Expanding the Use of Dynamic Electrostatic Repulsion Reversed-Phase Chromatography: An Effective Elution Mode for Peptides Control and Analysis
Abstract
1. Introduction
2. Results and Discussion
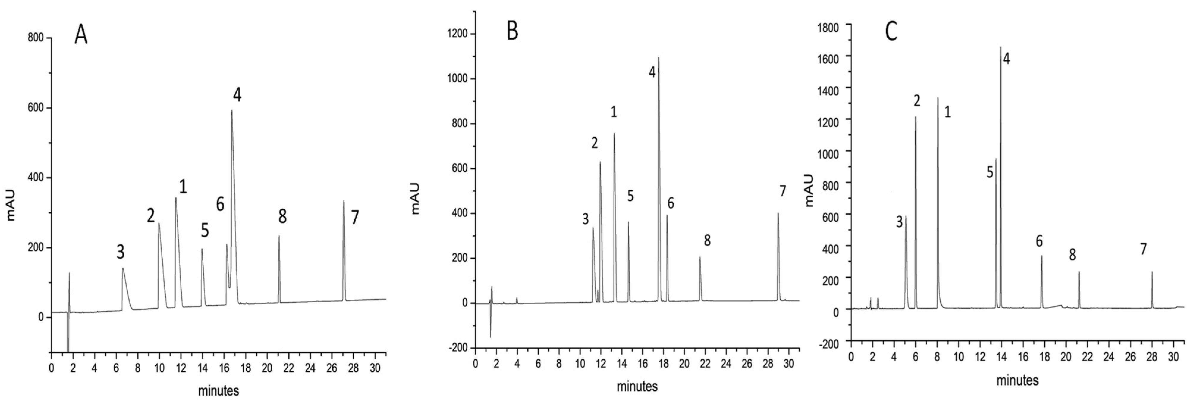
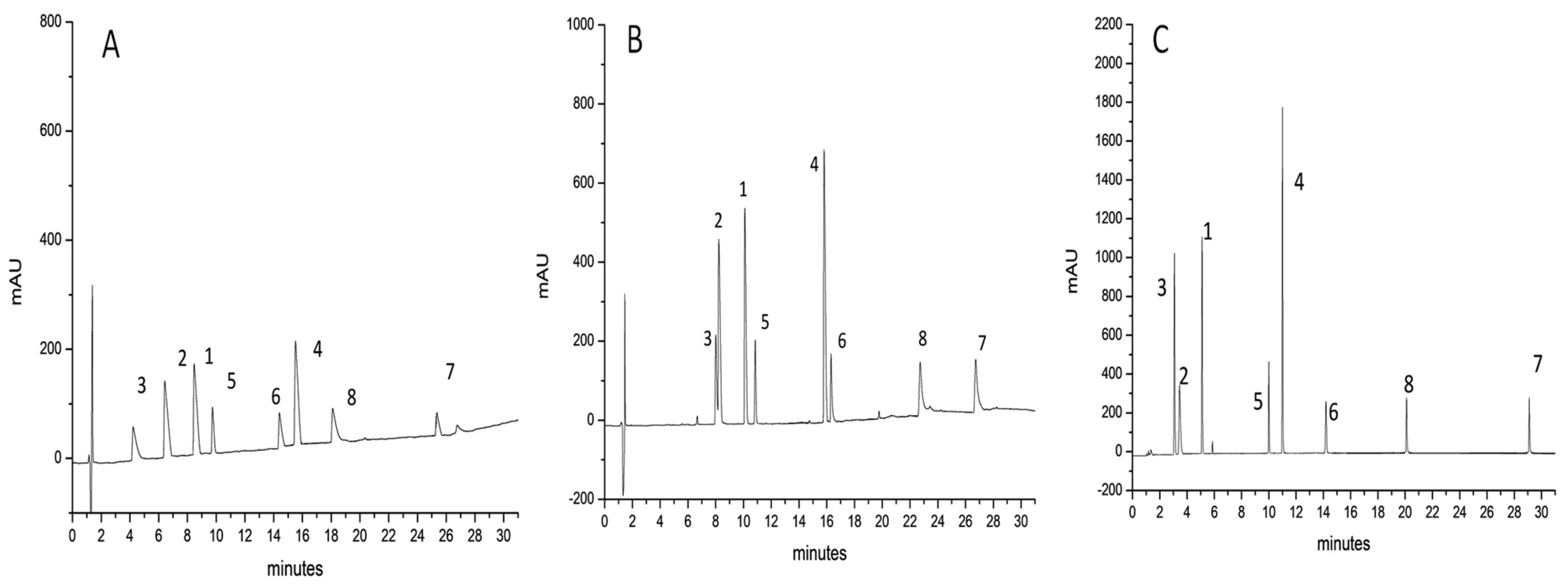
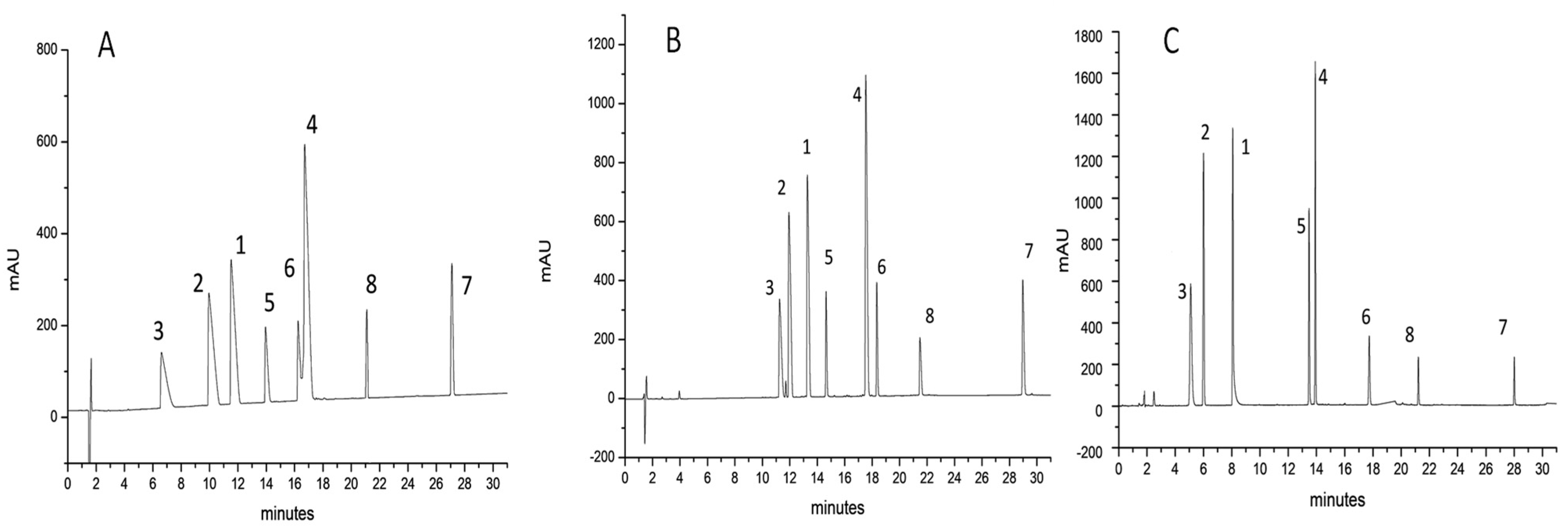
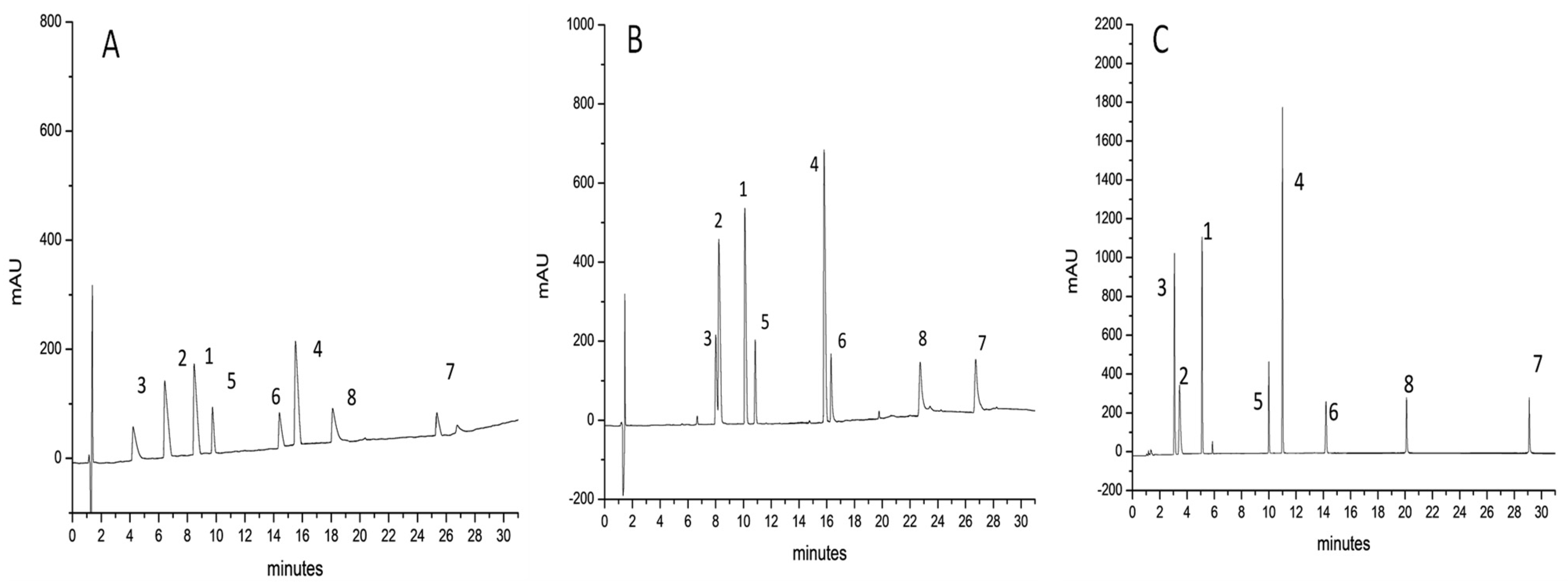
2.1. Comparison between IP-RPLC and d-ERRP
2.2. Asymmetry, Peak Width at Half-Height, Peak Capacity, and Resolution Values
3. Materials and Methods
3.1. Chemicals
3.2. Sample Preparation
3.3. Instrumentation
3.4. Columns
- i.
- ACQUITY UPLC® BEH C18 (150 × 2.1 mm L × I.D.) 1.7 μm 300 Å (fully porous particles (FPP) and BEH (hybrid) technology particles).
- ii.
- ACQUITY UPLC® BEH C4 (150 × 2.1 mm L × I.D.) 1.7 μm 300 Å (fully porous particles (FPP) and BEH (hybrid) technology particles).
- iii.
- Halo peptide ES-C18 (150 × 3.0 mm L × I.D.) 2.0 μm 160 Å (superficially porous particles (SPP).
- iv.
- Halo peptide ES-C18 (150 × 4.6 mm L × I.D.) 2.7 μm 160 Å (superficially porous particles (SPP)).
3.5. Chromatographic Conditions
- Mobile phases with formic acid as additive:
- Column (i) gradient elution: 15% B (0 min), 15% B (1 min), 40% B (26 min), 60% B (31 min), 100% B (32 min),100% B (37 min), and 15% B (38 min).
- Column (ii) gradient elution: 10% B (0 min), 10% B (1 min), 50% B (31 min), 100% B (32 min), 100% B (37 min), and 10% B (38 min).
- Column (iii) gradient elution: 15% B (0 min), 15% B (1 min), 40% B (21 min), 45% B (22 min), 60% B (31 min), 100% B (32 min), 100% B (37 min), and 15% B (38 min).
- Column (iv) gradient elution: 20% B (0 min), 20% B (1 min), 40% B (21 min), 80% B (31 min), 100% B (32 min), 100% B (37 min), and 20% B (38 min).
- Mobile phases with trifluoroacetic acid as additive:
- Column (i) gradient elution: 16% B (0 min), 16% B (1 min), 41% B (26 min), 61% B (31 min), 100% B (32 min), 100% B (37 min), and 16% B (38 min).
- Column (ii) gradient elution: 12% B (0 min), 12% B (1 min), 52% B (31 min), 100% B (32 min), 100% B (37 min), and 12% B (38 min).
- Column (iii) gradient elution: 16% B (0 min), 16% B (1 min), 41% B (21 min), 46% B (22 min), 61% B (31 min), 100% B (32 min), 100% B (37 min), and 16% B (38 min).
- Column (iv) gradient elution: 20% B (0 min), 20% B (1 min), 40% B (21 min), 80% B (31 min), 100% B (32 min), 100% B (37 min), and 20% B (38 min).
- Mobile phases with TBAHSO4 as additive:
- Column (i) gradient elution: 15% B (0 min), 15% B (1 min), 40% B (26 min), 60% B (31 min), 100% B (32 min), 100% B (37 min), and 15% B (38 min).
- Column (ii) gradient elution: 10% B (0 min), 10% B (1 min), 50% B (31 min), 100% B (32 min), 100% B (37 min), and 10% B (38 min).
- Column (iii) gradient elution: 15% B (0 min), 15% B (1 min), 40% B (21 min), 45% B (22 min), 60% B (31 min), 100% B (32 min), 100% B (37 min), and 15% B (38 min).
- Column (iv) gradient elution: 20% B (0 min), 20% B (1 min), 40% B (21 min), 80% B (31 min), 100% B (32 min), 100% B (37 min), and 20% B (38 min).
4. Conclusions
Supplementary Materials
Author Contributions
Funding
Institutional Review Board Statement
Informed Consent Statement
Data Availability Statement
Conflicts of Interest
Sample Availability
References
- Moss, G.P.; Smith, P.A.S.; Tavernier, D. Glossary of class names of organic compounds and reactive intermediates based on structure (IUPAC recommendations 1995). Pure Appl. Chem. 1995, 67, 1307–1375. [Google Scholar] [CrossRef]
- Aronoff, S.L.; Berkowitz, K.; Shreiner, B.; Want, L. Glucose Metabolism and Regulation: Beyond Insulin and Glucagon. Diabetes Spectr. 2004, 17, 183–190. [Google Scholar] [CrossRef]
- Ryan, C.A.; Pearce, G.; Scheer, J.; Moura, S.D. Polypeptide Hormones. Plant Cell. 2001, 125. [Google Scholar] [CrossRef] [PubMed]
- Laporte, S.A.; Posner, B.I. Peptide Hormones and Growth Factors: Signaling Mechanisms in Endosomes; Elsevier Inc.: Amsterdam, The Netherlands, 2016; ISBN 9780128012383. [Google Scholar]
- Lau, J.L.; Dunn, M.K. Therapeutic peptides: Historical perspectives, current development trends, and future directions. Bioorgan. Med. Chem. 2018, 26, 2700–2707. [Google Scholar] [CrossRef]
- Cabri, W.; Cantelmi, P.; Corbisiero, D.; Fantoni, T.; Ferrazzano, L.; Martelli, G.; Mattellone, A.; Tolomelli, A. Therapeutic Peptides Targeting PPI in Clinical Development: Overview, Mechanism of Action and Perspectives. Front. Mol. Biosci. 2021, 8, 1–21. [Google Scholar] [CrossRef]
- Marqus, S.; Pirogova, E.; Piva, T.J. Evaluation of the use of therapeutic peptides for cancer treatment. J. Biomed. Sci. 2017, 24, 1–15. [Google Scholar] [CrossRef]
- De Castro, R.J.S.; Sato, H.H. Biologically active peptides: Processes for their generation, purification and identification and applications as natural additives in the food and pharmaceutical industries. Food Res. Int. 2015, 74, 185–198. [Google Scholar] [CrossRef]
- Al Musaimi, O.; Al Shaer, D.; de la Torre, B.; Albericio, F. 2017 FDA Peptide Harvest. Pharmaceuticals 2018, 11, 42. [Google Scholar] [CrossRef]
- Fosgerau, K.; Hoffmann, T. Peptide therapeutics: Current status and future directions. Drug Discov. Today 2015, 20, 122–128. [Google Scholar] [CrossRef]
- Bruckdorfer, T.; Marder, O.; Albericio, F. From Production of Peptides in Milligram Amounts for Research to Multi-Tons Quantities for Drugs of the Future. Curr. Pharm. Biotechnol. 2005, 5, 29–43. [Google Scholar] [CrossRef]
- Roque, A.C.A.; Lowe, C.R.; Taipa, M.Â. Antibodies and genetically engineered related molecules: Production and purification. Biotechnol. Prog. 2004, 20, 639–654. [Google Scholar] [CrossRef]
- Gill, I.; López-Fandiño, R.; Jorba, X.; Vulfson, E.N. Biologically active peptides and enzymatic approaches to their production. Enzyme Microb. Technol. 1996, 18, 162–183. [Google Scholar] [CrossRef]
- Chandrudu, S.; Simerska, P.; Toth, I. Chemical methods for peptide and protein production. Molecules 2013, 18, 4373–4388. [Google Scholar] [CrossRef]
- Wegmuller, S.; Schmid, S. Recombinant Peptide Production in Microbial Cells. Curr. Org. Chem. 2014, 18, 1005–1019. [Google Scholar] [CrossRef]
- Lee, A.C.L.; Harris, J.L.; Khanna, K.K.; Hong, J.H. A comprehensive review on current advances in peptide drug development and design. Int. J. Mol. Sci. 2019, 20, 2383. [Google Scholar] [CrossRef]
- Rastogi, S.; Shukla, S.; Kalaivani, M.; Singh, G.N. Peptide-based therapeutics: Quality specifications, regulatory considerations, and prospects. Drug Discov. Today 2019, 24, 148–162. [Google Scholar] [CrossRef]
- Food and Drug Administration. ANDAs for Certain Highly Purified Synthetic Peptide Drug Products That Refer to Listed Drugs of rDNA Origin Guidance for Industry. 2021. Available online: https://www.fda.gov/regulatory-information/search-fda-guidance-documents/andas-certain-highly-purified-synthetic-peptide-drug-products-refer-listed-drugs-rdna-origin (accessed on 1 June 2021).
- Field, J.K.; Euerby, M.R.; Lau, J.; Thøgersen, H.; Petersson, P. Investigation into reversed phase chromatography peptide separation systems part I: Development of a protocol for column characterisation. J. Chromatogr. A 2019, 1603, 113–129. [Google Scholar] [CrossRef]
- Sanz-Nebot, V.; Benavente, F.; Toro, I.; Barbosa, J. Liquid chromatography-mass spectrometry approach for the characterisation and purification of crude synthetic peptide hormones. Anal. Bioanal. Chem. 2003, 377, 306–315. [Google Scholar] [CrossRef]
- McCalley, D.V. The challenges of the analysis of basic compounds by high performance liquid chromatography: Some possible approaches for improved separations. J. Chromatogr. A 2010, 1217, 858–880. [Google Scholar] [CrossRef]
- Dolan, J.W. Why do peaks tail? LCGC Eur. 2003, 16, 610–613. [Google Scholar]
- Méndez, A.; Bosch, E.; Rosés, M.; Neue, U.D. Comparison of the acidity of residual silanol groups in several liquid chromatography columns. J. Chromatogr. A 2003, 986, 33–44. [Google Scholar] [CrossRef]
- Walter, T.H.; Andrews, R.W. Recent innovations in UHPLC columns and instrumentation. TrAC Trends Anal. Chem. 2014, 63, 14–20. [Google Scholar] [CrossRef]
- Wang, C.; Guo, Z.; Long, Z.; Zhang, X.; Liang, X. Overloading study of basic compounds with a positively charged C18 column in liquid chromatography. J. Chromatogr. A 2013, 1281, 60–66. [Google Scholar] [CrossRef]
- Kadlecová, Z.; Kozlík, P.; Tesařová, E.; Gilar, M.; Kalíková, K. Characterization and comparison of mixed-mode and reversed-phase columns; interaction abilities and applicability for peptide separation. J. Chromatogr. A 2021, 1648. [Google Scholar] [CrossRef] [PubMed]
- Gritti, F.; Guiochon, G. Separation of peptides and intact proteins by electrostatic repulsion reversed phase liquid chromatography. J. Chromatogr. A 2014, 1374, 112–121. [Google Scholar] [CrossRef] [PubMed]
- Manetto, S.; Mazzoccanti, G.; Ciogli, A.; Villani, C.; Gasparrini, F. Ultra-high performance separation of basic compounds on reversed-phase columns packed with fully/superficially porous silica and hybrid particles by using ultraviolet transparent hydrophobic cationic additives. J. Sep. Sci. 2020, 43, 1653–1662. [Google Scholar] [CrossRef] [PubMed]
- Mazzoccanti, G.; Manetto, S.; Bassan, M.; Foschini, A.; Orlandin, A.; Ricci, A.; Cabri, W.; Ismail, O.H.; Catani, M.; Cavazzini, A.; et al. Boosting basic-peptide separation through dynamic electrostatic-repulsion reversed-phase (d-ERRP) liquid chromatography. RSC Adv. 2020, 10, 12604–12610. [Google Scholar] [CrossRef]
- Mazzoccanti, G.; Gasparrini, F.; Calcaterra, A.; Villani, C. Static vs. Dynamic Electrostatic Repulsion Reversed Phase Liquid Chromatography: Solutions for Pharmaceutical and Biopharmaceutical Basic Compounds. Separations 2021, 8, 59. [Google Scholar] [CrossRef]
- Ubeda-Torres, M.T.; Ortiz-Bolsico, C.; García-Alvarez-Coque, M.C.; Ruiz-Angel, M.J. Gaining insight in the behaviour of imidazolium-based ionic liquids as additives in reversed-phase liquid chromatography for the analysis of basic compounds. J. Chromatogr. A 2015, 1380, 96–103. [Google Scholar] [CrossRef]
- Calabuig-Hernández, S.; García-Alvarez-Coque, M.C.; Ruiz-Angel, M.J. Performance of amines as silanol suppressors in reversed-phase liquid chromatography. J. Chromatogr. A 2016, 1465, 98–106. [Google Scholar] [CrossRef]
- Mai, X.L.; Choi, Y.; Truong, Q.K.; Van Nguyen, T.N.; Han, S.B.; Kim, K.H. Alternative chromatographic method for the assay test of terbutaline and salbutamol using ionic liquid assisted aqueous mobile phase. Anal. Sci. Technol. 2020, 33, 169–176. [Google Scholar] [CrossRef]
- Racine, M.S.; Barkan, A.L. Somatostatin analogs in medical treatment of acromegaly. Endocrine 2003, 20, 271–278. [Google Scholar] [CrossRef]
- Straka, B.T.; Ramirez, C.E.; Byrd, J.B.; Stone, E.; Woodard-Grice, A.; Nian, H.; Yu, C.; Banerji, A.; Brown, N.J. Effect of bradykinin receptor antagonism on ACE inhibitor-associated angioedema. J. Allergy Clin. Immunol. 2017, 140, 242–248e2. [Google Scholar] [CrossRef] [PubMed]
- Steinberg, M. Degarelix: A gonadotropin-releasing hormone antagonist for the management of prostate cancer. Clin. Ther. 2009, 31, 2312–2331. [Google Scholar] [CrossRef] [PubMed]
- Carswell, C.I.; Plosker, G.L. Bivalirudin: A review of its potential place in the management of acute coronary syndromes. Drugs 2002, 62, 841–870. [Google Scholar] [CrossRef]
- Kedia, N. Treatment of severe diabetic hypoglycemia with glucagon: An underutilised therapeutic approach. Diabetes Metab. Syndr. Obes. Targets Ther. 2011, 337. [Google Scholar] [CrossRef]
- Gentilella, R.; Pechtner, V.; Corcos, A.; Consoli, A. Glucagon-like peptide-1 receptor agonists in type 2 diabetes treatment: Are they all the same? Diabetes Metab. Res. Rev. 2019, 35. [Google Scholar] [CrossRef]
- Wyndham, K.D.; Walter, T.H.; Iraneta, P.C.; Neue, U.D.; McDonald, P.D.; Morrison, D.; Baynham, M. A Review of Waters Hybrid Particle Technology: Ethylene-Bridged [BEH Technology] Hybrids and Their Use in Liquid Chromatography; Waters Corporation: Milford, MA, USA, 2004; ISBN 720001159EN. [Google Scholar]
- Ali, I.; Gaitonde, V.D.; Grahn, A. Halo columns: New generation technology for high speed liquid chromatography. J. Chromatogr. Sci. 2010, 48, 386–394. [Google Scholar] [CrossRef][Green Version]
- DeStefano, J.J.; Langlois, T.J.; Kirkland, J.J. Characteristics of superficially-porous silica particles for fast HPLC: Some performance comparisons with sub-2-μm particles. J. Chromatogr. Sci. 2008, 46, 254–260. [Google Scholar] [CrossRef]
- Kirkland, J.J.; Schuster, S.A.; Johnson, W.L.; Boyes, B.E. Fused-core particle technology in high-performance liquid chromatography: An overview. J. Pharm. Anal. 2013, 3, 303–312. [Google Scholar] [CrossRef] [PubMed]
- Gritti, F.; Guiochon, G. The mass transfer kinetics in columns packed with Halo-ES shell particles. J. Chromatogr. A 2011, 1218, 907–921. [Google Scholar] [CrossRef] [PubMed]
- García, M.C.; Hogenboom, A.C.; Zappey, H.; Irth, H. Effect of the mobile phase composition on the separation and detection of intact proteins by reversed-phase liquid chromatography-electrospray mass spectrometry. J. Chromatogr. A 2002, 957, 187–199. [Google Scholar] [CrossRef]
- Chakraborty, A.B.; Berger, S.J. Optimization of reversed-phase peptide liquid chromatography ultraviolet mass spectrometry analyses using an automated blending methodology. J. Biomol. Tech. 2005, 16, 325–333. [Google Scholar]
- Simone, P.; Pierri, G.; Foglia, P.; Gasparrini, F.; Mazzoccanti, G.; Capriotti, A.L.; Ursini, O.; Ciogli, A.; Laganà, A. Separation of intact proteins on γ-ray-induced polymethacrylate monolithic columns: A highly permeable stationary phase with high peak capacity for capillary high-performance liquid chromatography with high-resolution mass spectrometry. J. Sep. Sci. 2016, 39. [Google Scholar] [CrossRef]
- Horvath, C.; Melander, W.; Molnar, I.; Molnar, P. Enhancement of Retention by Ion-Pair Formation in Liquid Chromatography with Nonpolar Stationary Phases. Anal. Chem. 1977, 49, 2295–2305. [Google Scholar] [CrossRef]
- Blumberg, L.M. Theory of gradient elution liquid chromatography with linear solvent strength: Part 2. peak width formation. Chromatographia 2014, 77, 189–197. [Google Scholar] [CrossRef]
- Pápai, Z.; Pap, T.L. Analysis of peak asymmetry in chromatography. J. Chromatogr. A 2002, 953, 31–38. [Google Scholar] [CrossRef]
- Felinger, A.; Cavazzini, A.; Remelli, M.; Dondi, F. Stochastic—Dispersive Theory of Chromatography. Anal. Chem. 1999, 71, 4472–4479. [Google Scholar] [CrossRef]
- Cavazzini, A.; Remelli, M.; Dondi, F.; Felinger, A. Stochastic theory of multiple-site linear adsorption chromatography. Anal. Chem. 1999, 71, 3453–3462. [Google Scholar] [CrossRef]
- Neue, U.D. Theory of peak capacity in gradient elution. J. Chromatogr. A 2005, 1079, 153–161. [Google Scholar] [CrossRef]
- Wang, X.; Stoll, D.R.; Schellinger, A.P.; Carr, P.W. Peak capacity optimisation of peptide separations in reversed-phase gradient elution chromatography: Fixed column format. Anal. Chem. 2006, 78, 3406–3416. [Google Scholar] [CrossRef] [PubMed]







| Entry | Peptide | Peptide Length (No. AA) | Molecular Weight (Da) | pI | Indication/Activity | Date of Market Authorisation |
|---|---|---|---|---|---|---|
| 1 | Lanreotide | 8 | 1096 | 7.5 | Acromegaly/SST agonist [34] | 2007 |
| 2 | Octreotide | 8 | 1019 | 8.3 | Acromegaly/SST agonist [34] | 1988 |
| 3 | Icatibant | 10 | 1305 | 12.2 | HHHereditary angioedema/Bradykinin B2 Receptor antagonist [35] | 2008 |
| 4 | Degarelix | 10 | 1632 | 9.5 | Prostate cancer/GnRH antagonist [36] | 2008 |
| 5 | Bivalirudin | 20 | 2180 | 3.9 | Acute coronary syndromes, Thrombotic events [37] | 2004 |
| 6 | Glucagon | 29 | 3483 | 8.0 | Severe hypoglycemia [38] | 1962 |
| 7 | Semaglutide | 31 | 4113 | 5.4 | Type 2 diabetes/GLP-1 receptor agonist [39] | 2017 |
| 8 | Exenatide | 39 | 4187 | 4.9 | Type 2 diabetes/GLP-1 receptor agonist [39] | 2005 |
Publisher’s Note: MDPI stays neutral with regard to jurisdictional claims in published maps and institutional affiliations. |
© 2021 by the authors. Licensee MDPI, Basel, Switzerland. This article is an open access article distributed under the terms and conditions of the Creative Commons Attribution (CC BY) license (https://creativecommons.org/licenses/by/4.0/).
Share and Cite
Mazzoccanti, G.; Manetto, S.; Bassan, M.; Macis, M.; Iazzetti, A.; Cabri, W.; Ricci, A.; Gasparrini, F. Expanding the Use of Dynamic Electrostatic Repulsion Reversed-Phase Chromatography: An Effective Elution Mode for Peptides Control and Analysis. Molecules 2021, 26, 4348. https://doi.org/10.3390/molecules26144348
Mazzoccanti G, Manetto S, Bassan M, Macis M, Iazzetti A, Cabri W, Ricci A, Gasparrini F. Expanding the Use of Dynamic Electrostatic Repulsion Reversed-Phase Chromatography: An Effective Elution Mode for Peptides Control and Analysis. Molecules. 2021; 26(14):4348. https://doi.org/10.3390/molecules26144348
Chicago/Turabian StyleMazzoccanti, Giulia, Simone Manetto, Michele Bassan, Marco Macis, Antonia Iazzetti, Walter Cabri, Antonio Ricci, and Francesco Gasparrini. 2021. "Expanding the Use of Dynamic Electrostatic Repulsion Reversed-Phase Chromatography: An Effective Elution Mode for Peptides Control and Analysis" Molecules 26, no. 14: 4348. https://doi.org/10.3390/molecules26144348
APA StyleMazzoccanti, G., Manetto, S., Bassan, M., Macis, M., Iazzetti, A., Cabri, W., Ricci, A., & Gasparrini, F. (2021). Expanding the Use of Dynamic Electrostatic Repulsion Reversed-Phase Chromatography: An Effective Elution Mode for Peptides Control and Analysis. Molecules, 26(14), 4348. https://doi.org/10.3390/molecules26144348

