GntR-like SCO3932 Protein Provides a Link between Actinomycete Integrative and Conjugative Elements and Secondary Metabolism
Abstract
1. Introduction
2. Results
2.1. SCO3932 Is a Potential Regulator of Cpk Cluster
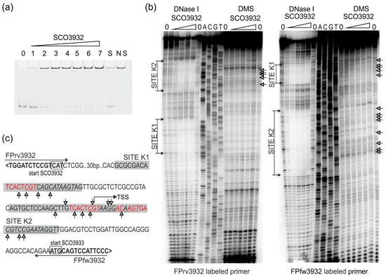
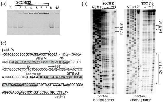
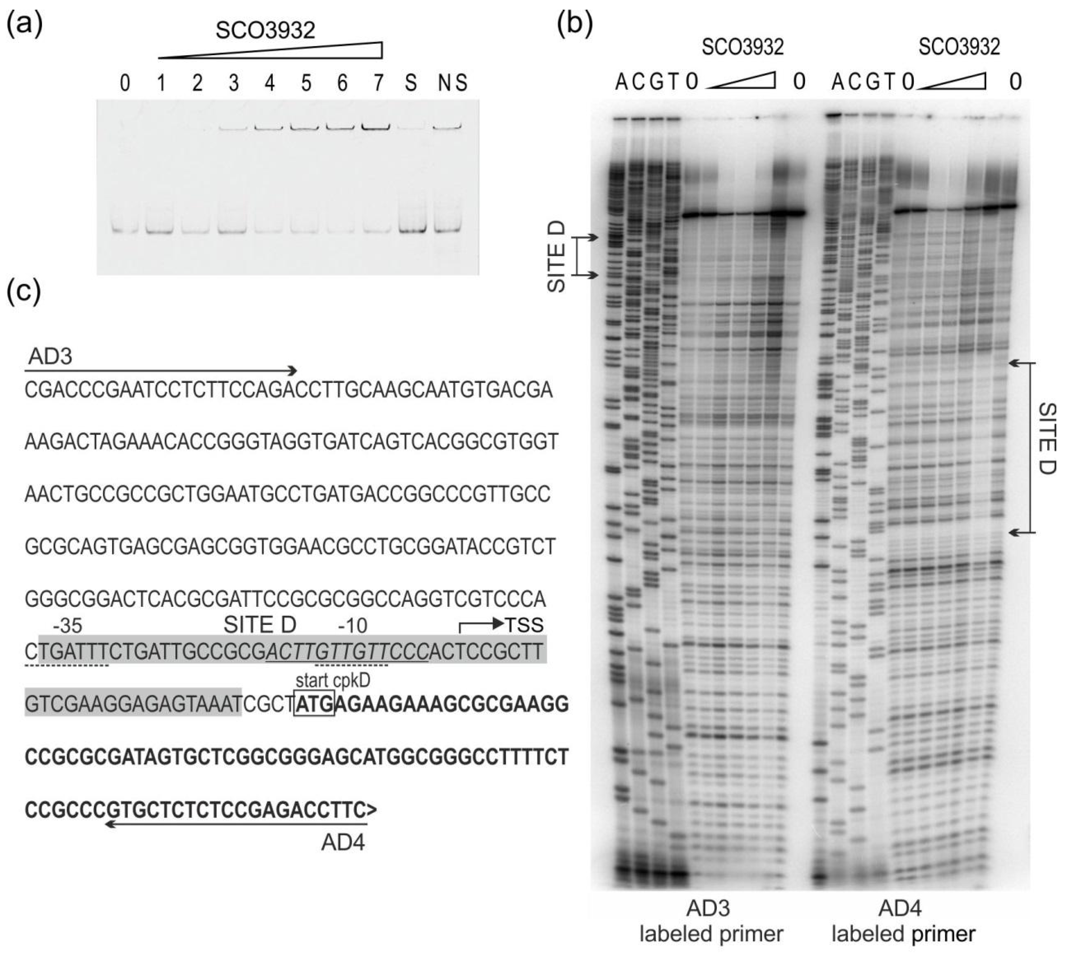
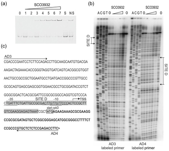
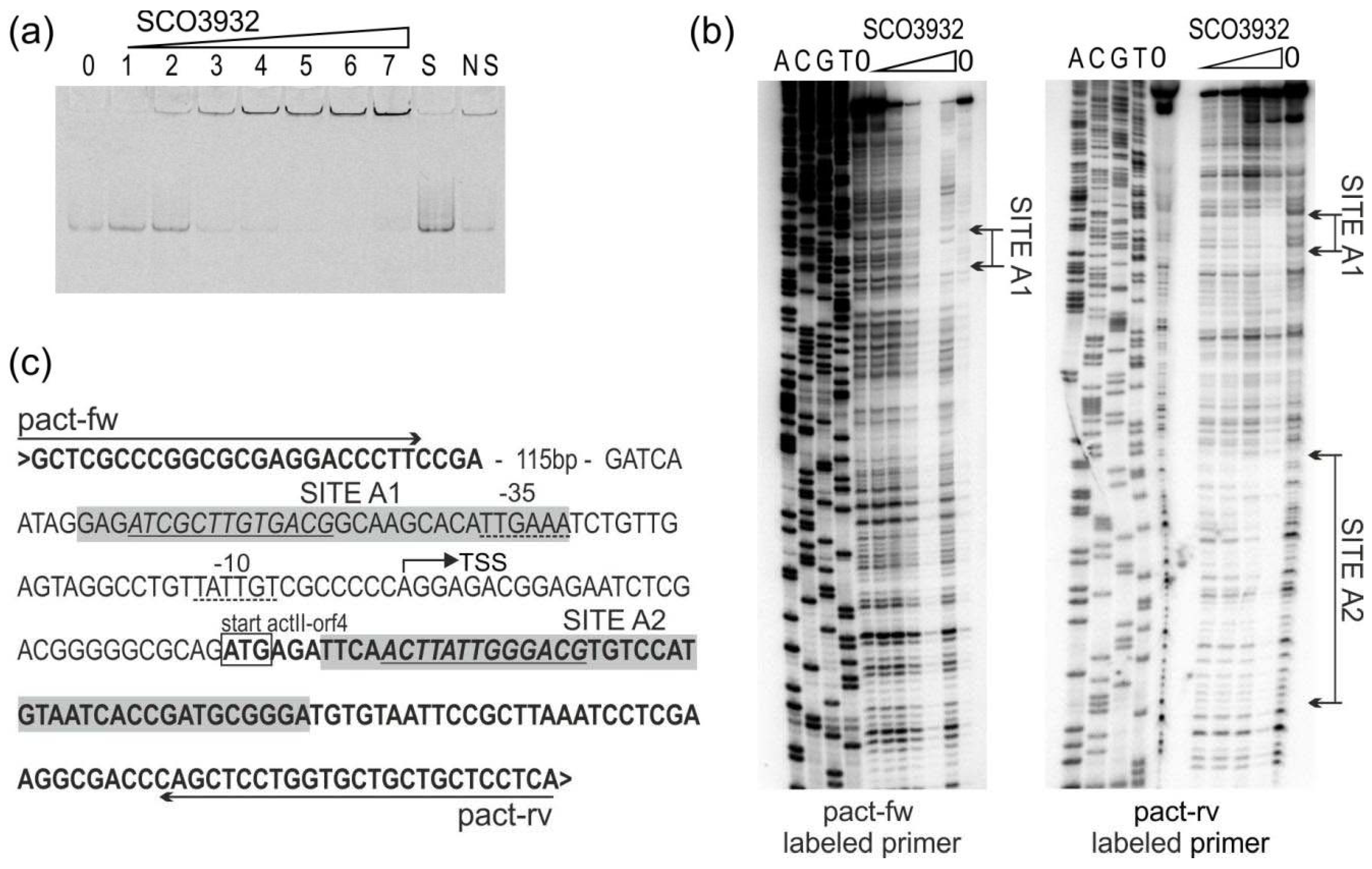
2.2. Protein SCO3932 Binds to Its Own Promoter and to Promoters of Secondary Metabolism-Related Genes




2.3. Binding of SCO3932 to Its Targets In Vivo
2.4. Impact of SCO3932 Overexpression on Secondary Metabolism
3. Discussion
3.1. Role of SCO3932 within the AICE
3.2. Participation of SCO3932 in Secondary Metabolism Regulation
4. Materials and Methods
4.1. DNA Manipulation and Bacterial Strains Growth Conditions
4.2. DNA Affinity Chromatography
4.3. SCO3932 Protein Overproduction in E. coli
4.4. Electrophoretic Mobility Shift Assay (EMSA)
4.5. DNaseI Footprint
4.6. DMS Footprint
4.7. Chromatin Immunoprecipitation (ChIP)
4.8. Construction of Overexpression and Deletion Mutant Strains
4.9. Promoter Activity Measurement
Author Contributions
Funding
Institutional Review Board Statement
Informed Consent Statement
Data Availability Statement
Acknowledgments
Conflicts of Interest
References
- Hopwood, D.A. Streptomyces in Nature and Medicine: The Antibiotic Makers; Oxford University Press: Oxford, MI, USA, 2007; ISBN 978-0195150667. [Google Scholar]
- van Wezel, G.P.; McDowall, K.J. The regulation of the secondary metabolism of Streptomyces: New links and experimental advances. Nat. Prod. Rep. 2011, 28, 1311. [Google Scholar] [CrossRef] [PubMed]
- Liu, G.; Chater, K.F.; Chandra, G.; Niu, G.; Tan, H. Molecular regulation of antibiotic biosynthesis in streptomyces. Microbiol. Mol. Biol. Rev. 2013, 77, 112–143. [Google Scholar] [CrossRef] [PubMed]
- Wei, J.; He, L.; Niu, G. Regulation of antibiotic biosynthesis in actinomycetes: Perspectives and challenges. Synth. Syst. Biotechnol. 2018, 3, 229–235. [Google Scholar] [CrossRef] [PubMed]
- Bentley, S.D.; Chater, K.F.; Cerdeño-Tárraga, A.M.; Challis, G.L.; Thomson, N.R.; James, K.D.; Harris, D.E.; Quail, M.A.; Kieser, H.; Harper, D.; et al. Complete genome sequence of the model actinomycete Streptomyces coelicolor A3(2). Nature 2002, 417, 141–147. [Google Scholar]
- Pawlik, K.; Kotowska, M.; Kolesiński, P. Streptomyces coelicolor A3(2) produces a new yellow pigment associated with the polyketide synthase Cpk. J. Mol. Microbiol. Biotechnol. 2010, 19, 147–151. [Google Scholar] [CrossRef] [PubMed]
- Gottelt, M.; Kol, S.; Gomez-Escribano, J.P.; Bibb, M.; Takano, E. Deletion of a regulatory gene within the cpk gene cluster reveals novel antibacterial activity in Streptomyces coelicolor A3(2). Microbiology 2010, 156, 2343–2353. [Google Scholar] [CrossRef] [PubMed]
- Gomez-Escribano, J.P.; Song, L.; Fox, D.J.; Yeo, V.; Bibb, M.J.; Challis, G.L. Structure and biosynthesis of the unusual polyketide alkaloid coelimycin P1, a metabolic product of the cpk gene cluster of Streptomyces coelicolor M145. Chem. Sci. 2012, 3, 2716. [Google Scholar] [CrossRef]
- Challis, G.L. Exploitation of the Streptomyces coelicolor A3(2) genome sequence for discovery of new natural products and biosynthetic pathways. J. Ind. Microbiol. Biotechnol. 2014, 41, 219–232. [Google Scholar] [CrossRef] [PubMed]
- Bednarz, B.; Kotowska, M.; Pawlik, K.J. Multi-level regulation of coelimycin synthesis in Streptomyces coelicolor A3(2). Appl. Microbiol. Biotechnol. 2019, 103, 6423–6434. [Google Scholar] [CrossRef]
- Nieselt, K.; Battke, F.; Herbig, A.; Bruheim, P.; Wentzel, A.; Jakobsen, Ø.M.; Sletta, H.; Alam, M.T.; Merlo, M.E.; Moore, J.; et al. The dynamic architecture of the metabolic switch in Streptomyces coelicolor. BMC Genom. 2010, 11, 10. [Google Scholar] [CrossRef]
- Bednarz, B.; Millan-Oropeza, A.; Kotowska, M.; Świat, M.; Quispe Haro, J.J.; Henry, C.; Pawlik, K. Coelimycin Synthesis Activatory Proteins Are Key Regulators of Specialized Metabolism and Precursor Flux in Streptomyces coelicolor A3(2). Front. Microbiol. 2021, 12, 616050. [Google Scholar] [CrossRef]
- Takano, E.; Kinoshita, H.; Mersinias, V.; Bucca, G.; Hotchkiss, G.; Nihira, T.; Smith, C.P.; Bibb, M.; Wohlleben, W.; Chater, K. A bacterial hormone (the SCB1) directly controls the expression of a pathway-specific regulatory gene in the cryptic type I polyketide biosynthetic gene cluster of Streptomyces coelicolor. Mol. Microbiol. 2005, 56, 465–479. [Google Scholar] [CrossRef] [PubMed]
- Li, X.; Wang, J.; Li, S.; Ji, J.; Wang, W.; Yang, K. ScbR- and ScbR2-mediated signal transduction networks coordinate complex physiological responses in Streptomyces coelicolor. Sci. Rep. 2015, 5, 14831. [Google Scholar] [CrossRef] [PubMed]
- Huang, J.; Shi, J.; Molle, V.; Sohlberg, B.; Weaver, D.; Bibb, M.J.; Karoonuthaisiri, N.; Lih, C.J.; Kao, C.M.; Buttner, M.J.; et al. Cross-regulation among disparate antibiotic biosynthetic pathways of Streptomyces coelicolor. Mol. Microbiol. 2005, 58, 1276–1287. [Google Scholar] [CrossRef]
- Pernodet, J.L.; Simonet, J.M.; Guérineau, M. Plasmids in different strains of Streptomyces ambofaciens: Free and integrated form of plasmid pSAM2. MGG Mol. Gen. Genet. 1984, 198, 35–41. [Google Scholar] [CrossRef] [PubMed]
- Pawlik, K.; Kotowska, M.; Chater, K.F.; Kuczek, K.; Takano, E. A cryptic type I polyketide synthase (cpk) gene cluster in Streptomyces coelicolor A3(2). Arch. Microbiol. 2007, 187, 87–99. [Google Scholar] [CrossRef]
- te Poele, E.M.; Bolhuis, H.; Dijkhuizen, L. Actinomycete integrative and conjugative elements. Antonie Leeuwenhoek 2008, 94, 127–143. [Google Scholar] [CrossRef] [PubMed]
- Tsypik, O.; Yushchuk, O.; Zaburannyi, N.; Flärdh, K.; Walker, S.; Fedorenko, V.; Ostash, B. Transcriptional regulators of GntR family in Streptomyces coelicolor A3(2): Analysis in silico and in vivo of YtrA subfamily. Folia Microbiol. 2016, 61, 209–220. [Google Scholar] [CrossRef]
- Rigali, R.; Derouaux, A.; Giannotta, F.; Dusart, J. Subdivision of the helix-turn-helix GntR family of bacterial regulators in the FadR, HutC, MocR, and YtrA subfamilies. J. Biol. Chem. 2002, 277, 12507–12515. [Google Scholar] [CrossRef]
- Aravind, L.; Anantharaman, V. HutC/FarR-like bacterial transcription factors of the GntR family contain a small molecule-binding domain of the chorismate lyase fold. FEMS Microbiol. Lett. 2003, 222, 17–23. [Google Scholar] [CrossRef]
- Uguru, G.C.; Stephens, K.E.; Stead, J.A.; Towle, J.E.; Baumberg, S.; McDowall, K.J. Transcriptional activation of the pathway-specific regulator of the actinorhodin biosynthetic genes in Streptomyces coelicolor. Mol. Microbiol. 2005, 58, 131–150. [Google Scholar] [CrossRef]
- Park, S.-S.S.; Yang, Y.-H.H.; Song, E.; Kim, E.-J.J.; Kim, W.S.; Sohng, J.K.; Lee, H.C.; Liou, K.K.; Kim, B.-G.G. Mass spectrometric screening of transcriptional regulators involved in antibiotic biosynthesis in Streptomyces coelicolor A3(2). J. Ind. Microbiol. Biotechnol. 2009, 36, 1073–1083. [Google Scholar] [CrossRef]
- Bailey, T.L.; Elkan, C. The value of prior knowledge in discovering motifs with MEME. Proc. Int. Conf. Intell. Syst. Mol. Biol. 1995, 3, 21–29. [Google Scholar] [PubMed]
- Jeong, Y.; Kim, J.N.; Kim, M.W.; Bucca, G.; Cho, S.; Yoon, Y.J.; Kim, B.G.; Roe, J.H.; Kim, S.C.; Smith, C.P.; et al. The dynamic transcriptional and translational landscape of the model antibiotic producer Streptomyces coelicolor A3(2). Nat. Commun. 2016, 7, 11605. [Google Scholar] [CrossRef]
- Bibb, M.J.; White, J.; Ward, J.M.; Janssen, G.R. The mRNA for the 23S rRNA methylase encoded by the ermE gene of Saccharopolyspora erythraea is translated in the absence of a conventional ribosome-binding site. Mol. Microbiol. 1994, 14, 533–545. [Google Scholar] [CrossRef]
- Esnault, E.; Raynal, A.; Pernodet, J.-L. pSAM2, a paradigm for a family of Actinomycete Integrative and Conjugative Elements. In Bacterial Integrative Mobile Genetic Elements; Roberts, A., Mullany, P., Eds.; Landes Bioscience: Austin, TX, USA, 2013. [Google Scholar]
- Hagege, J.; Pernodet, J.L.; Sezonov, G.; Gerbaud, C.; Friedmann, A.; Guerineau, M. Transfer functions of the conjugative integrating element pSAM2 from Streptomyces ambofaciens: Characterization of a kil-kor system associated with transfer. J. Bacteriol. 1993, 175, 5529–5538. [Google Scholar] [CrossRef] [PubMed][Green Version]
- Sezonov, G.; Possoz, C.; Friedmann, A.; Pernodet, J.L.; Guérineau, M. KorSA from the Streptomyces integrative element pSAM2 is a central transcriptional repressor: Target genes and binding sites. J. Bacteriol. 2000, 182, 1243–1250. [Google Scholar] [CrossRef]
- Sezonov, G.; Duchêne, A.M.; Friedmann, A.; Guérineau, M.; Pernodet, J.L. Replicase, excisionase, and integrase genes of the Streptomyces element pSAM2 constitute an operon positively regulated by the pra gene. J. Bacteriol. 1998, 180, 3056–3061. [Google Scholar] [CrossRef] [PubMed]
- Xu, Y.; Heath, R.J.; Li, Z.; Rock, C.O.; White, S.W. The Fad·RDNA complex. Transcriptional control of fatty acid metabolism in Escherichia coli. J. Biol. Chem. 2001, 276, 17373–17379. [Google Scholar] [CrossRef]
- Blancato, V.S.; Pagliai, F.A.; Magni, C.; Gonzalez, C.F.; Lorca, G.L. Functional analysis of the citrate activator CitO from Enterococcus faecalis implicates a divalent metal in ligand binding. Front. Microbiol. 2016, 7, 101. [Google Scholar] [CrossRef]
- Sambrook, J.; Russell, D.W. Molecular Cloning: A Laboratory Manual, III; Cold Spring Harbor Laboratory Press: New York, NY, USA, 2001. [Google Scholar]
- Kieser, T.; Bibb, M.J.; Buttner, M.J.; Chater, K.F.; Hopwood, D.A. Practical Streptomyces Genetics; John Innes Cent. Ltd.: Norwich, UK, 2000; p. 529. [Google Scholar]
- Wilkinson, C.J.; Hughes-Thomas, Z.A.; Martin, C.J.; Böhm, I.; Mironenko, T.; Deacon, M.; Wheatcroft, M.; Wirtz, G.; Staunton, J.; Leadlay, P.F. Increasing the efficiency of heterologous promoters in actinomycetes. J. Mol. Microbiol. Biotechnol. 2002, 4, 417–426. [Google Scholar]
- Hong, H.J.; Hutchings, M.I.; Hill, L.M.; Buttner, M.J. The role of the novel fem protein VanK in vancomycin resistance in Streptomyces coelicolor. J. Biol. Chem. 2005, 280, 13055–13061. [Google Scholar] [CrossRef]
- Bierman, M.; Logan, R.; O’Brien, K.; Seno, E.T.; Nagaraja Rao, R.; Schoner, B.E. Plasmid cloning vectors for the conjugal transfer of DNA from Escherichia coli to Streptomyces spp. Gene 1992, 116, 43–49. [Google Scholar] [CrossRef]
- Szafran, M.J.; Gongerowska, M.; Gutkowski, P.; Zakrzewska-Czerwińska, J.; Jakimowicz, D. The Coordinated Positive Regulation of Topoisomerase Genes Maintains Topological Homeostasis in Streptomyces coelicolor. J. Bacteriol. 2016, 198, 3016–3028. [Google Scholar] [CrossRef] [PubMed][Green Version]
- Sasse-Dwight, S.; Gralla, J.D. Footprinting Protein-DNA Complexes in Vivo. Methods Enzymol. 1991, 208, 146–168. [Google Scholar] [CrossRef] [PubMed]
- Bassam, M.M.; Bibb, M.J.; Bush, M.J.; Chandra, G.; Buttner, M.J. Response Regulator Heterodimer Formation Controls a Key Stage in Streptomyces Development. PLoS Genet. 2014, 10, e1004554. [Google Scholar] [CrossRef]


| Nr | Protein Name | Mass [Da] | Score | Matches | emPAI * |
|---|---|---|---|---|---|
| 1 | hypothetical protein SCO7102 | 19196 | 987 | 19 | 2.40 |
| 2 | transcriptional regulator GntR type SCO3932 | 28559 | 386 | 13 | 2.15 |
| 3 | DNA binding protein SCO1926 | 27119 | 112 | 2 | 0.25 |
| 4 | transcriptional regulator IclR type SCO1872 | 28494 | 107 | 2 | |
| 5 | DNA binding protein SCO6003 | 31958 | 94 | 1 |
| Primer | Sequence | Amplified Fragment; Description |
|---|---|---|
| Sc3932FW | GGATCCCATATGACGGAGATCCAGCGC | gene SCO3932; for expression |
| Sc3932RV | GAATTCTCAAAGCTTGGTCTGGCGGCGTCGGGT | |
| 3932LRFw | AAGCTTACGTGGTGAACCATGCAGT | Upstream flanking arm for deletion of SCO3932 |
| 3932LRRv | CTGCAGAGACCTGACCGGCGA CGA | |
| 3932PRFw | GGATCCGGCGAACTCGCCCGAAAG | Downstream flanking arm for deletion of SCO3932 |
| 3932LRFw | AAGCTTACGTGGTGAACCATGCAGT | |
| p3932FW | GGGAATGGACTGCATTTCTG | p3932/3933; SCO3932 and SCO3933 intergenic region for EMSA |
| p3932RV | GAACTCGCCCGAAAGGAT | |
| FPrv3932 | AAGAATTCTGGATCTCCGTCATCTC | detection of SCO3932 and SCO3933 intergenic region in ChIP-PCR experiment, primers used for footprint |
| FPfw3932 | AAGGATCCGAATGGACTGCATTTCTG | |
| CTR1-BT | biotin-TCGCCTGGAGAACGGGCC | control fragment, biotinylated |
| CTR2 | CGGAATTCGTCGACGGAGCCACCGGCTTC | |
| CTR3 | CGTTAAATGCCTGGACTGTG | control fragment in ChIP-PCR experiment |
| CTR4 | TGTAGCGGATGCCGATGTT | |
| AD1-BT | biotin-GTGACGTTCGCGAAGGTCTCG | pcpkA/D-BT; cpkA and cpkD intergenic fragment, biotinylated |
| AD2 | GACAGTCCCACGACAGCGATC | |
| AD3 | CGACCCGAATCCTCTTCCAGA | primer for footprint |
| AD4 | GAAGGTCTCGGAGAGAGCAC | pcpkA/D; cpkA and cpkD intergenic fragment for EMSA, AD4 primer was used for footprint |
| AD5 | CAGGACAGTCCCACGACAG | |
| AD6 | GGAGAAAAGGCCCGCCATGCT | primer used together with AD3 for detection of cpkA and cpkD intergenic region in ChIP-PCR experiment, |
| pact-fw | CGCTCGCCCGGCGCGAGGACCCTTC | pactII-orf4; promoter of gene actII-orf4 for EMSA, primers used for footprint and for ChIP-PCR experiment |
| pact-rv | TGAGGAGCAGCAGCACCAGGAGCTG | |
| pactII-orf4_Bam_F | GGATCCCTGCTGATCGCGAGCGTGG | promoter of gene actII-orf4 for cloning into reporter vector pFLUXH |
| pactII-orf4_Nde_R | CATATGCGCCCCCGTCGAGATTCTC | |
| pTZBAM-800 | IRD800-ATGCAGGCCTCTGCA | IRDye 800 labeled primers flanking the cloning site of pTZ57R/T vector |
| pTZXBA-800 | IRD800-TCGGTACCTCGCGAA |
| Strain or Plasmid | Relevant Genotype or Description | Source or Reference |
|---|---|---|
| E. coli | ||
| DH5α | F- endA1 glnV44 thi-1 recA1 relA1 gyrA96 deoR nupG Φ80dlacZΔM15 Δ(lacZYA-argF)U169, hsdR17(rK- mK+), λ– | Promega |
| BL21(DE3)pLysS | F-, ompT, hsdSB (rB-, mB-), gal, dcm (DE3), pLysS (CamR) | Promega |
| ET12567/pUZ8002 | strain for conjugal transfer of DNA from E. coli to Streptomyces (dam dcm hsdS CamR TetR on the bacterial chromosome; tra KanR RP4 23 on pUZ8002) | [34] |
| S. coelicolor A3(2) | ||
| M145 | wild type strain, a plasmidless variant of S. coelicolor A3(2) (SCP1- SCP2-) | [34] |
| P170 | overproduction of SCO3932 from a strong constitutive promoter ermEp* on a multicopy plasmid (M145 + pKL20) | this work |
| P123 | control with empty plasmid (M145 + pCJW93) | this work |
| P171 | overproduction of SCO3932 from a thiostrepton inducible promoter PtipA on an integrative plasmid (M145 + pKL21) | this work |
| P106 | control with empty plasmid (M145 + pIJ6902) | this work |
| M145 and P171 derivatives for luciferase reporter assay | M145 and P171 harbouring either pFLUXH-pcpkD or pFLUXH-pactII-orf4 | this work |
| Plasmids | ||
| pTZ57R/T | T-vector from InstT/A Cloning kit for direct cloning of PCR products | Thermo Fisher Scientific |
| pGEM-T Easy | T-vector for direct cloning of PCR products | Promega |
| pET21b | plasmid for expression of proteins with C-terminal His-tag (T7 promoter, AmpR) | Novagen |
| pCJW93 | high copy number plasmid, ApraR (aac3(IV)), oriT (RK2), ThioR (tsr), PtipA, | [35] |
| pWP3 | pCJW93 in which PtipA promoter was cut out with NdeI i DraI and replaced with ermEp* promoter from pIJ10257 plasmid (digested with KpnI, 3′ overhang blunted, digested with NdeI), ApraR (aac3(IV)), oriT (RK2), ThioR (tsr), promotor ermE*p) | this work |
| pIJ6902 | integrative vector, AprR (acc3(IV)), oriT (RK2), ThioR (tsr), PtipA | [15] |
| pIJ10257 | ΦBT1 integrating overexpression plasmid containing strong constitutive promoter ermEp*, HygR | [36] |
| pMZ10 | gene SCO3932 amplified with primers Sc3932FW and Sc3932FW in pGEM-T Easy | this work |
| pMZ16 | gene SCO3932 cut out from pMZ10 with NdeI and HindIII cloned in the corresponding sites of pET21b | this work |
| pKL20 | gene SCO3932 cut out from pMZ10 with NdeI and EcoRI cloned in the corresponding sites of pWP3 | this work |
| pKL21 | gene SCO3932 cut out from pMZ10 with NdeI and EcoRI cloned in the corresponding sites of pIJ6902 | this work |
| pOJ260 | vector for conjugal transfer from E. coli to Streptomyces, non-integrative, (ApraR), does not propagate in Streptomyces | [37] |
| pMB12 | pOJ260 with the Upstream flanking arm | this work |
| pMB13 | pOJ260 with the Upstream and Downstream flanking arms | this work |
| pMB14 | pOJ260 with the neomycin resistance cassette cloned between the Upstream and Downstream flanking arms to replace SCO3932 gene | this work |
| pTZ-pactII-orf4 | promoter of actII-orf4, amplified with primers pact-fw and pact-rv, in pTZ57R/T, used as template to amplify IRD labeled pactII-orf4 fragment for EMSA | this work |
| pTZ-pcpkA/D | fragment pcpkA/D, amplified with primers AD4 and AD5, in pTZ57R/T | this work |
| pTZ-p3932 | fragment p3932/33, amplified with primers FPrv3932 and FPfw3932, in pTZ57R/T | this work |
| pTZ57R-T-pactII-orf4 | promoter of actII-orf4, amplified with primers pactII-orf4_Bam_F and pactII-orf4_Nde_R, in pTZ57R/T | this work |
| pFLUXH | ΦBT1 integrating reporter plasmid with a promoterless luciferase operon luxCDAEB | [38] |
| pFLUXH-pcpkD | pFLUXH containing promoter region of cpkD | [12] |
| pFLUXH-pactII-orf4 | promoter region of actII-orf4 cut out from pTZ57R-T-pactII-orf4 with BamHI and NdeI and cloned into pFLUXH | this work |
Publisher’s Note: MDPI stays neutral with regard to jurisdictional claims in published maps and institutional affiliations. |
© 2021 by the authors. Licensee MDPI, Basel, Switzerland. This article is an open access article distributed under the terms and conditions of the Creative Commons Attribution (CC BY) license (https://creativecommons.org/licenses/by/4.0/).
Share and Cite
Pawlik, K.J.; Zelkowski, M.; Biernacki, M.; Litwinska, K.; Jaworski, P.; Kotowska, M. GntR-like SCO3932 Protein Provides a Link between Actinomycete Integrative and Conjugative Elements and Secondary Metabolism. Int. J. Mol. Sci. 2021, 22, 11867. https://doi.org/10.3390/ijms222111867
Pawlik KJ, Zelkowski M, Biernacki M, Litwinska K, Jaworski P, Kotowska M. GntR-like SCO3932 Protein Provides a Link between Actinomycete Integrative and Conjugative Elements and Secondary Metabolism. International Journal of Molecular Sciences. 2021; 22(21):11867. https://doi.org/10.3390/ijms222111867
Chicago/Turabian StylePawlik, Krzysztof J., Mateusz Zelkowski, Mateusz Biernacki, Katarzyna Litwinska, Pawel Jaworski, and Magdalena Kotowska. 2021. "GntR-like SCO3932 Protein Provides a Link between Actinomycete Integrative and Conjugative Elements and Secondary Metabolism" International Journal of Molecular Sciences 22, no. 21: 11867. https://doi.org/10.3390/ijms222111867
APA StylePawlik, K. J., Zelkowski, M., Biernacki, M., Litwinska, K., Jaworski, P., & Kotowska, M. (2021). GntR-like SCO3932 Protein Provides a Link between Actinomycete Integrative and Conjugative Elements and Secondary Metabolism. International Journal of Molecular Sciences, 22(21), 11867. https://doi.org/10.3390/ijms222111867

