Next Article in Journal
Transient Hyperglycemia and Hypoxia Induce Memory Effects in AngiomiR Expression Profiles of Feto-Placental Endothelial Cells
Next Article in Special Issue
Identification and Determination of 1,3-Thiazinane-4-carboxylic Acid in Human Urine—Chromatographic Studies
Previous Article in Journal
Systematic Review of Calcium Channels and Intracellular Calcium Signaling: Relevance to Pesticide Neurotoxicity
Previous Article in Special Issue
Role of Hydrogen Sulfide, Substance P and Adhesion Molecules in Acute Pancreatitis
 
 
Font Type:
Arial Georgia Verdana
Font Size:
Aa Aa Aa
Line Spacing:
Column Width:
Background:
Article

A Study on How Methionine Restriction Decreases the Body’s Hepatic and Lipid Deposition in Rice Field Eel (Monopterus albus)

1
Hunan Engineering Technology Research Center of Featured Aquatic Resources Utilization, Hunan Agricultural University, Changsha 410128, China
2
College of Animal Science and Technology, Hunan Agricultural University, Changsha 410128, China
3
Department of Bioengineering and Environmental Science, Changsha University, Changsha 410000, China
*
Author to whom correspondence should be addressed.
Int. J. Mol. Sci. 2021, 22(24), 13379; https://doi.org/10.3390/ijms222413379
Submission received: 12 November 2021 / Revised: 8 December 2021 / Accepted: 9 December 2021 / Published: 13 December 2021
(This article belongs to the Special Issue Amino Acid Metabolism and Regulation in Health and Disease 2.0)

Abstract

:
Methionine restriction reduces animal lipid deposition. However, the molecular mechanism underlying how the body reacts to the condition and regulates lipid metabolism remains unknown. In this study, a feeding trial was performed on rice field eel Monopterus albus with six isonitrogenous and isoenergetic feeds that included different levels of methionine (0, 2, 4, 6, 8, and 10 g/kg). Compared with M0 (0 g/kg), the crude lipid and crude protein of M. albus increased markedly in M8 (8 g/kg) (p < 0.05), serum (total cholesterol, triglyceride, high-density lipoprotein cholesterol, low-density lipoprotein cholesterol, and non-esterified free fatty acids), and hepatic contents (hepatic lipase, apolipoprotein-A, fatty acid synthetase, total cholesterol, triglyceride, and lipoprteinlipase). However, in the serum, very-low-density lipoprotein and hepatic contents (hormone-sensitive triglyceride lipase, Acetyl CoA carboxylase, carnitine palmitoyltransterase, and mirosomal triglygeride transfer protein) decreased markedly in M8 (p < 0.05). The contents of hepatic C18:2n-6, C22:6n-3, and n-3PUFA in the M8 group were significantly higher than those in M0 (p < 0.05), and the contents of lipid droplets in M8 were higher than those in M0. Compared with M0, the hepatic gcn2, eif2α, hsl, mttp, ldlrap, pparα, cpt1, and cpt2 were remarkably downregulated in M8, while srebf2, lpl, moat2, dgat2, hdlbp, srebf1, fas, fads2, me1, pfae, and icdh were markedly upregulated in M8. Moreover, hepatic SREBP1 and FAS protein expression were upregulated significantly in M8 (p < 0.01). In short, methionine restriction decreased the lipid deposition of M. albus, especially for hepatic lipid deposition, and mainly downregulated hepatic fatty acid metabolism. Besides, gcn2 could be activated under methionine restriction.

1. Introduction

Recently, studies reported that soybean protein can be used to replace fish meal (FM) in aquatic feed [1]. However, methionine is the most limiting amino acid in soybean protein, and essential sulfur amino acids for fish [2] must be obtained from feed [3]. Methionine not only participate in the body’s protein synthesis but also directly or indirectly (through transsulfuration, transamination, and transmethylation) regulates the body’s metabolism as a signal molecule, mainly metabolizing into cysteine, creatine, carnitine, hydrogen sulfide, taurine, and glutathione for various metabolic purposes [4]. If an aquatic animal’s methionine intake is deficient, the process of protein synthesis will be limited, metabolism will be disturbed, and the growth performance of the fish will be inhibited [2,5,6].
A previous study showed that methionine restriction enhances the clearance of glucose, promotes hepatic fat accumulation, and decreases muscular fat accumulation in rainbow trout (Oncorhynchus mykiss) [7]. In addition, methionine restriction suppresses the targets of amino acid response pathways in the primary muscular cells of turbot (Scophthalmus maximus L.), reduces cellular protein synthesis, enhances protein degradation, increases levels of intracellular free amino acid, and leads to amino acid degradation. Methionine restriction also reduces glycolysis and lipogenesis while stimulating lipolysis, decreases the intracellular lipid pool, remarkably enhances energy expenditure by stimulating the tricarboxylic acid cycle and oxidative phosphorylation, and upregulates general controlled nonderepressible 2 (gcn2, also encoded by eif2ak4) expression [8].
In the process of evolution, animals have gradually evolved the ability to adapt to a lack of essential nutrients such as essential amino acids. In vertebrates, gcn2 plays a key role in sensing essential amino acid deprivation and activates the translational derepression of specific mRNAs by inhibiting general translation initiation [9]. A study on the Cobia (Rachycentron canadum) showed that crude lipids were markedly elevated with a higher level of dietary methionine and then plateaued. Hepatic lipid synthesis genes (sterol regulatory element binding protein-1 (srebp1), fatty acid synthetase (fas), peroxisome proliferator activated receptor γ (pparγ), and stearoyl-CoA desaturase-1 (scd1)) were significantly upregulated when the animals were fed a diet with higher levels of methionine, whereas the expression of lipolytic genes (peroxisome proliferator activated receptor α (pparα), carnitine acyl transferase-1 (cpt1), and lipase lipoprotein lipase (lpl)) was elevated in fish fed a methionine-deficient diet [10]. Guo et al. (2007) found that the adipose tissue of wild-type mice lacking leucine decreased by 50% after one week and almost completely disappeared after 17 days. Further research found that when leucine was deficient in the diet, gcn2 was activated, and its downstream eif2α, the level of mRNA, and protein expression increased. However, there was no significant difference observed in the expression of srebp1a and srebp2 mRNA and protein, although srebp1c mRNA and protein expression were significantly inhibited. Moreover, the expression of srebp1c mRNA and protein was regulated by the gcn2-eif2α pathway. The expression of fat synthesis genes (srebp1c, ATP-citrate lyase (acl), fas, scd, glucose 6-phosphate 1-dehydrogenase (g6pd), and malic enzyme (me)) occurred downstream, and hepatic SREBP1 and FAS protein expression was downregulated. The authors also found that a diet lacking leucine led to an increase in lipid absorption and fatty acid oxidation in the livers of mice, suggesting that the increase of lipid absorption and decomposition in mice under the condition of leucine deficiency was an adaptive change to reduce lipid synthesis [11].
Rice field eel (Monopterus albus, M. albus) is a subtropical freshwater benthic fish that is widely raised in central and southern China in cages [12]. Our previous studies showed that M. albus needs better-quality and higher levels of protein, as well as an optimum protein/lipid ratio [13]. In the study, FM was replaced by soybean meal [14], and soy protein concentrate inhibited the growth performance of M. albus [15]. Moreover, dietary deficiency methionine feed decreased the growth performance of M. albus, induced lipid metabolism disorder, and decreased lipid content [16]. Our laboratory is focused on studying the nutrition of M. albus. We also consulted a large number of papers of M. albus and found no obvious adipose tissue in M. albus. Lipids mainly accumulated in tissues, especially in the liver, which provides a new and interesting avenue for exploring lipid metabolism. In the present study, we generated more severe methionine-deficient diets compared to our previous study [16] and explored the mechanism by which methionine regulates lipid deposition and the metabolism of M. albus.

2. Results

2.1. Composition of M. Albus

There was no significant difference in the moisture and crude ash of M. Albus among all groups (p > 0.05). The crude lipid of M. albus increased markedly as methionine concentrations increased to 8 g/kg (M8) (p < 0.05) and gradually decreased as methionine concentrations increased to 10 g/kg (M10). The crude protein of M. albus increased markedly as methionine concentrations were increased (p < 0.05) (Table 1).

2.2. Serum Biochemical Indices

Serum ACP, Glu, TC, TG, HDL, LDL, and NEFA increased markedly as methionine concentrations increased to 8 g/kg (M8) (p < 0.05) and gradually decreased as methionine concentrations increased to 10 g/kg (M10). The serum TP, BUN, and Ba also increased markedly as methionine concentrations increased to 10 g/kg (M10) (p < 0.05). Serum AKP, ALT, AST, and VLDL decreased markedly as methionine concentrations increased to 8 g/kg (M8) (p < 0.05) and gradually increased as methionine concentrations increased to 10 g/kg (M10) (Table 2).

2.3. Hepatic Biochemical Indices

Compared to M0 (0 g/kg), the hepatic HL, Apo-A, FAS, TC, and AKP increased markedly under methionine supplementation (p < 0.05). Moreover, hepatic TG and ALT increased markedly under greater than 2 g/kg methionine supplementation (p < 0.05), the hepatic AST increased markedly with more than 4 g/kg methionine supplementation (p < 0.05), and hepatic LPL increased markedly in the M6 (6 g/kg) and M8 (8 g/kg) groups (p < 0.05). Compared to M0 (0 g/kg), the hepatic HSL and ACC decreased markedly when methionine was added (p < 0.05); the hepatic CPT decreased markedly with greater than 2 g/kg methionine (p < 0.05); and the hepatic MTTP decreased markedly in M2 (2 g/kg), M6 (6 g/kg), M8 (8 g/kg), and M10 (10 g/kg) (p < 0.05) (Table 3).

2.4. Contents of Hepatic Amino Acids and Fatty Acids

Compared to M0 (0 g/kg), the contents of hepatic amino acids, total essential amino acids, total nonessential amino acids, and total amino acids increased gradually under supplementation with 8 g/kg (M8) methionine (Table 4). Moreover, compared to M0 (0 g/kg), the hepatic C18:2n-6, C22:6n-3, and n-3PUFA significantly increased in the M8 (8 g/kg) group (p < 0.05) (Table 5).

2.5. Hepatic H&E and Oil Red O-Stained Pictures

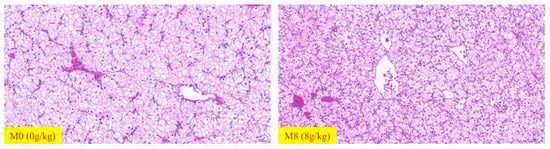
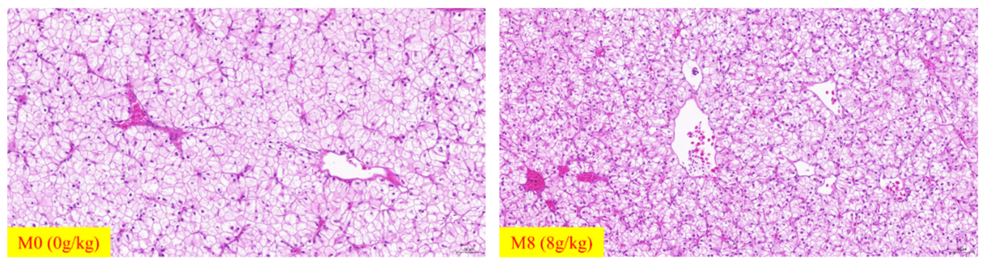
Hepatic H&E and Oil red O-stained images are shown in Figure 1 and Figure 2. Vacuoles were observed in these two groups. As the number of vacuoles increased in the M0 group, the proportions of vacuoles decreased in the M8 (8 g/kg) group. We also observed movement of the nucleus in M0 (0 g/kg) and blurred boundaries of hepatic cells in the M0 group. Compared to M0 (0 g/kg), the number of lipid droplets was increased in the M8 (8 g/kg) group (Figure 1 and Figure 2).

2.6. Hepatic Lipid Metabolism mRNA Expression

Compared to M0 (0 g/kg), the hepatic gcn2, eif2α, hsl, mttp, ldlrap, pparα, cpt1, and cpt2 were remarkably downregulated in M8 (8 g/kg) (p < 0.01, p < 0.001, p < 0.01, p < 0.001, p < 0.05, p < 0.01, p < 0.001, and p < 0.001, respectively). However, srebf2, lpl, moat2, dgat2, hdlbp, srebf1, fas, fads2, me1, pfae, and icdh were markedly upregulated in M8 (8 g/kg) (p < 0.05, p < 0.01, p < 0.001, p < 0.05, p < 0.01, p < 0.001, p < 0.01, p < 0.001, p < 0.01, p < 0.01, p < 0.01, p < 0.05, and p < 0.001, respectively) (Figure 3).

2.7. Correlative Analysis of Hepatic Lipid Metabolism Gene Expression

We observed that hepatic eif2α, scap, hsl, mttp, ldlrap, pparα, cpt1, and cpt2 gene expression was positively correlated with gcn2 (p < 0.01, p < 0.01, p < 0.01, p < 0.001, p < 0.01, p < 0.01, p < 0.001, and p < 0.001, respectively), while hepatic srebf2, lpl, moat2, dgat2, hdlbp, vldlr, srebf1, fas, fads2, me1, pfae, and icdh gene expression was negatively correlated with gcn2 (p < 0.01, p < 0.01, p < 0.01, p < 0.01, p < 0.01, p < 0.01, p < 0.01, p < 0.001, p < 0.001, p < 0.05, p < 0.05, and p < 0.001) (Figure 4).

2.8. Hepatic SREBP1 and FAS Protein Expression

Compared to M0, both hepatic SREBP1 and FAS protein expression was upregulated significantly in M8 (8 g/kg) (p < 0.01) (Figure 5).

3. Discussions

Our previous study showed that dietary methionine restriction induced lipid metabolism disorder, decreased the lipid content [16], and also decreased the growth performance of M. Albus [17]. In the present study, the crude lipids of M. albus increased markedly as methionine concentrations increased to 8 g/kg and gradually decreased as methionine concentrations increased to 10 g/kg. The crude protein of M. albus increased markedly as methionine concentrations were increased. Our results are similar to those of a study on juvenile yellow tail (Seriola dorsalis) [18]. We inferred that more energy was allocated to visceral organs to maintain basic metabolism while fewer nutrients were allocated to growth performance when methionine was restricted.
Amino acids are commonly involved in life activities through the synthesis of proteins. Excess amino acids are generally decomposed into ammonia and carbon skeletons, while ammonia is further metabolized into urea nitrogen [19]. The acid phosphatase (ACP) enzyme is involved in protein pinocytosis and intracellular digestion [20]. Alkaline phosphatase (AKP) is a key enzyme with a protective role in fish under stress, parasitic infection, and wound healing [21]. In this study, serum ACP increased markedly when supplemented with a suitable level of methionine (8 g/kg), the serum AKP decreased markedly as methionine concentrations increased to 8 g/kg, and hepatic AKP significantly increased when supplemented with methionine. Transaminases are produced by the liver. Aspartate aminotransferase (AST) primarily transfers the amino of aspartic acid to a-ketone glutaric acid, producing oxaloacetic acid and glutamic acid, while alanine aminotransferase (ALT) primarily transfers the amino of alanine to a keto-glutamic acid, producing pyruvate and glutamic acid; these acids are also the main indexes used to evaluate hepatic injury [22]. In this study, the serum ALT and AST decreased markedly under supplementation with methionine (8 g/kg). Meanwhile, the hepatic ALT and AST increased markedly when supplemented with methionine concentrations greater than 4 g/kg. Moreover, the serum total protein, blood urea nitrogen, and blood ammonia increased markedly when supplemented with a suitable level of methionine (8 g/kg). The contents of hepatic amino acids, total essential amino acids, total nonessential amino acids, and total amino acids also increased. This phenomenon increased the utilization efficiency of amino acid. In this study, we also observed that the proportions of vacuoles decreased under supplementation with methionine (8 g/kg). Meanwhile, the nucleus moved and blurred the boundaries of hepatic cells when methionine was restricted. We concluded that suitable methionine may be better for hepatic amino-acid metabolism and a healthy condition, as we reported in [16].
Interestingly, we also observed that the serum glucose, total cholesterol, and triglycerides increased significantly with 8 g/kg dietary methionine. Meanwhile, the hepatic total cholesterol and triglycerides increased markedly when supplemented with higher than 2 g/kg methionine in this study. High-density lipoprotein (HDL) and low-density lipoprotein (LDL) are major lipoproteins produced by the liver. LDL transports lipid molecules from the liver around the body, while HDL carries lipids from the surrounding tissue into the liver. These lipoproteins mainly carry cholesterol and are formed as HDL-C and LDL-C, respectively [23]. Very-low-density lipoprotein (VLDL) is secreted by hepatocytes of the liver; the large sizes of VLDL particles secreted by the liver result in major disturbances to lipoprotein metabolism [24]. Hormone-sensitive lipase (HSL) regulates lipolysis, especially in adipose tissue [25]. Microsomal triglyceride transfer protein (MTP) facilitates the transport of fat by assisting in the assembly and secretion of triglyceride-rich apolipoprotein [26]. Apolipoprotein A-1 (ApoA1) is considered to be an important factor in lipid transport and metabolism in various tissues [27]. Lipoprotein lipase (LPL) is a key enzyme in lipid metabolism and primarily catalyzes the hydrolysis of triglycerides in chyle particles and very-low-density lipoprotein [28]. Fatty acid synthase (FAS) is involved in fatty acid synthase [29], and Acetyl-CoA carboxylase (ACC) is the rate-limiting enzyme for fatty-acid synthesis [30]. Carnitine palmitoyltransterase (CPT) participates in the process of fatty acid β-oxidation [31]. In the present study, hepatic HL, Apo-A, FAS, and LPL increased markedly when supplemented with methionine, while hepatic HSL, ACC, CPT, and MTTP decreased markedly when methionine was added. This phenomenon indicated that methionine restriction not only inhibited amino-acid metabolism but also disturbed lipid metabolism. Our results showed that dietary methionine offers benefits for lipid metabolism. This phenomenon is similar to that observed in Cobia (Rachycentron canadum) [10].
In addition, the lipid droplets (visualized by hepatic Oil red O staining) was increased in the group supplemented with methionine (8 g/kg). This result intuitively shows the difference in the hepatic lipid deposition of M. Albus between the M0 (0 g/kg) and M8 (8 g/kg) groups. To further explain the reasons why methionine deficiency affects the lipid metabolism of M. albus, we chose the M0 (0 g/kg) and M8 (8 g/kg) groups to explore the molecular mechanisms of lipid metabolism. gcn2 and eif2a respond to essential amino acid deprivation and regulate the downstream genes related to lipid metabolism [32]. In this study, compared to M0 (0 g/kg), hepatic gcn2 and eif2α were remarkably downregulated in M8 (8 g/kg), which means that the gcn2 and eif2α genes may be regulated by different levels of methionine. Thus, we determined the genes related to lipid metabolism and explored the relationship between amino-acid sensing and lipid metabolism. Sterol regulatory element binding transcription factor (srebf), including srebf1 (mainly regulates fatty acids biosynthesis) and srebf2 (mainly regulates cholesterol synthesis), controls cellular lipid metabolism and homeostasis and performs functions in lipid biosynthesis and uptake-gene expression [33]. scap (srebf cleavage-activating protein) is a sterol-regulated escort protein that transports srebf from its site of synthesis in the endoplasmic reticulum to its site of cleavage in the Golgi [34]. Peroxisome proliferator-activated receptor α (pparα) mainly controls the β-oxidation of fatty acids [35], while peroxisome proliferator-activated receptor γ (pparγ) regulates the adipogenic and lipogenic pathways [36]. mogat2, dgat2, me1, me2, fas, fads2, and acc are key enzymes involved in lipogenesis and fatty-acid synthesis [37,38,39,40,41,42,43], while lpl, hsl, cpt1, and cpt2 are key genes involved in lipolysis and fatty-acid β-oxidation [44,45]. icdh is one of the key enzymes involved in the production of NADPH, which is an essential cofactor for fat cholesterol biosynthesis and fat metabolism [46]. The polyunsaturated fatty acid elongase (pfae) gene encodes desaturase and elongase enzymes with all the activities required for the production of long-chain polyunsaturated fatty acid [47]. Here, compared to M0 (0 g/kg), hepatic pparα, cpt1, and cpt2 were remarkably downregulated in M8 (8 g/kg), while hepatic srebf1, srebf2, lpl, moat2, dgat2, fas, fads2, me1, pfae, and icdh were upregulated in M8 (8 g/kg). We also observed that lipid synthesis genes were upregulated under a dietary-suitable level of methionine, while genes related to lipid catabolism were downregulated. These phenomena observed in the present study are similar to those observed in a previous study on Cobia (Rachycentron canadum) [10,48] and large Yellow croaker (Larimichthys crocea) [49]. We also found that hepatic SREBP1 and FAS protein expression was upregulated significantly in M8 (8 g/kg). Interestingly, hepatic C18:2n-6, C22:6n-3, and n-3PUFA remarkably increased when supplemented with methionine (8 g/kg). Thus, we determined that M. albus dietary intake deficient in methionine mainly affected fatty-acid metabolism, specifically unsaturated fatty-acid synthesis.
Microsomal triglyceride transfer protein (mttp) facilitates the transport of fat by assisting in the assembly and secretion of triglyceride-rich lipoproteins [26]. High-density lipoprotein-binding protein (hdlbp) mainly participates in the endocrine regulation of both lipids and cholesterol [50], while low-density lipoprotein receptor adapter protein (ldlra) maintains levels of homeostatic LDL. Moreover, the ldlra pathway has emerged as a target to reduce circulating cholesterol [51]. The very-low-density lipoprotein receptor (vldlr) receptor binds triglyceride-rich lipoproteins, along with lpl [52]. In this study, hepatic mttp and ldlrap were remarkably downregulated when supplemented with methionine (8 g/kg), while hdlbp was up strongly regulated in M8 (8 g/kg). This result indicates that lipid metabolism is more active if the feed intake of M. albus features a suitable level of methionine. Moreover, hepatic eif2α, scap, hsl, mttp, ldlrap, pparα, cpt1, and cpt2 gene expression was positively correlated with gcn2, and hepatic srebf2, lpl, moat2, dgat2, hdlbp, vldlr, srebf1, fas, fads2, me1, pfae, and icdh gene expression was negatively correlated with gcn2. These results indicate that gcn2 could respond to the condition of methionine restriction in M. albus and regulate lipid metabolism genes. However, the specific mechanism by which gcn2 regulates hepatic lipid metabolism requires further study.

4. Materials and Methods

4.1. Ingredients and Experimental Diets

The basic diet (110 g/kg fish meal and 400 g/kg soy protein concentrate) was based on our previous data [15,16]. Different levels of methionine (0, 2, 4, 6, 8, or 10 g/kg) were supplemented in the basic diet based on the rule of equal nitrogen and our previous studies [14,16], showed in Table 6, Table 7 and Table 8.
Proximate analysis (moisture, crude protein, crude lipid, ash, and gross energy) of experimental feed and M. albus was performed based on our previous papers [53]. Amino acids were analyzed by an automatic amino acid analyzer (Agilent-1100, Agilent Technologies Co., Ltd., Santa Clara, CA, USA) based on Wijerath’s method [54], and fatty acids were analyzed by GC-MS (Agilent 7890B-5977A, Agilent Technologies Co., Ltd., Santa Clara, CA, USA) based on Jin’s method [55], the results are shown in Table 2 and Table 3.

4.2. Fish Rearing and Management

M. albus was obtained from Changde, China. M. albus of uniform size (25.08 ± 0.31 g) was stochastically divided into 18 float cages (2.0 m × 1.5 m × 1.5 m). Each group contained triplicates with 60 fish, based on our previous study [23].

4.3. Ethics Statement

Our study was supported by the Animal Care Committee of Hunan Agricultural University (Changsha, Hunan, China) and conducted according to the Chinese guidelines for animal welfare. According to the guidelines established by the National Institutes of Health, all experimental fish were anesthetized with eugenol (1:12,000; Shanghai Reagent Corporation, Shanghai, China). Ethic code number: 2021094; date of Ethics Statement: 13 December 2021.

4.4. Sample Collection and Analyses

After the feeding trial, the caudal vein blood was heparinized from five fish in each cage. Serum (3500× g) was obtained by centrifugation for 10 min and then stored at −80 °C until use. Serum alanine aminotransferase, aspartate aminotransferase, acid phosphatase, alkaline phosphatase, glucose, lactate dehydrogenase, total cholesterol, triglyceride, total protein, high-density lipoprotein cholesterol, low-density lipoprotein cholesterol, non-esterified free fatty acids, blood urea nitrogen, and blood ammonia were determined by a kit from NanJing JianCheng Bioengineering (Nanjing, China). Serum very-low-density lipoproteins were determined using a kit from Shanghai Enzyme-linked Biotechnology Co., Ltd. (Shanghai, China).
Hepatic lipase, lactate dehydrogenase, microsomal triglyceride transfer protein, apolipoprotein-A, hormone-sensitive triglyceride lipase, fatty acid synthetase, lipoprotein lipase, acetyl CoA carboxylase, and carnitine palmitoyltransterase were determined using a kit from Shanghai Enzyme-linked Biotechnology Co., Ltd. (Shanghai, China). Hepatic triglyceride, total cholesterol, aspartate aminotransferase, alanine aminotransferase, alkaline phosphatase, and acid phosphatase were determined using a kit from NanJing JianCheng Bioengineering (Nanjing, China).
Hepatic amino acids were analyzed by an automatic amino acid analyzer (Agilent-1100, Agilent Technologies Co., Ltd., Santa Clara, CA, USA), and hepatic fatty acids were analyzed by GC-MS (Agilent 7890B-5977A, Agilent Technologies Co., Ltd., Santa Clara, CA, USA) using the same method.
The liver was taken from five fish per cage for histometric evaluation. The methods for creating slides and observing the muscular sections stained with H&E were based on those used in our previous paper [17]. The liver was sectioned (8 μm) using a cryostat microtome and stained with Oil Red O [56]. The slides were then observed using CaseViewer.
Total hepatic RNA was obtained from five fish per cage using the Monzol™ reagent (Monad, Shanghai, China). Smart cDNA was synthesized using a SMART cDNA Synthesis kit (Clontech Laboratories, Palo Alto, CA, USA). Primers were synthesized by Biosune Biotechnology, Inc. (Shanghai, China), as shown in Table 4. Quantitative real-time PCR (qPCR) was performed as described in our previous paper [57]. The amplification efficiency was between 0.95 and 1.10, as calculated by the formula E = 10*(−1/slope)−1, and 5-fold serial dilutions of cDNA (triplicate) were used to generate the standard curve. The 2△△Ct method was used to calculate the relative mRNA expression [58].
Hepatic proteins were extracted from the liver with a lysis solution. After centrifugation for 5 min at 12,000 rpm/min and 4 °C, we determined the content of protein, ensured the protein concentrations were consistent, and used the concentrations for Western blot analysis. The first antibody was as follows: GAPDH Mouse Monoclonal antibody (proteintech, catalog number: 60004-1-Ig), SREBP1 anti-Rabbit pAb (Wanleibio, WL02093), and FAS anti-Rabbit pAb (Wanleibio, WL03376). We used the ImageJ software to calculate the expression of the protein (Table 9).

4.5. Statistical Analysis

Data were analyzed by one-way analysis of variance (ANOVA), and significant differences among all groups were assessed by Duncan’s multiple-range test. The data of two groups (M0 & M8) were calculated by an independent T-test. The ANOVA and independent t-test were performed using the SPSS 22 software. The results were expressed as the means ± SEM (standard error of the mean), and differences were considered significant at p < 0.05.

5. Conclusions

Methionine restriction inhibited the lipid deposition of M. albus, especially for hepatic lipid deposition, and primarily downregulated hepatic fatty acid metabolism. In addition, gcn2 was activated when methionine was restricted, and hepatic lipid-metabolism genes were correlated with gcn2.

Author Contributions

Conceptualization, Y.H. (Yajun Hu) and Y.H. (Yi Hu); methodology, Y.H. (Yajun Hu); software, Y.H. (Yajun Hu) and M.C.; validation, H.Z., W.C. and Y.H. (Yi Hu); formal analysis, Y.H. (Yajun Hu); investigation, Y.H. (Yajun Hu); resources, Y.H. (Yi Hu); data curation, Y.H. (Yajun Hu); writing—original draft preparation, Y.H. (Yajun Hu); writing—review and editing, W.C. and Y.H. (Yi Hu); visualization, M.C.; supervision, H.Z.; project administration, Y.H. (Yi Hu); funding acquisition, Y.H. (Yi Hu). All authors have read and agreed to the published version of the manuscript.

Funding

National Natural Science Foundation of China (Grant No. 32172986).

Institutional Review Board Statement

This study was approved by Committee of Laboratory Animal Management and Animal Welfare of Hunan Agricultural University (Changsha, China) and all experimental produces were conformed to Ethical Committee of Hunan Agricultural University.

Informed Consent Statement

Not applicable.

Data Availability Statement

The datasets used and/or analysed during the current study are available from the corresponding author on reasonable request.

Conflicts of Interest

There are no conflict of interest to this manuscript.

References

  1. Gatlin, D.M.; Barrows, F.T.; Brown, P.; Dabrowski, K.; Gaylord, T.G.; Hardy, R.W.; Herman, E.; Hu, G.S.; Krogdahl, A.; Nelson, R.; et al. Expanding the utilization of sustainable plant products in aquafeeds: A review. Aquac. Res. 2007, 38, 551–579. [Google Scholar] [CrossRef]
  2. Chen, J.N.; Li, X.Q.; Xu, H.B.; Sun, W.T.; Leng, X.J. Substitute of soy protein concentrate for fish meal in diets of white shrimp (Litopenaeus vannamei Boone). Aquac. Int. 2017, 25, 1303–1315. [Google Scholar] [CrossRef]
  3. Forney, L.A.; Stone, K.P.; Wanders, D.; Gettys, T.W. Sensing and signaling mechanisms linking dietary methionine restriction to the behavioral and physiological components of the respone. Front. Neuroendocrinol. 2018, 51, 36–45. [Google Scholar] [CrossRef] [PubMed]
  4. Martínez, Y.; Li, X.; Liu, G.; Bin, P.; Yan, W.X.; Más, D.; Valdivié, M.; Hu, C.A.A.; Ren, W.K.; Yin, Y.L. The role of methionine on metabolism, oxidative stress, and diseases. Amino Acids. 2017, 49, 2091–2098. [Google Scholar] [CrossRef]
  5. Craig, P.M.; Moon, T.W. Methionine restriction affects the phenotypic and transcriptional response of rainbow trout (Oncorhynchus mykiss) to carbohydrate-enriched diets. Br. J. Nutr. 2013, 109, 402–412. [Google Scholar] [CrossRef] [PubMed] [Green Version]
  6. Zhang, Y.Q.; Ji, W.X.; Wu, Y.B.; Han, H.; Qin, J.G.; Wang, Y. Replacement of dietary fish meal by soybean meal supplemented with crystalline methionine for Japanese seabass (Lateolabrax japonicus). Aquac. Res. 2016, 47, 243–252. [Google Scholar] [CrossRef]
  7. Latimer, M.N.; Cleveland, B.M.; Biga, P.R. Dietary methionine restriction: Effects on glucose tolerance, lipid content and micro-RNA composition in the muscle of rainbow trout. Comp. Biochem. Physiol. Part C Toxicol. Pharmacol. 2018, 208, 47–52. [Google Scholar] [CrossRef]
  8. Jiang, H.W.; Bian, F.Y.; Zhou, H.H.; Wang, X.; Wang, K.D.; Mai, K.S.; He, G. Nutrient sensing and metabolic changes after methionine deprivation in primary muscle cells of turbot (Scophthalmus maximus L.). J. Nutr. Biochem. 2017, 50, 74–82. [Google Scholar] [CrossRef]
  9. Dokládal, L.; Stumpe, M.; Pillet, B.; Hu, Z.H.; Garcia Osuna, G.M.; Kressler, D.; Dengjel, J.; Virgilio, C.D. Global phosphoproteomics pinpoints uncharted Gcn2-mediated mechanisms of translational control. Mol. Cell. 2021, 81, 1879–1889. [Google Scholar] [CrossRef] [PubMed]
  10. Wang, Z.; Mai, K.S.; Xu, W.; Zhang, Y.J.; Liu, Y.L.; Ai, Q.H. Dietary methionine level influences growth and lipid metabolism via GCN2 pathway in cobia (Rachycentron canadum). Aquaculture 2016, 454, 148–156. [Google Scholar] [CrossRef]
  11. Guo, F.; Cavener, D.R. The GCN2 eIF2a Kinase Regulates Fatty-Acid Homeostasis in the Liver during Deprivation of an Essential Amino Acid. Cell Metab. 2007, 5, 103–114. [Google Scholar] [CrossRef] [PubMed] [Green Version]
  12. Hu, Y.J.; Zhang, J.Z.; He, L.B.; Hu, Y.; Zhong, L.; Dai, Z.Y.; Zhou, D.G. Effects of dietary vitamin C on growth, antioxidant activity, and immunity in rice field eel (Monopterus albus). J. World Aquac. Soc. 2020, 51, 159–170. [Google Scholar] [CrossRef]
  13. Ma, X.; Hu, Y.; Wang, X.Q.; Ai, Q.H.; He, Z.G.; Feng, F.X.; Lu, X.Y. Effects of practical dietary protein to lipid levels on growth, digestive enzyme activities and body composition of juvenile rice field eel (Monopterus albus). Aquac. Int. 2014, 22, 749–760. [Google Scholar] [CrossRef]
  14. Hu, Y.; Yang, G.; Li, Z.L.; Hu, Y.J.; Zhong, L.; Zhou, Q.B.; Peng, M. Effect of dietary taurine supplementation on growth, digestive enzyme, immunity and resistant to dry stress of rice field eel (Monopterus albus) fed low fish meal diets. Aquac. Res. 2018, 49, 2108–2118. [Google Scholar] [CrossRef]
  15. Zhang, J.Z.; Zhong, L.; Peng, M.; Chu, W.Y.; Liu, Z.P.; Dai, Z.Y.; Hu, Y. Replacement of fish meal with soy protein concentrate in diet of juvenile rice field eel Monopterus albus. Aquac. Rep. 2019, 15, 100235. [Google Scholar] [CrossRef]
  16. Hu, Y.J.; Chu, W.Y.; Xue, J.J.; Hu, Y.; Zhong, L.; Zhong, H. Using unessential sulfur amino acids to overcome methionine deficient diets on rice field eel (Monopterus albus). Aquaculture 2021, 533, 736196. [Google Scholar] [CrossRef]
  17. Hu, Y.J.; Zhang, J.Z.; Zhong, L.; Chu, W.Y.; Hu, Y. A study on methionine-mediated regulation of muscle fiber growth, development and differentiation in the rice field eel (Monopterus albus). Aquaculture 2022, 547, 737430. [Google Scholar] [CrossRef]
  18. Aguillón, O.; Mata, J.A.D.; Abramo, L.R.; Viana, M.T. Lipid metabolism in juveniles of Yellowtail, Seriola dorsalis, fed different levels of dietary methionine containing a low level of cholesterol: Implication in feed formulation. Aquac. Nutr. 2020, 26, 1463–1475. [Google Scholar] [CrossRef]
  19. Ren, M.; Liang, H.; He, J.; Masagounder, K.; Yue, Y.; Yang, H.; Ge, X.; Xie, J.; Xi, B. Effects of DL-methionine supplementation on the success of fish meal replacement by plant proteins in practical diets for juvenile gibel carp (Carassius auratus gibelio). Aquac. Nutr. 2017, 23, 934–941. [Google Scholar] [CrossRef]
  20. Nigam, A.K.; Kumari, U.; Mittal, S.; Mittal, A.K. Comparative analysis of innate immune parameters of the skin mucous secretions from certain freshwater teleosts, inhabiting different ecological niches. Fish Physiol. Biochem. 2012, 38, 1245–1256. [Google Scholar] [CrossRef] [PubMed]
  21. Palaksha, K.J.; Shin, G.; Kim, Y.; Jung, T. Evaluation of non-specific immune components from the skin mucus of olive flounder (Paralichthys olivaceus). Fish Shellfish Immunol. 2008, 24, 479–488. [Google Scholar] [CrossRef]
  22. Ramesh, B.; Karuna, R.; Sreenivasa, R.S.; Haritha, K.; Sai, M.D.; Sasi, B.R.; Saralakumari, D. Effect of Commiphora mukul gum resin on hepatic marker enzymes, lipid peroxidation and antioxidants status in pancreas and heart of streptozotocin induced diabetic rats. Asian Pac. J. Trop. Biomed. 2012, 2, 895–900. [Google Scholar] [CrossRef] [Green Version]
  23. Kwiterovich, P.J. The metabolic pathways of high-density lipoprotein, low-density lipoprotein, and triglycerides: A current review. Am. J. Cardiol. 2000, 86, 5L–10L. [Google Scholar] [CrossRef]
  24. Gibbons, G.F.; Wiggins, D.; Brown, A.; Hebbachi, A. Synthesis and function of hepatic very-low-density lipoprotein. Biochem. Soc. Trans. 2004, 32, 59. [Google Scholar] [CrossRef] [Green Version]
  25. Ong, K.T.; Mashek, M.T.; Bu, S.Y.; Greenberg, A.S.; Mashek, D.G. Adipose triglyceride lipase is a major hepatic lipase that regulates triacylglycerol turnover and fatty acid signaling and partitioning. Hepatology 2011, 53, 116–126. [Google Scholar] [CrossRef] [PubMed] [Green Version]
  26. Hussain, M.M.; Nijstad, N.; Franceschini, L. Regulation of microsomal triglyceride transfer protein. Clin. Lipidol. 2011, 6, 293–303. [Google Scholar] [CrossRef] [PubMed] [Green Version]
  27. Brouillette, C.G.; Anantharamaiah, G.M.; Engler, J.A.; Borhani, D.W. Structural models of human apolipoprotein A-I: A critical analysis and review. Biochim. Biophys. Acta 1995, 1256, 4–46. [Google Scholar] [CrossRef]
  28. Guo, J.L.; Zhou, Y.L.; Zhao, H.; Chen, W.Y.; Chen, Y.J.; Lin, S.M. Effect of dietary lipid level on growth, lipid metabolism and oxidative status of largemouth bass, Micropterus salmoides. Aquaculture 2019, 506, 394–400. [Google Scholar] [CrossRef]
  29. Tian, J.; Wu, F.; Yang, C.G.; Jiang, M.; Liu, W.; Wen, H. Dietary lipid levels impact lipoprotein lipase, hormone-sensitive lipase, and fatty acid synthetase gene expression in three tissues of adult GIFT strain of Nile tilapia, Oreochromis niloticus. Fish Physiol. Biochem. 2015, 41, 1–18. [Google Scholar] [CrossRef]
  30. Dyck, J.R.B.; Naomi, K.; Amy, J.B.; Stephen, P.D.D. Phosphorylation control of cardiac acetyl-CoA carboxylase by cAMP-dependent protein kinase and 50-AMP activated protein kinase. Eur. J. Biochem. 1999, 262, 184–190. [Google Scholar] [CrossRef] [PubMed]
  31. Kikusato, M.; Sudo, S.; Toyomizu, S. Methionine deficiency leads to hepatic fat accretion via impairment of fatty acid import by carnitine palmitoyltransferasei. Br. Poult. Sci. 2015, 56, 225–261. [Google Scholar] [CrossRef]
  32. Efeyan, A.; Comb, W.C.; Sabatini, D.M. Nutrient-sensing mechanisms and pathways. Nature 2015, 517, 302–310. [Google Scholar] [CrossRef] [Green Version]
  33. Shimano, H.; Sato, R. SREBP-regulated lipid metabolism: Convergent physiology-divergent pathophysiology. Nat. Rev. Endocrinol. 2017, 13, 710–730. [Google Scholar] [CrossRef] [PubMed]
  34. Matsuda, M.; Korn, B.S.; Hammer, R.E.; Moon, Y.A.; Komuro, R.; Horton, J.D.; Goldstein, J.L.; Brown, M.S.; Shimomura, I. SREBP cleavage-activating protein (SCAP) is required for increased lipid synthesis in liver induced by cholesterol deprivation and insulin elevation. Genes Dev. 2001, 15, 1206–1216. [Google Scholar] [CrossRef] [Green Version]
  35. Bougarne, N.; Weyers, B.; Desmet, S.J.; Deckers, J.; Ray, D.W.; Staels, B.; Bosscher, K.D. Molecular actions of PPAR α in lipid metabolism and inflammation. Endocr. Soc. 2018, 39, 760–802. [Google Scholar]
  36. Ahmadian, M.; Suh, J.M.; Hah, N.; Liddle, C.; Atkins, A.R.; Downes, M.; Evans, R.M. PPARγsignaling and metabolism: The good, the bad and the future. Nat. Med. 2013, 19, 557–566. [Google Scholar] [CrossRef] [Green Version]
  37. Take, K.; Mochida, T.; Maki, T.; Satomi, Y.; Hirayama, M.; Nakakariya, M.; Amano, N.; Adachi, R.; Sato, K.; Kitazak, T. Pharmacological Inhibition of Monoacylglycerol O-Acyltransferase 2 Improves Hyperlipidemia, Obesity, and Diabetes by Change in Intestinal Fat Utilization. PLoS ONE 2016, 11, e150976. [Google Scholar]
  38. Choi, C.S.; Savage, D.B.; Kulkarni, A.; Yu, X.X.; Liu, Z.; Morino, K.; Kim, S.; Distefano, A.; Samuel, V.T.; Neschen, S. Reverses Diet-induced Hepatic Steatosis DGAT, with Antisense Oligonucleotides Acyltransferase-2 (DGAT2), but Not Suppression of Diacylglycerol. J. Biol. Chem. 2007, 282, 22678–22688. [Google Scholar] [CrossRef] [Green Version]
  39. Chen, G.H.; Luo, Z.; Chen, F.; Shi, X.; Song, Y.F.; You, W.J.; Liu, X. PPARα, PPARγ and SREBP-1 pathways mediated waterborne iron (Fe)-induced reduction in hepatic lipid deposition of javelin goby Synechogobius hasta. Comp. Biochem. Physiol. Part C Toxicol. Pharmacol. 2017, 197, 8–18. [Google Scholar] [CrossRef] [PubMed]
  40. Al-Dwairi, A.; Brown, A.R.; Pabona, J.M.; Van, T.H.; Hamdan, H.; Mercado, C.P.; Quick, C.M.; Wight, P.A.; Simmen, R.C.M.; Simmen, F.A. Enhanced gastrointestinal expression of cytosolic malic enzyme (ME1) induces intestinal and liver lipogenic gene expression and intestinal cell proliferation in mice. PLoS ONE 2014, 9, e113058. [Google Scholar]
  41. Park, J.; Rho, H.K.; Kim, K.H.; Choe, S.S.; Lee, Y.S.; Kim, J.B. Overexpression of Glucose-6-Phosphate Dehydrogenase Is Associated with Lipid Dysregulation and Insulin Resistance in Obesity. Mol. Cell. Biol. 2005, 25, 5146–5157. [Google Scholar] [CrossRef] [Green Version]
  42. Blahova, Z.; Harvey, T.N.; Psenicka, M.; Mraz, J. Assessment of Fatty Acid Desaturase (Fads2) Structure-Function Properties in Fish in the Context of Environmental Adaptations and as a Target for Genetic Engineering. Biomolecules 2020, 10, 206–219. [Google Scholar] [CrossRef] [PubMed] [Green Version]
  43. Xu, H.L.; Ferosekhan, S.; Turkmen, S.; Afonso, J.M.; Zamorano, M.J.; Izquierdo, M. Influence of Parental Fatty Acid Desaturase 2 (fads2) Expression and Diet on Gilthead Seabream (Sparus aurata) Offspring fads2 Expression during Ontogenesis. Animals 2020, 10, 2191. [Google Scholar] [CrossRef]
  44. Tian, J.; Wen, H.; Zeng, L.B.; Jiang, M.; Wu, F.; Liu, W.; Yang, C.G. Changes in the activities and mRNA expression levels of lipoprotein lipase (LPL), hormone-sensitive lipase (HSL) and fatty acid synthetase (FAS) of Nile tilapia (Oreochromis niloticus) during fasting and re-feeding. Aquaculture 2013, 400–401, 29–35. [Google Scholar] [CrossRef]
  45. Zheng, J.L.; Hu, W.; Luo, Z.; Zhao, Y.H.; Zhu, Q.L.; Li, X.D. Comparative study on the kinetic behaviour of carnitine palmitoyltransferase I between Javelin gobySynechogobius hasta (carnivorous) and grass carp Ctenopharyngodon idella (herbirovous). Aquac. Nutr. 2013, 19, 665–676. [Google Scholar] [CrossRef]
  46. Chun, H.; Shin, S.H.; Ahn, S.; Shin, D.; Choi, S.; Ahn, J.H.; Bae, M.A. KR-62980 Suppresses Lipid Metabolism Through Inhibition of Cytosolic NADP Isocitrate Dehydrogenase in Zebrafish. Zebrafish 2014, 11, 122–128. [Google Scholar] [CrossRef]
  47. Li, W.X.; Feng, Z.F.; Song, X.J.; Zhu, W.; Hu, Y.J. Cloning, expression and functional characterization of the polyunsaturated fatty acid elongase (ELOVL5) gene from sea cucumber (Apostichopus japonicus). Gene 2016, 593, 217–224. [Google Scholar] [CrossRef]
  48. Chi, S.Y.; He, Y.F.; Zhu, Y.; Tan, B.P.; Dong, X.H.; Yang, Q.H.; Liu, H.Y.; Zhang, S. Dietary methionine affects growth and the expression of key genes involved in hepatic lipogenesis and glucose metabolism in cobia (Rachycentron canadum). Aquac. Nutr. 2019, 26, 123–133. [Google Scholar] [CrossRef]
  49. Li, J.M.; Xu, W.X.; Lai, W.C.; Kong, A.; Zhang, Z.; Pang, Y.N.; Wang, Z.; Shentu, J.K.; Wu, K.S.; Mai, K.S.; et al. Effect of dietary methionine on growth performance, lipid metabolism and antioxidant capacity of large yellow croaker (Larimichthys crocea) fed with high lipid diets. Aquaculture 2021, 536, 736388. [Google Scholar] [CrossRef]
  50. Chen, J.; Chen, J.; Wu, J. Molecular cloning and functional analysis of zebrafish high-density lipoprotein-binding protein. Comp. Biochem. Physiol. Part B Biochem. Mol. Biol. 2003, 136, 117–130. [Google Scholar] [CrossRef]
  51. Wijers, M.; Kuivenhoven, J.A.; van de Sluis, B. The life cycle of the low-density lipoprotein receptor. Curr. Opin. Lipidol. 2015, 26, 82–87. [Google Scholar] [CrossRef] [PubMed]
  52. Kim, O.Y.; Lee, S.; Chung, J.H.; Do, H.J.; Moon, J.; Shin, M. Arginase I and the very low-density lipoprotein receptor are associated with phenotypic biomarkers for obesity. Nutrition 2012, 28, 635–639. [Google Scholar] [CrossRef]
  53. Hu, Y.J.; Zhang, J.Z.; Xue, J.J.; Chu, W.Y.; Hu, Y. Effects of dietary soy isoflavone and soy saponin on growth performance, intestinal structure, intestinal immunity and gut microbiota community on rice field eel (Monopterus albus). Aquaculture 2021, 537, 736506. [Google Scholar] [CrossRef]
  54. Wijerath, W.H.A.S.; Zhang, Y.; Liu, J.H.; Yang, M.X.; Zhang, W.B.; Mai, K.S. Dietary taurine improves muscle growth and texture characteristics in juvenile turbot (Scophthalmus maximus). Aquac. Rep. 2020, 17, 100305. [Google Scholar] [CrossRef]
  55. Jin, M.; Monroig, Ó.; Lu, Y.; Yuan, Y.; Li, Y.; Ding, L.Y.; Tocher, D.R.; Zhou, Q.C. Dietary DHA/EPA ratio affected tissue fatty acid profiles, antioxidant capacity, hematological characteristics and expression of lipid-related genes but not growth in juvenile black seabream (Acanthopagrus schlegelii). PLoS ONE 2017, 12, e176216. [Google Scholar] [CrossRef]
  56. Tang, T.; Hu, Y.; Peng, M.; Chu, W.Y.; Hu, Y.J.; Zhong, L. Effects of high-fat diet on growth performance, lipid accumulation and lipid metabolism-related MicroRNA/gene expression in the liver of grass carp (Ctenopharyngodon idella). Comp. Biochem. Physiol. Part B Biochem. Mol. Biol. 2019, 234, 34–40. [Google Scholar] [CrossRef]
  57. Hu, Y.J.; Hu, Y.; Wu, T.Q.; Chu, W.Y. Effects of High Dietary Levels of Cottonseed Meal and Rapeseed Meal on Growth Performance, Muscle Texture, and Expression of Muscle-Related Genes in Grass Carp. N. Am. J. Aquac. 2019, 81, 235–241. [Google Scholar] [CrossRef]
  58. Livak, K.J.; Schmittgen, T.D. Analysis of Relative Gene Expression Data Using Real-Time Quantitative PCR and the 2−ΔΔCT Method. Methods 2001, 25, 402–408. [Google Scholar] [CrossRef]
Figure 1. Effects of deficient and optimum methionine diets on hepatic H&E-stained images (×200) of M. Albus after 8 weeks.
Figure 1. Effects of deficient and optimum methionine diets on hepatic H&E-stained images (×200) of M. Albus after 8 weeks.
Ijms 22 13379 g001
Figure 2. Effects of deficient and optimum methionine diets on hepatic oil red-O-stained images (×200) of M. Albus after 8 weeks.
Figure 2. Effects of deficient and optimum methionine diets on hepatic oil red-O-stained images (×200) of M. Albus after 8 weeks.
Ijms 22 13379 g002
Figure 3. Effects of dietary methionine on the hepatic lipid metabolism mRNA expression of M. Albus after 8 weeks (n = 3). Single, double, or triple numbers of asterisks were significantly different at p < 0.05, p < 0.01 and p < 0.001, respectively.
Figure 3. Effects of dietary methionine on the hepatic lipid metabolism mRNA expression of M. Albus after 8 weeks (n = 3). Single, double, or triple numbers of asterisks were significantly different at p < 0.05, p < 0.01 and p < 0.001, respectively.
Ijms 22 13379 g003
Figure 4. Correlative analysis of hepatic lipid metabolism gene expression performed using the R Programming Language. Single, double, and triple asterisks were significantly different at p < 0.05, p < 0.01, and p < 0.001, respectively.
Figure 4. Correlative analysis of hepatic lipid metabolism gene expression performed using the R Programming Language. Single, double, and triple asterisks were significantly different at p < 0.05, p < 0.01, and p < 0.001, respectively.
Ijms 22 13379 g004
Figure 5. Effects of dietary methionine on the hepatic lipid metabolism protein expression of M. Albus after 8 weeks (n = 3). Double asterisks were significantly different at p < 0.01, respectively.
Figure 5. Effects of dietary methionine on the hepatic lipid metabolism protein expression of M. Albus after 8 weeks (n = 3). Double asterisks were significantly different at p < 0.01, respectively.
Ijms 22 13379 g005
Table 1. Effects of different levels of methionine on the composition of M. Albus after 8 weeks (wet weight %).
Table 1. Effects of different levels of methionine on the composition of M. Albus after 8 weeks (wet weight %).
Proximate Composition M0M2M4M6M8M10p Value
Moisture77.22 ± 0.4477.48 ± 0.5877.14 ± 0.4777.55 ± 0.6877.81 ± 0.6977.2 ± 0.070.939
Crude ash2.7 ± 0.012.73 ± 0.082.72 ± 0.012.69 ± 0.032.73 ± 0.042.71 ± 0.020.959
Crude lipid1.79 ± 0.02 a2.4 ± 0.11 b2.55 ± 0.12 b2.56 ± 0.06 b3.1 ± 0.03 c2.91 ± 0.06 c<0.001
Crude protein14 ± 0.27 a14.69 ± 0.24 b15.04 ± 0.15 b15.38 ± 0.17 b16.54 ± 0.37 c16.85 ± 0.13 c<0.001
Values are presented as the means ± SEM (n = 3). Values in the same row with the same superscript or the absence of superscripts are not significantly different (p > 0.05) (the same below).
Table 2. Effects of different levels of methionine on the serum biochemical indices of M. Albus after 8 weeks.
Table 2. Effects of different levels of methionine on the serum biochemical indices of M. Albus after 8 weeks.
IndexM0M2M4M6M8M10p Value
1 ACP17.95 ± 0.2 a18.46 ± 0.03 b18.61 ± 0.06 b19.23 ± 0.11 c19.42 ± 0.21 c19.42 ± 0.19 c<0.001
2 AKP149.07 ± 23.6 b116.11 ± 12.57 a,b100.11 ± 2.73 a98.21 ± 2.57 a78.32 ± 3.9 a98.69 ± 17.47 a0.018
3 ALT7.42 ± 0.09 e6.15 ± 0.13 d5.55 ± 0.19 c5.3 ± 0.08 b,c4.74 ± 0.06 a5.1 ± 0.05 b<0.001
4 AST19.25 ± 0.34 d17.9 ± 0.07 c17.64 ± 0.17 c16.47 ± 0.27 b13.17 ± 0.09 a13.38 ± 0.4 a<0.001
5 Glu2.13 ± 0.02 a2.67 ± 0.02 b2.89 ± 0.04 c3.26 ± 0.03 d3.58 ± 0.03 e3.26 ± 0.02 d<0.001
6 TC3.9 ± 0.04 a3.92 ± 0.04 a4.5 ± 0.02 b4.54 ± 0.04 b4.9 ± 0.03 c4.83 ± 0 c<0.001
7 TG1.04 ± 0 a1.14 ± 0.01 b1.14 ± 0.01 b1.25 ± 0.01 c1.62 ± 0.02 d1.27 ± 0.01 c<0.001
8 TP43.05 ± 0.27 a46.01 ± 0.31 b46.82 ± 0.09 b,c47.4 ± 0.54 c50.62 ± 0.31 d51.03 ± 0.42 d<0.001
9 HDL1.55 ± 0.04 a1.75 ± 0.06 a2.5 ± 0.32 b2.76 ± 0.3 b2.94 ± 0.24 b2.78 ± 0.27 b<0.001
10 LDL0.4 ± 0.03 a0.42 ± 0.03 a0.45 ± 0.05 a0.83 ± 0.05 b1.04 ± 0.05 c1.02 ± 0.05 c<0.001
11 VLDL3.06 ± 0.13 d2.69 ± 0.1 c2.44 ± 0.14 c1.93 ± 0.08 b1.29 ± 0.1 a1.82 ± 0.04 b<0.001
12 NEFA87.93 ± 3.78 a90.5 ± 2.52 a94.94 ± 6.42 a118.69 ± 5.43 b136.29 ± 4.23 b121.34 ± 9.8 b<0.001
13 BUN1.09 ± 0.02 a1.16 ± 0.05 ab1.35 ± 0.05 b,c1.43 ± 0.07 c1.47 ± 0.08 c1.49 ± 0.12 c0.001
14 Ba166.08 ± 1.5 a183.37 ± 2.52 ab197.91 ± 2.1 b,c199.19 ± 2.7 b,c212.55 ± 7.35 c215.05 ± 12.36 c<0.001
1 ACP: Acid phosphatase (g/L). 2 AKP: Alkaline phosphatase (mg/L). 3 ALT: Alanine aminotransferase (u/L). 4 AST: Aspartate aminotransferase (u/L). 5 Glu: Glucose (mmol/L). 6 TC: Total cholesterol (mmol/L) 7 TG: Triglyceride (mmol/L). 8 TP: Total protein (g/L). 9 HDL: High-density lipoprotein cholesterol (mmol/L). 10 LDL: Low-density lipoprotein cholesterol (mmol/L). 11 VLDL: Very-low-density lipoprotein (mmol/L). 12 NEFA: Nonesterified Free fatty acids (umol/L). 13 BUN: Blood urea nitrogen (mmol/L). 14 Ba: Blood ammonia (umol/L). Values are presented as means ± SEM (n = 3). Values in the same row with the same superscript or absence of superscripts are not significantly different (p > 0.05). The same below.
Table 3. Effects of different levels of methionine on the hepatic biochemical indices of M. Albus after 8 weeks.
Table 3. Effects of different levels of methionine on the hepatic biochemical indices of M. Albus after 8 weeks.
IndexM0M2M4M6M8M10p Value
1 HL45.35 ± 4.22 a54.37 ± 0.79 b57.8 ± 0.92 bc62.25 ± 0.95 cd64.95 ± 1.42 de68.99 ± 0.66 e<0.001
2 MTTP8.46 ± 0.41 c6.51 ± 0.11 b7.91 ± 0.15 c6.64 ± 0.25 b5.6 ± 0.41 a5.33 ± 0.1 a<0.001
3 Apo-A7.64 ± 0.15 a14.31 ± 0.5 cd12.44 ± 0.73 b13.11 ± 0.25 bc13.64 ± 0.22 bcd14.89 ± 0.72 d<0.001
4 HSL2.83 ± 0.06 d2.36 ± 0.02 c2.19 ± 0.08 c1.91 ± 0.03 b1.53 ± 0.03 a1.9 ± 0.1 b<0.001
5 LPL1.05 ± 0.01 a1.16 ± 0.05 ab1.15 ± 0.09 ab1.22 ± 0.02 b1.39 ± 0.03 c1.16 ± 0.04 ab0.001
6 FAS3.95 ± 0.03 a4.58 ± 0.06 b4.43 ± 0.06 b4.44 ± 0.34 b4.74 ± 0.09 b5.23 ± 0.08 c<0.001
7 ACC9.25 ± 0.24 b7.41 ± 0.24 a7.57 ± 0.39 a7.43 ± 0.65 a7.69 ± 0.32 a6.7 ± 0.57 a0.008
8 CPT1.12 ± 0.04 d1.04 ± 0.01 cd0.95 ± 0.01 c0.96 ± 0.04 c0.82 ± 0.04 b0.69 ± 0.01 a<0.001
9 TG102.13 ± 1.68 a103.16 ± 3.53 a141.19 ± 3.17 b167.94 ± 1.49 c202.84 ± 3.04 e179.79 ± 3.22 d<0.001
10 TC106.43 ± 1.49 a127.09 ± 3.25 b131.4 ± 1.35 b152.83 ± 2.68 c185.41 ± 1.06 e174.89 ± 3.28 d<0.001
11 AKP103.05 ± 1.59 a114.37 ± 0.37 b124.59 ± 1.64 c162.96 ± 3.64 d165.64 ± 1 d163.92 ± 1.93 d<0.001
12 ACP21.09 ± 0.2321.43 ± 0.2921.08 ± 0.1821.8 ± 0.2321.16 ± 0.121.11 ± 0.290.204
13 AST7.22 ± 0.68 a7.89 ± 0.42 a8.47 ± 0.42 a10.19 ± 0.3 b11.54 ± 0.36 c11.78 ± 0.26 c<0.001
14 ALT9.24 ± 0.45 a9.98 ± 0.35 a11.18 ± 0.29 b11.84 ± 0.36 b14.12 ± 0.21 c13.34 ± 0.61 c<0.001
1 HL: hepatic lipase (U/g). 2 MTTP: mirosomal triglygeride transfer protein (pg/mg prot). 3 Apo-A: Apolipoprotein -A (ug/g prot). 4 HSL: hormone-sensitive triglyceride lipase (U/g prot). 5 LPL: lipoprteinlipase (U/g prot). 6 FAS: fatty acid synthetase (U/g prot). 7 ACC: Acetyl CoA carboxylase (U/100 g prot). 8 CPT: carnitine palmitoyltransterase (U/g prot). 9 TG: Triglyceride (umol/g prot). 10 TC: Total cholesterol (umol/g prot). 11 AKP: Alkaline phosphatase (King’s unit/g prot). 12 ACP: Acid phosphatase (King’s unit/g prot). 13 AST: Aspartate aminotransferase (U/g prot). 14 ALT: Alanine aminotransferase (U/g prot).
Table 4. Effects of different levels of methionine on the contents of hepatic amino acids of M. albus after 8 weeks (mg/g).
Table 4. Effects of different levels of methionine on the contents of hepatic amino acids of M. albus after 8 weeks (mg/g).
Amino AcidM0M8p Value
His ☆1.76 ± 0.11.94 ± 0.060.179
Ser3 ± 0.163.16 ± 0.070.422
Arg ☆2.83 ± 0.162.93 ± 0.060.579
Gly3.85 ± 0.184 ± 0.080.479
Asp5.53 ± 0.295.75 ± 0.10.523
Glu8.3 ± 0.18.92 ± 0.220.066
Thr ☆2.95 ± 0.153.01 ± 0.040.719
Ala4.52 ± 0.044.88 ± 0.130.064
Pro2.92 ± 0.133.04 ± 0.030.416
Cys0.08 ± 00.1 ± 0.010.176
Lys ☆4.45 ± 0.214.65 ± 0.090.444
Tyr1.26 ± 0.061.45 ± 0.080.135
Met ☆0.88 ± 0.111.11 ± 0.030.117
Val ☆3.57 ± 0.163.71 ± 0.050.466
Ile ☆2.61 ± 0.122.62 ± 0.050.919
Leu ☆4.99 ± 0.235.17 ± 0.080.496
Phe ☆2.9 ± 0.132.98 ± 0.040.582
Total essential amino acids26.93 ± 1.1828.11 ± 0.420.399
Total non-essential amino acids29.47 ± 0.6531.3 ± 0.160.052
Total amino acids56.39 ± 1.7459.41 ± 0.390.221
* Note: ☆ essential amino acids. Values are presented as the means ± SEM (n = 3). Values were considered not significant at p > 0.05 (the same below).
Table 5. Effects of different levels of methionine on the contents of hepatic fatty acids of M. albus after 8 weeks (mg/100 g).
Table 5. Effects of different levels of methionine on the contents of hepatic fatty acids of M. albus after 8 weeks (mg/100 g).
Fatty AcidM0M8p Value
C14:01.74 ± 0.152.61 ± 1.110.516
C16:07.46 ± 0.47.2 ± 0.320.642
C17:016.11 ± 2.1217.59 ± 6.340.836
C18:07.57 ± 0.47.66 ± 0.390.880
C23:019.47 ± 0.7420.3 ± 1.20.587
1 SFAs52.35 ± 2.655.36 ± 6.620.694
C14:11.95 ± 0.231.26 ± 0.160.067
C16:15.51 ± 0.868.65 ± 4.690.575
C18:122.33 ± 0.7224.58 ± 0.680.086
2 MUFA29.79 ± 1.4134.49 ± 4.850.405
C18:2n-65.9 ± 0.196.71 ± 0.110.020
C20:4n-64.47 ± 0.666.49 ± 1.510.287
3 n-6 PUFA10.37 ± 0.513.2 ± 1.420.134
C20:5n-33 ± 0.093.13 ± 0.520.822
C22:6n-328.75 ± 0.538.42 ± 1.170.020
4 n-3PUFA31.75 ± 0.4241.55 ± 1.680.005
1 SFAs: saturated fatty acids. 2 MUFAs: mono-unsaturated fatty acids. 3 n-6PUFAs: n-6 poly-unsaturated fatty acids. 4 n-3PUFAs: n-3 poly-unsaturated fatty acids.
Table 6. Composition of the diets and levels of nutrition (g/kg).
Table 6. Composition of the diets and levels of nutrition (g/kg).
IngredientsM0M2M4M6M8M10
Fish meal110110110110110110
Soy protein concentrate 400400400400400400
Fish oil404040404040
1 DL-Methionine0246810
Lysine3.63.63.63.63.63.6
Glycine1614121086
Glutamate444444
2 Food Attractant111111
Wheat meal138.4138.4138.4138.4138.4138.4
α- starch 200200200200200200
Brewer yeast505050505050
Choline chloride 555555
Ca(H2PO4)2 202020202020
3 Vitamin and Mineral Premix121212121212
Total100010001000100010001000
Proximate analysis
Dry matter (g/kg)922.66 925.27 928.12928.43923.63924.78
Crude protein (g/kg)445.92 443.41 458.73 447.40 451.84 450.77
Crude lipid (g/kg)67.86 67.1168.6967.7067.9268.07
Crude ash (g/kg)102.60 101.90 100.60 102.60 101.90 100.60
Gross energy (kJ/g)19.10 18.86 18.74 19.17 19.25 19.10
1 DL-Methionine (BR, 99%) was obtained from Shanghai Yuanye Biotechnology Co., Ltd. (Shanghai, China). 2 Attractants: 40% betaine; 20% DMPT; 20% threonine; 10% glycine; 10% inosine-5′-diphosphate trisodium salt. 3 Vitamin and Mineral premix was provided by MGOTer Bio-Tech Co.Ltd (Qingdao, Shandong, China)—premix composition (mg/kg diet): KCl, 200 mg; KI(1%), 60 mg; CoCl2·6H2O (1%), 50 mg; CuSO4·5H2O, 30 mg; FeSO4·H2O, 400 mg; ZnSO4·H2O, 400 mg; MnSO4·H2O, 150 mg; Na2SeO3·5H2O (1%), 65 mg; MgSO4·H2O, 2000 mg; Zeolite power, 3645.85 mg; VB1, 12 mg; Riboflavin, 12 mg; VB6, 8 mg; VB12, 0.05 mg; VK3, 8 mg; Inositol, 100 mg; Pantothenic acid, 40 mg; Niacin acid, 50 mg; Folic acid, 5 mg; Biotin, 0.8 mg; VA, 25 mg; VCP1, 5 mg; VE, 50 mg; VC, 100 mg; Ethoxyquin, 150 mg; wheat meal, 2434.15 mg.
Table 7. The contents of amino acids of experimental diets (g/kg).
Table 7. The contents of amino acids of experimental diets (g/kg).
Amino AcidM0M2M4M6M8M10
His ☆9.7879.6299.9269.7279.9969.768
Ser18.94218.51919.07018.69018.90418.570
Arg ☆23.41723.85423.42523.19923.53523.118
Gly32.73130.51428.36226.27524.13222.012
Asp42.24542.15842.10642.71142.53542.631
Glu75.48475.67375.21575.74275.91875.681
Thr ☆15.51415.23015.55615.92515.41215.881
Ala19.71819.30119.75919.44719.69719.424
Pro20.22719.69720.15320.33020.57520.228
Cys1.0841.0291.0881.0911.0841.094
Lys ☆36.88736.18636.89436.38236.81836.248
Tyr9.8029.7599.8529.0409.3979.634
Met ☆1.8603.7815.9207.7399.60911.525
Val ☆18.64018.21118.63718.37918.59018.323
Ile ☆17.47817.13617.61817.63817.89017.465
Leu ☆29.12529.61229.26729.66629.49329.420
Phe ☆18.45718.10418.55818.22018.56518.100
Trp//////
* Note: ☆ essential amino acids; Trp not detected.
Table 8. The contents of fatty acids in the experimental diets (mg/100 g).
Table 8. The contents of fatty acids in the experimental diets (mg/100 g).
Fatty AcidsM0M2M4M6M8M10
C4:013.2113.7214.49 13.5313.1514.16
C8:05.075.084.91 5.055.045.00
C12:03.133.644.34 3.353.354.37
C13:011.1310.399.71 11.2910.3210.14
C14:0181.39183.69182.55 182.37183.62182.57
C14:12.192.622.81 2.882.702.83
C15:019.9020.2220.52 19.9320.2120.51
C16:0609.04608.96606.58 609.36608.55606.84
C16:16.467.596.88 6.567.586.88
C17:012.5813.7413.65 12.8013.4213.52
C17:16.276.917.33 6.736.977.38
C18:0120.68121.92121.78 121.68121.97121.80
18:1-T16.1616.0917.89 16.1016.0217.86
C18:1N9C415.27410.17418.66 413.30410.15418.53
18:2-T2.743.352.45 2.733.342.46
C18:2N6C17.3516.6318.71 18.3416.8618.12
C20:011.1310.4510.49 10.3010.4010.42
C20:125.4427.3727.27 23.4327.3427.22
C18:3N3235.71235.00236.16 235.11236.65235.11
C20:210.3510.8810.31 10.3610.8510.34
C22:05.845.855.95 5.395.885.91
C22:1N9197.83197.62194.40 197.33197.65196.49
C20:3N332.3731.1734.19 32.7433.1334.16
C20:4N625.2025.8225.45 25.5725.1825.40
C24:0248.36249.92237.64 248.40249.18237.43
C20:5N3101.77100.98101.88 101.17101.90101.89
C24:121.1921.3622.29 21.3921.3223.23
C22:6N3575.88571.14571.93 575.90571.16570.93
Table 9. Primer sequence for q-PCR.
Table 9. Primer sequence for q-PCR.
GeneForward (5′-3′)Reverse (5′-3′)* Accession no.Size (bp)
1 gcn2GGAACTCGTCCTGAACTGTGGTGAAGAACTTGCCTATXM_020586241.1298
2 eif2aCCCCTTCCTTTGTTCGTCGCTGAGGCTTTCTTGTTCCXM_020621840.1121
3 srebf1GAAGACGCCAAGCCAAATGTCCAGATGAGCAAAGCAGGGTXM_020616413.1152
4 srebf2AGGTACAGGTCCTCCATCAACGATCGCCTTCCTCAGCACTCCXM_020624958.1101
5 scapGATGGCAAACCAGAAGAACAAGTCCGAGTCCACGCAGTAAGGXM_020615524.1141
6 mttpAAGATGCTCCAGGCTTTGTTTGTCAGGACCCTCTAAAATCAGXM_020602163.1172
7 hdlbpCCACCCCAGACGACAAAGACGGCGAGCAACAAAATAACGAXM_020609988.1165
8 ldlrapCAGGAAGACAAAAGCAAGAAGGCGAGTGGGGTTACTATGAGGCXM_020617284.1194
9 vldlrACATCCGTCGTTTGGGTCTAGTGGTAGTGTCCCCTCGTTTXM_020601062.1169
10 lplCGTTGACATCGGAGACCTGACAAAGACCACCTTGGACTGAGXM_020613041.1146
11 pparγTTCACAAGAAGTCCCGCAAAAGAACAGGCAGGAAAACAXM_020609689.1203
12 moat2TCTCCCTGCCTCTCTTTCATGTCCACTCCATAGTTGCCTXM_020622089.1213
13 dgat2ACTTCCGCTTTCCCTTGATTCCCTGTCTCGTTATGTGXM_020622054.1104
14 pparαGATGATGCCCTGGGATTTGAAGCCTTGTCTGAGCACACCTGXM_020601270.1186
15 hslCCTGGGCTTTCAGTTTTCACAGGTTCTGGGTAATGCGTTCXM_020597684.1216
16 fasCTGTCCGAGGCGGCATAATCCTGTTCCTTCCCCTTCTGGXM_020608884.1189
17 fads2CAGCATCACGCTAAACCCAGCGAAGATAAAATGTCAAGGCGQ258116.1261
18 me1TCTTCTATCGGGTGCTAATGTAGCCCTGATGTCTTTTTCCXM_020621574.1188
19 me2AGGAGACCTTGGTGTTTATGGTGGATTAGTGTGCCGTGCXM_020593804.1252
20 accTCTGACAGCGACCCCTTCTGCCCCACACATTCTTATTGCXM_020598745.1136
21 cpt1CCTGGAAGAAGCGTGTCATCAGACTGACTGGCAGGTGCTCCTGTATCXM_020625222.1168
22 cpt2GCCATCTTCTGTCTCTGCCAAGGACTTGTCATACCACCGXM_020609923.1107
23 icdhGGGTATGATGAGCAGTGAGCTATGGGATTGGTGGAGGTCXM_020620011.1127
24 pfaeAACTACCCACCGACCTTTGATGACCTTGTTATCCACTTCCTGQ258117.1239
25 rpL17CGAGAACCCGACTAAATCAGTTGTAGCGACGGAAAGGXM_020587712.1169
1 gcn2: general control non-derepressible. 2 eif2a: eukaryotic translation initiation factor 2. 3 srebf1: sterol regulatory element binding transcription factor 1. 4 srebf2: sterol regulatory element binding transcription factor 2. 5 scap: SREBF chaperone. 6 mttp: microsomal triglyceride transfer protein. 7 hdlbp: high density lipoprotein binding protein. 8 ldlrap: low density lipoprotein receptor adapter protein. 9 vldlr: very-low-density lipoprotein receptor. 10 lpl: lipoprotein lipase. 11 pparγ: peroxisome proliferators-activated receptor γ. 12 mogat2: monoacylglycerol O-acyltransferase 2. 13 dgat2: diacylglycerol acyltransferase 2. 14 pparα: peroxisome proliferator-activated receptor α. 15 hsl: hormone-sensitive lipase. 16 fas: fatty acid synthase. 17 fads2: fatty acid desaturase 2. 18 me1: malic enzyme 1. 19 me2: malic enzyme 2. 20 acc: acetyl-CoA carboxylase. 21 cpt1: carnitine palmitoyltransferase 1. 22 cpt2: carnitine palmitoyltransferase 2. 23 icdh: isocitrate dehydrogenase. 24 pfae: polyunsaturated fatty acid elongase. 25 rpl17: ribosomal protein L17, it is reference gene. * NCBI Reference Sequence.
Publisher’s Note: MDPI stays neutral with regard to jurisdictional claims in published maps and institutional affiliations.

Share and Cite

MDPI and ACS Style

Hu, Y.; Cai, M.; Zhong, H.; Chu, W.; Hu, Y. A Study on How Methionine Restriction Decreases the Body’s Hepatic and Lipid Deposition in Rice Field Eel (Monopterus albus). Int. J. Mol. Sci. 2021, 22, 13379. https://doi.org/10.3390/ijms222413379

AMA Style

Hu Y, Cai M, Zhong H, Chu W, Hu Y. A Study on How Methionine Restriction Decreases the Body’s Hepatic and Lipid Deposition in Rice Field Eel (Monopterus albus). International Journal of Molecular Sciences. 2021; 22(24):13379. https://doi.org/10.3390/ijms222413379

Chicago/Turabian Style

Hu, Yajun, Minglang Cai, Huan Zhong, Wuying Chu, and Yi Hu. 2021. "A Study on How Methionine Restriction Decreases the Body’s Hepatic and Lipid Deposition in Rice Field Eel (Monopterus albus)" International Journal of Molecular Sciences 22, no. 24: 13379. https://doi.org/10.3390/ijms222413379

APA Style

Hu, Y., Cai, M., Zhong, H., Chu, W., & Hu, Y. (2021). A Study on How Methionine Restriction Decreases the Body’s Hepatic and Lipid Deposition in Rice Field Eel (Monopterus albus). International Journal of Molecular Sciences, 22(24), 13379. https://doi.org/10.3390/ijms222413379

Note that from the first issue of 2016, this journal uses article numbers instead of page numbers. See further details here.

Article Metrics

Back to TopTop