Glycine Nano-Selenium Enhances Immunoglobulin and Cytokine Production in Mice Immunized with H9N2 Avian Influenza Virus Vaccine
Abstract
:1. Introduction
2. Results
2.1. Effect of Glycine Nano-Selenium on Weight Gain and Organ Indices of Liver, Spleen, and Lungs of Mice Immunized with H9N2 Avian Influenza Virus Vaccine
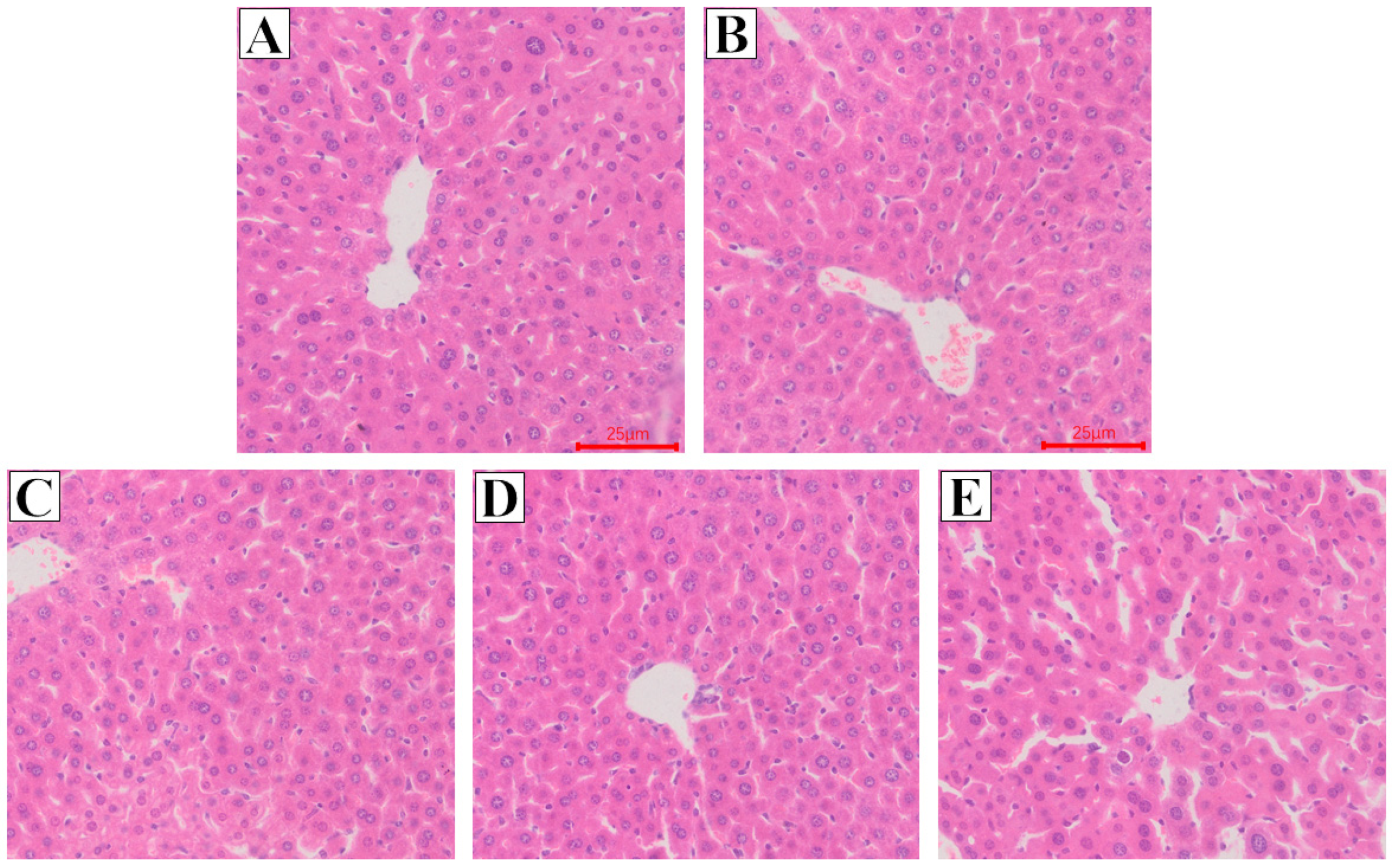
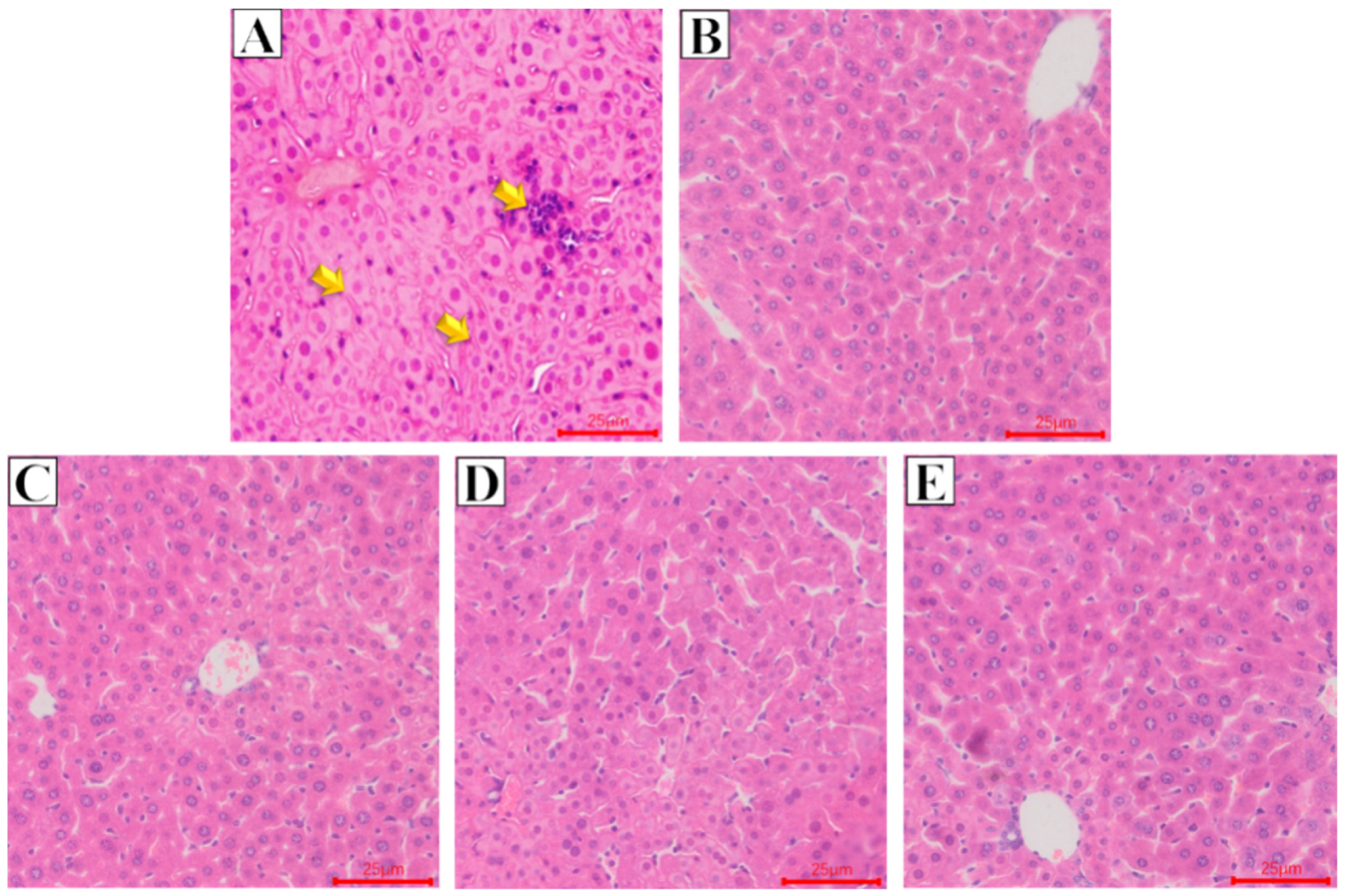
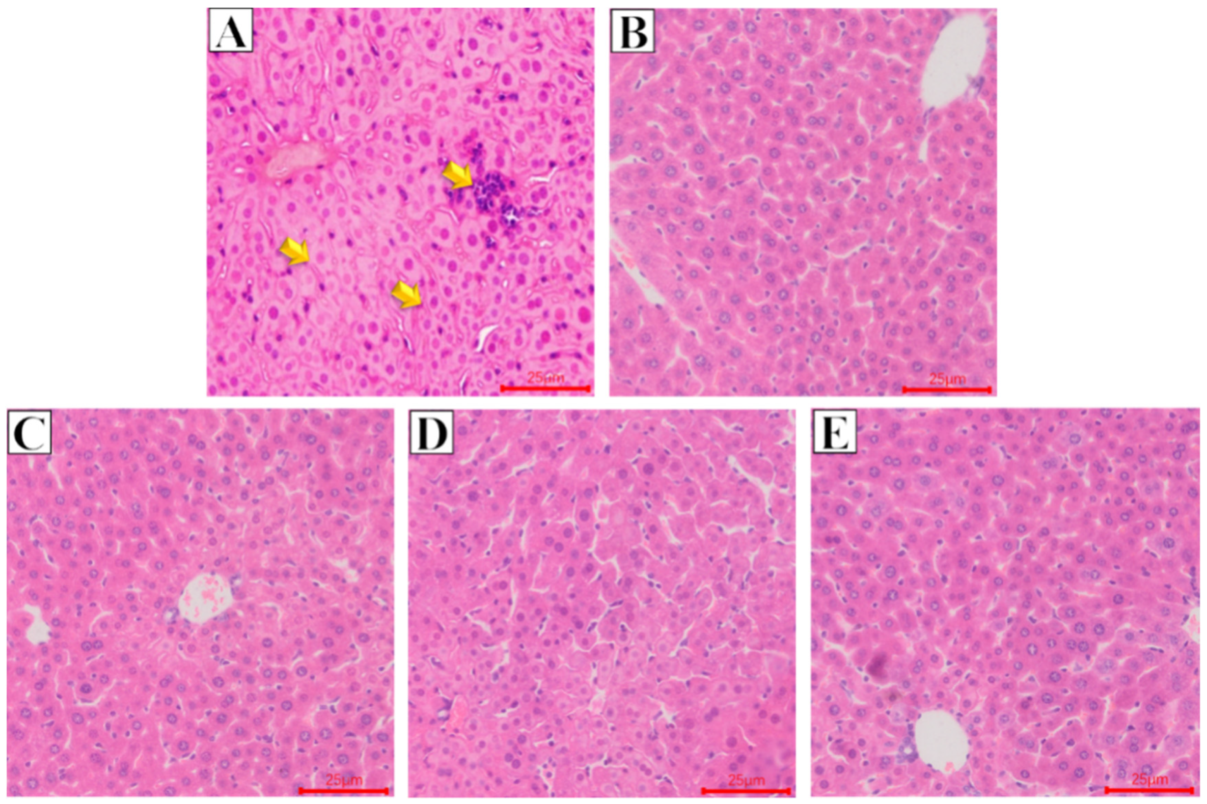
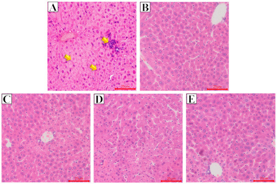
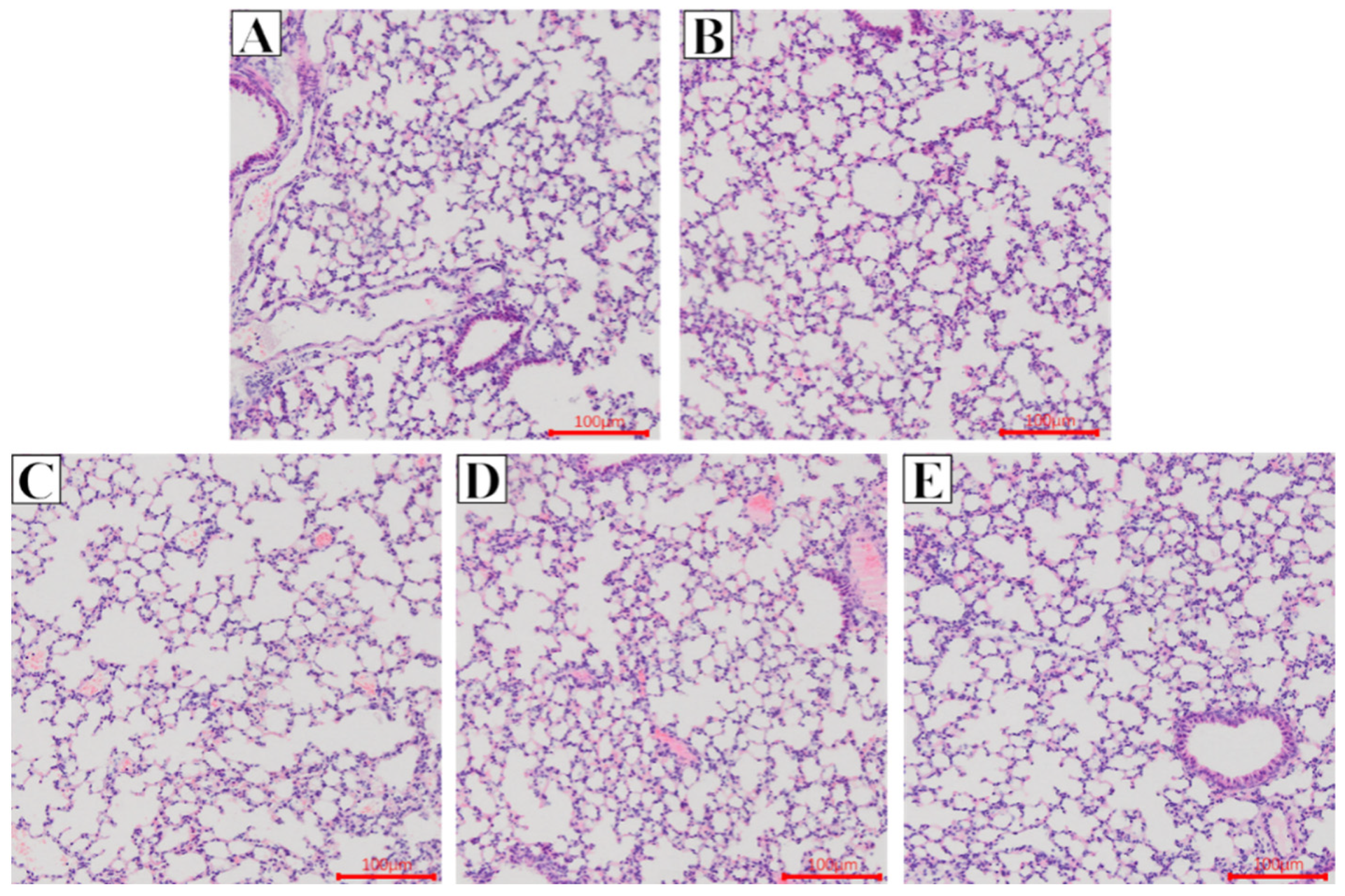
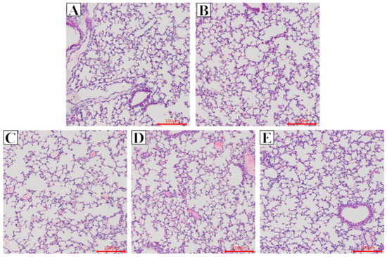
2.2. Effect of Glycine Nano-Selenium on Pathological Changes of Liver and Lung Tissues of Mice Immunized with H9N2 Avian Influenza Virus Vaccine
2.3. Effect of Glycine Nano-Selenium on IgG, IgM, IgA, and Specific IgG Immunoglobulin Concentrations in the Serum of Mice Immunized with H9N2 Avian Influenza Virus Vaccine
2.4. Effect of Glycine Nano-Selenium on mRNA Expressions of Inflammatory Cytokines in Liver, Lungs, and Spleen of Mice Immunized with H9N2 Avian Influenza Virus Vaccine
2.5. Effect of Glycine Nano-Selenium on Weight Gain and Organ Indices of Liver, Spleen, and Lungs of Mice Immunized with H9N2 Avian Influenza Virus Vaccine and Challenged with H9N2 Avian Influenza Virus
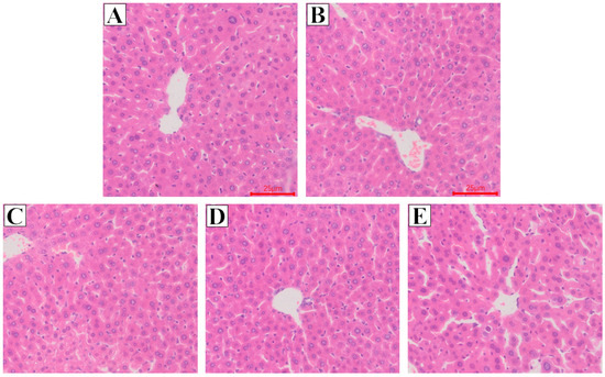
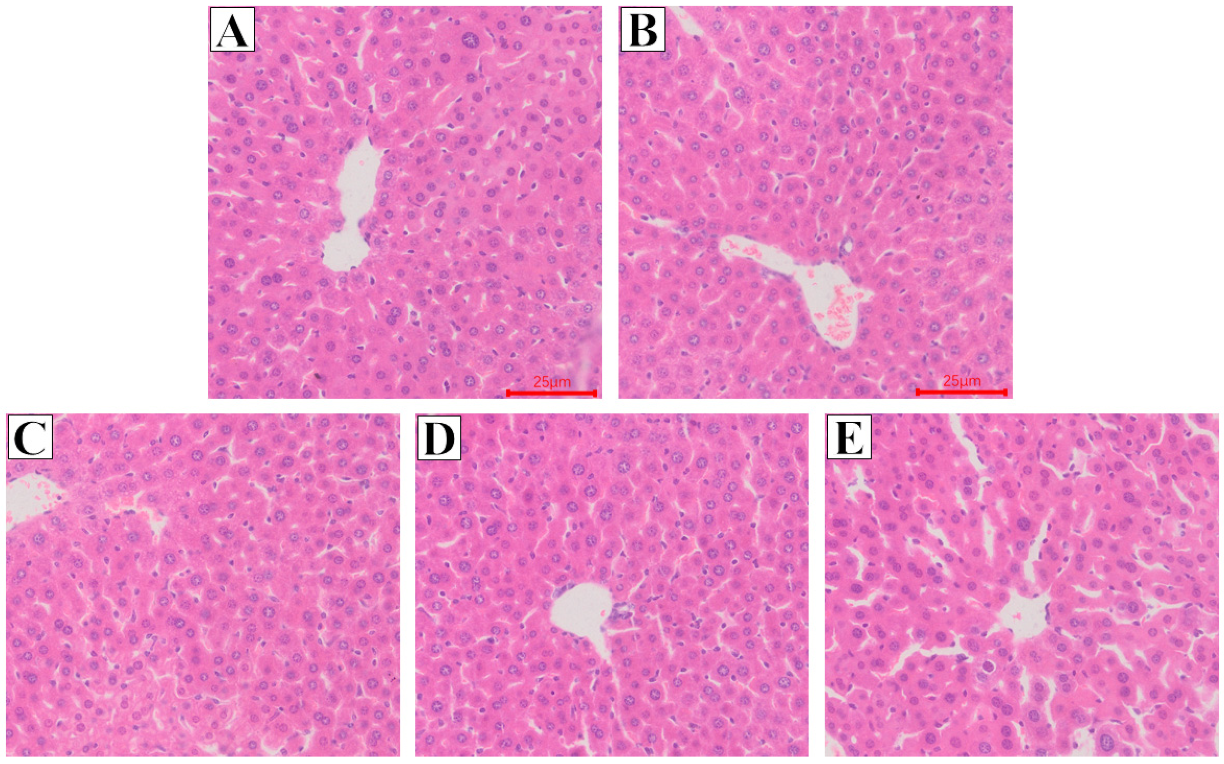
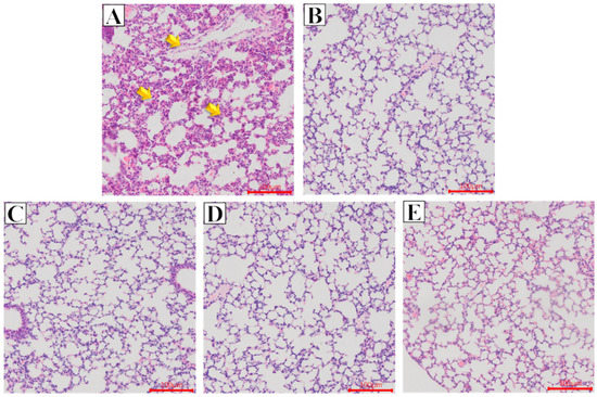
2.6. Effect of Glycine Nano-Selenium on Pathological Changes of Liver and Lung Tissues of Mice Immunized with H9N2 Avian Influenza Virus Vaccine and Challenged with H9N2 Avian Influenza Virus
2.7. Effect of Glycine Nano-Selenium on IgG, IgM, IgA, and Specific IgG Immunoglobulin Concentrations in the Serum of Mice Immunized with H9N2 Avian Influenza Virus Vaccine and Challenged with H9N2 Avian Influenza Virus
2.8. Effect of Glycine Nano-Selenium on mRNA Expressions of Inflammatory Cytokines in Liver, Lungs, and Spleen of Mice Immunized with H9N2 Avian Influenza Virus Vaccine and Challenged with H9N2 Avian Influenza Virus
3. Discussion
4. Materials and Methods
4.1. Experimental Materials
4.2. Recovery of H9N2 Virus and Determination of eid50
Recovery of H9N2 Virus
- (1)
- The positioning of diaphragmatic chamber and egg test chamber: the position of diaphragmatic chamber of chicken embryo was checked at 9–12 days. Chicken embryo (s) which was dead, unfertilized, cracked, underdeveloped, or had many water seepage holes on the surface was discarded. The judging scale used for checking the position of diaphragmatic chamber in the chicken embryo is represented as follows: ① blood vessels: the blood vessels of live embryo are clear, the dead embryo is fuzzy, and there are congestion zones or blood clots; ② fetal movement: the live embryo has obvious natural movement, and the dead embryo has no fetal movement: ③ the development boundary of chorioallantoic membrane.
- (2)
- The blind end of the chicken embryo was placed on the egg plate with the air chamber facing upward; then, the concentration of virus to be inoculated and the number of chicken embryo on the eggshell were recorded.
- (3)
- The chicken embryo was sterilized with 75% alcohol cotton ball, and a hole was drilled with a punch at the end of the air chamber and 0.5 cm above the edge of the chicken embryo’s allantoic membrane on the side of the chicken head.
- (4)
- Using a 1 mL syringe, 100 µL of virus was sucked and injected into the allantoic cavity of chicken embryo from the drill hole to the chicken head.
- (5)
- The pinhole on the eggshell was then completely sealed with wax.
- (6)
- After disinfecting the surface with 75% alcohol, the chicken embryo was removed from the biosafety cabinet and cultured in a 37 °C incubator for 2–3 days. The growth of chicken embryos was observed every day. Chicken embryos that die within 24 h were considered to be non-specific deaths and were discarded.
- (7)
- Chicken embryo harvesting: After culturing, chicken embryos were stored at 4 °C overnight before harvesting.
- (8)
- A sterile10 mL tube labeled with the corresponding chicken embryo number was used for harvesting the embryos. The air chamber end of chicken embryo was also disinfected with 70–75% alcohol.
- (9)
- Using sterile tweezers, the eggshell of chicken embryo air chamber and the allantoic membrane were broken or teared. Then, using a sterile 10 mL pipette, chicken embryo allantoic fluid was sucked and place in the corresponding collection tube. The chicken embryo harvest fluid was then centrifuge at 3000 R/min for 5 min to remove blood and cells. Then, the erythrocyte agglutination test was carried out to determine the virus titer of the collected allantoic fluid. The allantoic fluid was stored in the refrigerator at −80 °C.
4.3. Determination of eid50 of H9N2 Virus
4.4. Experimental Grouping and Treatment
4.5. Challenge Experiments
4.6. Organ Index of Liver, Spleen, and Lung Determination
4.7. Pathological Examination of Liver and Lung
4.8. Enzyme-Linked Immunosorbent Assay for Determination of IgG, IgM, IgA, and Specific IgG Immunoglobulin in Serum of Mice
4.9. Reverse Transcription-Quantitative Polymerase Chain Reaction (RT-qPCR)
4.10. Statistical Analysis
Author Contributions
Funding
Institutional Review Board Statement
Informed Consent Statement
Data Availability Statement
Acknowledgments
Conflicts of Interest
References
- Hong, Y.; Truong, A.D.; Vu, T.H.; Lee, S.; Heo, J.; Kang, S.; Lillehoj, H.S.; Hong, Y.H. Exosomes from H5N1 avian influenza virus-infected chickens regulate antiviral immune responses of chicken immune cells. Dev. Comp. Immunol. 2022, 130, 104368. [Google Scholar] [CrossRef] [PubMed]
- Vu, T.H.; Hong, Y.; Truong, A.D.; Lee, S.; Heo, J.; Lillehoj, H.S.; Hong, Y.H. The highly pathogenic H5N1 avian influenza virus induces the MAPK signaling pathway in the trachea of two Ri chicken lines. Anim. Biosci. 2022, 35, 964–974. [Google Scholar] [CrossRef] [PubMed]
- Wei, Y. Discussion on the prevention and control experience of the first human infection with H7N9 avian influenza in Beipiao. Chin. J. Pract. Rural. Dr. 2019, 26, 40–42. [Google Scholar]
- Pan, Q.; Ni, C.; Sun, B.; Li, L. Epidemiological characteristics and risk factors of human infection with H7N9 avian influenza in Wenzhou from 2014 to 2017. China Public Health Adm. 2020, 36, 210–213. [Google Scholar]
- Wang, X.; Jiang, H.; Wu, P.; Uyeki, T.M.; Feng, L.; Lai, S.; Wang, L.; Huo, X.; Xu, K.; Chen, E.; et al. Epidemiology of avian influenza A H7N9 virus in human beings across five epidemics in mainland China, 2013–2017: An epidemiological study of laboratory-confirmed case series. Lancet Infect. Dis. 2017, 17, 822–832. [Google Scholar] [CrossRef]
- Huang, J.; Sun, D.; Shi, Y.; Cao, S.; Duan, K.; Zhu, C.; Zheng, N. Epidemiological investigation of 4 human cases infected with H7N9 avian influenza in Hanchuan. Chin. Community Physician 2020, 36, 161–162. [Google Scholar]
- Rim, A.; Nacira, L.; Jihene, N.; Said, S.; Khaled, M.; Ahmed, R.; Abdeljelil, G. Viral interference between H9N2-low pathogenic avian influenza virus and avian infectious bronchitis virus vaccine strain H120 in vivo. Comp. Immunol. Microbiol. Infect. Dis. 2019, 65, 219–225. [Google Scholar] [CrossRef]
- Li, H.; Liu, X.; Chen, F.; Zuo, K.; Wu, C.; Yan, Y.; Chen, W.; Lin, W.; Xie, Q. Avian influenza virus subtype H9N2 affects intestinal microbiota, barrier structure injury, and inflammatory intestinal disease in the chicken ileum. Viruses 2018, 10, 270. [Google Scholar] [CrossRef] [Green Version]
- Barberis, A.; Boudaoud, A.; Gorrill, A.; Loupias, J.; Ghram, A.; Lachheb, J.; Alloui, N.; Ducatez, M.F. Full-length genome sequences of the first H9N2 avian influenza viruses isolated in the Northeast of Algeria. Virol. J. 2020, 17, 108. [Google Scholar] [CrossRef]
- Jonas, M.; Sahesti, A.; Murwijati, T.; Lestariningsih, C.L.; Irine, I.; Ayesda, C.S.; Prihartini, W.; Mahardika, G.N. Identification of avian influenza virus subtype H9N2 in chicken farms in Indonesia. Prev. Vet. Med. 2018, 159, 99–105. [Google Scholar] [CrossRef]
- Awuni, J.A.; Bianco, A.; Dogbey, O.J.; Fusaro, A.; Yingar, D.T.; Salviato, A.; Ababio, P.T.; Milani, A.; Bonfante, F.; Monne, I. Avian influenza H9N2 subtype in Ghana: Virus characterization and evidence of co-infection. Avian Pathol. 2019, 48, 470–476. [Google Scholar] [CrossRef] [PubMed]
- Świętoń, E.; Tarasiuk, K.; Olszewska-Tomczyk, M.; Iwan, E.; Śmietanka, K. A turkey-origin H9N2 avian influenza virus shows low pathogenicity but different within-host diversity in experimentally infected turkeys, quail and ducks. Viruses 2020, 12, 319. [Google Scholar] [CrossRef] [PubMed] [Green Version]
- Lin, T.N.; Bunpapong, N.; Boonyapisitsopa, S.; Chaiyawong, S.; Janetanakit, T.; Rain, K.T.; Mon, P.P.; Oo, S.M.; Thontiravong, A.; Amonsin, A. Serological evidence of avian influenza virus subtype H5 and H9 in live bird market, Myanmar. Comp. Immunol. Microbiol. Infect. Dis. 2020, 73, 101562. [Google Scholar] [CrossRef] [PubMed]
- Chen, S.; Wang, A.; Sun, L.; Liu, F.; Wang, M.; Jia, R.; Zhu, D.; Liu, M.; Yang, Q.; Wu, Y.; et al. Immune-related gene expression patterns in GPV- or H9N2-infected goose spleens. Int. J. Mol. Sci. 2016, 17, 1990. [Google Scholar] [CrossRef] [Green Version]
- Osbjer, K.; Berg, M.; Sokerya, S.; Chheng, K.; San, S.; Davun, H.; Magnusson, U.; Olsen, B.; Zohari, S. Influenza A virus in backyard pigs and poultry in rural Cambodia. Transbound. Emerg. Dis. 2017, 64, 1557–1568. [Google Scholar] [CrossRef]
- Lina, L.; Saijuan, C.; Chengyu, W.; Yuefeng, L.; Shishan, D.; Ligong, C.; Kangkang, G.; Zhendong, G.; Jiakai, L.; Jianhui, Z.; et al. Adaptive amino acid substitutions enable transmission of an H9N2 avian influenza virus in guinea pigs. Sci. Rep. 2019, 9, 19734. [Google Scholar] [CrossRef]
- Gultyaev, A.P.; Spronken, M.I.; Funk, M.; Fouchier, R.A.M.; Richard, M. Insertions of codons encoding basic amino acids in H7 hemagglutinins of influenza A viruses occur by recombination with RNA at hotspots near snoRNA binding sites. RNA 2021, 27, 123–132. [Google Scholar] [CrossRef]
- Hensen, L.; Matrosovich, T.; Roth, K.; Klenk, H.D.; Matrosovich, M. HA-dependent tropism of H5N1 and H7N9 influenza viruses to human endothelial cells is determined by reduced stability of the HA, which allows the virus to cope with inefficient Endosomal acidification and constitutively expressed IFITM3. J. Virol. 2019, 4, e01223-19. [Google Scholar] [CrossRef]
- Park, S.J.; Kang, Y.M.; Cho, H.K.; Kim, D.Y.; Kim, S.; Bae, Y.; Kim, J.; Kim, G.; Lee, Y.J.; Kang, H.M. Cross-protective efficacy of inactivated whole influenza vaccines against Korean Y280 and Y439 lineage H9N2 viruses in mice. Vaccine 2021, 39, 6213–6220. [Google Scholar] [CrossRef]
- Poh, Z.W.; Wang, Z.; Kumar, S.R.; Yong, H.Y.; Prabakaran, M. Modification of neutralizing epitopes of hemagglutinin for the development of broadly protective H9N2 vaccine. Vaccine 2020, 38, 1286–1290. [Google Scholar] [CrossRef]
- Zhou, J.; Zhang, C.; Liu, Z.; Liu, Y.; Cai, K.; Shen, T.; Liao, C.; Wang, C. Adjuvant activity of bursal pentapeptide-(III-V) in mice immunized with the H9N2 avian influenza vaccine. Protein Pept. Lett. 2018, 25, 757–766. [Google Scholar] [CrossRef] [PubMed]
- Zhang, C.; Zhou, J.; Liu, Z.; Liu, Y.; Cai, K.; Shen, T.; Liao, C.; Wang, C. Comparison of immunoadjuvant activities of four bursal peptides combined with H9N2 avian influenza virus vaccine. J. Vet. Sci. 2018, 19, 817–826. [Google Scholar] [CrossRef] [PubMed]
- Wodal, W.; Falkner, F.G.; Kerschbaum, A.; Gaiswinkler, C.; Fritz, R.; Kiermayr, S.; Portsmouth, D.; Savidis-Dacho, H.; Coulibaly, S.; Piskernik, C.; et al. A cell culture-derived whole-virus H9N2 vaccine induces high titer antibodies against hemagglutinin and neuraminidase and protects mice from severe lung pathology and weight loss after challenge with a highly virulent H9N2 isolate. Vaccine 2012, 30, 4625–4631. [Google Scholar] [CrossRef]
- Arai, Y.; Elgendy, E.M.; Daidoji, T.; Ibrahim, M.S.; Ono, T.; Sriwilaijaroen, N.; Suzuki, Y.; Nakaya, T.; Matsumoto, K.; Watanabe, Y. H9N2 influenza virus infections in human cells require a balance between neuraminidase sialidase activity and hemagglutinin receptor affinity. J. Virol. 2020, 94, e01210–e01220. [Google Scholar] [CrossRef] [PubMed]
- Sarmah, K.; Borkakoty, B.; Sarma, K.; Hazarika, R.; Das, P.K.; Jakharia, A.; Das, M.; Biswas, D. Genetic variations of the Hemagglutinin gene of Pandemic Influenza A (H1N1) viruses in Assam, India during 2016. 3 Biotech 2018, 8, 408. [Google Scholar] [CrossRef] [PubMed]
- Arafat, N.; Abd El Rahman, S.; Naguib, D.; El-Shafei, R.A.; Abdo, W.; Eladl, A.H. Co-infection of Salmonella enteritidis with H9N2 avian influenza virus in chickens. Avian Pathol. 2020, 49, 496–506. [Google Scholar] [CrossRef] [PubMed]
- Eladl, A.H.; Mosad, S.M.; El-Shafei, R.A.; Saleh, R.M.; Ali, H.S.; Badawy, B.M.; Elshal, M.F. Immunostimulant effect of a mixed herbal extract on infectious bursal disease virus (IBDV) vaccinated chickens in the context of a co-infection model of avian influenza virus H9N2 and IBDV. Comp. Immunol. Microbiol. Infect. Dis. 2020, 72, 101505. [Google Scholar] [CrossRef] [PubMed]
- Song, W.; Qin, K. Human-infecting influenza A (H9N2) virus: A forgotten potential pandemic strain? Zoonoses Public Health 2020, 67, 203–212. [Google Scholar] [CrossRef]
- Sims, L.D.; Tripodi, A.; Swayne, D.E. Spotlight on avian pathology: Can we reduce the pandemic threat of H9N2 avian influenza to human and avian health? Avian Pathol. 2020, 49, 529–531. [Google Scholar] [CrossRef]
- Gu, M.; Xu, L.; Wang, X.; Liu, X. Current situation of H9N2 subtype avian influenza in China. Vet. Res. 2017, 48, 49. [Google Scholar] [CrossRef] [Green Version]
- Song, C.L.; Liao, Z.H.; Shen, Y.; Wang, H.; Lin, W.C.; Li, H.; Chen, W.G.; Xie, Q.M. Assessing the efficacy of a recombinant H9N2 avian influenza virus-inactivated vaccine. Poul. Sci. 2020, 99, 4334–4342. [Google Scholar] [CrossRef] [PubMed]
- Peacock, T.H.P.; James, J.; Sealy, J.E.; Iqbal, M. A Global perspective on H9N2 avian influenza virus. Viruses 2019, 11, 620. [Google Scholar] [CrossRef] [PubMed] [Green Version]
- Yue, D.; Zeng, C.; Okyere, S.K.; Chen, Z.; Hu, Y. Glycine nano-selenium prevents brain oxidative stress and neurobehavioral abnormalities caused by MPTP in rats. J. Trace Elem. Med. Biol. 2021, 64, 126680. [Google Scholar] [CrossRef] [PubMed]
- Wei, J.; Wang, S.; Zeng, M.; Xie, S. Study on immune effect of selenium containing oil adjuvant vaccine of Newcastle disease in broilers. Chin. J. Vet. Med. 2004, 2, 135–137. [Google Scholar]
- Jason, Q.; Jin, X.; Li, X.; Wang, H.; Hu, N.; Hu, Y. Effect of selenium carrageenan on humoral immune response induced by live attenuated hepatitis A vaccine in mice. Lab. Anim. Comp. Med. 2018, 38, 111–116. [Google Scholar]
- Swelum, A.A.; Shafi, M.E.; Albaqami, N.M.; El-Saadony, M.T.; Elsify, A.; Abdo, M.; Taha, A.E.; Abdel-Moneim, A.M.E.; Al-Gabri, N.A. COVID-19 in human, animal, and environment: A review. Front. Vet. Sci. 2020, 7, 78. [Google Scholar] [CrossRef]
- Naguib, M.M.; Verhagen, J.H.; Mostafa, A.; Wille, M.; Li, R.; Graaf, A.; Järhult, J.D.; Ellström, P.; Zohari, S.; Lundkvist, Å.; et al. Global patterns of avian influenza A (H7): Virus evolution and zoonotic threats. FEMS Microbiol. Rev. 2019, 43, 608–621. [Google Scholar] [CrossRef] [Green Version]
- Avery, J.C.; Hoffmann, P.R. Selenium, selenoproteins, and immunity. Nutrients 2018, 10, 1203. [Google Scholar] [CrossRef] [Green Version]
- Cheng, G.; Wang, Y.; Xia, J. Effects of selenium cadmium interaction on immune function and oxidative stress in rats. Hubei Agric. Sci. 2017, 56, 4833–4835. [Google Scholar]
- Raahati, Z.; Bakhshi, B.; Najar-Peerayeh, S. Selenium nanoparticles induce potent protective immune responses against Vibrio cholerae WC vaccine in a mouse model. J. Immunol. Res. 2020, 2020, 8874288. [Google Scholar] [CrossRef]
- Jackson, D.A.; Elsawa, S.F. Factors regulating immunoglobulin production by normal and disease-associated plasma cells. Biomolecules 2015, 5, 20–40. [Google Scholar] [CrossRef] [Green Version]
- Dalia, A.M.; Loh, T.C.; Sazili, A.Q.; Samsudin, A.A. Influence of bacterial organic selenium on blood parameters, immune response, selenium retention and intestinal morphology of broiler chickens. BMC Vet. Res. 2020, 16, 365. [Google Scholar] [CrossRef] [PubMed]
- Linterman, M.A.; Denton, A.E. Selenium saves ferroptotic TFH cells to fortify the germinal center. Nat. Immunol. 2021, 22, 1074–1076. [Google Scholar] [CrossRef] [PubMed]
- Yehia, N.; AbdelSabour, M.A.; Erfan, A.M.; Mohammed Ali, Z.; Soliman, R.A.; Samy, A.; Soliman, M.M.; Abd El-Hack, M.E.; El-Saadony, M.T.; Ahmed, K.A. Selenium nanoparticles enhance the efficacy of homologous vaccine against the highly pathogenic avian influenza H5N1 virus in chickens. Saudi J. Biol. Sci. 2022, 9, 2095–2111. [Google Scholar] [CrossRef] [PubMed]
- Boostani, A.; Sadeghi, A.A.; Mousavi, S.N.; Chamani, M.; Kashan, N. Effects of organic, inorganic, and nano-Se on growth performance, antioxidant capacity, cellular and humoral immune responses in broiler chickens exposed to oxidative stress. Livest. Sci. 2015, 178, 330–336. [Google Scholar] [CrossRef]
- Boostani, A.; Sadeghi, A.A.; Mousavi, S.N.; Chamani, M.; Kashan, N. The effects of organic, inorganic, and nano-selenium on blood attributes in broiler chickens exposed to oxidative stress. Acta Sci. Vet. 2015, 43, 1264. [Google Scholar]
- Guo, Y.; Zhang, M. Effects of organic selenium on growth performance, antioxidant performance and immune function of Mongolian sheep. Anhui Agric. Sci. 2015, 6, 141–143. [Google Scholar]
- Shojadoost, B.; Taha-Abdelaziz, K.; Alkie, T.N.; Bekele-Yitbarek, A.; Barjesteh, N.; Laursen, A.; Smith, T.K.; Shojadoost, J.; Sharif, S. Supplemental dietary selenium enhances immune responses conferred by a vaccine against low pathogenicity avian influenza virus. Vet. Immunol. Immunopathol. 2020, 227, 110089. [Google Scholar] [CrossRef]
- de Freitas, M.R.B.; da Costa, C.M.B.; Pereira, L.M.; do Prado, J.C.; Júnior Sala, M.A.; Abrahão, A.A.C. The treatment with selenium increases placental parasitismin pregnant Wistar rats infected with the Y strain of Trypanosoma cruzi. Immunobiology 2018, 223, 537–543. [Google Scholar] [CrossRef]
- Kong, L.; You, R.; Zhang, D.; Yuan, Q.; Xiang, B.; Liang, J.; Lin, Q.; Ding, C.; Liao, M.; Chen, L. Infectious bronchitis virus infection increases pathogenicity of H9N2 avian influenza virus by inducing severe inflammatory response. Front. Vet. Sci. 2022, 8, 824179. [Google Scholar] [CrossRef]
- Khoso, P.A.; Zhang, Y.; Yin, H.; Teng, X.; Li, S. Selenium deficiency affects immune function by influencing selenoprotein and cytokine expression in chicken spleen. Biol. Trace Elem. Res. 2019, 187, 506–516. [Google Scholar] [CrossRef] [PubMed]
- Hu, Y.; Feng, W.; Chen, H.; Shi, H.; Jiang, L.; Zheng, X.; Liu, X.; Zhang, W.; Ge, Y.; Liu, Y.; et al. Effect of selenium on thyroid autoimmunity and regulatory T cells in patients with Hashimoto’s thyroiditis: A prospective randomized-controlled trial. Clin. Transl. Sci. 2021, 14, 1390–1402. [Google Scholar] [CrossRef] [PubMed]
- Fu, J.; Yang, T.; Wang, W.; Xu, S. Effect of selenium antagonist lead-induced damage on Th1/Th2 imbalance in the peripheral blood lymphocytes of chickens. Ecotoxicol. Environ. Saf. 2019, 175, 74–82. [Google Scholar] [CrossRef] [PubMed]
- Mantovani, A.; Dinarello, C.A.; Molgora, M.; Garlanda, C. Interleukin-1 and related cytokines in the regulation of inflammation and immunity. Immunity 2019, 50, 778–795. [Google Scholar] [CrossRef] [Green Version]
- Yang, F.; Patton, K.; Kasprzyk, T.; Long, B.; Gupta, S.; Zoog, S.J.; Tracy, K.; Vettermann, C. Validation of an IFN-gamma ELISpot assay to measure cellular immune responses against viral antigens in non-human primates. Gene Ther. 2022, 29, 41–54. [Google Scholar] [CrossRef]
- Hirano, T. IL-6 in inflammation, autoimmunity and cancer. Int. Immunol. 2021, 33, 127–148. [Google Scholar] [CrossRef]
- Velazquez-Salinas, L.; Verdugo-Rodriguez, A.; Rodriguez, L.L.; Borca, M.V. The role of interleukin 6 during viral infections. Front. Microbial. 2019, 10, 1057. [Google Scholar] [CrossRef] [Green Version]
- Awadin, W.F.; Eladl, A.H.; El-Shafei, R.A.; El-Adl, M.A.; Ali, H.S. Immunological and pathological effects of vitamin E with Fetomune Plus® on chickens experimentally infected with avian influenza virus H9N2. Vet. Microbial. 2019, 231, 24–32. [Google Scholar] [CrossRef]
- Luan, Y.; Zhao, J.; Yao, H.; Zhao, X.; Fan, R.; Zhao, W.; Zhang, Z.; Xu, S. Selenium deficiency influences the mRNA expression of selenoproteins and cytokines in chicken erythrocytes. Biol. Trace Elem. Res. 2016, 171, 427–436. [Google Scholar] [CrossRef]
- Sun, Z.; Xu, Z.; Wang, D.; Yao, H.; Li, S. Selenium deficiency inhibits differentiation and immune function and imbalances the Th1/Th2 of dendritic cells. Metallomics 2018, 10, 759–767. [Google Scholar] [CrossRef]
- Tian, J.; Zhang, Y.; Zhu, R.; Wu, Y.; Liu, X.; Wang, X. Red elemental selenium (Se0) improves the immunoactivities of EPC cells, crucian carp and zebrafish against spring viraemia of carp virus. J. Fish Biol. 2021, 98, 208–218. [Google Scholar] [CrossRef] [PubMed]
- Huang, J.; Wu, S.; Wu, W.; Liang, Y.; Zhuang, H.; Ye, Z.; Qu, X.; Liao, M.; Jiao, P. The biological characteristics of novel H5N6 highly pathogenic avian influenza virus and its pathogenesis in ducks. Front. Microbiol. 2021, 12, 628545. [Google Scholar] [CrossRef] [PubMed]
- Ren, Z.; Okyere, S.K.; Xie, L.; Wen, J.; Wang, J.; Chen, Z.; Ni, X.; Deng, J.; Hu, Y. Oral administration of Bacillus toyonensis strain SAU-20 improves insulin resistance and ameliorates hepatic steatosis in type 2 diabetic mice. Front. Immunol. 2022, 13, 837237. [Google Scholar] [CrossRef] [PubMed]
- Wang, Z. Study on Molecular Immune Mechanism of Novel Salmonella Vector Delivering HA2 Antigen of H9N2 Subtype Avian Influenza Virus. Master’s Thesis, Jilin Agricultural University, Jilin, China, 2017. [Google Scholar]
- Okyere, S.K.; Wen, J.; Cui, Y.; Xie, L.; Gao, P.; Zhang, M.; Wang, J.; Wang, S.; Ran, Y.; Ren, Z.; et al. Bacillus toyonensis SAU-19 and SAU-20 isolated from Ageratina adenophora alleviates the intestinal structure and integrity damage associated with gut dysbiosis in mice fed high fat diet. Front. Microbiol. 2022, 13, 820236. [Google Scholar] [CrossRef]
- Okyere, S.K.; Xie, L.; Wen, J.; Ran, Y.; Ren, Z.; Deng, J.; Hu, Y. Bacillus toyonensis SAU-19 ameliorates hepatic insulin resistance in high-fat diet/streptozocin-induced diabetic mice. Nutrients 2021, 13, 4512. [Google Scholar] [CrossRef]











| Organ Index | Control | Positive | (Dose of Se (mg/kg)) | ||
|---|---|---|---|---|---|
| 0.25 | 0.50 | 1.00 | |||
| BW | 33.42 ± 2.42 | 32.56 ± 0.55 | 34.90 ± 2.15 | 33.00 ± 1.87 | 34.80 ± 2.36 |
| HI | 5.89 ± 0.27 | 6.25 ± 0.14 | 5.90 ± 0.42 | 6.24 ± 0.18 | 6.21 ± 0.47 |
| SI | 0.58 ± 0.02 | 0.58 ± 0.04 | 0.58 ± 0.06 | 0.60 ± 0.08 | 0.62 ± 0.03 |
| LI | 0.62 ± 0.05 | 0.64 ± 0.01 | 0.62 ± 0.06 | 0.58 ± 0.04 | 0.60 ± 0.04 |
| Immunoglobulin | Control | Positive | (Dose of Se (mg/kg)) | ||
|---|---|---|---|---|---|
| 0.25 | 0.50 | 1.00 | |||
| IgG (mg/mL) | 15.45 ± 1.28 c | 23.02 ± 2.84 b | 24.68 ± 2.33 ab | 27.22 ± 1.62 a | 26.25 ± 1.29 a |
| IgM (µg/mL) | 1945.79 ± 55.91 e | 2073.18 ± 12.01 d | 2124.67 ± 12.67 c | 2386.21 ± 46.96 a | 2213.32 ± 10.28 b |
| IgA (µg/mL) | 153.89 ± 8.79 d | 174.86 ± 2.55 c | 179.04 ± 3.40 c | 212.84 ± 2.96 a | 192.52 ± 3.66 b |
| AIV-H9 IgG (ng/mL) | — | 21.74 ± 2.58 c | 22.76 ± 2.21 bc | 27.67 ± 0.94 a | 24.64 ± 2.03 b |
| Organ Index | Control | Positive | (Dose of Se (mg/kg)) | ||
|---|---|---|---|---|---|
| 0.25 | 0.50 | 1.00 | |||
| BW | 35.58 ± 1.91 | 37.34 ± 2.16 | 38.20 ± 2.40 | 38.12 ± 1.96 | 37.06 ± 1.80 |
| HI | 4.62 ± 0.59 a | 3.98 ± 0.20 b | 3.97 ± 0.38 b | 3.94 ± 0.12 b | 4.07 ± 0.24 b |
| SI | 0.56 ± 0.14 a | 0.36 ± 0.06 b | 0.39 ± 0.06 b | 0.33 ± 0.08 b | 0.37 ± 0.13 b |
| LI | 0.65 ± 0.06 a | 0.48 ± 0.05 c | 0.49 ± 0.07 bc | 0.55 ± 0.02 bc | 0.55 ± 0.01 b |
| Immunoglobulin | Control | Positive | (Dose of Se (mg/kg)) | ||
|---|---|---|---|---|---|
| 0.25 | 0.50 | 1.00 | |||
| IgG (mg/mL) | 20.37 ± 1.30 d | 24.29 ± 0.76 c | 26.21 ± 1.18 b | 29.08 ± 1.49 a | 27.82 ± 0.45 a |
| IgM (µg/mL) | 1956.46 ± 27.15 d | 2140.59 ± 50.01 c | 2190.64 ± 17.22 c | 2441.41 ± 129.69 a | 2313.64 ± 112.67 b |
| IgA (µg/mL) | 165.60 ± 7.64 c | 187.13 ± 8.00 b | 189.27 ± 4.22 b | 225.75 ± 17.18 a | 193.26 ± 4.37 ab |
| AIV-H9 IgG (ng/mL) | 19.49 ± 1.32 e | 23.34 ± 0.24 d | 24.97 ± 0.41 c | 30.36 ± 1.47 a | 26.27 ± 0.23 b |
| Primer | Sequence 5′-3′ | Product Size | |
|---|---|---|---|
| IL-1β | Forward | TCGCAGCAGCACATCAACAAGAG | 97 |
| Reverse | AGGTCCACGGGAAAGACACAGG | ||
| IL-4 | Forward | TACCAGGAGCCATATCCACGGATG | 139 |
| Reverse | TGTGGTGTTCTTCGTTGCTGTGAG | ||
| IL-6 | Forward | ACTTCCAGCCAGTTGCCTTCTTG | 110 |
| Reverse | TGGTCTGTTGTGGGTGGTATCCTC | ||
| IL-10 | Forward | TCCCTGGGTGAGAAGCTGAAGAC | 96 |
| Reverse | CACCTGCTCCACTGCCTTGC | ||
| INF-γ | Forward | GGCTCTGGAGGCTGGAGGAAG | 126 |
| Reverse | TGATAGGCGGTGAGGCTACAAGG | ||
| Actb | Forward | CCTCACTGTCCACCTTCC | 120 |
| Reverse | GGGTGTAAAACGCAGCTC |
Publisher’s Note: MDPI stays neutral with regard to jurisdictional claims in published maps and institutional affiliations. |
© 2022 by the authors. Licensee MDPI, Basel, Switzerland. This article is an open access article distributed under the terms and conditions of the Creative Commons Attribution (CC BY) license (https://creativecommons.org/licenses/by/4.0/).
Share and Cite
Ren, Z.; Okyere, S.K.; Zhang, M.; Zhang, X.; He, H.; Hu, Y. Glycine Nano-Selenium Enhances Immunoglobulin and Cytokine Production in Mice Immunized with H9N2 Avian Influenza Virus Vaccine. Int. J. Mol. Sci. 2022, 23, 7914. https://doi.org/10.3390/ijms23147914
Ren Z, Okyere SK, Zhang M, Zhang X, He H, Hu Y. Glycine Nano-Selenium Enhances Immunoglobulin and Cytokine Production in Mice Immunized with H9N2 Avian Influenza Virus Vaccine. International Journal of Molecular Sciences. 2022; 23(14):7914. https://doi.org/10.3390/ijms23147914
Chicago/Turabian StyleRen, Zhihua, Samuel Kumi Okyere, Ming Zhang, Xin Zhang, Hongxuan He, and Yanchun Hu. 2022. "Glycine Nano-Selenium Enhances Immunoglobulin and Cytokine Production in Mice Immunized with H9N2 Avian Influenza Virus Vaccine" International Journal of Molecular Sciences 23, no. 14: 7914. https://doi.org/10.3390/ijms23147914
APA StyleRen, Z., Okyere, S. K., Zhang, M., Zhang, X., He, H., & Hu, Y. (2022). Glycine Nano-Selenium Enhances Immunoglobulin and Cytokine Production in Mice Immunized with H9N2 Avian Influenza Virus Vaccine. International Journal of Molecular Sciences, 23(14), 7914. https://doi.org/10.3390/ijms23147914

