Downregulation of the NLRP3/Caspse-1 Pathway Ameliorates Ketamine-Induced Liver Injury and Inflammation in Developing Rats
Abstract
1. Introduction
2. Results
2.1. Effects of MCC950 and VX765 Ketamine on Liver Function in Rats
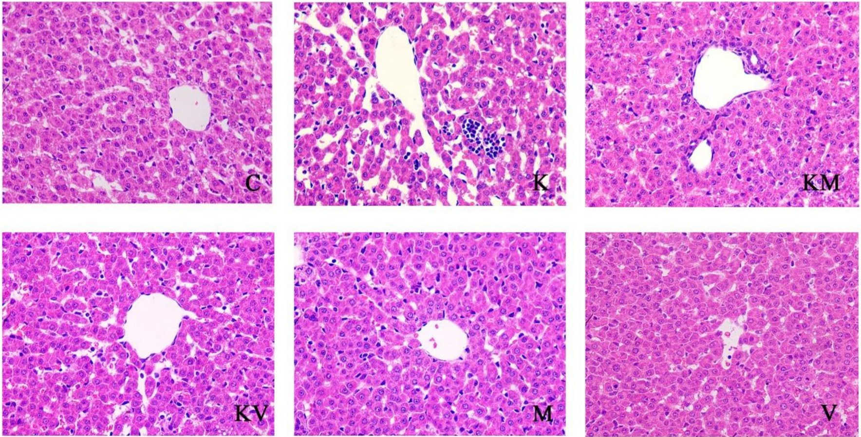
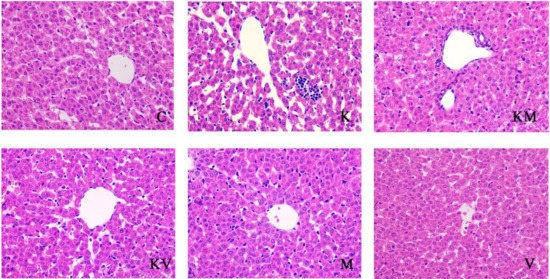
2.2. Effects of MCC950 and VX765 Ketamine on Histopathological Changes in Rats
2.3. Effects of MCC950 and VX765 on Inflammatory Cytokines in Rats
2.4. Effects of MCC950 and VX765 on NLRP3/Caspase-1 Pathway in Rats
3. Discussion
4. Materials and Methods
4.1. Animals and Drugs Treatment
4.2. Liver Function Assay
4.3. Histopathological Examination
4.4. Enzyme-Linked Immunosorbent Assay (ELISA)
4.5. Immunohistochemistry (IHC) Staining
4.6. Western Blotting Analysis
4.7. Statistical Analysis
5. Conclusions
Author Contributions
Funding
Institutional Review Board Statement
Informed Consent Statement
Data Availability Statement
Conflicts of Interest
References
- Morgan, C.; Curran, H. Ketamine use: A review. Addiction 2012, 107, 27–38. [Google Scholar] [CrossRef]
- Gerb, S.A.; Cook, J.E.; Gochenauer, A.E.; Young, C.S.; Fulton, L.K.; Grady, A.W.; Freeman, K.B. Ketamine Tolerance in Sprague-Dawley Rats after Chronic Administration of Ketamine, Morphine, or Cocaine. Comp. Med. 2019, 69, 29–34. [Google Scholar] [CrossRef] [PubMed]
- Newcomer, J.W.; Farber, N.B.; Jevtovic-Todorovic, V.; Selke, G.; Melson, A.K.; Hershey, T.; Craft, S.; Olney, J.W. Ketamine-induced NMDA receptor hypofunction as a model of memory impairment and psychosis. Neuropsychopharmacol 1999, 20, 106–118. [Google Scholar] [CrossRef]
- Yoshizawa, K.; Mori, T.; Ueno, T.; Nishiwaki, M.; Shibasaki, M.; Shimizu, N.; Narita, M.; Suzuki, T. Involvement of serotonin receptor mechanisms in the discriminative stimulus effects of ketamine in rats. J. Pharmacol. Sci. 2013, 121, 237–241. [Google Scholar] [CrossRef]
- Bell, R.F. Ketamine for chronic noncancer pain: Concerns regarding toxicity. Curr. Opin. Support. Palliat. Care 2012, 6, 183–187. [Google Scholar] [CrossRef] [PubMed]
- Blunnie, W.P.; Zacharias, M.; Dundee, J.W.; Doggart, J.R.; Moore, J.; McIlroy, P.D. Liver enzyme studies with continuous intravenous anaesthesia. Anaesthesia 1981, 36, 152–156. [Google Scholar] [CrossRef]
- Dundee, J.W.; Fee, J.P.; Moore, J.; McIlroy, P.D.; Wilson, D.B. Changes in serum enzyme levels following ketamine infusions. Anaesthesia 1980, 35, 12–16. [Google Scholar] [CrossRef]
- González Gil, A.; Illera, J.C.; Silván, G.; Lorenzo, P.L.; Illera, M. Changes in hepatic and renal enzyme concentrations and heart and respiratory rates in new zealand white rabbits after anesthetic treatments. Contemp. Top. Lab. Anim. Sci. 2002, 41, 30–32. [Google Scholar]
- Thompson, J.S.; Brown, S.A.; Khurdayan, V.; Zeynalzadedan, A.; Sullivan, P.G.; Scheff, S.W. Early effects of tribromoethanol, ketamine/xylazine, pentobarbitol, and isoflurane anesthesia on hepatic and lymphoid tissue in ICR mice. Comp. Med. 2002, 52, 63–67. [Google Scholar]
- Meng, C.; Yao, X.-Q.; Chang, R.-J.; Wang, S.-L.; Wang, X.; Ma, D.-Q.; Li, Q.; Wang, X.-Y. Exogenous GM1 Ganglioside Attenuates Ketamine-Induced Neurocognitive Impairment in the Developing Rat Brain. Anesth. Analg. 2020, 130, 505–517. [Google Scholar] [CrossRef]
- Petrasek, J.; Bala, S.; Csak, T.; Lippai, D.; Kodys, K.; Menashy, V.; Barrieau, M.; Min, S.-Y.; Kurt-Jones, E.A.; Szabo, G. IL-1 receptor antagonist ameliorates inflammasome-dependent alcoholic steatohepatitis in mice. J. Clin. Investig. 2012, 122, 3476–3489. [Google Scholar] [CrossRef] [PubMed]
- Mandrekar, P.; Ambade, A.; Lim, A.; Szabo, G.; Catalano, D. An essential role for monocyte chemoattractant protein-1 in alcoholic liver injury: Regulation of proinflammatory cytokines and hepatic steatosis in mice. Hepatology 2011, 54, 2185–2197. [Google Scholar] [CrossRef] [PubMed]
- Broz, P.; Dixit, V.M. Inflammasomes: Mechanism of assembly, regulation and signalling. Nat. Rev. Immunol. 2016, 16, 407–420. [Google Scholar] [CrossRef] [PubMed]
- Schroder, K.; Tschopp, J. The inflammasomes. Cell 2010, 140, 821–832. [Google Scholar] [CrossRef]
- Takeuchi, O.; Akira, S. Pattern recognition receptors and inflammation. Cell 2010, 140, 805–820. [Google Scholar] [CrossRef]
- He, Y.; Zeng, M.Y.; Yang, D.; Motro, B.; Núñez, G. NEK7 is an essential mediator of NLRP3 activation downstream of potassium efflux. Nature 2016, 530, 354–357. [Google Scholar] [CrossRef]
- McKenzie, B.A.; Mamik, M.K.; Saito, L.B.; Boghozian, R.; Monaco, M.C.; Major, E.O.; Lu, J.-Q.; Branton, W.G.; Power, C. Caspase-1 inhibition prevents glial inflammasome activation and pyroptosis in models of multiple sclerosis. Proc. Natl. Acad. Sci. USA 2018, 115, E6065–E6074. [Google Scholar] [CrossRef]
- Coll, R.C.; Robertson, A.A.B.; Chae, J.J.; Higgins, S.C.; Muñoz-Planillo, R.; Inserra, M.C.; Vetter, I.; Dungan, L.S.; Monks, B.G.; Stutz, A.; et al. A small-molecule inhibitor of the NLRP3 inflammasome for the treatment of inflammatory diseases. Nat. Med. 2015, 21, 248–255. [Google Scholar] [CrossRef]
- Coll, R.C.; Hill, J.R.; Day, C.J.; Zamoshnikova, A.; Boucher, D.; Massey, N.L.; Chitty, J.L.; Fraser, J.A.; Jennings, M.P.; Robertson, A.A.B.; et al. MCC950 directly targets the NLRP3 ATP-hydrolysis motif for inflammasome inhibition. Nat. Chem. Biol. 2019, 15, 556–559. [Google Scholar] [CrossRef]
- Wannamaker, W.; Davies, R.; Namchuk, M.; Pollard, J.; Ford, P.; Ku, G.; Decker, C.; Charifson, P.; Weber, P.; Germann, U.; et al. (S)-1-((S)-2-{[1-(4-amino-3-chloro-phenyl)-methanoyl]-amino}-3,3-dimethyl-butanoyl)-pyrrolidine-2-carboxylic acid ((2R,3S)-2-ethoxy-5-oxo-tetrahydro-furan-3-yl)-amide (VX-765), an orally available selective interleukin (IL)-converting enzyme/caspase-1 inhibitor, exhibits potent anti-inflammatory activities by inhibiting the release of IL-1beta and IL-18. J. Pharmacol. Exp. Ther. 2007, 321, 509–516. [Google Scholar] [CrossRef]
- Wong, Y.W.; Lam, L.H.; Tang, H.C.; Liang, Y.; Tan, S.; Yew, D.T. Intestinal and liver changes after chronic ketamine and ketamine plus alcohol treatment. Microsc. Res. Tech. 2012, 75, 1170–1175. [Google Scholar] [CrossRef] [PubMed]
- Venâncio, C.; Magalhães, A.; Antunes, L.; Summavielle, T. Impaired spatial memory after ketamine administration in chronic low doses. Curr. Neuropharmacol. 2011, 9, 251–255. [Google Scholar] [CrossRef] [PubMed]
- Kalkan, Y.; Tomak, Y.; Altuner, D.; Tumkaya, L.; Bostan, H.; Yilmaz, A.; Unal, D.; Kara, A.; Turan, A. Hepatic effects of ketamine administration for 2 weeks in rats. Hum. Exp. Toxicol. 2014, 33, 32–40. [Google Scholar] [CrossRef] [PubMed]
- Takahashi, K.; Nosaka, S.; Morikawa, S.; Inubushi, T. Hepatic energy metabolism during ketamine and isoflurane anaesthesia in haemorrhagic shock. Br. J. Anaesth. 1998, 80, 782–787. [Google Scholar] [CrossRef] [PubMed][Green Version]
- Sear, J.W.; McGivan, J.D. Cytotoxicity of i.v. anaesthetic agents on the isolated rat hepatocyte. Br. J. Anaesth. 1979, 51, 733–739. [Google Scholar] [CrossRef] [PubMed]
- Machado, E.F.A.; Normand, A.C.R.; Nunes, L.A.S.; Brenzikofer, R.; Macedo, D.V. Effects of different general anesthetics on serum hemolysis and hepatic and muscular glycogenolysis in rats. Braz. J. Med. Biol. Res. = Rev. Bras. De Pesqui. Med. E Biol. 2009, 42, 1035–1038. [Google Scholar] [CrossRef] [PubMed][Green Version]
- Dawson, N.; Morris, B.J.; Pratt, J.A. Subanaesthetic ketamine treatment alters prefrontal cortex connectivity with thalamus and ascending subcortical systems. Schizophr. Bull. 2013, 39, 366–377. [Google Scholar] [CrossRef] [PubMed]
- Rodrigues, S.F.; de Oliveira, M.A.; Martins, J.O.; Sannomiya, P.; de Cássia Tostes, R.; Nigro, D.; Carvalho, M.H.C.; Fortes, Z.B. Differential effects of chloral hydrate- and ketamine/xylazine-induced anesthesia by the s.c. route. Life Sci. 2006, 79, 1630–1637. [Google Scholar] [CrossRef]
- Cheng, Q.-C.; Fan, J.; Deng, X.-W.; Liu, H.-C.; Ding, H.-R.; Fang, X.; Wang, J.-W.; Chen, C.-H.; Zhang, W.-G. Dihydromyricetin ameliorates chronic liver injury by reducing pyroptosis. World J. Gastroenterol. 2020, 26, 6346–6360. [Google Scholar] [CrossRef]
- Qu, J.; Yuan, Z.; Wang, G.; Wang, X.; Li, K. The selective NLRP3 inflammasome inhibitor MCC950 alleviates cholestatic liver injury and fibrosis in mice. Int. Immunopharmacol. 2019, 70, 147–155. [Google Scholar] [CrossRef]
- Mridha, A.R.; Wree, A.; Robertson, A.A.B.; Yeh, M.M.; Johnson, C.D.; Van Rooyen, D.M.; Haczeyni, F.; Teoh, N.C.H.; Savard, C.; Ioannou, G.N.; et al. NLRP3 inflammasome blockade reduces liver inflammation and fibrosis in experimental NASH in mice. J. Hepatol. 2017, 66, 1037–1046. [Google Scholar] [CrossRef] [PubMed]
- Xu, X.-E.; Liu, L.; Wang, Y.-C.; Wang, C.-T.; Liu, X.-H. Caspase-1 inhibitor exerts brain-protective effects against sepsis-associated encephalopathy and cognitive impairments in a mouse model of sepsis. Brain Behav. Immun. 2019, 80, 859–870. [Google Scholar] [CrossRef] [PubMed]
- Robinson, M.W.; Harmon, C.; O’Farrelly, C. Liver immunology and its role in inflammation and homeostasis. Cell. Mol. Immunol. 2016, 13, 267–276. [Google Scholar] [CrossRef] [PubMed]
- Jorgensen, I.; Miao, E.A. Pyroptotic cell death defends against intracellular pathogens. Immunol. Rev. 2015, 265, 130–142. [Google Scholar] [CrossRef]
- Mangan, M.S.J.; Olhava, E.J.; Roush, W.R.; Seidel, H.M.; Glick, G.D.; Latz, E. Targeting the NLRP3 inflammasome in inflammatory diseases. Nat. Rev. Drug Discov. 2018, 17, 588–606. [Google Scholar] [CrossRef]
- Wree, A.; Eguchi, A.; McGeough, M.D.; Pena, C.A.; Johnson, C.D.; Canbay, A.; Hoffman, H.M.; Feldstein, A.E. NLRP3 inflammasome activation results in hepatocyte pyroptosis, liver inflammation, and fibrosis in mice. Hepatology 2014, 59, 898–910. [Google Scholar] [CrossRef]
- Chu, Q.; Wang, S.; Jiang, L.; Jiao, Y.; Sun, X.; Li, J.; Yang, L.; Hou, Y.; Wang, N.; Yao, X.; et al. Patulin induces pyroptosis through the autophagic-inflammasomal pathway in liver. Food Chem. Toxicol. Int. J. Publ. Br. Ind. Biol. Res. Assoc. 2021, 147, 111867. [Google Scholar] [CrossRef]
- Chen, S.; Yao, L.; Huang, P.; He, Q.; Guan, H.; Luo, Y.; Zou, Z.; Wei, S.; Peng, G.; Yan, J.; et al. Blockade of the NLRP3/Caspase-1 Axis Ameliorates Airway Neutrophilic Inflammation in a Toluene Diisocyanate-Induced Murine Asthma Model. Toxicol. Sci. 2019, 170, 462–475. [Google Scholar] [CrossRef]
- Zhang, C.; Zhu, X.; Li, L.; Ma, T.; Shi, M.; Yang, Y.; Fan, Q. A small molecule inhibitor MCC950 ameliorates kidney injury in diabetic nephropathy by inhibiting NLRP3 inflammasome activation. Diabetes Metab. Syndr. Obes. Targets Ther. 2019, 12, 1297–1309. [Google Scholar] [CrossRef]





Publisher’s Note: MDPI stays neutral with regard to jurisdictional claims in published maps and institutional affiliations. |
© 2022 by the authors. Licensee MDPI, Basel, Switzerland. This article is an open access article distributed under the terms and conditions of the Creative Commons Attribution (CC BY) license (https://creativecommons.org/licenses/by/4.0/).
Share and Cite
Chen, X.; Zhang, Z.; Shen, M.; Ma, X.; Qiu, D.; Li, S.; Gao, L. Downregulation of the NLRP3/Caspse-1 Pathway Ameliorates Ketamine-Induced Liver Injury and Inflammation in Developing Rats. Molecules 2022, 27, 2931. https://doi.org/10.3390/molecules27092931
Chen X, Zhang Z, Shen M, Ma X, Qiu D, Li S, Gao L. Downregulation of the NLRP3/Caspse-1 Pathway Ameliorates Ketamine-Induced Liver Injury and Inflammation in Developing Rats. Molecules. 2022; 27(9):2931. https://doi.org/10.3390/molecules27092931
Chicago/Turabian StyleChen, Xinzhang, Zhiheng Zhang, Meilun Shen, Xiangying Ma, Di Qiu, Siyao Li, and Li Gao. 2022. "Downregulation of the NLRP3/Caspse-1 Pathway Ameliorates Ketamine-Induced Liver Injury and Inflammation in Developing Rats" Molecules 27, no. 9: 2931. https://doi.org/10.3390/molecules27092931
APA StyleChen, X., Zhang, Z., Shen, M., Ma, X., Qiu, D., Li, S., & Gao, L. (2022). Downregulation of the NLRP3/Caspse-1 Pathway Ameliorates Ketamine-Induced Liver Injury and Inflammation in Developing Rats. Molecules, 27(9), 2931. https://doi.org/10.3390/molecules27092931
