019, 32, e2759. [Google Scholar] [CrossRef] [PubMed]
- Kostrikina, I.A.; Buneva, V.N.; Granieri, E.; Nevinsky, G.A. Extreme Diversity of IgGs Against Histones, DNA, and Myelin Basic Protein in the Cerebrospinal Fluid and Blood of Patients with Multiple Sclerosis. Biomolecules 2020, 10, 630. [Google Scholar] [CrossRef] [PubMed]
- Timofeeva, A.M.; Dmitrenok, P.S.; Konenkova, L.P.; Buneva, V.N.; Nevinsky, G.A. Multiple Sites of the Cleavage of 21- and 25-Mer Encephalytogenic Oligopeptides Corresponding to Human Myelin Basic Protein (MBP) by Specific Anti-MBP Antibodies from Patients with Systemic Lupus Erythematosus. PLoS ONE 2013, 8, e51600. [Google Scholar] [CrossRef] [PubMed][Green Version]
- Baranova, S.V.; Dmitrienok, P.S.; Buneva, V.N.; Nevinsky, G.A. Autoantibodies in HIV-infected Patients: Cross Site-specific Hydrolysis of H1 Histone and Myelin Basic Protein. BioFactors 2019, 45, 211–222. [Google Scholar] [CrossRef] [PubMed]
- Baranova, S.V.; Buneva, V.N.; Nevinsky, G.A. Antibodies from the Sera of HIV-Infected Patients Efficiently Hydrolyze All Human Histones. J. Mol. Recognit. 2016, 29, 346–362. [Google Scholar] [CrossRef]
- Vidarsson, G.; Dekkers, G.; Rispens, T. IgG Subclasses and Allotypes: From Structure to Effector Functions. Front. Immunol. 2014, 5. [Google Scholar] [CrossRef]
- Sedykh, M.A.; Buneva, V.N.; Nevinsky, G.A. Polyreactivity of Natural Antibodies: Exchange by HL-Fragments. Biochem. 2013, 78, 1305–1320. [Google Scholar] [CrossRef]
- Sedykh, S.E.; Lekchnov, E.A.; Prince, V.V.; Buneva, V.N.; Nevinsky, G.A. Half Molecular Exchange of IgGs in the Blood of Healthy Humans: Chimeric Lambda-Kappa-Immunoglobulins Containing HL Fragments of Antibodies of Different Subclasses (IgG1–IgG4). Mol. Biosyst. 2016, 12, 3186–3195. [Google Scholar] [CrossRef]
- Atyeo, C.; Fischinger, S.; Zohar, T.; Slein, M.D.; Burke, J.; Loos, C.; McCulloch, D.J.; Newman, K.L.; Wolf, C.; Yu, J.; et al. Distinct Early Serological Signatures Track with SARS-CoV-2 Survival. Immunity 2020, 53, 524–532.e4. [Google Scholar] [CrossRef]
- Luo, H.; Jia, T.; Chen, J.; Zeng, S.; Qiu, Z.; Wu, S.; Li, X.; Lei, Y.; Wang, X.; Wu, W.; et al. The Characterization of Disease Severity Associated IgG Subclasses Response in COVID-19 Patients. Front. Immunol. 2021, 12. [Google Scholar] [CrossRef]
- Bowen, A.; Wear, M.; Casadevall, A. Antibody-Mediated Catalysis in Infection and Immunity. Infect. Immun. 2017, 85. [Google Scholar] [CrossRef] [PubMed]
- Gabibov, A.G.; Ponomarenko, N.A.; Tretyak, E.B.; Paltsev, M.A.; Suchkov, S.V. Catalytic Autoantibodies in Clinical Autoimmunity and Modern Medicine. Autoimmun. Rev. 2006, 5, 324–330. [Google Scholar] [CrossRef] [PubMed]
- Doronin, V.B.; Parkhomenko, T.A.; Castellazzi, M.; Padroni, M.; Pastore, M.; Buneva, V.N.; Granieri, E.; Nevinsky, G.A. Comparison of Antibodies Hydrolyzing Myelin Basic Protein from the Cerebrospinal Fluid and Serum of Patients with Multiple Sclerosis. PLoS ONE 2014, 9, e107807. [Google Scholar] [CrossRef]
- Wootla, B.; Lacroix-Desmazes, S.; Warrington, A.E.; Bieber, A.J.; Kaveri, S.V.; Rodriguez, M. Autoantibodies with Enzymatic Properties in Human Autoimmune Diseases. J. Autoimmun. 2011, 37, 144–150. [Google Scholar] [CrossRef] [PubMed]
- Kox, M.; Waalders, N.J.B.; Kooistra, E.J.; Gerretsen, J.; Pickkers, P. Cytokine Levels in Critically Ill Patients With COVID-19 and Other Conditions. JAMA 2020, 324, 1565. [Google Scholar] [CrossRef] [PubMed]
- Bastard, P.; Rosen, L.B.; Zhang, Q.; Michailidis, E.; Hoffmann, H.-H.; Zhang, Y.; Dorgham, K.; Philippot, Q.; Rosain, J.; Béziat, V.; et al. Autoantibodies against Type I IFNs in Patients with Life-Threatening COVID-19. Science 2020, 370. [Google Scholar] [CrossRef]
- Andryushkova, A.A.; Kuznetsova, I.A.; Bineva, V.N.; Toporkova, L.B.; Sakhno, L.V.; Tikhonova, M.A.; Chernykh, E.R.; Orlovskaya, I.A.; Nevinsky, G.A. Formation of Different Abzymes in Autoimmune-Prone MRL-Lpr/Lpr Mice Is Associated with Changes in Colony Formation of Haematopoietic Progenitors. J. Cell. Mol. Med. 2007, 11, 531–551. [Google Scholar] [CrossRef]
- Aulova, K.S.; Urusov, A.E.; Toporkova, L.B.; Sedykh, S.E.; Shevchenko, J.A.; Tereshchenko, V.P.; Sennikov, S.V.; Orlovskaya, I.A.; Nevinsky, G.A. Cell Differentiation and Proliferation in the Bone Marrow and Other Organs of 2D2 Mice during Spontaneous Development of EAE Leading to the Production of Abzymes. Molecules 2022, 27, 2195. [Google Scholar] [CrossRef]
- Aulova, K.S.; Urusov, A.E.; Toporkova, L.B.; Sedykh, S.E.; Shevchenko, Y.A.; Tereshchenko, V.P.; Sennikov, S.V.; Budde, T.; Meuth, S.G.; Popova, N.A.; et al. Production of Abzymes in Th, CBA, and C57BL/6 Mice before and after MOG Treatment: Comparing Changes in Cell Differentiation and Proliferation. Biomolecules 2019, 10, 53. [Google Scholar] [CrossRef]
- Aulova, K.S.; Urusov, A.E.; Toporkova, L.B.; Sedykh, S.E.; Shevchenko, Y.A.; Tereshchenko, V.P.; Sennikov, S.V.; Budde, T.; Meuth, S.G.; Orlovskaya, I.A.; et al. Catalytic Antibodies in the Bone Marrow and Other Organs of Th Mice during Spontaneous Development of Experimental Autoimmune Encephalomyelitis Associated with Cell Differentiation. Mol. Biol. Rep. 2021, 48, 1055–1068. [Google Scholar] [CrossRef]
- Buneva, V.N.; Nevinsky, G.A. Exceptional Diversity of Catalytic Antibodies with Varying Activity in the Blood of Autoimmune and Viral Disease Patients. Mol. Biol. 2017, 51, 840–854. [Google Scholar] [CrossRef]
- Krasnorutskii, M.A.; Buneva, V.N.; Nevinsky, G.A. Immunization of Rabbits with DNase II Leads to Formation of Polyclonal Antibodies with DNase and RNase Activities. Int. Immunol. 2009, 21, 349–360. [Google Scholar] [CrossRef][Green Version]
- Krasnorutskii, M.A.; Buneva, V.N.; Nevinsky, G.A. Antibodies against Pancreatic Ribonuclease A Hydrolyze RNA and DNA. Int. Immunol. 2008, 20, 1031–1040. [Google Scholar] [CrossRef] [PubMed]
- Berry, J.D.; Hay, K.; Rini, J.M.; Yu, M.; Wang, L.; Plummer, F.A.; Corbett, C.R.; Andonov, A. Neutralizing Epitopes of the SARS-CoV S-Protein Cluster Independent of Repertoire, Antigen Structure or MAb Technology. MAbs 2010, 2, 53–66. [Google Scholar] [CrossRef] [PubMed]
- Ermakov, E.A.; Ivanova, S.A.; Buneva, V.N.; Nevinsky, G.A. Blood-Derived RNA- and MicroRNA-Hydrolyzing IgG Antibodies in Schizophrenia Patients. Biochem. 2018, 83, 507–526. [Google Scholar] [CrossRef] [PubMed]
- Kolosova, E.A.; Shaprova, O.N.; Shanshin, D.V.; Nesmeyanova, V.S.; Merkuleva, I.A.; Belenkaya, S.V.; Isaeva, A.A.; Nikitin, A.O.; Volosnikova, E.A.; Nikulina, Y.A.; et al. Antibodies to the Spike Protein Receptor-Binding Domain of SARS-CoV-2 at 4–13 Months after COVID-19. J. Clin. Med. 2022, 11, 4053. [Google Scholar] [CrossRef]
- Merkuleva, I.A.; Shcherbakov, D.N.; Borgoyakova, M.B.; Isaeva, A.A.; Nesmeyanova, V.S.; Volkova, N.V.; Aripov, V.S.; Shanshin, D.V.; Karpenko, L.I.; Belenkaya, S.V.; et al. Are Hamsters a Suitable Model for Evaluating the Immunogenicity of RBD-Based Anti-COVID-19 Subunit Vaccines? Viruses 2022, 14, 1060. [Google Scholar] [CrossRef]
- Borgoyakova, M.B.; Karpenko, L.I.; Rudometov, A.P.; Volosnikova, E.A.; Merkuleva, I.A.; Starostina, E.V.; Zadorozhny, A.M.; Isaeva, A.A.; Nesmeyanova, V.S.; Shanshin, D.V.; et al. Self-Assembled Particles Combining SARS-CoV-2 RBD Protein and RBD DNA Vaccine Induce Synergistic Enhancement of the Humoral Response in Mice. Int. J. Mol. Sci. 2022, 23, 2188. [Google Scholar] [CrossRef]
- Baranova, S.V.; Dmitrenok, P.S.; Buneva, V.N.; Sedykh, S.E.; Nevinsky, G.A. HIV-Infected Patients: Cross Site-Specific Hydrolysis of H3 and H4 Histones and Myelin Basic Protein with Antibodies against These Three Proteins. Molecules 2021, 26, 316. [Google Scholar] [CrossRef]
- Nevinsky, G.A.; Zakharova, O.D.; Kompaneets, I.Y.; Timofeeva, A.M.; Dmitrenok, P.S.; Menzorova, N.I. Six Catalytic Activities and Cytotoxicity of Immunoglobulin G and Secretory Immunoglobulin A from Human Milk. J. Dairy Sci. 2021, 104, 6431–6448. [Google Scholar] [CrossRef]
- Lekchnov, E.A.; Dmitrenok, P.S.; Zakharova, O.D.; Sedykh, S.E.; Buneva, V.N.; Nevinsky, G.A. The DNA-Hydrolyzing Activity of IgG Antibodies from Human Placenta. Placenta 2018, 68, 1–8. [Google Scholar] [CrossRef] [PubMed]








| Characteristics | HTD, (n = 25) | MTD, (n = 25) | HTV, (n = 25) | NTD, (n = 25) | Statistics ** |
|---|---|---|---|---|---|
| Males, % (n) | 40% (10) * | 24% (6) | 40% (10) | 28% (7) | N.S. (df = 3; p = 0.51) |
| Age, years Mean ± SD | 45.5 ± 16.3 | 40.4 ± 10.9 | 42.8 ± 13.0 | 41.0 ± 10.2 | N.S. (ANOVA: df = 3; F = 0.86; p = 0.427) |
| Age ranges: | |||||
| Up to 35, % (n) | 24% (6) | 32% (8) | 36% (9) | 40% (10) | N.S. (df = 12; p = 0.78) |
| 36–45, % (n) | 44% (11) | 44% (11) | 40% (10) | 28% (7) | |
| 46–55, % (n) | 8% (2) | 12% (3) | 8% (2) | 20% (5) | |
| 56–65, % (n) | 16% (4) | 12% (3) | 12% (3) | 12% (3) | |
| Over 65, % (n) | 8% (2) | 0% (0) | 4% (1) | 0% (0) | |
| Mean time between onset of first symptoms and blood collection, weeks Mean ± SD | 12.0 ± 6.0 | 11 ± 5 | 7 ± 2 | 0 | ANOVA: df = 2; F = 6.65; p = 0.002 Tukey test: HTD vs. MTD p = 0.99 HTD vs. HTV p = 0.01 MTD vs. HTV p = 0.008 |
| Mean PR value IgG against S-protein Mean ± SD | 10.3 ± 4.1 | 5.1 ± 1.5 | 10.0 ± 3.7 | 0.4 ± 0.2 | ANOVA: df = 3; F = 246; p = 6.3 × 10−45 Tukey test: HTD vs. MTD p < 0.00001 HTD vs. HTV p = 0.99 MTD vs. HTV p < 0.00001 NTD vs. HTD p < 0.00001 NTD vs. MTD p < 0.00001 NTD vs. HTV p < 0.00001 |
| Contents of IgG Subclasses | ||||
|---|---|---|---|---|
| IgG1 | IgG2 | IgG3 | IgG4 | |
| Average content in human serum [51] | 67.0 | 22.0 | 7.0 | 4.0 |
| Healthy donors [51] | 36.8 ± 5.6 | 43.6 ± 9.3 | 11.3 ± 2.4 | 8.3 ± 3.1 |
| HIV infection [25] | 43.6 ± 9.5 | 38.3 ± 9.5 | 12.8 ± 2.0 | 5.3 ± 1.8 |
| SLE [32] | 70.8 ± 2.0 | 20.6 ± 3.0 | 6.7 ± 1.5 | 1.9 ± 1.0 |
| MS [23] | 22.0 ± 2.0 | 36.0 ± 3.5 | 12.3 ± 1.0 | 29.7 ± 3.0 |
| COVID-19 HTD | 58.4 ± 15.3 | 30.9 ± 15.5 | 4.6 ± 3.4 | 6.1 ± 3.0 |
| COVID-19 MTD | 56.1 ± 22.3 | 33.8 ± 17.1 | 4.2 ± 4.5 | 5.8 ± 3.8 |
| Sputnik V vaccinated (HTV) | 49.2 ± 14.4 | 39.2 ± 14.5 | 6.9 ± 2.5 | 4.7 ± 3.4 |
| NTD | 63.0 ± 16.0 | 24.9 ± 16.4 | 9.3 ± 1.6 | 8.3 ± 4.4 |
Publisher’s Note: MDPI stays neutral with regard to jurisdictional claims in published maps and institutional affiliations. |
© 2022 by the authors. Licensee MDPI, Basel, Switzerland. This article is an open access article distributed under the terms and conditions of the Creative Commons Attribution (CC BY) license (https://creativecommons.org/licenses/by/4.0/).
Share and Cite
Timofeeva, A.M.; Sedykh, S.E.; Ermakov, E.A.; Matveev, A.L.; Odegova, E.I.; Sedykh, T.A.; Shcherbakov, D.N.; Merkuleva, I.A.; Volosnikova, E.A.; Nesmeyanova, V.S.; et al. Natural IgG against S-Protein and RBD of SARS-CoV-2 Do Not Bind and Hydrolyze DNA and Are Not Autoimmune. Int. J. Mol. Sci. 2022, 23, 13681. https://doi.org/10.3390/ijms232213681
Timofeeva AM, Sedykh SE, Ermakov EA, Matveev AL, Odegova EI, Sedykh TA, Shcherbakov DN, Merkuleva IA, Volosnikova EA, Nesmeyanova VS, et al. Natural IgG against S-Protein and RBD of SARS-CoV-2 Do Not Bind and Hydrolyze DNA and Are Not Autoimmune. International Journal of Molecular Sciences. 2022; 23(22):13681. https://doi.org/10.3390/ijms232213681
Chicago/Turabian StyleTimofeeva, Anna M., Sergey E. Sedykh, Evgeny A. Ermakov, Andrey L. Matveev, Eva I. Odegova, Tatiana A. Sedykh, Dmitry N. Shcherbakov, Iuliia A. Merkuleva, Ekaterina A. Volosnikova, Valentina S. Nesmeyanova, and et al. 2022. "Natural IgG against S-Protein and RBD of SARS-CoV-2 Do Not Bind and Hydrolyze DNA and Are Not Autoimmune" International Journal of Molecular Sciences 23, no. 22: 13681. https://doi.org/10.3390/ijms232213681
APA StyleTimofeeva, A. M., Sedykh, S. E., Ermakov, E. A., Matveev, A. L., Odegova, E. I., Sedykh, T. A., Shcherbakov, D. N., Merkuleva, I. A., Volosnikova, E. A., Nesmeyanova, V. S., Tikunova, N. V., & Nevinsky, G. A. (2022). Natural IgG against S-Protein and RBD of SARS-CoV-2 Do Not Bind and Hydrolyze DNA and Are Not Autoimmune. International Journal of Molecular Sciences, 23(22), 13681. https://doi.org/10.3390/ijms232213681

