Regulation of Expression of CEBP Genes by Variably Expressed Vitamin D Receptor and Retinoic Acid Receptor α in Human Acute Myeloid Leukemia Cell Lines
Abstract
1. Introduction
2. Results
2.1. Activation of Expression of CEBP Transcription Factor’s Genes in AML Cells with High Level of VDR and Low Level of RARα
2.2. Activation of Expression of CEBP Transcription Factor’s Genes in AML Cells with Low Level of VDR and High Level of RARα
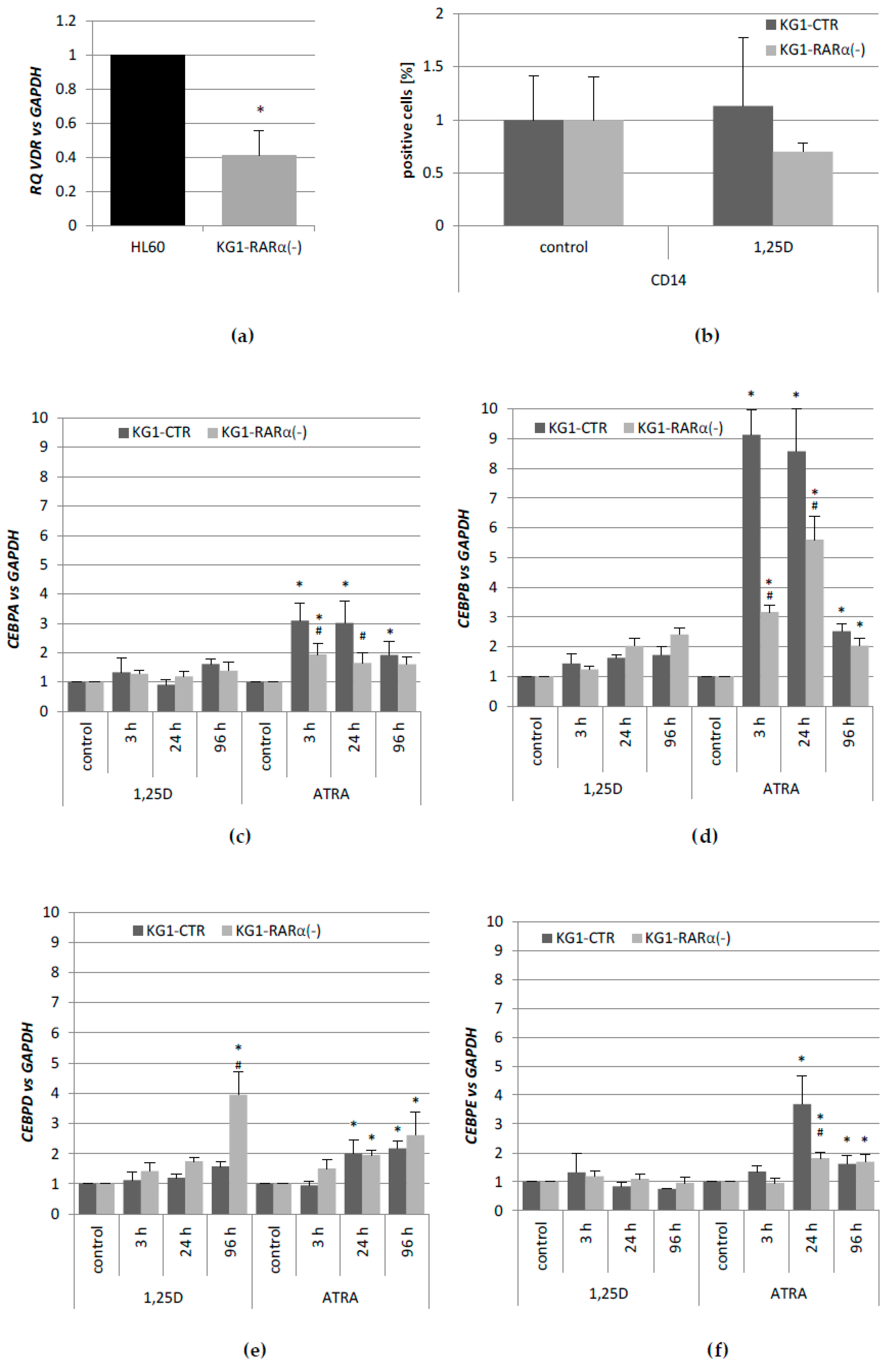
2.3. Effects of Silencing High RARA on Expression of CEBP Transcription Factor’s Genes in KG1 Cells
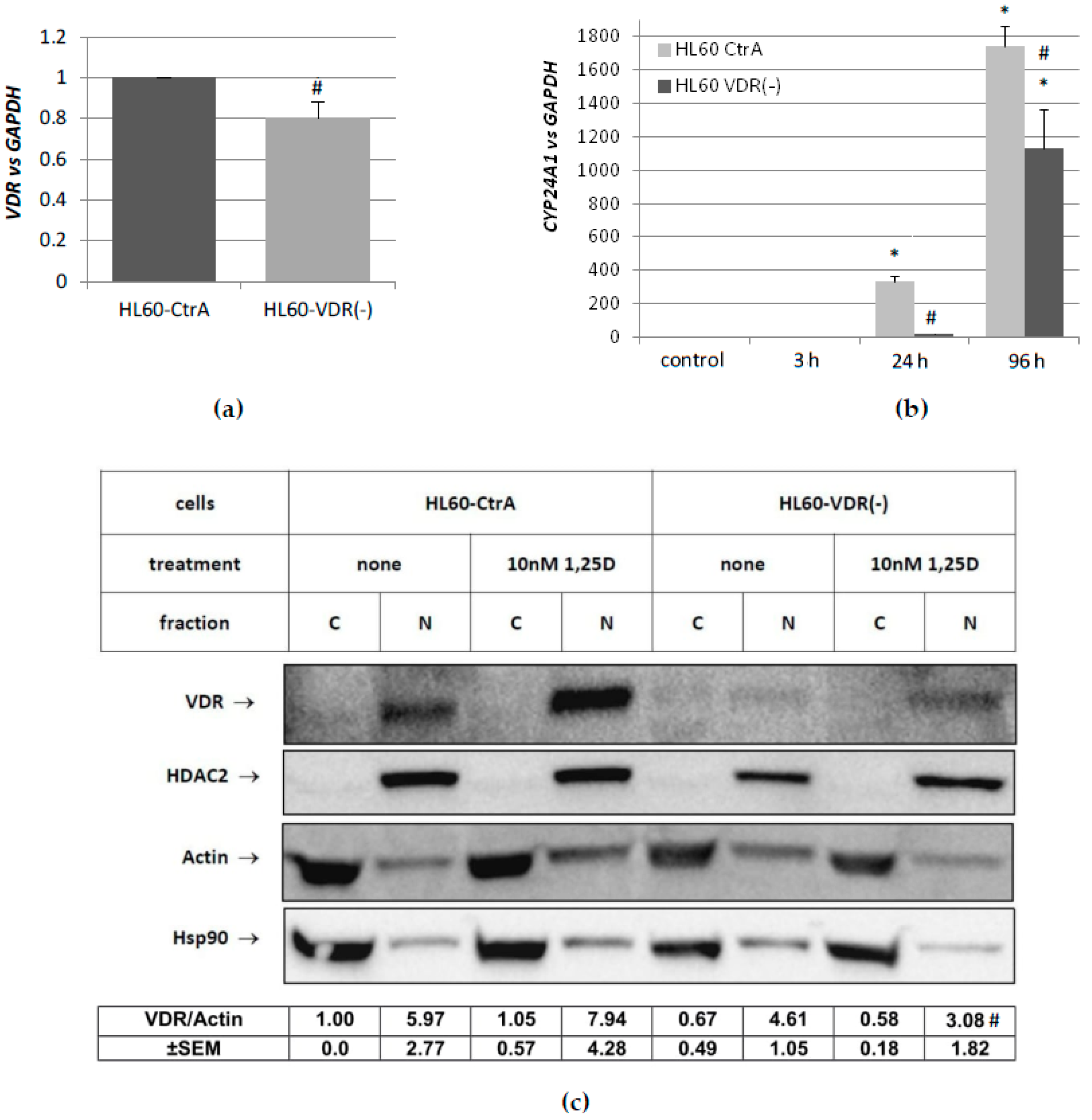
2.4. Effects of Silencing High VDR on Expression of CEBP Transcription Factor’s Genes in HL60 Cells
3. Discussion
4. Materials and Methods
4.1. Cell Lines and Cultures
4.2. Chemicals and Antibodies
4.3. cDNA Synthesis and Real-Time PCR
4.4. Flow Cytometry
4.5. Western Blotting
4.6. Gene Silencing Reagents and Procedure
4.7. Statistical Analysis
Author Contributions
Funding
Conflicts of Interest
Abbreviations
| ATRA | all-trans-retinoic acid |
| 1,25D | 1α,25-dihydroxyvitamin D |
| C/EBP | CCAAT/enhancer-binding protein |
| RARs | retinoic acid receptors |
| AML | acute myeloid leukemia |
| HSCs | hematopoietic stem cells |
| APL | acute promyelocytic leukemia |
| VDR | vitamin D receptor |
| GAPDH | glyceraldehyde 3-phosphate dehydrogenase |
| SEM | standard error of the mean |
Appendix A
| HL60 | CEBPA | SEM | CEBPB | SEM | CEBPD | SEM | CEBPE | SEM | CEBPG | SEM | |
|---|---|---|---|---|---|---|---|---|---|---|---|
| control | 0.16 | 0.06 | 0.07 | 0.02 | 0.004 | 0.001 | 0.004 | 0.002 | 0.068 | 0.026 | |
| 1,25D | 3 h | 0.33 | 0.07 | 0.19 | 0.03 | 0.003 | 0.001 | 0.003 | 0.002 | 0.085 | 0.051 |
| 24 h | 0.22 | 0.03 | 0.27 | 0.03 | 0.003 | 0.001 | 0.004 | 0.002 | 0.072 | 0.042 | |
| 96 h | 0.15 | 0.05 | 0.18 | 0.02 | 0.003 | 0.001 | 0.004 | 0.001 | 0.046 | 0.030 | |
| ATRA | 3 h | 0.18 | 0.04 | 0.06 | 0.03 | 0.003 | 0.001 | 0.002 | 0.002 | 0.058 | 0.014 |
| 24 h | 0.25 | 0.07 | 0.30 | 0.14 | 0.002 | 0.000 | 0.007 | 0.008 | 0.061 | 0.020 | |
| 96 h | 0.13 | 0.04 | 0.25 | 0.07 | 0.004 | 0.001 | 0.006 | 0.0071 | 0.055 | 0.012 | |
| KG1 | CEBPA | SEM | CEBPB | SEM | CEBPD | SEM | CEBPE | SEM | CEBPG | SEM | |
|---|---|---|---|---|---|---|---|---|---|---|---|
| control | 0.025 | 0.016 | 0.039 | 0.000 | 0.0006 | 0.000 | 0.00003 | 0.0000 | 0.0037 | 0.0009 | |
| 1,25D | 3 h | 0.035 | 0.022 | 0.060 | 0.000 | 0.0006 | 0.000 | 0.00003 | 0.0000 | 0.0041 | 0.0010 |
| 24 h | 0.032 | 0.015 | 0.063 | 0.000 | 0.0008 | 0.000 | 0.00003 | 0.0000 | 0.0031 | 0.0009 | |
| 96 h | 0.031 | 0.058 | 0.053 | 0.000 | 0.0009 | 0.002 | 0.00002 | 0.0000 | 0.0034 | 0.0018 | |
| ATRA | 3 h | 0.026 | 0.011 | 0.039 | 0.000 | 0.0006 | 0.000 | 0.00002 | 0.0000 | 0.0023 | 0.0011 |
| 24 h | 0.063 | 0.030 | 0.496 | 0.000 | 0.0003 | 0.000 | 0.00009 | 0.0000 | 0.0023 | 0.0012 | |
| 96 h | 0.050 | 0.027 | 0.284 | 0.000 | 0.0011 | 0.000 | 0.00013 | 0.0001 | 0.0031 | 0.0018 | |
| KG1 CTR | CEBPA | SEM | CEBPB | SEM | CEBPD | SEM | CEBPE | SEM | |
| control | 0.0061 | 0.0022 | 0.0199 | 0.0016 | 0.00002 | 0.0000 | 0.00003 | 0.0022 | |
| 1,25D | 3 h | 0.0056 | 0.0019 | 0.0197 | 0.0013 | 0.00002 | 0.0000 | 0.00003 | 0.0018 |
| 24 h | 0.0048 | 0.0011 | 0.0282 | 0.0008 | 0.00002 | 0.0000 | 0.00002 | 0.0012 | |
| 96 h | 0.0106 | 0.0017 | 0.0373 | 0.0012 | 0.00003 | 0.0000 | 0.00002 | 0.0016 | |
| ATRA | 3 h | 0.0153 | 0.0056 | 0.1484 | 0.0040 | 0.00001 | 0.0000 | 0.00003 | 0.0056 |
| 24 h | 0.0133 | 0.0080 | 0.1242 | 0.0056 | 0.00002 | 0.0000 | 0.00008 | 0.0079 | |
| 96 h | 0.0134 | 0.0007 | 0.0577 | 0.0005 | 0.00003 | 0.0000 | 0.00005 | 0.0007 | |
| KG1 RARα(−) | CEBPA | SEM | CEBPB | SEM | CEBPD | SEM | CEBPE | SEM | |
| control | 0.0082 | 0.0023 | 0.0261 | 0.0016 | 0.00003 | 0.0000 | 0.00002 | 0.0022 | |
| 1,25D | 3 h | 0.0123 | 0.0034 | 0.0377 | 0.0024 | 0.00003 | 0.0000 | 0.00003 | 0.0033 |
| 24 h | 0.0102 | 0.0034 | 0.0548 | 0.0024 | 0.00003 | 0.0000 | 0.00003 | 0.0033 | |
| 96 h | 0.0120 | 0.0042 | 0.0660 | 0.0030 | 0.00007 | 0.0000 | 0.00002 | 0.0041 | |
| ATRA | 3 h | 0.0140 | 0.0038 | 0.0729 | 0.0027 | 0.00002 | 0.0000 | 0.00002 | 0.0037 |
| 24 h | 0.0135 | 0.0025 | 0.1457 | 0.0018 | 0.00003 | 0.0000 | 0.00004 | 0.0025 | |
| 96 h | 0.0154 | 0.0036 | 0.0619 | 0.0025 | 0.00004 | 0.0000 | 0.00005 | 0.0034 | |
| HL60 CtrA | CEBPA | SEM | CEBPB | SEM | HL60 VDR(−) | CEBPA | SEM | CEBPB | SEM | ||
|---|---|---|---|---|---|---|---|---|---|---|---|
| control | 0.06228 | 0.0214 | 0.0753 | 0.0125 | control | 0.09500 | 0.0318 | 0.08958 | 0.0099 | ||
| 1,25D | 3 h | 0.05003 | 0.0089 | 0.3774 | 0.2312 | 1,25D | 3 h | 0.07767 | 0.0227 | 0.28449 | 0.0147 |
| 24 h | 0.07403 | 0.0172 | 0.2351 | 0.0788 | 24 h | 0.12883 | 0.0455 | 0.41116 | 0.2031 | ||
| 96 h | 0.14063 | 0.0437 | 0.1749 | 0.0622 | 96 h | 0.17163 | 0.0468 | 0.24263 | 0.0734 | ||
| ATRA | 3 h | 0.06025 | 0.0180 | 0.1710 | 0.0118 | ATRA | 3 h | 0.09056 | 0.0082 | 0.24728 | 0.0580 |
| 24 h | 0.05366 | 0.0167 | 0.2221 | 0.0188 | 24 h | 0.09029 | 0.0166 | 0.40953 | 0.0871 | ||
| 96 h | 0.13521 | 0.0491 | 0.6720 | 0.0612 | 96 h | 0.24610 | 0.0229 | 0.358334 | 0.2188 | ||
| Cell Line | VDR | SEM | RARA | SEM |
|---|---|---|---|---|
| HL60 | 0.00048 | 0.00001 | 0.0679 | 0.001 |
| HL60 CtrA | 0.00045 | 0.00003 | 0.0600 | 0.003 |
| HL60 VDR(−) | 0.00035 | 0.00006 | 0.0638 | 0.003 |
| KG1 | 0.00002 | 0.00001 | 0.1241 | 0.008 |
| KG1CTR | 0.00005 | 0.00000 | 0.1792 | 0.002 |
| KG1 RARα(−) | 0.00018 | 0.00003 | 0.0563 | 0.003 |
References
- Nerlov, C. The C/EBP family of transcription factors: A paradigm for interaction between gene expression and proliferation control. Trends Cell Biol. 2007, 17, 318–324. [Google Scholar] [CrossRef] [PubMed]
- Tsukada, J.; Yoshida, Y.; Kominato, Y.; Auron, P. The CCAAT/enhancer (C/EBP) family of basic-leucine zipper (bZIP) transcription factors is a multifaceted highly-regulated system for gene regulation. Cytokine 2011, 54, 6–19. [Google Scholar] [CrossRef] [PubMed]
- Johnson, P.; Landschulz, W.; Graves, B.; McKnight, S. Identification of a rat liver nuclear protein that binds to the enhancer core element of three animal viruses. Genes Dev. Biol. 1987, 2, 133–146. [Google Scholar] [CrossRef]
- Landshulz, W.; Johnson, P.; McKnight, S. The DNA binding domain of the rat liver nuclear protein C/EBP is bipartite. Science 1989, 243, 1681–1688. [Google Scholar] [CrossRef]
- Ramji, D.; Foka, P. CCAAT/enhancer-binding proteins: structure, function and regulation. Biochem. J. 2002, 365, 561–575. [Google Scholar] [CrossRef] [PubMed]
- Brown, G.; Hughes, P.; Michell, R.; Rolink, A.; Ceredig, R. The sequential determination model of hematopoiesis. Trends Immunol. 2007, 28, 442–448. [Google Scholar] [CrossRef] [PubMed]
- Studzinski, G.; Marcinkowska, E. Intracellular signaling for granulocytic and monocytic differentiation. In Cell Determination during Hematopoiesis; Brown, G., Ceredig, R., Eds.; Nova Science Publishers: Hauppauge, NY, USA, 2009; pp. 53–77. [Google Scholar]
- Friedman, A. Transcriptional control of granulocyte and monocyte development. Oncogene 2007, 26, 6816–6828. [Google Scholar] [CrossRef] [PubMed]
- Heath, V.; Suh, H.; Holman, M.; Renn, K.; Gooya, J.; Parkin, S.; Klarmann, K.; Ortiz, M.; Johnson, P.; Keller, J. C/EBPα deficiency results in hyperproliferation of hematopoietic progenitor cells and disrupts macrophage development in vitro and in vivo. Blood 2004, 104, 1639–1647. [Google Scholar] [CrossRef] [PubMed]
- Zhang, D.; Zhang, P.; Wang, N.; Hetherington, C.; Darlington, G.; Tenen, D. Absence of granulocyte colony-stimulating factor signaling and neutrophil development in CCAAT enhancer binding protein α-deficient mice. Proc. Natl. Acad. Sci. USA 1997, 94, 569–574. [Google Scholar] [CrossRef] [PubMed]
- Marcinkowska, E.; Garay, E.; Gocek, E.; Chrobak, A.; Wang, X.; Studzinski, G. Regulation of C/EBPβ isoforms by MAPK pathways in HL60 cells induced to differentiate by 1,25-dihydroxyvitamin D3. Exp. Cell Res. 2006, 312, 2054–2065. [Google Scholar] [CrossRef] [PubMed]
- Pham, T.; Langmann, S.; Schwarzfischer, L.; El Chartouni, C.; Lichtinger, M.; Klug, M.; Krause, S.; Rehli, M. CCAAT enhancer-binding protein β regulates constitutive gene expression during late stages of monocyte to macrophage differentiation. J. Biol. Chem. 2007, 282, 21924–21933. [Google Scholar] [CrossRef] [PubMed]
- Lekstrom-Himes, J. The role of C/EBPepsilon in the terminal stages of granulocyte differentiation. Stem Cells 2001, 19, 125–133. [Google Scholar] [CrossRef] [PubMed]
- Tanaka, T.; Yoshida, N.; Kishimoto, T.; Akira, S. Defective adipocyte differentiation in mice lacking the C/EBPβ and/or C/EBPδ gene. EMBO J. 1997, 16, 7432–7443. [Google Scholar] [CrossRef] [PubMed]
- Ford, A.; Bennett, C.; Healy, L.; Towatari, M.; Greaves, M.; Enver, T. Regulation of the myeloperoxidase enhancer binding proteins Pu1, C-EBP α, -β, and -δ during granulocyte-lineage specification. Proc. Natl. Acad. Sci. USA 1996, 93, 10838–10843. [Google Scholar] [CrossRef] [PubMed]
- Rieger, M.A.; Hoppe, P.S.; Smejkal, B.M.; Eitelhuber, A.C.; Schroeder, T. Hematopoietic cytokines can instruct lineage choice. Science 2009, 325, 217–218. [Google Scholar] [CrossRef] [PubMed]
- Chambon, P. A decade of molecular biology of retinoic acid receptors. FASEB J. 1996, 10, 940–954. [Google Scholar] [CrossRef] [PubMed]
- Gritz, E.; Hirschi, K. Specification and function of hemogenic endothelium during embryogenesis. Cell. Mol. Life Sci. 2016, 73, 1547–1567. [Google Scholar] [CrossRef] [PubMed]
- Cañete, A.; Cano, E.; Muñoz-Chápuli, R.; Carmona, R. Role of Vitamin A/Retinoic Acid in Regulation of Embryonic and Adult Hematopoiesis. Nutrients 2017, 9, 159. [Google Scholar] [CrossRef] [PubMed]
- Hillestad, L. Acute promyelocytic leukemia. Acta Med. Scand. 1957, 159, 189–194. [Google Scholar] [CrossRef] [PubMed]
- Adès, L.; Guerci, A.; Raffoux, E.; Sanz, M.; Chevallier, P.; Lapusan, S.; Recher, C.; Thomas, X.; Rayon, C.; Castaigne, S.; et al. Very long-term outcome of acute promyelocytic leukemia after treatment with all-trans retinoic acid and chemotherapy: the European APL Group experience. Blood 2010, 115, 1690–1696. [Google Scholar] [CrossRef] [PubMed]
- Grande, A.; Montanari, M.; Tagliafico, E.; Manfredini, R.; Zanocco Marani, T.; Siena, M.; Tenedini, E.; Gallinelli, A.; Ferrari, S. Physiological levels of 1α, 25 dihydroxyvitamin D3 induce the monocytic commitment of CD34+ hematopoietic progenitors. J. Leukoc. Biol. 2002, 71, 641–651. [Google Scholar] [PubMed]
- Janik, S.; Nowak, U.; Łaszkiewicz, A.; Satyr, A.; Majkowski, M.; Marchwicka, A.; Śnieżewski, Ł.; Berkowska, K.; Gabryś, M.C.M.; Marcinkowska, E. Diverse Regulation of Vitamin D Receptor Gene Expression by 1,25-Dihydroxyvitamin D and ATRA in Murine and Human Blood Cells at Early Stages of Their Differentiation. Int. J. Mol. Sci. 2017, 18, 1323. [Google Scholar] [CrossRef] [PubMed]
- Kastner, P.; Chan, S. Function of RARα during the maturation of neutrophils. Oncogene 2001, 20, 7178–7185. [Google Scholar] [CrossRef] [PubMed]
- Yoshizawa, T.; Handa, Y.; Uematsu, Y.; Takeda, S.; Sekine, K.; Yoshihara, Y.; Kawakami, T.; Arioka, K.; Sato, H.; Uchiyama, Y.; et al. Mice lacking the vitamin D receptor exhibit impaired bone formation, uterine hypoplasia and growth retardation after weaning. Nat. Genet. 1997, 16, 391–396. [Google Scholar] [CrossRef] [PubMed]
- Morosetti, R.; Park, D.; Chumakov, A.; Grillier, I.; Shiohara, M.; Gombart, A.; Nakamaki, T.; Weinberg, K.; Koeffler, H. A novel, myeloid transcription factor, C/EBPepsilon, is upregulated during granulocytic, but not monocytic, differentiation. Blood 1997, 90, 2591–2600. [Google Scholar] [PubMed]
- Christakos, S.; Barletta, F.; Huening, M.; Dhawan, P.; Liu, Y.; Porta, A.; Peng, X. Vitamin D target proteins: function and regulation. J. Cell. Biochem. 2003, 88, 238–244. [Google Scholar] [CrossRef] [PubMed]
- Corcoran, A.; Bermudez, M.; Seoane, S.; Perez-Fernandez, R.; Krupa, M.; Pietraszek, A.; Chodyński, M.; Kutner, A.; Brown, G.; Marcinkowska, E. Biological evaluation of new vitamin D2 analogues. J. Steroid Biochem. Mol. Biol. 2016, 164, 66–71. [Google Scholar] [CrossRef] [PubMed]
- Duprez, E.; Wagner, K.; Koch, H.; Tenen, D. C/EBPβ: A major PML-RARA-responsive gene in retinoic acid-induced differentiation of APL cells. EMBO J. 2003, 22, 5806–5816. [Google Scholar] [CrossRef] [PubMed]
- Fujiki, A.; Imamura, T.; Sakamoto, K.; Kawashima, S.; Yoshida, H.; Hirashima, Y.; Miyachi, M.; Yagyu, S.; Nakatani, T.; Sugita, K.; et al. All-trans retinoic acid combined with 5-Aza-2′-deoxycitidine induces C/EBPα expression and growth inhibition in MLL-AF9-positive leukemic cells. Biochem. Biophys. Res. Commun. 2012, 428, 216–223. [Google Scholar] [CrossRef] [PubMed]
- Marchwicka, A.; Cebrat, M.; Łaszkiewicz, A.; Śnieżewski, Ł.; Brown, G.; Marcinkowska, E. Regulation of vitamin D receptor expression by retinoic acid receptor α in acute myeloid leukemia cells. J. Steroid Biochem. Mol. Biol. 2016, 159, 121–130. [Google Scholar] [CrossRef] [PubMed]
- Gocek, E.; Kielbinski, M.; Baurska, H.; Haus, O.; Kutner, A.; Marcinkowska, E. Different susceptibilities to 1,25-dihydroxyvitamin D3-induced differentiation of AML cells carrying various mutations. Leuk. Res. 2010, 34, 649–657. [Google Scholar] [CrossRef] [PubMed]
- Gocek, E.; Marchwicka, A.; Baurska, H.; Chrobak, A.; Marcinkowska, E. Opposite regulation of vitamin D receptor by ATRA in AML cells susceptible and resistant to vitamin D-induced differentiation. J. Steroid Biochem. Mol. Biol. 2012, 132, 220–226. [Google Scholar] [CrossRef] [PubMed]
- Marchwicka, A.; Corcoran, A.; Berkowska, K.; Marcinkowska, E. Restored expression of vitamin D receptor and sensitivity to 1,25-dihydroxyvitamin D3 in response to disrupted fusion FOP2-FGFR1 gene in acute myeloid leukemia cells. Cell Biosci. 2016, 6, 7. [Google Scholar] [CrossRef] [PubMed]
- Kahlen, J.; Carlberg, C. Identification of a vitamin D receptor homodimer-type response element in the rat calcitriol 24-hydroxylase gene promoter. Biochem. Biophys. Res. Commun. 1994, 202, 1366–1372. [Google Scholar] [CrossRef] [PubMed]
- Dhawan, P.; Peng, X.; Sutton, A.; MacDonald, P.; Croniger, C.; Trautwein, C.; Centrella, M.; McCarthy, T.; Christakos, S. Functional cooperation between CCAAT/enhancer-binding proteins and the vitamin D receptor in regulation of 25-hydroxyvitamin D3 24-hydroxylase. Mol. Cell. Biol. 2005, 25, 472–487. [Google Scholar] [CrossRef] [PubMed]
- Dhawan, P.; Wieder, R.; Christakos, S. CCAAT enhancer-binding protein α is a molecular target of 1,25-dihydroxyvitamin D3 in MCF-7 breast cancer cells. J. Biol. Chem. 2009, 284, 3086–3095. [Google Scholar] [CrossRef] [PubMed]
- Brown, G.; Hughes, P.; Michell, R.; Rolink, A.; Ceredig, R. Ordered Commitment of Hematopoietic Stem Cells to Lineage Options; Nova Science Publishers Inc.: Hauppauge, NY, USA, 2008. [Google Scholar]
- Scott, L.; Civin, C.; Rorth, P.; Friedman, A. A novel temporal expression pattern of three C/EBP family members in differentiating myelomonocytic cells. Blood 1992, 80, 1725–1735. [Google Scholar] [PubMed]
- Taskesen, E.; Bullinger, L.; Corbacioglu, A.; Sanders, M.; Erpelinck, C.; Wouters, B.; van der Poel-van de Luytgaarde, S.; Damm, F.; Krauter, J.; Ganser, A.; et al. Prognostic impact, concurrent genetic mutations, and gene expression features of AML with CEBPA mutations in a cohort of 1182 cytogenetically normal AML patients: Further evidence for CEBPA double mutant AML as a distinctive disease entity. Blood 2011, 117, 2469–2475. [Google Scholar] [CrossRef] [PubMed]
- Bullinger, L.; Döhner, K.; Döhner, H. Genomics of Acute Myeloid Leukemia Diagnosis and Pathways. J. Clin. Oncol. 2017, 35, 934–946. [Google Scholar] [CrossRef] [PubMed]
- Pabst, T.; Mueller, B.; Harakawa, N.; Schoch, C.; Haferlach, T.; Behre, G.; Hiddemann, W.; Zhang, D.; Tenen, D. AML1-ETO downregulates the granulocytic differentiation factor C/EBPα in t(8;21) myeloid leukemia. Nat. Med. 2001, 7, 444–451. [Google Scholar] [CrossRef] [PubMed]
- Cilloni, D.; Carturan, S.; Gottardi, E.; Messa, F.; Messa, E.; Fava, M.; Diverio, D.; Guerrasio, A.; Lo-Coco, F.; Saglio, G. Down-modulation of the C/EBPα transcription factor in core binding factor acute myeloid leukemias. Blood 2003, 102, 2705–2706. [Google Scholar] [CrossRef] [PubMed]
- Balmer, J.; Blomhoff, R. A robust characterization of retinoic acid response elements based on a comparison of sites in three species. J. Steroid Biochem. Mol. Biol. 2005, 96, 347–354. [Google Scholar] [CrossRef] [PubMed]
- Moutier, E.; Ye, T.; Choukrallah, M.; Urban, S.; Osz, J.; Chatagnon, A.; Delacroix, L.; Langer, D.; Rochel, N.; Moras, D.; et al. Retinoic acid receptors recognize the mouse genome through binding elements with diverse spacing and topology. J. Biol. Chem. 2012, 287, 26328–26341. [Google Scholar] [CrossRef] [PubMed]
- Gombart, A.; Kwok, S.; Anderson, K.; Yamaguchi, Y.; Torbett, B.; Koeffler, H. Regulation of neutrophil and eosinophil secondary granule gene expression by transcription factors C/EBPepsilon and PU.1. Blood 2003, 101, 3265–3273. [Google Scholar] [CrossRef] [PubMed]
- Baurska, H.; Kłopot, A.; Kiełbiński, M.; Chrobak, A.; Wijas, E.; Kutner, A.; Marcinkowska, E. Structure-function analysis of vitamin D2 analogs as potential inducers of leukemia differentiation and inhibitors of prostate cancer proliferation. J. Steroid Biochem. Mol. Biol. 2011, 126, 46–54. [Google Scholar] [CrossRef] [PubMed]
- Pfaffl, M. A new mathematical model for relative quantification in real-time RT-PCR. Nucleic Acids Res. 2001, 29, e45. [Google Scholar] [CrossRef] [PubMed]
- Gocek, E.; Marchwicka, A.; Bujko, K.; Marcinkowska, E. NADPH-cytochrome p450 reductase is regulated by all-trans retinoic acid and by 1,25-dihydroxyvitamin D3 in human acute myeloid leukemia cells. PLoS ONE 2014, 9, e91752. [Google Scholar] [CrossRef] [PubMed]





© 2018 by the authors. Licensee MDPI, Basel, Switzerland. This article is an open access article distributed under the terms and conditions of the Creative Commons Attribution (CC BY) license (http://creativecommons.org/licenses/by/4.0/).
Share and Cite
Marchwicka, A.; Marcinkowska, E. Regulation of Expression of CEBP Genes by Variably Expressed Vitamin D Receptor and Retinoic Acid Receptor α in Human Acute Myeloid Leukemia Cell Lines. Int. J. Mol. Sci. 2018, 19, 1918. https://doi.org/10.3390/ijms19071918
Marchwicka A, Marcinkowska E. Regulation of Expression of CEBP Genes by Variably Expressed Vitamin D Receptor and Retinoic Acid Receptor α in Human Acute Myeloid Leukemia Cell Lines. International Journal of Molecular Sciences. 2018; 19(7):1918. https://doi.org/10.3390/ijms19071918
Chicago/Turabian StyleMarchwicka, Aleksandra, and Ewa Marcinkowska. 2018. "Regulation of Expression of CEBP Genes by Variably Expressed Vitamin D Receptor and Retinoic Acid Receptor α in Human Acute Myeloid Leukemia Cell Lines" International Journal of Molecular Sciences 19, no. 7: 1918. https://doi.org/10.3390/ijms19071918
APA StyleMarchwicka, A., & Marcinkowska, E. (2018). Regulation of Expression of CEBP Genes by Variably Expressed Vitamin D Receptor and Retinoic Acid Receptor α in Human Acute Myeloid Leukemia Cell Lines. International Journal of Molecular Sciences, 19(7), 1918. https://doi.org/10.3390/ijms19071918

