Exploring the Mystery of the Tetrahydrobiopterin Synthetic Defect Lethal Mutant leml from Birth to Death in the Silkworm Bombyx mori
Abstract
1. Introduction
2. Results
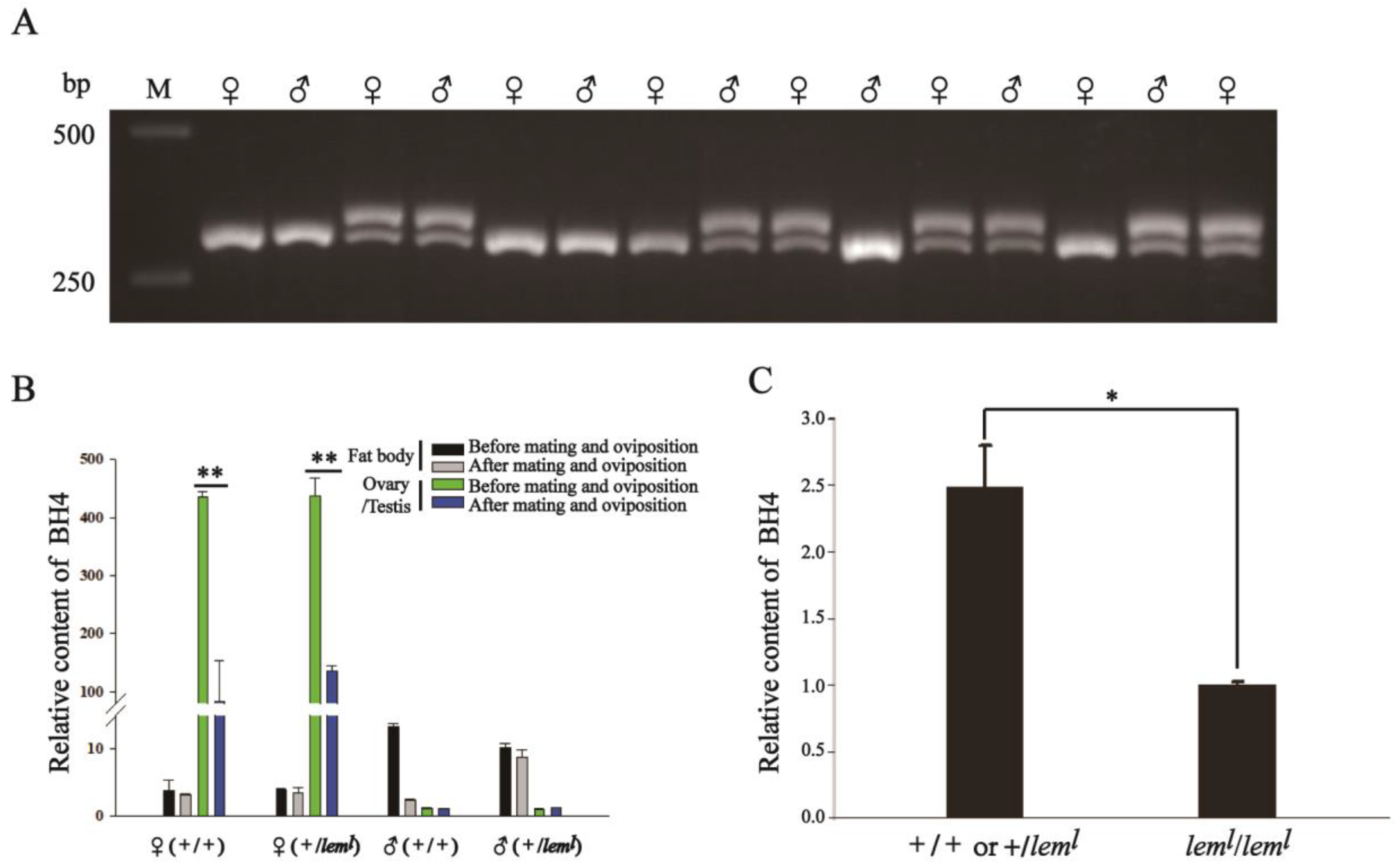
2.1. The Fertilized Eggs Contain a Large Amount of BH4 Transferred from the Mother
2.2. The Disorder of Tyrosine Metabolism Results in the Damage of Mitochondrial Structure and Function
2.3. NO Reduction after NOS Uncoupling Leads to an Impaired Immune System
2.4. Increased O2− Leads to the Activation of the Apoptosis System
3. Discussion
4. Materials and Methods
4.1. Silkworms, Plasmids, and Cell Strains
4.2. Genotypic Identification
4.3. Extraction of Total Proteins and Enzymatic Activity Assay
4.4. Detection of Tyrosine Content
4.5. Microscopy
4.6. Identification of Mitochondrial and Cellular Damage
4.7. Determination of BH4 and Superoxide Anion Content by HPLC
4.8. RNA Isolation, cDNA Synthesis, and PCR
4.9. BmSpr Gene Silencing
4.10. Drug Addition to BmN Cells
4.11. Cell Proliferation Assay
4.12. DNA Fragmentation Detection
4.13. Bacteriostatic Test
4.14. Statistical Analysis
Supplementary Materials
Author Contributions
Funding
Data Availability Statement
Conflicts of Interest
References
- Futahashi, R.; Sato, J.; Meng, Y.; Okamoto, S.; Daimon, T.; Yamamoto, K.; Suetsugu, Y.; Narukawa, J.; Takahashi, H.; Banno, Y.; et al. Yellow and ebony Are the Responsible Genes for the Larval Color Mutants of the Silkworm Bombyx mori. Genetics 2008, 180, 1995–2005. [Google Scholar] [CrossRef] [PubMed]
- Dai, F.-Y.; Qiao, L.; Tong, X.-L.; Cao, C.; Chen, P.; Chen, J.; Lu, C.; Xiang, Z.-H. Mutations of an Arylalkylamine-N-acetyltransferase, Bm-iAANAT, Are Responsible for Silkworm Melanism Mutant. J. Biol. Chem. 2010, 285, 19553–19560. [Google Scholar] [CrossRef] [PubMed]
- Meng, Y.; Katsuma, S.; Daimon, T.; Banno, Y.; Uchino, K.; Sezutsu, H.; Tamura, T.; Mita, K.; Shimada, T. The Silkworm Mutant lemon (lemon lethal) Is a Potential Insect Model for Human Sepiapterin Reductase Deficiency. J. Biol. Chem. 2009, 284, 11698–11705. [Google Scholar] [CrossRef] [PubMed]
- Tsujita, M.; Nawa, S.; Sakaguchi, B.; Taira, T. Genetical and Biochemical Studies of Pteridine Metabolism in Insects. Jpn. J. Genet. 1963, 38, 159–174. [Google Scholar] [CrossRef]
- Werner, E.R.; Blau, N.; Thöny, B. Tetrahydrobiopterin: Biochemistry and pathophysiology. Biochem. J. 2011, 438, 397–414. [Google Scholar] [CrossRef] [PubMed]
- Bonafé, L.; Thöny, B.; Penzien, J.M.; Czarnecki, B.; Blau, N. Mutations in the Sepiapterin Reductase Gene Cause a Novel Tetrahydrobiopterin-Dependent Monoamine-Neurotransmitter Deficiency without Hyperphenylalaninemia. Am. J. Hum. Genet. 2001, 69, 269–277. [Google Scholar] [CrossRef] [PubMed]
- Thöny, B.; Auerbach, G.; Blau, N. Tetrahydrobiopterin biosynthesis, regeneration and functions. Biochem. J. 2000, 347, 1–16. [Google Scholar] [CrossRef] [PubMed]
- Andersen, S.O. Insect cuticular sclerotization: A review. Insect Biochem. Mol. Biol. 2010, 40, 166–178. [Google Scholar] [CrossRef]
- Vásquez-Vivar, J.; Kalyanaraman, B.; Martásek, P.; Hogg, N.; Masters, B.S.S.; Karoui, H.; Tordo, P.; Pritchard, K.A. Superoxide generation by endothelial nitric oxide synthase: The influence of cofactors. Proc. Natl. Acad. Sci. USA 1998, 95, 9220–9225. [Google Scholar] [CrossRef]
- Ambe, K.; Watanabe, H.; Takahashi, S.; Nakagawa, T.; Sasaki, J. Production and physiological role of NO in the oral cavity. Jpn. Dent. Sci. Rev. 2016, 52, 14–21. [Google Scholar] [CrossRef][Green Version]
- Sadekuzzaman, M.; Kim, Y. Nitric oxide mediates antimicrobial peptide gene expression by activating eicosanoid signaling. PLoS ONE 2018, 13, e0193282. [Google Scholar] [CrossRef] [PubMed]
- Zhou, J.; Xu, L.; Duan, X.; Liu, W.; Zhao, X.; Wang, X.; Shang, W.; Fang, X.; Yang, H.; Jia, L.; et al. Large-scale RNAi screen identified Dhpr as a regulator of mitochondrial morphology and tissue homeostasis. Sci. Adv. 2019, 5, eaax0365. [Google Scholar] [CrossRef] [PubMed]
- Norberg, E.; Orrenius, S.; Zhivotovsky, B. Mitochondrial regulation of cell death: Processing of apoptosis-inducing factor (AIF). Biochem. Biophys. Res. Commun. 2010, 396, 95–100. [Google Scholar] [CrossRef] [PubMed]
- Zhu, Y.; Li, M.; Wang, X.; Jin, H.; Liu, S.; Xu, J.; Chen, Q. Caspase cleavage of cytochrome c1 disrupts mitochondrial function and enhances cytochrome c release. Cell Res. 2012, 22, 127–141. [Google Scholar] [CrossRef]
- Wu, H.; Xing, K.; Lou, M.F. Glutaredoxin 2 prevents H2O2-induced cell apoptosis by protecting complex I activity in the mitochondria. Biochim. Biophys. Acta 2010, 1797, 1705–1715. [Google Scholar] [CrossRef]
- The International Silkworm Genome Consortium. The genome of a lepidopteran model insect, the silkworm Bombyx mori. Insect Biochem. Mol. Biol. 2008, 38, 1036–1045. [Google Scholar] [CrossRef]
- Yamamoto, K.; Nohata, J.; Kadono-Okuda, K.; Narukawa, J.; Sasanuma, M.; Sasanuma, S.-I.; Minami, H.; Shimomura, M.; Suetsugu, Y.; Banno, Y.; et al. A BAC-based integrated linkage map of the silkworm Bombyx mori. Genome Biol. 2008, 9, R21. [Google Scholar] [CrossRef]
- Lu, J.; Lu, L.; Yu, Y.; Baranowski, J.; Claud, E.C. Maternal administration of probiotics promotes brain development and protects offspring’s brain from postnatal inflammatory insults in C57/BL6J mice. Sci. Rep. 2020, 10, 8178. [Google Scholar] [CrossRef]
- Strohm, E.; Herzner, G.; Ruther, J.; Kaltenpoth, M.; Engl, T. Nitric oxide radicals are emitted by wasp eggs to kill mold fungi. eLife 2019, 8, e43718. [Google Scholar] [CrossRef]
- Wang, F.; He, J.; Shi, J.; Zheng, T.; Xu, F.; Wu, G.; Liu, R.; Liu, S. Embryonal Control of Yellow Seed Coat Locus ECY1 Is Related to Alanine and Phenylalanine Metabolism in the Seed Embryo of Brassica napus. G3 Genes|Genomes|Genet. 2016, 6, 1073–1081. [Google Scholar] [CrossRef]
- Almansour, H.; Mohamed, H. The Most Essential Amino Acid Ever That Can Fight Aging, Cancer, and Even Prolong Your Life; USA, 2021. Available online: https://www.researchgate.net/publication/353807560_the_most_essential_amino_acid_ever_that_can_fight_aging_cancer_and_even_prolong_your_life?channel=doi&linkId=6112d9490c2bfa282a3730cf&showFulltext=true (accessed on 19 September 2022). [CrossRef]
- Van Wegberg, A.; Evers, R.; Burgerhof, J.; van Dam, E.; Heiner-Fokkema, M.; Janssen, M.; de Vries, M.; van Spronsen, F. Effect of BH4 on blood phenylalanine and tyrosine variations in patients with phenylketonuria. Mol. Genet. Metab. 2021, 133, 49–55. [Google Scholar] [CrossRef] [PubMed]
- Nappi, A.; Christensen, B. Melanogenesis and associated cytotoxic reactions: Applications to insect innate immunity. Insect Biochem. Mol. Biol. 2005, 35, 443–459. [Google Scholar] [CrossRef] [PubMed]
- Tsujita, M.; Sakurai, S. Genetic and biochemical studies of lethal albino larvae of the silkworm, Bombyx Mori. Jpn. J. Genet. 2007, 46, 17–31. [Google Scholar] [CrossRef][Green Version]
- Wyse, A.T.S.; dos Santos, T.M.; Seminotti, B.; Leipnitz, G. Insights from Animal Models on the Pathophysiology of Hyperphenylalaninemia: Role of Mitochondrial Dysfunction, Oxidative Stress and Inflammation. Mol. Neurobiol. 2021, 58, 2897–2909. [Google Scholar] [CrossRef] [PubMed]
- Bailey, J.; Shaw, A.; Fischer, R.; Ryan, B.J.; Kessler, B.M.; McCullagh, J.; Wade-Martins, R.; Channon, K.M.; Crabtree, M.J. A novel role for endothelial tetrahydrobiopterin in mitochondrial redox balance. Free Radic. Biol. Med. 2017, 104, 214–225. [Google Scholar] [CrossRef]
- Imamura, M.; Yang, J.; Yamakawa, M. cDNA cloning, characterization and gene expression of nitric oxide synthase from the silkworm, Bombyx mori. Insect Mol. Biol. 2002, 11, 257–265. [Google Scholar] [CrossRef]
- Liu, W.; Wang, Y.; Leng, Z.; Wang, Q.; Duan, X.; Luo, Y.; Jiang, Y.; Qin, L. Nitric oxide plays a crucial role in midgut immunity under microsporidian infection in Antheraea pernyi. Mol. Immunol. 2020, 126, 65–72. [Google Scholar] [CrossRef]
- Sadekuzzaman, M.; Stanley, D.; Kim, Y. Nitric Oxide Mediates Insect Cellular Immunity via Phospholipase A2 Activation. J. Innate Immun. 2017, 10, 70–81. [Google Scholar] [CrossRef]
- Li, T.; Chen, X.; Li, H.; Wang, J.; Sun, W.; Shen, Q.; Lu, C.; Chen, P. Cloning and expression characteristics of tryptophan hydroxylase (TRH) from silkworm, Bombyx mori. Chin. J. Biotechnol. 2019, 35, 102–113. [Google Scholar] [CrossRef]
- Yang, S.; Lee, Y.J.; Kim, J.-M.; Park, S.; Peris, J.; Laipis, P.; Park, Y.S.; Chung, J.H.; Oh, S.P. A Murine Model for Human Sepiapterin-Reductase Deficiency. Am. J. Hum. Genet. 2006, 78, 575–587. [Google Scholar] [CrossRef][Green Version]
- Bendall, J.K.; Douglas, G.; McNeill, E.; Channon, K.M.; Crabtree, M.J. Tetrahydrobiopterin in Cardiovascular Health and Disease. Antioxid. Redox Signal. 2013, 20, 3040–3077. [Google Scholar] [CrossRef]
- Daimon, T.; Katsuma, S.; Iwanaga, M.; Kang, W.; Shimada, T. The BmChi-h gene, a bacterial-type chitinase gene of Bombyx mori, encodes a functional exochitinase that plays a role in the chitin degradation during the molting process. Insect Biochem. Mol. Biol. 2005, 35, 1112–1123. [Google Scholar] [CrossRef]
- Akritidou, F.; Karachrysaphi, S.; Papamitsou, T.; Sioga, A. Pseudoexfoliation syndrome in diabetic patients: Atransmission electron microscopy study of anterior lens epithelial cells. Rom. J. Ophthalmol. 2021, 65, 38–45. [Google Scholar] [CrossRef]
- Farouk, S.M.; Mahmoud, S.F.; Eldoumani, H.; Shoghy, K.; Abdel-Megeid, N.S.; Abdo, M. Scanning electron microscopy and morphometric analysis of superficial corneal epithelial cells in dromedary camel (Camelus dromedarius). Microsc. Res. Tech. 2021, 85, 1685–1693. [Google Scholar] [CrossRef]
- Dos Santos, T.M.; Júnior, O.V.R.; Alves, V.S.; Coutinho-Silva, R.; Savio, L.E.B.; Wyse, A.T. Hyperhomocysteinemia alters cytokine gene expression, cytochrome c oxidase activity and oxidative stress in striatum and cerebellum of rodents. Life Sci. 2021, 277, 119386. [Google Scholar] [CrossRef]
- Liang, D.; Shu, R.; Jiang, S.; Yang, L.; Wang, Y.; Zhao, Y.; Cai, Y.; Xie, R.; Meng, Y. Identification and functional analysis of carbonyl reductases related to tetrahydrobiopterin synthesis in the silkworm, Bombyx mori. Insect Mol. Biol. 2022, 31, 403–416. [Google Scholar] [CrossRef]
- Friedman, J.; Hyland, K.; Blau, N.; MacCollin, M. Dopa-responsive hypersomnia and mixed movement disorder due to sepiapterin reductase deficiency. Neurology 2006, 67, 2032–2035. [Google Scholar] [CrossRef]
- Zhu, Y.; Silverman, R.B. Revisiting Heme Mechanisms. A Perspective on the Mechanisms of Nitric Oxide Synthase (NOS), Heme Oxygenase (HO), and Cytochrome P450s (CYP450s). Biochemistry 2008, 47, 2231–2243. [Google Scholar] [CrossRef]
- Alderton, W.; Cooper, C.; Knowles, R.G. Nitric oxide synthases: Structure, function and inhibition. Biochem. J. 2001, 357, 593–615. [Google Scholar] [CrossRef]
- Livak, K.J.; Schmittgen, T.D. Analysis of relative gene expression data using real-time quantitative PCR and the 2−ΔΔCT Method. Methods 2001, 25, 402–408. [Google Scholar] [CrossRef]
- Sroor, F.M.; Othman, A.M.; Aboelenin, M.M.; Mahrous, K.F. Anticancer and antimicrobial activities of new thiazolyl-urea derivatives: Gene expression, DNA damage, DNA fragmentation and SAR studies. Med. Chem. Res. 2022, 31, 400–415. [Google Scholar] [CrossRef]
- Tang, Q.-Y.; Zhang, C.-X. Data Processing System (DPS) software with experimental design, statistical analysis and data mining developed for use in entomological research. Insect Sci. 2013, 20, 254–260. [Google Scholar] [CrossRef]




| Name | Reference Sequence ID | Protein ID |
|---|---|---|
| TAT | XM_021351181.2 | XP_021206856.1 |
| COX1 | XM_038021628.1 | XP_037877556.1 |
| NOS1 | NM_001043498.1 | NP_001036963.1 |
| NOS2 | NM_001123336.1 | NP_001116808.1 |
| DDC | NM_001043709.1 | NP_001037174.1 |
| PPO | NM_001043870.1 | NP_001037335.1 |
| Moricin | NM_001043364.2 | NP_001036829.2 |
| Lebocin1 | NM_001126260.2 | NP_001119732.2 |
| Enbocin1 | NM_001044007.1 | NP_001037472.1 |
| Defensin | NM_001043905.2 | NP_001037370.1 |
| Enbocin2 | NM_001098374.1 | NP_001091844.1 |
| Gloverin-2 | NM_001044218.2 | NP_001037683.1 |
| Attacin1 | NM_001043541.1 | NP_001037006.1 |
| Attacin2 | S78369.1 | AAB34519.1 |
| CecropinA | NM_001043997.1 | NP_001037462.1 |
| CecropinD | NM_001043368.2 | NP_001036833.1 |
| Lysozyme | L37416.1 | AAB40947.1 |
| Apaf-1 | NM_001200008.1 | NP_001186937.1 |
| Dronc | NM_001195467.1 | NP_001182396.1 |
| P53 | NM_001177410.1 | NP_001170881.1 |
| Ice | NM_001043832.1 | NP_001037297.1 |
| Dredd | NM_001114865.2 | NP_001108337.1 |
| Suc1 | NM_001126249.1 | NP_001119721.1 |
| Spr (+/+) | XM_004924359.4 | XP_004924416.1 |
| Spr (leml/leml) | AB465551.1 | BAH56568.1 |
| Primers | Forward Primers (5′ to 3′) | Reverse Primers (5′ to 3′) | Notes |
|---|---|---|---|
| NOS1 | ATGGAAGTGCAATTCGAACA | TTAACTGCTCTGGCGATCTG | RT-PCR |
| NOS2 | TGGCACATACCAACTAACC | AAACGCATACTGGAGACG | RT-PCR |
| q-Actin3 | AGACGAGGCACAGAGCAA | TGTAGAAGGTATGATGCCAAA | RT-PCR |
| q-Spr | TAGACTTGAGTAAGGCATCG | TACGCCATTCCGCTCATA | RT-PCR |
| q-TAT | ATGGGTTGGATTGTC | TATCGTCGGTAAAGC | qRT-PCR |
| q-Cox1 | TGCTGGAGGAGGAGACCC | GCTGAAGTAAAATATGCTCGTGT | qRT-PCR |
| q-rp49 | CCCAACATTGGTTACGGTTC | GCTCTTTCCACGATCAGCTT | qRT-PCR |
| q-Moricin | TTAATGCTTTCTTTTCTTCGGTTT | TCATGTAGTACAGCCGCTCCA | qRT-PCR |
| q-Lebocin1 | AGTTCTGGTGCTGTTCTT | CCATAGCGGTTCCTG | qRT-PCR |
| q-Enbocin1 | TTTTCTTGTTCGTTGTTGTTTTCG | AGGTAGCTGCCGCCACCGTC | qRT-PCR |
| q-Defensin | AACCGTCTTTGACAACC | CGAACTCGCACCATAT | qRT-PCR |
| q-Enbocin2 | TTTTCTTGTTCGTTGTTGTTTTCG | GCTGATGACGGCATCTCGC | qRT-PCR |
| q-Gloverin-2 | CGGATCTCTGCTTGAAGACC | GCACTTTGGGACAAAACGAT | qRT-PCR |
| q-Attacin1 | CTCGCTCTGGACAATGTAAACGG | CGCTCAGGTCGTGGTTGTTATT | qRT-PCR |
| q-Attacin2 | CTCGCTCTGGACAATGTAA | CGCTCAGGTCGTGGTT | qRT-PCR |
| q-CecropinA | GGATTTCGCTTGCCCTATGA | AGCCCAGGTGGAAACTCTTC | qRT-PCR |
| q-CecropinD | ATTTTCGTTTTCGTGTTC | CTTTTGCCAGGGTGTC | qRT-PCR |
| q-Lysozyme | TTTCGCTTTGGTTGTCCTC | TCGCTGCCTTAGTAATGTCG | qRT-PCR |
| q-DDC | GCCTTGGACTGCGGTGATG | CTAGCCGTGCCCTGGATTA | qRT-PCR |
| q-PPO | TACTACGGCGACCTCCACAA | GACGGACGACACCCTGATG | qRT-PCR |
| q-Apaf-1 | ACAGTTCACAACCCTCTAAAATCAC | GACTTTCTTACCACGCATCACC | qRT-PCR |
| q-Dronc | ACCCTGGAGCAGATGTCG | GGAGGTCCGTGAAGTTGG | qRT-PCR |
| q-P53 | GGGCAATACAACTTCAGCG | CTTCTCGGCCTGGGACT | qRT-PCR |
| q-Ice | ATTCGCTGCCGACCAA | TTCGCACAGTGTCTGGATTA | qRT-PCR |
| q-Dredd | TAATAGTCGTTCTGACTTGGGACA | TCGGTATGCAATGCAGTTTCT | qRT-PCR |
Publisher’s Note: MDPI stays neutral with regard to jurisdictional claims in published maps and institutional affiliations. |
© 2022 by the authors. Licensee MDPI, Basel, Switzerland. This article is an open access article distributed under the terms and conditions of the Creative Commons Attribution (CC BY) license (https://creativecommons.org/licenses/by/4.0/).
Share and Cite
Liang, D.; Shu, R.; Jiang, S.; Xu, M.; Cai, Y.; Qin, H.; Zhang, D.; Feng, M.; Gao, J.; Meng, Y. Exploring the Mystery of the Tetrahydrobiopterin Synthetic Defect Lethal Mutant leml from Birth to Death in the Silkworm Bombyx mori. Int. J. Mol. Sci. 2022, 23, 12083. https://doi.org/10.3390/ijms232012083
Liang D, Shu R, Jiang S, Xu M, Cai Y, Qin H, Zhang D, Feng M, Gao J, Meng Y. Exploring the Mystery of the Tetrahydrobiopterin Synthetic Defect Lethal Mutant leml from Birth to Death in the Silkworm Bombyx mori. International Journal of Molecular Sciences. 2022; 23(20):12083. https://doi.org/10.3390/ijms232012083
Chicago/Turabian StyleLiang, Dan, Rui Shu, Song Jiang, Mengjun Xu, Yangyang Cai, Hongwei Qin, Daobo Zhang, Mengwei Feng, Junshan Gao, and Yan Meng. 2022. "Exploring the Mystery of the Tetrahydrobiopterin Synthetic Defect Lethal Mutant leml from Birth to Death in the Silkworm Bombyx mori" International Journal of Molecular Sciences 23, no. 20: 12083. https://doi.org/10.3390/ijms232012083
APA StyleLiang, D., Shu, R., Jiang, S., Xu, M., Cai, Y., Qin, H., Zhang, D., Feng, M., Gao, J., & Meng, Y. (2022). Exploring the Mystery of the Tetrahydrobiopterin Synthetic Defect Lethal Mutant leml from Birth to Death in the Silkworm Bombyx mori. International Journal of Molecular Sciences, 23(20), 12083. https://doi.org/10.3390/ijms232012083

