High-Yield Production in Escherichia coli of Fungal Immunomodulatory Protein Isolated from Flammulina velutipes and Its Bioactivity Assay in Vivo
Abstract
:1. Introduction
2. Results and Discussion
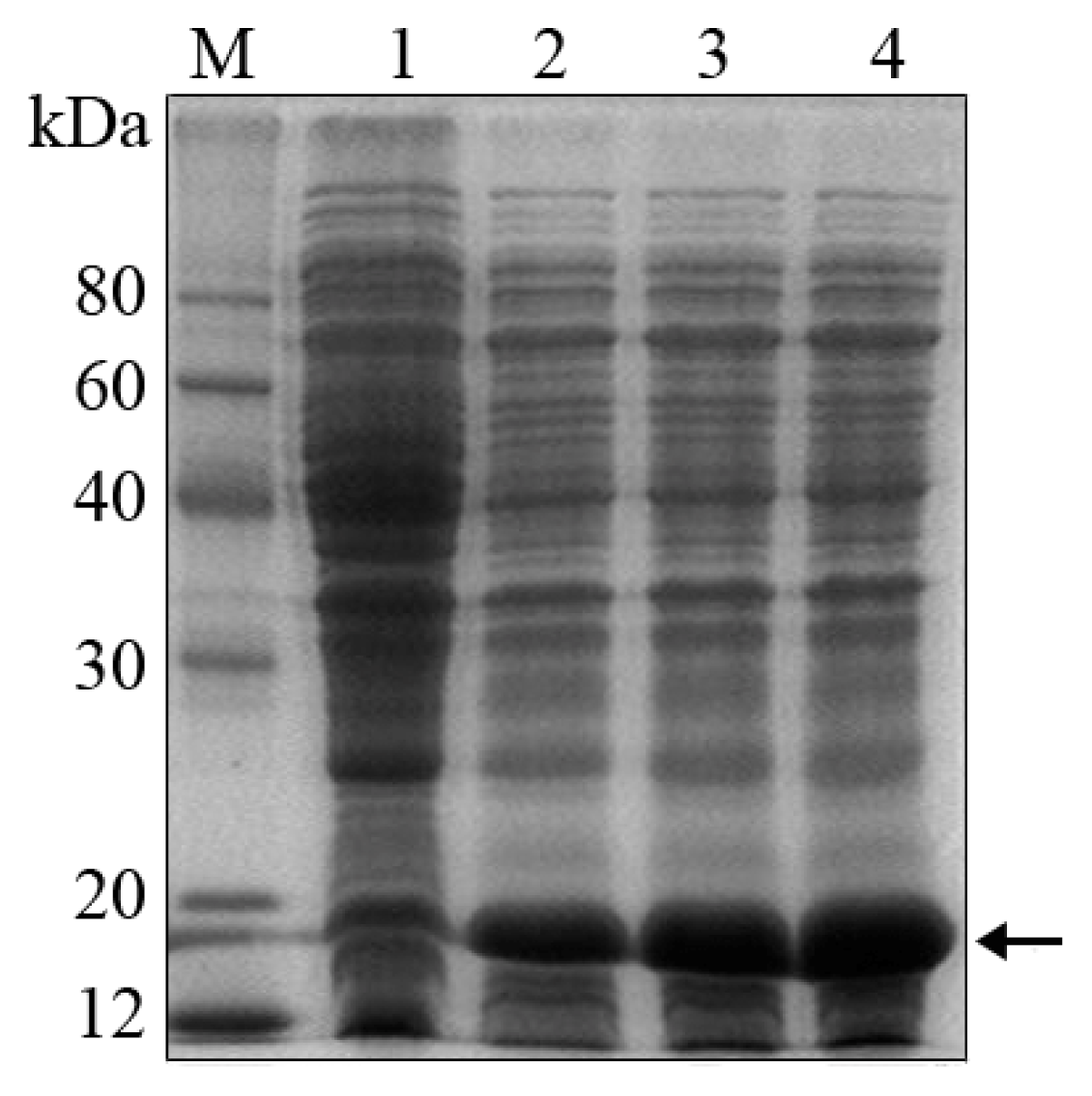
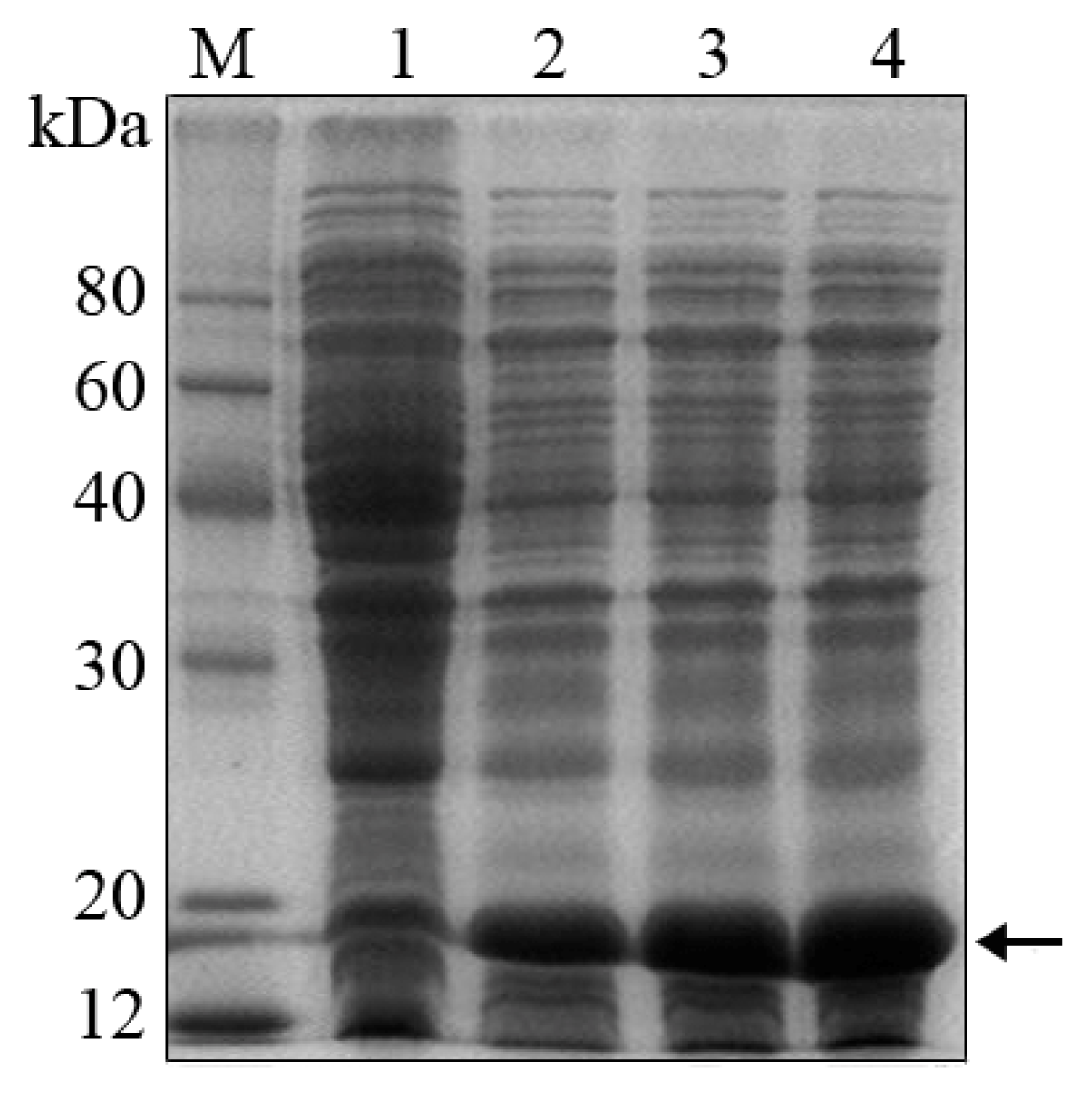
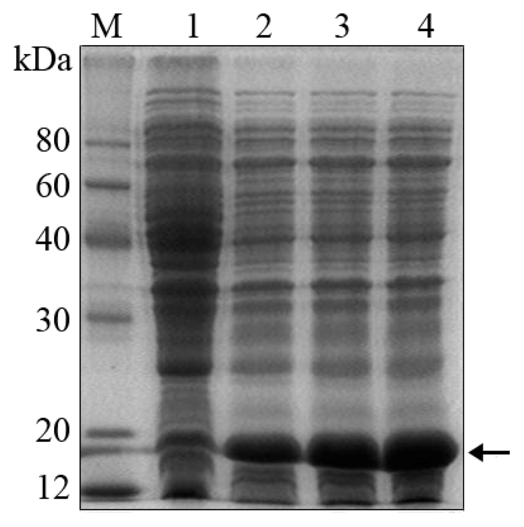
2.1. Expression and Purification of His-FIP-Fve Fusion Protein in E. coli
2.2. Bioactivity Assay of His-FIP-Fve
3. Experimental Section
3.1. Materials
3.2. Construction of Expression Plasmids
3.3. Expression and Purification of His-FIP-Fve Fusion Protein
3.3.1. Time Course of the Expression
3.3.2. Optimization Conditions
3.3.3. Large Scale Purification
3.3.4. Electrophoresis
3.4. Bioactivity Assay of His-FIP-Fve in Vivo
4. Conclusions
Acknowledgments
Abbreviations
| Ig | Immunoglobin |
| FIP | Fungal immunomodulatory protein |
| FIP-fve | FIP isolated from Flammulina velutipes |
| ELISA | Enzyme-linked immunosorbent assay |
| IL-2 | Interleukin-2 |
| IL-4 | Interleukin-4 |
| IFN-γ | Interferon gamma |
| IPTG | Isopropyl β-d-thiogalactoside |
Conflict of Interest
References
- Kino, K.; Yamashita, A.; Yamaoka, K.; Watanabe, J.; Tanaka, S.; Ko, K.; Shimizu, K.; Tsunoo, H. Isolation and characterization of a new immunomodulatory protein, lingzhi-8 (LZ-8), from Ganoderma lucidum. J. Biol. Chem 1989, 264, 472–478. [Google Scholar]
- Ko, J.L.; Hsu, C.I.; Lin, R.H.; Kao, C.L.; Lin, J.Y. A new fungal immunomodulatory protein, FIP-fve isolated from the edible mushroom, Flammulina velutipes and its complete amino acid sequence. Eur. J. Biochem 1995, 228, 244–249. [Google Scholar]
- Lin, W.H.; Hung, C.H.; Hsu, C.I.; Lin, J.Y. Dimerization of the N-terminal amphipathic alpha-helix domain of the fungal immunomodulatory protein from Ganoderma tsugae (Fip-gts) defined by a yeast two-hybrid system and site-directed mutagenesis. J. Biol. Chem 1997, 272, 20044–20048. [Google Scholar]
- Hsu, H.C.; Hsu, C.I.; Lin, R.H.; Kao, C.L.; Lin, J.Y. Fip-vvo, a new fungal immunomodulmory protein isolated from Volvariella volvacea. Biochem. J 1997, 323, 557–565. [Google Scholar]
- Wu, M.Y.; Hsu, M.F.; Huang, C.S.; Fu, H.Y.; Huang, C.T.; Yang, C.S. A 2.0 structure of GMI, a member of the fungal immunomodulatory protein family from Ganoderma microsporum. Protein Crystallogr 2007, 2, 132. [Google Scholar]
- Zhou, X.W.; Xie, M.Q.; Hong, F.; Li, Q.Z.; Lin, J. Genomic cloning and characterization of a FIP-gsi gene encoding a fungal immunomodulatory protein from Ganoderma sinensis zhao et al (Aphyllophoromycetideae). Int. J. Med. Mushrooms 2009, 11, 77–86. [Google Scholar]
- Paaventhan, P.; Joseph, J.S.; Seow, S.V.; Vaday, S.; Robinson, H.; Chua, K.Y.; Kolatkar, P.R. A 1.7 Å structure of Fve, a member of the new fungal immunomodulatory protein family. J. Mol. Biol 2003, 332, 461–470. [Google Scholar]
- Meinck, H.M. Stiff man syndrome. CNS Drugs 2001, 15, 515–526. [Google Scholar]
- Zhou, H.Y.; Zeng, M. The application of Human immune globulin in B hepatitis. Chin. J. Biol 2006, 19, 544–547. [Google Scholar]
- Tanaka, S.; Ko, K.; Kino, K.; Tsuchiya, K.; Yamashita, A.; Murasugi, A.; Sakuma, S.; Tsunoo, H. Complete amino acid sequence of an immunomodulatory protein, lingzhi-8 (LZ-8), an immunomodulator from a fungus, Ganoderma lucidium, having similarity to immunoglobulin variable regions. J. Biol. Chem 1989, 264, 16372–16377. [Google Scholar]
- Ko, J.L.; Lin, S.J.; Hsu, C.I.; Kao, C.L.; Lin, J.Y. Molecular cloning and expression of a fungal immunomodulatory protein, FIP-fve, from Flammulina velutipes. J. Formos Med. Assoc 1997, 96, 517–524. [Google Scholar]
- Hsieh, K.Y.; Hsu, C.I.; Lin, J.Y.; Tsai, C.C.; Lin, R.H. Oral administration of an edible-mushroom-derived protein inhibits the development of food-allergic reactions in mice. Clin. Exp. Allergy 2003, 33, 1595–1602. [Google Scholar]
- Ou, C.C.; Hsiao, Y.M.; Wu, W.J.; Tasy, G.J.; Ko, J.L.; Lin, M.Y. FIP-fve stimulates interferongamma production via modulation of calcium release and PKC-alpha activation. J. Agric. Food Chem 2009, 57, 11008–11013. [Google Scholar]
- Hsu, H.Y.; Hua, K.F.; Wu, W.C.; Hsu, J.; Weng, S.T.; Lin, T.L.; Liu, C.Y.; Hseu, R.S.; Huang, C.T. Reishi Immuno-modulation protein induces interleukin-2 expression via protein kinase-dependent signaling pathways within human T cells. J. Cell Physiol 2008, 215, 15–26. [Google Scholar]
- Lee, Y.T.; Lee, S.S.; Sun, H.L.; Lu, K.H.; Ku, M.S.; Sheu, J.N.; Ko, J.L.; Lue, K.H. Effect of the fungal immunomodulatory protein FIP-fve on airway inflammation and cytokine production in mouse asthma model. Cytokine 2013, 61, 237–244. [Google Scholar]
- Li, Q.Z.; Wang, X.F.; Zhou, X.W. Recent status and prospects of the fungal immunomodulatory protein family. Crit. Rev. Biotechnol 2011, 31, 365–375. [Google Scholar]
- Lin, C.H.; Sheu, G.T.; Lin, Y.W.; Yeh, C.S.; Huang, Y.H.; Lai, Y.C.; Chang, J.G.; Ko, J.L. A new immunomodulatory protein from Ganoderma microsporum inhibits epidermal growth factor mediated migration and invasion in A549 lung cancer cells. Process Biochem 2010, 45, 1537–1542. [Google Scholar]
- Sheu, F.; Chien, P.J.; Hsieh, K.Y.; Chin, K.L.; Huang, W.T.; Tsao, C.Y.; Chen, Y.F.; Cheng, H.C.; Chang, H.H. Purification, cloning and functional characterization of a novel immunomodulatory protein from Antrodia camphorata (Bitter Mushroom) that exhibits TLR2-dependent NF-κB activation and M1-polarization within Murine macrophages. J. Agric. Food Chem 2009, 57, 4130–4141. [Google Scholar]
- Lull, C.; Wichers, H.J.; Savelkou, H.F. Antiinflammatory and immunomodulating properties of fungal metabolites. Mediators Inflamm 2005, 2005, 63–80. [Google Scholar]
- Zhang, J.C.; Kong, X.H.; Zhang, P.Q.; Dai, X.D.; Han, Z.H.; Ma, Q.F. Cloning and Expression of FIP-fve Gene in E. coli. J. Jilin Agric. Univ 2007, 29, 495–498. [Google Scholar]
- Hsieh, C.W.; Lan, J.L.; Meng, Q.; Cheng, Y.W.; Huang, H.M.; Tsai, J.J. Eosinophil apoptosis induced by fungal immunomodulatory peptide-fve via reducing IL-5alpha receptor. J. Formos Med. Assoc 2007, 106, 36–43. [Google Scholar]
- Wang, P.H.; Hsu, C.I.; Tang, S.C.; Huang, Y.L.; Lin, J.Y.; Ko, J.L. Fungal Immunomodulatory protein from Flammulina velutipes induces interferon-γ production through p38 Mitogen-Activated protein kinase signaling pathway. J. Agric. Food Chem 2004, 52, 2721–2725. [Google Scholar]
- Ou, C.C.; Hsiao, Y.M.; Wang, W.H.; Ko, J.L.; Lin, M.Y. Stability of fungal immunomodulatory protein, FIP-gts and FIP-fve, in IFN-γ production. Food Agric. Immunol 2009, 20, 319–332. [Google Scholar]
- Wu, C.M.; Wu, T.V.; Kao, S.S.; Ko, J.L.; Jinn, T.R. Expression and purification of a recombinant Fip-fve protein from Flammulina velutipes in baculovirus-infected insect cells. J. Appl. Microbiol 2008, 104, 1354–1362. [Google Scholar]
- Beigia, L.; Karbalaei-Heidaria, H.R.; Kharrati-Kopaeib, M. Optimization of an extracellular zinc-metalloprotease (SVP2) expression in Escherichia coli BL21 (DE3) using response surface methodology. Protein Expres. Purif 2012, 84, 161–166. [Google Scholar]
- Yazdanbakhsh, M.; Rodrigues, L.C. Allergy and the hygiene hypothesis: The Th1/Th2 counter regulation cannot provide an explanation. Wiener Klinische Wochenschrift 2001, 113, 899–902. [Google Scholar]
- Rengarajan, J.; Szabo, S.J.; Glimcher, L.H. Transcriptional regulation of Th1/Th2 polarization. Immunol. Today 2000, 21, 479–483. [Google Scholar]
- Wu, C.C.; Liao, E.C.; Lee, M.F.; Tsai, J.J. Augmentation of regulatory T cells in allergic individuals by recombinant Der f 2 peptide with fungal immunomodulatory peptide fve. Annals of allergy, asthma & immunology: Official publication of the American College of Allergy. Asthma Immunol 2009, 3, 216–222. [Google Scholar]
- Li, Q.Z.; Wang, X.F.; Chen, Y.Y.; Lin, J.; Zhou, X.W. Cytokines expression induced by Ganoderma sinensis Fungal Immunomodulatory Proteins (FIP-gsi) in Mouse Spleen Cells. Appl. Biochem. Biotechnol 2010, 162, 1403–1413. [Google Scholar]
- Li, Q.Z.; Huang, L.; Wang, X.F.; Li, X.S.; Wu, S.Q.; Zhou, X.W. Flammulina velutipes induces cytokine gene expression in mouse spleen cells. Curr. Top. Nutraceut. Res 2011, 9, 111–118. [Google Scholar]




| Fraction sample | Soluble protein |
|---|---|
| Wet weight of cells | 5.379 g |
| Soluble total protein | 150 mg |
| Purified His-FIP-fve | 29.1 mg |
| Purity a (%) | 97.1 |
| Cytokines | Sterile saline | His-FIP-fve (mg/kg body mass) | |||
|---|---|---|---|---|---|
| 5 | 10 | 20 | |||
| A | IL-2 (pg/mL) | 16.761 ± 2.049 | 20.560 ± 2.607 * | 19.956 ± 3.301 * | 17.662 ± 3.421 |
| B | IL-4 (pg/mL) | 37.235 ± 7.133 | 36.567 ± 10.156 | 40.675 ± 9.988 | 39.692 ± 9.978 |
| C | IFN-γ (pg/mL) | 10.557 ± 1.402 | 15.917 ± 3.872 * | 12.362 ± 2.008 * | 12.503 ± 1.893 * |
© 2013 by the authors; licensee Molecular Diversity Preservation International, Basel, Switzerland. This article is an open access article distributed under the terms and conditions of the Creative Commons Attribution license (http://creativecommons.org/licenses/by/3.0/).
Share and Cite
Kong, X.; Zhang, J.; Han, X.; Zhang, P.; Dai, X.; Liu, J.; Zhang, X.; Lee, I.; Liu, S. High-Yield Production in Escherichia coli of Fungal Immunomodulatory Protein Isolated from Flammulina velutipes and Its Bioactivity Assay in Vivo. Int. J. Mol. Sci. 2013, 14, 2230-2241. https://doi.org/10.3390/ijms14022230
Kong X, Zhang J, Han X, Zhang P, Dai X, Liu J, Zhang X, Lee I, Liu S. High-Yield Production in Escherichia coli of Fungal Immunomodulatory Protein Isolated from Flammulina velutipes and Its Bioactivity Assay in Vivo. International Journal of Molecular Sciences. 2013; 14(2):2230-2241. https://doi.org/10.3390/ijms14022230
Chicago/Turabian StyleKong, Xianghui, Jiechi Zhang, Xue Han, Piqi Zhang, Xiaodong Dai, Jianing Liu, Xinxin Zhang, Imshik Lee, and Shenkui Liu. 2013. "High-Yield Production in Escherichia coli of Fungal Immunomodulatory Protein Isolated from Flammulina velutipes and Its Bioactivity Assay in Vivo" International Journal of Molecular Sciences 14, no. 2: 2230-2241. https://doi.org/10.3390/ijms14022230
APA StyleKong, X., Zhang, J., Han, X., Zhang, P., Dai, X., Liu, J., Zhang, X., Lee, I., & Liu, S. (2013). High-Yield Production in Escherichia coli of Fungal Immunomodulatory Protein Isolated from Flammulina velutipes and Its Bioactivity Assay in Vivo. International Journal of Molecular Sciences, 14(2), 2230-2241. https://doi.org/10.3390/ijms14022230
