Organotypic Culture of Testicular Tissue from Infant Boys with Cryptorchidism
Abstract
1. Introduction
2. Results
2.1. Assessment of Serum Hormones
2.2. Histological Analysis of ITT before and after Organotypic Culture
2.3. Spermatogonial Survival and Maturation
2.4. Sertoli Cell Survival and Maturation
2.5. Proliferation of Spermatogonia and Sertoli Cells
2.6. Peritubular Myoid Cells
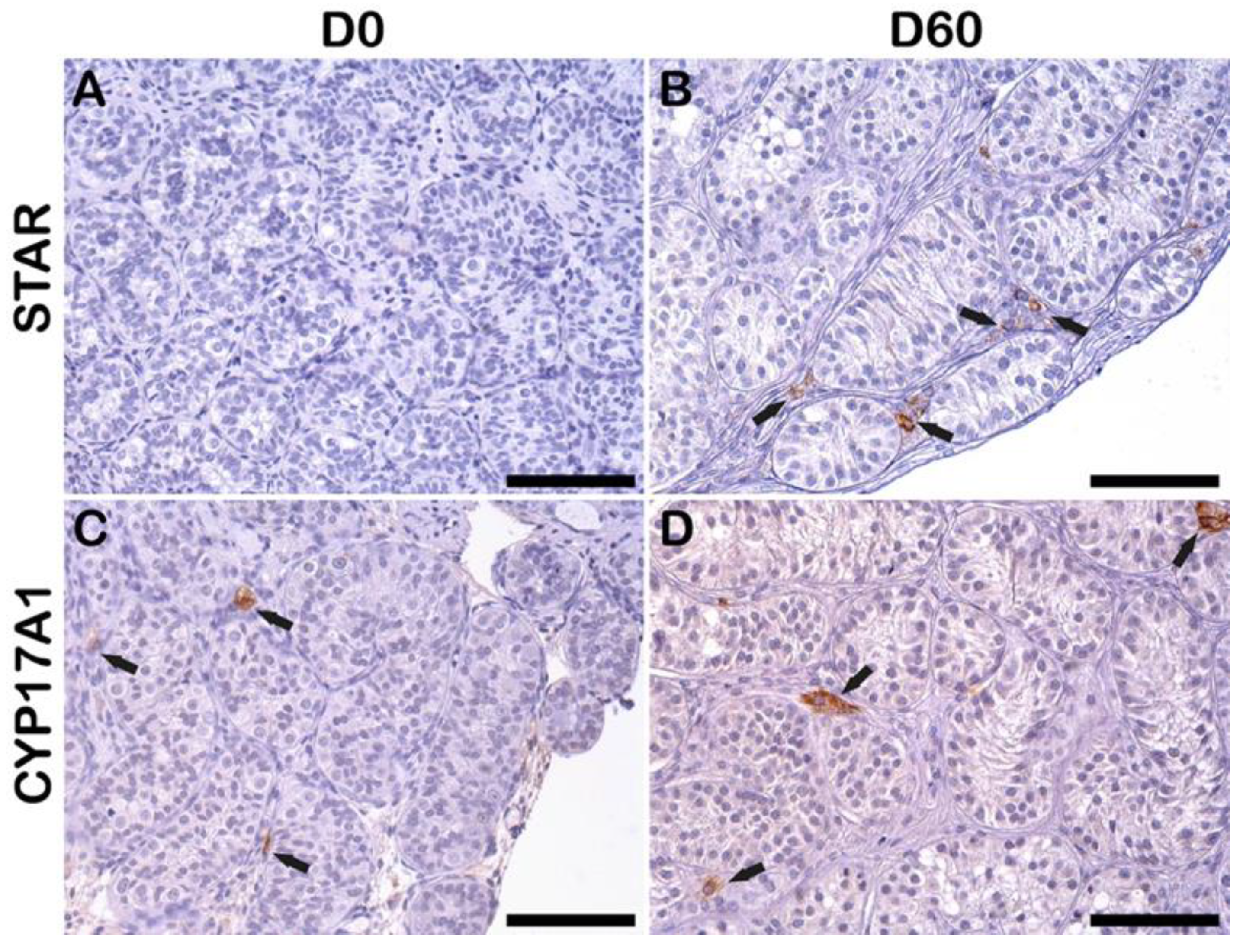
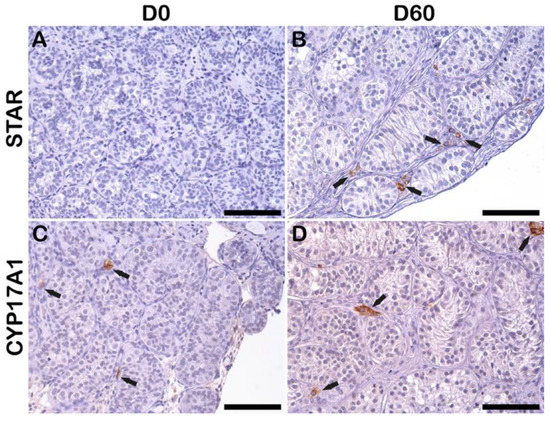
2.7. Leydig Cell Functionality
3. Discussion
4. Materials and Methods
4.1. Human Testicular Tissue
4.2. Hormonal Evaluation
4.3. Culture Media and Method
4.4. Staining before and after Culture
4.5. Tissue Histological and Immunohistochemical Assessment
4.5.1. Germ Cell Density before Culture
4.5.2. Integrity and Diameter of Seminiferous Tubules
4.5.3. Spermatogonial Survival and Intratubular Cell Proliferation
4.5.4. Germ Cell Maturation
4.5.5. Somatic Cell Maturation
4.6. Statistical Analysis
Supplementary Materials
Author Contributions
Funding
Institutional Review Board Statement
Informed Consent Statement
Data Availability Statement
Acknowledgments
Conflicts of Interest
References
- Valli-Pulaski, H.; Peters, K.A.; Gassei, K.; Steimer, S.R.; Sukhwani, M.; Hermann, B.P.; Dwomor, L.; David, S.; Fayomi, A.P.; Munyoki, S.K.; et al. Testicular tissue cryopreservation: 8 years of experience from a coordinated network of academic centers. Hum. Reprod. 2019, 34, 966–977. [Google Scholar] [CrossRef]
- Braye, A.; Tournaye, H.; Goossens, E. Setting Up a Cryopreservation Programme for Immature Testicular Tissue: Lessons Learned after More Than 15 Years of Experience. Clin. Med. Insights Reprod. Health 2019, 13, 1179558119886342. [Google Scholar] [CrossRef]
- Heckmann, L.; Langenstroth-Rower, D.; Pock, T.; Wistuba, J.; Stukenborg, J.B.; Zitzmann, M.; Kliesch, S.; Schlatt, S.; Neuhaus, N. A diagnostic germ cell score for immature testicular tissue at risk of germ cell loss. Hum. Reprod. 2018, 33, 636–645. [Google Scholar] [CrossRef]
- Balduzzi, A.; Dalle, J.H.; Jahnukainen, K.; von Wolff, M.; Lucchini, G.; Ifversen, M.; Macklon, K.T.; Poirot, C.; Diesch, T.; Jarisch, A.; et al. Fertility preservation issues in pediatric hematopoietic stem cell transplantation: Practical approaches from the consensus of the Pediatric Diseases Working Party of the EBMT and the International BFM Study Group. Bone Marrow Transplant. 2017, 52, 1406–1415. [Google Scholar] [CrossRef]
- Thorup, J.; Cortes, D. Long-Term Follow-Up after Treatment of Cryptorchidism. Eur. J. Pediatr. Surg. 2016, 26, 427–431. [Google Scholar]
- Fedder, J. Prevalence of small testicular hyperechogenic foci in subgroups of 382 non-vasectomized, azoospermic men: A retrospective cohort study. Andrology 2017, 5, 248–255. [Google Scholar] [CrossRef]
- Olesen, I.A.; Andersson, A.M.; Aksglaede, L.; Skakkebaek, N.E.; Rajpert-de Meyts, E.; Joergensen, N.; Juul, A. Clinical, genetic, biochemical, and testicular biopsy findings among 1213 men evaluated for infertility. Fertil. Steril. 2017, 107, 74–82.e7. [Google Scholar] [CrossRef]
- Thorup, J.; Clasen-Linde, E.; Dong, L.; Hildorf, S.; Kristensen, S.G.; Andersen, C.Y.; Cortes, D. Selecting Infants with Cryptorchidism and High Risk of Infertility for Optional Adjuvant Hormonal Therapy and Cryopreservation of Germ Cells: Experience from a Pilot Study. Front. Endocrinol. 2018, 9, 299. [Google Scholar] [CrossRef]
- Wyns, C.; Kanbar, M.; Giudice, M.G.; Poels, J. Fertility preservation for prepubertal boys: Lessons learned from the past and update on remaining challenges towards clinical translation. Hum. Reprod. Update 2021, 27, 433–459. [Google Scholar] [CrossRef]
- Goossens, E.; Jahnukainen, K.; Mitchell, R.T.; van Pelt, A.; Pennings, G.; Rives, N.; Poels, J.; Wyns, C.; Lane, S.; Rodriguez-Wallberg, K.A.; et al. Fertility preservation in boys: Recent developments and new insights (dagger). Hum. Reprod. Open 2020, 2020, hoaa016. [Google Scholar] [CrossRef]
- Oliver, E.; Stukenborg, J.B. Rebuilding the human testis in vitro. Andrology 2020, 8, 825–834. [Google Scholar] [CrossRef]
- Alves-Lopes, J.P.; Stukenborg, J.B. Testicular organoids: A new model to study the testicular microenvironment in vitro? Hum. Reprod. Update 2018, 24, 176–191. [Google Scholar] [CrossRef]
- de Michele, F.; Poels, J.; Vermeulen, M.; Ambroise, J.; Gruson, D.; Guiot, Y.; Wyns, C. Haploid Germ Cells Generated in Organotypic Culture of Testicular Tissue From Prepubertal Boys. Front. Physiol. 2018, 9, 1413. [Google Scholar] [CrossRef] [PubMed]
- Sato, T.; Katagiri, K.; Gohbara, A.; Inoue, K.; Ogonuki, N.; Ogura, A.; Kubota, Y.; Ogawa, T. In vitro production of functional sperm in cultured neonatal mouse testes. Nature 2011, 471, 504–507. [Google Scholar] [CrossRef] [PubMed]
- Yokonishi, T.; Sato, T.; Komeya, M.; Katagiri, K.; Kubota, Y.; Nakabayashi, K.; Hata, K.; Inoue, K.; Ogonuki, N.; Ogura, A.; et al. Offspring production with sperm grown in vitro from cryopreserved testis tissues. Nat. Commun. 2014, 5, 4320. [Google Scholar] [CrossRef]
- de Michele, F.; Poels, J.; Weerens, L.; Petit, C.; Evrard, Z.; Ambroise, J.; Gruson, D.; Wyns, C. Preserved seminiferous tubule integrity with spermatogonial survival and induction of Sertoli and Leydig cell maturation after long-term organotypic culture of prepubertal human testicular tissue. Hum. Reprod. 2017, 32, 32–45. [Google Scholar] [CrossRef]
- Medrano, J.V.; Vilanova-Perez, T.; Fornes-Ferrer, V.; Navarro-Gomezlechon, A.; Martinez-Triguero, M.L.; Garcia, S.; Gomez-Chacon, J.; Povo, I.; Pellicer, A.; Andres, M.M.; et al. Influence of temperature, serum, and gonadotropin supplementation in short- and long-term organotypic culture of human immature testicular tissue. Fertil. Steril. 2018, 110, 1045–1057.e3. [Google Scholar] [CrossRef]
- Portela, J.M.D.; de Winter-Korver, C.M.; van Daalen, S.K.M.; Meissner, A.; de Melker, A.A.; Repping, S.; van Pelt, A.M.M. Assessment of fresh and cryopreserved testicular tissues from (pre)pubertal boys during organ culture as a strategy for in vitro spermatogenesis. Hum. Reprod. 2019, 34, 2443–2455. [Google Scholar] [CrossRef]
- Yuan, Y.; Li, L.; Cheng, Q.; Diao, F.; Zeng, Q.; Yang, X.; Wu, Y.; Zhang, H.; Huang, M.; Chen, J.; et al. In vitro testicular organogenesis from human fetal gonads produces fertilization-competent spermatids. Cell Res. 2020, 30, 244–255. [Google Scholar] [CrossRef]
- Pellegrini, M.; Grimaldi, P.; Rossi, P.; Geremia, R.; Dolci, S. Developmental expression of BMP4/ALK3/SMAD5 signaling pathway in the mouse testis: A potential role of BMP4 in spermatogonia differentiation. J. Cell Sci. 2003, 116 Pt 16, 3363–3372. [Google Scholar] [CrossRef]
- West, F.D.; Roche-Rios, M.I.; Abraham, S.; Rao, R.R.; Natrajan, M.S.; Bacanamwo, M.; Stice, S.L. KIT ligand and bone morphogenetic protein signaling enhances human embryonic stem cell to germ-like cell differentiation. Hum. Reprod. 2010, 25, 168–178. [Google Scholar] [CrossRef] [PubMed]
- Kee, K.; Gonsalves, J.M.; Clark, A.T.; Pera, R.A. Bone morphogenetic proteins induce germ cell differentiation from human embryonic stem cells. Stem Cells Dev. 2006, 15, 831–837. [Google Scholar] [CrossRef] [PubMed]
- Feng, L.X.; Chen, Y.; Dettin, L.; Pera, R.A.; Herr, J.C.; Goldberg, E.; Dym, M. Generation and in vitro differentiation of a spermatogonial cell line. Science 2002, 297, 392–395. [Google Scholar] [CrossRef] [PubMed]
- Taylor, W.E.; Najmabadi, H.; Strathearn, M.; Jou, N.T.; Liebling, M.; Rajavashisth, T.; Chanani, N.; Phung, L.; Bhasin, S. Human stem cell factor promoter deoxyribonucleic acid sequence and regulation by cyclic 3′,5′-adenosine monophosphate in a Sertoli cell line. Endocrinology 1996, 137, 5407–5414. [Google Scholar] [CrossRef] [PubMed][Green Version]
- West, F.D.; Machacek, D.W.; Boyd, N.L.; Pandiyan, K.; Robbins, K.R.; Stice, S.L. Enrichment and differentiation of human germ-like cells mediated by feeder cells and basic fibroblast growth factor signaling. Stem Cells 2008, 26, 2768–2776. [Google Scholar] [CrossRef]
- Sharma, A.; Lagah, S.V.; Nagoorvali, D.; Kumar, B.S.B.; Singh, M.K.; Singla, S.K.; Manik, R.S.; Palta, P.; Chauhan, M.S. Supplementation of Glial Cell Line-Derived Neurotrophic Factor, Fibroblast Growth Factor 2, and Epidermal Growth Factor Promotes Self-Renewal of Putative Buffalo (Bubalus bubalis) Spermatogonial Stem Cells by Upregulating the Expression of miR-20b, miR-21, and miR-106a. Cell Reprogram 2019, 21, 11–17. [Google Scholar]
- Lim, J.J.; Sung, S.Y.; Kim, H.J.; Song, S.H.; Hong, J.Y.; Yoon, T.K.; Kim, J.K.; Kim, K.S.; Lee, D.R. Long-term proliferation and characterization of human spermatogonial stem cells obtained from obstructive and non-obstructive azoospermia under exogenous feeder-free culture conditions. Cell Prolif. 2010, 43, 405–417. [Google Scholar] [CrossRef]
- Mithraprabhu, S.; Mendis, S.; Meachem, S.J.; Tubino, L.; Matzuk, M.M.; Brown, C.W.; Loveland, K.L. Activin bioactivity affects germ cell differentiation in the postnatal mouse testis in vivo. Biol. Reprod. 2010, 82, 980–990. [Google Scholar] [CrossRef]
- Fragale, A.; Puglisi, R.; Morena, A.R.; Stefanini, M.; Boitani, C. Age-dependent activin receptor expression pinpoints activin A as a physiological regulator of rat Sertoli cell proliferation. Mol. Hum. Reprod. 2001, 7, 1107–1114. [Google Scholar] [CrossRef]
- Kent, K.D.; Bomser, J.A. Bovine pituitary extract provides remarkable protection against oxidative stress in human prostate epithelial cells. Cell Dev. Biol. Anim. 2003, 39, 388–394. [Google Scholar] [CrossRef]
- Endo, T.; Freinkman, E.; de Rooij, D.G.; Page, D.C. Periodic production of retinoic acid by meiotic and somatic cells coordinates four transitions in mouse spermatogenesis. Proc. Natl. Acad. Sci. USA 2017, 114, E10132–E10141. [Google Scholar] [CrossRef]
- Gewiss, R.L.; Schleif, M.C.; Griswold, M.D. The role of retinoic acid in the commitment to meiosis. Asian J. Androl. 2021, 23, 549–554. [Google Scholar]
- Tesarik, J.; Guido, M.; Mendoza, C.; Greco, E. Human spermatogenesis in vitro: Respective effects of follicle-stimulating hormone and testosterone on meiosis, spermiogenesis, and Sertoli cell apoptosis. J. Clin. Endocrinol. Metab. 1998, 83, 4467–4473. [Google Scholar] [CrossRef]
- de Michele, F.; Poels, J.; Giudice, M.G.; De Smedt, F.; Ambroise, J.; Vermeulen, M.; Gruson, D.; Wyns, C. In vitro formation of the blood-testis barrier during long-term organotypic culture of human prepubertal tissue: Comparison with a large cohort of pre/peripubertal boys. Mol. Hum. Reprod. 2018, 24, 271–282. [Google Scholar] [CrossRef]
- Oduwole, O.O.; Peltoketo, H.; Huhtaniemi, I.T. Role of Follicle-Stimulating Hormone in Spermatogenesis. Front. Endocrinol. 2018, 9, 763. [Google Scholar] [CrossRef]
- Portela, J.M.D.; Mulder, C.L.; van Daalen, S.K.M.; de Winter-Korver, C.M.; Stukenborg, J.B.; Repping, S.; van Pelt, A.M.M. Strains matter: Success of murine in vitro spermatogenesis is dependent on genetic background. Dev. Biol. 2019, 456, 25–30. [Google Scholar] [CrossRef]
- Hai, Y.; Sun, M.; Niu, M.; Yuan, Q.; Guo, Y.; Li, Z.; He, Z. BMP4 promotes human Sertoli cell proliferation via Smad1/5 and ID2/3 pathway and its abnormality is associated with azoospermia. Discov. Med. 2015, 19, 311–325. [Google Scholar]
- Itman, C.; Wong, C.; Hunyadi, B.; Ernst, M.; Jans, D.A.; Loveland, K.L. Smad3 dosage determines androgen responsiveness and sets the pace of postnatal testis development. Endocrinology 2011, 152, 2076–2089. [Google Scholar] [CrossRef]
- Wijayarathna, R.; de Kretser, D.M. Activins in Reprod.uctive biology and beyond. Hum. Reprod. Update 2016, 22, 342–357. [Google Scholar] [CrossRef]
- Schlatt, S.; Weinbauer, G.F.; Arslan, M.; Nieschlag, E. Appearance of alpha-smooth muscle actin in peritubular cells of monkey testes is induced by androgens, modulated by follicle-stimulating hormone, and maintained after hormonal withdrawal. J. Androl. 1993, 14, 340–350. [Google Scholar]
- Van Saen, D.; Vloeberghs, V.; Gies, I.; De Schepper, J.; Tournaye, H.; Goossens, E. Characterization of the stem cell niche components within the seminiferous tubules in testicular biopsies of Klinefelter patients. Fertil. Steril. 2020, 113, 1183–1195.e3. [Google Scholar] [CrossRef] [PubMed]
- Amer, M.; GamalEl Din, S.F.; Zeidan, A.; Adel, A.; Elsisi, I.; Fakhry, E.; Sadek, A.R. Intrasurgical Seminiferous Tubular Diameter Correlates with Total Motile Sperm Count in Azoospermia: A Prospective Cohort Study. Reprod. Sci. 2022, 29, 1836–1843. [Google Scholar] [CrossRef]
- Romanov, Y.A.; Vtorushina, V.V.; Dugina, T.N.; Romanov, A.Y.; Petrova, N.V. Human Umbilical Cord Blood Serum/Plasma: Cytokine Profile and Prospective Application in Regenerative Medicine. Bull. Exp. Biol. Med. 2019, 168, 173–177. [Google Scholar] [CrossRef]
- Ehrhart, J.; Sanberg, P.R.; Garbuzova-Davis, S. Plasma derived from human umbilical cord blood: Potential cell-additive or cell-substitute therapeutic for neurodegenerative diseases. J. Cell. Mol. Med. 2018, 22, 6157–6166. [Google Scholar] [CrossRef]
- Hildorf, S.; Clasen-Linde, E.; Cortes, D.; Fossum, M.; Thorup, J. Fertility Potential is Compromised in 20% to 25% of Boys with Nonsyndromic Cryptorchidism despite Orchiopexy within the First Year of Life. J. Urol. 2020, 203, 832–840. [Google Scholar] [CrossRef]
- Kvist, K.; Thorup, J.; Byskov, A.G.; Hoyer, P.E.; Mollgard, K.; Yding Andersen, C. Cryopreservation of intact testicular tissue from boys with cryptorchidism. Hum. Reprod. 2006, 21, 484–491. [Google Scholar] [CrossRef]
- Hildorf, S.; Clasen-Linde, E.; Fossum, M.; Cortes, D.; Thorup, J. Fertility Potential is Impaired in Boys with Bilateral Ascending Testes. J. Urol. 2021, 205, 586–594. [Google Scholar] [CrossRef]
- Johnsen, S.G. Testicular biopsy score count—A method for registration of spermatogenesis in human testes: Normal values and results in 335 hypogonadal males. Hormones 1970, 1, 2–25. [Google Scholar] [CrossRef]







| Patient ID | Age at Orchidopexy (Year) | Birth Weight (g) | Testis Location * | Serum FSH (IU/L) | Serum LH (IU/L) | Serum Inhibin B (pg/mL) | G/T Mean | AdS/T Mean | Johnsen Score |
|---|---|---|---|---|---|---|---|---|---|
| #1 | 0.5 | 3500 | abdominal | 1.27 | 1.18 | 264 | 2.88 | 0.08 | 3 |
| #2 | 1.4 | 2200 | supra-scrotal | 1.49 | 0.36 | 105 | 0.96 | 0.017 | 3 |
| #3 | 1.0 | 3520 | inguinal | 0.89 | 0.05 | 77 | 0.28 | 0.012 | 3 |
| #4 | 0.5 | 4110 | annulus externus | 0.57 | 0.85 | 280 | 0.69 | 0.004 | 3 |
Publisher’s Note: MDPI stays neutral with regard to jurisdictional claims in published maps and institutional affiliations. |
© 2022 by the authors. Licensee MDPI, Basel, Switzerland. This article is an open access article distributed under the terms and conditions of the Creative Commons Attribution (CC BY) license (https://creativecommons.org/licenses/by/4.0/).
Share and Cite
Wang, D.; Hildorf, S.; Ntemou, E.; Mamsen, L.S.; Dong, L.; Pors, S.E.; Fedder, J.; Clasen-Linde, E.; Cortes, D.; Thorup, J.; et al. Organotypic Culture of Testicular Tissue from Infant Boys with Cryptorchidism. Int. J. Mol. Sci. 2022, 23, 7975. https://doi.org/10.3390/ijms23147975
Wang D, Hildorf S, Ntemou E, Mamsen LS, Dong L, Pors SE, Fedder J, Clasen-Linde E, Cortes D, Thorup J, et al. Organotypic Culture of Testicular Tissue from Infant Boys with Cryptorchidism. International Journal of Molecular Sciences. 2022; 23(14):7975. https://doi.org/10.3390/ijms23147975
Chicago/Turabian StyleWang, Danyang, Simone Hildorf, Elissavet Ntemou, Linn Salto Mamsen, Lihua Dong, Susanne Elisabeth Pors, Jens Fedder, Erik Clasen-Linde, Dina Cortes, Jørgen Thorup, and et al. 2022. "Organotypic Culture of Testicular Tissue from Infant Boys with Cryptorchidism" International Journal of Molecular Sciences 23, no. 14: 7975. https://doi.org/10.3390/ijms23147975
APA StyleWang, D., Hildorf, S., Ntemou, E., Mamsen, L. S., Dong, L., Pors, S. E., Fedder, J., Clasen-Linde, E., Cortes, D., Thorup, J., & Andersen, C. Y. (2022). Organotypic Culture of Testicular Tissue from Infant Boys with Cryptorchidism. International Journal of Molecular Sciences, 23(14), 7975. https://doi.org/10.3390/ijms23147975

