YsHyl8A, an Alkalophilic Cold-Adapted Glycosaminoglycan Lyase Cloned from Pathogenic Yersinia sp. 298
Abstract
:1. Introduction
2. Results
2.1. Isolation and Identification of Yersinia sp. 298
2.2. Acquisition of Recombinant Sequences
2.3. Expression and Purification of YsHyl8A
2.4. Substrate Specificity of YsHyl8A
2.5. Optimal Reaction Temperature and Temperature Stability of YsHyl8A
2.6. Optimal Reaction pH and pH Stability of YsHyl8A
2.7. Effects of SDS, EDTA, and Different Metal Ions on the Activity of YsHyl8A
2.8. Effects of NaCl on the Activity of YsHyl8A
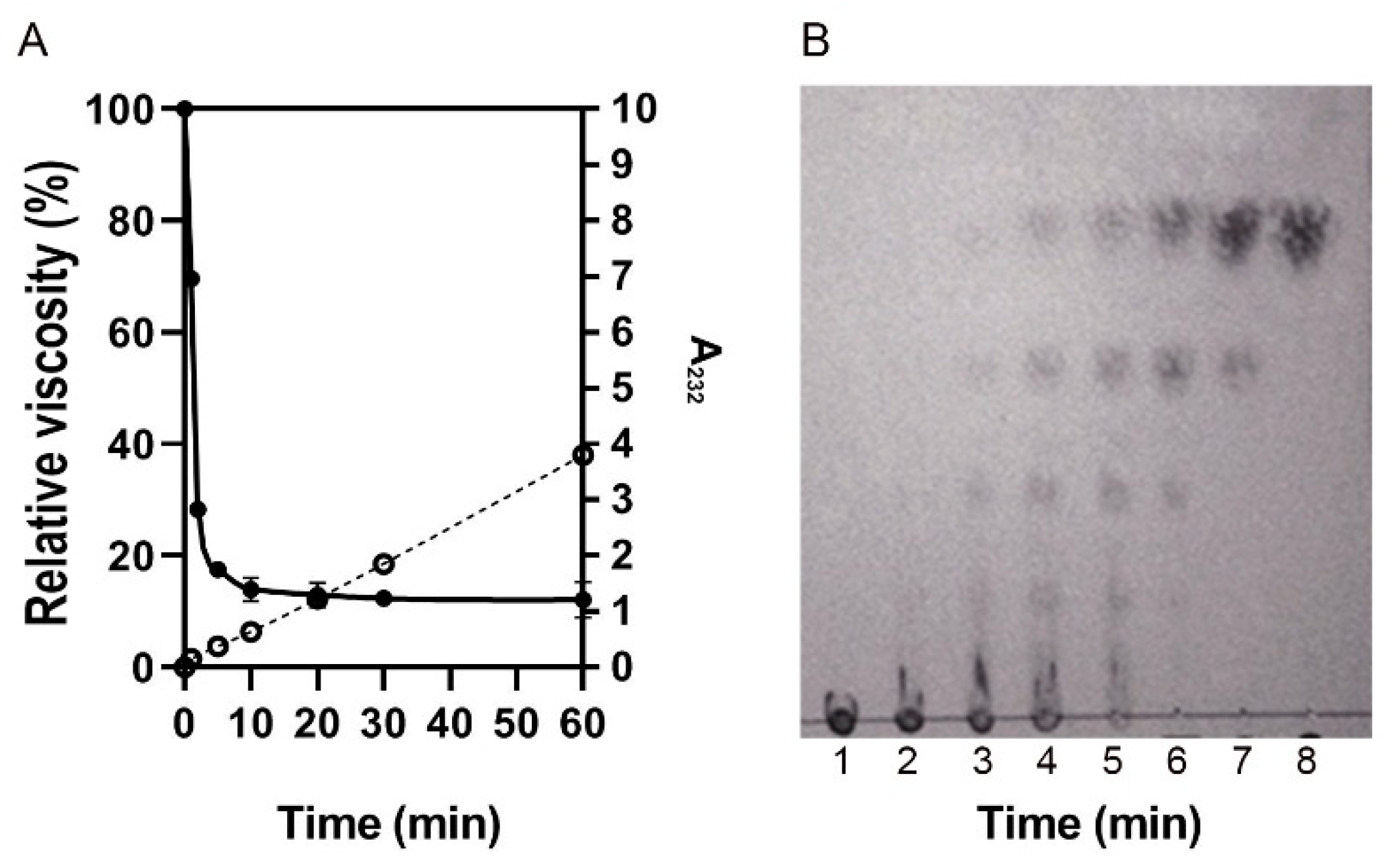
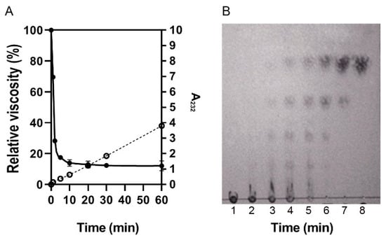
2.9. Mode of Enzymatic Degradation
2.10. MS Identification of Degradation End-Products
3. Discussion
4. Materials and Methods
4.1. Isolation and Identification of Bacteria
4.2. Enzyme Activity of YsHyl8A
4.3. YsHyl8A Sequence Analysis
4.4. Acquisition of Recombinant Gene, and Expression and Purification of Recombinant YsHyl8A
4.5. Detection of Substrate Specificity
4.6. Optimal Reaction Temperature
4.7. Temperature Stability
4.8. Optimal Reaction pH and pH Stability
4.9. Effect of NaCl on the Activity of YsHyl8A
4.10. Effects of Metal Ions and Inhibitors on the Activity of YsHyl8A
4.11. Analysis of Degradation Pattern and Degradation Products of YsHyl8A
4.12. Analysis of Degradation End-Products of YsHyl8AG
5. Conclusions
Author Contributions
Funding
Institutional Review Board Statement
Informed Consent Statement
Data Availability Statement
Conflicts of Interest
Sample Availability
References
- Helm Ii, S.; Racz, G. Hyaluronidase in Neuroplasty: A Review. Pain Physician 2019, 22, 555–560. [Google Scholar] [CrossRef] [PubMed]
- Takashima, M.; Watanabe, I. Substrate specificity of Chondroitinase ABC I based on analyses of biochemical reactions and crystal structures in complex with disaccharides. Glycobiology 2021, 31, 1571–1581. [Google Scholar] [CrossRef] [PubMed]
- Gomella, P.T.; Pohl, H.G.; Krill, A.J. Hyaluronidase to reduce a prolapsed incontinent ischemic ileovesicostomy. J. Pediatr. Urol. 2018, 14, 455–456. [Google Scholar] [CrossRef] [PubMed]
- Bradbury, E.J.; Moon, L.D.; Popat, R.J.; King, V.R.; Bennett, G.S.; Patel, P.N.; Fawcett, J.W.; McMahon, S.B. Chondroitinase ABC promotes functional recovery after spinal cord injury. Nature 2002, 416, 636–640. [Google Scholar] [CrossRef]
- Crespo, D.; Asher, R.A.; Lin, R.; Rhodes, K.E.; Fawcett, J.W. How does chondroitinase promote functional recovery in the damaged CNS? Exp. Neurol. 2007, 206, 159–171. [Google Scholar] [CrossRef]
- Gause Ii, T.M.; Sivak, W.N.; Marra, K.G. The role of chondroitinase as an adjuvant to peripheral nerve repair. Cells Tissues Organs 2014, 200, 59–68. [Google Scholar] [CrossRef]
- Liu, X.M.; Kang, H.Y.; Xu, J.W.; Sun, D.H. Inhibitory effect of chondroitinase ABC on ephrin A4 expression after spinal cord injury in rats. Sheng Li Xue Bao 2011, 63, 498–504. [Google Scholar]
- Girish, K.S.; Kemparaju, K. A low molecular weight isoform of hyaluronidase: Purification from Indian cobra (Naja naja) venom and partial characterization. Biochemistry 2005, 70, 708–712. [Google Scholar] [CrossRef]
- Sutti, R.; Tamascia, M.L.; Hyslop, S.; Rocha, E.S.T.A. Purification and characterization of a hyaluronidase from venom of the spider Vitalius dubius (Araneae, Theraphosidae). J. Venom. Anim. Toxins Incl. Trop. Dis. 2014, 20, 2. [Google Scholar] [CrossRef] [Green Version]
- Zamora-Alejo, K.; Moore, S.; Leatherbarrow, B.; Norris, J.H.; Lake, D.B.; Malhotra, R.; Selva, D.; Goggin, M. Optimal hyaluronidase dosage: Response. Clin. Exp. Ophthalmol. 2014, 42, 300. [Google Scholar] [CrossRef]
- Zhu, C.; Zhang, J.; Zhang, J.; Jiang, Y.; Shen, Z.; Guan, H.; Jiang, X. Purification and characterization of chondroitinase ABC from Acinetobacter sp. C26. Int. J. Biol. Macromol. 2017, 95, 80–86. [Google Scholar] [CrossRef] [PubMed]
- Wang, X.; Wei, Z.; Wu, H.; Li, Y.; Han, F.; Yu, W. Characterization of a Hyaluronic Acid Utilization Locus and Identification of Two Hyaluronate Lyases in a Marine Bacterium Vibrio alginolyticus LWW-9. Front. Microbiol. 2021, 12, 696096. [Google Scholar] [CrossRef] [PubMed]
- Gunasena, D.K.; Komrower, J.R.; MacIntyre, S. The fish pathogen Yersinia ruckeri possesses a TTS system. Adv. Exp. Med. Biol. 2003, 529, 105–107. [Google Scholar]
- Romalde, J.L.; Iteman, I.; Carniel, E. Use of pulsed field gel electrophoresis to size the chromosome of the bacterial fish pathogen Yersinia ruckeri. FEMS Microbiol. Lett. 1991, 68, 217–225. [Google Scholar] [CrossRef] [PubMed]
- Mahajan, R. Chondroitinase ABC Enzyme: A Potential Treatment Option for Spinal Cord Injury. Int. J. Appl. Basic Med. Res. 2018, 8, 203. [Google Scholar]
- Barsukov, A.K.; Kozhevnikova, O.V.; Khokhriakova, A.V. Isolation and purification of bovine testicular hyaluronidase. Prikl. Biokhim. Mikrobiol. 2003, 39, 625–629. [Google Scholar] [PubMed]
- Martinez, R.J.; Wolfe, J.B.; Nakada, H.I. Purification and properties of the enzyme chondroitinase. J. Biol. Chem. 1959, 234, 2236–2239. [Google Scholar] [CrossRef]
- Pojasek, K.; Shriver, Z.; Kiley, P.; Venkataraman, G.; Sasisekharan, R. Recombinant expression, purification, and kinetic characterization of chondroitinase AC and chondroitinase B from Flavobacterium heparinum. Biochem. Biophys. Res. Commun. 2001, 286, 343–351. [Google Scholar] [CrossRef]
- Lu, X.; Zhong, Q.; Liu, J.; Yang, F.; Lu, C.; Xiong, H.; Li, S.; Zhu, Y.; Wu, L. Efficient expression of chondroitinase ABC I for specific disaccharides detection of chondroitin sulfate. Int. J. Biol. Macromol. 2020, 143, 41–48. [Google Scholar] [CrossRef]
- Fang, Y.; Fu, X.; Xie, W.; Li, L.; Liu, Z.; Zhu, C.; Mou, H. Expression, purification and characterisation of chondroitinase AC II with glyceraldehyde-3-phosphate dehydrogenase tag and chaperone (GroEs-GroEL) from Arthrobacter sp. CS01. Int. J. Biol. Macromol. 2019, 129, 471–476. [Google Scholar] [CrossRef]
- Wang, H.; Zhang, L.; Zhang, W.; Wang, Y.; Li, J.; Du, G.; Kang, Z. Secretory expression of biologically active chondroitinase ABC I for production of chondroitin sulfate oligosaccharides. Carbohydr. Polym. 2019, 224, 115135. [Google Scholar] [CrossRef] [PubMed]
- Tkalec, A.L.; Fink, D.; Blain, F.; Zhang-Sun, G.; Laliberte, M.; Bennett, D.C.; Gu, K.; Zimmermann, J.J.; Su, H. Isolation and expression in Escherichia coli of cslA and cslB, genes coding for the chondroitin sulfate-degrading enzymes chondroitinase AC and chondroitinase B, respectively, from Flavobacterium heparinum. Appl. Environ. Microbiol. 2000, 66, 29–35. [Google Scholar] [CrossRef] [PubMed] [Green Version]
- Fang, Y.; Yang, S.; Fu, X.; Xie, W.; Li, L.; Liu, Z.; Mou, H.; Zhu, C. Expression, Purification and Characterization of Chondroitinase AC II from Marine Bacterium Arthrobacter sp. CS01. Mar. Drugs 2019, 17, 185. [Google Scholar] [CrossRef] [PubMed] [Green Version]
- Kaya, M.O.; Arslan, O.; Guler, O.O. A new affinity method for purification of bovine testicular hyaluronidase enzyme and an investigation of the effects of some compounds on this enzyme. J. Enzym. Inhib. Med. Chem. 2015, 30, 524–527. [Google Scholar] [CrossRef] [PubMed]
- Zhang, Z.; Su, H.; Wang, X.; Tang, L.; Hu, J.; Yu, W.; Han, F. Cloning and characterization of a novel chondroitinase ABC categorized into a new subfamily of polysaccharide lyase family 8. Int. J. Biol. Macromol. 2020, 164, 3762–3770. [Google Scholar] [CrossRef]
- Makarem, E.H.; Berk, R.S. Partial purification and characterization of chondroitinase from Proteus mirabilis. J. Infect. Dis. 1968, 118, 427–435. [Google Scholar] [CrossRef]
- Chen, Z.; Li, Y.; Yuan, Q. Expression, purification and thermostability of MBP-chondroitinase ABC I from Proteus vulgaris. Int. J. Biol. Macromol. 2015, 72, 6–10. [Google Scholar] [CrossRef]
- Fu, J.; Jiang, Z.; Chang, J.; Han, B.; Liu, W.; Peng, Y. Purification, characterization of Chondroitinase ABC from Sphingomonas paucimobilis and in vitro cardiocytoprotection of the enzymatically degraded CS-A. Int. J. Biol. Macromol. 2018, 115, 737–745. [Google Scholar] [CrossRef]
- Michelacci, Y.M.; Dietrich, C.P. Chondroitinase C from Flavobacterium heparinum. J. Biol. Chem. 1976, 251, 1154–1158. [Google Scholar] [CrossRef]
- Muir, E.; de Winter, F.; Verhaagen, J.; Fawcett, J. Recent advances in the therapeutic uses of chondroitinase ABC. Exp. Neurol. 2019, 321, 113032. [Google Scholar] [CrossRef]
- Cahusac, P.; Senok, S.S. Does Hyaluronidase Enhance Drug Penetration to Mechanoreceptors? Ski. Pharmacol. Physiol. 2020, 33, 253–260. [Google Scholar] [CrossRef] [PubMed]










Publisher’s Note: MDPI stays neutral with regard to jurisdictional claims in published maps and institutional affiliations. |
© 2022 by the authors. Licensee MDPI, Basel, Switzerland. This article is an open access article distributed under the terms and conditions of the Creative Commons Attribution (CC BY) license (https://creativecommons.org/licenses/by/4.0/).
Share and Cite
Zhang, S.; Li, Y.; Han, F.; Yu, W. YsHyl8A, an Alkalophilic Cold-Adapted Glycosaminoglycan Lyase Cloned from Pathogenic Yersinia sp. 298. Molecules 2022, 27, 2897. https://doi.org/10.3390/molecules27092897
Zhang S, Li Y, Han F, Yu W. YsHyl8A, an Alkalophilic Cold-Adapted Glycosaminoglycan Lyase Cloned from Pathogenic Yersinia sp. 298. Molecules. 2022; 27(9):2897. https://doi.org/10.3390/molecules27092897
Chicago/Turabian StyleZhang, Shilong, Yujiao Li, Feng Han, and Wengong Yu. 2022. "YsHyl8A, an Alkalophilic Cold-Adapted Glycosaminoglycan Lyase Cloned from Pathogenic Yersinia sp. 298" Molecules 27, no. 9: 2897. https://doi.org/10.3390/molecules27092897
APA StyleZhang, S., Li, Y., Han, F., & Yu, W. (2022). YsHyl8A, an Alkalophilic Cold-Adapted Glycosaminoglycan Lyase Cloned from Pathogenic Yersinia sp. 298. Molecules, 27(9), 2897. https://doi.org/10.3390/molecules27092897

