Biochemical, Kinetic and Biological Properties of Group V Phospholipase A2 from Dromedary
Abstract
1. Introduction
2. Results
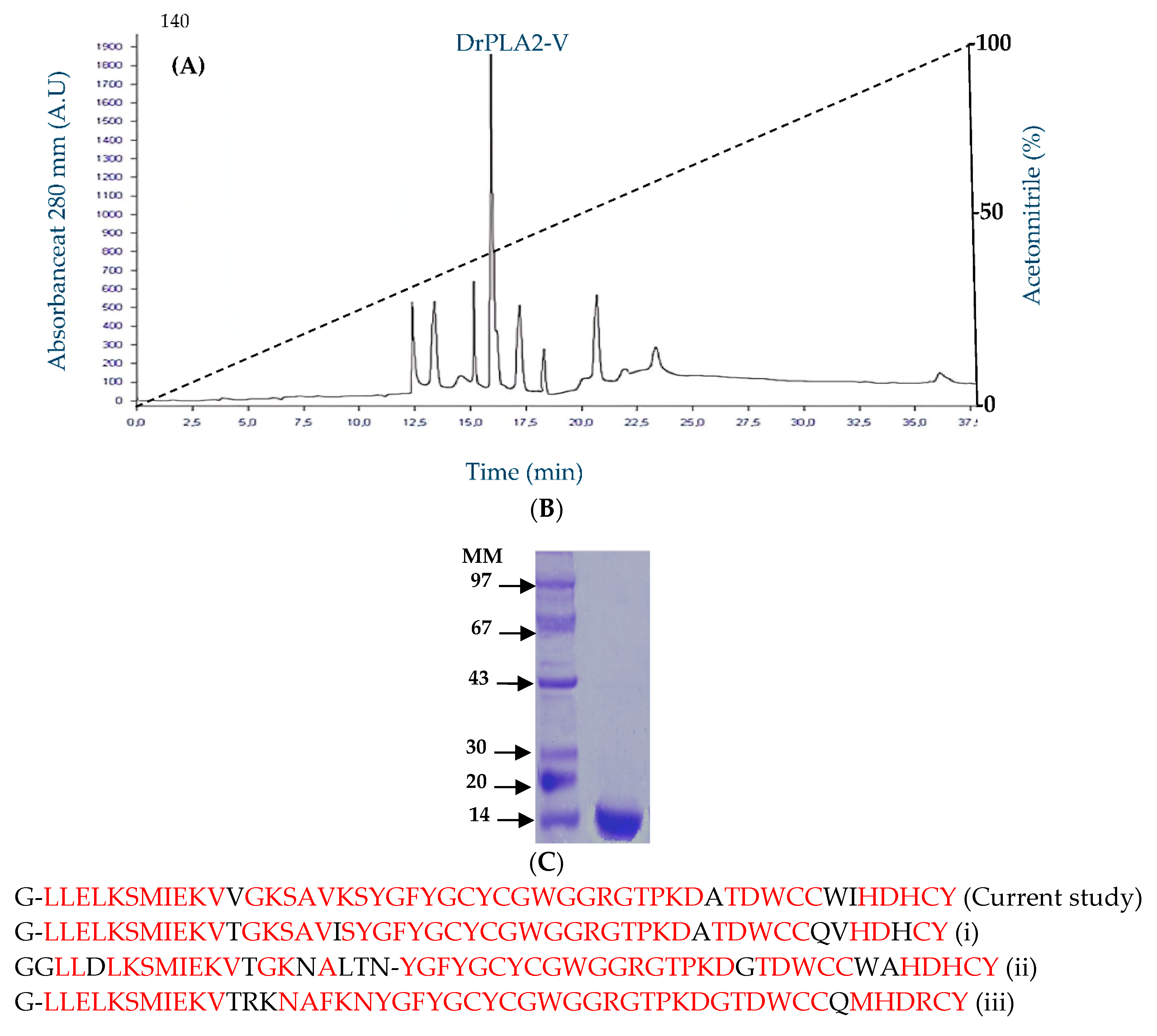
2.1. Biochemical Properties of DrPLA2-V
2.2. Kinetic Parameters Determination of The PLA2-V from Dromedary Using Phospholipids (PL) of Different Head Groups
2.3. Bactericidal Properties, Antifungal and Cytotoxic Effect of Dromedary PLA2-V
3. Discussion
4. Materials and Methods
4.1. Phospholipase Activity and Protein Concentration Determination
4.2. Group V DrPLA2 Purification
5. Biochemical Properties
5.1. pH and Thermal Activity and Stability of DrPLA2
5.2. Effect of Metal Ions and Surfactant (NaDC/NaTDC) on DrPLA2-Vactivity
5.3. Effect of Organic Solvents on sPLA2 Stability
5.4. Kinetic Parameters
6. Antimicrobial Activity
7. Cell Culture
8. Conclusions
Author Contributions
Funding
Institutional Review Board Statement
Informed Consent Statement
Data Availability Statement
Acknowledgments
Conflicts of Interest
Sample Availability
References
- Schaloske, R.H.; Dennis, E.A. The phospholipase A2 superfamily and its group numbering system. Biochim. Biophys. Acta 2006, 1761, 1246–1259. [Google Scholar] [CrossRef] [PubMed]
- Giannattasio, G.; Lai, Y.; Granata, F.; Mounie, C.M.; Nallan, L.; Oslund, R.; Lesile, C.C.; Marone, G.; Lambeau, G.; Gelb, M.H.; et al. Expression of phospholipases A2 in primary human lung macrophages: Role of cytosolic phospholipase A2-alpha in arachidonic acid release and platelet activating factor synthesis. Biochim. Biophys Acta 2009, 1791, 92–102. [Google Scholar] [CrossRef] [PubMed]
- Bezzine, S.; Koduri, R.S.; Valentin, E.; Sadilek, M.; Lambeau, G.; Gelb, M.H. Exogenously added human group X secreted phospholipase A(2) but not the group IB, IIA, and V enzymes efficiently release arachidonic acid from adherent mammalian cells. J. Biol. Chem. 2000, 275, 3179–3191. [Google Scholar] [CrossRef] [PubMed]
- Rouault, M.; Bollinger, J.G.; Lazdunski, M.; Gelb, M.H.; Lambeau, G. Novel mammalian group XII secreted phospholipase A2 lacking enzymatic activity. Biochemistry 2003, 42, 11494–11503. [Google Scholar] [CrossRef] [PubMed]
- Valentin, E.; Ghomashchi, F.; Gelb, M.H.; Lazdunski, M.; Lambeau, G. On the diversity of secreted phospholipases A(2). Cloning, tissue distribution, and functional expression of two novel mouse group II enzymes. J Biol Chem 1999, 274, 31195–31202. [Google Scholar] [CrossRef]
- Bezzine, S.; Bollinger, J.G.; Singer, A.G.; Veatch, S.; Keller, S.L.; Gelb, M.H. On the binding preference of human groups IIA and X phospholipases A2 for membranes with anionic phospholipids. J. Biol. Chem. 2002, 277, 48523–48534. [Google Scholar] [CrossRef]
- Singer, A.; Ghomashchi, F.; Le Calvez, C.; Bollinger, J.; Bezzine, S.; Rouault, M.; Sadilek, M.; Nguyen, E.; Lazdunski, M.; Lambeau, G.; et al. Interfacial kinetic and binding properties of the complete set of human and mouse groups I, II, V, X, and XII secreted phospholipases A2. J. Biol. Chem. 2002, 277, 48535–48549. [Google Scholar] [CrossRef]
- Triggiani, M.; Granata, F.; Balestrieri, B.; Petraroli, A.; Scalia, G.; Del Vecchio, L.; Marone, G. Secretory phospholipases A2 activate selective functions in human eosinophils. J. Immunol. 2003, 170, 3279–3288. [Google Scholar] [CrossRef]
- Karray, A.; Ali, M.B.; Kharrat, N.; Gargouri, Y.; Bezzine, S. Antibacterial, antifungal and anticoagulant activities of chicken PLA2group V expressed in Pichia pastoris. Int. J. Biol. Macromol. 2018, 108, 127–134. [Google Scholar] [CrossRef]
- Chen, J.; Engle, S.J.; Seilhamer, J.J.; Tischfield, J.A. Cloning and recombinant expression of a novel human low molecular weight Ca2+-Dependent Phospholipase-A(2). J. Biol. Chem. 1994, 269, 2365–2368. [Google Scholar] [CrossRef]
- Aoubala, M.; Douchet, I.; Bezzine, S.; Hirn, M.; Verger, R.; De Caro, A. Immunological Techniques for the Characterization of Digestive Lipases. Methods Enzymol. 1997, 286, 126–149. [Google Scholar] [PubMed]
- Dennis, E.A.; Cao, J.; Hsu, Y.-H.; Magrioti, V.; Kokotos, G. Phospholipase A2 enzymes: Physical structure, biological functionisease implication, chemical inhibition, and therapeutic interventiond. Chem. Rev. 2011, 10, 6130–6185. [Google Scholar] [CrossRef] [PubMed]
- Lambeau, G.; Gelb, M.H. Biochemistry and physiology of mammalian secreted phospholipases A2. Annu. Rev. Biochem. 2008, 77, 495–520. [Google Scholar] [CrossRef] [PubMed]
- Valentin, E.; Ghomashchi, F.; Gelb, M.; Lazdunski, M.; Lambeau, G. Novel human secreted phospholipase A(2) with homology to the group III bee venom enzyme. J. Biol. Chem. 2000, 275, 7492–7496. [Google Scholar] [CrossRef]
- Nevalainen, T.J.; Graham, G.G.; Scott, K.F. Antibacterial actions of secreted phospholipases A2. Review. Biochim. Biophys. Acta 2008, 1781, 1–9. [Google Scholar] [CrossRef]
- Chabot, S.; Koumanov, K.; Lambeau, G.; Gelb, M.H.; Balloy, V.; Chignard, M.; Whitsett, J.A.; Touqui, L. Inhibitory effects of surfactant protein A on surfactant phospholipid hydrolysis by secreted phospholipases A2. J. Immunol. 2003, 171, 995–1000. [Google Scholar] [CrossRef]
- Balestrieri, B.; Arm, J.P. Group V sPLA2: Classical and novel functions. Biochim. Biophys. Acta 2006, 1761, 1280–1288. [Google Scholar] [CrossRef]
- Lapointe, S.; Brkovic, A.; Cloutier, I.; Tanguay, J.F.; Arm, J.P.; Sirois, M.G. Group V secreted phospholipase A2 contributes to LPS-induced leukocyte recruitment. J. Cell. Physiol. 2010, 224, 127–134. [Google Scholar]
- Masuda, S.; Murakami, M.; Mitsuishi, M.; Komiyama, K.; Ishikawa, Y.; Ishii, T.; Kudo, I. Expression of secretory phospholipase A2 enzymes in lungs of humans with pneumonia and their potential prostaglandin-synthetic function in human lung-derived cells. Biochem. J. 2005, 387 Pt 1, 27–38. [Google Scholar] [CrossRef]
- Wijkander, J.; Sundler, R. An 100-kDa arachidonate-mobilizing phospholipase A2 in mouse spleen and the macrophage cell line J774. Purification, substrate interaction and phosphorylation by protein kinase C. Eur. J. Biochem. 1991, 202, 873–880. [Google Scholar] [CrossRef]
- Ohtsuki, M.; Taketomi, Y.; Arata, S.; Masuda, S.; Ishikawa, Y.; Ishii, T.; Takanezawa, Y.; Aoki, J.; Arai, H.; Yamamoto, K.; et al. Transgenic expression of group V, but not group X, secreted phospholipase A2 in mice leads to neonatal lethality because of lung dysfunction. J. Biol. Chem. 2006, 281, 36420–36433. [Google Scholar] [CrossRef] [PubMed]
- Ben Bacha, A.; Abid, I. Secretory phospholipase A2 in dromedary tears: A host defense against staphylococci and other gram-positive bacteria. Appl. Biochem. Biotechnol. 2013, 169, 1858–1869. [Google Scholar] [CrossRef]
- Bacha, A.B.; Gargouri, Y.; Bezzine, S.; Mejdoub, H. Purification and biochemical characterization of phospholipase A2 from dromedary pancreas. Biochim. Biophys. Acta 2006, 1760, 1202–1209. [Google Scholar] [CrossRef] [PubMed]
- Karray, A.; Ali, Y.; Boujelben, J.; Amara, S.; Carrière, F.; Gargouri, Y.; Bezzine, S. Drastic changes in the tissue-specific expression of secreted phospholipases A2 in chicken pulmonary disease. Biochimie 2012, 94, 451–460. [Google Scholar] [CrossRef] [PubMed]
- de Haas, G.H.; Postema, N.M.; Nieuwenhuisen, W.; van Deenen, L.L.M. Purification and properties of phospholipase A from porcine pancreas. Biochim. Biophys. Acta 1968, 159, 103–117. [Google Scholar] [CrossRef]
- This Record Is Derived from a Genomic Sequence Annotated Using Gene Prediction Method: Gnomon. (NW_015504592.1). Available online: https://www.ncbi.nlm.nih.gov/nuccore/1016314554/ (accessed on 18 April 2022).
- Koganesawa, M.; Yamaguchi, M.; Samuchiwal, S.K.; Balestrieri, B. Lipid Profile of Activated Macrophages and Contribution of Group, V. Phospholipase A2. Biomolecules. 2020, 11, 25. [Google Scholar] [CrossRef]
- This Record Is Derived from a Genomic Sequence (NW_024080667.1 Annotated Using Gene Prediction Method: Gnomon Predicted by Automated Computational Analysis. Available online: https://www.ncbi.nlm.nih.gov/nuccore/NW_024080667.1 (accessed on 18 April 2022).
- Bacha, A.B.; Al-Daihan, S.K.; Mejdoub, H. Purification, characterization and bactericidal activities of phospholipase A₂ from the dromedary intestine. Int. J. Biol. Macromol. 2013, 57, 156–164. [Google Scholar] [CrossRef] [PubMed]
- Bougis, P.; Rochat, H.; Piéroni, G.; Verger, R. A possible orientation change of cardiotoxin molecule during its interaction with phospholipid monolayer. Toxicon 1982, 20, 187–190. [Google Scholar] [CrossRef]
- Mansbach, C.M.; Piéroni, G.; Verger, R. Intestinal phospholipase, a novel enzyme. J. Clin. Investig. 1982, 69, 368–376. [Google Scholar] [CrossRef][Green Version]
- Kramer, R.; Hession, C.; Johansen, B.; Hayes, G.; McGray, P.; Chow, E.; Tizard, R.; Pepinsky, R. Structure and properties of a human non-pancreatic phospholipase A2. J. Biol. Chem. 1989, 264, 5768–5775. [Google Scholar] [CrossRef]
- Scott, D.L.; Sigler, P.B. Structure and catalytic mechanism of secretory phospholipases A(2). In Advances in Protein Chemistry; Schumaker, V.N., Ed.; Academic Press Inc.: San Diego, CA, USA, 1994; Volume 45, pp. 53–88. [Google Scholar]
- Heitmann, P.; Ruttloff, H.B.V. Industrielle Enzyme; Wiley: Hamburg, Germany, 1994; p. 913. [Google Scholar] [CrossRef]
- Bacha, A.B.; Abid, I.; HorchanI, H.; Mejdoub, H. Enzymatic properties of stingray Dasyatis pastinaca group V, IIA and IB phospholipases A2: A comparative study. Int. J. Biol. Macromol. 2013, 62, 537–542. [Google Scholar] [CrossRef] [PubMed]
- Chen, Y.; Dennis, E. Expression and characterization of human group V phospholipase A2. Biochim. Biophys. Acta. 1998, 1394, 57–64. [Google Scholar] [CrossRef]
- Bacha, A.B. Anti-bactericidal properties of stingray Dasyatis pastinaca groups V, IIA, and IB phospholipases A2: A comparative study. Appl. Biochem. Biotechnol. 2014, 174, 1520–1534. [Google Scholar] [CrossRef] [PubMed]
- Beers, S.; Buckland, A.; Koduri, R.; Cho, W.; Gelb, M.; Wilton, D. The antibacterial properties of secreted phospholipase A2: A major physiological role for the IIA enzyme that depends on the very high pI of the enzyme to allow penetration of the bacterial cell wall. J. Biol. Chem. 2002, 277, 1788–1793. [Google Scholar] [CrossRef]
- Buckland, A.; Wilton, D. Anionic phospholipids, interfacial binding and the regulation of cell functions. Biochim. Biophys. Acta. 2000, 1483, 199–216. [Google Scholar] [CrossRef]
- Scott, D.L.; Mandel, A.M.; Sigler, P.B.; Honig, B. The electrostatic basis for the interfacial binding of secretary phospholipases A(2). Biophys. J. 1994, 67, 493–504. [Google Scholar] [CrossRef]
- Tischfield, J. A reassessment of the low molecular weight phospholipase A2 gene family in mammals. J. Biol. Chem. 1997, 272, 17247–17250. [Google Scholar] [CrossRef]
- Nyman, K.M.; Häggblom, J.O.; Nevalainen, T.J. Toxic Effects of Phospholipase A2 In Vitro, Vol 24: Phospholipase A2. Basic and Clinical Aspects in Inflammatory Diseases; Uhl, W., Nevelainen, T.J., Buchler, M.W., Eds.; Prog. Surg. Karger: Basel, Switzerland, 1997; pp. 176–181. [Google Scholar]
- Abousalham, A.; Verger, R. Egg yolk lipoproteins as substrates for lipases. Biochim. Biophys. Acta 2000, 1485, 56–62. [Google Scholar] [CrossRef]
- Bradford, M.M. A rapid and sensitive method for quantitation of microgram quantities of protein utilizing the principle of protein-dye binding. Anal. Biochem. 1976, 72, 248–254. [Google Scholar] [CrossRef]
- Laemmli, U.K. Cleavage of structural proteins during the assembly of the head of bacteriophage T4. Nature 1970, 227, 680–685. [Google Scholar] [CrossRef]
- Hewick, R.M.; Hunkapiller, M.W.; Hood, L.E.; Dreyer, W.J. A gas-liquid solid phase peptide and protein sequenator. J. Biol. Chem. 1981, 10, 7990–7997. [Google Scholar] [CrossRef]





| Purification Step | Total Activity (Units) | Protein (mg) | Specific Activity (U/mg) | Activity Recovery (%) | Purification Factor |
|---|---|---|---|---|---|
| Extraction | 300 | 2950 | 0.1 | 100 | 1 |
| Heat treatment at 70 °C for 10 min | 236 | 73.7 | 3.2 | 78.7 | 32 |
| (NH4)2SO4 Precipitation (20–65%) | 177 | 11.8 | 15 | 59 | 150 |
| RP-HPLC | 132 | 1.15 | 115 | 44 | 1150 |
| Vmax (U/mg) | Kmapp (mM) | Kcat (s−1) | Kcat/Kmapp (mM−1 s−1) | |
|---|---|---|---|---|
| PE | 115 ± 3.5 | 10.5 ± 0.7 | 26.9 ± 1.2 | 2.6 ± 0.02 |
| PC | 87 ± 2.1 | 12.7 ± 0.3 | 20.3 ± 0.7 | 1.6 ± 0.03 |
| PS | 32 ± 1.2 | 21.3 ± 1.1 | 7.5 ± 0.3 | 0.3 ± 0.01 |
| Strains | Inhibition Zone (mm) | IC50 (µg/mL) | MIC (µg/mL) | |
|---|---|---|---|---|
| Gram (+) Bacteria | DrPLA2-V | Ampicillin/ Cycloheximide | ||
| B. cereus (ATCC 14579) | 18 ± 1 | 22 ± 1 | 6 | >12 |
| B. subtilis (ATCC 6633) | 15.4 ± 0.6 | 25 ± 1 | 3.6 | >6 |
| L. monocytogenes (ATCC 19111) | 18. 7 ± 0.5 | 21 ± 10.7 | 3.2 | >6 |
| E. faecium (ATCC 19433) | 14.3 ± 1.2 | 18.5 ± 0.3 | 4.9 | >9 |
| S. pyogenes (ATCC 21059) | 12 ± 0.5 | 15.5 ± 0.2 | 6.1 | >15 |
| S. aureus(ATCC 25923) | 18 ± 0.7 | 21.5 ± 1.4 | 5.2 | >12 |
| S. epidermidis(ATCC 14990) | 15.3 ± 0.6 | 26 ± 0.5 | 3 | >9 |
| S. xylosus (ATCC 700404) | 16.9 ± 1.3 | 24 ± 1.2 | 2.9 | >6 |
| Gram (−) Bacteria | ||||
| E. coli (ATCC 25966) | - | 22.6 ± 1.5 | - | - |
| P. aeruginosa (ATCC 27853) | - | 20 ± 0.7 | - | - |
| E. aerogenes (ATCC 13048) | - | 25 ± 1.2 | - | - |
| S. enteric (ATCC 43972) | - | 19.5 ± 0.3 | - | - |
| Fungi | ||||
| A. niger | 11.2 ± 0.3 | 28 ± 0.6 | 21 ± 1.5 | >75 |
| B. cinerea | 9 ± 0.1 | 29 ± 1 | 31.7 ± 2.4 | >90 |
| F. solani | 15 ± 0.7 | 27.5 ± 0.7 | 25 ± 2.1 | >60 |
| P. digitatum | 7 ± 0.2 | 21 ± 0.5 | 35 ± 3.5 | >90 |
Publisher’s Note: MDPI stays neutral with regard to jurisdictional claims in published maps and institutional affiliations. |
© 2022 by the authors. Licensee MDPI, Basel, Switzerland. This article is an open access article distributed under the terms and conditions of the Creative Commons Attribution (CC BY) license (https://creativecommons.org/licenses/by/4.0/).
Share and Cite
Alonazi, M.; Karray, A.; Jallouli, R.; Ben Bacha, A. Biochemical, Kinetic and Biological Properties of Group V Phospholipase A2 from Dromedary. Molecules 2022, 27, 3437. https://doi.org/10.3390/molecules27113437
Alonazi M, Karray A, Jallouli R, Ben Bacha A. Biochemical, Kinetic and Biological Properties of Group V Phospholipase A2 from Dromedary. Molecules. 2022; 27(11):3437. https://doi.org/10.3390/molecules27113437
Chicago/Turabian StyleAlonazi, Mona, Aida Karray, Raida Jallouli, and Abir Ben Bacha. 2022. "Biochemical, Kinetic and Biological Properties of Group V Phospholipase A2 from Dromedary" Molecules 27, no. 11: 3437. https://doi.org/10.3390/molecules27113437
APA StyleAlonazi, M., Karray, A., Jallouli, R., & Ben Bacha, A. (2022). Biochemical, Kinetic and Biological Properties of Group V Phospholipase A2 from Dromedary. Molecules, 27(11), 3437. https://doi.org/10.3390/molecules27113437

