A Complex Network of Sigma Factors and sRNA StsR Regulates Stress Responses in R. sphaeroides
Abstract
1. Introduction
2. Results
2.1. Overview on the Effect of StsR on Expression of Protein-Coding Genes
2.2. Effects of StsR on Expression of Photosynthesis Genes and of Genes for Regulators of Photosynthesis Genes
2.3. Effect of StsR on mRNAs for Alternative Sigma Factors
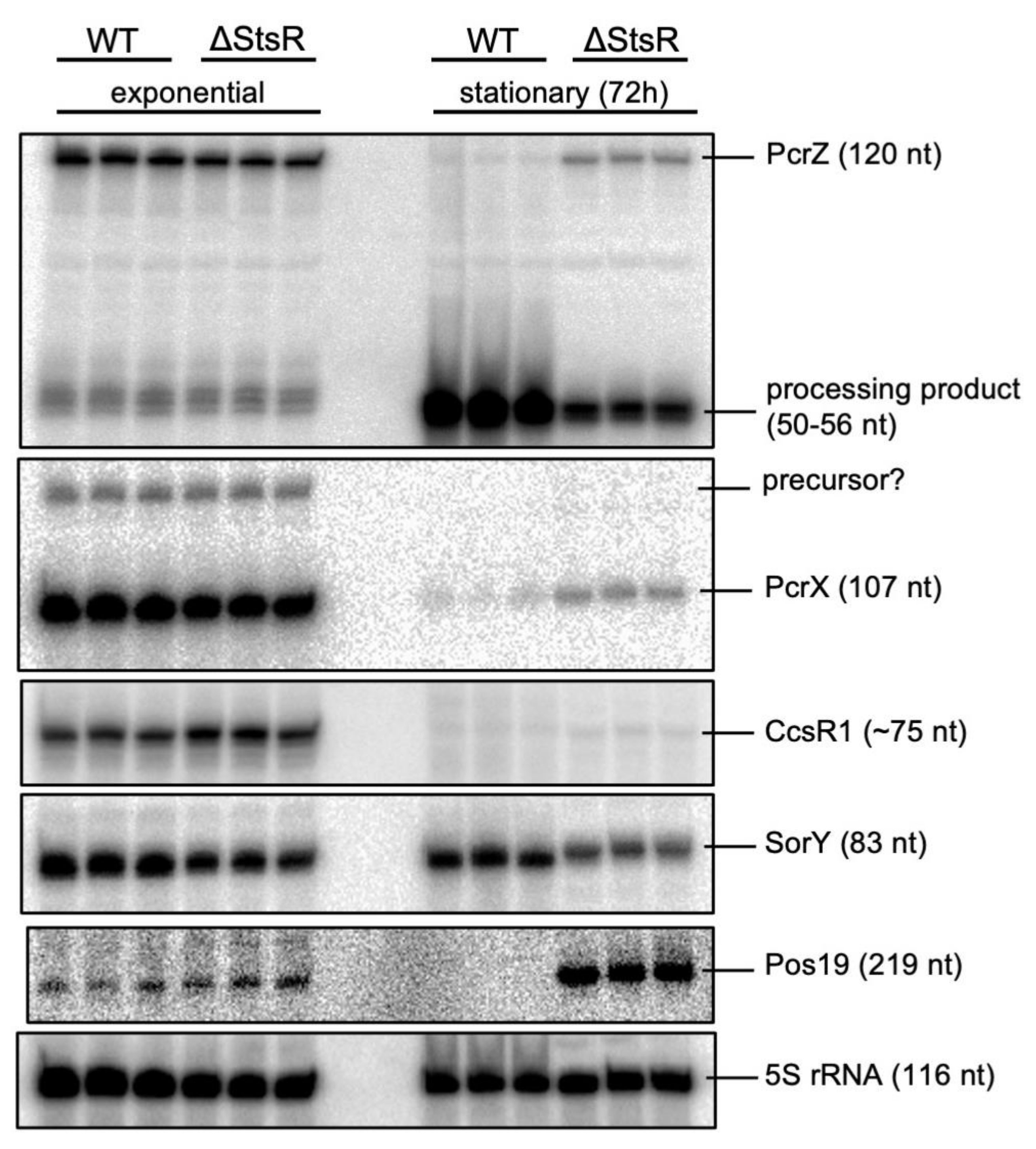
2.4. Effect of StsR on Expression of sRNAs with a Role in Stress Responses or Photosynthesis Gene Expression
2.5. StsR Targets rpoE mRNA and Affects Its Stability
3. Discussion
4. Materials and Methods
4.1. Bacterial Strains, Plasmids and Growth Conditions
4.2. Construction of the rpoE-lacZ Fusion
4.3. β-Galactosidase Activity Measurements
4.4. RNA Isolation
4.5. Northern Blot Analysis
4.6. Quantitative Real-Time RT PCR
4.7. Gel Retardation Assay
4.8. RNAseq Analysis and Evaluation
4.9. Half-Life Determination of the mRNA
Supplementary Materials
Author Contributions
Funding
Institutional Review Board Statement
Informed Consent Statement
Data Availability Statement
Acknowledgments
Conflicts of Interest
References
- Bathke, J.; Konzer, A.; Remes, B.; McIntosh, M.; Klug, G. Comparative analyses of the variation of the transcriptome and proteome of Rhodobacter sphaeroides throughout growth. BMC Genom. 2019, 20, 1–13. [Google Scholar] [CrossRef]
- Wösten, M.M. Eubacterial sigma-factors. FEMS Microbiol. Rev. 1998, 22, 127–150. [Google Scholar] [CrossRef]
- Paget, M.S.; Helmann, J.D. The σ70 family of sigma factors. Genome Biol. 2003, 4, 203. [Google Scholar] [CrossRef] [PubMed][Green Version]
- Feklístov, A.; Sharon, B.D.; Darst, S.A.; Gross, C.A. Bacterial Sigma Factors: A Historical, Structural, and Genomic Perspective. Annu. Rev. Microbiol. 2014, 68, 357–376. [Google Scholar] [CrossRef]
- De Bruijn, F.J. (Ed.) Stress and Environmental Regulation of Gene Expression and Adaptation in Bacteria; John Wiley & Sons, Inc.: Hoboken, NJ, USA, 2016; ISBN 9781119004813. [Google Scholar]
- Advances in Microbial Physiology; Academic: London, UK, 2011; Volume 59, ISBN 9780123876614.
- Yoon, S.H.; Waters, C.M. The ever-expanding world of bacterial cyclic oligonucleotide second messengers. Curr. Opin. Microbiol. 2021, 60, 96–103. [Google Scholar] [CrossRef] [PubMed]
- Waters, L.S.; Storz, G. Regulatory RNAs in Bacteria. Cell 2009, 136, 615–628. [Google Scholar] [CrossRef] [PubMed]
- Jørgensen, M.G.; Pettersen, J.S.; Kallipolitis, B.H. sRNA-mediated control in bacteria: An increasing diversity of regulatory mechanisms. Biochim. Biophys. Acta Gene Regul. Mech. 2020, 1863, 194504. [Google Scholar] [CrossRef] [PubMed]
- Wagner, E.G.H.; Romby, P. Small RNAs in bacteria and archaea: Who they are, what they do, and how they do it. Fungal Phylogenet. Phylogenomics 2015, 90, 133–208. [Google Scholar] [CrossRef]
- Michaux, C.; Verneuil, N.; Hartke, A.; Giard, J.-C. Physiological roles of small RNA molecules. Microbiology 2014, 160, 1007–1019. [Google Scholar] [CrossRef]
- O’Gara, J.P.; Eraso, J.M.; Kaplan, S. A Redox-Responsive Pathway for Aerobic Regulation of Photosynthesis Gene Expression in Rhodobacter sphaeroides 2.4.1. J. Bacteriol. 1998, 180, 4044–4050. [Google Scholar] [CrossRef]
- Oh, J.-I.; Ko, I.-J.; Kaplan, S. Reconstitution of the Rhodobacter sphaeroides cbb3-PrrBA Signal Transduction Pathway in Vitro. Biochemistry 2004, 43, 7915–7923. [Google Scholar] [CrossRef]
- Han, Y.; Meyer, M.H.F.; Keusgen, M.; Klug, G. A haem cofactor is required for redox and light signalling by the AppA protein of Rhodobacter sphaeroides. Mol. Microbiol. 2007, 64, 1090–1104. [Google Scholar] [CrossRef]
- Braatsch, S.; Gomelsky, M.; Kuphal, S.; Klug, G. A single flavoprotein, AppA, integrates both redox and light signals in Rhodobacter sphaeroides. Mol. Microbiol. 2002, 45, 827–836. [Google Scholar] [CrossRef] [PubMed]
- Masuda, S.; Bauer, C.E. AppA Is a Blue Light Photoreceptor that Antirepresses Photosynthesis Gene Expression in Rhodobacter sphaeroides. Cell 2002, 110, 613–623. [Google Scholar] [CrossRef]
- Moskvin, O.V.; Kaplan, S.; Gilles-Gonzalez, M.-A.; Gomelsky, M. Novel Heme-based Oxygen Sensor with a Revealing Evolutionary History. J. Biol. Chem. 2007, 282, 28740–28748. [Google Scholar] [CrossRef] [PubMed]
- Gomelsky, M.; Klug, G. BLUF: A novel FAD-binding domain involved in sensory transduction in microorganisms. Trends Biochem. Sci. 2002, 27, 497–500. [Google Scholar] [CrossRef]
- Gomelsky, L.; Sram, J.; Moskvin, O.V.; Horne, I.M.; Dodd, H.N.; Pemberton, J.M.; McEwan, A.G.; Kaplan, S.; Gomelsky, M. Identification and in vivo characterization of PpaA, a regulator of photosystem formation in Rhodobacter sphaeroides. Microbiology 2003, 149, 377–388. [Google Scholar] [CrossRef] [PubMed]
- Vermeulen, A.J.; Bauer, C.E. Members of the PpaA/AerR Antirepressor Family Bind Cobalamin. J. Bacteriol. 2015, 197, 2694–2703. [Google Scholar] [CrossRef]
- Zeilstra-Ryalls, J.H.; Kaplan, S. Role of the fnrL Gene in Photosystem Gene Expression and Photosynthetic Growth of Rhodobacter sphaeroides 2.4.1. J. Bacteriol. 1998, 180, 1496–1503. [Google Scholar] [CrossRef]
- Zeilstra-Ryalls, J.H.; Kaplan, S. Aerobic and anaerobic regulation in Rhodobacter sphaeroides 2.4.1: The role of the fnrL gene. J. Bacteriol. 1995, 177, 6422–6431. [Google Scholar] [CrossRef]
- Imam, S.; Noguera, D.R.; Donohue, T.J. Global Analysis of Photosynthesis Transcriptional Regulatory Networks. PLoS Genet. 2014, 10, e1004837. [Google Scholar] [CrossRef] [PubMed]
- Mank, N.N.; Berghoff, B.A.; Hermanns, Y.N.; Klug, G. Regulation of bacterial photosynthesis genes by the small noncoding RNA PcrZ. Proc. Natl. Acad. Sci. USA 2012, 109, 16306–16311. [Google Scholar] [CrossRef]
- Mank, N.N.; Berghoff, B.A.; Klug, G. A mixed incoherent feed-forward loop contributes to the regulation of bacterial photosynthesis genes. RNA Biol. 2013, 10, 347–352. [Google Scholar] [CrossRef]
- Eisenhardt, K.M.H.; Reuscher, C.M.; Klug, G. PcrX, an sRNA derived from the 3′- UTR of the Rhodobacter sphaeroides puf operon modulates expression of puf genes encoding proteins of the bacterial photosynthetic apparatus. Mol. Microbiol. 2018, 110, 325–334. [Google Scholar] [CrossRef] [PubMed]
- Reuscher, C.M.; Klug, G. Antisense RNA asPcrL regulates expression of photosynthesis genes in Rhodobacter sphaeroides by promoting RNase III-dependent turn-over of puf mRNA. RNA Biol. 2021, 1–13. [Google Scholar] [CrossRef]
- Glaeser, J.; Nuss, A.; Berghoff, B.; Klug, G. Singlet Oxygen Stress in Microorganisms. Adv. Bact. Pathog. Biol. 2011, 58, 141–173. [Google Scholar] [CrossRef]
- Nuss, A.M.; Glaeser, J.; Klug, G. RpoHII Activates Oxidative-Stress Defense Systems and Is Controlled by RpoE in the Singlet Oxygen-Dependent Response in Rhodobacter sphaeroides. J. Bacteriol. 2009, 191, 220–230. [Google Scholar] [CrossRef]
- Nuss, A.M.; Glaeser, J.; Berghoff, B.A.; Klug, G. Overlapping Alternative Sigma Factor Regulons in the Response to Singlet Oxygen in Rhodobacter sphaeroides. J. Bacteriol. 2010, 192, 2613–2623. [Google Scholar] [CrossRef]
- Dufour, Y.S.; Imam, S.; Koo, B.-M.; Green, H.A.; Donohue, T.J. Convergence of the Transcriptional Responses to Heat Shock and Singlet Oxygen Stresses. PLoS Genet. 2012, 8, e1002929. [Google Scholar] [CrossRef] [PubMed]
- Anthony, J.R.; Newman, J.D.; Donohue, T.J. Interactions Between the Rhodobacter sphaeroides ECF Sigma Factor, σE, and its Anti-sigma Factor, ChrR. J. Mol. Biol. 2004, 341, 345–360. [Google Scholar] [CrossRef][Green Version]
- Nuss, A.M.; Adnan, F.; Weber, L.; Berghoff, B.A.; Glaeser, J.; Klug, G. DegS and RseP Homologous Proteases Are Involved in Singlet Oxygen Dependent Activation of RpoE in Rhodobacter sphaeroides. PLoS ONE 2013, 8, e79520. [Google Scholar] [CrossRef] [PubMed]
- Remes, B.; Rische-Grahl, T.; Müller, K.M.H.; Förstner, K.U.; Yu, S.-H.; Weber, L.; Jäger, A.; Peuser, V.; Klug, G. An RpoHI-Dependent Response Promotes Outgrowth after Extended Stationary Phase in the Alphaproteobacterium Rhodobacter sphaeroides. J. Bacteriol. 2017, 199, e00249-17. [Google Scholar] [CrossRef] [PubMed]
- Billenkamp, F.; Peng, T.; Berghoff, B.A.; Klug, G. A Cluster of Four Homologous Small RNAs Modulates C1 Metabolism and the Pyruvate Dehydrogenase Complex in Rhodobacter sphaeroides under Various Stress Conditions. J. Bacteriol. 2015, 197, 1839–1852. [Google Scholar] [CrossRef]
- Peuser, V.; Remes, B.; Klug, G. Role of the Irr Protein in the Regulation of Iron Metabolism in Rhodobacter sphaeroides. PLoS ONE 2012, 7, e42231. [Google Scholar] [CrossRef]
- Grützner, J.; Remes, B.; Eisenhardt, K.M.H.; Scheller, D.; Kretz, J.; Madhugiri, R.; McIntosh, M.; Klug, G. sRNA-mediated RNA processing regulates bacterial cell division. Nucleic Acids Res. 2021. [Google Scholar] [CrossRef] [PubMed]
- Weber, L.; Thoelken, C.; Volk, M.; Remes, B.; Lechner, M.; Klug, G. The Conserved Dcw Gene Cluster of R. sphaeroides Is Preceded by an Uncommonly Extended 5’ Leader Featuring the sRNA UpsM. PLoS ONE 2016, 11, e0165694. [Google Scholar] [CrossRef] [PubMed]
- Love, M.I.; Huber, W.; Anders, S. Moderated estimation of fold change and dispersion for RNA-seq data with DESeq2. Genome Biol. 2014, 15, 1–21. [Google Scholar] [CrossRef]
- Zeng, X.; Kaplan, S. TspO as a Modulator of the Repressor/Antirepressor (PpsR/AppA) Regulatory System in Rhodobacter sphaeroides 2.4.1. J. Bacteriol. 2001, 183, 6355–6364. [Google Scholar] [CrossRef] [PubMed]
- Grützner, J.; Billenkamp, F.; Spanka, D.-T.; Rick, T.; Monzon, V.; Förstner, K.U.; Klug, G. The small DUF1127 protein CcaF1 from Rhodobacter sphaeroides is an RNA-binding protein involved in sRNA maturation and RNA turnover. Nucleic Acids Res. 2021, 49, 3003–3019. [Google Scholar] [CrossRef]
- Domenzain, C.; Camarena, L.; Osorio, A.; Dreyfus, G.; Poggio, S. Evolutionary origin of the Rhodobacter sphaeroides specialized RpoN sigma factors. FEMS Microbiol. Lett. 2012, 327, 93–102. [Google Scholar] [CrossRef] [PubMed]
- Berghoff, B.A.; Klug, G. An Omics View on the Response to Singlet Oxygen. In Stress and Environmental Regulation of Gene Expression and Adaptation in Bacteria; De Bruijn, F.J., Ed.; John Wiley & Sons, Inc: Hoboken, NJ, USA, 2016; pp. 619–631. ISBN 9781119004813. [Google Scholar]
- Müller, K.M.H.; Berghoff, B.A.; Eisenhardt, B.D.; Remes, B.; Klug, G. Characteristics of Pos19–A Small Coding RNA in the Oxidative Stress Response of Rhodobacter sphaeroides. PLoS ONE 2016, 11, e0163425. [Google Scholar] [CrossRef] [PubMed]
- Peng, T.; Berghoff, B.A.; Oh, J.-I.; Weber, L.; Schirmer, J.; Schwarz, J.; Glaeser, J.; Klug, G. Regulation of a polyamine transporter by the conserved 3′ UTR-derived sRNA SorX confers resistance to singlet oxygen and organic hydroperoxides in Rhodobacter sphaeroides. RNA Biol. 2016, 13, 988–999. [Google Scholar] [CrossRef] [PubMed]
- Adnan, F.; Weber, L.; Klug, G. The sRNA SorY confers resistance during photooxidative stress by affecting a metabolite transporter inRhodobacter sphaeroides. RNA Biol. 2015, 12, 569–577. [Google Scholar] [CrossRef]
- Mann, M.; Wright, P.R.; Backofen, R. IntaRNA 2.0: Enhanced and customizable prediction of RNA–RNA interactions. Nucleic Acids Res. 2017, 45, W435–W439. [Google Scholar] [CrossRef]
- Kavita, K.; de Mets, F.; Gottesman, S. New aspects of RNA-based regulation by Hfq and its partner sRNAs. Curr. Opin. Microbiol. 2018, 42, 53–61. [Google Scholar] [CrossRef]
- Morita, T.; Maki, K.; Aiba, H. RNase E-based ribonucleoprotein complexes: Mechanical basis of mRNA destabilization mediated by bacterial noncoding RNAs. Genes Dev. 2005, 19, 2176–2186. [Google Scholar] [CrossRef] [PubMed]
- Förstner, K.U.; Reuscher, C.M.; Haberzettl, K.; Weber, L.; Klug, G. RNase E cleavage shapes the transcriptome ofRhodobacter sphaeroidesand strongly impacts phototrophic growth. Life Sci. Alliance 2018, 1, e201800080. [Google Scholar] [CrossRef]
- Saoud, J.; Carrier, M.-C.; Massé, É.; Faucher, S.P. The small regulatory RNA Lpr10 regulates the expression of RpoS in Legionella pneumophila. Mol. Microbiol. 2021, 115, 789–806. [Google Scholar] [CrossRef]
- Engel, F.; Ossipova, E.; Jakobsson, P.-J.; Vockenhuber, M.-P.; Suess, B. sRNA scr5239 Involved in Feedback Loop Regulation of Streptomyces coelicolor Central Metabolism. Front. Microbiol. 2020, 10, 3121. [Google Scholar] [CrossRef]
- Khan, M.A.; Durica-Mitic, S.; Göpel, Y.; Heermann, R.; Görke, B. Small RNA-binding protein RapZ mediates cell envelope precursor sensing and signaling in Escherichia coli. EMBO J. 2020, 39, e103848. [Google Scholar] [CrossRef] [PubMed]
- Butz, H.A.; Mey, A.R.; Ciosek, A.L.; Payne, S.M. Vibrio cholerae CsrA Directly Regulates varA to Increase Expression of the Three Nonredundant Csr Small RNAs. MBio 2019, 10, e01042-19. [Google Scholar] [CrossRef]
- Zeilstra-Ryalls, J.H.; Kaplan, S. Oxygen intervention in the regulation of gene expression: The photosynthetic bacterial paradigm. Cell. Mol. Life Sci. 2004, 61, 417–436. [Google Scholar] [CrossRef] [PubMed]
- Berghoff, B.A.; Glaeser, J.; Sharma, C.M.; Zobawa, M.; Lottspeich, F.; Vogel, J.; Klug, G. Contribution of Hfq to photooxidative stress resistance and global regulation in Rhodobacter sphaeroides. Mol. Microbiol. 2011, 80, 1479–1495. [Google Scholar] [CrossRef]
- Hussein, R.; Lim, H.N. Disruption of small RNA signaling caused by competition for Hfq. Proc. Natl. Acad. Sci. USA 2011, 108, 1110–1115. [Google Scholar] [CrossRef]
- Olejniczak, M. Despite Similar Binding to the Hfq Protein Regulatory RNAs Widely Differ in Their Competition Performance. Biochemistry 2011, 50, 4427–4440. [Google Scholar] [CrossRef]
- Moon, K.; Gottesman, S. Competition among Hfq-binding small RNAs in Escherichia coli. Mol. Microbiol. 2011, 82, 1545–1562. [Google Scholar] [CrossRef]
- Santiago-Frangos, A.; Woodson, S.A. Hfq chaperone brings speed dating to bacterial sRNA. Wiley Interdiscip. Rev. RNA 2018, 9, e1475. [Google Scholar] [CrossRef] [PubMed]
- Sonnleitner, E.; Prindl, K.; Bläsi, U. The Pseudomonas aeruginosa CrcZ RNA interferes with Hfq-mediated riboregulation. PLoS ONE 2017, 12, e0180887. [Google Scholar] [CrossRef]
- Faigenbaum-Romm, R.; Reich, A.; Gatt, Y.E.; Barsheshet, M.; Argaman, L.; Margalit, H. Hierarchy in Hfq Chaperon Occupancy of Small RNA Targets Plays a Major Role in Their Regulation. Cell Rep. 2020, 30, 3127–3138.e6. [Google Scholar] [CrossRef] [PubMed]
- Małecka, E.; Stróżecka, J.; Sobańska, D.; Olejniczak, M. Structure of Bacterial Regulatory RNAs Determines Their Performance in Competition for the Chaperone Protein Hfq. Biochemistry 2015, 54, 1157–1170. [Google Scholar] [CrossRef]
- Van Niel, C.B. The culture, general physiology, morphology, and classification of the non-sulfur purple and brown bacteria. Bacteriol. Rev. 1944, 8, 1–118. [Google Scholar] [CrossRef]
- Remes, B.; A Berghoff, B.A.; Förstner, K.U.; Klug, G. Role of oxygen and the OxyR protein in the response to iron limitation in Rhodobacter sphaeroides. BMC Genom. 2014, 15, 1–11. [Google Scholar] [CrossRef]
- Klug, G.; Drews, G. Construction of a gene bank of Rhodopseudomonas capsulata using a broad host range DNA cloning system. Arch. Microbiol. 1984, 139, 319–325. [Google Scholar] [CrossRef] [PubMed]
- Klug, G.; Jäger, A.; Heck, C.; Rauhut, R. Identification, sequence analysis, and expression of the lepB gene for a leader peptidase in Rhodobacter capsulatus. Mol. Genet. Genom. 1997, 253, 666–673. [Google Scholar] [CrossRef] [PubMed]
- Damm, K.; Bach, S.; Müller, K.M.H.; Klug, G.; Burenina, O.Y.; Kubareva, E.A.; Grünweller, A.; Hartmann, R.K. Impact of RNA Isolation Protocols on RNA Detection by Northern Blotting. Methods Mol. Biol. 2015, 1296, 29–38. [Google Scholar] [CrossRef] [PubMed]
- Berghoff, B.A.; Glaeser, J.; Sharma, C.M.; Vogel, J.; Klug, G. Photooxidative stress-induced and abundant small RNAs in Rhodobacter sphaeroides. Mol. Microbiol. 2009, 74, 1497–1512. [Google Scholar] [CrossRef]
- Pfaffl, M.W. A new mathematical model for relative quantification in real-time RT-PCR. Nucleic Acids Res. 2001, 29, e45. [Google Scholar] [CrossRef]
- Nicol, J.W.; Helt, G.A.; Blanchard, S.G.; Raja, A.; Loraine, A.E. The Integrated Genome Browser: Free software for distribution and exploration of genome-scale datasets. Bioinformatics 2009, 25, 2730–2731. [Google Scholar] [CrossRef] [PubMed]







| Gene | Log2-Fold WT Station./ Expon. Phase | Log2-Fold Mutant Station./ Expon. Phase | Log2-Fold Mutant/WT Expon. Phase | Log2-Fold Mutant/WT Station. Phase | |
|---|---|---|---|---|---|
| Photosynth. genes | |||||
| pufX | RSP_0255 | −2.54 | −3.79 | (−0.14) | −1.26 |
| pufM | RSP_0256 | −2.65 | −3.23 | (−0.43) | −0.58 |
| bchY | RSP_0261 | −2.02 | −3.57 | (0.04) | −1.56 |
| bchX | RSP_0262 | −2.24 | −3.14 | 0.25 | −0.90 |
| tspO | RSP_0269 | −1.67 | (−0.34) | (−0.03) | 1.33 |
| bchI | RSP_0273 | −2.35 | −1.26 | 0.28 | 1.10 |
| bchJ | RSP_0280 | −2.40 | −4.00 | −0.69 | −1.67 |
| bchE | RSP_0281 | −1.66 | −2.51 | (−0.01) | −0.85 |
| bchH | RSP_0287 | −1.41 | −2.86 | (−0.07) | −1.00 |
| bchL | RSP_0288 | −1.18 | −2.03 | (0.15) | −0.85 |
| hemN | RSP_0317 | 1.09 | −2.70 | (0.29) | −1.90 |
| hemZ | RSP_0699 | −1.12 | −3.02 | (0.05) | −1.95 |
| Genes for regulatory proteins | |||||
| fnrL | RSP_0698 | −0.82 | 1.00 | (0.03) | 1.80 |
| prrA | RSP_1518 | −1.32 | −0.52 | 0.49 | 0.86 |
| appA | RSP_1565 | −0.80 | −0.06 | (−0.04) | 0.70 |
| Genes for alternative sigma factors/anti-sigma factors | |||||
| rpoHII | RSP_0601 | 1.10 | 3.33 | (−0.04) | 2.22 |
| rpoE | RSP_1092 | (−0.15) | 2.89 | (−0.15) | 2.42 |
| chrR | RSP_1093 | −1.85 | 2.23 | (−0.23) | (0.15) |
| rpoHI | RSP_2410 | 3.69 | 6.20 | (0.06) | 2.52 |
| RSP_3095 | 5.04 | 7.23 | (0.12) | 2.19 | |
| RSP_3094 | 5.32 | 6.61 | (0.32) | 1.50 |
Publisher’s Note: MDPI stays neutral with regard to jurisdictional claims in published maps and institutional affiliations. |
© 2021 by the authors. Licensee MDPI, Basel, Switzerland. This article is an open access article distributed under the terms and conditions of the Creative Commons Attribution (CC BY) license (https://creativecommons.org/licenses/by/4.0/).
Share and Cite
Eisenhardt, K.M.H.; Remes, B.; Grützner, J.; Spanka, D.-T.; Jäger, A.; Klug, G. A Complex Network of Sigma Factors and sRNA StsR Regulates Stress Responses in R. sphaeroides. Int. J. Mol. Sci. 2021, 22, 7557. https://doi.org/10.3390/ijms22147557
Eisenhardt KMH, Remes B, Grützner J, Spanka D-T, Jäger A, Klug G. A Complex Network of Sigma Factors and sRNA StsR Regulates Stress Responses in R. sphaeroides. International Journal of Molecular Sciences. 2021; 22(14):7557. https://doi.org/10.3390/ijms22147557
Chicago/Turabian StyleEisenhardt, Katrin M. H., Bernhardt Remes, Julian Grützner, Daniel-Timon Spanka, Andreas Jäger, and Gabriele Klug. 2021. "A Complex Network of Sigma Factors and sRNA StsR Regulates Stress Responses in R. sphaeroides" International Journal of Molecular Sciences 22, no. 14: 7557. https://doi.org/10.3390/ijms22147557
APA StyleEisenhardt, K. M. H., Remes, B., Grützner, J., Spanka, D.-T., Jäger, A., & Klug, G. (2021). A Complex Network of Sigma Factors and sRNA StsR Regulates Stress Responses in R. sphaeroides. International Journal of Molecular Sciences, 22(14), 7557. https://doi.org/10.3390/ijms22147557

