New Succinimides with Potent Anticancer Activity: Synthesis, Activation of Stress Signaling Pathways and Characterization of Apoptosis in Leukemia and Cervical Cancer Cells
Abstract
1. Introduction
2. Results
2.1. Synthesis
2.2. MTT Cytotoxicity Studies
2.3. Activation of Apoptosis and Expression Profile of Apoptotic Genes
2.4. Effect of Dicarboximides on MAP Kinase Signaling Pathways
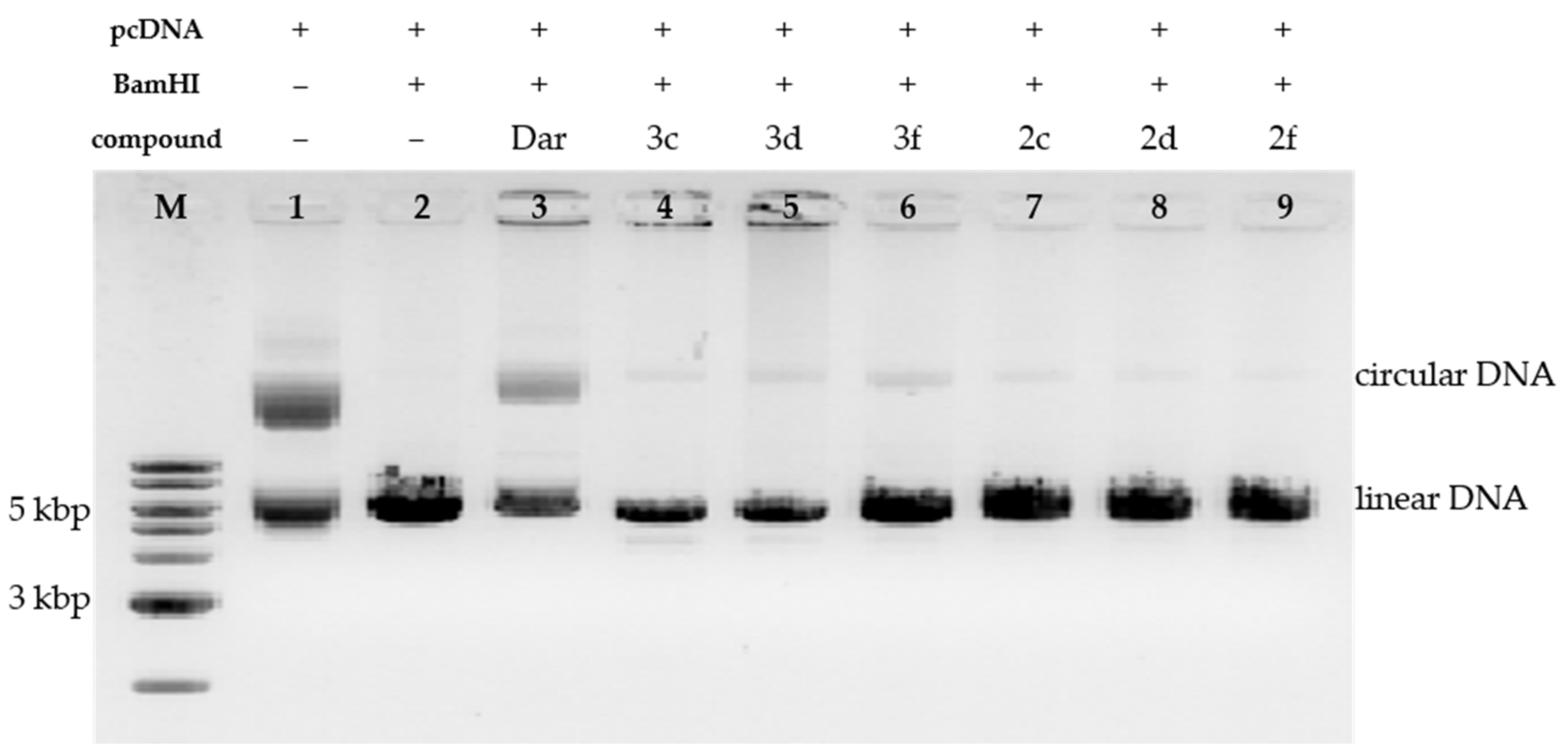
2.5. Interaction with DNA
3. Discussion
4. Materials and Methods
4.1. Chemistry
4.1.1. Synthesis of Imides 1–5 and 1h
4.1.2. Synthesis of 1,7-Dimethyl-8,9-diphenyl-4-azatricyclo[5.2.1.02,6]dec-8-ene-3,5,10-trione (1)
4.1.3. Synthesis of 1,7-Diethyl-8,9-tetraphenyl-4-azatricyclo[5.2.1.02,6]dec-8-ene-3,5,10-trione (2)
4.1.4. Synthesis of 1,7,8,9-Tetraphenyl-4-azatricyclo[5.2.1.02,6]dec-8-ene-3,5-dione (3)
4.1.5. Synthesis of N-Hydroxyethylimides 4 and 5
- - 2,5-dimethyl-3,4-diphenylcyclopenta-2,4-dien-1-one (0.02 mol) for compound 4
- - 1,2,3,4-tetraphenylcyclopenta-1,3-diene (0.02 mol) for compound 5 and N-hydroxymaleimide (0.022 mol) was heated for 6 h in 20 mL of benzene. When the reaction was completed, the solvent was evaporated under reduced pressure, and the solid residue was crystallized from benzene.
4.1.6. Synthesis of 4-(2-Chloroethyl)-1,7-dimethyl-8,9-diphenyl-4-azatricyclo[5.2.1.02,6]dec-8-ene-3,5,10-trione (1h)
4.1.7. General Conditions of Synthesis of New N-Alkylamino Derivatives of 1,7-Dimethyl-8,9-diphenyl-4-azatricyclo[5.2.1.02,6]dec-8-ene-3,5,10-trione (1i–1j)
4.1.8. General Conditions of the Synthesis of New Alkanoloamine Derivatives of Dicarboximides (1b–1g, 2b–2g, 3b–3g)
- 1: 1,7-dimethyl-8,9-diphenyl-4-azatricyclo[5.2.1.02,6]dec-8-ene-3,5,10-trione
- 2: 1,7-diethyl-8,9-diphenyl-4-azatricyclo[5.2.1.02,6]dec-8-ene-3,5,10-trione
- 3: 1,7,8,9-tetraphenyl-4-azatricyclo[5.2.1.02,6]dec-8-ene-3,5-dione
4.1.9. Preparation of Acetate Salt of Derivatives Ic, Ie, II
4.1.10. Determination of Lipophilicity by Reversed-Phase Chromatography
4.2. Anticancer Activity
4.2.1. Cells and Cytotoxicity Assay
4.2.2. Analysis of Cell Apoptosis by Caspase-3/7 Activity Assay
4.2.3. Gene Expression Analysis with DNA Microarray
4.2.4. MAPKs Immunoblotting
4.2.5. Digestion of Plasmid DNA with BamHI Restriction Nuclease
Supplementary Materials
Author Contributions
Funding
Institutional Review Board Statement
Informed Consent Statement
Data Availability Statement
Acknowledgments
Conflicts of Interest
References
- Didkowska, J.; Wojciechowska, U.; Zatoński, W. Prediction of Cancer Incidence and Mortality in Poland Up to the Year 2025. Warszawa 2009, ISSN 0867-8251. Available online: http://onkologia.org.pl/wp-content/uploads/Prognozy_2025.pdf (accessed on 20 April 2021).
- Bray, F.; Ferlay, J.; Soerjomataram, I.; Siegel, R.L.; Torre, L.A.; Jemal, A. Global cancer statistics 2018: GLOBOCAN estimates of incidence and mortality worldwide for 36 cancers in 185 countries. CA Cancer J. Clin. 2018, 68, 394–424. [Google Scholar] [CrossRef] [PubMed]
- Hall, I.H.; Wong, O.T.; Scovill, J.P. The cytotoxicity of N-pyridinyl and N-quinolinyl substituted derivatives of phthalimide and succinimide. Biomed. Pharmacother. 1995, 49, 251–258. [Google Scholar] [CrossRef]
- Luzina, E.L.; Popov, A.V. Synthesis and anticancer activity evaluation of 3,4-mono- and bicyclosubstituted N-(het)aryl trifluoromethyl succinimides. J. Fluor. Chem. 2014, 168, 121–127. [Google Scholar] [CrossRef] [PubMed]
- Lee, J.-Y.; Chung, T.-W.; Choi, H.-J.; Lee, C.H.; Eun, J.S.; Han, Y.T.; Choi, J.-Y.; Kim, S.-Y.; Han, C.-W.; Jeong, H.-S.; et al. A novel cantharidin analog N-Benzylcantharidinamide reduces the expression of MMP-9 and invasive potentials of Hep3B via inhibiting cytosolic translocation of HuR. Biochem. Biophys. Res. Commun. 2014, 447, 371–377. [Google Scholar] [CrossRef]
- Kok, S.H.L.; Gambari, R.; Chui, C.H.; Yuen, M.C.W.; Lin, E.; Wong, R.S.M.; Lau, F.Y.; Cheng, G.Y.M.; Lam, W.S.; Chan, A.S.C. Synthesis and anti-cancer activity of benzothiazole containing phthalimide on human carcinoma cell lines. Bioorg. Med. Chem. 2008, 16, 3626–3631. [Google Scholar] [CrossRef]
- Cardoso, M.V.D.O.; Moreira, D.R.M.; Filho, G.B.O.; Cavalcanti, S.M.T.; Coelho, L.C.D.; Espíndola, J.W.P.; Gonzalez, L.R.; Rabello, M.M.; Hernandes, M.Z.; Ferreira, P.M.P.; et al. Design, synthesis and structure–activity relationship of phthalimides endowed with dual antiproliferative and immunomodulatory activities. Eur. J. Med. Chem. 2015, 96, 491–503. [Google Scholar] [CrossRef]
- Millrine, D.; Kishimoto, T. A Brighter Side to Thalidomide: Its Potential Use in Immunological Disorders. Trends Mol. Med. 2017, 23, 348–361. [Google Scholar] [CrossRef]
- Kuran, B.; Napiórkowska, M.; Kossakowski, J.; Cieślak, M.; Kaźmierczak-Barańska, J.; Królewska, K.; Nawrot, B. New, Substituted Derivatives of Dicarboximides and their Cytotoxic Properties. Anti-Cancer Agents Med. Chem. 2016, 16, 852–864. [Google Scholar] [CrossRef]
- Kuran, B.; Krawiecka, M.; Kossakowski, J.; Cieslak, M.; Kazmierczak-Baranska, J.; Królewska, K.; Nawrot, B. Dicarboximides Derivatives for Use in the Treatment of Cancer. European Patent Application EP13176421, 13 July 2013. [Google Scholar]
- Cieślak, M.; Kaźmierczak-Barańska, J.; Królewska-Golińska, K.; Napiórkowska, M.; Stukan, I.; Wojda, U.; Nawrot, B. New Thalidomide-Resembling Dicarboximides Target ABC50 Protein and Show Antileukemic and Immunomodulatory Activities. Biomolecules 2019, 9, 446. [Google Scholar] [CrossRef]
- Budzisz, E.; Krajewska, U.; Rozalski, M.; Szulawska, A.; Czyz, M.; Nawrot, B. Biological evaluation of novel Pt(II) and Pd(II) complexes with pyrazole-containing ligands. Eur. J. Pharmacol. 2004, 502, 59–65. [Google Scholar] [CrossRef]
- Xu, G.; He, Q.; Yang, B.; Hu, Y. Synthesis and Antitumor Activity of Novel 4-Chloro-3-Arylmaleimide Derivatives. Lett. Drug Des. Discov. 2009, 6, 51–55. [Google Scholar] [CrossRef]
- Hsiang, Y.H.; Jiang, J.B.; Liu, L.F. Topoisomerase II-mediated DNA cleavage by amonafide and its structural analogs. Mol. Pharmacol. 1989, 36, 2550774. [Google Scholar]
- Lipinski, C.A.; Lombardo, F.; Dominy, B.W.; Feeney, P.J. Experimental and computational approaches to estimate solubility and permeability in drug discovery and development settings. Adv. Drug Deliv. Rev. 2001, 46. [Google Scholar] [CrossRef]
- Leeson, P.D.; Springthorpe, B. The influence of drug-like concepts on decision-making in medicinal chemistry. Nat. Rev. Drug Discov. 2007, 6, 881–890. [Google Scholar] [CrossRef]
- Jan, R.; Chaudhry, G.-E.-S. Understanding Apoptosis and Apoptotic Pathways Targeted Cancer Therapeutics. Adv. Pharm. Bull. 2019, 9, 205–218. [Google Scholar] [CrossRef]
- Manns, J.; Daubrawa, M.; Driessen, S.; Paasch, F.; Hoffmann, N.; Löffler, A.; Lauber, K.; Dieterle, A.; Alers, S.; Iftner, T.; et al. Triggering of a novel intrinsic apoptosis pathway by the kinase inhibitor staurosporine: Activation of caspase-9 in the absence of Apaf. FASEB J. 2011, 25, 3250–3261. [Google Scholar] [CrossRef]
- Kelley, S.K.; Ashkenazi, A. Targeting death receptors in cancer with Apo2L/TRAIL. Curr. Opin. Pharmacol. 2004, 4, 333–339. [Google Scholar] [CrossRef]
- Su, L.; Liu, G.; Hao, X.; Zhong, N.; Zhong, D.; Liu, X.; Singhal, S. Death Receptor 5 and cellular FLICE-inhibitory protein regulate pemetrexed-induced apoptosis in human lung cancer cells. Eur. J. Cancer 2011, 47, 2471–2478. [Google Scholar] [CrossRef]
- Amin, P.; Florez, M.; Najafov, A.; Pan, H.; Geng, J.; Ofengeim, D.; Dziedzic, S.A.; Wang, H.; Barrett, V.J.; Ito, Y.; et al. Regulation of a distinct activated RIPK1 intermediate bridging complex I and complex II in TNFα-mediated apoptosis. Proc. Natl. Acad. Sci. USA 2018, 115, E5944–E5953. [Google Scholar] [CrossRef]
- Petrie, E.J.; Czabotar, P.E.; Murphy, J.M. The Structural Basis of Necroptotic Cell Death Signaling. Trends Biochem. Sci. 2019, 44, 53–63. [Google Scholar] [CrossRef]
- Westphal, D.; Dewson, G.; Czabotar, P.E.; Kluck, R.M. Molecular biology of Bax and Bak activation and action. Biochim. Biophys. Acta (BBA) Mol. Cell Res. 2011, 1813, 521–531. [Google Scholar] [CrossRef]
- Han, J.-W.; Flemington, C.; Houghton, A.B.; Gu, Z.; Zambetti, G.P.; Lutz, R.J.; Zhu, L.; Chittenden, T. Expression of bbc3, a pro-apoptotic BH3-only gene, is regulated by diverse cell death and survival signals. Proc. Natl. Acad. Sci. USA 2001, 98, 11318–11323. [Google Scholar] [CrossRef]
- Li, Z.-W.; Chu, W.; Hu, Y.; Delhase, M.; Deerinck, T.J.; Ellisman, M.H.; Johnson, R.S.; Karin, M. The IKKβ Subunit of IκB Kinase (IKK) is Essential for Nuclear Factor κB Activation and Prevention of Apoptosis. J. Exp. Med. 1999, 189, 1839–1845. [Google Scholar] [CrossRef]
- Makris, C.; Godfrey, V.L.; Krähn-Senftleben, G.; Takahashi, T.; Roberts, J.L.; Schwarz, T.; Feng, L.; Johnson, R.S.; Karin, M. Female Mice Heterozygous for IKKγ/NEMO Deficiencies Develop a Dermatopathy Similar to the Human X-Linked Disorder Incontinentia Pigmenti. Mol. Cell 2000, 5, 969–979. [Google Scholar] [CrossRef]
- Meloche, S.; Pouysségur, J. The ERK1/2 mitogen-activated protein kinase pathway as a master regulator of the G1- to S-phase transition. Oncogene 2007, 26, 3227–3239. [Google Scholar] [CrossRef]
- Dhanasekaran, D.N.; Reddy, E.P. JNK signaling in apoptosis. Oncogene 2008, 27, 6245–6251. [Google Scholar] [CrossRef]
- Thornton, T.M.; Rincon, M. Non-Classical P38 Map Kinase Functions: Cell Cycle Checkpoints and Survival. Int. J. Biol. Sci. 2009, 5, 44–52. [Google Scholar] [CrossRef]
- Cuenda, A.; Rousseau, S. p38 MAP-Kinases pathway regulation, function and role in human diseases. Biochim. Biophys. Acta (BBA) Mol. Cell Res. 2007, 1773, 1358–1375. [Google Scholar] [CrossRef]
- Eckert, F.; Klamt, A. Accurate prediction of basicity in aqueous solution with COSMO-RS. J. Comput. Chem. 2005, 27, 11–19. [Google Scholar] [CrossRef]
- Kuran, B.; Krawiecka, M.; Kossakowski, J.; Koronkiewicz, M.; Chilmonczyk, Z. Proapoptotic activity of heterocyclic compounds containing succinimide moiety in the promyelocytic leukemia cell line HL-60. Acta Pol. Pharm. Drug Res. 2013, 70, 459–468. [Google Scholar]
- Snyder, L.R.; Dolan, J.W.; Gant, J.R. Gradient Elution in High performance Liquid Chromatography: II. Practical Application to Reversed-phase Systems. J. Chromatogr. A 1979, 165, 31–58. [Google Scholar] [CrossRef]






| Imide Group | Compound | clogP (Calculated) | Median clogP | logkw (Experimental) | Median logkw |
|---|---|---|---|---|---|
| 2 | Ia | 3.82 | 4.94 | ||
| Ib | 4.63 | 5.09 | |||
| Ic | 4.95 | 4.27 | 5.02 | 5.05 | |
| Id | 4.27 | 5.05 | |||
| Ie | 4.06 | 5.17 | |||
| 1 | 1b | 2.48 | 4.78 | ||
| 1c | 3.22 | 4.91 | |||
| 1d | 3.15 | 4.87 | |||
| 1e | 4.97 | nd | |||
| 1f | 3.47 | nd | |||
| 1g | 2.31 | 3.19 | 4.83 | 4.85 | |
| 4 | 2.69 | nd | |||
| 1h | 3.84 | nd | |||
| 1j | 2.88 | nd | |||
| 1i | 4.04 | nd | |||
| 2 | 2b | 3.39 | 5.08 | ||
| 2c | 4.13 | 4.74 | |||
| 2d | 4.06 | 5.10 | |||
| 2e | 5.88 | 4.1 | nd | 5.03 | |
| 2f | 4.38 | nd | |||
| 2g | 3.22 | 4.98 | |||
| 3 | II | 5.45 | 6.34 | ||
| 3 | 3b | 5.02 | 6.31 | ||
| 3c | 5.76 | 6.06 | |||
| 3d | 5.69 | 6.28 | |||
| 3e | 7.51 | 5.69 | nd | 6.28 | |
| 3f | 6.01 | nd | |||
| 3g | 4.85 | 6.28 | |||
| 5 | 5.23 | nd |
| Compound | HeLa | K562 | MOLT-4 | HUVEC |
|---|---|---|---|---|
| 1b | 30 (7.5) | 32 (8.3) | 7 (1.8) | 20 (2.4) |
| 1c | 26 (5.2) | 28 (6.7) | 28 (5) | 23 (3.2) |
| 1d | 59 (8.9) | 39 (9.4) | 37 (4.4) | 22 (3.3) |
| 1e | 3.2 (0.4) | 5.8 (1.0) | 8 (0.9) | 30 (4.2) |
| 1f | 55 (17.6) | 18 (3.8) | 40 (10.8) | 21 (1.6) |
| 1g | >100 | >100 | >100 | nd |
| 4 | 61 (14.8) | 105 (15.2) | 71 (14.8) | 56 (4.8) |
| 1h | nd | nd | 20 (4.7) | 64 (7) |
| 1j | >100 | >100 | >100 | nd |
| 1i | 52 (19.2) | 30 (4.1) | 15 (1.2) | 23 (1.8) |
| Ic * | 18 (3.1) | 20 (3.4) | 15 (3.2) | 15 (6.3) |
| Ie * | 10 (2.6) | 8 (1.7) | 15 (2.3) | 3.5 (0.2) |
| 2b | 26 (5.6) | 8 (1.5) | 14 (0.9) | 3.4 (0.3) |
| 2c | 3.2 (0.8) | 4 (0.5) | 2.5 (0.1) | 3.3 (0.2) |
| 2d | 18 (4.9) | 5.8 (1.2) | 14 (2.6) | 3.6 (0.2) |
| 2e | 19 (4.5) | 4.1 (0.5) | 3.1 (0.2) | 1.2 (0.06) |
| 2f | 5.1 (0.7) | 3.9 (0.5) | 3.4 (0.3) | 3.1 (0.3) |
| 2g | 23 (3.6) | 20 (1.4) | 18 (2.5) | 17 (1.6) |
| II * | 20 (2.4) | 16 (4.5) | 18 (5) | 4 (0.5) |
| 3b | >100 | >100 | >100 | nd |
| 3c | 2 (0.4) | 2 (0.6) | 2.6 (0.3) | 0.4 (0.03) |
| 3d | 1.9 (0.6) | 3.2 (0.4) | 2.2 (0.3) | 0.3 (0.02) |
| 3e | 40 (8.4) | 6 (1.4) | 5.4 (0.5) | 7 (0.6) |
| 3f | 3 (0.9) | 3 (0.6) | 3 (1) | 0.4 (0.02) |
| 3g | 120 (16) | 31 (3.6) | 5.2 (0.9) | 17 (1.8) |
| 5 | 8 (1) | 6.2 (1) | 2.1 (0.1) | 0.7 (0.08) |
Publisher’s Note: MDPI stays neutral with regard to jurisdictional claims in published maps and institutional affiliations. |
© 2021 by the authors. Licensee MDPI, Basel, Switzerland. This article is an open access article distributed under the terms and conditions of the Creative Commons Attribution (CC BY) license (https://creativecommons.org/licenses/by/4.0/).
Share and Cite
Cieślak, M.; Napiórkowska, M.; Kaźmierczak-Barańska, J.; Królewska-Golińska, K.; Hawrył, A.; Wybrańska, I.; Nawrot, B. New Succinimides with Potent Anticancer Activity: Synthesis, Activation of Stress Signaling Pathways and Characterization of Apoptosis in Leukemia and Cervical Cancer Cells. Int. J. Mol. Sci. 2021, 22, 4318. https://doi.org/10.3390/ijms22094318
Cieślak M, Napiórkowska M, Kaźmierczak-Barańska J, Królewska-Golińska K, Hawrył A, Wybrańska I, Nawrot B. New Succinimides with Potent Anticancer Activity: Synthesis, Activation of Stress Signaling Pathways and Characterization of Apoptosis in Leukemia and Cervical Cancer Cells. International Journal of Molecular Sciences. 2021; 22(9):4318. https://doi.org/10.3390/ijms22094318
Chicago/Turabian StyleCieślak, Marcin, Mariola Napiórkowska, Julia Kaźmierczak-Barańska, Karolina Królewska-Golińska, Anna Hawrył, Iwona Wybrańska, and Barbara Nawrot. 2021. "New Succinimides with Potent Anticancer Activity: Synthesis, Activation of Stress Signaling Pathways and Characterization of Apoptosis in Leukemia and Cervical Cancer Cells" International Journal of Molecular Sciences 22, no. 9: 4318. https://doi.org/10.3390/ijms22094318
APA StyleCieślak, M., Napiórkowska, M., Kaźmierczak-Barańska, J., Królewska-Golińska, K., Hawrył, A., Wybrańska, I., & Nawrot, B. (2021). New Succinimides with Potent Anticancer Activity: Synthesis, Activation of Stress Signaling Pathways and Characterization of Apoptosis in Leukemia and Cervical Cancer Cells. International Journal of Molecular Sciences, 22(9), 4318. https://doi.org/10.3390/ijms22094318

