Nano-PSO Administration Attenuates Cognitive and Neuronal Deficits Resulting from Traumatic Brain Injury
Abstract
:1. Introduction
2. Results
2.1. Administration of Nano-PSO to Mice before and after TBI Prevents Their Cognitive Deterioration
2.2. Nano-PSO Treatment Prevents Neuronal Death in TBI Mice
2.3. Administration of Nano-PSO Reduces Inflammation Caused by TBI
2.4. Nano-PSO Restores COX IV1 Activity following TB1
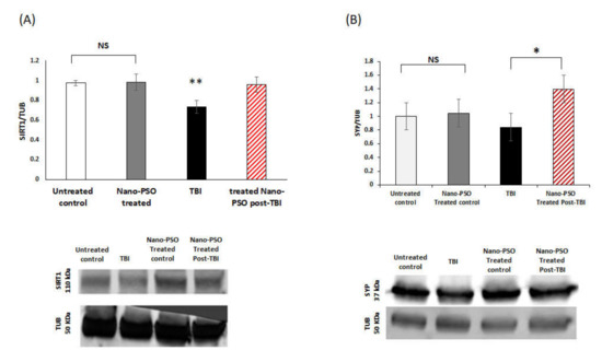
2.5. Nano-PSO Elevates SIRT1 and SYP Levels Post-TBI
3. Discussion
4. Materials and Methods
4.1. Animals Use in Experiments
4.1.1. Nano-PSO
4.1.2. Administration of Nano-PSO to Mice
4.1.3. Traumatic Brain Injury Model
4.1.4. Experimental Procedure
4.2. Behavioral Tests of Cognitive Function
4.2.1. Novel Object Recognition
4.2.2. Y-Maze
4.2.3. Immunohistochemical Studies
4.2.4. Western Blot Analysis
4.2.5. Data Analysis
Author Contributions
Funding
Institutional Review Board Statement
Informed Consent Statement
Data Availability Statement
Conflicts of Interest
Sample Availability
References
- Hyder, A.A.; Wunderlich, C.A.; Puvanachandra, P.; Gururaj, G.; Kobusingye, O.C. The impact of traumatic brain injuries: A global perspective. NeuroRehabilitation 2007, 22, 341–353. [Google Scholar] [CrossRef] [PubMed] [Green Version]
 - Bruns, J.; Hauser, W.A. The Epidemiology of Traumatic Brain Injury: A Review. Epilepsia 2003, 44, 2–10. [Google Scholar] [CrossRef] [PubMed]
 - Moppett, I.K. Traumatic brain injury: Assessment, resuscitation and early management. Br. J. Anaesth. 2007, 99, 18–31. [Google Scholar] [CrossRef] [Green Version]
 - Stocchetti, N.; Zanier, E.R. Chronic impact of traumatic brain injury on outcome and quality of life: A narrative review. Crit. Care 2016, 20, 148. [Google Scholar] [CrossRef] [Green Version]
 - Sauerbeck, A.D.; Fanizzi, C.; Kim, J.H.; Gangolli, M.; Bayly, P.V.; Wellington, C.L.; Brody, D.L.; Kummer, T.T. ModCHIMERA: A novel murine closed-head model of moderate traumatic brain injury. Sci. Rep. 2018, 8, 7677. [Google Scholar] [CrossRef]
 - Fleminger, S. Head injury as a risk factor for Alzheimer’s disease: The evidence 10 years on a partial replication. J. Neurol. Neurosurg. Psychiatry 2003, 74, 857–862. [Google Scholar] [CrossRef]
 - Goldman, S.M.; Tanner, C.M.; Oakes, D.; Bhudhikanok, G.S.; Gupta, A.; Langston, J.W. Head injury and Parkinson’s disease risk in twins. Ann. Neurol. 2006, 60, 65–72. [Google Scholar] [CrossRef]
 - Tweedie, D.; Rachmany, L.; Rubovitch, V.; Zhang, Y.; Becker, K.G.; Perez, E.; Hoffer, B.J.; Pick, C.G.; Greig, N.H. Changes in mouse cognition and hippocampal gene expression observed in a mild physical- and blast-traumatic brain injury. Neurobiol. Dis. 2013, 54, 1. [Google Scholar] [CrossRef] [Green Version]
 - Costa, V.; Scorrano, L. Shaping the role of mitochondria in the pathogenesis of Huntington’s disease. EMBO J. 2012, 31, 1853–1864. [Google Scholar] [CrossRef] [Green Version]
 - Shi, P.; Wei, Y.; Zhang, J.; Gal, J.; Zhu, H. Mitochondrial Dysfunction is a Converging Point of Multiple Pathological Pathways in Amyotrophic Lateral Sclerosis. J. Alzheimer’s Dis. 2010, 20, S311–S324. [Google Scholar] [CrossRef] [Green Version]
 - Cabezas-Opazo, F.A.; Vergara-Pulgar, K.; Pérez, M.J.; Jara, C.; Osorio-Fuentealba, C.; Quintanilla, R.A. Mitochondrial Dysfunction Contributes to the Pathogenesis of Alzheimer&rsquos Disease. Oxidative Med. Cell. Longev. 2015, 2015, 509654. [Google Scholar] [CrossRef] [Green Version]
 - Bose, A.; Beal, M.F. Mitochondrial dysfunction in Parkinson’s disease. J. Neurochem. 2016, 139, 216–231. [Google Scholar] [CrossRef] [PubMed]
 - Abdul-Muneer, P.M.; Chandra, N.; Haorah, J. Interactions of Oxidative Stress and Neurovascular Inflammation in the Pathogenesis of Traumatic Brain Injury. Mol. Neurobiol. 2015, 51, 966–979. [Google Scholar] [CrossRef]
 - Hiebert, J.B.; Shen, Q.; Thimmesch, A.R.; Pierce, J.D. Traumatic Brain Injury and Mitochondrial Dysfunction. Am. J. Med Sci. 2015, 350, 132–138. [Google Scholar] [CrossRef]
 - Gabbita, S.P.; Lovell, M.A.; Markesbery, W.R. Increased Nuclear DNA Oxidation in the Brain in Alzheimer’s Disease. J. Neurochem. 2002, 71, 2034–2040. [Google Scholar] [CrossRef] [PubMed] [Green Version]
 - Butterfield, D.A.; Castegna, A.; Lauderback, C.M.; Drake, J. Evidence that amyloid beta-peptide-induced lipid peroxidation and its sequelae in Alzheimer’s disease brain contribute to neuronal death. Neurobiol. Aging 2002, 23, 655–664. [Google Scholar] [CrossRef]
 - Selley, M.L. The effect of increased concentrations of homocysteine on the concentration of (E)-4-hydroxy-2-nonenal in the plasma and cerebrospinal fluid of patients with Alzheimer’s disease. Neurobiol. Aging 2002, 23, 383–388. [Google Scholar] [CrossRef]
 - Neill, S.J.; Desikan, R.; Clarke, A.; Hurst, R.; Hancock, J.T. Hydrogen peroxide and nitric oxide as signalling molecules in plants. J. Exp. Bot. 2002, 53, 1237–1247. [Google Scholar] [CrossRef] [PubMed]
 - Arlt, S.; Beisiegel, U.; Kontush, A. Lipid peroxidation in neurodegeneration: New insights into Alzheimerʼs disease. Curr. Opin. Lipidol. 2002, 13, 289–294. [Google Scholar] [CrossRef]
 - Binyamin, O.; Larush, L.; Frid, K.; Keller, G.; Friedman-Levi, Y.; Ovadia, H.; Abramsky, O.; Magdassi, S.; Gabizon, R. Treatment of a multiple sclerosis animal model by a novel nanodrop formulation of a natural antioxidant. Int. J. Nanomed. 2015, 10, 7165–7174. [Google Scholar] [CrossRef] [PubMed] [Green Version]
 - Binyamin, O.; Keller, G.; Frid, K.; Larush, L.; Magdassi, S.; Gabizon, R. Continues administration of Nano-PSO significantly increased survival of genetic CJD mice. Neurobiol. Dis. 2017, 108, 140–147. [Google Scholar] [CrossRef]
 - Friedman-Levi, Y.; Meiner, Z.; Canello, T.; Frid, K.; Kovacs, G.G.; Budka, H.; Avrahami, D.; Gabizon, R. Fatal Prion Disease in a Mouse Model of Genetic E200K Creutzfeldt-Jakob Disease. PLoS Pathog. 2011, 7, e1002350. [Google Scholar] [CrossRef] [PubMed] [Green Version]
 - Petrou, P.; Kassis, I.; Levin, N.; Paul, F.; Backner, Y.; Benoliel, T.; Oertel, F.C.; Scheel, M.; Hallimi, M.; Yaghmour, N.; et al. Beneficial effects of autologous mesenchymal stem cell transplantation in active progressive multiple sclerosis. Brain 2020, 143, 3574–3588. [Google Scholar] [CrossRef] [PubMed]
 - Arnold, S. Cytochrome c Oxidase and Its Role in Neurodegeneration and Neuroprotection. Adv. Exp. Med. Biol. 2012, 748, 305–339. [Google Scholar] [CrossRef] [PubMed]
 - Baratz, R.; Tweedie, D.; Wang, J.-Y.; Rubovitch, V.; Luo, W.; Hoffer, B.J.; Greig, N.H.; Pick, C.G. Transiently lowering tumor necrosis factor-α synthesis ameliorates neuronal cell loss and cognitive impairments induced by minimal traumatic brain injury in mice. J. Neuroinflammation 2015, 12, 1–45. [Google Scholar] [CrossRef] [PubMed] [Green Version]
 - Baratz, R.; Rubovitch, V.; Frenk, H.; Pick, C.G. The Influence of Alcohol on Behavioral Recovery after mTBI in Mice. J. Neurotrauma 2010, 27, 555–563. [Google Scholar] [CrossRef]
 - Bader, M.; Li, Y.; Tweedie, D.; Shlobin, N.A.; Bernstein, A.; Rubovitch, V.; Tovar-Y-Romo, L.B.; DiMarchi, R.D.; Hoffer, B.J.; Greig, N.H.; et al. Neuroprotective Effects and Treatment Potential of Incretin Mimetics in a Murine Model of Mild Traumatic Brain Injury. Front. Cell Dev. Biol. 2020, 7, 356. [Google Scholar] [CrossRef] [Green Version]
 - Yang, Z.; Wang, K.K. Glial fibrillary acidic protein: From intermediate filament assembly and gliosis to neurobiomarker. Trends Neurosci. 2015, 38, 364–374. [Google Scholar] [CrossRef] [Green Version]
 - Corps, K.N.; Roth, T.; Mcgavern, D.B. Inflammation and Neuroprotection in Traumatic Brain Injury. JAMA Neurol. 2015, 72, 355–362. [Google Scholar] [CrossRef] [Green Version]
 - Keller, G.; Binyamin, O.; Frid, K.; Saada, A.; Gabizon, R. Mitochondrial dysfunction in preclinical genetic prion disease: A target for preventive treatment? Neurobiol. Dis. 2019, 124, 57–66. [Google Scholar] [CrossRef] [PubMed]
 - Binyamin, O.; Nitzan, K.; Frid, K.; Ungar, Y.; Rosenmann, H.; Gabizon, R. Brain targeting of 9c,11t-Conjugated Linoleic Acid, a natural calpain inhibitor, preserves memory and reduces Aβ and P25 accumulation in 5XFAD mice. Sci. Rep. 2019, 9, 18437. [Google Scholar] [CrossRef] [PubMed] [Green Version]
 - Rubovitch, V.; Pharayra, A.; Har-Even, M.; Dvir, O.; Mattson, M.P.; Pick, C.G. Dietary Energy Restriction Ameliorates Cognitive Impairment in a Mouse Model of Traumatic Brain Injury. J. Mol. Neurosci. 2019, 67, 613–621. [Google Scholar] [CrossRef] [PubMed]
 - Khatri, N.; Thakur, M.; Pareek, V.; Kumar, S.; Sharma, S.; Datusalia, A.K. Oxidative Stress: Major Threat in Traumatic Brain Injury. CNS Neurol. Disord. Drug Targets 2018, 17, 689–695. [Google Scholar] [CrossRef]
 - Maas, A.I.R.; Stocchetti, N.; Bullock, R. Moderate and severe traumatic brain injury in adults. Lancet Neurol. 2008, 7, 728–741. [Google Scholar] [CrossRef]
 - Choe, M.C. The Pathophysiology of Concussion. Curr. Pain Headache Rep. 2016, 20, 42. [Google Scholar] [CrossRef]
 - Mizrahi, M.; Friedman-Levi, Y.; Larush, L.; Frid, K.; Binyamin, O.; Dori, D.; Fainstein, N.; Ovadia, H.; Ben-Hur, T.; Magdassi, S.; et al. Pomegranate seed oil nanoemulsions for the prevention and treatment of neurodegenerative diseases: The case of genetic CJD. Nanomed. Nanotechnol. Biol. Med. 2014, 10, 1353–1363. [Google Scholar] [CrossRef] [PubMed]
 - Tashlykov, V.; Katz, Y.; Gazit, V.; Zohar, O.; Schreiber, S.; Pick, C.G. Apoptotic changes in the cortex and hippocampus following minimal brain trauma in mice. Brain Res. 2007, 1130, 197–205. [Google Scholar] [CrossRef]
 - Israelsson, C.; Wang, Y.; Kylberg, A.; Pick, C.G.; Hoffer, B.J.; Ebendal, T. Closed Head Injury in a Mouse Model Results in Molecular Changes Indicating Inflammatory Responses. J. Neurotrauma 2009, 26, 1307–1314. [Google Scholar] [CrossRef] [Green Version]
 - Rubovitch, V.; Edut, S.; Sarfstein, R.; Werner, H.; Pick, C.G. The intricate involvement of the Insulin-like growth factor receptor signaling in mild traumatic brain injury in mice. Neurobiol. Dis. 2010, 38, 299–303. [Google Scholar] [CrossRef]
 - Lecca, D.; Bader, M.; Tweedie, D.; Hoffman, A.F.; Jung, Y.J.; Hsueh, S.-C.; Hoffer, B.J.; Becker, R.E.; Pick, C.G.; Lupica, C.R.; et al. (−)-Phenserine and the prevention of pre-programmed cell death and neuroinflammation in mild traumatic brain injury and Alzheimer’s disease challenged mice. Neurobiol. Dis. 2019, 130, 104528. [Google Scholar] [CrossRef]
 - Walker, K.R.; Tesco, G. Molecular mechanisms of cognitive dysfunction following traumatic brain injury. Front. Aging Neurosci. 2013, 5, 29. [Google Scholar] [CrossRef] [PubMed] [Green Version]
 - Zuloaga, K.L.; Zhang, W.; Yeiser, L.A.; Stewart, B.; Kukino, A.; Nie, X.; Roese, N.E.; Grafe, M.R.; Pike, M.M.; Raber, J.; et al. Neurobehavioral and Imaging Correlates of Hippocampal Atrophy in a Mouse Model of Vascular Cognitive Impairment. Transl. Stroke Res. 2015, 6, 390–398. [Google Scholar] [CrossRef] [PubMed] [Green Version]
 - Hasadsri, L.; Wang, B.H.; Lee, J.V.; Erdman, J.W.; Llano, D.A.; Barbey, A.K.; Wszalek, T.; Sharrock, M.F.; Wang, H. Omega-3 Fatty Acids as a Putative Treatment for Traumatic Brain Injury. J. Neurotrauma 2013, 30, 897–906. [Google Scholar] [CrossRef] [Green Version]
 - Bazan, N.G. Cell survival matters: Docosahexaenoic acid signaling, neuroprotection and photoreceptors. Trends Neurosci. 2006, 29, 263–271. [Google Scholar] [CrossRef] [PubMed]
 - Pu, H.; Jiang, X.; Wei, Z.; Hong, D.; Hassan, S.; Zhang, W.; Liu, J.; Meng, H.; Shi, Y.; Chen, L.; et al. Repetitive and Prolonged Omega-3 Fatty Acid Treatment after Traumatic Brain Injury Enhances Long-Term Tissue Restoration and Cognitive Recovery. Cell Transplant. 2017, 26, 555–569. [Google Scholar] [CrossRef] [PubMed]
 - Chen, X.; Pan, Z.; Fang, Z.; Lin, W.; Wu, S.; Yang, F.; Li, Y.; Fu, H.; Gao, H.; Li, S. Omega-3 polyunsaturated fatty acid attenuates traumatic brain injury-induced neuronal apoptosis by inducing autophagy through the upregulation of SIRT1-mediated deacetylation of Beclin-1. J. Neuroinflammation 2018, 15, 310. [Google Scholar] [CrossRef]
 - Hattori, N.; Mizuno, Y. Mitochondrial dysfunction in Parkinson’s disease. Nippon. Rinsho. Jpn. J. Clin. Med. 2002, 60, 406–411; Korean Society for Brain and Neural Science. [Google Scholar] [CrossRef]
 - Fischer, T. Mitochondrial Fission after Traumatic Brain Injury. Ph.D. Thesis, The University of Texas MD Anderson Cancer Center UTHealth Graduate School of Biomedical Sciences Dissertations and Theses, Austin, TX, USA, 2021. Available online: https://digitalcommons.library.tmc.edu/utgsbs_dissertations/807 (accessed on 27 April 2021).
 - Horvat, S.; Beyer, C.; Arnold, S. Effect of hypoxia on the transcription pattern of subunit isoforms and the kinetics of cytochrome coxidase in cortical astrocytes and cerebellar neurons. J. Neurochem. 2006, 99, 937–951. [Google Scholar] [CrossRef]
 - Binyamin, O.; Frid, K.; Keller, G.; Saada, A.; Gabizon, R. Comparing anti-aging hallmark activities of Metformin and Nano-PSO in a mouse model of genetic Creutzfeldt-Jakob Disease. Neurobiol. Aging 2021, 110, 77–87. [Google Scholar] [CrossRef]
 - Li, K.; Lv, G.; Pan, L. Sirt1 alleviates LPS induced inflammation of periodontal ligament fibroblasts via downregulation of TLR4. Int. J. Biol. Macromol. 2018, 119, 249–254. [Google Scholar] [CrossRef]
 - Ran, M.; Li, Z.; Yang, L.; Tong, L.; Zhang, L.; Dong, H. Calorie restriction attenuates cerebral ischemic injury via increasing SIRT1 synthesis in the rat. Brain Res. 2015, 1610, 61–68. [Google Scholar] [CrossRef] [PubMed]
 - Ingram, D.; Young, J.; Mattison, J. Calorie restriction in nonhuman primates: Assessing effects on brain and behavioral aging. Neuroscience 2007, 145, 1359–1364. [Google Scholar] [CrossRef] [PubMed]
 - Guarente, L. Calorie restriction and sirtuins revisited. Genes Dev. 2013, 27, 2072–2085. [Google Scholar] [CrossRef] [PubMed] [Green Version]
 - Godoy, J.A.; Zolezzi, J.M.; Braidy, N.; Inestrosa, N.C. Role of Sirt1 During the Ageing Process: Relevance to Protection of Synapses in the Brain. Mol. Neurobiol. 2014, 50, 744–756. [Google Scholar] [CrossRef] [PubMed]
 - Gao, J.; Wang, W.-Y.; Mao, Y.W.; Gräff, J.; Guan, J.-S.; Pan, L.; Mak, G.; Kim, D.; Su, S.C.; Tsai, L.-H. A novel pathway regulates memory and plasticity via SIRT1 and miR-134. Nature 2010, 466, 1105. [Google Scholar] [CrossRef] [PubMed] [Green Version]
 - Michán, S.; Li, Y.; Chou, M.M.-H.; Parrella, E.; Ge, H.; Long, J.M.; Allard, J.S.; Lewis, K.; Miller, M.; Xu, W.; et al. SIRT1 Is Essential for Normal Cognitive Function and Synaptic Plasticity. J. Neurosci. 2010, 30, 9695–9707. [Google Scholar] [CrossRef] [Green Version]
 - Thompson, S.N.; Gibson, T.R.; Thompson, B.M.; Deng, Y.; Hall, E.D. Relationship of calpain-mediated proteolysis to the expression of axonal and synaptic plasticity markers following traumatic brain injury in mice. Exp. Neurol. 2006, 201, 253–265. [Google Scholar] [CrossRef]
 - Shojo, H.; Kibayashi, K. Changes in localization of synaptophysin following fluid percussion injury in the rat brain. Brain Res. 2006, 1078, 198–211. [Google Scholar] [CrossRef]
 - Lu, D.; Goussev, A.; Chen, J.; Pannu, P.; Li, Y.; Mahmood, A.; Chopp, M. Atorvastatin Reduces Neurological Deficit and Increases Synaptogenesis, Angiogenesis, and Neuronal Survival in Rats Subjected to Traumatic Brain Injury. J. Neurotrauma 2004, 21, 21–32. [Google Scholar] [CrossRef]
 - Gu, Y.L.; Zhang, L.W.; Ma, N.; Ye, L.L.; Wang, D.X.; Gao, X. Cognitive improvement of mice induced by exercise prior to traumatic brain injury is associated with cytochrome c oxidase. Neurosci. Lett. 2014, 570, 86–91. [Google Scholar] [CrossRef]
 - Rachmany, L.; Tweedie, D.; Rubovitch, V.; Li, Y.; Holloway, H.W.; Kim, D.S.; Ratliff, W.A.; Saykally, J.N.; Citron, B.A.; Hoffer, B.J.; et al. Exendin-4 attenuates blast traumatic brain injury induced cognitive impairments, losses of synaptophysin and in vitro TBI-induced hippocampal cellular degeneration. Sci. Rep. 2017, 7, 3735. [Google Scholar] [CrossRef] [Green Version]
 - Tweedie, D.; Ferguson, R.A.; Fishman, K.; Frankola, K.A.; Van Praag, H.; Holloway, H.W.; Luo, W.; Li, Y.; Caracciolo, L.; Russo, I.; et al. Tumor necrosis factor-α synthesis inhibitor 3,6′-dithiothalidomide attenuates markers of inflammation, Alzheimer pathology and behavioral deficits in animal models of neuroinflammation and Alzheimer’s disease. J. Neuroinflammation 2012, 9, 106. [Google Scholar] [CrossRef] [PubMed]
 - Morse, D.C.; Plug, A.; Wesseling, W.; Berg, K.J.V.D.; Brouwer, A. Persistent Alterations in Regional Brain Glial Fibrillary Acidic Protein and Synaptophysin Levels Following Pre- and Postnatal Polychlorinated Biphenyl Exposure. Toxicol. Appl. Pharmacol. 1996, 139, 252–261. [Google Scholar] [CrossRef] [PubMed]
 - Ciccone, L.; Vandooren, J.; Nencetti, S.; Orlandini, E. Natural Marine and Terrestrial Compounds as Modulators of Matrix Metalloproteinases-2 (MMP-2) and MMP-9 in Alzheimer’s Disease. Pharmaceuticals 2021, 14, 86. [Google Scholar] [CrossRef] [PubMed]
 - Milman, A.; Rosenberg, A.; Weizman, R.; Pick, C.G. Mild Traumatic Brain Injury Induces Persistent Cognitive Deficits and Behavioral Disturbances in Mice. J. Neurotrauma 2005, 22, 1003–1010. [Google Scholar] [CrossRef] [PubMed]
 - Zohar, O.; Schreiber, S.; Getslev, V.; Schwartz, J.; Mullins, P.; Pick, C. Closed-head minimal traumatic brain injury produces long-term cognitive deficits in mice. Neuroscience 2003, 118, 949–955. [Google Scholar] [CrossRef]
 - Edut, S.; Rubovitch, V.; Schreiber, S.; Pick, C.G. The intriguing effects of ecstasy (MDMA) on cognitive function in mice subjected to a minimal traumatic brain injury (mTBI). Psychopharmacology 2011, 214, 877–889. [Google Scholar] [CrossRef]
 - Dix, S.L.; Aggleton, J. Extending the spontaneous preference test of recognition: Evidence of object-location and object-context recognition. Behav. Brain Res. 1999, 99, 191–200. [Google Scholar] [CrossRef]
 








Publisher’s Note: MDPI stays neutral with regard to jurisdictional claims in published maps and institutional affiliations.  | 
© 2022 by the authors. Licensee MDPI, Basel, Switzerland. This article is an open access article distributed under the terms and conditions of the Creative Commons Attribution (CC BY) license (https://creativecommons.org/licenses/by/4.0/).
Share and Cite
Qubty, D.; Frid, K.; Har-Even, M.; Rubovitch, V.; Gabizon, R.; Pick, C.G. Nano-PSO Administration Attenuates Cognitive and Neuronal Deficits Resulting from Traumatic Brain Injury. Molecules 2022, 27, 2725. https://doi.org/10.3390/molecules27092725
Qubty D, Frid K, Har-Even M, Rubovitch V, Gabizon R, Pick CG. Nano-PSO Administration Attenuates Cognitive and Neuronal Deficits Resulting from Traumatic Brain Injury. Molecules. 2022; 27(9):2725. https://doi.org/10.3390/molecules27092725
Chicago/Turabian StyleQubty, Doaa, Kati Frid, Meirav Har-Even, Vardit Rubovitch, Ruth Gabizon, and Chaim G Pick. 2022. "Nano-PSO Administration Attenuates Cognitive and Neuronal Deficits Resulting from Traumatic Brain Injury" Molecules 27, no. 9: 2725. https://doi.org/10.3390/molecules27092725
APA StyleQubty, D., Frid, K., Har-Even, M., Rubovitch, V., Gabizon, R., & Pick, C. G. (2022). Nano-PSO Administration Attenuates Cognitive and Neuronal Deficits Resulting from Traumatic Brain Injury. Molecules, 27(9), 2725. https://doi.org/10.3390/molecules27092725
        
                                                
