Vitamin D Analogs Potentiate the Antitumor Effect of Imatinib Mesylate in a Human A549 Lung Tumor Model
Abstract
:1. Introduction

2. Results and Discussion
2.1. Results
2.1.1. The in Vitro Antiproliferative Effect of GV against Human A549 Cells either Combined with PRI-2191 Alone or Applied with Cisplatin, Idarubicin or Docetaxel
| Cytostatic (μg/mL) | Dose of PRI-2191 (nM)/Imatinib IC50 (μg/mL) | |||||
|---|---|---|---|---|---|---|
| 100 | 10 | 0 | ||||
| IC50 | CI * | IC50 | CI * | IC50 | CI * | |
| ** | 15.71 ± 4.56 | Additive * | 14.88 ± 3.05 | Additive * | 22.38 ± 2.07 | *** |
| DTX 0.001 | 7.05 ± 3.51 | 0.629 | 7.01 ± 2.43 | 0.627 | 18.55 ± 8.63 | 1.266 |
| 0.0001 | 16.84 ± 1.4 | 0.794 | 20.03 ± 1.65 | 0.94 | 19.67 ± 6.01 | 0.924 |
| CIS 0.1 | 13.77 ± 1.37 | 0.894 | 14.91 ± 3.23 | 0.954 | 16.28 ± 2.12 | 1.025 |
| 0.01 | 16.86 ± 2.23 | 0.784 | 16.2 ± 4.24 | 0.754 | 19.9 ± 3.28 | 0.922 |
| ID 0.001 | 1.42 ± 1.04 | 0.783 | 4.24 ± 0.88 | 0.995 | 3.08 ± 0.5 | 0.908 |
| 0.0001 | 15.2 ± 2.8 | 0.793 | 20.34 ± 2.59 | 1.038 | 24.07 ± 2.09 | 1.216 |
2.1.2. The Influence of the Route of PRI-2191 Administration on the Antitumor Effect in Mice Bearing A549 Tumors

| Treatment | Day 14 | Day 21 | ||||
|---|---|---|---|---|---|---|
| Median Tumor Volume (mm3) | TGI% | HTGI | Median Tumor Volume (mm3) | TGI% | HTGI | |
| vehicle (control) | 154 | * | * | 460 | * | * |
| PRI-2191 s.c. | 98 | 36 | * | 305 | 34 | * |
| PRI-2191 oral | 92 | 40 | * | 263 | 43 | * |
| GV | 134 | 13 | * | 486 | −6 | * |
| GV + PRI-2191 s.c. | 76 | 51 | 45 | 262 | 43 | 30 |
| GV + PRI-2191 oral | 96 | 38 | 48 | 287 | 38 | 40 |
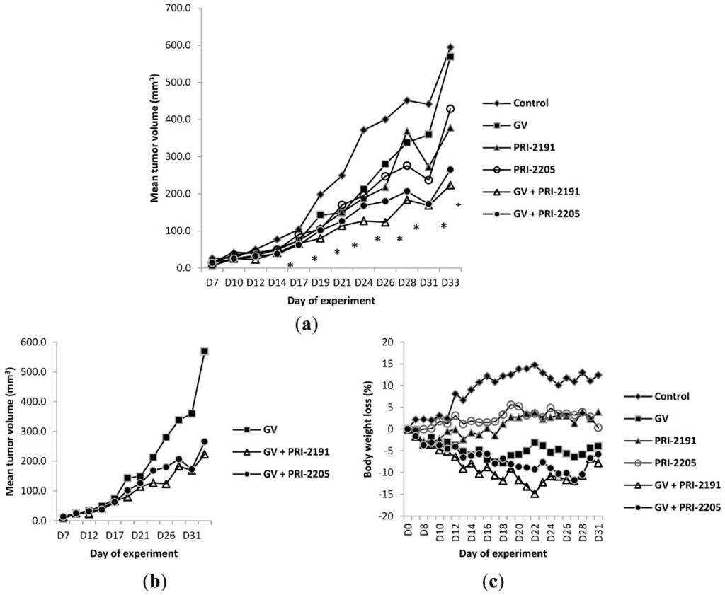
2.1.3. A Comparison of the Antitumor Activity of PRI-2191 and PRI-2205 in Combined Treatment with GV in Mice Bearing A549 Tumors


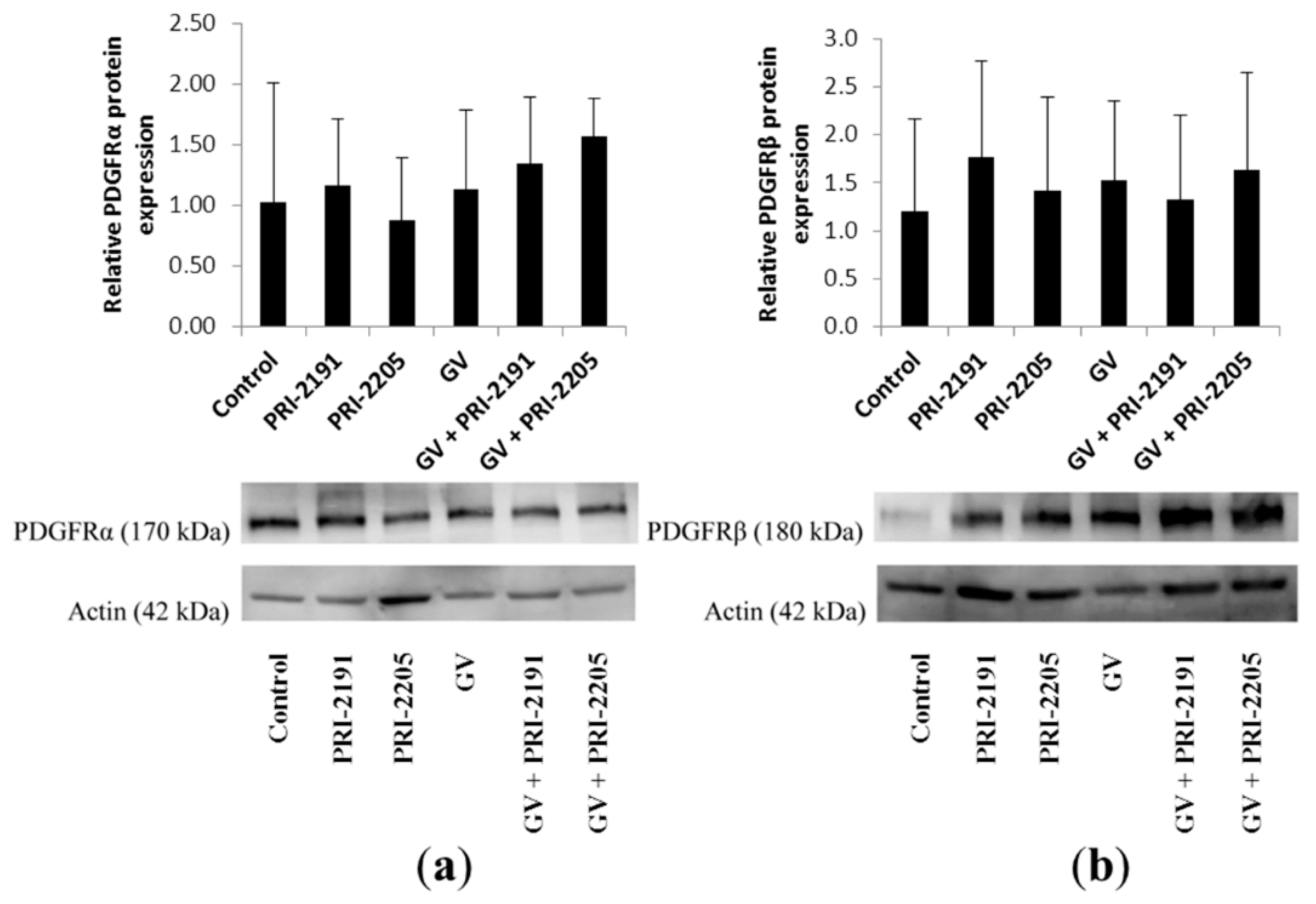
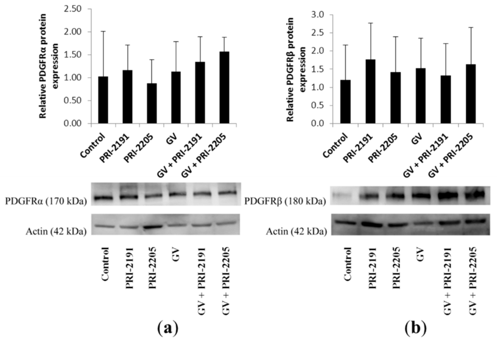
2.1.4. GV Downregulated the Expression of VEGF in Tumor Tissue Samples


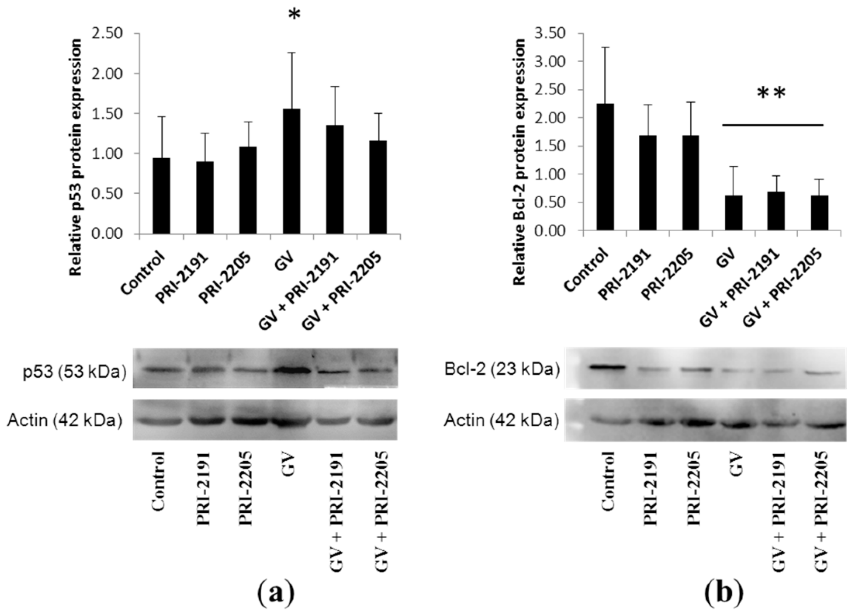
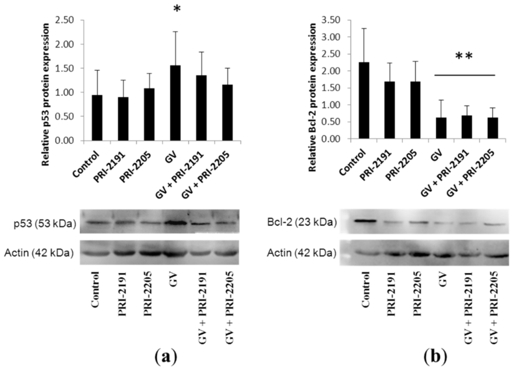
2.1.5. GV Treatment Upregulated p53 and Downregulated Bcl-2 Expression in A549 Tumors


2.2. Discussion
3. Experimental Section
3.1. Cell Culture
3.2. Compounds
3.3. In Vitro Anti-Proliferative Assay
Analysis of Combination Effects
3.4. Animals
3.5. Design of the in Vivo Experiments
- The treatment was started from Day 7 after inoculation of tumor cells (when tumors became palpable). GV was administered intraperitoneally (i.p.) at a dose of 75 mg/kg/day, daily for 19 days (from Days 7–25). PRI-2191 was administered s.c. or by oral gavage at a dose of 2 μg/kg/day, 3 times a week (on Days 7, 12, 14, 16, 19, 21 and 23).
- The treatment was started from Day 7 after inoculation of tumor cells (when tumors became palpable). GV was administered intraperitoneally (i.p.) at a dose of 50 mg/kg/day, daily for 13 days (from Days 7–19). PRI-2191 and PRI-2205 were administered s.c. at doses of 1 or 10 μg/kg/day, respectively, 3 times a week (on Days 7, 10, 12, 14, 17, 19, 21, 24 and 26).
Evaluation of the Therapeutic Effect
3.6. Calcemic Activity
3.7. Western Blot Analysis
3.8. PDGF-BB and VEGF ELISA Assay
3.9. Statistical Evaluation
4. Conclusions
Acknowledgments
Author Contributions
Conflicts of Interest
References
- Iqbal, N.; Iqbal, N. Imatinib: A breakthrough of targeted therapy in cancer. Chemother. Res. Pract. 2014, 2014, 357027. [Google Scholar] [CrossRef] [PubMed]
- Druker, B.J.; Sawyers, C.L.; Kantarjian, H.; Resta, D.J.; Reese, S.F.; Ford, J.M.; Capdeville, R.; Talpaz, M. Activity of a specific inhibitor of the bcr-abl tyrosine kinase in the blast crisis of chronic myeloid leukemia and acute lymphoblastic leukemia with the philadelphia chromosome. N. Engl. J. Med. 2001, 344, 1038–1042. [Google Scholar] [CrossRef] [PubMed]
- Wang, W.L.; Healy, M.E.; Sattler, M.; Verma, S.; Lin, J.; Maulik, G.; Stiles, C.D.; Griffin, J.D.; Johnson, B.E.; Salgia, R. Growth inhibition and modulation of kinase pathways of small cell lung cancer cell lines by the novel tyrosine kinase inhibitor sti 571. Oncogene 2000, 19, 3521–3528. [Google Scholar] [CrossRef] [PubMed]
- Vlahovic, G.; Rabbani, Z.N.; Herndon, J.E.; Dewhirst, M.W.; Vujaskovic, Z. Treatment with imatinib in NSCLC is associated with decrease of phosphorylated PDGFR-β and VEGF expression, decrease in interstitial fluid pressure and improvement of oxygenation. Br. J. Cancer 2006, 95, 1013–1019. [Google Scholar] [CrossRef] [PubMed]
- Zhang, P.; Gao, W.Y.; Turner, S.; Ducatman, B.S. Gleevec (STI-571) inhibits lung cancer cell growth (A549) and potentiates the cisplatin effect in vitro. Mol. Cancer 2003, 2, 1. [Google Scholar] [CrossRef] [PubMed][Green Version]
- Skorta, I.; Oren, M.; Markwardt, C.; Gutekunst, M.; Aulitzky, W.E.; van der Kuip, H. Imatinib mesylate induces cisplatin hypersensitivity in BCR-ABL(+) cells by differential modulation of p53 transcriptional and proapoptotic activity. Cancer Res. 2009, 69, 9337–9345. [Google Scholar] [CrossRef] [PubMed][Green Version]
- Ghosal, N.; Mais, K.; Shenjere, P.; Julyan, P.; Hastings, D.; Ward, T.; Ryder, W.D.; Bruce, I.; Homer, J.; Slevin, N.J. Phase II study of cisplatin and imatinib in advanced salivary adenoid cystic carcinoma. Br. J. Oral Maxillofac. Surg. 2011, 49, 510–515. [Google Scholar] [CrossRef] [PubMed]
- Quintas-Cardama, A.; Kantarjian, H.; Garcia-Manero, G.; O’Brien, S.; Faderl, S.; Ravandi, F.; Giles, F.; Thomas, D.; Wierda, W.; Cortes, J. A pilot study of imatinib, low-dose cytarabine and idarubicin for patients with chronic myeloid leukemia in myeloid blast phase. Leuk. Lymphoma 2007, 48, 283–289. [Google Scholar] [CrossRef] [PubMed]
- Switalska, M.; Nasulewicz-Goldeman, A.; Opolska, A.; Maciejewska, M.; Kutner, A.; Wietrzyk, J. The in vitro antiproliferative effect of PRI-2191 and imatinib applied in combined treatment with cisplatin, idarubicin, or docetaxel on human leukemia cells. Anticancer Drugs 2012, 23, 70–80. [Google Scholar] [CrossRef] [PubMed]
- Gorre, M.E.; Ellwood-Yen, K.; Chiosis, G.; Rosen, N.; Sawyers, C.L. BCR-ABL point mutants isolated from patients with imatinib mesylate-resistant chronic myeloid leukemia remain sensitive to inhibitors of the BCR-ABL chaperone heat shock protein 90. Blood 2002, 100, 3041–3044. [Google Scholar] [CrossRef] [PubMed]
- Kano, Y.; Akutsu, M.; Tsunoda, S.; Mano, H.; Sato, Y.; Honma, Y.; Furukawa, Y. In vitro cytotoxic effects of a tyrosine kinase inhibitor sti571 in combination with commonly used antileukemic agents. Blood 2001, 97, 1999–2007. [Google Scholar] [CrossRef] [PubMed]
- La Rosee, P.; O’Dwyer, M.E.; Druker, B.J. Insights from pre-clinical studies for new combination treatment regimens with the BCR-ABL kinase inhibitor imatinib mesylate (gleevec/glivec) in chronic myelogenous leukemia: A translational perspective. Leukemia 2002, 16, 1213–1219. [Google Scholar] [CrossRef] [PubMed]
- Zinser, G.M.; Tribble, E.; Valrance, M.; Urben, C.M.; Knutson, J.C.; Mazess, R.B.; Strugnell, S.A.; Welsh, J. 1,24(S)-dihydroxyvitamin D-2, an endogenous vitamin D-2 metabolite, inhibits growth of breast cancer cells and tumors. Anticancer Res. 2005, 25, 235–241. [Google Scholar] [PubMed]
- Filip, B.; Milczarek, M.; Wietrzyk, J.; Chodynski, M.; Kutner, A. Antitumor properties of (5E,7E) analogs of vitamin D-3. J. Steroid Biochem. Mol. Biol. 2010, 121, 399–402. [Google Scholar] [CrossRef] [PubMed]
- Wietrzyk, J.; Chodynski, M.; Fitak, H.; Wojdat, E.; Kutner, A.; Opolski, A. Antitumor properties of diastereomeric and geometric analoas of vitamin D-3. Anticancer Drugs 2007, 18, 447–457. [Google Scholar] [CrossRef] [PubMed]
- Wietrzyk, J.; Filip, B.; Milczarek, M.; Klopotowska, D.; Maciejewska, M.; Dabrowska, K.; Kurzepa, A.; Dzimira, S.; Madej, J.; Kutner, A. The influence of 1,25-dihydroxyvitamin D(3) and 1,24-dihydroxyvitamin D(3) on α(v)β(3) integrin expression in cancer cell lines. Oncol. Rep. 2008, 20, 941–952. [Google Scholar] [PubMed]
- Wietrzyk, J.; Nevozhay, D.; Filip, B.; Milczarek, M.; Kutner, A. The antitumor effect of lowered doses of cytostatics combined with new analogs of vitamin d in mice. Anticancer Res. 2007, 27, 3387–3398. [Google Scholar] [PubMed]
- Norton, R.; O’Connell, M.A. Vitamin d: Potential in the prevention and treatment of lung cancer. Anticancer Res. 2012, 32, 211–221. [Google Scholar] [PubMed]
- Srinivasan, M.; Parwani, A.V.; Hershberger, P.A.; Lenzner, D.E.; Weissfeld, J.L. Nuclear vitamin d receptor expression is associated with improved survival in non-small cell lung cancer. J. Steroid Biochem. Mol. Biol. 2011, 123, 30–36. [Google Scholar] [CrossRef] [PubMed]
- Chung, I.; Hang, G.Z.; Seshadri, M.; Gillard, B.M.; Yu, W.D.; Foster, B.A.; Trump, D.L.; Johnson, C.S. Role of vitamin D receptor in the antiproliferative effects of calcitriol in tumor-derived endothelial cells and tumor angiogenesis in vivo. Cancer Res. 2009, 69, 967–975. [Google Scholar] [CrossRef] [PubMed]
- Slominski, A.T.; Janjetovic, Z.; Fuller, B.E.; Zmijewski, M.A.; Tuckey, R.C.; Nguyen, M.N.; Sweatman, T.; Li, W.; Zjawiony, J.; Miller, D.; et al. Products of vitamin D3 or 7-dehydrocholesterol metabolism by cytochrome P450scc show anti-leukemia effects, having low or absent calcemic activity. PLoS ONE 2010, 5, e9907. [Google Scholar] [CrossRef] [PubMed]
- Slominski, A.T.; Kim, T.K.; Takeda, Y.; Janjetovic, Z.; Brozyna, A.A.; Skobowiat, C.; Wang, J.; Postlethwaite, A.; Li, W.; Tuckey, R.C.; et al. Ror α and ror γ are expressed in human skin and serve as receptors for endogenously produced noncalcemic 20-hydroxy- and 20,23-dihydroxyvitamin D. FASEB J. 2014, 28, 2775–2789. [Google Scholar] [CrossRef] [PubMed]
- Posner, G.H.; Crawford, K.R.; Peleg, S.; Welsh, J.E.; Romu, S.; Gewirtz, D.A.; Gupta, M.S.; Dolan, P.; Kensler, T.W. A non-calcemic sulfone version of the vitamin D-3 analogue seocalcitol (EB 1089): Chemical synthesis, biological evaluation and potency enhancement of the anticancer drug adriamycin. Bioorg. Med. Chem. 2001, 9, 2365–2371. [Google Scholar] [CrossRef]
- Verlinden, L.; Verstuyf, A.; van Camp, M.; Marcelis, S.; Sabbe, K.; Zhao, X.Y.; de Clercq, P.; Vandewalle, M.; Bouillon, R. Two novel 14-Epi-analogues of 1,25-dihydroxyvitamin D-3 inhibit the growth of human breast cancer cells in vitro and in vivo. Cancer Res. 2000, 60, 2673–2679. [Google Scholar] [PubMed]
- Chodynski, M.; Wietrzyk, J.; Marcinkowska, E.; Opolski, A.; Szelejewski, W.; Kutner, A. Synthesis and antiproliferative activity of side-chain unsaturated and homologated analogs of 1,25-dihydroxyvitamin D-2 (24E)-(1S)-24-dehydro-24a-homo-1,25-dihydroxyergocalciferol and congeners. Steroids 2002, 67, 789–798. [Google Scholar] [CrossRef]
- Campbell, M.J.; Reddy, G.S.; Koeffler, H.P. Vitamin D-3 analogs and their 24-oxo metabolites equally inhibit clonal proliferation of a variety of cancer cells but have differing molecular effects. J. Cell. Biochem. 1997, 66, 413–425. [Google Scholar] [CrossRef]
- Baniahmad, A.; Tsai, M.J. Mechanisms of transcriptional activation by steroid-hormone receptors. J. Cell. Biochem. 1993, 51, 151–156. [Google Scholar] [CrossRef] [PubMed]
- Wietrzyk, J.; Pelczynska, M.; Madej, J.; Dzimira, S.; Kusnierczyk, H.; Kutner, A.; Szelejewski, W.; Opolski, A. Toxicity and antineoplastic effect of (24R)-1,24-dihydroxyvitamin D(3) (PRI-2191). Steroids 2004, 69, 629–635. [Google Scholar] [CrossRef] [PubMed]
- Opolski, A.; Wietrzyk, J.; Siwinska, A.; Marcinkowska, E.; Chrobak, A.; Kutner, A.; Radzikowski, C. Biological activity in vitro of side-chain modified analogues of calcitriol. Curr. Pharm. Des. 2000, 6, 755–765. [Google Scholar] [CrossRef] [PubMed]
- Milczarek, M.; Chodynski, M.; Filip-Psurska, B.; Martowicz, A.; Krupa, M.; Krajewski, K.; Kutner, A.; Wietrzyk, J. Synthesis and biological activity of diastereomeric and geometric analogs of calcipotriol, PRI-2202 and PRI-2205, against human HL-60 leukemia and MCF-7 breast cancer cells. Cancers 2013, 5, 1355–1378. [Google Scholar] [CrossRef] [PubMed]
- Wietrzyk, J.; Nevozhay, D.; Milczarek, M.; Filip, B.; Kutner, A. Toxicity and antitumor activity of the vitamin D analogs PRI-1906 and PRI-1907 in combined treatment with cyclophosphamide in a mouse mammary cancer model. Cancer Chemother. Pharmacol. 2008, 62, 787–797. [Google Scholar] [CrossRef] [PubMed]
- Milczarek, M.; Psurski, M.; Kutner, A.; Wietrzyk, J. Vitamin d analogs enhance the anticancer activity of 5-fluorouracil in an in vivo mouse colon cancer model. BMC Cancer 2013, 13, 19. [Google Scholar] [CrossRef] [PubMed]
- Milczarek, M.; Rosinska, S.; Psurski, M.; Maciejewska, M.; Kutner, A.; Wietrzyk, J. Combined colonic cancer treatment with vitamin D analogs and irinotecan or oxaliplatin. Anticancer Res. 2013, 33, 433–444. [Google Scholar] [PubMed]
- Wietrzyk, J.; Milczarek, M.; Kutner, A. The effect of combined treatment on head and neck human cancer cell lines with novel analogs of calcitriol and cytostatics. Oncol. Res. 2007, 16, 517–525. [Google Scholar] [CrossRef] [PubMed]
- Malone, E.K.; Rassnick, K.M.; Wakshlag, J.J.; Russell, D.S.; Al-Sarraf, R.; Ruslander, D.M.; Johnson, C.S.; Trump, D.L. Calcitriol (1,25-dihydroxycholecalciferol) enhances mast cell tumour chemotherapy and receptor tyrosine kinase inhibitor activity in vitro and has single-agent activity against spontaneously occurring canine mast cell tumours. Vet. Comp. Oncol. 2010, 8, 209–220. [Google Scholar] [CrossRef] [PubMed]
- Bijnsdorp, I.V.; Giovannetti, E.; Peters, G.J. Analysis of drug interactions. Methods Mol. Biol. 2011, 731, 421–434. [Google Scholar] [PubMed]
- Smith, D.C.; Johnson, C.S.; Freeman, C.C.; Muindi, J.; Wilson, J.W.; Trump, D.L. A phase I trial of calcitriol (1,25-dihydroxycholecalciferol) in patients with advanced malignancy. Clin. Cancer Res. 1999, 5, 1339–1345. [Google Scholar] [PubMed]
- Deeb, K.K.; Trump, D.L.; Johnson, C.S. Vitamin d signalling pathways in cancer: Potential for anticancer therapeutics. Nat. Rev. Cancer 2007, 7, 684–700. [Google Scholar] [CrossRef] [PubMed]
- Pelczynska, M.; Wietrzyk, J.; Jaroszewicz, I.; Nevozhay, D.; Switalska, M.; Kutner, A.; Zabel, M.; Opolski, A. Correlation between VDR expression and antiproliferative activity of vitamin D-3 compounds in combination with cytostatics. Anticancer Res. 2005, 25, 2235–2240. [Google Scholar] [PubMed]
- Alimirah, F.; Vaishnav, A.; McCormick, M.; Echchgadda, I.; Chatterjee, B.; Mehta, R.G.; Peng, X.J. Functionality of unliganded VDR in breast cancer cells: Repressive action on CYP24 basal transcription. Mol. Cell. Biochem. 2010, 342, 143–150. [Google Scholar] [CrossRef] [PubMed]
- Kemmis, C.M.; Salvador, S.M.; Smith, K.M.; Welsh, J. Human mammary epithelial cells express CYP27B1 and are growth inhibited by 25-hydroxyvitamin D-3, the major circulating form of vitamin D-3. J. Nutr. 2006, 136, 887–892. [Google Scholar] [PubMed]
- Sheth, S. Current and emerging therapies for patients with advanced non-small-cell lung cancer. Am. J. Health Syst. Pharm. 2010, 67, S9–S14. [Google Scholar] [CrossRef] [PubMed]
- Yardley, D.A.; Burris, H.A.; Markus, T.; Spigel, D.R.; Greco, F.A.; Mainwaring, M.; Waterhouse, D.M.; Webb, C.D.; Hainsworth, J.D. Phase II trial of docetaxal plus imatinib mesylate in the treatment of patients with metastatic breast cancer. Clin. Breast Cancer 2009, 9, 237–242. [Google Scholar] [CrossRef] [PubMed]
- Huang, C.H.; Williamson, S.K.; van Veldhuizen, P.J.; Hsueh, C.T.; Allen, A.; Tawfik, O.; Wick, J.; Smith, H.; Uypeckcuat, A.M.; Mayo, M.; et al. Potential role of platelet-derived growth factor receptor inhibition using imatinib in combination with docetaxel in the treatment of recurrent non-small cell lung cancer. J. Thorac. Oncol. 2011, 6, 372–377. [Google Scholar] [CrossRef] [PubMed]
- Tsao, A.S.; Liu, S.; Fujimoto, J.; Wistuba, I.I.; Lee, J.J.; Marom, E.M.; Charnsangavej, C.; Fossella, F.V.; Tran, H.T.; Blumenschein, G.R.; et al. Phase II trials of imatinib mesylate and docetaxel in patients with metastatic non-small cell lung cancer and head and neck squamous cell carcinoma. J. Thorac. Oncol. 2011, 6, 2104–2111. [Google Scholar] [CrossRef] [PubMed]
- Bauman, J.E.; Eaton, K.D.; Wallace, S.G.; Carr, L.L.; Lee, S.J.; Jones, D.V.; Arias-Pulido, H.; Cerilli, L.A.; Martins, R.G. A phase II study of pulse dose imatinib mesylate and weekly paclitaxel in patients aged 70 and over with advanced non-small cell lung cancer. BMC Cancer 2012, 12, 8. [Google Scholar] [CrossRef] [PubMed]
- Zhuravel, E.; Efanova, O.; Shestakova, T.; Glushko, N.; Mezhuev, O.; Soldatkina, M.; Pogrebnoy, P. Administration of vitamin D3 improves antimetastatic efficacy of cancer vaccine therapy of lewis lung carcinoma. Exp. Oncol. 2010, 32, 33–39. [Google Scholar] [PubMed]
- Gerber, D.E.; Gupta, P.; Dellinger, M.T.; Toombs, J.E.; Peyton, M.; Duignan, I.; Malaby, J.; Bailey, T.; Burns, C.; Brekken, R.A.; et al. Stromal platelet-derived growth factor receptor α (PDGFR α) provides a therapeutic target independent of tumor cell PDGFR α expression in lung cancer xenografts. Mol. Cancer Ther. 2012, 11, 2473–2482. [Google Scholar] [CrossRef] [PubMed]
- Kinoshita, K.; Nakagawa, K.; Hamada, J.I.; Hida, Y.; Tada, M.; Kondo, S.; Moriuchi, T. Imatinib mesylate inhibits the proliferation-stimulating effect of human lung cancer-associated stromal fibroblasts on lung cancer cells. Int. J. Oncol. 2010, 37, 869–877. [Google Scholar] [CrossRef] [PubMed]
- Abe, M.; Kortylewicz, Z.P.; Enke, C.A.; Mack, E.; Baranowska-Kortylewicz, J. Activation of PDGFR-β signaling pathway after imatinib and radioimmunotherapy treatment in experimental pancreatic cancer. Cancers 2011, 3, 2501–2515. [Google Scholar] [CrossRef] [PubMed]
- Reiterer, G.; Yen, A. Platelet-derived growth factor receptor regulates myeloid and monocytic differentiation of Hl-60 cells. Cancer Res. 2007, 67, 7765–7772. [Google Scholar] [CrossRef] [PubMed]
- Diaz, G.D.; Paraskeva, C.; Thomas, M.G.; Binderup, L.; Hague, A. Apoptosis is induced by the active metabolite of vitamin D-3 and its analogue EB1089 in colorectal adenoma and carcinoma cells: Possible implications for prevention and therapy. Cancer Res. 2000, 60, 2304–2312. [Google Scholar] [PubMed]
- Palmer, H.G.; Gonzalez-Sancho, J.M.; Espada, J.; Berciano, M.T.; Puig, I.; Baulida, J.; Quintanilla, M.; Cano, A.; de Herreros, A.G.; Lafarga, M.; et al. Vitamin D-3 promotes the differentiation of colon carcinoma cells by the induction of E-cadherin and the inhibition of β-catenin signaling. J. Cell Biol. 2001, 154, 369–387. [Google Scholar] [CrossRef] [PubMed]
- Saramaki, A.; Banwell, C.M.; Campbell, M.J.; Carlberg, C. Regulation of the human p21(waf1/cip1) gene promoter via multiple binding sites for p53 and the vitamin D-3 receptor. Nucleic Acids Res. 2006, 34, 543–554. [Google Scholar] [CrossRef] [PubMed]
- Meng, J.; Zhang, H.H.; Zhou, C.X.; Li, C.; Zhang, F.; Mei, Q.B. The histone deacetylase inhibitor trichostatin a induces cell cycle arrest and apoptosis in colorectal cancer cells via p53-dependent and -independent pathways. Oncol. Rep. 2012, 28, 384–388. [Google Scholar] [PubMed]
- Stambolsky, P.; Tabach, Y.; Fontemaggi, G.; Weisz, L.; Maor-Aloni, R.; Sigfried, Z.; Shiff, I.; Kogan, I.; Shay, M.; Kalo, E.; et al. Modulation of the vitamin D3 response by cancer-associated mutant p53. Cancer Cell 2010, 17, 273–285. [Google Scholar] [CrossRef] [PubMed]
- Milczarek, M.; Filip-Psurska, B.; Swietnicki, W.; Kutner, A.; Wietrzyk, J. Vitamin D analogs combined with 5-fluorouracil in human HT-29 colon cancer treatment. Oncol. Rep. 2014, 32, 491–504. [Google Scholar] [CrossRef] [PubMed]
- Brown, C.J.; Lain, S.; Verma, C.S.; Fersht, A.R.; Lane, D.P. Awakening guardian angels: Drugging the p53 pathway. Nat. Rev. Cancer 2009, 9, 862–873. [Google Scholar] [CrossRef] [PubMed]
- Teodoro, J.G.; Evans, S.K.; Green, M.R. Inhibition of tumor angiogenesis by p53: A new role for the guardian of the genome. J. Mol. Med. (Berl.) 2007, 85, 1175–1186. [Google Scholar] [CrossRef] [PubMed]
- Bellone, G.; Ferrero, D.; Carbone, A.; de Quadros, M.R.; Gramigni, C.; Prati, A.; Davidson, W.; Mioli, P.; Dughera, L.; Emanuelli, G.; et al. Inhibition of cell survival and invasive potential of colorectal carcinoma cells by the tyrosine kinase inhibitor STI571. Cancer Biol. Ther. 2004, 3, 385–392. [Google Scholar] [CrossRef] [PubMed]
- Cardoso, H.J.; Vaz, C.V.; Correia, S.; Figueira, M.I.; Marques, R.; Maia, C.J.; Socorro, S. Paradoxical and contradictory effects of imatinib in two cell line models of hormone-refractory prostate cancer. Prostate 2015, 75, 923–935. [Google Scholar] [CrossRef] [PubMed]
- Kim, R.; Emi, M.; Tanabe, K.; Toge, T. Preclinical evaluation of antisense bcl-2 as a chemosensitizer for patients with gastric carcinoma. Cancer 2004, 101, 2177–2186. [Google Scholar] [CrossRef] [PubMed]
- Nevozhay, D. Cheburator software for automatically calculating drug inhibitory concentrations from in vitro screening assays. PLoS ONE 2014, 9, e106186. [Google Scholar] [CrossRef] [PubMed]
- Chou, T.C.; Talalay, P. Generalized equations for the analysis of inhibitions of michaelis-menten and higher-order kinetic systems with 2 or more mutually exclusive and non-exclusive inhibitors. Eur. J. Biochem. 1981, 115, 207–216. [Google Scholar] [CrossRef] [PubMed]
- Chou, T.C.; Talalay, P. Quantitative-analysis of dose-effect relationships—The combined effects of multiple-drugs or enzyme-inhibitors. Adv. Enzym. Regul. 1984, 22, 27–55. [Google Scholar] [CrossRef]
© 2015 by the authors; licensee MDPI, Basel, Switzerland. This article is an open access article distributed under the terms and conditions of the Creative Commons by Attribution (CC-BY) license (http://creativecommons.org/licenses/by/4.0/).
Share and Cite
Maj, E.; Filip-Psurska, B.; Świtalska, M.; Kutner, A.; Wietrzyk, J. Vitamin D Analogs Potentiate the Antitumor Effect of Imatinib Mesylate in a Human A549 Lung Tumor Model. Int. J. Mol. Sci. 2015, 16, 27191-27207. https://doi.org/10.3390/ijms161126016
Maj E, Filip-Psurska B, Świtalska M, Kutner A, Wietrzyk J. Vitamin D Analogs Potentiate the Antitumor Effect of Imatinib Mesylate in a Human A549 Lung Tumor Model. International Journal of Molecular Sciences. 2015; 16(11):27191-27207. https://doi.org/10.3390/ijms161126016
Chicago/Turabian StyleMaj, Ewa, Beata Filip-Psurska, Marta Świtalska, Andrzej Kutner, and Joanna Wietrzyk. 2015. "Vitamin D Analogs Potentiate the Antitumor Effect of Imatinib Mesylate in a Human A549 Lung Tumor Model" International Journal of Molecular Sciences 16, no. 11: 27191-27207. https://doi.org/10.3390/ijms161126016
APA StyleMaj, E., Filip-Psurska, B., Świtalska, M., Kutner, A., & Wietrzyk, J. (2015). Vitamin D Analogs Potentiate the Antitumor Effect of Imatinib Mesylate in a Human A549 Lung Tumor Model. International Journal of Molecular Sciences, 16(11), 27191-27207. https://doi.org/10.3390/ijms161126016

