Current Diagnosis and Treatment Options for Cutaneous Adnexal Neoplasms with Apocrine and Eccrine Differentiation
Abstract
1. Introduction
2. Tumors with Apocrine and Eccrine Differentiation
2.1. Malignant Tumors with Apocrine or Eccrine Differentiation
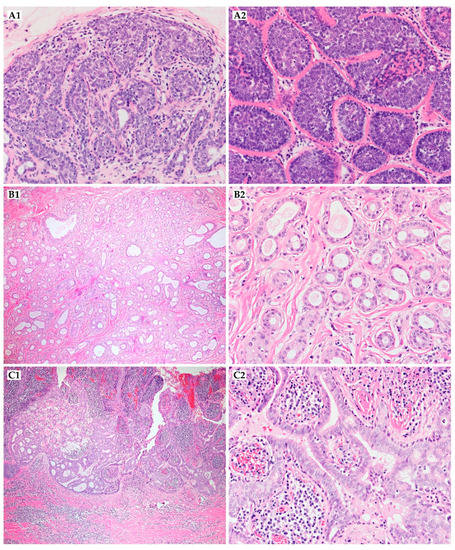
2.1.1. Adnexal Adenocarcinoma Not Otherwise Specified (NOS)
2.1.2. Microcystic Adnexal Carcinoma
2.1.3. Porocarcinoma In Situ and Porocarcinoma
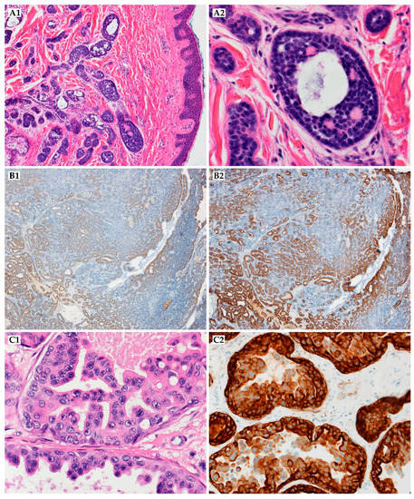
2.1.4. Malignant Neoplasms Arising from Spiradenoma, Cylindroma, or Spiradenocylindroma
2.1.5. Malignant Mixed Tumor
2.1.6. Hidradenocarcinoma
2.1.7. Mucinous Carcinoma
2.1.8. Endocrine Mucin-Producing Sweat Gland Carcinoma
2.1.9. Digital Papillary Adenocarcinoma
2.1.10. Adenoid Cystic Carcinoma
2.1.11. Apocrine Carcinoma
2.1.12. Squamoid Eccrine Ductal Carcinoma
2.1.13. Syringocystadenocarcinoma Papilliferum
2.1.14. Secretory Carcinoma
2.1.15. Cribriform Carcinoma
2.1.16. Signet-Ring Cell/Histiocytoid Carcinoma
2.2. Benign Tumors with Apocrine or Eccrine Differentiation
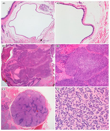
2.2.1. Hidrocystoma/Cystadenoma
2.2.2. Syringoma
2.2.3. Poroma
2.2.4. Syringofibroadenoma
2.2.5. Hidradenoma
2.2.6. Spiradenoma
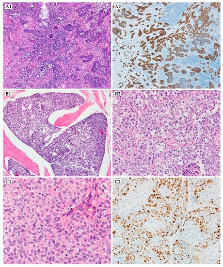
2.2.7. Cylindroma
2.2.8. Tubular Adenoma
2.2.9. Syringocystadenoma Papilliferum
2.2.10. Cutaneous Mixed Tumor
2.2.11. Myoepithelioma
3. Conclusions
| Cancer Type | Genetic Abnormalities | Reference | ||
|---|---|---|---|---|
| Mutation | Expression Downregulated | Expression Upregulated | ||
| Adnexal adenocarcinoma NOS | ND | |||
| Microcystic adnexal carcinoma | TP53, JAK1, CDKN2A, CDKN2B, CDK11B, STAT3 In some cases, the authors have observed loss of function in cyclin-dependent kinase inhibitor 2A (CDKN2A), cyclin-dependent kinase inhibitor 2B (CDKN2B), CDK11B genes. | CDKN2A, CDKN2B, CDK11B | p53, phospho-STAT3 | [39,48,301] |
| Porocarcinoma | EGFR, HRAS, TP53, RB1, ATM, ARID1A, PIK3CA, CDKN2A,YAP1-MAML2, YAP1-NUTM1 | TP53, RB1 | EGFR, HRAS, YAP1-MAML2, YAP1-NUTM1 | [25,28] |
| Malignant neoplasms arising from spiradenoma, cylindroma, or spiradenocylindroma | TP53, CYLD | CYLD, TP53 | [65,302] | |
| Malignant mixed tumor | PHF1-TFE3 | [78] | ||
| Hidradenocarcinoma | ERBB2, TP53, t(11;19): CRTC1; MAML2, FGFR1, CDH1, MYST3, ZNF703, EGFR, PIK3CA, AKT-1 | CDH1, TP53 | FGFR1, MYST3, ZNF703 | [83,84,86,90,303] |
| Mucinous carcinoma | ND | |||
| Endocrine mucin-producing sweat gland carcinoma | ND | |||
| Digital papillary adenocarcinoma | TP53, BRAF-V600E, FGFR2 | TP53 | FGFR2, BRAF-V600E | [20,21,22] |
| Adenoid cystic carcinoma | MYB-NFIB,MYBL1, SMARCA2, CREBBP,KDM6A, PIK3CA | [126,129,130,304] | ||
| Apocrine carcinoma | PIK3CA, KRAS. In one case, mutations in PIK3CA, KRAS genes have been found. | KRAS | [158] | |
| Squamoid eccrine ductal carcinoma | ND | |||
| Syringocystadenocarcinoma papilliferum | ND | |||
| Secretory carcinoma | ETV6-NTRK3, NFIX-PKN1 | [173,175,176,177,178,179] | ||
| Cribriform carcinoma | ND | |||
| Signet-ring cell/histiocytoid carcinoma | NTRK3, CDKN1B, PIK3CA, ERBB2, CDH1 | [23,24,196]. | ||
| Hidrocystoma/ cystadenoma | MECT1-MAML2 | [305] | ||
| Syringoma | ND | |||
| Poroma | HRAS, ERBB4, APC | HRAS | [306,307] | |
| Syringofibroadenoma | ND | |||
| Hidradenoma | CRTC1-MAML2 PIK3CA, AKT1 | [244,307,308] | ||
| Spiradenoma | CYLD, ALPK1 | CYLD | [250,254] | |
| Cylindroma | CYLD, MYB-NFIB,DNMT3A | CYLD | [253,254] | |
| Tubular adenoma | BRAF, KRAS | BRAF, KRAS | [263] | |
| Syringocystadenoma papilliferum | BRAF V600E, HRAS, KRAS | BRAF, HRAS, KRAS | [273,274,275,276,277] | |
| Mixed tumor | PLAG1, EWSR1 | [26,27] | ||
| Myoepithelioma | EWSR1 rearrangements (mostly EWSR1-PBX3) | [288,289,290,291] | ||
| Cancer Type | Surgery | Chemotherapy (Regiment, Dosing) | Reference | Radiotherapy (Gy) | Reference |
|---|---|---|---|---|---|
| Adnexal adenocarcinoma NOS | R | ND | [35] | ND | [35] |
| Microcystic adnexal carcinoma | R | NR | [3] | 60–66 (2/fraction) or 45 (4.5/fraction)—NA or A of primary lesion | [3,47] |
| Porocarcinoma | R | NR | [11,57] | NR | [11,57] |
| Malignant neoplasms arising from spiradenoma, cylindroma, or spiradenocylindroma | R | A | [74,75] | A | [74,75] |
| Malignant mixed tumor | R | ND | [80,309] | LD | [80,82,309] |
| Hidradenocarcinoma | R | MD: 1. line: 5-fluorouracil, capecitabine 2. line: doxorubicin, platins, cyclophosphamide, vincristine, and bleomycin Targeted therapy (trastuzumab, tamoxifen) | [87,90,310] | A: 70 LR: 45–70 | [47,88,89,310] |
| Mucinous carcinoma | R | NR | [92,97,98] | NR | [92,97] |
| Endocrine mucin-producing sweat gland carcinoma | R | ND | [101,109] | LD | [101,109,111] |
| Digital papillary adenocarcinoma | R | ND | [112] | LD | [112,116,117] |
| Adenoid cystic carcinoma | R | MD: 5-fluorouracil, cisplatin, adriamycin, cyclophosphamide, doxorubicin, vinorelbine | [139,140,141,142,311,312,313,314,315] | A | [311,314,316,317,318,319,320] |
| Apocrine carcinoma | R | NM: anthracyclines, taxanes, platinum drugs, cyclophosphamide, adriamycin, methotrexate, bleomycin HER2 inhibitors | [151,154,155,156,321] | A: 45–70 | [151] |
| Squamoid eccrine ductal carcinoma | R | ND | [162,322] | ND | [161,162,322] |
| Syringocystadenocarcinoma papilliferum | R | LD | [170,172] | LD | [170,171,172] |
| Secretory carcinoma | R | ND | [183] | ND | [183] |
| Cribriform carcinoma | R | ND | [189,190,193] | ND | [189,193] |
| Signet-ring cell/histiocytoid carcinoma | R | NA, A—conventional and targeted therapy (HER2 inhibitors, tamoxifen, anti-androgen) | [23,197,199,204] | NA, A | [24,197,199,203,204] |
| Hidrocystoma/ cystadenoma | R | ND | ND | ||
| Syringoma | R | ND | ND | ||
| Poroma | R | ND | ND | ||
| Syringofibroadenoma | R | ND | ND | ||
| Hidradenoma | R | ND | ND | ||
| Spiradenoma | R | ND | ND | ||
| Cylindroma | R | ND | ND | ||
| Tubular adenoma | R | ND | ND | ||
| Syringocystadenoma papilliferum | R | ND | ND | ||
| Mixed tumor | R | ND | ND | ||
| Myoepithelioma | R | ND | ND |
Author Contributions
Funding
Institutional Review Board Statement
Informed Consent Statement
Data Availability Statement
Acknowledgments
Conflicts of Interest
References
- Sawaya, J.L.; Khachemoune, A. Poroma: A review of eccrine, apocrine, and malignant forms. Int. J. Dermatol. 2014, 53, 1053–1061. [Google Scholar] [CrossRef]
- Panagopoulos, I.; Gorunova, L.; Lund-Iversen, M.; Bassarova, A.; Heim, S. Fusion of the Genes PHF1 and TFE3 in Malignant Chondroid Syringoma. Cancer Genom. Proteom. 2019, 16, 345–351. [Google Scholar] [CrossRef]
- Nguyen, C.M.; Cassarino, D.S. Local recurrence of cutaneous mixed tumor (chondroid syringoma) as malignant mixed tumor of the thumb 20 years after initial diagnosis. J. Cutan. Pathol. 2017, 44, 292–295. [Google Scholar] [CrossRef]
- Kazakov, D.V.; Zelger, B.; Rutten, A.; Vazmitel, M.; Spagnolo, D.V.; Kacerovska, D.; Vanecek, T.; Grossmann, P.; Sima, R.; Grayson, W.; et al. Morphologic diversity of malignant neoplasms arising in preexisting spiradenoma, cylindroma, and spiradenocylindroma based on the study of 24 cases, sporadic or occurring in the setting of Brooke-Spiegler syndrome. Am. J. Surg. Pathol. 2009, 33, 705–719. [Google Scholar] [CrossRef]
- Obaidat, N.A.; Alsaad, K.O.; Ghazarian, D. Skin adnexal neoplasms—Part 2: An approach to tumours of cutaneous sweat glands. J. Clin. Pathol. 2007, 60, 145–159. [Google Scholar] [CrossRef] [PubMed]
- Wang, L.S.; Handorf, E.A.; Wu, H.; Liu, J.C.; Perlis, C.S.; Galloway, T.J. Surgery and Adjuvant Radiation for High-risk Skin Adnexal Carcinoma of the Head and Neck. Am. J. Clin. Oncol. 2017, 40, 429–432. [Google Scholar] [CrossRef] [PubMed]
- Worley, B.; Owen, J.L.; Barker, C.A.; Behshad, R.; Bichakjian, C.K.; Bolotin, D.; Bordeaux, J.S.; Bradshaw, S.; Cartee, T.V.; Chandra, S.; et al. Evidence-Based Clinical Practice Guidelines for Microcystic Adnexal Carcinoma: Informed by a Systematic Review. JAMA Dermatol. 2019. [Google Scholar] [CrossRef] [PubMed]
- Frouin, E.; Vignon-Pennamen, M.D.; Balme, B.; Cavelier-Balloy, B.; Zimmermann, U.; Ortonne, N.; Carlotti, A.; Pinquier, L.; Andre, J.; Cribier, B. Anatomoclinical study of 30 cases of sclerosing sweat duct carcinomas (microcystic adnexal carcinoma, syringomatous carcinoma and squamoid eccrine ductal carcinoma). J. Eur. Acad. Dermatol. Venereol. 2015, 29, 1978–1994. [Google Scholar] [CrossRef] [PubMed]
- Dores, G.M.; Huycke, M.M.; Devesa, S.S.; Garcia, C.A. Primary cutaneous adenoid cystic carcinoma in the United States: Incidence, survival, and associated cancers, 1976 to 2005. J. Am. Acad. Dermatol. 2010, 63, 71–78. [Google Scholar] [CrossRef]
- Chaudhari, S.P.; Mortazie, M.B.; Blattner, C.M.; Garelik, J.; Wolff, M.; Daulat, J.; Chaudhari, P.J. Treatments for microcystic adnexal carcinoma—A review. J. Dermatol. Treat. 2016, 27, 278–284. [Google Scholar] [CrossRef]
- Duke, W.H.; Sherrod, T.T.; Lupton, G.P. Aggressive digital papillary adenocarcinoma (aggressive digital papillary adenoma and adenocarcinoma revisited). Am. J. Surg. Pathol. 2000, 24, 775–784. [Google Scholar] [CrossRef] [PubMed]
- Gerall, C.D.; Sippel, M.R.; Yracheta, J.L.; Hogan, F.S. Microcystic Adnexal Carcinoma: A Rare, Commonly Misdiagnosed Malignancy. Mil. Med. 2019, 184, 948–950. [Google Scholar] [CrossRef]
- Lountzis, N.; Junkins-Hopkins, J.; Uberti-Benz, M.; Elenitsas, R. Microcystic adnexal carcinoma arising within a nevus sebaceus. Cutis 2007, 80, 352–356. [Google Scholar]
- Liang, C.A.; Busam, K.J.; Nehal, K.S. Microcystic adnexal carcinoma associated with multiple benign syringomatous proliferations: A report of two cases. Dermatol. Surg. 2011, 37, 1515–1518. [Google Scholar] [CrossRef] [PubMed]
- Hsu, M.C.; Liau, J.Y.; Hong, J.L.; Cheng, Y.; Liao, Y.H.; Chen, J.S.; Sheen, Y.S.; Hong, J.B. Secondary neoplasms arising from nevus sebaceus: A retrospective study of 450 cases in Taiwan. J. Dermatol. 2016, 43, 175–180. [Google Scholar] [CrossRef]
- Zaballos, P.; Serrano, P.; Flores, G.; Bañuls, J.; Thomas, L.; Llambrich, A.; Castro, E.; Lallas, A.; Argenziano, G.; Zalaudek, I.; et al. Dermoscopy of tumours arising in naevus sebaceous: A morphological study of 58 cases. J. Eur. Acad. Dermatol. Venereol. 2015, 29, 2231–2237. [Google Scholar] [CrossRef]
- Terushkin, E.; Leffell, D.J.; Futoryan, T.; Cowper, S.; Lazova, R. Squamoid eccrine ductal carcinoma: A case report and review of the literature. Am. J. Dermatol. 2010, 32, 287–292. [Google Scholar] [CrossRef]
- Rutkowski, P.; Mandalà, M. New Therapies in Advanced Cutaneous Malignancies; Springer International Publishing: Cham, Switzerland, 2021. [Google Scholar] [CrossRef]
- Mallaiah, U.; Dickinson, J. Photo essay: Bilateral multiple eyelid apocrine hidrocystomas and ectodermal dysplasia. Arch. Ophthalmol. 2001, 119, 1866–1867. [Google Scholar] [CrossRef] [PubMed]
- Font, R.L.; Stone, M.S.; Schanzer, M.C.; Lewis, R.A. Apocrine hidrocystomas of the lids, hypodontia, palmar-plantar hyperkeratosis, and onychodystrophy. A new variant of ectodermal dysplasia. Arch. Ophthalmol. 1986, 104, 1811–1813. [Google Scholar] [CrossRef]
- Smart, D.R.; Taintor, A.R.; Kelly, M.E.; Lyon, V.B.; Segura, A.; Jensen, J.N.; Drolet, B.A. Microcystic adnexal carcinoma: The first reported congenital case. Pediatr. Dermatol. 2011, 28, 35–38. [Google Scholar] [CrossRef]
- Watarai, A.; Amoh, Y.; Aki, R.; Takasu, H.; Katsuoka, K. Malignant chondroid syringoma: Report of a case with lymph node metastasis 12 years after local excision. Dermatol. Online J. 2011, 17, 5. [Google Scholar]
- Dias-Santagata, D.; Lam, Q.; Bergethon, K.; Baker, G.M.; Iafrate, A.J.; Rakheja, D.; Hoang, M.P. A potential role for targeted therapy in a subset of metastasizing adnexal carcinomas. Mod. Pathol. 2011, 24, 974–982. [Google Scholar] [CrossRef] [PubMed]
- Bell, D.; Aung, P.; Prieto, V.G.; Ivan, D. Next-generation sequencing reveals rare genomic alterations in aggressive digital papillary adenocarcinoma. Ann. Diagn. Pathol. 2015, 19, 381–384. [Google Scholar] [CrossRef]
- Surowy, H.M.; Giesen, A.K.; Otte, J.; Büttner, R.; Falkenstein, D.; Friedl, H.; Meier, F.; Petzsch, P.; Wachtmeister, T.; Westphal, D.; et al. Gene expression profiling in aggressive digital papillary adenocarcinoma sheds light on the architecture of a rare sweat gland carcinoma. Br. J. Dermatol. 2019, 180, 1150–1160. [Google Scholar] [CrossRef]
- Ito, Y.; Ishida, M.; Ohe, C.; Miyasaka, C.; Tsuta, K. Signet-ring cell/histiocytoid carcinoma in the axilla: A case report with genetic analysis using next-generation sequencing. J. Cutan. Pathol. 2020. [Google Scholar] [CrossRef] [PubMed]
- Raghavan, S.S.; Clark, M.; Louie, C.Y.; Jensen, K.C.; Dietrich, B.; Beadle, B.M.; El-Sawy, T.; Baik, F.; Kunder, C.A.; Brown, R.A. Molecular profiling of a primary cutaneous signet-ring cell/histiocytoid carcinoma of the eyelid. J. Cutan. Pathol. 2020. [Google Scholar] [CrossRef]
- Harms, P.W.; Hovelson, D.H.; Cani, A.K.; Omata, K.; Haller, M.J.; Wang, M.L.; Arps, D.; Patel, R.M.; Fullen, D.R.; Wang, M.; et al. Porocarcinomas harbor recurrent HRAS-activating mutations and tumor suppressor inactivating mutations. Hum. Pathol. 2016, 51, 25–31. [Google Scholar] [CrossRef]
- Antonescu, C.R.; Zhang, L.; Shao, S.Y.; Mosquera, J.M.; Weinreb, I.; Katabi, N.; Fletcher, C.D. Frequent PLAG1 gene rearrangements in skin and soft tissue myoepithelioma with ductal differentiation. Genes Chromosomes Cancer 2013, 52, 675–682. [Google Scholar] [CrossRef] [PubMed]
- Bahrami, A.; Dalton, J.D.; Krane, J.F.; Fletcher, C.D. A subset of cutaneous and soft tissue mixed tumors are genetically linked to their salivary gland counterpart. Genes Chromosomes Cancer 2012, 51, 140–148. [Google Scholar] [CrossRef] [PubMed]
- Sekine, S.; Kiyono, T.; Ryo, E.; Ogawa, R.; Wakai, S.; Ichikawa, H.; Suzuki, K.; Arai, S.; Tsuta, K.; Ishida, M.; et al. Recurrent YAP1-MAML2 and YAP1-NUTM1 fusions in poroma and porocarcinoma. J. Clin. Investig. 2019, 130, 3827–3832. [Google Scholar] [CrossRef]
- Williams, K.; Shinkai, K. Evaluation and management of the patient with multiple syringomas: A systematic review of the literature. J. Am. Acad. Dermatol. 2016, 74, 1234–1240.e1239. [Google Scholar] [CrossRef]
- Yasar, S.; Doner, N.; Gunes, P. Coexistence of eruptive syringoma and bilateral nipple vitiligo: Could there be a common immunopathogenesis? North. Clin. Istanb. 2017, 4, 195–198. [Google Scholar] [CrossRef] [PubMed]
- Carlson, J.A.; Rohwedder, A.; Daulat, S.; Schwartz, J.; Schaller, J. Detection of human papillomavirus type 10 DNA in eccrine syringofibroadenomatosis occurring in Clouston’s syndrome. J. Am. Acad. Dermatol. 1999, 40, 259–262. [Google Scholar] [CrossRef]
- Carlson, J.A.; Cribier, B.; Nuovo, G.; Rohwedder, A. Epidermodysplasia verruciformis-associated and genital-mucosal high-risk human papillomavirus DNA are prevalent in nevus sebaceus of Jadassohn. J. Am. Acad. Dermatol. 2008, 59, 279–294. [Google Scholar] [CrossRef] [PubMed]
- Skelton, H.G., 3rd; Smith, K.J.; Young, D.; Lupton, G.P. Condyloma acuminatum associated with syringocystadenoma papilliferum. Am. J. Dermatol. 1994, 16, 628–630. [Google Scholar] [CrossRef]
- Konstantinova, A.M.; Kyrpychova, L.; Nemcova, J.; Sedivcova, M.; Bisceglia, M.; Kutzner, H.; Zamecnik, M.; Sehnalkova, E.; Pavlovsky, M.; Zateckova, K.; et al. Syringocystadenoma Papilliferum of the Anogenital Area and Buttocks: A Report of 16 Cases, Including Human Papillomavirus Analysis and HRAS and BRAF V600 Mutation Studies. Am. J. Dermatol. 2019, 41, 281–285. [Google Scholar] [CrossRef]
- Craig, P.J. An Overview of Uncommon Cutaneous Malignancies, Including Skin Appendageal (Adnexal) Tumours and Sarcomas. Clin. Oncol. (R Coll Radiol.) 2019, 31, 769–778. [Google Scholar] [CrossRef]
- Blake, P.W.; Bradford, P.T.; Devesa, S.S.; Toro, J.R. Cutaneous appendageal carcinoma incidence and survival patterns in the United States: A population-based study. Arch. Dermatol. 2010, 146, 625–632. [Google Scholar] [CrossRef]
- Saeed, S.; Keehn, C.A.; Morgan, M.B. Cutaneous metastasis: A clinical, pathological, and immunohistochemical appraisal. J. Cutan. Pathol. 2004, 31, 419–430. [Google Scholar] [CrossRef] [PubMed]
- Sakanoue, M.; Matsushita, S.; Kawai, K.; Kanekura, T. Microcystic adnexal carcinoma arising in a nevus sebaceous. Indian J. Dermatol. 2013, 58, 247. [Google Scholar] [CrossRef]
- Chan, M.P.; Plouffe, K.R.; Liu, C.J.; Palanisamy, N.; Carskadon, S.; Zhao, L.; Nazarian, R.M.; Durham, A.B.; Johnson, T.M.; Andea, A.A.; et al. Next-generation sequencing implicates oncogenic roles for p53 and JAK/STAT signaling in microcystic adnexal carcinomas. Mod. Pathol. 2020, 33, 1092–1103. [Google Scholar] [CrossRef] [PubMed]
- Llamas-Velasco, M.; Pérez-Gónzalez, Y.C.; Bosch-Príncep, R.; Fernández-Figueras, M.T.; Rütten, A. Solid carcinoma is a variant of microcystic adnexal carcinoma: A 14-case series. J. Cutan. Pathol. 2018, 45, 897–904. [Google Scholar] [CrossRef] [PubMed]
- Fu, T.; Clark, F.L.; Lorenz, H.P.; Bruckner, A.L. Congenital microcystic adnexal carcinoma. Arch. Dermatol. 2011, 147, 256–257. [Google Scholar] [CrossRef] [PubMed]
- Gordon, S.; Fischer, C.; Martin, A.; Rosman, I.S.; Council, M.L. Microcystic Adnexal Carcinoma: A Review of the Literature. Dermatol. Surg. 2017, 43, 1012–1016. [Google Scholar] [CrossRef]
- Behbahani, S.; Yeh, C.J.; Pinto, J.O.; Wassef, D.; Povolotskiy, R.; Joseph, N.; Lambert, W.C.; Schwartz, R.A. Microcystic Adnexal Carcinoma of the Head and Neck: Characteristics, Treatment, and Survival Statistics. Dermatol. Ther. 2020, e14559. [Google Scholar] [CrossRef]
- Amon, G.; Liszewski, W.; Maher, I.A. Epidemiology and Survival of Microcystic Adnexal Carcinoma by Sex in the United States. Dermatol. Surg. 2019. [Google Scholar] [CrossRef]
- Bronikowska-Kolasa, A. Rzadko występujące złośliwe rozrosty nowotworowe skóry wywodzące się z gruczołów potowych. Borgis Nowa Med. 2005, 2/2005. [Google Scholar]
- Chiller, K.; Passaro, D.; Scheuller, M.; Singer, M.; McCalmont, T.; Grekin, R.C. Microcystic adnexal carcinoma: Forty-eight cases, their treatment, and their outcome. Arch. Dermatol. 2000, 136, 1355–1359. [Google Scholar] [CrossRef]
- Waqas, O.; Faisal, M.; Haider, I.; Amjad, A.; Jamshed, A.; Hussain, R. Retrospective study of rare cutaneous malignant adnexal tumors of the head and neck in a tertiary care cancer hospital: A case series. J. Med. Case Rep. 2017, 11, 67. [Google Scholar] [CrossRef]
- Chen, M.B.; Laber, D.A. Metastatic Microcystic Adnexal Carcinoma with DNA Sequencing Results and Response to Systemic Antineoplastic Chemotherapy. Anticancer Res. 2017, 37, 5109–5111. [Google Scholar] [CrossRef][Green Version]
- Haga, T.; Fujimura, T.; Aiba, S. Successful treatment of microcystic adnexal carcinoma on the philtrum with oral S-1 monotherapy. J. Dermatol. 2019, 46, e208–e209. [Google Scholar] [CrossRef]
- Kim, D.W.; Lee, G.; Lam, M.B.; Harris, E.J.; Lam, A.C.; Thomas, T.; Chau, N.G.; Tishler, R.B. Microcystic Adnexal Carcinoma of the Face Treated With Definitive Chemoradiation: A Case Report and Review of the Literature. Adv. Radiat. Oncol. 2020, 5, 301–310. [Google Scholar] [CrossRef]
- King, B.J.; Tolkachjov, S.N.; Winchester, D.S.; Baum, C.L.; Brewer, J.D.; Arpey, C.J.; Otley, C.C.; Roenigk, R.K. Demographics and outcomes of microcystic adnexal carcinoma. J. Am. Acad. Dermatol. 2018, 79, 756–758. [Google Scholar] [CrossRef]
- De Iuliis, F.; Amoroso, L.; Taglieri, L.; Vendittozzi, S.; Blasi, L.; Salerno, G.; Lanza, R.; Scarpa, S. Chemotherapy of rare skin adnexal tumors: A review of literature. Anticancer Res. 2014, 34, 5263–5268. [Google Scholar] [PubMed]
- Bardach, H. Hidroacanthoma simplex with in situ porocarcinoma. A case suggesting malignant transformation. J. Cutan. Pathol. 1978, 5, 236–248. [Google Scholar] [CrossRef] [PubMed]
- Salih, A.M.; Kakamad, F.H.; Baba, H.O.; Salih, R.Q.; Hawbash, M.R.; Mohammed, S.H.; Othman, S.; Saeed, Y.A.; Habibullah, I.J.; Muhialdeen, A.S.; et al. Porocarcinoma; presentation and management, a meta-analysis of 453 cases. Ann. Med. Surg. (Lond) 2017, 20, 74–79. [Google Scholar] [CrossRef]
- Robson, A.; Greene, J.; Ansari, N.; Kim, B.; Seed, P.T.; McKee, P.H.; Calonje, E. Eccrine porocarcinoma (malignant eccrine poroma): A clinicopathologic study of 69 cases. Am. J. Surg. Pathol. 2001, 25, 710–720. [Google Scholar] [CrossRef]
- Nazemi, A.; Higgins, S.; Swift, R.; In, G.; Miller, K.; Wysong, A. Eccrine Porocarcinoma: New Insights and a Systematic Review of the Literature. Dermatol. Surg. 2018, 44, 1247–1261. [Google Scholar] [CrossRef] [PubMed]
- Le, N.S.; Janik, S.; Liu, D.T.; Grasl, S.; Faisal, M.; Pammer, J.; Schickinger-Fischer, B.; Hamzavi, J.S.; Seemann, R.; Erovic, B.M. Eccrine porocarcinoma of the head and neck: Meta-analysis of 120 cases. Head Neck 2020, 42, 2644–2659. [Google Scholar] [CrossRef]
- Nakamura, Y.; Tanese, K.; Hirai, I.; Kawakami, Y.; Funakoshi, T. Carboplatin and epirubicin combination therapy for advanced malignant epithelial skin tumors: Retrospective study of six patients. J. Dermatol. 2018, 45, 874–875. [Google Scholar] [CrossRef]
- Mandaliya, H.; Nordman, I. Metastatic Eccrine Porocarcinoma: A Rare Case of Successful Treatment. Case Rep. Oncol. 2016, 9, 454–456. [Google Scholar] [CrossRef]
- de Bree, E.; Volalakis, E.; Tsetis, D.; Varthalitis, Y.; Panagiotidis, J.; Romanos, J.; Tsiftsis, D.D. Treatment of advanced malignant eccrine poroma with locoregional chemotherapy. Br. J. Dermatol. 2005, 152, 1051–1055. [Google Scholar] [CrossRef]
- Briscoe, K.E.; Grage, T.; Kennedy, B.J. Sustained complete remission of metastatic sweat gland carcinoma following regional hyperthermic perfusion. JAMA 1978, 240, 51–52. [Google Scholar] [CrossRef]
- Aaribi, I.; Mohtaram, A.; Ben Ameur El Youbi, M.; Kharmoum, J.; El Kabous, M.; Mrabti, H.; El Khannoussi, B.; Errihani, H. Successful management of metastatic eccrine porocarcinoma. Case Rep. Oncol. Med. 2013, 2013, 282536. [Google Scholar] [CrossRef] [PubMed]
- Fujimura, T.; Hashimoto, A.; Furudate, S.; Kambayashi, Y.; Haga, T.; Aiba, S. Successful Treatment of Eccrine Porocarcinoma Metastasized to a Cervical Lymph Node with CyberKnife Radiosurgery. Case Rep. Dermatol. 2014, 6, 159–163. [Google Scholar] [CrossRef] [PubMed]
- Kazakov, D.V.; Grossmann, P.; Spagnolo, D.V.; Vanecek, T.; Vazmitel, M.; Kacerovska, D.; Zelger, B.; Calonje, E.; Michal, M. Expression of p53 and TP53 mutational analysis in malignant neoplasms arising in preexisting spiradenoma, cylindroma, and spiradenocylindroma, sporadic or associated with Brooke-Spiegler syndrome. Am. J. Dermatol. 2010, 32, 215–221. [Google Scholar] [CrossRef]
- Elder, D.E.; Massi, D.; Scolyer, R.A.; Willemze, R. WHO Classification of Skin Tumours, 4th ed.; World Health Organization: Geneva, Switzerland, 2018. [Google Scholar]
- Kampshoff, J.L.; Cogbill, T.H. Unusual skin tumors: Merkel cell carcinoma, eccrine carcinoma, glomus tumors, and dermatofibrosarcoma protuberans. Surg. Clin. N. Am. 2009, 89, 727–738. [Google Scholar] [CrossRef] [PubMed]
- Dai, B.; Kong, Y.Y.; Cai, X.; Shen, X.X.; Kong, J.C. Spiradenocarcinoma, cylindrocarcinoma and spiradenocylindrocarcinoma: A clinicopathological study of nine cases. Histopathology 2014, 65, 658–666. [Google Scholar] [CrossRef]
- Andreoli, M.T.; Itani, K.M. Malignant eccrine spiradenoma: A meta-analysis of reported cases. Am. J. Surg. 2011, 201, 695–699. [Google Scholar] [CrossRef] [PubMed]
- Granter, S.R.; Seeger, K.; Calonje, E.; Busam, K.; McKee, P.H. Malignant eccrine spiradenoma (spiradenocarcinoma): A clinicopathologic study of 12 cases. Am. J. Dermatol. 2000, 22, 97–103. [Google Scholar] [CrossRef]
- Tran, T.A.; Muller, S.; Chaudahri, P.J.; Carlson, J.A. Cutaneous carcinosarcoma: Adnexal vs. epidermal types define high- and low-risk tumors. Results of a meta-analysis. J. Cutan. Pathol. 2005, 32, 2–11. [Google Scholar] [CrossRef]
- Retamar, R.A.; Stengel, F.; Saadi, M.E.; Kien, M.C.; Della Giovana, P.; Cabrera, H.; Chouela, E.N. Brooke-Spiegler syndrome—Report of four families: Treatment with CO2 laser. Int. J. Dermatol. 2007, 46, 583–586. [Google Scholar] [CrossRef]
- Lo, J.S.; Peschen, M.; Snow, S.N.; Oriba, H.A.; Mohs, F.E. Malignant cylindroma of the scalp. J. Dermatol. Surg. Oncol. 1991, 17, 897–901. [Google Scholar] [CrossRef] [PubMed]
- Held, L.; Ruetten, A.; Saggini, A.; Kempter, W.; Tiedke, C.; Weber-Kuhn, S.; De Saint Aubain, N.; Mentzel, T. Metaplastic spiradenocarcinoma: Report of two cases with sarcomatous differentiation. J. Cutan. Pathol. 2020. [Google Scholar] [CrossRef] [PubMed]
- Kim, S.M.; Truong, J.L.; Wu, K.; Gabril, M.Y.; Grant, A. Malignant cylindroma of the scalp treated with staged perimeter excision: A case report and literature review. JPRAS Open 2019, 21, 1–5. [Google Scholar] [CrossRef] [PubMed]
- Guerrissi, J.O.; Quiroga, J.P. Adnexal carcinomas of the head and neck. Indian J. Plast. Surg. 2008, 41, 229–234. [Google Scholar] [CrossRef]
- Fabian, R.L.; Shugar, M.A. Florid dermal cylindroma (turban tumor). Head Neck Surg. 1981, 4, 165–169. [Google Scholar] [CrossRef]
- Famulski, W.; Kańczuga, K.L.; Niewiarowska, K.; Niksa, M.; Maruszak, K.; Koda, M.; Pryczynicz, A. Malignant mixed tumor of the skin: A case report and review of the literature. Prog. Health Sci. 2013, 3, 154–158. [Google Scholar]
- Harrist, T.J. Cutaneous Malignant Mixed Tumor. Arch. Dermatol. 1981, 117. [Google Scholar] [CrossRef]
- Solomonov, A.; Rosenblatt, E.; Ben-Izhak, O.; Goralnik, L.; Yigla, M. High-dose-rate endobronchial brachytherapy in endobronchial metastatic malignant chondroid syringoma. Respiration 2001, 68, 406–410. [Google Scholar] [CrossRef]
- Kazakov, D.V.; Ivan, D.; Kutzner, H.; Spagnolo, D.V.; Grossmann, P.; Vanecek, T.; Sima, R.; Kacerovska, D.; Shelekhova, K.V.; Denisjuk, N.; et al. Cutaneous hidradenocarcinoma: A clinicopathological, immunohistochemical, and molecular biologic study of 14 cases, including Her2/neu gene expression/amplification, TP53 gene mutation analysis, and t(11;19) translocation. Am. J. Dermatol. 2009, 31, 236–247. [Google Scholar] [CrossRef]
- Yoshimi, K.; Goto, H.; Otsuka, M.; Yoshikawa, S.; Omodaka, T.; Kiyohara, Y. Translocation of the MAML2 gene in hidradenocarcinoma. J. Dermatol. 2017, 44, e190–e191. [Google Scholar] [CrossRef]
- Soni, A.; Bansal, N.; Kaushal, V.; Chauhan, A.K. Current management approach to hidradenocarcinoma: A comprehensive review of the literature. Ecancermedicalscience 2015, 9, 517. [Google Scholar] [CrossRef]
- Gauerke, S.; Driscoll, J.J. Hidradenocarcinomas: A brief review and future directions. Arch. Pathol. Lab. Med. 2010, 134, 781–785. [Google Scholar] [CrossRef]
- Miller, D.H.; Peterson, J.L.; Buskirk, S.J.; Vallow, L.A.; Ta, R.; Joseph, R.; Krishna, M.; Ko, S.J.; Tzou, K.S. Management of Metastatic Apocrine Hidradenocarcinoma with Chemotherapy and Radiation. Rare Tumors 2015, 7, 6082. [Google Scholar] [CrossRef]
- Harari, P.M.; Shimm, D.S.; Bangert, J.L.; Cassady, J.R. The role of radiotherapy in the treatment of malignant sweat gland neoplasms. Cancer 1990, 65, 1737–1740. [Google Scholar] [CrossRef]
- Nash, J.W.; Barrett, T.L.; Kies, M.; Ross, M.I.; Sneige, N.; Diwan, A.H.; Lazar, A.J. Metastatic hidradenocarcinoma with demonstration of Her-2/neu gene amplification by fluorescence in situ hybridization: Potential treatment implications. J. Cutan. Pathol. 2007, 34, 49–54. [Google Scholar] [CrossRef] [PubMed]
- Lennox, B.; Pearse, A.G.; Richards, H.G. Mucin-secreting tumours of the skin with special reference to the so-called mixed-salivary tumour of the skin and its relation to hidradenoma. J. Pathol. Bacteriol. 1952, 64, 865–880. [Google Scholar] [CrossRef] [PubMed]
- Kamalpour, L.; Brindise, R.T.; Nodzenski, M.; Bach, D.Q.; Veledar, E.; Alam, M. Primary cutaneous mucinous carcinoma: A systematic review and meta-analysis of outcomes after surgery. JAMA Dermatol. 2014, 150, 380–384. [Google Scholar] [CrossRef] [PubMed]
- Ansari, A.N.; Bobos, M.; Shih, S.; Chen, M.C.; Ardakani, N.M.; Rosales, C.M.; Chen, C.J.; Savage, C.; Bracey, T.; McKee, P.H.; et al. Renal Cell Carcinoma Antigen Expression in Primary Cutaneous Endocrine Mucinous Carcinomas: A Case Series of 14 Patients and Review of the Literature. Am. J. Dermatol. 2019, 41, 571–577. [Google Scholar] [CrossRef] [PubMed]
- Rismiller, K.P.; Crowe, D.R.; Knackstedt, T.J. Prognostic Factors, Treatment, and Survival in Primary Cutaneous Mucinous Carcinoma: A SEER Database Analysis. Dermatol. Surg. 2019. [Google Scholar] [CrossRef] [PubMed]
- Javaid, H.; Raza, N.; Ejaz, U.; Sarfraz, T. Unusual skin mass (primary cutaneous mucinous carcinoma). BMJ Case Rep. 2018, 2018. [Google Scholar] [CrossRef] [PubMed]
- Cheng, C.Y.; Huang, Y.L.; Kuo, T.T.; Hu, S. The histopathological and dermoscopic correlation of primary cutaneous mucinous carcinoma. Indian J. Dermatol. Venereol. Leprol. 2019, 85, 215–220. [Google Scholar] [CrossRef] [PubMed]
- Miquelestorena-Standley, E.; Dujardin, F.; Arbion, F.; Touzé, A.; Machet, L.; Velut, S.; Guyétant, S. Recurrent primary cutaneous mucinous carcinoma with neuroendocrine differentiation: Case report and review of the literature. J. Cutan. Pathol. 2014, 41, 686–691. [Google Scholar] [CrossRef] [PubMed]
- Sung, Y.N.; Park, C.S.; Roh, J.; Choi, J.W.; Choi, S.H.; Lee, Y.; Cho, K.J. Expression of hormone receptors, adipophilin, and GCDFP-15 in mucinous carcinoma of the skin. J. Cutan. Pathol. 2018, 45, 886–890. [Google Scholar] [CrossRef] [PubMed]
- Shon, W.; Salomão, D.R. WT1 expression in endocrine mucin-producing sweat gland carcinoma: A study of 13 cases. Int. J. Dermatol. 2014, 53, 1228–1234. [Google Scholar] [CrossRef] [PubMed]
- Adefusika, J.A.; Pimentel, J.D.; Chavan, R.N.; Brewer, J.D. Primary mucinous carcinoma of the skin: The Mayo Clinic experience over the past 2 decades. Dermatol. Surg. 2015, 41, 201–208. [Google Scholar] [CrossRef]
- Agni, M.; Raven, M.L.; Bowen, R.C.; Laver, N.V.; Chevez-Barrios, P.; Milman, T.; Eberhart, C.G.; Couch, S.; Bennett, D.D.; Albert, D.M.; et al. An Update on Endocrine Mucin-producing Sweat Gland Carcinoma: Clinicopathologic Study of 63 Cases and Comparative Analysis. Am. J. Surg. Pathol. 2020, 44, 1005–1016. [Google Scholar] [CrossRef]
- Qin, H.; Moore, R.F.; Ho, C.Y.; Eshleman, J.; Eberhart, C.G.; Cuda, J. Endocrine mucin-producing sweat gland carcinoma: A study of 11 cases with molecular analysis. J. Cutan. Pathol. 2018. [Google Scholar] [CrossRef]
- Hasegawa-Murakami, Y.; Kono, M.; Yokota, K.; Inaba, H.; Fukumoto, T.; Akiyama, M. Dermoscopic features of endocrine mucin-producing sweat gland carcinoma. J. Dermatol. 2018, 45, 353–356. [Google Scholar] [CrossRef]
- Fernandez-Flores, A.; Cassarino, D.S. Endocrine mucin-producing sweat gland carcinoma: A study of three cases and CK8, CK18 and CD5/6 immunoexpression. J. Cutan. Pathol. 2015, 42, 578–586. [Google Scholar] [CrossRef]
- Mulay, K.; Menon, V.; Lahane, S.; Sharma, M.; Honavar, S.G. Endocrine mucin-producing sweat gland carcinoma (EMPSGC) of the eyelid: Clinicopathologic features, immunohistochemical findings and review of literature. Indian J. Ophthalmol. 2019, 67, 1374–1377. [Google Scholar] [CrossRef] [PubMed]
- Chou, Y.H.; Chang, Y.C.; Huang, Y.L.; Wu, C.T. Endocrine mucin-producing sweat gland carcinoma with GATA3 expression: Report of two cases. Pathology 2017, 49, 805–808. [Google Scholar] [CrossRef]
- Held, L.; Ruetten, A.; Kutzner, H.; Palmedo, G.; John, R.; Mentzel, T. Endocrine mucin-producing sweat gland carcinoma: Clinicopathologic, immunohistochemical, and molecular analysis of 11 cases with emphasis on MYB immunoexpression. J. Cutan. Pathol. 2018. [Google Scholar] [CrossRef] [PubMed]
- Saggini, A.; Cota, C. Local invasion in endocrine mucin-producing sweat gland carcinoma: Still an open issue. J. Cutan. Pathol. 2020, 47, 192–194. [Google Scholar] [CrossRef] [PubMed]
- Froehlich, M.; Cook, J.; Bruner, E.; Stalcup, S.; Patel, K.; Day, T. Endocrine Mucin-Producing Sweat Gland Carcinoma of the Eyelid With Locoregional Metastasis to the Parotid Gland. Dermatol. Surg. 2020, 46, 1116–1118. [Google Scholar] [CrossRef] [PubMed]
- Shah, M.; Aman, A.; Srinivaas, K.; Gudipati, A.; Chavali, P. Endocrine mucin-producing sweat gland carcinoma of the peno-scrotum with systemic metastases: A rare case report. Indian J. Pathol. Microbiol. 2021, 64, 180–182. [Google Scholar] [CrossRef]
- Nathan, N.R.; Emerick, K.S.; Hoang, M.P.; Smith, G.P.; Yancovitz, M. Perineural and Vascular Invasion in an Endocrine Mucin-Producing Sweat Gland Carcinoma of the Ear with Associated Mucinous Carcinoma. Dermatopathology 2019, 6, 271–274. [Google Scholar] [CrossRef]
- Rismiller, K.; Knackstedt, T.J. Aggressive Digital Papillary Adenocarcinoma: Population-Based Analysis of Incidence, Demographics, Treatment, and Outcomes. Dermatol. Surg. 2018, 44, 911–917. [Google Scholar] [CrossRef]
- Suchak, R.; Wang, W.L.; Prieto, V.G.; Ivan, D.; Lazar, A.J.; Brenn, T.; Calonje, E. Cutaneous digital papillary adenocarcinoma: A clinicopathologic study of 31 cases of a rare neoplasm with new observations. Am. J. Surg. Pathol. 2012, 36, 1883–1891. [Google Scholar] [CrossRef]
- Gupta, J.; Gulati, A.; Gupta, M.; Gupta, A. Aggressive Digital Papillary Adenocarcinoma at Atypical Site. Clin. Med. Insights Case Rep. 2019, 12, 1179547619828723. [Google Scholar] [CrossRef]
- Weingertner, N.; Gressel, A.; Battistella, M.; Cribier, B. Aggressive digital papillary adenocarcinoma: A clinicopathological study of 19 cases. J. Am. Acad. Dermatol. 2017, 77, 549–558.e1. [Google Scholar] [CrossRef] [PubMed]
- Carter, K.; Yao, J.J.; Melton, S.D.; Lopez, J.; Huerta, S. Digital Papillary Adenocarcinoma: Presentation, Natural History and Management. Rare Tumors 2015, 7, 5867. [Google Scholar] [CrossRef]
- Feldmeyer, L.; Prieto, V.G.; Ivan, D.; Nagarajan, P.; Tetzlaff, M.T.; Curry, J.L.; Bell, D.; Moon, B.S.; Torres-Cabala, C.A.; Aung, P.P. Role of Radiotherapy in Aggressive Digital Papillary Adenocarcinoma. Ann. Clin. Lab. Sci 2016, 46, 222–224. [Google Scholar] [PubMed]
- Haynes, D.; Thompson, C.; Leitenberger, J.; Vetto, J. Mohs Micrographic Surgery as a Digit-Sparing Treatment for Aggressive Digital Papillary Adenocarcinoma. Dermatol. Surg. 2017, 43, 1487–1489. [Google Scholar] [CrossRef] [PubMed]
- Knackstedt, R.W.; Knackstedt, T.J.; Findley, A.B.; Piliang, M.; Jellinek, N.J.; Bernard, S.L.; Vidimos, A. Aggressive digital papillary adenocarcinoma: Treatment with Mohs micrographic surgery and an update of the literature. Int. J. Dermatol. 2017, 56, 1061–1064. [Google Scholar] [CrossRef] [PubMed]
- Hsu, H.C.; Ho, C.Y.; Chen, C.H.; Yang, C.H.; Hong, H.S.; Chuang, Y.H. Aggressive digital papillary adenocarcinoma: A review. Clin. Exp. Dermatol. 2010, 35, 113–119. [Google Scholar] [CrossRef] [PubMed]
- Ning, Y.; He, W.; Bian, D.; Xie, D.; Jiang, G. Tracheo-bronchial adenoid cystic carcinoma: A retrospective study. Asia Pac. J. Clin. Oncol. 2019, 15, 244–249. [Google Scholar] [CrossRef] [PubMed]
- Moskaluk, C.A. Adenoid cystic carcinoma: Clinical and molecular features. Head Neck Pathol. 2013, 7, 17–22. [Google Scholar] [CrossRef]
- Ramakrishnan, R.; Chaudhry, I.H.; Ramdial, P.; Lazar, A.J.; McMenamin, M.E.; Kazakov, D.; Brenn, T.; Calonje, E. Primary cutaneous adenoid cystic carcinoma: A clinicopathologic and immunohistochemical study of 27 cases. Am. J. Surg. Pathol. 2013, 37, 1603–1611. [Google Scholar] [CrossRef]
- Boggio, R. Letter: Adenoid cystic carcinoma of scalp. Arch. Dermatol. 1975, 111, 793–794. [Google Scholar] [CrossRef]
- Xu, Y.G.; Hinshaw, M.; Longley, B.J.; Ilyas, H.; Snow, S.N. Cutaneous Adenoid Cystic Carcinoma with Perineural Invasion Treated by Mohs Micrographic Surgery—A Case Report with Literature Review. J. Oncol. 2010, 2010, 469049. [Google Scholar] [CrossRef]
- Pardal, J.; Sundram, U.; Selim, M.A.; Hoang, M.P. GATA3 and MYB Expression in Cutaneous Adnexal Neoplasms. Am. J. Dermatol. 2017, 39, 279–286. [Google Scholar] [CrossRef]
- North, J.P.; McCalmont, T.H.; Fehr, A.; van Zante, A.; Stenman, G.; LeBoit, P.E. Detection of MYB Alterations and Other Immunohistochemical Markers in Primary Cutaneous Adenoid Cystic Carcinoma. Am. J. Surg. Pathol. 2015, 39, 1347–1356. [Google Scholar] [CrossRef] [PubMed]
- Evangelista, M.T.; North, J.P. MYB, CD117 and SOX-10 expression in cutaneous adnexal tumors. J. Cutan. Pathol. 2017, 44, 444–450. [Google Scholar] [CrossRef] [PubMed]
- Kyrpychova, L.; Vanecek, T.; Grossmann, P.; Martinek, P.; Steiner, P.; Hadravsky, L.; Belousova, I.E.; Shelekhova, K.V.; Svajdler, M.; Dubinsky, P.; et al. Small Subset of Adenoid Cystic Carcinoma of the Skin Is Associated With Alterations of the MYBL1 Gene Similar to Their Extracutaneous Counterparts. Am. J. Dermatol. 2018, 40, 721–726. [Google Scholar] [CrossRef]
- Togashi, Y.; Dobashi, A.; Sakata, S.; Sato, Y.; Baba, S.; Seto, A.; Mitani, H.; Kawabata, K.; Takeuchi, K. MYB and MYBL1 in adenoid cystic carcinoma: Diversity in the mode of genomic rearrangement and transcripts. Mod. Pathol. 2018, 31, 934–946. [Google Scholar] [CrossRef]
- Dessauvagie, B.F.; Wood, B.A. CD117 and CD43 are useful adjuncts in the distinction of adenoid cystic carcinoma from adenoid basal cell carcinoma. Pathology 2015, 47, 130–133. [Google Scholar] [CrossRef]
- Alkan, B.I.; Bozdogan, O.; Karadeniz, M.; Bozdoğan, N. Two Different Cell Populations Is an Important Clue for Diagnosis of Primary Cutaneous Adenoid Cystic Carcinoma: Immunohistochemical Study. Case Rep. Pathol. 2017, 2017, 7949361. [Google Scholar] [CrossRef] [PubMed]
- Bishop, J.A.; Taube, J.M.; Su, A.; Binder, S.W.; Kazakov, D.V.; Michal, M.; Westra, W.H. Secretory Carcinoma of the Skin Harboring ETV6 Gene Fusions: A Cutaneous Analogue to Secretory Carcinomas of the Breast and Salivary Glands. Am. J. Surg. Pathol. 2017, 41, 62–66. [Google Scholar] [CrossRef]
- Ronquillo, C.C.; Vegunta, S.; Ellis, N.; Mamalis, N.; Patel, B.C.K. Adenoid Cystic Carcinoma of the Eyelid Can Locally Recur and Mimic Basal Cell Carcinoma: Case Report and Review of the Literature. Ophthalmic Plast. Reconstr. Surg. 2020, 36, e112–e116. [Google Scholar] [CrossRef]
- Mendenhall, W.M.; Dagan, R.; Bryant, C.M.; Amdur, R.J. Definitive Radiotherapy for Skin and Adenoid Cystic Carcinoma with Perineural Invasion. J. Neurol. Surg. B Skull Base 2016, 77, 169–172. [Google Scholar] [CrossRef][Green Version]
- Pommier, P.; Liebsch, N.J.; Deschler, D.G.; Lin, D.T.; McIntyre, J.F.; Barker, F.G., 2nd; Adams, J.A.; Lopes, V.V.; Varvares, M.; Loeffler, J.S.; et al. Proton beam radiation therapy for skull base adenoid cystic carcinoma. Arch. Otolaryngol. Head Neck Surg. 2006, 132, 1242–1249. [Google Scholar] [CrossRef] [PubMed]
- Balamucki, C.J.; Amdur, R.J.; Werning, J.W.; Vaysberg, M.; Morris, C.G.; Kirwan, J.M.; Mendenhall, W.M. Adenoid cystic carcinoma of the head and neck. Am. J. Otolaryngol. 2012, 33, 510–518. [Google Scholar] [CrossRef] [PubMed]
- Douglas, J.G.; Laramore, G.E.; Austin-Seymour, M.; Koh, W.; Stelzer, K.; Griffin, T.W. Treatment of locally advanced adenoid cystic carcinoma of the head and neck with neutron radiotherapy. Int. J. Radiat. Oncol. Biol. Phys. 2000, 46, 551–557. [Google Scholar] [CrossRef]
- Ikegawa, S.; Saida, T.; Obayashi, H.; Sasaki, A.; Esumi, H.; Ikeda, S.; Kiyohara, Y.; Hayasaka, K.; Ishihara, K. Cisplatin combination chemotherapy in squamous cell carcinoma and adenoid cystic carcinoma of the skin. J. Dermatol. 1989, 16, 227–230. [Google Scholar] [CrossRef] [PubMed]
- Chang, S.E.; Ahn, S.J.; Choi, J.H.; Sung, K.J.; Moon, K.C.; Koh, J.K. Primary adenoid cystic carcinoma of skin with lung metastasis. J. Am. Acad. Dermatol. 1999, 40, 640–642. [Google Scholar] [CrossRef]
- Yamada, T.; Mouri, H.; Izumi, K.; Takeuchi, S.; Ohtsubo, K.; Yamashita, K.; Yasumoto, K.; Kitamura, S.; Yano, S. [Combined chemotherapy with cisplatin plus vinorelbine showed efficacy in a case of metastatic primary cutaneous adenoid cystic carcinoma]. Gan Kagaku Ryoho 2010, 37, 1545–1548. [Google Scholar]
- Singh, A.; Ramesh, V. Primary cutaneous adenoid cystic carcinoma with distant metastasis: A case report and brief literature review. Indian J. Dermatol. Venereol. Leprol. 2010, 76, 176–179. [Google Scholar] [CrossRef] [PubMed]
- Naylor, E.; Sarkar, P.; Perlis, C.S.; Giri, D.; Gnepp, D.R.; Robinson-Bostom, L. Primary cutaneous adenoid cystic carcinoma. J. Am. Acad. Dermatol. 2008, 58, 636–641. [Google Scholar] [CrossRef]
- Hollowell, K.L.; Agle, S.C.; Zervos, E.E.; Fitzgerald, T.L. Cutaneous apocrine adenocarcinoma: Defining epidemiology, outcomes, and optimal therapy for a rare neoplasm. J. Surg. Oncol. 2012, 105, 415–419. [Google Scholar] [CrossRef] [PubMed]
- Pagano Boza, C.; Vigo, R.; Premoli, J.E.; Croxatto, J.; Gonzalez Barlatay, J. A case report of a primary apocrine adenocarcinoma of the eyelid with literature review. Orbit 2018, 37, 389–392. [Google Scholar] [CrossRef] [PubMed]
- Jacyk, W.K.; Requena, L.; Sánchez Yus, E.; Judd, M.J. Tubular apocrine carcinoma arising in a nevus sebaceus of Jadassohn. Am. J. Dermatol. 1998, 20, 389–392. [Google Scholar] [CrossRef]
- Domingo, J.; Helwig, E.B. Malignant neoplasms associated with nevus sebaceus of Jadassohn. J. Am. Acad. Dermatol. 1979, 1, 545–556. [Google Scholar] [CrossRef]
- Paudel, U.; Jha, A.; Pokhrel, D.B.; Gurung, D.; Parajuli, S.; Pant, A. Apocrine carcinoma developing in a naevus sebaceous of scalp. Kathmandu Univ. Med. J. 2012, 10, 103–105. [Google Scholar] [CrossRef]
- Kathrotiya, P.R.; Bridge, A.T.; Warren, S.J.; Do, H.; Klenk, A.S.; Xu, L.Y.; Mathur, A.N. Primary apocrine adenocarcinoma of the axilla. Cutis 2015, 95, 271–274, 281. [Google Scholar]
- Aldrees, S.S.; Zoroquiain, P.; Alghamdi, S.A.; Logan, P.; Kavalec, C.; Burnier, M. Apocrine adenocarcinoma of the eyelid. Int. J. Ophthalmol 2016, 9, 1086–1088. [Google Scholar] [CrossRef]
- Rosales Santillan, M.; Tschen, J.A.; Soparkar, C.N. Apocrine adenocarcinoma of the eyelid: Case report and literature review on management. Dermatol. Online J. 2019, 25, 7. [Google Scholar]
- Higaki-Mori, H.; Sugita, K.; Tsutsumi, R.; Adachi, K.; Yoshida, Y.; Yamamoto, O. Apocrine Adenocarcinoma Occurring on the Chin. Yonago Acta Med. 2017, 60, 64–66. [Google Scholar]
- Piris, A.; Peng, Y.; Boussahmain, C.; Essary, L.R.; Gudewicz, T.M.; Hoang, M.P. Cutaneous and mammary apocrine carcinomas have different immunoprofiles. Hum. Pathol. 2014, 45, 320–326. [Google Scholar] [CrossRef]
- Fujisawa, Y.; Fujimoto, M. Metastatic cutaneous apocrine carcinoma of the axilla successfully treated using systemic chemotherapy with i.v. epirubicin and cyclophosphamide followed by oral fluorinated pyrimidine. J. Dermatol. 2014, 41, 280–282. [Google Scholar] [CrossRef]
- Morabito, A.; Bevilacqua, P.; Vitale, S.; Fanelli, M.; Gattuso, D.; Gasparini, G. Clinical management of a case of recurrent apocrine gland carcinoma of the scalp: Efficacy of a chemotherapy schedule with methotrexate and bleomycin. Tumori 2000, 86, 472–474. [Google Scholar] [CrossRef]
- Portelli, F.; Salvati, L.; Projetto, E.; Gori, A.; Scarfì, F.; Trane, L.; Lo Russo, G.; Innocenti, A.; De Giorgi, V. A clinical, pathological and immunohistochemical series of 9 cases of primary cutaneous apocrine carcinomas of the head and neck. Australas J. Dermatol. 2020, 61, e189–e195. [Google Scholar] [CrossRef] [PubMed]
- Hidaka, T.; Fujimura, T.; Watabe, A.; Hashimoto, A.; Haga, T.; Onami, K.; Mizuashi, M.; Aiba, S. Successful treatment of HER-2-positive metastatic apocrine carcinoma of the skin with lapatinib and capecitabine. Acta Derm. Venereol. 2012, 92, 654–655. [Google Scholar] [CrossRef]
- Libertini, M.; Oneda, E.; Di Biasi, B.; Savelli, G.; Zaniboni, A. Cutaneous Adnexal Carcinoma with Apocrine Differentiation: A Challenging Diagnosis and Personalized Treatment with mTOR Inhibitor in a Very Rare Disease. Case Rep. Oncol. 2020, 13, 1091–1096. [Google Scholar] [CrossRef] [PubMed]
- Brown, Z.; Riesco-Martinez, M.; Petrella, T. Treatment of primary cutaneous apocrine carcinoma of the scalp—Case and review of the literature. Glob. Dermatol. 2016, 3, 356–360. [Google Scholar] [CrossRef]
- van der Horst, M.P.; Garcia-Herrera, A.; Markiewicz, D.; Martin, B.; Calonje, E.; Brenn, T. Squamoid Eccrine Ductal Carcinoma: A Clinicopathologic Study of 30 Cases. Am. J. Surg. Pathol. 2016, 40, 755–760. [Google Scholar] [CrossRef] [PubMed]
- Saraiva, M.I.; Vieira, M.A.; Portocarrero, L.K.; Fraga, R.C.; Kakizaki, P.; Valente, N.Y. Squamoid eccrine ductal carcinoma. An. An. Bras. Dermatol. 2016, 91, 799–802. [Google Scholar] [CrossRef] [PubMed]
- van der Horst, M.P.J.; Brenn, T. Update on Malignant Sweat Gland Tumors. Surg. Pathol. Clin. 2017, 10, 383–397. [Google Scholar] [CrossRef]
- Park, S.H.; Shin, Y.M.; Shin, D.H.; Choi, J.S.; Kim, K.H. Syringocystadenocarcinoma papilliferum: A case report. J. Korean Med. Sci. 2007, 22, 762–765. [Google Scholar] [CrossRef]
- Pagano Boza, C.; Gonzalez-Barlatay, J.; Ugradar, S.; Pol, M.; Premoli, E.J. Syringocystadenocarcinoma papilliferum with orbital invasion: A case report with literature review. Adv. Ophthalmol. 2019, 11, 2515841419844087. [Google Scholar] [CrossRef]
- Zhang, Y.; Kong, Y.Y.; Cai, X.; Shen, X.X.; Kong, J.C. Syringocystadenocarcinoma papilliferum: Clinicopathologic analysis of 10 cases. J. Cutan. Pathol. 2017, 44, 538–543. [Google Scholar] [CrossRef]
- Brent, A.J.; Mota, P.M.; Nebojsa, A.; Berry-Brincat, A.; Knapp, C.M. Squamous cell carcinoma arising from syringocystadenoma papilliferum of the eyelid. Can. J. Ophthalmol 2017, 52, e235–e237. [Google Scholar] [CrossRef] [PubMed]
- Woestenborghs, H.; Van Eyken, P.; Dans, A. Syringocystadenocarcinoma papilliferum in situ with pagetoid spread: A case report. Histopathology 2006, 48, 869–870. [Google Scholar] [CrossRef]
- Konstantinova, A.M.; Kacerovska, D.; Stewart, C.J.; Szepe, P.; Pitha, J.; Sulc, M.; Bencik, V.; Michal, M.; Shideler, B.; Kerl, K.; et al. Syringocystadenocarcinoma Papilliferum In Situ-Like Changes in Extramammary Paget Disease: A Report of 11 Cases. Am. J. Dermatol. 2016, 38, 882–886. [Google Scholar] [CrossRef] [PubMed]
- Chi, C.C.; Tsai, R.Y.; Wang, S.H. Syringocystadenocarcinoma papilliferum: Successfully treated with Mohs micrographic surgery. Dermatol. Surg. 2004, 30, 468–471. [Google Scholar] [CrossRef] [PubMed]
- Rao, P.B.; Ghosh, S.; Mohapatra, M.; Philip, N.P.; Kumar, P.R.; Manam, S.; Karra, P.; Jasti, V.K. Chemoradiotherapy in a Case of Malignant Syringocystadenocarcinoma Papilliferum of Vulva with Locoregional Failure. Case Rep. Oncol. Med. 2015, 2015, 638294. [Google Scholar] [CrossRef] [PubMed]
- Arslan, H.; Diyarbakrl, M.; Batur, S.; Demirkesen, C. Syringocystadenocarcinoma papilliferum with squamous cell carcinoma differentiation and with locoregional metastasis. J. Craniofac Surg. 2013, 24, e38–e40. [Google Scholar] [CrossRef]
- Altunel, E.; Perepletchikov, A.; Kozyreva, O. Metastatic Syringocystadenocarcinoma Papilliferum: A Case Report, Tumor Genomic Profiling, and Literature Review. Case Rep. Oncol. Med. 2020, 2020, 9056209. [Google Scholar] [CrossRef]
- Nguyen, J.K.; Bridge, J.A.; Joshi, C.; McKenney, J.K. Primary Mammary Analog Secretory Carcinoma (MASC) of the Vulva With ETV6-NTRK3 Fusion: A Case Report. Int. J. Gynecol. Pathol. 2019, 38, 283–287. [Google Scholar] [CrossRef]
- Hyrcza, M.D.; Andreasen, S.; Melchior, L.C.; Tucker, T.; Heegaard, S.; White, V.A. Primary Secretory Carcinoma of the Lacrimal Gland: Report of a New Entity. Am. J. Ophthalmol. 2018, 193, 178–183. [Google Scholar] [CrossRef]
- Amin, S.M.; Beattie, A.; Ling, X.; Jennings, L.J.; Guitart, J. Primary Cutaneous Mammary Analog Secretory Carcinoma With ETV6-NTRK3 Translocation. Am. J. Dermatol. 2016, 38, 842–845. [Google Scholar] [CrossRef] [PubMed]
- Chang, M.D.; Arthur, A.K.; García, J.J.; Sukov, W.R.; Shon, W. ETV6 rearrangement in a case of mammary analogue secretory carcinoma of the skin. J. Cutan. Pathol. 2016, 43, 1045–1049. [Google Scholar] [CrossRef] [PubMed]
- Harrison, B.T.; Fowler, E.; Krings, G.; Chen, Y.Y.; Bean, G.R.; Vincent-Salomon, A.; Fuhrmann, L.; Barnick, S.E.; Chen, B.; Hosfield, E.M.; et al. Pan-TRK Immunohistochemistry: A Useful Diagnostic Adjunct For Secretory Carcinoma of the Breast. Am. J. Surg. Pathol. 2019, 43, 1693–1700. [Google Scholar] [CrossRef]
- Creytens, D.; Ferdinande, L.; Dorpe, J.V. ETV6 rearrangement in a case of mammary analog secretory carcinoma of the skin: Comment on Chang et al. J. Cutan. Pathol. 2017, 44, 217–218. [Google Scholar] [CrossRef] [PubMed]
- Kastnerova, L.; Luzar, B.; Goto, K.; Grishakov, V.; Gatalica, Z.; Kamarachev, J.; Martinek, P.; Hájková, V.; Grossmann, P.; Imai, H.; et al. Secretory Carcinoma of the Skin: Report of 6 Cases, Including a Case With a Novel NFIX-PKN1 Translocation. Am. J. Surg. Pathol. 2019, 43, 1092–1098. [Google Scholar] [CrossRef] [PubMed]
- Albus, J.; Batanian, J.; Wenig, B.M.; Vidal, C.I. A unique case of a cutaneous lesion resembling mammary analog secretory carcinoma: A case report and review of the literature. Am. J. Dermatol. 2015, 37, e41–e44. [Google Scholar] [CrossRef]
- Tsutsui, K.; Takahashi, A.; Mori, T.; Namikawa, K.; Yamazaki, N. Secretory carcinoma of the skin arising on the eyelid, distinguished by immunohistochemical markers and fluorescence in situ hybridization. J. Dermatol. 2020, 47, e99–e100. [Google Scholar] [CrossRef]
- Brandt, S.M.; Swistel, A.J.; Rosen, P.P. Secretory carcinoma in the axilla: Probable origin from axillary skin appendage glands in a young girl. Am. J. Surg. Pathol. 2009, 33, 950–953. [Google Scholar] [CrossRef] [PubMed]
- Moore, R.F.; Cuda, J.D. Secretory carcinoma of the skin: Case report and review of the literature. Jaad Case Rep. 2017, 3, 559–562. [Google Scholar] [CrossRef][Green Version]
- Requena, L.; Sangüeza, O. Secretory Carcinoma of the Skin. In Cutaneous Adnexal Neoplasms; Springer International Publishing: Cham, Switzerland, 2017. [Google Scholar] [CrossRef]
- Requena, L.; Kiryu, H.; Ackerman, A.B.; Carter, D. Neoplasms with Apocrine Differentiation; Lippincott-Raven: Philadelphia, PA, USA, 1998. [Google Scholar]
- Llamas-Velasco, M.; Pérez-Gónzalez, Y.C.; Daudén, E.; Rütten, A. GATA3 staining in primary cutaneous apocrine cribriform carcinoma: Usefulness to differentiate it from breast cancer metastasis. J. Cutan. Pathol. 2018, 45, 348–351. [Google Scholar] [CrossRef]
- Kazakov, D.V.; Plaza, J.A.; Suster, S.; Kacerovska, D.; Michal, M. Cutaneous cribriform carcinoma: A short comment. J. Am. Acad. Dermatol. 2011, 64, 599–601. [Google Scholar] [CrossRef]
- Yokota, K.; Kono, M.; Mori, S.; Shimizu, K.; Matsumoto, T.; Akiyama, M. A solid variant of primary cutaneous cribriform carcinoma: A small, stable, long-term lesion. Eur. J. Dermatol. 2017, 27, 419–421. [Google Scholar] [CrossRef]
- Arps, D.P.; Chan, M.P.; Patel, R.M.; Andea, A.A. Primary cutaneous cribriform carcinoma: Report of six cases with clinicopathologic data and immunohistochemical profile. J. Cutan. Pathol. 2015, 42, 379–387. [Google Scholar] [CrossRef]
- Rütten, A.; Kutzner, H.; Mentzel, T.; Hantschke, M.; Eckert, F.; Angulo, J.; Rodríguez Peralto, J.L.; Requena, L. Primary cutaneous cribriform apocrine carcinoma: A clinicopathologic and immunohistochemical study of 26 cases of an under-recognized cutaneous adnexal neoplasm. J. Am. Acad. Dermatol. 2009, 61, 644–651. [Google Scholar] [CrossRef] [PubMed]
- Llamas-Velasco, M.; Mentzel, T.; Rütten, A. Primary cutaneous secretory carcinoma: A previously overlooked low-grade sweat gland carcinoma. J. Cutan. Pathol. 2018, 45, 240–245. [Google Scholar] [CrossRef] [PubMed]
- Huang, S.; Liu, Y.; Su, J.; Liu, J.; Guo, X.; Mei, F.; Zheng, J.; Liao, S. “Secretory” Carcinoma of the Skin Mimicking Secretory Carcinoma of the Breast: Case Report and Literature Review. Am. J. Dermatol. 2016, 38, 698–703. [Google Scholar] [CrossRef] [PubMed]
- Wu, J.D.; Changchien, C.H.; Liao, K.S. Primary cutaneous cribriform apocrine carcinoma: Case report and literature review. Indian J. Dermatol. Venereol. Leprol. 2018, 84, 569–572. [Google Scholar] [CrossRef] [PubMed]
- Fernandez-Flores, A.; Pol, A.; Juanes, F.; Crespo, L.G. Immunohistochemical phenotype of cutaneous cribriform carcinoma with a panel of 15 antibodies. Med. Mol. Morphol. 2007, 40, 212–217. [Google Scholar] [CrossRef]
- Bogner, R.; Brown, T.; Fearneyhough, P.; Gataky, G. Primary Cutaneous Cribriform Carcinoma Treated With Mohs Micrographic Surgery. Dermatol. Surg. 2018, 44, 583–585. [Google Scholar] [CrossRef]
- Wang, L.C.; Lin, T.C.; Yeh, Y.C.; Ho, H.L.; Tsai, C.C.; Chou, T.Y. Primary Signet Ring Cell/Histiocytoid Carcinoma of the Eyelid: Somatic Mutations in CDH1 and Other Clinically Actionable Mutations Imply Early Use of Targeted Agents. Curr. Oncol. 2021, 28, 918–927. [Google Scholar] [CrossRef]
- Sayan, A.; Mitchell, O.; Taibjee, S.; Ilankovan, V. Unusual case of primary cutaneous signet-ring cell (histocytoid) carcinoma. Br. J. Oral. Maxillofac. Surg. 2020, 58, 475–477. [Google Scholar] [CrossRef] [PubMed]
- Requena, L.; Prieto, V.G.; Requena, C.; Sarasa, J.L.; Manzano, R.; Seco, M.; Rütten, A.; Kazakov, D.V.; Cerroni, L.; Kutzner, H. Primary signet-ring cell/histiocytoid carcinoma of the eyelid: A clinicopathologic study of 5 cases and review of the literature. Am. J. Surg. Pathol. 2011, 35, 378–391. [Google Scholar] [CrossRef] [PubMed]
- Philips, R.; Langston, L.; Hwang, H.; Vandergriff, T.; Trynosky, T.; Berlingeri-Ramos, A.C. Primary cutaneous histiocytoid carcinoma with distant metastasis. J. Cutan. Pathol. 2017, 44, 376–380. [Google Scholar] [CrossRef]
- Kiyohara, T.; Kumakiri, M.; Kouraba, S.; Tokuriki, A.; Ansai, S. Primary cutaneous signet ring cell carcinoma expressing cytokeratin 20 immunoreactivity. J. Am. Acad. Dermatol. 2006, 54, 532–536. [Google Scholar] [CrossRef] [PubMed][Green Version]
- Yates, J.R.; Mines, M.J.; Subramanian, P.S.; Rivera-Michlig, R.; Cummings, T.J.; Eberhart, C.G. Periocular Histiocytoid Carcinoma: Potential Diagnostic Challenges. Ocul. Oncol. Pathol. 2019, 5, 94–101. [Google Scholar] [CrossRef] [PubMed]
- Bernárdez, C.; Macías Del Toro, E.; Ramírez Bellver, J.L.; Martinez Menchón, T.; Martinez Barba, E.; Molina-Ruiz, A.M.; Requena, L. Primary Signet-Ring Cell/Histiocytoid Carcinoma of the Eyelid: A "Binocle" Presentation of the “Monocle Tumor”. Am. J. Dermatol. 2016, 38, 623–627. [Google Scholar] [CrossRef]
- Seredyka-Burduk, M.; Burduk, P.K.; Bodnar, M.; Malukiewicz, G.; Kopczynski, A. Bilateral primary histiocytoid eccrine sweat gland carcinoma of eyelids. Braz J. Otorhinolaryngol. 2018, 84, 665–668. [Google Scholar] [CrossRef] [PubMed]
- Palakkamanil, M.M.; Mahmood, M.N.; Chan, A. Diagnostic and treatment challenges of a case of primary cutaneous signet-ring cell/histiocytoid carcinoma of the eyelid. BMC Ophthalmol. 2020, 20, 410. [Google Scholar] [CrossRef]
- Birkenbeuel, J.; Goshtasbi, K.; Mahboubi, H.; Djalilian, H.R. Recurrent apocrine hidrocystoma of the external auditory canal. Am. J. Otolaryngol. 2019, 40, 312–313. [Google Scholar] [CrossRef]
- Kikuchi, K.; Fukunaga, S.; Inoue, H.; Miyazaki, Y.; Ide, F.; Kusama, K. Apocrine hidrocystoma of the lower lip: A case report and literature review. Head Neck Pathol. 2014, 8, 117–121. [Google Scholar] [CrossRef]
- Smith, J.D. Apocrine Hidrocystoma (Cystadenoma). Arch. Dermatol. 1974, 109. [Google Scholar] [CrossRef]
- Sugiyama, A.; Sugiura, M.; Piris, A.; Tomita, Y.; Mihm, M.C. Apocrine cystadenoma and apocrine hidrocystoma: Examination of 21 cases with emphasis on nomenclature according to proliferative features. J. Cutan. Pathol. 2007, 34, 912–917. [Google Scholar] [CrossRef] [PubMed]
- Tokura, Y.; Takigawa, M.; Inoue, K.; Matsumoto, K.; Yamada, M. S-100 protein-positive cells in hidrocystomas. J. Cutan. Pathol. 1986, 13, 102–110. [Google Scholar] [CrossRef] [PubMed]
- de Viragh, P.A.; Szeimies, R.M.; Eckert, F. Apocrine cystadenoma, apocrine hidrocystoma, and eccrine hidrocystoma: Three distinct tumors defined by expression of keratins and human milk fat globulin 1. J. Cutan. Pathol. 1997, 24, 249–255. [Google Scholar] [CrossRef] [PubMed]
- Jakobiec, F.A.; Zakka, F.R. A reappraisal of eyelid eccrine and apocrine hidrocystomas: Microanatomic and immunohistochemical studies of 40 lesions. Am. J. Ophthalmol 2011, 151, 358–374.e352. [Google Scholar] [CrossRef]
- Ohnishi, T.; Watanabe, S. Immunohistochemical analysis of cytokeratin expression in apocrine cystadenoma or hidrocystoma. J. Cutan. Pathol. 1999, 26, 295–300. [Google Scholar] [CrossRef]
- Couto Junior Ade, S.; Batista, G.M.; Calafiori, I.G.; Radael, V.C.; Mendes, W.B. Hidrocystoma: Surgical management of cystic lesions of the eyelid. An. Bras. Dermatol. 2010, 85, 368–371. [Google Scholar] [CrossRef]
- Gandhi, V.; Naik, G.; Verma, P. Eccrine hidrocystoma successfully treated with topical synthetic botulinum Peptide. J. Cutan. Aesthet. Surg. 2011, 4, 154–155. [Google Scholar] [CrossRef]
- Langbein, L.; Cribier, B.; Schirmacher, P.; Praetzel-Wunder, S.; Peltre, B.; Schweizer, J. New concepts on the histogenesis of eccrine neoplasia from keratin expression in the normal eccrine gland, syringoma and poroma. Br. J. Dermatol. 2008, 159, 633–645. [Google Scholar] [CrossRef]
- Ciarloni, L.; Frouin, E.; Bodin, F.; Cribier, B. Syringoma: A clinicopathological study of 244 cases. Ann. Dermatol. Venereol. 2016, 143, 521–528. [Google Scholar] [CrossRef] [PubMed]
- Oztürk, F.; Ermertcan, A.T.; Bilaç, C.; Temiz, P. A case report of postpubertal eruptive syringoma triggered with antiepileptic drugs. J. Drugs Dermatol. 2010, 9, 707–710. [Google Scholar] [PubMed]
- Korekawa, A.; Nakajima, K.; Nishikawa, Y.; Matsuzaki, Y.; Nakano, H.; Sawamura, D. Late-onset, eruptive syringoma in an elderly man: Correlation with carbamazepine. Acta Derm. Venereol. 2012, 92, 87–88. [Google Scholar] [CrossRef]
- Polat, M.; Pelitli, A.; Oztaş, P.; Unal, T.; Alli, N. Eruptive syringoma associated with hyperthyroidism. Skinmed 2010, 8, 124–125. [Google Scholar] [PubMed]
- Aliagaoglu, C.; Atasoy, M.; Yildirim, U.; Balik, O.; Koca, T.; Erdem, T. Unilateral syringoma of the face associated with hyperthyroidism. J. Dermatol. 2004, 31, 828–830. [Google Scholar] [CrossRef]
- Garrido-Ruiz, M.C.; Enguita, A.B.; Navas, R.; Polo, I.; Rodríguez Peralto, J.L. Eruptive syringoma developed over a waxing skin area. Am. J. Dermatol. 2008, 30, 377–380. [Google Scholar] [CrossRef] [PubMed]
- Guitart, J.; Rosenbaum, M.M.; Requena, L. ‘Eruptive syringoma’: A misnomer for a reactive eccrine gland ductal proliferation? J. Cutan. Pathol. 2003, 30, 202–205. [Google Scholar] [CrossRef] [PubMed]
- Soler-Carrillo, J.; Estrach, T.; Mascaró, J.M. Eruptive syringoma: 27 new cases and review of the literature. J. Eur. Acad. Dermatol. Venereol. 2001, 15, 242–246. [Google Scholar] [CrossRef]
- Ghanadan, A.; Khosravi, M. Cutaneous syringoma: A clinicopathologic study of 34 new cases and review of the literature. Indian J. Dermatol. 2013, 58, 326. [Google Scholar] [CrossRef]
- Hasson, A.; Farias, M.M.; Nicklas, C.; Navarrete, C. Periorbital syringoma treated with radiofrequency and carbon dioxide (CO2) laser in 5 patients. J. Drugs Dermatol. 2012, 11, 879–880. [Google Scholar]
- Stawczyk-Macieja, M.; Szczerkowska-Dobosz, A.; Błażewicz, I.; Nowicki, R.; Biernat, W. Generalized eruptive syringoma with poor clinical response to systemic treatment with acitretin. J. Dtsch. Dermatol. Ges. 2017, 15, 325–326. [Google Scholar] [CrossRef] [PubMed]
- Nguyen, K.; Kim, G.; Chiu, M. Eccrine poromatosis following chemotherapy and radiation therapy. Dermatol. Online J. 2019, 25, 11. [Google Scholar]
- Tiwary, A.K.; Firdous, J.; Mishra, D.K.; Chaudhary, S.S. A case report of reactive solitary eccrine syringofibroadenoma. Indian Dermatol. Online J. 2017, 8, 35–38. [Google Scholar] [CrossRef] [PubMed]
- Arora, P.; Bansal, S.; Garg, V.K.; Khurana, N.; Lal, B. Solitary eccrine syringofibroadenoma with nail involvement: A rare entity. Indian J. Dermatol. 2015, 60, 103. [Google Scholar] [CrossRef] [PubMed]
- Pagliuca, F.; Moscarella, E.; Argenziano, G.; Ronchi, A.; Franco, R. Longstanding Eccrine Syringofibroadenoma With Evidence of Carcinomatous Transformation. Am. J. Dermatol. 2020. [Google Scholar] [CrossRef]
- Ko, E.J.; Park, K.Y.; Kwon, H.J.; Shim, J.H.; Seo, S.J. Eccrine Syringofibroadenoma in a Patient with Long-Standing Exfoliative Dermatitis. Ann. Dermatol. 2016, 28, 765–768. [Google Scholar] [CrossRef] [PubMed][Green Version]
- Andrade, A.C.; Vieira, D.C.; Harris, O.M.; Pithon, M.M. Clouston syndrome associated with eccrine syringofibroadenoma. An. Bras. Dermatol. 2014, 89, 504–506. [Google Scholar] [CrossRef]
- Starink, T.M. Eccrine syringofibroadenoma: Multiple lesions representing a new cutaneous marker of the Schöpf syndrome, and solitary nonhereditary tumors. J. Am. Acad. Dermatol. 1997, 36, 569–576. [Google Scholar] [CrossRef]
- Katane, M.; Akiyama, M.; Ohnishi, T.; Watanabe, S.; Matsuo, I. Carcinomatous transformation of eccrine syringofibroadenoma. J. Cutan. Pathol. 2003, 30, 211–214. [Google Scholar] [CrossRef]
- Ozkaya, D.B.; Su, O.; Bahalı, A.G.; Topukçu, B.; Dizman, D.; Tosuner, Z.; Demirkesen, C.; Onsun, N. Solitary Eccrine Syringofibroadenoma and Successful Treatment with Cryotherapy. J. Am. Podiatr. Med. Assoc. 2016, 106, 237–238. [Google Scholar] [CrossRef]
- Sirikham, T.; Rojhirunsakool, S.; Vachiramon, V. Reactive Eccrine Syringofibroadenoma Associated with Neuropathy, Venous Stasis, and Diabetic Foot Ulcer. Case Rep. Dermatol. 2016, 8, 124–129. [Google Scholar] [CrossRef] [PubMed]
- Temnithikul, B.; Jerasutus, S.; Sudtikoonaseth, P.; Voravutinon, N.; Kootiratrakarn, T.; Kattipathananpong, P. Eccrine syringofibroadenoma (ESFA): A report of two cases. Dermatol. Pr. Concept 2016, 6, 5–8. [Google Scholar] [CrossRef]
- Husein-ElAhmed, H.; Caba-Molina, M.; Naranjo-Sintes, R.; Aneiros-Cachaza, J. Solitary eccrine syringofibroadenoma arising on the toe. J. Dtsch. Dermatol. Ges. 2014, 12, 148–150. [Google Scholar] [CrossRef] [PubMed]
- Shalin, S.C.; Rinaldi, C.; Horn, T.D. Clear cell acanthoma with changes of eccrine syringofibroadenoma: Reactive change or clue to etiology? J. Cutan. Pathol. 2013, 40, 1021–1026. [Google Scholar] [CrossRef] [PubMed]
- Tey, H.L. Characterizing the nature of eccrine syringofibroadenoma: Illustration with a case showing spontaneous involution. Clin. Exp. Dermatol. 2009, 34, e66–e68. [Google Scholar] [CrossRef] [PubMed]
- Bottino, C.B.; Guimarães, T.F.; Gomes, F.R.; D’Acri, A.M.; Lima, R.B.; Martins, C.J. Solitary eccrine syringofibroadenoma--Case Report. An. Bras. Dermatol. 2015, 90, 235–238. [Google Scholar] [CrossRef] [PubMed]
- Athanasiadis, G.I.; Bobos, M.; Pfab, F.; Athanasiou, E.; Athanasiadis, I.E. Eccrine syringofibroadenoma treated with carbon dioxide laser. Clin. Exp. Dermatol. 2009, 34, 261–263. [Google Scholar] [CrossRef]
- Tingaud, C.; Costes, V.; Frouin, E.; Delfour, C.; Cribier, B.; Guillot, B.; Szablewski, V. Lymph node location of a clear cell hidradenoma: Report of a patient and review of literature. J. Cutan. Pathol. 2016, 43, 702–706. [Google Scholar] [CrossRef] [PubMed]
- Winnes, M.; Molne, L.; Suurkula, M.; Andren, Y.; Persson, F.; Enlund, F.; Stenman, G. Frequent fusion of the CRTC1 and MAML2 genes in clear cell variants of cutaneous hidradenomas. Genes Chromosomes Cancer 2007, 46, 559–563. [Google Scholar] [CrossRef] [PubMed]
- Hernández-Pérez, E.; Cestoni-Parducci, R. Nodular hidradenoma and hidradenocarcinoma. J. Am. Acad. Dermatol. 1985, 12, 15–20. [Google Scholar] [CrossRef]
- Ohnishi, T.; Watanabe, S. Histogenesis of clear cell hidradenoma: Immunohistochemical study of keratin expression. J. Cutan. Pathol. 1997, 24, 30–36. [Google Scholar] [CrossRef] [PubMed]
- Parks, A.; Branch, K.D.; Metcalf, J.; Underwood, P.; Young, J. Hidradenoma papilliferum with mixed histopathologic features of syringocystadenoma papilliferum and anogenital mammary-like glands: Report of a case and review of the literature. Am. J. Dermatol. 2012, 34, 104–109. [Google Scholar] [CrossRef]
- Sellheyer, K. Spiradenoma and cylindroma originate from the hair follicle bulge and not from the eccrine sweat gland: An immunohistochemical study with CD200 and other stem cell markers. J. Cutan. Pathol. 2015, 42, 90–101. [Google Scholar] [CrossRef] [PubMed]
- Salim, S.; Bounniyt, H.; El Amraoui, M.; Benzekri, A.; Senouci, K.; Hassam, B. Malignant transformation of a spiradenoma with blaschkoid pattern. Clin. Case Rep. 2018, 6, 2086–2088. [Google Scholar] [CrossRef] [PubMed]
- Im, M.; Kim, D.H.; Park, J.S.; Chung, H.; Lee, Y.; Kim, C.D.; Seo, Y.J.; Lee, J.H. Alteration of the beta-catenin pathway in spiradenoma. J. Cutan. Pathol. 2011, 38, 657–662. [Google Scholar] [CrossRef] [PubMed]
- Staiger, R.D.; Helmchen, B.; Papet, C.; Mattiello, D.; Zingg, U. Spiradenocarcinoma: A Comprehensive Data Review. Am. J. Dermatol. 2017, 39, 715–725. [Google Scholar] [CrossRef]
- Mambo, N.C. Eccrine spiradenoma: Clinical and pathologic study of 49 tumors. J. Cutan. Pathol. 1983, 10, 312–320. [Google Scholar] [CrossRef]
- Fehr, A.; Kovacs, A.; Loning, T.; Frierson, H., Jr.; van den Oord, J.; Stenman, G. The MYB-NFIB gene fusion-a novel genetic link between adenoid cystic carcinoma and dermal cylindroma. J. Pathol. 2011, 224, 322–327. [Google Scholar] [CrossRef]
- Rashid, M.; van der Horst, M.; Mentzel, T.; Butera, F.; Ferreira, I.; Pance, A.; Rutten, A.; Luzar, B.; Marusic, Z.; de Saint Aubain, N.; et al. ALPK1 hotspot mutation as a driver of human spiradenoma and spiradenocarcinoma. Nat. Commun. 2019, 10, 2213. [Google Scholar] [CrossRef]
- Bowen, S.; Gill, M.; Lee, D.A.; Fisher, G.; Geronemus, R.G.; Vazquez, M.E.; Celebi, J.T. Mutations in the CYLD gene in Brooke-Spiegler syndrome, familial cylindromatosis, and multiple familial trichoepithelioma: Lack of genotype-phenotype correlation. J. Investig. Dermatol. 2005, 124, 919–920. [Google Scholar] [CrossRef] [PubMed]
- Jordao, C.; de Magalhaes, T.C.; Cuzzi, T.; Ramos-e-Silva, M. Cylindroma: An update. Int. J. Dermatol. 2015, 54, 275–278. [Google Scholar] [CrossRef] [PubMed]
- Riche, M.; Mathon, B.; Mokhtari, K.; Carpentier, A.; Amelot, A. Cylindroma spine metastasis: Long-term follow-up is required. Neurochirurgie 2020, 66, 45–49. [Google Scholar] [CrossRef]
- Mogaddam, M.R.; Maleki, N. Cylindroma of the scalp. J. Res. Med. Sci 2015, 20, 923–924. [Google Scholar] [CrossRef]
- Cortés-Pinto, C.; Sanmartín Novell, V.; Vilardell Vilellas, F.; Casanova Seuma, J.M. Tubular apocrine adenoma: A rare and controversial tumor. J. Dermatol. 2019, 46, e45–e46. [Google Scholar] [CrossRef] [PubMed]
- Kazakov, D.V.; Bisceglia, M.; Calonje, E.; Hantschke, M.; Kutzner, H.; Mentzel, T.; Michal, M.; Mukensnabl, P.; Spagnolo, D.V.; Rütten, A.; et al. Tubular adenoma and syringocystadenoma papilliferum: A reappraisal of their relationship. An interobserver study of a series, by a panel of dermatopathologists. Am. J. Dermatol. 2007, 29, 256–263. [Google Scholar] [CrossRef]
- Kazakov, D.V.; Mukensnabl, P.; Michal, M. Tubular adenoma of the skin with follicular and sebaceous differentiation: A report of two cases. Am. J. Dermatol. 2006, 28, 142–146. [Google Scholar] [CrossRef]
- Aktepe, F.; Demir, Y.; Dilek, F.H. Tubular apocrine adenoma in association with syringocystadenoma papilliferum. Dermatol. Online J. 2003, 9, 7. [Google Scholar]
- Liau, J.Y.; Tsai, J.H.; Huang, W.C.; Lan, J.; Hong, J.B.; Yuan, C.T. BRAF and KRAS mutations in tubular apocrine adenoma and papillary eccrine adenoma of the skin. Hum. Pathol. 2018, 73, 59–65. [Google Scholar] [CrossRef] [PubMed]
- Lupu, M.; Tebeica, T.; Voiculescu, V.M.; Ardigo, M. Tubular apocrine adenoma: Dermoscopic and in vivo reflectance confocal microscopic aspects. Int. J. Dermatol. 2019, 58, e210–e211. [Google Scholar] [CrossRef]
- Nakagomi, D.; Harada, K.; Shimada, S. Case of tubular apocrine adenoma with follicular differentiation located on the trunk. J. Dermatol. 2012, 39, 653–654. [Google Scholar] [CrossRef] [PubMed]
- Tellechea, O.; Reis, J.P.; Marques, C.; Baptista, A.P. Tubular apocrine adenoma with eccrine and apocrine immunophenotypes or papillary tubular adenoma? Am. J. Dermatol. 1995, 17, 499–505. [Google Scholar] [CrossRef]
- Makunura, C.N. Papillary tubular adenoma of the skin. J. Dermatol. 1993, 20, 311–313. [Google Scholar] [CrossRef]
- Helmi, A.; Alaraj, A.M.; Alkatan, H. Report of 3 histopathologically documented cases of syringocystadenoma papilliferum involving the eyelid. Can. J. Ophthalmol. 2011, 46, 287–289. [Google Scholar] [CrossRef]
- Malhotra, P.; Singh, A.; Ramesh, V. Syringocystadenoma papilliferum on the thigh: An unusual location. Indian J. Dermatol. Venereol. Leprol. 2009, 75, 170–172. [Google Scholar] [CrossRef] [PubMed]
- Niizuma, K. Syringocystadenoma papilliferum developed from giant comedo: A case report. Tokai J. Exp. Clin. Med. 1986, 11, 47–50. [Google Scholar]
- Alegría-Landa, V.; Jo-Velasco, M.; Santonja, C.; Eraña, I.; Vergara-Sanchez, A.; Kutzner, H.; Requena, L. Syringocystadenoma papilliferum associated with verrucous carcinoma of the skin in the same lesion: Report of four cases. J. Cutan. Pathol. 2020, 47, 12–16. [Google Scholar] [CrossRef] [PubMed]
- Li, A.; Sanusi, I.D.; Pena, J.R.; Nopajaroonsri, C.; Kent, M.; Smoller, B.R. Syringocystadenoma papilliferum contiguous to a verrucous cyst. J. Cutan. Pathol. 2003, 30, 32–36. [Google Scholar] [CrossRef] [PubMed]
- Levinsohn, J.L.; Sugarman, J.L.; Bilguvar, K.; McNiff, J.M.; Choate, K.A.; The Yale Center For Mendelian, G. Somatic V600E BRAF Mutation in Linear and Sporadic Syringocystadenoma Papilliferum. J. Investig. Dermatol. 2015, 135, 2536–2538. [Google Scholar] [CrossRef]
- Groesser, L.; Herschberger, E.; Ruetten, A.; Ruivenkamp, C.; Lopriore, E.; Zutt, M.; Langmann, T.; Singer, S.; Klingseisen, L.; Schneider-Brachert, W.; et al. Postzygotic HRAS and KRAS mutations cause nevus sebaceous and Schimmelpenning syndrome. Nat. Genet. 2012, 44, 783–787. [Google Scholar] [CrossRef] [PubMed]
- Böni, R.; Xin, H.; Hohl, D.; Panizzon, R.; Burg, G. Syringocystadenoma papilliferum: A study of potential tumor suppressor genes. Am. J. Dermatol. 2001, 23, 87–89. [Google Scholar] [CrossRef]
- Watanabe, Y.; Shido, K.; Niihori, T.; Niizuma, H.; Katata, Y.; Iizuka, C.; Oba, D.; Moriya, K.; Saito-Nanjo, Y.; Onuma, M.; et al. Somatic BRAF c.1799T>A p.V600E Mosaicism syndrome characterized by a linear syringocystadenoma papilliferum, anaplastic astrocytoma, and ocular abnormalities. Am. J. Med. Genet. A 2016, 170a, 189–194. [Google Scholar] [CrossRef] [PubMed]
- Shen, A.S.; Peterhof, E.; Kind, P.; Rütten, A.; Zelger, B.; Landthaler, M.; Berneburg, M.; Hafner, C.; Groesser, L. Activating mutations in the RAS/mitogen-activated protein kinase signaling pathway in sporadic trichoblastoma and syringocystadenoma papilliferum. Hum. Pathol. 2015, 46, 272–276. [Google Scholar] [CrossRef]
- Lombardi, M.; Piana, S.; Longo, C.; Borsari, S.; Persechino, F.; Argenziano, G.; Moscarella, E. Dermoscopy of syringocystadenoma papilliferum. Australas J. Dermatol. 2018, 59, e59–e61. [Google Scholar] [CrossRef] [PubMed]
- Konstantinova, A.M.; Michal, M.; Kacerovska, D.; Spagnolo, D.V.; Stewart, C.J.; Kutzner, H.; Zelger, B.; Plaza, J.A.; Denisjuk, N.; Hejda, V.; et al. Hidradenoma Papilliferum: A Clinicopathologic Study of 264 Tumors From 261 Patients, With Emphasis on Mammary-Type Alterations. Am. J. Dermatol. 2016, 38, 598–607. [Google Scholar] [CrossRef] [PubMed]
- Yamamoto, O.; Doi, Y.; Hamada, T.; Hisaoka, M.; Sasaguri, Y. An immunohistochemical and ultrastructural study of syringocystadenoma papilliferum. Br. J. Dermatol. 2002, 147, 936–945. [Google Scholar] [CrossRef]
- Vaos, G.; Pierrakou, P. Syringocystadenoma papilliferum: A rare breast tumor in a young boy. Pediatr Dev. Pathol. 2006, 9, 381–383. [Google Scholar] [CrossRef]
- Jordan, J.A.; Brown, O.E.; Biavati, M.J.; Manning, S.C. Congenital syringocystadenoma papilliferum of the ear and neck treated with the CO2 laser. Int. J. Pediatr. Otorhinolaryngol. 1996, 38, 81–87. [Google Scholar] [CrossRef]
- Kazakov, D.V.; Kacerovska, D.; Hantschke, M.; Zelger, B.; Kutzner, H.; Requena, L.; Grayson, W.; Bisceglia, M.; Schaller, J.; Kempf, W.; et al. Cutaneous mixed tumor, eccrine variant: A clinicopathologic and immunohistochemical study of 50 cases, with emphasis on unusual histopathologic features. Am. J. Dermatol. 2011, 33, 557–568. [Google Scholar] [CrossRef]
- Kazakov, D.V.; Belousova, I.E.; Bisceglia, M.; Calonje, E.; Emberger, M.; Grayson, W.; Hantschke, M.; Kempf, W.; Kutzner, H.; Michal, M.; et al. Apocrine mixed tumor of the skin (“mixed tumor of the folliculosebaceous-apocrine complex”). Spectrum of differentiations and metaplastic changes in the epithelial, myoepithelial, and stromal components based on a histopathologic study of 244 cases. J. Am. Acad. Dermatol. 2007, 57, 467–483. [Google Scholar] [CrossRef]
- Sivamani, R.; Wadhera, A.; Craig, E. Chondroid syringoma: Case report and review of the literature. Dermatol. Online J. 2006, 12, 8. [Google Scholar]
- Chen, A.H.; Moreano, E.H.; Houston, B.; Funk, G.F. Chondroid syringoma of the head and neck: Clinical management and literature review. Ear Nose Throat J. 1996, 75, 104–108. [Google Scholar] [CrossRef]
- Hornick, J.L.; Fletcher, C.D. Cutaneous myoepithelioma: A clinicopathologic and immunohistochemical study of 14 cases. Hum. Pathol. 2004, 35, 14–24. [Google Scholar] [CrossRef]
- Flucke, U.; Palmedo, G.; Blankenhorn, N.; Slootweg, P.J.; Kutzner, H.; Mentzel, T. EWSR1 gene rearrangement occurs in a subset of cutaneous myoepithelial tumors: A study of 18 cases. Mod. Pathol. 2011, 24, 1444–1450. [Google Scholar] [CrossRef] [PubMed]
- Boland, J.M.; Folpe, A.L. Cutaneous neoplasms showing EWSR1 rearrangement. Adv. Anat. Pathol. 2013, 20, 75–85. [Google Scholar] [CrossRef] [PubMed]
- Jo, V.Y.; Antonescu, C.R.; Zhang, L.; Dal Cin, P.; Hornick, J.L.; Fletcher, C.D. Cutaneous syncytial myoepithelioma: Clinicopathologic characterization in a series of 38 cases. Am. J. Surg. Pathol. 2013, 37, 710–718. [Google Scholar] [CrossRef]
- Jo, V.Y.; Antonescu, C.R.; Dickson, B.C.; Swanson, D.; Zhang, L.; Fletcher, C.D.M.; Demicco, E.G. Cutaneous Syncytial Myoepithelioma Is Characterized by Recurrent EWSR1-PBX3 Fusions. Am. J. Surg. Pathol. 2019, 43, 1349–1354. [Google Scholar] [CrossRef] [PubMed]
- Hirai, I.; Tanese, K.; Nakamura, Y.; Amagai, M.; Mikami, S.; Funakoshi, T. Case of metastatic cutaneous myoepithelial carcinoma lacking severe cytological atypia. J. Dermatol. 2020, 47, e97–e98. [Google Scholar] [CrossRef]
- Pizzi, M.; Facchin, F.; Kohlscheen, E.; Sartore, L.; Salmaso, R.; Bassetto, F. Cutaneous syncytial myoepithelioma:: Clinico-pathological features and differential diagnosis. Pathol. Res. Pr. 2016, 212, 954–956. [Google Scholar] [CrossRef]
- Mentzel, T.; Requena, L.; Kaddu, S.; Soares de Aleida, L.M.; Sangueza, O.P.; Kutzner, H. Cutaneous myoepithelial neoplasms: Clinicopathologic and immunohistochemical study of 20 cases suggesting a continuous spectrum ranging from benign mixed tumor of the skin to cutaneous myoepithelioma and myoepithelial carcinoma. J. Cutan. Pathol. 2003, 30, 294–302. [Google Scholar] [CrossRef] [PubMed]
- Michal, M.; Miettinen, M. Myoepitheliomas of the skin and soft tissues. Report of 12 cases. Virchows Arch. 1999, 434, 393–400. [Google Scholar] [CrossRef]
- Johnson, G.E.; Stevens, K.; Morrison, A.O.; Stuart, L.; Gardner, J.M.; Rachal, M.; Parker, D.C. Cutaneous myoepithelial carcinoma with disseminated metastases. Cutis 2017, 99, E19–E26. [Google Scholar]
- Mizuta, H.; Takahashi, A.; Namikawa, K.; Ogata, D.; Yamazaki, N. Association between prognosis and complete resection in primary cutaneous myoepithelial carcinoma: Two case presentations and literature review. Dermatol. Ther. 2020, e13485. [Google Scholar] [CrossRef]
- Naujokas, A.; Charli-Joseph, Y.; Ruben, B.S.; Yeh, I.; LeBoit, P.E.; McCalmont, T.H.; Pincus, L.B. SOX-10 expression in cutaneous myoepitheliomas and mixed tumors. J. Cutan. Pathol. 2014, 41, 353–363. [Google Scholar] [CrossRef] [PubMed]
- Miller, T.D.; McCalmont, T.; Tope, W.D. Recurrent cutaneous myoepithelioma treated using Mohs micrographic surgery: Case report and review of the literature. Dermatol. Surg. 2009, 35, 139–143. [Google Scholar] [CrossRef] [PubMed]
- Wasserman, D.I.; Sack, J.; Gonzalez-Serva, A.; Konnikov, N.; Bohac, G.; Demierre, M.F. Sentinel lymph node biopsy for a squamoid eccrine carcinoma with lymphatic invasion. Dermatol. Surg. 2007, 33, 1126–1129. [Google Scholar] [CrossRef] [PubMed]
- Catteau, X.; D’haene, N.; Noël, J.-C. Low grade malignant eccrine spiradenoma of the vulva: Case report, review of the literature and discussion about the role of p53 and HPV. Diagn. Pathol. 2020, 15, 24. [Google Scholar] [CrossRef]
- Kazakov, D.V. Brooke-Spiegler Syndrome and Phenotypic Variants: An Update. Head Neck Pathol. 2016, 10, 125–130. [Google Scholar] [CrossRef]
- Gupta, E.; Guthrie, K.J.; Krishna, M.; Asmann, Y.; Parker, A.S.; Joseph, R.W. Whole exome sequencing of a patient with metastatic hidradenocarcinoma and review of the literature. Rare Tumors 2015, 7, 5719. [Google Scholar] [CrossRef]
- Ho, A.S.; Kannan, K.; Roy, D.M.; Morris, L.G.; Ganly, I.; Katabi, N.; Ramaswami, D.; Walsh, L.A.; Eng, S.; Huse, J.T.; et al. The mutational landscape of adenoid cystic carcinoma. Nat. Genet. 2013, 45, 791–798. [Google Scholar] [CrossRef]
- Behboudi, A.; Winnes, M.; Gorunova, L.; van den Oord, J.J.; Mertens, F.; Enlund, F.; Stenman, G. Clear cell hidradenoma of the skin-a third tumor type with a t(11;19)—Associated TORC1-MAML2 gene fusion. Genes Chromosomes Cancer 2005, 43, 202–205. [Google Scholar] [CrossRef]
- Bosic, M.; Kirchner, M.; Brasanac, D.; Leichsenring, J.; Lier, A.; Volckmar, A.L.; Oliveira, C.; Buchhalter, I.; Stogbauer, F.; Zivkovic-Perisic, S.; et al. Targeted molecular profiling reveals genetic heterogeneity of poromas and porocarcinomas. Pathology 2018, 50, 327–332. [Google Scholar] [CrossRef]
- Ichihashi, N.; Kitajima, Y. Loss of heterozygosity of adenomatous polyposis coli gene in cutaneous tumors as determined by using polymerase chain reaction and paraffin section preparations. J. Dermatol. Sci. 2000, 22, 102–106. [Google Scholar] [CrossRef]
- Liau, J.Y.; Lan, J.; Hong, J.B.; Tsai, J.H.; Kuo, K.T.; Chu, C.Y.; Sheen, Y.S.; Huang, W.C. Frequent PIK3CA-activating mutations in hidradenoma papilliferums. Hum. Pathol. 2016, 55, 57–62. [Google Scholar] [CrossRef]
- Goto, K.; Maeda, D.; Kudo-Asabe, Y.; Hibiya, T.; Hayashi, A.; Fukayama, M.; Ohashi, K.; Goto, A. PIK3CA and AKT1 mutations in hidradenoma papilliferum. J. Clin. Pathol. 2017, 70, 424–427. [Google Scholar] [CrossRef]
- Ayadi, M. Metastatic Clear Cell Hidradenocarcinoma: Response to Chemotherapy and Long Disease Control. Am. J. Cancer Case Rep. 2015, 3, 143–147. [Google Scholar]
- Tonev, I.D.; Pirgova, Y.S.; Conev, N.V. Primary Adenoid Cystic Carcinoma of the Skin with Multiple Local Recurrences. Case Rep. Oncol. 2015, 8, 251–255. [Google Scholar] [CrossRef] [PubMed]
- Singh, G.K.; Singh, P.; Kaur, J.; Kumar, R. Lung metastasis in primary cutaneous adenoid cystic carcinoma—Clinicopathological evaluation of a rare case with review of literature. J. Egypt Natl. Cancer Inst. 2017, 29, 163–165. [Google Scholar] [CrossRef]
- Oualla, K. Primary Cutaneous Adenoid-Cystic Carcinoma: A Case Report and Literature Review. Int. J. Case Rep. Ther. Stud. 2019. [Google Scholar] [CrossRef]
- Kato, N.; Yasukawa, K.; Onozuka, T. Primary cutaneous adenoid cystic carcinoma with lymph node metastasis. Am. J. Dermatol. 1998, 20, 571–577. [Google Scholar] [CrossRef]
- Weyers, W.; Horster, S.; Diaz-Cascajo, C. Tumor of follicular infundibulum is Basal cell carcinoma. Am. J. Dermatol. 2009, 31, 634–641. [Google Scholar] [CrossRef] [PubMed]
- Chu, S.S.; Chang, Y.L.; Lou, P.J. Primary cutaneous adenoid cystic carcinoma with regional lymph node metastasis. J. Laryngol. Otol. 2001, 115, 673–675. [Google Scholar] [CrossRef]
- Fueston, J.C.; Gloster, H.M.; Mutasim, D.F. Primary cutaneous adenoid cystic carcinoma: A case report and literature review. Cutis 2006, 77, 157–160. [Google Scholar] [PubMed]
- Gelabert-González, M.; Febles-Pérez, C.; Martínez-Rumbo, R. Spinal cord compression caused by adjacent adenocystic carcinoma of the skin. Br. J. Neurosurg. 1999, 13, 601–603. [Google Scholar] [CrossRef]
- Weekly, M.; Lydiatt, D.D.; Lydiatt, W.M.; Baker, S.C.; Johansson, S.L. Primary cutaneous adenoid cystic carcinoma metastatic to cervical lymph nodes. Head Neck 2000, 22, 84–86. [Google Scholar] [CrossRef]
- Prieto-Granada, C.N.; Zhang, L.; Antonescu, C.R.; Henneberry, J.M.; Messina, J.L. Primary cutaneous adenoid cystic carcinoma with MYB aberrations: Report of three cases and comprehensive review of the literature. J. Cutan. Pathol. 2017, 44, 201–209. [Google Scholar] [CrossRef] [PubMed]
- Otsuka, M.; Yamasaki, O.; Kaji, T.; Shien, T.; Iwatsuki, K. Metastatic Cutaneous Apocrine Adenocarcinoma Treated With a Combination of Pertuzumab-Based Targeted Therapy and Taxane Chemotherapy: A Case Report. JAMA Dermatol. 2016, 152, 111–113. [Google Scholar] [CrossRef] [PubMed][Green Version]
- Phan, K.; Kim, L.; Lim, P.; Cheung, K. A case report of temple squamoid eccrine ductal carcinoma: A diagnostic challenge beneath the tip of the iceberg. Dermatol. Ther. 2020, 33, e13213. [Google Scholar] [CrossRef] [PubMed]
- Oyasiji, T.; Tan, W.; Kane, J., 3rd; Skitzki, J.; Francescutti, V.; Salerno, K.; Khushalani, N.I. Malignant adnexal tumors of the skin: A single institution experience. World J. Surg. Oncol. 2018, 16, 99. [Google Scholar] [CrossRef] [PubMed]
- Jiang, R.; Marquez, J.; Tower, J.I.; Jacobs, D.; Chen, W.; Mehra, S.; Prasad, M.L.; Judson, B.L. Sequencing of Sclerosing Microcystic Adenocarcinoma Identifies Mutational Burden and Somatic Variants Associated With Tumorigenesis. Anticancer Res. 2020, 40, 6375–6379. [Google Scholar] [CrossRef]








Publisher’s Note: MDPI stays neutral with regard to jurisdictional claims in published maps and institutional affiliations. |
© 2021 by the authors. Licensee MDPI, Basel, Switzerland. This article is an open access article distributed under the terms and conditions of the Creative Commons Attribution (CC BY) license (https://creativecommons.org/licenses/by/4.0/).
Share and Cite
Płachta, I.; Kleibert, M.; Czarnecka, A.M.; Spałek, M.; Szumera-Ciećkiewicz, A.; Rutkowski, P. Current Diagnosis and Treatment Options for Cutaneous Adnexal Neoplasms with Apocrine and Eccrine Differentiation. Int. J. Mol. Sci. 2021, 22, 5077. https://doi.org/10.3390/ijms22105077
Płachta I, Kleibert M, Czarnecka AM, Spałek M, Szumera-Ciećkiewicz A, Rutkowski P. Current Diagnosis and Treatment Options for Cutaneous Adnexal Neoplasms with Apocrine and Eccrine Differentiation. International Journal of Molecular Sciences. 2021; 22(10):5077. https://doi.org/10.3390/ijms22105077
Chicago/Turabian StylePłachta, Iga, Marcin Kleibert, Anna M. Czarnecka, Mateusz Spałek, Anna Szumera-Ciećkiewicz, and Piotr Rutkowski. 2021. "Current Diagnosis and Treatment Options for Cutaneous Adnexal Neoplasms with Apocrine and Eccrine Differentiation" International Journal of Molecular Sciences 22, no. 10: 5077. https://doi.org/10.3390/ijms22105077
APA StylePłachta, I., Kleibert, M., Czarnecka, A. M., Spałek, M., Szumera-Ciećkiewicz, A., & Rutkowski, P. (2021). Current Diagnosis and Treatment Options for Cutaneous Adnexal Neoplasms with Apocrine and Eccrine Differentiation. International Journal of Molecular Sciences, 22(10), 5077. https://doi.org/10.3390/ijms22105077

