The Role of the Choroid in Stargardt Disease
Abstract
:1. Introduction
2. Fundus Autofluorescence and Near Infrared Autofluorescence
3. Fluorescein Angiography and Indocyanine Green Angiography
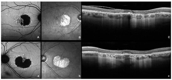
4. Optical Coherence Tomography Angiography and Spectral Domain Optical Coherence Tomography
5. Hyperreflective Foci
6. Choroidal Thickness
7. Choroidal Vascularity Index
8. Conclusions
Author Contributions
Funding
Institutional Review Board Statement
Informed Consent Statement
Data Availability Statement
Conflicts of Interest
References
- Lambertus, S.; van Huet, R.A.C.; Bax, N.M.; Hoefsloot, L.H.; Cremers, F.P.M.; Boon, C.J.F.; Klevering, B.J.; Hoyng, C.B. Early-Onset Stargardt Disease: Phenotypic and Genotypic Characteristics. Ophthalmology 2015, 122, 335–344. [Google Scholar] [CrossRef]
- Cideciyan, A.V.; Aleman, T.S.; Swider, M.; Schwartz, S.B.; Steinberg, J.D.; Brucker, A.J.; Maguire, A.M.; Bennett, J.; Stone, E.M.; Jacobson, S.G. Mutations in ABCA4 Result in Accumulation of Lipofuscin before Slowing of the Retinoid Cycle: A Reappraisal of the Human Disease Sequence. Hum. Mol. Genet. 2004, 13, 525–534. [Google Scholar] [CrossRef]
- Pellegrini, M.; Acquistapace, A.; Oldani, M.; Cereda, M.G.; Giani, A.; Cozzi, M.; Staurenghi, G. Dark Atrophy: An Optical Coherence Tomography Angiography Study. Ophthalmology 2016, 123, 1879–1886. [Google Scholar] [CrossRef]
- Alsberge, J.B.; Agarwal, A. Late-Onset Stargardt Disease. Am. J. Ophthalmol. Case Rep. 2022, 26, 101429. [Google Scholar] [CrossRef] [PubMed]
- Salles, M.V.; Motta, F.L.; Martin, R.; Filippelli-Silva, R.; Dias da Silva, E.; Varela, P.; Costa, K.A.; Chiang, J.P.; Pesquero, J.B.; Sallum, J.-M.F. Variants in the ABCA4 Gene in a Brazilian Population with Stargardt Disease. Mol. Vis. 2018, 24, 546–559. [Google Scholar] [PubMed]
- Ibanez, M.B.; de Guimarães, T.A.C.; Capasso, J.; Bello, N.; Levin, A.V. Stargardt Misdiagnosis: How Ocular Genetics Helps. Am. J. Med. Genet. A 2021, 185, 814–819. [Google Scholar] [CrossRef] [PubMed]
- Ratra, D.; Tan, R.; Jaishankar, D.; Khandelwal, N.; Gupta, A.; Chhablani, J.; Agrawal, R. Choroidal Structural Changes and Vascularity Index in Stargardt Disease on Swept Source Optical Coherence Tomography. Retina Phila. PA 2018, 38, 2395–2400. [Google Scholar] [CrossRef] [PubMed]
- Saint-Geniez, M.; Kurihara, T.; Sekiyama, E.; Maldonado, A.E.; D’Amore, P.A. An Essential Role for RPE-Derived Soluble VEGF in the Maintenance of the Choriocapillaris. Proc. Natl. Acad. Sci. USA 2009, 106, 18751–18756. [Google Scholar] [CrossRef] [PubMed] [Green Version]
- Birnbach, C.D.; Järveläinen, M.; Possin, D.E.; Milam, A.H. Histopathology and Immunocytochemistry of the Neurosensory Retina in Fundus Flavimaculatus. Ophthalmology 1994, 101, 1211–1219. [Google Scholar] [CrossRef]
- Lopez, P.F.; Maumenee, I.H.; de la Cruz, Z.; Green, W.R. Autosomal-Dominant Fundus Flavimaculatus. Clinicopathologic Correlation. Ophthalmology 1990, 97, 798–809. [Google Scholar] [CrossRef]
- Mucciolo, D.P.; Giorgio, D.; Lippera, M.; Dattilo, V.; Passerini, I.; Pelo, E.; Sodi, A.; Virgili, G.; Giansanti, F.; Murro, V. Choroidal Caverns in Stargardt Disease. Investig. Ophthalmol. Vis. Sci. 2022, 63, 25. [Google Scholar] [CrossRef] [PubMed]
- Jauregui, R.; Cho, A.; Lee, W.; Zernant, J.; Allikmets, R.; Sparrow, J.R.; Tsang, S.H. Progressive Choriocapillaris Impairment in ABCA4 Maculopathy Is Secondary to Retinal Pigment Epithelium Atrophy. Investig. Ophthalmol. Vis. Sci. 2020, 61, 13. [Google Scholar] [CrossRef] [PubMed] [Green Version]
- Schwoerer, J.; Secrétan, M.; Zografos, L.; Piguet, B. Indocyanine Green Angiography in Fundus Flavimaculatus. Ophthalmologica 2000, 214, 240–245. [Google Scholar] [CrossRef]
- Giani, A.; Pellegrini, M.; Carini, E.; Peroglio Deiro, A.; Bottoni, F.; Staurenghi, G. The Dark Atrophy with Indocyanine Green Angiography in Stargardt Disease. Investig. Ophthalmol. Vis. Sci. 2012, 53, 3999–4004. [Google Scholar] [CrossRef]
- De Carlo, T.E.; Adhi, M.; Salz, D.A.; Joseph, T.; Waheed, N.K.; Seddon, J.M.; Duker, J.S.; Reichel, E. Analysis of Choroidal and Retinal Vasculature in Inherited Retinal Degenerations Using Optical Coherence Tomography Angiography. Ophthalmic Surg. Lasers Imaging Retina 2016, 47, 120–127. [Google Scholar] [CrossRef]
- Mastropasqua, R.; Toto, L.; Borrelli, E.; Di Antonio, L.; Mattei, P.A.; Senatore, A.; Di Nicola, M.; Mariotti, C. Optical Coherence Tomography Angiography Findings in Stargardt Disease. PLoS ONE 2017, 12, e0170343. [Google Scholar] [CrossRef]
- Battaglia Parodi, M.; Cicinelli, M.V.; Rabiolo, A.; Pierro, L.; Bolognesi, G.; Bandello, F. Vascular Abnormalities in Patients with Stargardt Disease Assessed with Optical Coherence Tomography Angiography. Br. J. Ophthalmol. 2017, 101, 780–785. [Google Scholar] [CrossRef] [PubMed]
- Müller, P.L.; Pfau, M.; Möller, P.T.; Nadal, J.; Schmid, M.; Lindner, M.; de Sisternes, L.; Stöhr, H.; Weber, B.H.F.; Neuhaus, C.; et al. Choroidal Flow Signal in Late-Onset Stargardt Disease and Age-Related Macular Degeneration: An OCT-Angiography Study. Investig. Ophthalmol. Vis. Sci. 2018, 59, AMD122–AMD131. [Google Scholar] [CrossRef] [PubMed] [Green Version]
- Alabduljalil, T.; Patel, R.C.; Alqahtani, A.A.; Gao, S.S.; Gale, M.J.; Zhang, M.; Jia, Y.; Huang, D.; Chiang, P.-W.; Chen, R.; et al. Correlation of Outer Retinal Degeneration and Choriocapillaris Loss in Stargardt Disease Using En Face Optical Coherence Tomography and Optical Coherence Tomography Angiography. Am. J. Ophthalmol. 2019, 202, 79–90. [Google Scholar] [CrossRef] [PubMed]
- Strauss, R.W.; Kong, X.; Bittencourt, M.G.; Ho, A.; Jha, A.; Schönbach, E.M.; Ahmed, M.I.; Muñoz, B.; Ervin, A.-M.; Michaelides, M.; et al. Scotopic Microperimetric Assessment of Rod Function in Stargardt Disease (SMART) Study: Design and Baseline Characteristics (Report No. 1). Ophthalmic Res. 2019, 61, 36–43. [Google Scholar] [CrossRef]
- Midena, E.; Torresin, T.; Velotta, E.; Pilotto, E.; Parrozzani, R.; Frizziero, L. OCT Hyperreflective Retinal Foci in Diabetic Retinopathy: A Semi-Automatic Detection Comparative Study. Front. Immunol. 2021, 12, 613051. [Google Scholar] [CrossRef] [PubMed]
- Nassisi, M.; Fan, W.; Shi, Y.; Lei, J.; Borrelli, E.; Ip, M.; Sadda, S.R. Quantity of Intraretinal Hyperreflective Foci in Patients with Intermediate Age-Related Macular Degeneration Correlates With 1-Year Progression. Investig. Ophthalmol. Vis. Sci. 2018, 59, 3431–3439. [Google Scholar] [CrossRef] [Green Version]
- Mo, B.; Zhou, H.-Y.; Jiao, X.; Zhang, F. Evaluation of Hyperreflective Foci as a Prognostic Factor of Visual Outcome in Retinal Vein Occlusion. Int. J. Ophthalmol. 2017, 10, 605–612. [Google Scholar] [CrossRef]
- Okuwobi, I.P.; Fan, W.; Yu, C.; Yuan, S.; Liu, Q.; Zhang, Y.; Loza, B.; Chen, Q. Automated Segmentation of Hyperreflective Foci in Spectral Domain Optical Coherence Tomography with Diabetic Retinopathy. J. Med. Imaging Bellingham Wash 2018, 5, 014002. [Google Scholar] [CrossRef] [PubMed]
- Abri Aghdam, K.; Pielen, A.; Framme, C.; Junker, B. Correlation Between Hyperreflective Foci and Clinical Outcomes in Neovascular Age-Related Macular Degeneration After Switching to Aflibercept. Investig. Ophthalmol. Vis. Sci. 2015, 56, 6448–6455. [Google Scholar] [CrossRef] [PubMed] [Green Version]
- Piri, N.; Nesmith, B.L.W.; Schaal, S. Choroidal Hyperreflective Foci in Stargardt Disease Shown by Spectral-Domain Optical Coherence Tomography Imaging: Correlation with Disease Severity. JAMA Ophthalmol. 2015, 133, 398–405. [Google Scholar] [CrossRef] [PubMed] [Green Version]
- Hanumunthadu, D.; Rasheed, M.A.; Goud, A.; Gupta, A.; Vupparaboina, K.K.; Chhablani, J. Choroidal Hyper-Reflective Foci and Vascularity in Retinal Dystrophy. Indian J. Ophthalmol. 2020, 68, 130–133. [Google Scholar] [CrossRef] [PubMed]
- Adhi, M.; Read, S.P.; Ferrara, D.; Weber, M.; Duker, J.S.; Waheed, N.K. Morphology and Vascular Layers of the Choroid in Stargardt Disease Analyzed Using Spectral-Domain Optical Coherence Tomography. Am. J. Ophthalmol. 2015, 160, 1276–1284.e1. [Google Scholar] [CrossRef]
- Vural, E.; Sobaci, G.; Sevinc, K.; Erdurmus, M.; Acar, U.; Aykas, S. Choroidal Thickness in Patients with Stargardt’s Disease. Investig. Ophthalmol. Vis. Sci. 2015, 56, 3824. [Google Scholar]
- Ratra, D.; Jaishankar, D.; Sachidanandam, R.; Yusufali, H.; Ratra, V. Swept-Source Optical Coherence Tomography Study of Choroidal Morphology in Stargardt Disease. Oman J. Ophthalmol. 2018, 11, 150–157. [Google Scholar] [CrossRef] [PubMed]
- Sodi, A.; Lenzetti, C.; Murro, V.; Caporossi, O.; Mucciolo, D.P.; Bacherini, D.; Cipollini, F.; Passerini, I.; Virgili, G.; Rizzo, S. EDI-OCT Evaluation of Choroidal Thickness in Retinitis Pigmentosa. Eur. J. Ophthalmol. 2018, 28, 52–57. [Google Scholar] [CrossRef] [PubMed]
- Chhablani, J.; Jonnadula, G.B.; Srinivasa Rao, P.; Venkata, A.; Jalali, S. Choroidal Thickness Profile in Retinitis Pigmentosa–Correlation with Outer Retinal Structures. Saudi J. Ophthalmol. 2016, 30, 9–13. [Google Scholar] [CrossRef] [Green Version]
- Sabbaghi, H.; Ahmadieh, H.; Jalili, J.; Behnaz, N.; Fakhri, M.; Suri, F.; Kheiri, B.; Rajabpour, M.; Entezari, M.; Daftarian, N. Choroidal Thickness in Different Types of Inherited Retinal Dystrophies. J. Ophthalmic Vis. Res. 2020, 15, 351–361. [Google Scholar] [CrossRef] [PubMed]
- Ayton, L.N.; Guymer, R.H.; Luu, C.D. Choroidal Thickness Profiles in Retinitis Pigmentosa. Clin. Experiment. Ophthalmol. 2013, 41, 396–403. [Google Scholar] [CrossRef] [PubMed]
- Yeoh, J.; Rahman, W.; Chen, F.; Hooper, C.; Patel, P.; Tufail, A.; Webster, A.R.; Moore, A.T.; Dacruz, L. Choroidal Imaging in Inherited Retinal Disease Using the Technique of Enhanced Depth Imaging Optical Coherence Tomography. Graefes Arch. Clin. Exp. Ophthalmol. 2010, 248, 1719–1728. [Google Scholar] [CrossRef]
- Dhoot, D.S.; Huo, S.; Yuan, A.; Xu, D.; Srivistava, S.; Ehlers, J.P.; Traboulsi, E.; Kaiser, P.K. Evaluation of Choroidal Thickness in Retinitis Pigmentosa Using Enhanced Depth Imaging Optical Coherence Tomography. Br. J. Ophthalmol. 2013, 97, 66–69. [Google Scholar] [CrossRef]
- Ayyildiz, O.; Ozge, G.; Kucukevcilioglu, M.; Ozgonul, C.; Mumcuoglu, T.; Durukan, A.H.; Mutlu, F.M. Is There a Relationship between Outer Retinal Destruction and Choroidal Changes in Cone Dystrophy? Arq. Bras. Oftalmol. 2016, 79, 315–318. [Google Scholar] [CrossRef] [PubMed] [Green Version]
- Manjunath, V.; Taha, M.; Fujimoto, J.G.; Duker, J.S. Choroidal Thickness in Normal Eyes Measured Using Cirrus HD Optical Coherence Tomography. Am. J. Ophthalmol. 2010, 150, 325–329.e1. [Google Scholar] [CrossRef] [PubMed] [Green Version]
- Adhi, M.; Regatieri, C.V.; Branchini, L.A.; Zhang, J.Y.; Alwassia, A.A.; Duker, J.S. Analysis of the Morphology and Vascular Layers of the Choroid in Retinitis Pigmentosa Using Spectral-Domain OCT. Ophthalmic Surg. Lasers Imaging Retina 2013, 44, 252–259. [Google Scholar] [CrossRef] [PubMed]
- Müller, P.L.; Fimmers, R.; Gliem, M.; Holz, F.G.; Charbel Issa, P. Choroidal Alterations in ABCA4-Related Retinopathy. Retina Phila. PA 2017, 37, 359–367. [Google Scholar] [CrossRef] [PubMed]
- Nunes, R.P.; Rosa, P.R.; Giani, A.; Goldhardt, R.; Thomas, B.; Garcia Filho, C.A.; Gregori, G.; Feuer, W.; Lam, B.L.; Staurenghi, G.; et al. Choroidal Thickness in Eyes With Central Geographic Atrophy Secondary to Stargardt Disease and Age-Related Macular Degeneration. Ophthalmic Surg. Lasers Imaging Retina 2015, 46, 814–822. [Google Scholar] [CrossRef] [PubMed]
- Agrawal, R.; Gupta, P.; Tan, K.-A.; Cheung, C.M.G.; Wong, T.-Y.; Cheng, C.-Y. Choroidal Vascularity Index as a Measure of Vascular Status of the Choroid: Measurements in Healthy Eyes from a Population-Based Study. Sci. Rep. 2016, 6, 21090. [Google Scholar] [CrossRef] [PubMed]
- Wei, X.; Mishra, C.; Kannan, N.B.; Holder, G.E.; Khandelwal, N.; Kim, R.; Agrawal, R. Choroidal Structural Analysis and Vascularity Index in Retinal Dystrophies. Acta Ophthalmol. 2019, 97, e116–e121. [Google Scholar] [CrossRef] [PubMed] [Green Version]


| Study | Study Design | Number of Patients (Number of Eyes) with Stargardt Disease/Controls | CT Alterations | CVI Alterations | Correlations between CT and BCVA |
|---|---|---|---|---|---|
| Yeoh et al., 2010 [35] | Prospective observational case series | Cases: 5 | 2 pts: no 3 pts: choroid thinning | - | No association between choroidal thinning and visual acuity |
| Sabbaghi et al., 2020 [33] | Comparative study | Cases: 38 (76) Controls: 56 (109) | No differences in mean total and SFCT | - | Inverse correlation of SFCT with BCVA |
| Ratra, Tan et al., 2018 [7] | Retrospective cohort study | Cases: 39 Controls: 25 | No differences in SFCT | Decreased CVI in patients with Stargardt disease | Negative association between visual acuity and CVI Positive association between visual acuity and SFCT |
| Chhabblani et al., 2015 [32] | Retrospective study | Cases: 9 (18) | No choroidal thinning | - | No significant correlation between subfoveal CT and BCVA |
| Adhi et al., 2015 [28] | Cross-sectional retrospective review | Cases: 28 (53) Controls: 30 (30) | No differences in mean total and SFCT | - | No correlation between CT and BCVA |
| Ratra, Jaishankar et al., 2018 [30] | Case-control study | Cases: 26 (52) Controls: 26 (52) | Total CT decreased in cases | - | No correlation between CT and BCVA BCVA worsened with increasing lesion size and wider extent of flecks |
Publisher’s Note: MDPI stays neutral with regard to jurisdictional claims in published maps and institutional affiliations. |
© 2022 by the authors. Licensee MDPI, Basel, Switzerland. This article is an open access article distributed under the terms and conditions of the Creative Commons Attribution (CC BY) license (https://creativecommons.org/licenses/by/4.0/).
Share and Cite
Abdolrahimzadeh, S.; Formisano, M.; Di Pippo, M.; Lodesani, M.; Lotery, A.J. The Role of the Choroid in Stargardt Disease. Int. J. Mol. Sci. 2022, 23, 7607. https://doi.org/10.3390/ijms23147607
Abdolrahimzadeh S, Formisano M, Di Pippo M, Lodesani M, Lotery AJ. The Role of the Choroid in Stargardt Disease. International Journal of Molecular Sciences. 2022; 23(14):7607. https://doi.org/10.3390/ijms23147607
Chicago/Turabian StyleAbdolrahimzadeh, Solmaz, Martina Formisano, Mariachiara Di Pippo, Manuel Lodesani, and Andrew John Lotery. 2022. "The Role of the Choroid in Stargardt Disease" International Journal of Molecular Sciences 23, no. 14: 7607. https://doi.org/10.3390/ijms23147607
APA StyleAbdolrahimzadeh, S., Formisano, M., Di Pippo, M., Lodesani, M., & Lotery, A. J. (2022). The Role of the Choroid in Stargardt Disease. International Journal of Molecular Sciences, 23(14), 7607. https://doi.org/10.3390/ijms23147607

