Nanostructure Analysis of Anodic Films Formed on Aluminum-Focusing on the Effects of Electric Field Strength and Electrolyte Anions
Abstract
1. Introduction
2. Pore Initiation Process and Porous Structure at Steady State
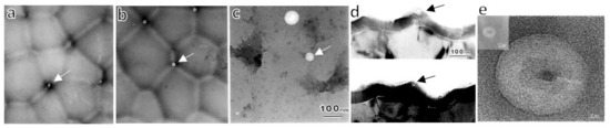
2.1. TEM Analysis of Pore Initiation Process
2.2. Schematic of Pore Generation and Growth Process
2.3. TEM Analysis of Porous Structure at a Steady State
3. Mechanism of Hot Water Sealing
3.1. Sealing of Anodic Films
3.2. TEM Analysis of Sealing Process
3.3. Sealing Mechanism
4. Cell Parameters of Anodic Films Formed in Four Typical Electrolytes
4.1. TEM Images of the Films Formed at 20 V in Four Anodizing Electrolytes
4.2. Current Density—Voltage Diagram
4.3. High Field Mechanism
4.4. Cell Parameters
4.5. Porosity
5. Incorporation Depth and Content of Electrolyte Anions
5.1. TEM Images of Horizontal Cross Sections of the Films Formed in Four Typical Electrolytes
5.2. Change in the Thickness Ratio of the Anion-Incorporated Layer with Formation Voltage
5.3. Spherical Voids at the Triple Cell Junctions
6. Dissolution Rate and Defect Content Estimated by Pore-Filling Method
7. Atypical Pore Structures in Anodic Films
7.1. Radial Nanobranching of Pores
7.2. Classification of Various Pore Structures
8. Self-Ordering Mechanism of Cell Arrangement
9. Coordination Numbers of Al in Anodic Alumina Measured by NMR
10. TG-DTA Studies: Crystallization and Desorption of Anions
11. Fabrication of α-Al2O3 Membrane with Tunable Pore Diameters
12. Conclusions
13. Patents
Funding
Data Availability Statement
Acknowledgments
Conflicts of Interest
References
- Kujirai, K.; Ueki, S. Rust Prevention Method for Aluminum and Aluminum Alloys. Japan Patent 61920, C, 3 December 1923. [Google Scholar]
- Bengouh, G.D.; Stuart, J.M. Improved Process of Protecting Surfaces of Aluminum and Aluminum Alloys. British Patent 223994, 2 August 1923. [Google Scholar]
- Lee, W.; Park, S.-J. Porous Anodic Aluminum Oxide: Anodization and Templated Synthesis of Functional Nanostructures. Chem. Rev. 2014, 114, 7487–7556. [Google Scholar] [CrossRef]
- Sopha, H.; Macak, J.M. Recent advancements in the synthesis, properties, and applications of anodic self-organized TiO2 nanotube layers. In Nanostructured Anodic Metal Oxides; Elsevier: Amsterdam, The Netherlands, 2020; pp. 173–209. ISBN 978-0-12-816706-9. [Google Scholar]
- Keller, F.; Hunter, M.S.; Robinson, D.L. Structural Features of Oxide Coatings on Aluminum. J. Electrochem. Soc. 1953, 100, 411–419. [Google Scholar] [CrossRef]
- O’Sullivan, J.P.; Wood, G.C. The morphology and mechanism of formation of porous anodic films on aluminium. Proc. R. Soc. Lond. Ser. A Math. Phys. Sci. 1970, 317, 511–543. [Google Scholar] [CrossRef]
- Masuda, H.; Fukuda, K. Ordered Metal Nanohole Arrays Made by a Two-Step Replication of Honeycomb Structures of Anodic Alumina. Science 1995, 268, 1466–1468. [Google Scholar] [CrossRef]
- Macak, J.; Tsuchiya, H.; Schmuki, P. High-Aspect-Ratio TiO2Nanotubes by Anodization of Titanium. Angew. Chem. Int. Ed. 2005, 44, 2100–2102. [Google Scholar] [CrossRef] [PubMed]
- Roy, P.; Berger, S.; Schmuki, P. TiO2 Nanotubes: Synthesis and Applications. Angew. Chem. Int. Ed. 2011, 50, 2904–2939. [Google Scholar] [CrossRef] [PubMed]
- Lee, K.; Mazare, A.; Schmuki, P. One-Dimensional Titanium Dioxide Nanomaterials: Nanotubes. Chem. Rev. 2014, 114, 9385–9454. [Google Scholar] [CrossRef]
- Sulka, G.D. Highly ordered anodic porous alumina formation by self-organized anodizing. In Nanostructured Materials in Electrochemistry; Eftekhari, A., Ed.; Wiley-VCH Verlag GmbH & Co. KGaA: Weinheim, Germany, 2008; pp. 1–116. [Google Scholar]
- Ono, S.; Ichinose, H.; Masuko, N. Defects in Porous Anodic Films Formed on High Purity Aluminum. J. Electrochem. Soc. 1991, 138, 3705–3710. [Google Scholar] [CrossRef]
- Ono, S.; Masuko, N. Electron microscopic study of the structure and dissolution behavior of porous anodic films formed on aluminum. J. Jpn. Inst. Light Met. 1993, 43, 453–458. [Google Scholar] [CrossRef]
- Ono, S.; Masuko, N. Evaluation of pore diameter of anodic porous films formed on aluminum. Surf. Coat. Technol. 2003, 169–170, 139–142. [Google Scholar] [CrossRef]
- Ono, S.; Masuko, N. Effect of Electric Field Strength on Cell Morphology and Anion Incorporation of Anodic Porous Alumina. ECS Trans. 2017, 75, 23–31. [Google Scholar] [CrossRef]
- Ono, S.; Asoh, H. A new perspective on pore growth in anodic alumina films. Electrochem. Commun. 2021, 124, 106972. [Google Scholar] [CrossRef]
- Ono, S. Passive Films for Electrolytic Capacitors; Elsevier: Amsterdam, The Netherlands, 2018; Volume 6.1: Corrosion and Passivation, pp. 376–395. [Google Scholar]
- Sato, Y.; Asoh, H.; Ono, S. Effects of Electrolyte Species and Their Combination on Film Structures and Dielectric Properties of Crystalline Anodic Alumina Films Formed by Two-Step Anodization. Mater. Trans. 2013, 54, 1993–1999. [Google Scholar] [CrossRef]
- Ono, S.; Mizutani, F.; Ue, M.; Masuko, N. Effects of current density and temperature on the morphology and electric properties of anodic films on aluminum. In Electrochemical Society Proceedings Vol. 2001–22; Electrochemical Society: Pennington, AL, USA, 2001; pp. 1129–1136. [Google Scholar]
- Thompson, G.E.; Furneaux, R.C.; Goode, J.S.; Wood, G.C. Porous Anodic Film Formation on Aluminium Substrates in Phosphoric Acid. Trans. IMF 1978, 56, 159–167. [Google Scholar] [CrossRef]
- Baron-Wiechec, A.; Ganem, J.J.; Garcia-Vergara, S.J.; Skeldon, P.; Thompson, G.E.; Vickridge, I.C. #2 #1 Tracer Study of Porous Film Growth on Aluminum in Phosphoric Acid. J. Electrochem. Soc. 2010, 157, C399. [Google Scholar] [CrossRef]
- Fukuda, Y. Role of oxalate ion in the formation of oxide film of aluminum in oxalic acid electrolyte. Nippon Kagaku Kaishi 1974, 10, 1868–1875. [Google Scholar] [CrossRef]
- Nagayama, M.; Takahashi, H. Dissolution Behavior of the Barrier Layers of Porous Oxide Films during the Initial Period of Anodizing of Aluminum. Nippon Kagaku Kaishi 1972, 5, 850–855. [Google Scholar] [CrossRef]
- Asahina, T.; Ishihara, H.; Asoh, H.; Ono, S. Influence of crystal orientation and surface topography of aluminum substrate on pore nucleation of anodic porous alumina. J. Jpn. Inst. Light Met. 2008, 58, 375–380. [Google Scholar] [CrossRef]
- Çapraz, Ö.Ö.; Shrotriya, P.; Skeldon, P.; Thompson, G.E.; Hebert, K.R. Role of Oxide Stress in the Initial Growth of Self-Organized Porous Aluminum Oxide. Electrochim. Acta 2015, 167, 404–411. [Google Scholar] [CrossRef]
- Liao, M.; Chung, C. The role and effect of residual stress on pore generation during anodization of aluminium thin films. Corros. Sci. 2013, 74, 232–239. [Google Scholar] [CrossRef]
- Oh, J.; Thompson, C.V. The role of electric field in pore formation during aluminum anodization. Electrochim. Acta 2011, 56, 4044–4051. [Google Scholar] [CrossRef]
- Takahashi, H.; Nagayama, M.; Akahori, H.; Kitahara, A. Electron-microscopy of porous anodic oxide films on aluminium by ultra-thin sectioning technique part 1. The structural change of the film during the current recovery period. J. Electron Microsc. 1973, 22, 149–157. [Google Scholar]
- Ono, S.; Sato, T. Difference of structural changes of anodic oxide films on aluminum during current recovery. J. Surf. Finish. Soc. Jpn. 1982, 33, 249–255. [Google Scholar]
- Garcia-Vergara, S.J.; Skeldon, P.; Thompson, G.E.; Habazaki, H. A tracer investigation of chromic acid anodizing of aluminium. Surf. Interface Anal. 2007, 39, 860–864. [Google Scholar] [CrossRef]
- Elabar, D.; Němcová, A.; Hashimoto, T.; Skeldon, P.; Thompson, G. Effect of sulphate impurity in chromic acid anodizing of aluminium. Corros. Sci. 2015, 100, 377–385. [Google Scholar] [CrossRef]
- Baron-Wieche’c, A.; Skeldon, P.; Ganem, J.J.; Vickridge, I.C.; Thompson, G.E. Porous anodic alumina growth in borax electrolyte. J. Electrochem. Soc. 2012, 159, C583–C589. [Google Scholar] [CrossRef]
- Iwai, M.; Kikuchi, T.; Suzuki, R.O. Self-ordered nanospike porous alumina fabricated under a new regime by an anodizing process in alkaline media. Sci. Rep. 2021, 11, 7420. [Google Scholar] [CrossRef] [PubMed]
- Oh, J.; Thompson, C.V. Abnormal Anodic Aluminum Oxide Formation in Confined Structures for Lateral Pore Arrays. ECS Meet. Abstr. 2008, 158, C71. [Google Scholar] [CrossRef]
- Thompson, G.; Furneaux, R.; Wood, G. Electron microscopy of ion beam thinned porous anodic films formed on aluminium. Corros. Sci. 1978, 18, 481–498. [Google Scholar] [CrossRef]
- Ono, S.; Asoh, H. Mechanism of hot water sealing of anodic films formed on aluminum. Corros. Sci. 2021, 181, 109221. [Google Scholar] [CrossRef]
- Ono, S.; Ichinose, H.; Masuko, N. The high resolution observation of porous anodic films formed on aluminum in phosphoric acid solution. Corros. Sci. 1992, 33, 841–850. [Google Scholar] [CrossRef]
- Ono, S.; Masuko, N. The duplex structure of cell walls of porous anodic films formed on aluminum. Corros. Sci. 1992, 33, 503–507. [Google Scholar] [CrossRef]
- Setoh, S.; Miyata, A. Electrolytic oxydation of aluminium and its industrial applications. Proc. World Eng. Congr. 1929, 22, 73–100. [Google Scholar]
- Setoh, S.; Miyata, A. Researches on anodic film of aluminium II, anodic behaviours of aluminium in aq solutions of oxalic acid. Sci. Pap. Inst. Phys. Chem. Res. Tokyo 1932, 19, 237. [Google Scholar]
- Ofoegbu, S.U.; Fernandes, F.A.; Pereira, A.B. The Sealing Step in Aluminum Anodizing: A Focus on Sustainable Strategies for Enhancing Both Energy Efficiency and Corrosion Resistance. Coatings 2020, 10, 226. [Google Scholar] [CrossRef]
- Ono, S.; Okura, M.; Asoh, H.; Tanaka, H.; Yamamoto, T. Sealing mechanism of anodic porous oxide films formed on aluminum in lithium hydroxide solution. In Proceedings of the 12th International Conference on Aluminium Alloys, Yokohama, Japan, 5–9 September 2010; pp. 1463–1468. [Google Scholar]
- Hoar, T.; Wood, G. The sealing of porous anodic oxide films on aluminium. Electrochim. Acta 1962, 7, 333–353. [Google Scholar] [CrossRef]
- Diggle, J.W.; Downie, T.C.; Goulding, C.W. Anodic oxide films on aluminum. Chem. Rev. 1969, 69, 365–405. [Google Scholar] [CrossRef]
- Akahori, H.; Fukushima, T. Study on the Hydration of Alumite by Electron Microscopy and Electron Micro Diffraction. Qjm: Int. J. Med. 1964, 13, 162–171. [Google Scholar] [CrossRef]
- Spooner, R.C.; Forsyth, W.J. X-ray emission spectroscopic study of the sealing of sulphuric acid anodic films on aluminum. Plating 1968, 55, 336–340. [Google Scholar]
- Wefers, K. The mechanism of sealing of anodic oxide coatings on aluminum. Aluminium 1973, 49, 553–561. [Google Scholar]
- Wefers, K. The mechanism of sealing of anodic oxide coatings on aluminum (II). Aluminium 1973, 49, 622–625. [Google Scholar]
- Thompson, G.E.; Furneaux, R.C.; Wood, G.C. The Morphology of Sealed Anodic Films Formed on Aluminium in Phosphoric Acid. Trans. IMF 1975, 53, 97–102. [Google Scholar] [CrossRef]
- Kohda, M.; Takahashi, H.; Nagayama, M. Reaction of porous anodic oxide films on aluminum with hot water I. Effect of film thickness and reaction time on the degree of hydration and acid-dissolution characteristics. J. Surf. Finish. Soc. Jpn. 1982, 33, 242–248. [Google Scholar] [CrossRef]
- González, J.A.; López, V.; Otero, E.; Bautista, M.A. Postsealing Changes in Porous Aluminum Oxide Films Obtained in Sulfuric Acid Solutions. J. Electrochem. Soc. 2000, 147, 984–990. [Google Scholar] [CrossRef]
- Hao, L.; Cheng, B.R. Sealing processes of anodic coatings—Past, present, and future. Met. Finish. 2000, 98, 8–18. [Google Scholar] [CrossRef]
- Bartolome, M.J.; López, V.; Escudero, E.; Caruana, G.; González, J. Changes in the specific surface area of porous aluminium oxide films during sealing. Surf. Coat. Technol. 2006, 200, 4530–4537. [Google Scholar] [CrossRef]
- Hu, N.; Dong, X.; He, X.; Browning, J.; Schaefer, D.W. Effect of sealing on the morphology of anodized aluminum oxide. Corros. Sci. 2015, 97, 17–24. [Google Scholar] [CrossRef]
- Cartigny, V.; Veys-Renaux, D.; Desenne, P.; Rocca, E. Rapid sealing of an alumina nanoporous network grown by anodizing and dye-filled. Surf. Coat. Technol. 2019, 364, 369–376. [Google Scholar] [CrossRef]
- Ebihara, K.; Takahashi, H.; Nagayama, M. Structure and density of anodic oxide films formed on aluminum in oxalic acid solutions. J. Met. Finish Soc. Jpn. 1983, 34, 548–553. [Google Scholar] [CrossRef]
- Funaki, K.; Shimizu, Y. About alumina hydrates and alumina (Part 1). Denki Kagaku 1960, 22, 302–312. [Google Scholar]
- Okada, K.; Nagashima, T.; Kameshimaa, Y.; Yasumoria, A.; Tsukadab, T. Relationship between Formation Conditions, Properties, and Crystallite Size of Boehmite. J. Colloid Interface Sci. 2002, 253, 308–314. [Google Scholar] [CrossRef]
- Ono, S.; Wada, K.; Yoshino, T.; Baba, N.; Wada, K. Structure and formation behavior of anodic oxide films on aluminum prepared as gas separation membranes having ultrafine pores. J. Surf. Finish. Soc. Jpn. 1989, 40, 1381–1387. [Google Scholar] [CrossRef][Green Version]
- Ono, S.; Masuko, N. The Structure of Anodic Oxide Films Formed on Aluminum and their Functionalization. Zairyo Kankyo 1992, 41, 488–497. [Google Scholar] [CrossRef][Green Version]
- Ono, S.; Saito, M.; Ishiguro, M.; Asoh, H. Controlling Factor of Self-Ordering of Anodic Porous Alumina. J. Electrochem. Soc. 2004, 151, B473–B478. [Google Scholar] [CrossRef]
- Ono, S.; Saito, M.; Asoh, H. Self-Ordering of Anodic Porous Alumina Induced by Local Current Concentration: Burning. Electrochem. Solid-State Lett. 2004, 7, B21–B24. [Google Scholar] [CrossRef]
- Ono, S.; Saito, M.; Asoh, H. Self-ordering of anodic porous alumina formed in organic acid electrolytes. Electrochim. Acta 2005, 51, 827–833. [Google Scholar] [CrossRef]
- Betz, H. Die Bewegung der Ionengitter von Isolatoren bei extremen elektrischen Feldstärken. Eur. Phys. J. A 1934, 92, 367–374. [Google Scholar] [CrossRef]
- Cabrera, N.; Mott, N.F. Theory of the oxidation of metals. Rep. Prog. Phys. 1949, 12, 163–184. [Google Scholar] [CrossRef]
- Young, L. Anodic Oxide Films; Academic Press: London, UK, 1961; pp. 193–221. [Google Scholar]
- Dell’Oca, C.J.; Fleming, P.J. Initial Stages of Oxide Growth and Pore Initiation in the Porous Anodization of Aluminum. J. Electrochem. Soc. 1976, 123, 1487–1493. [Google Scholar] [CrossRef]
- Mínguez-Bacho, I.; Rodríguez-López, S.; Climent, A.; Fichou, D.; Vázquez, M.; Hernández-Vélez, M. Influence of Sulfur Incorporation into Nanoporous Anodic Alumina on the Volume Expansion and Self-Ordering Degree. J. Phys. Chem. C 2015, 119, 27392–27400. [Google Scholar] [CrossRef]
- Saito, M.; Shiga, Y.; Miyagi, M.; Wada, K.; Ono, S. Optical Transmittance of Anodically Oxidized Aluminum Alloy. Jpn. J. Appl. Phys. 1995, 34, 3134–3138. [Google Scholar] [CrossRef]
- Ono, S.; Ichinose, H.; Kawaguchi, T.; Masuko, N. The observation of anodic oxide films on aluminum by high resolution electron microscopy. Corros. Sci. 1990, 31, 249–254. [Google Scholar] [CrossRef]
- Brudzisz, A.M.; Gizinski, D.; St˛epniowski, W.J. Incorporation of ions into nanostructured anodic oxides—Mechanism and functionalities. Molecules 2021, 26, 6378. [Google Scholar] [CrossRef]
- Mir, M.A.; Shah, M.A.; Ganai, P.A. Nanoporous anodic alumina (NAA) prepared in different electrolytes with different pore sizes for humidity sensing. J. Solid State Electrochem. 2020, 24, 1679–1686. [Google Scholar] [CrossRef]
- Ono, S.; Masuko, N. Dissolution behavior of the barrier layer of porous anodic films formed on aluminum studied by pore-filling technique. J. Jpn. Inst. Light Met. 1993, 43, 447–452. [Google Scholar] [CrossRef]
- Okudaira, K.; Asoh, H.; Ono, S. Effect of Electrolyte Species on Dielectric Property of Crystalline Anodic Alumina Film. Electrochemistry 2007, 75, 873–878. [Google Scholar] [CrossRef]
- Ono, S. Structure and Growth Mechanism of Anodic Oxide Films Formed on Aluminum and Their Gas Emission Property in Vacuum. J. Vac. Soc. Jpn. 2009, 52, 637–644. [Google Scholar] [CrossRef]
- Ono, S.; Ichinose, H.; Masuko, N. Lattice Images of Crystalline Anodic Alumina Formed on a Ridged Aluminum Substrate. J. Electrochem. Soc. 1992, 139, L80–L81. [Google Scholar] [CrossRef]
- Le Coz, F.; Arurault, L.; Datas, L. Chemical analysis of a single basic cell of porous anodic aluminium oxide templates. Mater. Charact. 2010, 61, 283–288. [Google Scholar] [CrossRef]
- Molchan, I.S.; Molchan, T.V.; Gaponenko, N.V.; Skeldon, P.; Thompson, G.E. Impurity-driven defect generation in porous anodic alumina. Electrochem. Commun. 2010, 12, 693–696. [Google Scholar] [CrossRef]
- Houser, J.E.; Hebert, K.R. The role of viscous flow of oxide in the growth of self-ordered porous anodic alumina films. Nat. Mater. 2009, 8, 415–420. [Google Scholar] [CrossRef]
- Ono, S.; Chiaki, S.; Sato, T. Micro-structure of anodic oxide film on aluminum formed in chromic acid solution. J. Surf. Finish Soc. Jpn. 1975, 26, 456–460. [Google Scholar]
- Kikuchi, T.; Nishinaga, O.; Nakajima, D.; Kawashima, J.; Natsui, S.; Sakaguchi, N.; Suzuki, R.O. Ultra-High Density Single Nanometer-Scale Anodic Alumina Nanofibers Fabricated by Pyrophosphoric Acid Anodizing. Sci. Rep. 2015, 4, 7411. [Google Scholar] [CrossRef]
- Skeldon, P.; Thompson, G.E.; Garcia-Vergara, S.J.; Iglesias-Rubianes, L.; Blanco-Pinzon, C.E. A Tracer Study of Porous Anodic Alumina. Electrochem. Solid-State Lett. 2006, 9, B47–B51. [Google Scholar] [CrossRef]
- Hebert, K.R.; Albu, S.P.; Paramasivam, I.; Schmuki, P. Morphological instability leading to formation of porous anodic oxide films. Nat. Mater. 2012, 11, 162–166. [Google Scholar] [CrossRef]
- Ono, S.; Sato, T. The influence of formation voltage on the morphology of AC anodizing films on aluminum. J. Surf. Finish Soc. Jpn. 1981, 32, 184–189. [Google Scholar]
- Thompson, G.E.; Xu, Y.; Skeldon, P.; Shimizu, K.; Han, S.H.; Wood, G.C. Anodic oxidation of aluminium. Philos. Mag. B 1987, 55, 651–667. [Google Scholar] [CrossRef]
- Hoshino, S.; Matsumoto, S.; Hirai, S. Chromium contents in anodic oxide films formed on Al in chromic acid solution. J. Surf. Finish. Soc. Jpn. 1989, 40, 1439–1440. [Google Scholar] [CrossRef]
- Masuda, H.; Hasegwa, F.; Ono, S. Self-Ordering of Cell Arrangement of Anodic Porous Alumina Formed in Sulfuric Acid Solution. J. Electrochem. Soc. 1997, 144, L127–L130. [Google Scholar] [CrossRef]
- Masuda, H.; Yada, K.; Osaka, A. Self-Ordering of Cell Configuration of Anodic Porous Alumina with Large-Size Pores in Phosphoric Acid Solution. Jpn. J. Appl. Phys. 1998, 37, L1340–L1342. [Google Scholar] [CrossRef]
- Ono, S.; Kato, N.; Saito, M.; Asoh, H. Self-ordering of anodic porous alumina induced by high electric field strength. Proc. Electrochem. Soc. 2004, 19, 34–42. [Google Scholar]
- Van Overmeere, Q.; Blaffart, F.; Proost, J. What controls the pore spacing in porous anodic oxides? Electrochem. Commun. 2010, 12, 1174–1176. [Google Scholar] [CrossRef]
- Hashimoto, H.; Yazawa, K.; Asoh, H.; Ono, S. NMR Spectroscopic Analysis of the Local Structure of Porous-Type Amorphous Alumina Prepared by Anodization. J. Phys. Chem. C 2017, 121, 12300–12307. [Google Scholar] [CrossRef]
- Masuda, T.; Asoh, H.; Haraguchi, S.; Ono, S. Nanoporous alpha-Alumina Membrane Prepared by Anodizing and Heat Treatment. Electrochemistry 2014, 82, 448–455. [Google Scholar] [CrossRef]
- Masuda, T.; Asoh, H.; Haraguchi, S.; Ono, S. Fabrication and Characterization of Single Phase α-Alumina Membranes with Tunable Pore Diameters. Materials 2015, 8, 1350–1368. [Google Scholar] [CrossRef] [PubMed]
- Hashimoto, H.; Shigehara, Y.; Ono, S.; Asoh, H. Heat-induced structural transformations of anodic porous alumina formed in phosphoric acid. Microporous Mesoporous Mater. 2018, 265, 77–83. [Google Scholar] [CrossRef]
- Martin, C.R. Nanomaterials: A Membrane-Based Synthetic Approach. Science 1994, 266, 1961–1966. [Google Scholar] [CrossRef]
- Li, A.-P.; Müller, F.; Birner, A.; Nielsch, K.; Gösele, U. Hexagonal pore arrays with a 50–420 nm interpore distance formed by self-organization in anodic alumina. J. Appl. Phys. 1998, 84, 6023–6026. [Google Scholar] [CrossRef]
- Yanagishita, T.; Tomabechi, Y.; Nishio, K.; Masuda, H. Preparation of Monodisperse SiO2 Nanoparticles by Membrane Emulsification Using Ideally Ordered Anodic Porous Alumina. Langmuir 2004, 20, 554–555. [Google Scholar] [CrossRef] [PubMed]
- Furneaux, R.C.; Rigby, W.R.; Davidson, A.P. The formation of controlled-porosity membranes from anodically oxidized aluminium. Nat. Cell Biol. 1989, 337, 147–149. [Google Scholar] [CrossRef]
- Chang, Y.; Ling, Z.; Liu, Y.; Hu, X.; Li, Y. A simple method for fabrication of highly ordered porous α-alumina ceramic membranes. J. Mater. Chem. 2012, 22, 7445–7448. [Google Scholar] [CrossRef]
- Asoh, H.; Masuda, T.; Ono, S. Nanoporous -Alumina Membranes with Pore Diameters Tunable over Wide Range of 30–350 nm. ECS Trans. 2015, 69, 225–233. [Google Scholar] [CrossRef]


















| Formation Voltage/V | Current Density/A m−2 | Fraction of Outer Layer | PO4 Content/wt.% |
|---|---|---|---|
| 2 | 8 | - | 5.6 |
| 5 | 9 | - | 1.8 |
| 10 | 11 | - | 2.2 |
| 20 | 15 | 0.62 | 3.7 |
| 40 | 21 | 0.69 | 5.4 |
| 60 | 27 | 0.71 | 6.3 |
| 80 | 32 | 0.77 | 6.9 |
| 100 | 45 | 0.78 | 7.4 |
| Anodizing Condition, Composition ↓/Coordination Number → | [4]Al/% | [5]Al/% | [6]Al/% | Average |
|---|---|---|---|---|
| 0.3-M Chromic acid, 40 °C, 80 V/Al2O3 | 41.3 | 52.0 | 6.7 | 4.65 |
| 0.4-M Phosphoric acid, 25 °C, 120 V/Al2O2.884(PO4)0.077 | 41.6 | 54.2 | 4.2 | 4.63 |
| 0.3-M Oxalic acid, 40 °C, 40 V/Al2O2.913(C2O4)0.069(OH)0.035 | 41.9 | 50.7 | 7.4 | 4.66 |
| 0.3-M Sulfuric acid, 20 °C, 25 V/Al2O2.846(SO4)0.125(OH)0.059 | 39.1 | 53.2 | 7.7 | 4.69 |
| 1.5-M Sulfuric acid, 20 °C, 100 Am−2/Al2O2.801(SO4)0.174(OH)0.049 | 32.8 | 56.3 | 10.9 | 4.78 |
Publisher’s Note: MDPI stays neutral with regard to jurisdictional claims in published maps and institutional affiliations. |
© 2021 by the author. Licensee MDPI, Basel, Switzerland. This article is an open access article distributed under the terms and conditions of the Creative Commons Attribution (CC BY) license (https://creativecommons.org/licenses/by/4.0/).
Share and Cite
Ono, S. Nanostructure Analysis of Anodic Films Formed on Aluminum-Focusing on the Effects of Electric Field Strength and Electrolyte Anions. Molecules 2021, 26, 7270. https://doi.org/10.3390/molecules26237270
Ono S. Nanostructure Analysis of Anodic Films Formed on Aluminum-Focusing on the Effects of Electric Field Strength and Electrolyte Anions. Molecules. 2021; 26(23):7270. https://doi.org/10.3390/molecules26237270
Chicago/Turabian StyleOno, Sachiko. 2021. "Nanostructure Analysis of Anodic Films Formed on Aluminum-Focusing on the Effects of Electric Field Strength and Electrolyte Anions" Molecules 26, no. 23: 7270. https://doi.org/10.3390/molecules26237270
APA StyleOno, S. (2021). Nanostructure Analysis of Anodic Films Formed on Aluminum-Focusing on the Effects of Electric Field Strength and Electrolyte Anions. Molecules, 26(23), 7270. https://doi.org/10.3390/molecules26237270
