A Brief History and Future Prospects of CEST MRI in Clinical Non-Brain Tumor Imaging
Abstract
:1. Introduction
2. Principle of CEST
2.1. Basic Theory
2.2. CEST Quantification
2.3. CEST Effects from Different Proton Groups
2.3.1. Imaging of Amide Protons
2.3.2. Imaging of Amine Protons
2.3.3. CEST Imaging of Hydroxyl Protons
2.3.4. Aliphatic Protons
3. Technical Issues for Non-Brain Tumor Imaging
3.1. Fat Suppression
3.2. B0 and B1 Corrections
3.3. Motion-Related Acquisition and Corrections
4. Applications
4.1. CEST Imaging of Breast Cancer
4.1.1. Differentiation of Malignant from Benign Lesions
4.1.2. Comparisons with Pathological Grades
4.1.3. Assessment of Treatment Responses
4.2. Pelvic Tumors
4.2.1. Cervical Cancer
4.2.2. Endometrial Carcinoma
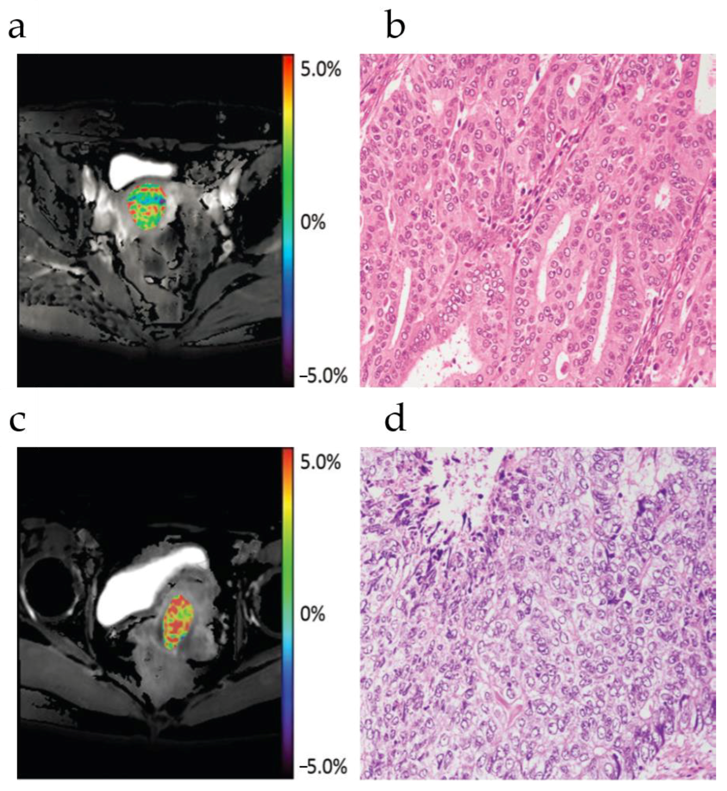
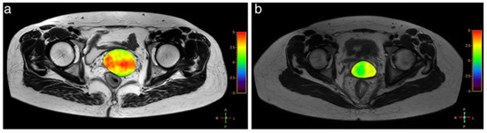
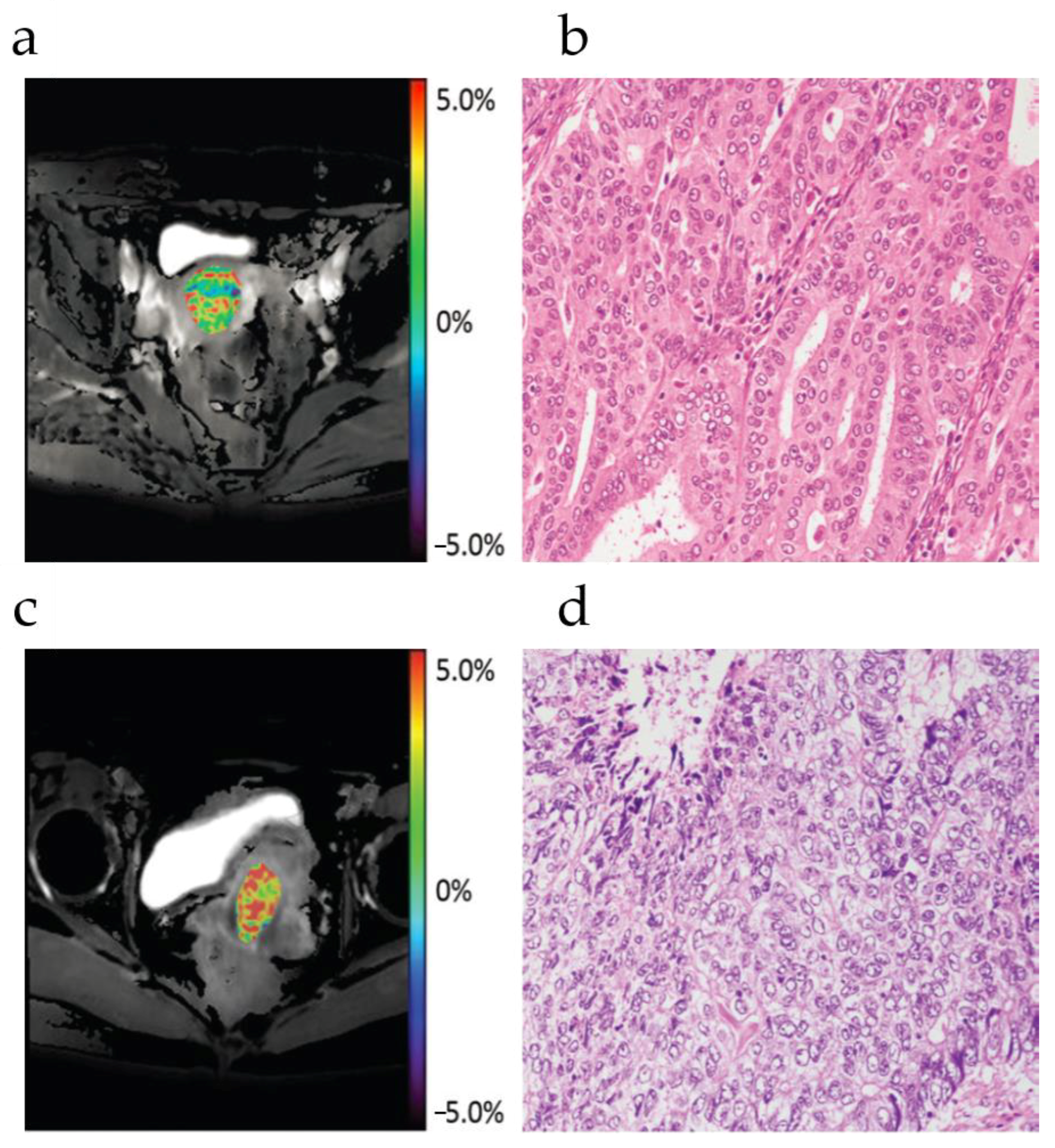
4.2.3. Prostate Cancer
4.2.4. Ovarian Cancer
4.3. Digestive Tumors
4.3.1. Rectal Cancer
4.3.2. Liver
4.3.3. Salivary Gland Tumors
4.4. Lung Cancer
4.5. Comparison with Other Functional MRI Methods
5. Discussion and Future Prospects
5.1. Advantages of CEST in Cancer Detection
- (1)
- As a sensitive chemical-shift based method, the spatial resolution could be close to the standard MR images.
- (2)
- Contrast could be turned “on” and “off” by the acquisition sequence, and “multi-color” imaging could be achieved in parallel with optical imaging.
- (3)
- CEST can detect both endogenous and exogenous agents. When this method detects the endogenous contents of lipids, mobile proteins/peptides, glycans, as well as small metabolites in tissue itself, CEST does not need to consider the delivery and targeted efficiency of agents. In addition, the surrounding normal tissue could be employed as an internal reference.
- (4)
- Body imaging is easier for using CEST agents due to the lack of blood-brain barrier.
5.2. Challenges for Implementing CEST in the Clinic
- (1)
- Saturation power and imaging time
- (2)
- B0/B1 fluctuation effects
- (3)
- Artifact elimination
- (4)
- Interpretation of the results
5.3. Future Prospects
Funding
Acknowledgments
Conflicts of Interest
References
- Wolff, S.D.; Balaban, R.S. Magnetization transfer contrast (MTC) and tissue water proton relaxation in vivo. Magn. Reson. Med. 1989, 10, 135–144. [Google Scholar] [CrossRef]
- Guivel-Scharena, V.; Sinnwell, T.; Wolff, S.; Balaban, R. Detection of Proton Chemical Exchange between Metabolites and Water in Biological Tissues. J. Magn. Reson. 1998, 133, 36–45. [Google Scholar] [CrossRef] [PubMed]
- Ward, K.; Aletras, A.; Balaban, R. A New Class of Contrast Agents for MRI Based on Proton Chemical Exchange Dependent Saturation Transfer (CEST). J. Magn. Reson. 2000, 143, 79–87. [Google Scholar] [CrossRef] [PubMed]
- Consolino, L.; Anemone, A.; Capozza, M.; Carella, A.; Irrera, P.; Corrado, A.; Dhakan, C.; Bracesco, M.; Longo, D.L. Non-invasive Investigation of Tumor Metabolism and Acidosis by MRI-CEST Imaging. Front. Oncol. 2020, 10, 161. [Google Scholar] [CrossRef] [PubMed] [Green Version]
- Chen, Z.; Han, Z.; Liu, G. Repurposing Clinical Agents for Chemical Exchange Saturation Transfer Magnetic Resonance Imaging: Current Status and Future Perspectives. Pharmaceuticals 2020, 14, 11. [Google Scholar] [CrossRef] [PubMed]
- Zhou, J.; Heo, H.-Y.; Knutsson, L.; Van Zijl, P.C.; Jiang, S. APT-weighted MRI: Techniques, current neuro applications, and challenging issues. J. Magn. Reson. Imaging 2019, 50, 347–364. [Google Scholar] [CrossRef] [PubMed]
- Jones, K.M.; Bs, A.C.P.; Pagel, M.D. Clinical applications of chemical exchange saturation transfer (CEST) MRI. J. Magn. Reson. Imaging 2018, 47, 11–27. [Google Scholar] [CrossRef] [PubMed]
- Okuchi, S.; Hammam, A.; Golay, X.; Kim, M.; Thust, S. Endogenous Chemical Exchange Saturation Transfer MRI for the Diagnosis and Therapy Response Assessment of Brain Tumors: A Systematic Review. Radiol. Imaging Cancer 2020, 2, e190036. [Google Scholar] [CrossRef]
- Zhou, J.; Wilson, D.A.; Sun, P.Z.; Klaus, J.A.; van Zijl, P.C. Quantitative description of proton exchange processes between water and endogenous and exogenous agents for WEX, CEST, and APT experiments. Magn. Reson. Med. 2004, 51, 945–952. [Google Scholar] [CrossRef]
- Sherry, A.D.; Woods, M. Chemical Exchange Saturation Transfer Contrast Agents for Magnetic Resonance Imaging. Annu. Rev. Biomed. Eng. 2008, 10, 391–411. [Google Scholar] [CrossRef] [Green Version]
- Kogan, F.; Hariharan, H.; Reddy, R. Chemical Exchange Saturation Transfer (CEST) Imaging: Description of Technique and Potential Clinical Applications. Curr. Radiol. Rep. 2013, 1, 102–114. [Google Scholar] [CrossRef] [Green Version]
- Sun, P.Z.; Wang, E.F.; Cheung, J.S.; Zhang, X.A.; Benner, T.; Sorensen, A.G. Simulation and optimization of pulsed radio frequency irradiation scheme for chemical exchange saturation transfer (CEST) MRI-demonstration of pH-weighted pulsed-amide proton CEST MRI in an animal model of acute cerebral ischemia. Magn. Reson. Med. 2011, 66, 1042–1048. [Google Scholar] [CrossRef] [Green Version]
- Grad, J.; Bryant, R.G. Nuclear magnetic cross-relaxation spectroscopy. J. Magn. Reson. 1990, 90, 1–8. [Google Scholar] [CrossRef]
- Van Zijl, P.C.M.; Yadav, N.N. Chemical exchange saturation transfer (CEST): What is in a name and what isn’t? Magn. Reson. Med. 2011, 65, 927–948. [Google Scholar] [CrossRef] [PubMed] [Green Version]
- Zhou, I.Y.; Lu, D.; Ji, Y.; Wu, L.; Wang, E.; Cheung, J.S.; Zhang, X.A.; Sun, P.Z. Determination of multipool contributions to endogenous amide proton transfer effects in global ischemia with high spectral resolution in vivo chemical exchange saturation transfer MRI. Magn. Reson. Med. 2019, 81, 645–652. [Google Scholar] [CrossRef] [PubMed] [Green Version]
- Wu, Y.; Zhou, I.Y.; Lu, D.; Manderville, E.; Lo, E.H.; Zheng, H.; Sun, P.Z. pH-sensitive amide proton transfer effect dominates the magnetization transfer asymmetry contrast during acute ischemia-quantification of multipool contribution to in vivo CEST MRI. Magn. Reson. Med. 2018, 79, 1602–1608. [Google Scholar] [CrossRef] [PubMed]
- Tietze, A.; Blicher, J.; Mikkelsen, I.K.; Østergaard, L.; Strother, M.K.; Smith, S.A.; Donahue, M.J. Assessment of ischemic penumbra in patients with hyperacute stroke using amide proton transfer (APT) chemical exchange saturation transfer (CEST) MRI. NMR Biomed. 2014, 27, 163–174. [Google Scholar] [CrossRef] [Green Version]
- Zhang, L.; Zhao, Y.; Chen, Y.; Bie, C.; Liang, Y.; He, X.; Song, X. Voxel-wise Optimization of Pseudo Voigt Profile (VOPVP) for Z-spectra fitting in chemical exchange saturation transfer (CEST) MRI. Quant. Imaging Med. Surg. 2019, 9, 1714–1730. [Google Scholar] [CrossRef] [PubMed]
- Heo, H.-Y.; Zhang, Y.; Jiang, S.; Lee, D.-H.; Zhou, J. Quantitative assessment of amide proton transfer (APT) and nuclear overhauser enhancement (NOE) imaging with extrapolated semisolid magnetization transfer reference (EMR) signals: II. Comparison of three EMR models and application to human brain glioma at. Magn. Reson. Med. 2016, 75, 1630–1639. [Google Scholar] [CrossRef] [Green Version]
- Jin, T.; Wang, P.; Zong, X.; Kim, S.G. MR imaging of the amide-proton transfer effect and the pH-insensitive nuclear overhauser effect at 9.4 T. Magn. Reson. Med. 2013, 69, 760–770. [Google Scholar] [CrossRef] [Green Version]
- Woessner, D.E.; Zhang, S.; Merritt, M.E.; Sherry, A.D. Numerical solution of the Bloch equations provides insights into the optimum design of PARACEST agents for MRI. Magn. Reson. Med. 2005, 53, 790–799. [Google Scholar] [CrossRef] [PubMed]
- Zaiss, M.; Xu, J.; Goerke, S.; Khan, I.S.; Singer, R.J.; Gore, J.C.; Gochberg, D.F.; Bachert, P. Inverse Z-spectrum analysis for spillover-, MT-, and T1 -corrected steady-state pulsed CEST-MRI--application to pH-weighted MRI of acute stroke. NMR Biomed. 2014, 27, 240–252. [Google Scholar] [CrossRef] [Green Version]
- Pavuluri, K.; McMahon, M.T. pH Imaging Using Chemical Exchange Saturation Transfer (CEST) MRI. Isr. J. Chem. 2017, 57, 862–879. [Google Scholar] [CrossRef]
- Sun, P.Z.; Wang, Y.; Dai, Z.; Xiao, G.; Wu, R. Quantitative chemical exchange saturation transfer (qCEST) MRI - RF spillover effect-corrected omega plot for simultaneous determination of labile proton fraction ratio and exchange rate. Contrast Media Mol. Imaging 2014, 9, 268–275. [Google Scholar] [CrossRef]
- Zhou, J.; Payen, J.-F.A.; Wilson, D.; Traystman, R.J.; Van Zijl, P.C.M. Using the amide proton signals of intracellular proteins and peptides to detect pH effects in MRI. Nat. Med. 2003, 9, 1085–1090. [Google Scholar] [CrossRef] [PubMed]
- Zhou, J.; Lal, B.; Wilson, D.A.; Laterra, J.; van Zijl, P.C. Amide proton transfer (APT) contrast for imaging of brain tumors. Magn. Reson. Med. 2003, 50, 1120–1126. [Google Scholar] [CrossRef]
- Zhou, J.; Blakeley, J.O.; Hua, J.; Kim, M.; Laterra, J.; Pomper, M.G.; van Zijl, P.C. Practical data acquisition method for human brain tumor amide proton transfer (APT) imaging. Magn. Reson. Med. 2008, 60, 842–849. [Google Scholar] [CrossRef] [PubMed] [Green Version]
- Jiang, S.; Eberhart, C.G.; Zhang, Y.; Heo, H.-Y.; Wen, Z.; Blair, L.; Qin, H.; Lim, M.; Quinones-Hinojosa, A.; Weingart, J.D.; et al. Amide proton transfer-weighted magnetic resonance image-guided stereotactic biopsy in patients with newly diagnosed gliomas. Eur. J. Cancer 2017, 83, 9–18. [Google Scholar] [CrossRef] [PubMed]
- Jin, T.; Wang, P.; Zong, X.; Kim, S.-G. Magnetic resonance imaging of the Amine–Proton EXchange (APEX) dependent contrast. NeuroImage 2012, 59, 1218–1227. [Google Scholar] [CrossRef] [Green Version]
- Cai, K.; Haris, M.; Singh, A.; Kogan, F.; Greenberg, J.H.; Hariharan, H.A.; Detre, J.; Reddy, R. Magnetic resonance imaging of glutamate. Nat. Med. 2012, 18, 302–306. [Google Scholar] [CrossRef] [Green Version]
- Goldenberg, J.M.; Pagel, M.D. Assessments of tumor metabolism with CEST MRI. NMR Biomed. 2019, 32, e3943. [Google Scholar] [CrossRef] [PubMed]
- Cai, K.; Tain, R.-W.; Zhou, X.J.; Damen, F.C.; Scotti, A.M.; Hariharan, H.; Poptani, H.; Reddy, R. Creatine CEST MRI for differentiating gliomas with different degrees of aggressiveness. Mol. Imaging Biol. 2017, 19, 225–232. [Google Scholar] [CrossRef] [PubMed] [Green Version]
- Dou, W.; Lin, C.-Y.E.; Ding, H.; Shen, Y.; Dou, C.; Qian, L.; Wen, B.; Wu, B. Chemical exchange saturation transfer magnetic resonance imaging and its main and potential applications in pre-clinical and clinical studies. Quant. Imaging Med. Surg. 2019, 9, 1747–1766. [Google Scholar] [CrossRef]
- Zhou, Y.; van Zijl, P.C.M.; Xu, X.; Xu, J.; Li, Y.; Chen, L.; Yadav, N.N. Magnetic resonance imaging of glycogen using its magnetic coupling with water. Proc. Natl. Acad. Sci. 2020, 117, 3144–3149. [Google Scholar] [CrossRef] [PubMed]
- van Zijl, P.C.M.; Jones, C.K.; Ren, J.; Malloy, C.R.; Sherry, A.D. MRI detection of glycogen in vivo by using chemical exchange saturation transfer imaging (glycoCEST). Proc. Natl. Acad. Sci. 2007, 104, 4359–4364. [Google Scholar] [CrossRef] [Green Version]
- Song, X.; Airan, R.D.; Arifin, D.R.; Bar-Shir, A.; Kadayakkara, D.K.; Liu, G.; Gilad, A.A.; Van Zijl, P.C.M.; McMahon, M.; Bulte, J.W.M. Label-free in vivo molecular imaging of underglycosylated mucin-1 expression in tumour cells. Nat. Commun. 2015, 6, 6719. [Google Scholar] [CrossRef] [PubMed] [Green Version]
- Ling, W.; Regatte, R.R.; Navon, G.; Jerschow, A. Assessment of glycosaminoglycan concentration in vivo by chemical exchange-dependent saturation transfer (gagCEST). Proc. Natl. Acad. Sci. USA 2008, 105, 2266–2270. [Google Scholar] [CrossRef] [PubMed] [Green Version]
- Slichter, C.P. In Memory of Albert, W. Overhauser (1925–2011). Appl. Magn. Reson. 2012, 43, 3–6. [Google Scholar] [CrossRef]
- van Zijl, P.C.; Lam, W.W.; Xu, J.; Knutsson, L.; Stanisz, G.J. Magnetization Transfer Contrast and Chemical Exchange Saturation Transfer MRI. Features and analysis of the field-dependent saturation spectrum. NeuroImage 2018, 168, 222–241. [Google Scholar] [CrossRef] [PubMed]
- Loi, L.; Zimmermann, F.; Goerke, S.; Korzowski, A.; Meissner, J.-E.; Deike-Hofmann, K.; Stieber, A.; Bachert, P.; Ladd, M.E.; Schlemmer, H.-P.; et al. Relaxation-compensated CEST (chemical exchange saturation transfer) imaging in breast cancer diagnostics at 7T. Eur. J. Radiol. 2020, 129, 109068. [Google Scholar] [CrossRef]
- Zhang, S.; Rauch, G.M.; Adrada, B.E.; Boge, M.; Mohamed, R.M.M.; Abdelhafez, A.H.; Son, J.B.; Sun, J.; Elshafeey, N.A.; White, J.B.; et al. Assessment of Early Response to Neoadjuvant Systemic Therapy in Triple-Negative Breast Cancer Using Amide Proton Transfer–weighted Chemical Exchange Saturation Transfer MRI: A Pilot Study. Radiol. Imaging Cancer 2021, 3, e200155. [Google Scholar] [CrossRef] [PubMed]
- Meng, N.; Bs, X.W.; Sun, J.; Huang, L.; Wang, Z.; Wang, K.; Wang, J.; Ms, D.H.; Wang, M. Comparative Study of Amide Proton Transfer-Weighted Imaging and Intravoxel Incoherent Motion Imaging in Breast Cancer Diagnosis and Evaluation. J. Magn. Reson. Imaging 2020, 52, 1175–1186. [Google Scholar] [CrossRef] [PubMed]
- Crescenzi, R.; Donahue, P.M.C.; Mahany, H.; Lants, S.K.; Donahue, M.J. CEST MRI quantification procedures for breast cancer treatment-related lymphedema therapy evaluation. Magn. Reson. Med. 2020, 83, 1760–1773. [Google Scholar] [CrossRef] [PubMed]
- Zaric, O.; Farr, A.; Rodriguez, E.P.; Mlynarik, V.; Bogner, W.; Gruber, S.; Asseryanis, E.; Singer, C.F.; Trattnig, S. 7T CEST MRI: A potential imaging tool for the assessment of tumor grade and cell proliferation in breast cancer. Magn. Reson. Imaging 2019, 59, 77–87. [Google Scholar] [CrossRef]
- Zhang, S.; Seiler, S.; Wang, X.; Madhuranthakam, A.J.; Keupp, J.; Knippa, E.E.; Lenkinski, R.E.; Vinogradov, E. CEST-Dixon for human breast lesion characterization at 3 T: A preliminary study. Magn. Reson. Med. 2018, 80, 895–903. [Google Scholar] [CrossRef] [PubMed]
- Krikken, E.; Khlebnikov, V.; Zaiss, M.; Jibodh, R.A.; van Diest, P.J.; Luijten, P.R.; Klomp, D.W.J.; van Laarhoven, H.W.M.; Wijnen, J.P. Amide chemical exchange saturation transfer at 7 T: A possible biomarker for detecting early response to neoadjuvant chemotherapy in breast cancer patients. Breast Cancer Res. 2018, 20, 1–9. [Google Scholar] [CrossRef] [Green Version]
- Donahue, M.J.; Donahue, P.C.; Rane, S.; Thompson, C.R.; Strother, M.K.; Scott, A.O.; Smith, S.A. Assessment of lymphatic impairment and interstitial protein accumulation in patients with breast cancer treatment-related lymphedema using CEST MRI. Magn. Reson. Med. 2016, 75, 345–355. [Google Scholar] [CrossRef] [PubMed] [Green Version]
- Dula, A.N.; Dewey, B.E.; Arlinghaus, L.R.; Williams, J.M.; Klomp, D.; Yankeelov, T.E.; Smith, S. Optimization of 7-T Chemical Exchange Saturation Transfer Parameters for Validation of Glycosaminoglycan and Amide Proton Transfer of Fibroglandular Breast Tissue. Radiology 2015, 275, 255–261. [Google Scholar] [CrossRef] [Green Version]
- Klomp, D.W.; Dula, A.N.; Arlinghaus, L.R.; Italiaander, M.; Dortch, R.D.; Zu, Z.; Williams, J.M.; Gochberg, D.F.; Luijten, P.R.; Gore, J.C.; et al. Amide proton transfer imaging of the human breast at 7T: Development and reproducibility. NMR Biomed. 2013, 26, 1271–1277. [Google Scholar] [CrossRef] [PubMed] [Green Version]
- Dula, A.N.; Arlinghaus, L.; Dortch, R.; Dewey, B.E.; Whisenant, J.G.; Ayers, G.D.; Yankeelov, T.; Smith, S.A. Amide proton transfer imaging of the breast at 3 T: Establishing reproducibility and possible feasibility assessing chemotherapy response. Magn. Reson. Med. 2013, 70, 216–224. [Google Scholar] [CrossRef] [Green Version]
- Schmitt, B.; Zamecnik, P.; Zaiß, M.; Rerich, E.; Schuster, L.; Bachert, P.; Schlemmer, H.-P. A New Contrast in MR Mammography by Means of Chemical Exchange Saturation Transfer (CEST) Imaging at 3 Tesla: Preliminary Results. RöFo Fortschr. Geb. Röntgenstrahl. Bildgeb. Verfahr. 2011, 183, 1030–1036. [Google Scholar] [CrossRef] [PubMed]
- Meng, N.; Wang, J.; Sun, J.; Liu, W.; Wang, X.; Yan, M.; Dwivedi, A.; Zheng, D.; Wang, K.; Han, D. Using amide proton transfer to identify cervical squamous carcinoma/adenocarcinoma and evaluate its differentiation grade. Magn. Reson. Imaging 2019, 61, 9–15. [Google Scholar] [CrossRef]
- Li, B.; Sun, H.; Zhang, S.; Wang, X.; Guo, Q. The utility of APT and IVIM in the diagnosis and differentiation of squamous cell carcinoma of the cervix: A pilot study. Magn. Reson. Imaging 2019, 63, 105–113. [Google Scholar] [CrossRef] [PubMed]
- He, Y.L.; Li, Y.; Lin, C.Y.; Qi, Y.F.; Wang, X.; Zhou, H.L.; Yang, J.J.; Xiang, Y.; Xue, H.D.; Jin, Z.Y. Three-dimensional turbo-spin-echo amide proton transfer-weighted mri for cervical cancer: A preliminary study. J. Magn. Reson. Imaging 2019, 50, 1318–1325. [Google Scholar] [CrossRef] [PubMed]
- Li, B.; Sun, H.; Zhang, S.; Wang, X.; Guo, Q. Amide proton transfer imaging to evaluate the grading of squamous cell carcinoma of the cervix: A comparative study using18F FDG PET. J. Magn. Reson. Imaging 2019, 50, 261–268. [Google Scholar] [CrossRef] [PubMed]
- Ochiai, R.; Mukuda, N.; Yunaga, H.; Kitao, S.; Okuda, K.; Sato, S.; Oishi, T.; Miyoshi, M.; Nozaki, A.; Fujii, S. Amide proton transfer imaging in differentiation of type II and type I endometrial carcinoma: A pilot study. Jpn. J. Radiol. 2021, 1–8. [Google Scholar] [CrossRef]
- Meng, N.; Fang, T.; Feng, P.; Huang, Z.; Sun, J.; Wang, X.; Shang, J.; Wang, K.; Han, D.; Wang, M. Amide proton transfer-weighted imaging and multiple models diffusion-weighted imaging facilitates preoperative risk stratification of early-stage endometrial carcinoma. J. Magn. Reson. Imaging 2021, 54, 1200–1211. [Google Scholar] [CrossRef] [PubMed]
- Li, Y.; Lin, C.-Y.; Qi, Y.-F.; Wang, X.; Chen, B.; Zhou, H.-L.; Ren, J.; Yang, J.-J.; Xiang, Y.; He, Y.-L.; et al. Three-dimensional turbo-spin-echo amide proton transfer-weighted and intravoxel incoherent motion MR imaging for type I endometrial carcinoma: Correlation with Ki-67 proliferation status. Magn. Reson. Imaging 2021, 78, 18–24. [Google Scholar] [CrossRef] [PubMed]
- Zhang, S.; Sun, H.; Li, B.; Wang, X.; Pan, S.; Guo, Q. Variation of amide proton transfer signal intensity and apparent diffusion coefficient values among phases of the menstrual cycle in the normal uterus: A preliminary study. Magn. Reson. Imaging 2019, 63, 21–28. [Google Scholar] [CrossRef]
- Takayama, Y.; Nishie, A.; Togao, O.; Asayama, Y.; Ishigami, K.; Ushijima, Y.; Okamoto, D.; Fujita, N.; Sonoda, K.; Hida, T.; et al. Amide proton transfer MR imaging of endometrioid endometrial adenocarcinoma: Association with histologic grade. Radiology 2018, 286, 929–937. [Google Scholar] [CrossRef] [Green Version]
- Yin, H.; Wang, D.; Yan, R.; Jin, X.; Hu, Y.; Zhai, Z.; Duan, J.; Zhang, J.; Wang, K.; Han, D. Comparison of Diffusion Kurtosis Imaging and Amide Proton Transfer Imaging in the Diagnosis and Risk Assessment of Prostate Cancer. Front. Oncol. 2021, 11, 10. [Google Scholar] [CrossRef]
- Evans, V.S.; Torrealdea, F.; Rega, M.; Appayya, M.B.; Latifoltojar, A.; Sidhu, H.; Kim, M.; Kujawa, A.; Punwani, S.; Golay, X.; et al. Optimization and repeatability of multipool chemical exchange saturation transfer MRI of the prostate at 3.0 T. J. Magn. Reson. Imaging 2019, 50, 1238–1250. [Google Scholar] [CrossRef] [PubMed]
- Kim, M.; Torrealdea, F.; Adeleke, S.; Rega, M.; Evans, V.; Beeston, T.; Soteriou, K.; Thust, S.; Kujawa, A.; Okuchi, S.; et al. Challenges in glucoCEST MR body imaging at 3 Tesla. Quant. Imaging Med. Surg. 2019, 9, 1628–1640. [Google Scholar] [CrossRef] [Green Version]
- Takayama, Y.; Nishie, A.; Sugimoto, M.; Togao, O.; Asayama, Y.; Ishigami, K.; Ushijima, Y.; Okamoto, D.; Fujita, N.; Yokomizo, A.; et al. Amide proton transfer (APT) magnetic resonance imaging of prostate cancer: Comparison with Gleason scores. Magma Magn. Reson. Mater. Phys. Biol. Med. 2016, 29, 671–679. [Google Scholar] [CrossRef]
- Jia, G.; Abaza, R.; Williams, J.D.; Zynger, D.L.; Zhou, J.; Shah, Z.; Patel, M.; Sammet, S.; Wei, L.; Bahnson, R.R.; et al. Amide proton transfer MR imaging of prostate cancer: A preliminary study. J. Magn. Reson. Imaging 2011, 33, 647–654. [Google Scholar] [CrossRef] [Green Version]
- Jones, K.M.; Randtke, E.A.; Yoshimaru, E.S.; Howison, C.M.; Chalasani, P.; Klein, R.R.; Chambers, S.K.; Kuo, P.H.; Pagel, M.D. Clinical Translation of Tumor Acidosis Measurements with AcidoCEST MRI. Mol. Imaging Biol. 2017, 19, 617–625. [Google Scholar] [CrossRef]
- Chen, W.; Mao, L.; Li, L.; Wei, Q.; Hu, S.; Ye, Y.; Feng, J.; Liu, B.; Liu, X. Predicting Treatment Response of Neoadjuvant Chemoradiotherapy in Locally Advanced Rectal Cancer Using Amide Proton Transfer MRI Combined With Diffusion-Weighted Imaging. Front. Oncol. 2021, 11, 698427. [Google Scholar] [CrossRef] [PubMed]
- Li, L.; Chen, W.; Yan, Z.; Feng, J.; Hu, S.; Liu, B.; Liu, X. Comparative analysis of amide proton transferMRIand diffusion-weighted imaging in assessing p53 and Ki-67 expression of rectal adenocarcinoma. J. Magn. Reson. Imaging 2020, 52, 1487–1496. [Google Scholar] [CrossRef] [PubMed]
- Chen, W.; Li, L.; Yan, Z.; Hu, S.; Feng, J.; Liu, G.; Liu, B.; Liu, X. Three-dimension amide proton transfer MRI of rectal adenocarcinoma: Correlation with pathologic prognostic factors and comparison with diffusion kurtosis imaging. Eur. Radiol. 2021, 31, 3286–3296. [Google Scholar] [CrossRef]
- Nishie, A.; Asayama, Y.; Ishigami, K.; Ushijima, Y.; Takayama, Y.; Okamoto, D.; Fujita, N.; Tsurumaru, D.; Togao, O.; Sagiyama, K.; et al. Amide proton transfer imaging to predict tumor response to neoadjuvant chemotherapy in locally advanced rectal cancer. J. Gastroenterol. Hepatol. 2019, 34, 140–146. [Google Scholar] [CrossRef] [PubMed] [Green Version]
- Nishie, A.; Takayama, Y.; Asayama, Y.; Ishigami, K.; Ushijima, Y.; Okamoto, D.; Fujita, N.; Tsurumaru, D.; Togao, O.; Manabe, T.; et al. Amide proton transfer imaging can predict tumor grade in rectal cancer. Magn. Reson. Imaging 2018, 51, 96–103. [Google Scholar] [CrossRef]
- Tang, Y.; Xiao, G.; Shen, Z.; Zhuang, C.; Xie, Y.; Zhang, X.; Yang, Z.; Guan, J.; Shen, Y.; Chen, Y.; et al. Noninvasive Detection of Extracellular pH in Human Benign and Malignant Liver Tumors Using CEST MRI. Front. Oncol. 2020, 10, 578985. [Google Scholar] [CrossRef]
- Jia, F.; Wu, B.; Yan, R.; Li, L.; Wang, K.; Han, D. Prediction Model for Intermediate-Stage Hepatocellular Carcinoma Response to Transarterial Chemoembolization. J. Magn. Reson. Imaging 2020, 52, 1657–1667. [Google Scholar] [CrossRef]
- Lin, Y.; Luo, X.; Yu, L.; Zhang, Y.; Zhou, J.; Jiang, Y.; Zhang, C.; Zhang, J.; Li, C.; Chen, M. Amide proton transfer-weighted MRI for predicting histological grade of hepatocellular carcinoma: Comparison with diffusion-weighted imaging. Quant. Imaging Med. Surg. 2019, 9, 1641–1651. [Google Scholar] [CrossRef]
- Chen, Y.; Wang, X.; Su, T.; Xu, Z.; Wang, Y.; Zhang, Z.; Xue, H.; Zhuo, Z.; Zhu, Y.; Jin, Z.; et al. Feasibility evaluation of amide proton transfer-weighted imaging in the parotid glands: A strategy to recognize artifacts and measure APT value. Quant. Imaging Med. Surg. 2021, 11, 2279–2291. [Google Scholar] [CrossRef] [PubMed]
- Takumi, K.; Nagano, H.; Kikuno, H.; Kumagae, Y.; Fukukura, Y.; Yoshiura, T. Differentiating malignant from benign salivary gland lesions: A multiparametric non-contrast MR imaging approach. Sci. Rep. 2021, 11, 1–9. [Google Scholar] [CrossRef]
- Bae, Y.J.; Choi, B.S.; Jeong, W.-J.; Jung, Y.H.; Park, J.H.; Sunwoo, L.; Jung, C.; Kim, J.H. Amide Proton Transfer-weighted MRI in the Diagnosis of Major Salivary Gland Tumors. Sci. Rep. 2019, 9, 8349. [Google Scholar] [CrossRef] [PubMed] [Green Version]
- Yu, L.; Li, C.M.; Luo, X.J.; Zhou, J.Y.; Zhang, C.; Zhang, Y.; Chen, M. Differentiation of malignant and benign head and neck tumors with amide proton transfer-weighted MR imaging. Mol. Imaging Biol. 2019, 21, 348–355. [Google Scholar] [CrossRef]
- Yuan, J.; Chen, S.; King, A.; Zhou, J.; Bhatia, K.S.; Zhang, Q.; Yeung, D.K.W.; Wei, J.; Mok, G.S.P.; Wang, Y.-X. Amide proton transfer-weighted imaging of the head and neck at 3 T: A feasibility study on healthy human subjects and patients with head and neck cancer. NMR Biomed. 2014, 27, 1239–1247. [Google Scholar] [CrossRef] [PubMed]
- Jones, K.; Stuehm, C.; Hsu, C.; Kuo, P.; Pagel, M.; Randtke, E. Imaging Lung Cancer by Using Chemical Exchange Saturation Transfer MRI With Retrospective Respiration Gating. Tomography 2017, 3, 201–210. [Google Scholar] [CrossRef]
- Ohno, Y.; Kishida, Y.; Seki, S.; Yui, M.; Miyazaki, M.; Koyama, H.; Yoshikawa, T. Amide proton transfer-weighted imaging to differentiate malignant from benign pulmonary lesions: Comparison with diffusion-weighted imaging and FDG-PET/CT. J. Magn. Reson. Imaging 2018, 47, 1013–1021. [Google Scholar] [CrossRef] [PubMed]
- Ohno, Y.; Yui, M.; Koyama, H.; Yoshikawa, T.; Seki, S.; Ueno, Y.; Miyazaki, M.; Ouyang, C.; Sugimura, K. Chemical Exchange Saturation Transfer MR Imaging: Preliminary Results for Differentiation of Malignant and Benign Thoracic Lesions. Radiology 2016, 279, 578–589. [Google Scholar] [CrossRef] [PubMed]
- Kim, M.; Gillen, J.; Landman, B.A.; Zhou, J.; van Zijl, P.C. Water saturation shift referencing (WASSR) for chemical exchange saturation transfer (CEST) experiments. Magn. Reson. Med. 2009, 61, 1441–1450. [Google Scholar] [CrossRef] [Green Version]
- Insko, E.; Bolinger, L. Mapping of the Radiofrequency Field. J. Magn. Reson. Ser. A 1993, 103, 82–85. [Google Scholar] [CrossRef]
- Cunningham, C.H.; Pauly, J.M.; Nayak, K.S. Saturated double-angle method for rapid B-1 plus mapping. Magn. Reson. Med. 2006, 55, 1326–1333. [Google Scholar] [CrossRef] [PubMed]
- Sacolick, L.I.; Wiesinger, F.; Hancu, I.; Vogel, M.W. B1 mapping by Bloch-Siegert shift. Magn. Reson. Med. 2010, 63, 1315–1322. [Google Scholar] [CrossRef] [PubMed] [Green Version]
- Schuenke, P.; Windschuh, J.; Roeloffs, V.; Ladd, M.E.; Bachert, P.; Zaiss, M. Simultaneous mapping of water shift and B 1 (WASABI)—Application to field-Inhomogeneity correction of CEST MRI data. Magn. Reson. Med. 2017, 77, 571–580. [Google Scholar] [CrossRef] [Green Version]
- Windschuh, J.; Zaiss, M.; Meissner, J.-E.; Paech, D.; Radbruch, A.; Ladd, M.E.; Bachert, P. Correction ofB1-inhomogeneities for relaxation-compensated CEST imaging at 7 T. NMR Biomed. 2015, 28, 529–537. [Google Scholar] [CrossRef] [PubMed]
- Singh, A.; Cai, K.; Haris, M.; Hariharan, H.; Reddy, R. On B 1 inhomogeneity correction of in vivo human brain glutamate chemical exchange saturation transfer contrast at 7T. Magn. Reson. Med. 2013, 69, 818–824. [Google Scholar] [CrossRef] [Green Version]
- Cember, A.T.J.; Hariharan, H.; Kumar, D.; Nanga, R.P.R.; Reddy, R. Improved method for post-processing correction of B 1 inhomogeneity in glutamate-weighted CEST images of the human brain. NMR Biomed. 2021, 34, e4503. [Google Scholar] [CrossRef]
- Khlebnikov, V.; Windschuh, J.; Siero, J.C.; Zaiss, M.; Luijten, P.R.; Klomp, D.W.; Hoogduin, H. On the transmit field inhomogeneity correction of relaxation-compensated amide and NOE CEST effects at 7 T. NMR Biomed. 2017, 30, e3687. [Google Scholar] [CrossRef] [PubMed] [Green Version]
- Rodriguez, E.P.; Moser, P.; Auno, S.; Eckstein, K.; Dymerska, B.; van der Kouwe, A.; Gruber, S.; Trattnig, S.; Bogner, W. Real-time motion and retrospective coil sensitivity correction for CEST using volumetric navigators (vNavs) at 7T. Magn. Reson. Med. 2021, 85, 1909–1923. [Google Scholar] [CrossRef]
- Ferlay, J.; Colombet, M.; Soerjomataram, I.; Parkin, D.M.; Piñeros, M.; Znaor, A.; Bray, F. Cancer statistics for the year 2020: An overview. Int. J. Cancer 2021, 149, 778–789. [Google Scholar] [CrossRef]
- Canese, R. Editorial for “comparative analysis of amide proton TransferMRIand diffusion-weighted imaging in assessing p53 and Ki-67 expression of rectal adenocarcinoma”. J. Magn. Reson. Imaging 2020, 52, 1497–1498. [Google Scholar] [CrossRef] [PubMed]
- Scheidegger, R.; Vinogradov, E.; Alsop, D.C. Amide proton transfer imaging with improved robustness to magnetic field inhomogeneity and magnetization transfer asymmetry using saturation with frequency alternating RF irradiation. Magn. Reson. Med. 2011, 66, 1275–1285. [Google Scholar] [CrossRef] [Green Version]
- Lin, E.C.; Li, H.; Zu, Z.; Louie, E.A.; Lankford, C.L.; Dortch, R.D.; Does, M.D.; Gore, J.C.; Gochberg, D.F. Chemical exchange rotation transfer (CERT) on human brain at 3 Tesla. Magn. Reson. Med. 2018, 80, 2609–2617. [Google Scholar] [CrossRef] [PubMed]
- Song, X.; Xu, J.; Xia, S.; Yadav, N.N.; Lal, B.; Laterra, J.; Bulte, J.W.; van Zijl, P.C.; McMahon, M.T. Multi-echo Length and Offset VARied Saturation (MeLOVARS) method for improved CEST imaging. Magn. Reson. Med. 2015, 73, 488–496. [Google Scholar] [CrossRef] [PubMed] [Green Version]
- Bie, C.; Liang, Y.; Zhang, L.; Zhao, Y.; Chen, Y.; Zhang, X.; He, X.; Song, X. Motion correction of chemical exchange saturation transfer MRI series using robust principal component analysis (RPCA) and PCA. Quant. Imaging Med. Surg. 2019, 9, 1697–1713. [Google Scholar] [CrossRef]
- Zhang, Y.; Heo, H.-Y.; Lee, D.-H.; Zhao, X.; Jiang, S.; Zhang, K.; Li, H.; Zhou, J. Selecting the reference image for registration of CEST series. J. Magn. Reson. Imaging 2016, 43, 756–761. [Google Scholar] [CrossRef] [Green Version]
- Wech, T.; Köstler, H. Robust motion correction in CEST imaging exploiting low-rank approximation of the z-spectrum. Magn. Reson. Med. 2018, 80, 1979–1988. [Google Scholar] [CrossRef]
- Wu, B.; Warnock, G.; Zaiss, M.; Lin, C.; Chen, M.; Zhou, Z.; Mu, L.; Nanz, D.; Tuura, R.; Delso, G. An overview of CEST MRI for non-MR physicists. EJNMMI Phys. 2016, 3, 1–21. [Google Scholar] [CrossRef] [PubMed] [Green Version]
- Song, Q.; Chen, P.; Chen, X.; Sun, C.; Wang, J.; Tan, B.; Liu, H.; Cheng, Y. Dynamic Change of Amide Proton Transfer Imaging in Irradiated Nasopharyngeal Carcinoma and Related Histopathological Mechanism. Mol. Imaging Biol. 2021, 1–8. [Google Scholar] [CrossRef]
- Consolino, L.; Irrera, P.; Romdhane, F.; Anemone, A.; Longo, D.L. Investigating plasma volume expanders as novel macromolecular MRI-CEST contrast agents for tumor contrast-enhanced imaging. Magn. Reson. Med. 2021, 86, 995–1007. [Google Scholar] [CrossRef] [PubMed]
- Jia, Y.; Wang, C.; Zheng, J.; Lin, G.; Ni, D.; Shen, Z.; Huang, B.; Li, Y.; Guan, J.; Hong, W.; et al. Novel nanomedicine with a chemical-exchange saturation transfer effect for breast cancer treatment in vivo. J. Nanobiotechnol. 2019, 17, 1–14. [Google Scholar] [CrossRef] [PubMed]
- Longo, D.L.; Moustaghfir, F.Z.; Zerbo, A.; Consolino, L.; Anemone, A.; Bracesco, M.; Aime, S. EXCI-CEST: Exploiting pharmaceutical excipients as MRI-CEST contrast agents for tumor imaging. Int. J. Pharm. 2017, 525, 275–281. [Google Scholar] [CrossRef] [PubMed] [Green Version]
- Maloney, E.; Wang, Y.-N.; Vohra, R.; Son, H.; Whang, S.; Khokhlova, T.; Park, J.; Gravelle, K.; Totten, S.; Hwang, J.H.; et al. Magnetic resonance imaging biomarkers for pulsed focused ultrasound treatment of pancreatic ductal adenocarcinoma. World J. Gastroenterol. 2020, 26, 904–917. [Google Scholar] [CrossRef] [PubMed]
- Maloney, E.; Dufort, C.C.; Provenzano, P.P.; Farr, N.; Carlson, M.A.; Vohra, R.; Park, J.; Hingorani, S.R.; Lee, D. Non-Invasive Monitoring of Stromal Biophysics with Targeted Depletion of Hyaluronan in Pancreatic Ductal Adenocarcinoma. Cancers 2019, 11, 772. [Google Scholar] [CrossRef] [Green Version]
- Han, Z.; Zhang, S.; Fujiwara, K.; Zhang, J.; Li, Y.; Liu, J.; van Zijl, P.C.M.; Lu, Z.-R.; Zheng, L.; Liu, G. Extradomain-B Fibron-ectin-Targeted Dextran-Based Chemical Exchange Saturation Transfer Magnetic Resonance Imaging Probe for Detecting Pancreatic Cancer. Bioconjugate Chem. 2019, 30, 1425–1433. [Google Scholar] [CrossRef]
- High, R.A.; Randtke, E.A.; Jones, K.M.; Lindeman, L.R.; Ma, J.C.; Zhang, S.; LeRoux, L.G.; Pagel, M.D. Extracellular acidosis differentiates pancreatitis and pancreatic cancer in mouse models using acidoCEST MRI. Neoplasia 2019, 21, 1085–1090. [Google Scholar] [CrossRef]
- Vohra, R.; Park, J.; Wang, Y.-N.; Gravelle, K.; Whang, S.; Hwang, J.-H.; Lee, D. Evaluation of pancreatic tumor development in KPC mice using multi-parametric MRI. Cancer Imaging 2018, 18, 41. [Google Scholar] [CrossRef] [Green Version]
- Sinharay, S.; Howison, C.M.; Baker, A.F.; Pagel, M.D. Detecting in vivo urokinase plasminogen activator activity with a catalyCEST MRI contrast agent. NMR Biomed. 2017, 30, e3721. [Google Scholar]
- Chen, Z.; Li, Y.; Airan, R.; Han, Z.; Xu, J.; Chan, K.W.; Xu, Y.; Bulte, J.W.M.; Van Zijl, P.C.M.; McMahon, M.T.; et al. CT and CEST MRI bimodal imaging of the intratumoral distribution of iodinated liposomes. Quant. Imaging Med. Surg. 2019, 9, 1579–1591. [Google Scholar] [CrossRef] [PubMed]
- Romdhane, F.; Villano, D.; Irrera, P.; Consolino, L.; Longo, D.L. Evaluation of a similarity anisotropic diffusion denoising approach for improving in vivo CEST-MRI tumor pH imaging. Magn. Reson. Med. 2021, 85, 3479–3496. [Google Scholar] [CrossRef] [PubMed]
- Chen, H.; Liu, D.; Li, Y.; Xu, X.; Xu, J.; Yadav, N.N.; Zhou, S.; Van Zijl, P.C.M.; Liu, G. CEST MRI monitoring of tumor response to vascular disrupting therapy using high molecular weight dextrans. Magn. Reson. Med. 2019, 82, 1471–1479. [Google Scholar] [CrossRef]
- Han, Z.; Liu, G. Sugar-based biopolymers as novel imaging agents for molecular magnetic resonance imaging. Wiley Interdiscip. Rev. Nanomed. Nanobiotechnol. 2019, 11, e1551. [Google Scholar] [CrossRef]
- Lindeman, L.R.; Randtke, E.A.; High, R.A.; Jones, K.M.; Howison, C.M.; Pagel, M.D. A comparison of exogenous and endogenous CEST MRI methods for evaluating in vivo pH. Magn. Reson. Med. 2018, 79, 2766–2772. [Google Scholar] [CrossRef]
- Randtke, E.A.; Granados, J.; Howison, C.M.; Pagel, M.D.; Cárdenas-Rodríguez, J. Multislice CEST MRI improves the spatial assessment of tumor pH. Magn. Reson. Med. 2017, 78, 97–106. [Google Scholar] [CrossRef]
- Longo, D.; Bartoli, A.; Consolino, L.; Bardini, P.; Arena, F.; Schwaiger, M.; Aime, S. In Vivo Imaging of Tumor Metabolism and Acidosis by Combining PET and MRI-CEST pH Imaging. Cancer Res. 2016, 76, 6463–6470. [Google Scholar] [CrossRef] [PubMed] [Green Version]
- Sinharay, S.; Randtke, E.A.; Howison, C.M.; Ignatenko, N.A.; Pagel, M.D. Detection of Enzyme Activity and Inhibition during Studies in Solution, In Vitro and In Vivo with CatalyCEST MRI. Mol. Imaging Biol. 2018, 20, 240–248. [Google Scholar]








| CT | Year | SN | Saturation Preparation | Resolution (mm3) | AT (s) | Readout Sequence | Quantification Metrics | Study | ||
|---|---|---|---|---|---|---|---|---|---|---|
| Pulse Type | Tsat (ms) | B1 (μT) | ||||||||
| Breast | 2021 | 51 | PT | 3500 2000 | 0.9 2.0 | 1.2 × 1.2 × 5 | 258 | TSE | LF MTRasym | [41] |
| 2020 | 121 | PT | 2000 | 2.0 | 2.5 × 2.5 × 4 | 260 | EPI | APTw | [42] | |
| 2020 | 17 | PT | 5600 | 0.6, 0.9 | 0.7 × 0.6 × 4.2 | 1200 | 2D-GRE | LF; AREX | [40] # | |
| 2020 | 29 | PT | 75 | 2 | 1.8 × 1.47 × 5.5 | 360 | EPI | PTR’APT, PTR’NOE, MTR’asym, AREX’ | [43] | |
| 2019 | 21 | PT | 500 | 1 | 1.7 × 1.7 × 4 | 810 | 3D-GRE | MTRasym | [44] # | |
| 2018 | 15 | CW | 500 | 1.2 | 2 × 2 × 5 | 70, 146 | 2D-Dixon | MTRasym | [45] | |
| 2018 | 9 | PT | 4 s | 2 | 2.3 × 3.0 × 6.8 | 295 | GRE | LF | [46] # | |
| 2016 | 15 | PT | 75 | 1 | 1.0 × 1.3 × 3.0 | N/A | 3D-GRE; Dixon | LF | [47] | |
| 2015 | 10 | PT | 25 | 1 | 1.0 × 1.0 × 6.0 | N/A | 3D-GRE | LF | [48] # | |
| 2013 | 6 | PT | 4000 | 3 | 3 × 3 × 6 | 300 | Turbo field echo | LF | [49] # | |
| 2013 | 13 | PT | 962.5 | 0.5 | 2.5 × 2.5 × 5.0 | 402 | N/A | LF; Z-spectra | [50] | |
| 2011 | 6 | PT | 100 | 1.5 | 2.7 × 1.5 × 3.0 6.9 × 1.5 × 3.0 1.4 × 1.5 × 3.0 | N/A | 3D-GRE; SPAIR | MTRasym; | [51] | |
| Cervix | 2019 | 76 | PT | 2000 | 2.0 | 0.3 × 0.3 × 5.0 | 156 | EPI | APTw | [52] |
| 2019 | 32 | PT | 2000 | 2.0 | 2.0 × 2.0 × 5.0 | 406 | SPIR; 3D-TSE | APTw | [53] | |
| 2019 | 124 | PT | 2000 | 2.0 | 2.5 × 2.5 × 2.5 | 453 | SPIR; 3D-TSE | APTw | [54] | |
| 2019 | 31 | PT | 2000 | 2.0 | 2.0 × 2.0 × 5.0 | 406 | SPIR; 3D-TSE | APTw | [55] | |
| Uterus | 2021 | 33 | PT | 2500 | 1.7 | 2.3 × 1.9 × 5.0 | 246 | TSE | MTRasym | [56] |
| 2021 | 80 | PT | 500 | 2.0 | 2.8 × 2.8 × 5.0 | 156 | 2D-EPI | APTw | [57] | |
| 2021 | 54 | PT | 2000 | 2.0 | 2.5 × 2.5 × 5.0 | 453 | 3D-TSE; SPIR | APTw | [58] | |
| 2019 | 20 | PT | 2000 | 2.0 | 2.0 × 2.0 × 5.0 | 406 | 3D-TSE Dixon; SPAIR | APTw | [59] | |
| 2018 | 32 | PT | 500 | 2.0 | 1.8 × 1.8 × 5.0 | 140 | 2D-GRE | APTw | [60] | |
| Prostate | 2021 | 100 | PT | 500 | 2.0 | 2.2 × 2.2 × 5.0 | 156 | EPI | APTw | [61] |
| 2019 | 7 | PT | 4800 | 0.92 | 2.2 × 2.2 × 4 | 342 | TSE; SPIR | LF; MTRasym | [62] | |
| 2019 | 1 | PT | 40 | 2.5 | 2.18 × 2.22 × 10.00 | 170 | TSE; SPIR | Z-spectra; glucoCEST signal | [63] | |
| 2016 | 141 | PT | 500 | 2.0 | 1.8 × 1.8 × 5.0 | 140 | 2D-GRE | APTw | [64] | |
| 2011 | 12 | PT | 496 | 3.8 | 1.8 × 2.2 × 6.0 | 214 | TSE | APT ratio | [65] | |
| Ovary | 2017 | 1 | PT | 991 2000 | 1.5 | N/A | 1425 | Turbo-FLASH | AcidoCEST; LF | [66] |
| Rectum | 2021 | 53 | CW | 2000 | 2 | 1.8 × 1.8 × 5 | N/A | 3D-TSE Dixon | MTRasym | [67] |
| 2020 | 43 | qCW | 2000 | N/A | 1.8 × 1.8 × 5.0 | 270 | 3D-TSE Dixon; SPIR | APTw | [68] | |
| 2020 | 61 | CW | 2000 | 2.0 | 1.8 × 1.8 × 5.0 | 270 | TSE; Dixon | APTw | [69] | |
| 2019 | 17 | PT | 500 | 2.0 | 1.8 × 1.8 × 5.0 | 140 | TSE | MTRasym | [70] | |
| 2018 | 22 | PT | 500 | 2.0 | 1.8 × 1.8 × 5.0 | 140 | TSE | MTRasym | [71] | |
| Liver | 2020 | 20 | PT | 28 | 0.2, 1.15 | 1.88 × 1.88 × 5.0 | 391 | GRE | MTRasym | [72] |
| 2020 | 56 | N/A | N/A | N/A | 3.1 × 3.1 × 5.0 | N/A | EPI | MTRasym | [73] | |
| 2019 | 32 | PT | 830 | 2 | 1.0 × 1.5 × 6 | 261 | 2D-TSE | MTRasym | [74] | |
| Salivary gland | 2021 | 36 | PT | 2000 | 2.0 | 2.5 × 2.5 × 5.0 | 160 | 3D-TSE | MTRasym | [75] |
| 2021 | 42 | PT | 2000 | 2.0 | 1.8 × 1.8 × 5.0 | 112 | 2D-GRE | APTw | [76] | |
| 2019 | 38 | PT | 70 | 2.0 | 2.0 × 2.5 × 6.0 | 245 | 3D-EPI | APTw | [77] | |
| Head & neck | 2019 | 29 | PT | 830 | 2 | 2.2 × 2.2 × 6 | 261 | TSE | MTRasym | [78] |
| 2014 | 10 | CW | 200 | 2.0 | 2.0 × 2.0 × 4.0 | 120 | TSE | APTw | [79] | |
| Lung & Thoracic | 2017 | 7 | CW | 200 | 1.0 | 4.7 × 4.7 × 20.0 | 180 | Steady-state precession | MTRasym | [80] |
| 2017 | 82 | PT | 400 | 1.0–2.0 | 1.2 × 1.4 × 15.0 | 600 | 2D-half Fourier TSE | APTw | [81] | |
| 2016 | 21 | PT | 400 | 1.0–2.0 | 1.2 × 1.4 × 15.0 | 600 | Half-Fourier TSE | APTw | [82] | |
| Imaging Type | APTw-MRI | DWI-MRI | DCE-MRI |
|---|---|---|---|
| Full name | Amide proton transfer-weighted MRI | Diffusion-weighted imaging MRI | Dynamic contrast-enhanced MRI |
| Target | amide proton constituents | Cell density, tumor microstructure | Contrast enhancement kinetics |
| Imaging principle | Based on the effect of CEST between free water and mobile proteins or peptides backbones; amide proton constituents abundant in tumors. | Measuring the random Brownian motion of water molecules within a voxel of tissue. Highly cellular tissues exhibit lower diffusion coefficients. | Uses the T1 relaxation characteristics of gadolinium contrast agents to model the pharmacokinetic distribution of contrast between the vasculature and interstitial space |
| Parameter | APT signal intensity (APT SI) | Apparent diffusion coefficient (ADC) | Time-intensity curve (TIC); kep (the exchange of the contrast agent between the two compartments) |
| Clinical application in tumor imaging | Diagnosis tumor, predict tumor response to treatment, assessment of prognostic factors | Tumor grading, diagnosis and prognosis; Assessing the proliferation status of several cancers | Assess the therapeutic response of tumor. Important for the clinical evaluation of EEA, especially for assessment of the depth of myometrial invasion. [60] |
| Advantages | Needs no exogenous contrast agent; Quantitative imaging parameters correlate with histopathology or oncogenic protein markers, such as p53 and Ki-67 index [94] | Effective in the differentiation with high diagnostic accuracy | The golden standard of neovascularization; Effective in the differentiation with high diagnostic accuracy; |
| Disadvantages | APT imaging is often prone to artifacts resulting from system Instability [42] | ADC diagnostic and prognostic capacity is reduced by the complicate components in tumor interstitial regions | Needs exogenous contrast agent; Contrast enhancement kinetics in tissue depend on several factors such as microvessel density and vascular permeability, which are not pathognomic for some tumors like breast tumors [51] |
| Body Part | Year | MS (T) | Saturation Pulse | Resolution (mm3) | AT (s) | Technical Novelty | Study | |
|---|---|---|---|---|---|---|---|---|
| Tsat (s) | B1 (μT) | |||||||
| Nasopharyngeal | 2021 | 3.0 | 0.8 | 2 | 1.25 × 1.25 × 7 | 381 | MTRasym | [102] |
| Breast | 2021 | 7 | 5 | 1.5 | 0.3125 × 0.3125 × 1.5 | 128 | Contrast agents: voluven and dextran 70 | [103] |
| 2019 | 7 | 5 | 1.5 | 0.39 × 0.39 × 4 | 793 | Integrating CEST contrast agents into nanocarriers | [104] | |
| 2017 | 7 | 5 | 1.5 | 0.234 × 0.234 × 1.5 | ~605 | Pharmaceutical excipients as contrast agents | [105] | |
| Pancreas | 2020 | 14 | 1 | 3 | 0.2 × 0.2 × 1 | 1800 | Rare sequence; WASSR; | [106] |
| 2019 | 14 | 1 | 3 | 0.2 × 0.2 × 1 | 1140 | Rare sequence; WASSR; | [107] | |
| 2019 | 11.7 | 3 | 1.8 | 0.4 × 0.4 × 1 | 300 | Contrast agent; RARE sequence; WASSR; | [108] | |
| 2019 | 7 | 6 | 3.5 T | 0.05 × 0.05 × 2 | 180–240 | Iopamidol; acidoCEST | [109] | |
| 2018 | 14 | 3 | 2 | 0.2 × 0.2 × 1 | 1140 | RARE sequence; WASSR | [110] | |
| 2017 | 7 | 6 | 4 | 0.469 × 0.312 × 2 | ~282 | Contrast agent: GR- 4Am-SA; catalyCEST | [111] | |
| Liver | 2019 | 11.7 | 3 | 2.4 | 0.39 × 0.39 × 1 | N/A | Contrast agent: iodinated liposome | [112] |
| Prostate | 2021 | 7 | 5 | 3 | 0.3125 × 0.3125 × 1.5 | N/A | Denoising; acidoCEST | [113] |
| 2019 | 11.7 | 3 | 1.8 | 0.39 × 0.39 × 1 | 1242 | Contrast agent: dextrans; dexCEST | [114] | |
| Kidney | 2019 | 9.4 | 4 | 1.6 | 0.31 × 0.47 × 1 | ~3000 | Respiratory trigger; glucoCEST | [115] |
| 2018 | 7 | 6 | 3.5 1.0, 1.5, 2.0 | 0.453 × 0.453 × 2 | 254 19.421 | Contrast agent; respiration-gated acidoCEST | [116] | |
| 2017 | 7 | 2 | 3.0 | 0.5 × 0.5 × 0.5 | 310 | Contrast agent; acidoCEST | [117] | |
| 2016 | 3 | 5 | 3 | 0.3125 × 0.3125 × 1.5 | 276 | Contrast agent; acidoCEST | [118] | |
| - | 2018 | 7 | 3 | 4 | 0.625 × 0.625 × 1 | 462 | Contrast agent; catalyCEST | [119] |
Publisher’s Note: MDPI stays neutral with regard to jurisdictional claims in published maps and institutional affiliations. |
© 2021 by the authors. Licensee MDPI, Basel, Switzerland. This article is an open access article distributed under the terms and conditions of the Creative Commons Attribution (CC BY) license (https://creativecommons.org/licenses/by/4.0/).
Share and Cite
Gao, T.; Zou, C.; Li, Y.; Jiang, Z.; Tang, X.; Song, X. A Brief History and Future Prospects of CEST MRI in Clinical Non-Brain Tumor Imaging. Int. J. Mol. Sci. 2021, 22, 11559. https://doi.org/10.3390/ijms222111559
Gao T, Zou C, Li Y, Jiang Z, Tang X, Song X. A Brief History and Future Prospects of CEST MRI in Clinical Non-Brain Tumor Imaging. International Journal of Molecular Sciences. 2021; 22(21):11559. https://doi.org/10.3390/ijms222111559
Chicago/Turabian StyleGao, Tianxin, Chuyue Zou, Yifan Li, Zhenqi Jiang, Xiaoying Tang, and Xiaolei Song. 2021. "A Brief History and Future Prospects of CEST MRI in Clinical Non-Brain Tumor Imaging" International Journal of Molecular Sciences 22, no. 21: 11559. https://doi.org/10.3390/ijms222111559
APA StyleGao, T., Zou, C., Li, Y., Jiang, Z., Tang, X., & Song, X. (2021). A Brief History and Future Prospects of CEST MRI in Clinical Non-Brain Tumor Imaging. International Journal of Molecular Sciences, 22(21), 11559. https://doi.org/10.3390/ijms222111559

