Inhibition of Tapeworm Thioredoxin and Glutathione Pathways by an Oxadiazole N-Oxide Leads to Reduced Mesocestoides vogae Infection Burden in Mice
Abstract
:1. Introduction

2. Results and Discussion
2.1. Analysis of M. vogae Genome Revealed the Presence of One TGR Gene, and Absence of Conventional TR and GR Genes

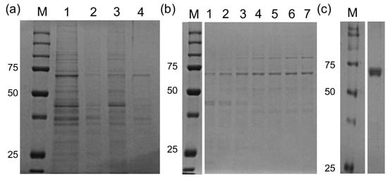
2.2. M. vogae Thioredoxin Reductase and Glutathione Reductase Activities Co-Purified

2.3. The GR Activity of M. vogae Exhibits Hysteresis towards Glutathione and is Inhibited by Auranofin


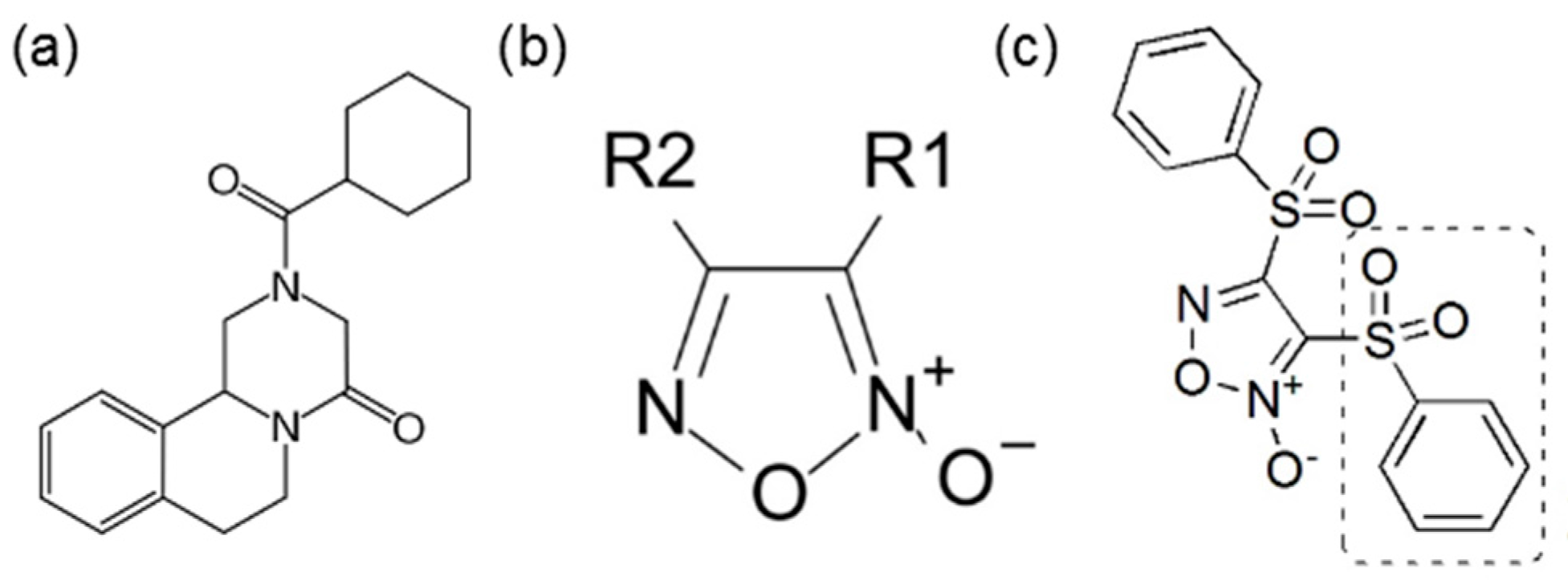
2.4. An Oxadiazole N-Oxide that Inhibits TGR Reduces M. vogae Infection Burden in Mice


2.5. Discussion
3. Experimental Section
3.1. Mesocestoides vogae Tetrathyridia Infection
3.2. Enzyme Purification from Mesocestoides vogae
3.3. DTNB Reduction Assay for TR Activity
3.4. GSSG Reduction Assay
3.5. Inhibition Studies
3.6. Cestocidal Effect of VL16E in Tetrathyridia Infected Mice
3.7. Sequence Analysis
Acknowledgements
Author Contributions
Conflicts of Interest
References
- Hotez, P.J.; Brindley, P.J.; Bethony, J.M.; King, C.H.; Pearce, E.J.; Jacobson, J. Helminth infections: The great neglected tropical diseases. J. Clin. Investig. 2008, 118, 1311–1321. [Google Scholar] [CrossRef] [PubMed]
- WHO. The World Health Report-Changing History. Available online: http://www.who.int/whr/2004/en/report04_en.pdf (accessed on 12 March 2015).
- Hotez, P.J.; Brown, A.S. Neglected tropical disease vaccines. Biologicals 2009, 37, 160–164. [Google Scholar] [CrossRef] [PubMed]
- Mansour, T. Chemotherapeutic Targets in Parasites. Contemporary strategies; Cambridge University Press: Cambridge, UK, 2002. [Google Scholar]
- Cioli, D.; Valle, C.; Angelucci, F.; Miele, A.E. Will new antischistosomal drugs finally emerge? Trends Parasitol. 2008, 24, 379–382. [Google Scholar] [CrossRef] [PubMed]
- Kern, P. Clinical features and treatment of alveolar echinococcosis. Curr. Opin. Infect. Dis. 2010, 23, 505–512. [Google Scholar] [CrossRef] [PubMed]
- Doenhoff, M.J.; Kusel, J.R.; Coles, G.C.; Cioli, D. Resistance of Schistosoma mansoni to praziquantel: Is there a problem? Trans. R. Soc. Trop. Med. Hyg. 2002, 96, 465–469. [Google Scholar] [CrossRef]
- Doenhoff, M.J.; Cioli, D.; Utzinger, J. Praziquantel: Mechanisms of action, resistance and new derivatives for schistosomiasis. Curr. Opin. Infect. Dis. 2008, 21, 659–667. [Google Scholar] [CrossRef] [PubMed]
- Valentim, C.L.L.; Cioli, D.; Chevalier, F.D.; Cao, X.; Taylor, A.B.; Holloway, S.P.; Pica-Mattoccia, L.; Guidi, A.; Basso, A.; Tsai, I.J.; et al. Genetic and molecular basis of drug resistance and species-specific drug action in Schistosome parasites. Science 2013, 342, 1385–1389. [Google Scholar] [CrossRef] [PubMed]
- Alger, H.M.; Williams, D.L. The disulfide redox system of Schistosoma mansoni and the importance of a multifunctional enzyme, thioredoxin glutathione reductase. Mol. Biochem. Parasitol. 2002, 121, 129–139. [Google Scholar] [CrossRef]
- Otero, L.; Bonilla, M.; Protasio, A.V.; Fernandez, C.; Gladyshev, V.N.; Salinas, G. Thioredoxin and glutathione systems differ in parasitic and free-living platyhelminths. BMC Genomics 2010, 11. [Google Scholar] [CrossRef] [PubMed]
- Prast-Nielsen, S.; Huang, H.-H.; Williams, D.L. Thioredoxin-glutathione reductase: Its role in redox biology and potential as a target for drugs against neglected diseases. Biochim. Biophys. Acta 2011, 1810, 1262–1271. [Google Scholar] [CrossRef] [PubMed]
- Williams, D.L.; Bonilla, M.; Gladyshev, V.N.; Salinas, G. Thioredoxin glutathione reductase-dependent redox networks in platyhelminth parasites. Antiox. Redox Signal. 2012, 19, 735–745. [Google Scholar] [CrossRef] [PubMed]
- Kuntz, A.N.; Davioud-Charvet, E.; Sayed, A.A.; Califf, L.L.; Dessolin, J.; Arner, E.S.; Williams, D.L. Thioredoxin glutathione reductase from Schistosoma mansoni: An essential parasite enzyme and a key drug target. PLoS Med. 2007, 4, e206. [Google Scholar] [CrossRef] [PubMed]
- Song, L.; Li, J.; Xie, S.; Qian, C.; Wang, J.; Zhang, W.; Yin, X.; Hua, Z.; Yu, C. Thioredoxin glutathione reductase as a novel drug target: Evidence from Schistosoma japonicum. PLoS ONE 2012, 7, e31456. [Google Scholar] [CrossRef] [PubMed]
- Sayed, A.A.; Simeonov, A.; Thomas, C.J.; Inglese, J.; Austin, C.P.; Williams, D.L. Identification of oxadiazoles as new drug leads for the control of schistosomiasis. Nat. Med. 2008, 14, 407–412. [Google Scholar] [CrossRef] [PubMed]
- Simeonov, A.; Jadhav, A.; Sayed, A.A.; Wang, Y.; Nelson, M.E.; Thomas, C.J.; Inglese, J.; Williams, D.L.; Austin, C.P. Quantitative high-throughput screen identifies inhibitors of the Schistosoma mansoni redox cascade. PLoS Negl. Trop. Dis. 2008, 2, e127. [Google Scholar] [CrossRef] [PubMed]
- Rai, G.; Sayed, A.A.; Lea, W.A.; Luecke, H.F.; Chakrapani, H.; Prast-Nielsen, S.; Jadhav, A.; Leister, W.; Shen, M.; Inglese, J.; et al. Structure mechanism insights and the role of nitric oxide donation guide the development of oxadiazole-2-oxides as therapeutic agents against schistosomiasis. J. Med. Chem. 2009, 52, 6474–6483. [Google Scholar] [CrossRef] [PubMed]
- Bonilla, M.; Denicola, A.; Novoselov, S.V.; Turanov, A.A.; Protasio, A.; Izmendi, D.; Gladyshev, V.N.; Salinas, G. Platyhelminth mitochondrial and cytosolic redox homeostasis is controlled by a single thioredoxin glutathione reductase and dependent on selenium and glutathione. J. Biol. Chem. 2008, 283, 17898–17907. [Google Scholar] [CrossRef] [PubMed]
- Ross, F.; Hernández, P.; Porcal, W.; López, G.V.; Cerecetto, H.; González, M.; Basika, T.; Carmona, C.; Fló, M.; Maggioli, G.; et al. Identification of thioredoxin glutathione reductase inhibitors that kill cestode and trematode parasites. PLoS ONE 2012, 7, e35033. [Google Scholar] [CrossRef] [PubMed]
- Specht, D.; Voge, M. Asexual multiplication of Mesocestoides tetrathyridia in laboratory animals. J. Parasitol. 1956, 51, 268–272. [Google Scholar] [CrossRef]
- Etges, F.; Marinakis, V. Formation and excretion of calcareous bodies by the metacestode (tetrathyridium) of Mesocestoides vogae. J. Parasitol. 1991, 77, 595–602. [Google Scholar] [CrossRef] [PubMed]
- Hart, J.L. Regeneration of tetrathyridia of Mesocestoides (Cestoda: Cyclophyllidea) In vivo and in vitro. J. Parasitology 1968, 54, 950–956. [Google Scholar] [CrossRef]
- Mitchell, G.F.; Marchalonis, J.J.; Smith, P.M.; Nicholas, W.L.; Warner, N.L. Studies on immune responses to larval cestodes in mice. Immunoglobulins associated with the larvae of Mesocestoides corti. Aust. J. Exp. Biol. Med. 1977, 55, 187–211. [Google Scholar] [CrossRef]
- Saldaña, J.; Casaravilla, C.; Marín, M.; Fernández, C.; Domínguez, L. The toxicity of praziquantel against Mesocestoides vogae (syn. corti) tetrathyridia can be assessed using a novel in vitro system. Parasitol. Res. 2003, 89, 467–472. [Google Scholar]
- 50 Helminth Genomes Initiative Database. Available online: http://www.sanger.ac.uk/research/initiatives/globalhealth/research/helminthgenomes/ (accessed on 25 June 2015).
- Rendón, J.L.; del Arenal, I.P.; Guevara-Flores, A.; Uribe, A.; Plancarte, A.; Mendoza-Hernández, G. Purification, characterization and kinetic properties of the multifunctional thioredoxin-glutathione reductase form Taenia crassiceps metacestode (cysticerci). Mol. Biochem. Parasitol. 2004, 133, 61–69. [Google Scholar] [CrossRef] [PubMed]
- Guevara-Flores, A.; Pardo, J.P.; Rendon, J.L. Hysteresis in thioredoxin-glutathione reductase (TGR) from the adult stage of the liver fluke Fasciola hepatica. Parasitol. Int. 2011, 60, 156–160. [Google Scholar] [CrossRef] [PubMed]
- Gromer, S.; Arscott, L.D.; Williams, C.H.; Schirmer, R.H.; Becker, K. Human placenta thioredoxin reductase. J. Biol. Chem. 1998, 273, 20096–20101. [Google Scholar] [CrossRef] [PubMed]
- Agorio, A.; Chalar, C.; Cardozo, S.; Salinas, G. Alternative mRNAS arising from trans-splicing code for mitochondrial and cytosolic variants of Echinococcus granulosus thioredoxin glutathione reductase. J. Biol. Chem. 2003, 278, 12920–12928. [Google Scholar] [CrossRef] [PubMed]
- Angelucci, F.; Sayed, A.A.; Williams, D.L.; Boumis, G.; Brunori, M.; Dimastrogiovanni, D.; Miele, A.E.; Pauly, F.; Bellelli, A. Inhibition of Schistosoma mansoni thioredoxin-glutathione reductase by auranofin: structural and kinetic aspects. J. Biol. Chem. 2009, 284, 28977–28985. [Google Scholar] [CrossRef] [PubMed]
- Martinez-Gonzalez, J.J.; Guevara-Flores, A.; Alvarez, G.; Rendon-Gomez, J.L.; Del Arenal, I.P. In vitro killing action of auranofin on Taenia crassiceps metacestode (cysticerci) and inactivation of thioredoxin-glutathione reductase (TGR). Parasitol. Res. 2010, 107, 227–231. [Google Scholar] [CrossRef] [PubMed]
- Huang, H.H.; Day, L.; Cass, C.L.; Ballou, D.P.; Williams, C.H.; Williams, D.L. Investigations of the catalytic mechanism of thioredoxin glutathione reductase from Schistosoma mansoni. Biochemistry 2011, 50, 5870–5882. [Google Scholar] [CrossRef] [PubMed]
- Plancarte, A.; Nava, G. Purification and kinetic analysis of cytosolic and mitochondrial thioredoxin glutathione reductase extracted from Taenia solium cysticerci. Exp. Parasitol. 2015, 149, 65–73. [Google Scholar] [CrossRef] [PubMed]
- Hernández, A.; Nieto, A. Induction of protective immunity against murine secondary hydatidosis. Parasite Immunol. 1994, 16, 537–544. [Google Scholar] [CrossRef] [PubMed]
- Saldaña, J.; Marín, M.; Fernández, C.; Domínguez, L. In vitro taurocholate-induced segmentation and clustering of Mesocestoides vogae (syn. corti) tetrathyridia (Cestoda)- inhibition by cestocidal drugs. Parasitol. Res. 2001, 87, 281–286. [Google Scholar]
- The Animal Protocol Complied with Uruguayan Law No. 18.611. Available online: http://archivo.presidencia.gub.uy/_web/leyes/2009/10/EC1395.pdf (accessed on 25 June 2015).
- Bradford, M.M. A rapid and sensitive method for the quantitation of microgram quantities of protein utilizing the principle of protein-dye binding. Anal. Biochem. 1976, 72, 248–254. [Google Scholar] [CrossRef]
- Stoscheck, C.M. Quantitation of protein. Methods Enzymol. 1990, 182, 50–68. [Google Scholar] [PubMed]
- Arner, E.S.J.; Zhong, L.; Holmgren, A. Preparation and assay of mammalian thioredoxin and thioredoxin reductase. Methods Enzymol. 1999, 300, 226–239. [Google Scholar] [PubMed]
- Carlberg, I.; Mannervik, B. Glutathione reductase. Methods Enzymol. 1985, 113, 484–490. [Google Scholar] [PubMed]
- Larkin, M.A.; Blackshields, G.; Brown, N.P.; Chenna, R.; McGettigan, P.A.; McWilliam, H.; Valentin, F.; Wallace, I.M.; Wilm, A.; Lopez, R.; et al. Clustal W and Clustal X version 2.0. Bioinformatics 2007, 23, 2947–2948. [Google Scholar] [CrossRef] [PubMed]
- SECISearch Program, Version 2-19. Available online: http://genome.unl.edu/SECISearch.html (accessed on 25 June 2015).
- Kryukov, G.V.; Castellano, S.; Novoselov, S.V.; Lobanov, A.V.; Zehtab, O.; Guigo, R.; Gladyshev, V.N. Characterization of mammalian selenoproteomes. Science 2003, 300, 1439–1443. [Google Scholar] [CrossRef] [PubMed]
- Bendtsen, J.; Nielsen, H.; von Heijne, G.; Brunak, S. Improved Prediction of Signal Peptides: SignalP 3.0. J. Mol. Biol. 2004, 340, 783–795. [Google Scholar] [CrossRef] [PubMed]
- Bannai, H.; Tamada, Y.; Maruyama, O.; Nakai, K.; Miyano, S. Extensive feature detection of N-terminal protein sorting signals. Bioinformatics 2002, 18, 298–305. [Google Scholar] [CrossRef] [PubMed]
- Sample Availability: Samples of the compound VL16E are available from the authors.
© 2015 by the authors. Licensee MDPI, Basel, Switzerland. This article is an open access article distributed under the terms and conditions of the Creative Commons Attribution license ( http://creativecommons.org/licenses/by/4.0/).
Share and Cite
Pasquet, V.; Bisio, H.; López, G.V.; Romanelli-Cedrez, L.; Bonilla, M.; Saldaña, J.; Salinas, G. Inhibition of Tapeworm Thioredoxin and Glutathione Pathways by an Oxadiazole N-Oxide Leads to Reduced Mesocestoides vogae Infection Burden in Mice. Molecules 2015, 20, 11793-11807. https://doi.org/10.3390/molecules200711793
Pasquet V, Bisio H, López GV, Romanelli-Cedrez L, Bonilla M, Saldaña J, Salinas G. Inhibition of Tapeworm Thioredoxin and Glutathione Pathways by an Oxadiazole N-Oxide Leads to Reduced Mesocestoides vogae Infection Burden in Mice. Molecules. 2015; 20(7):11793-11807. https://doi.org/10.3390/molecules200711793
Chicago/Turabian StylePasquet, Vivian, Hugo Bisio, Gloria V. López, Laura Romanelli-Cedrez, Mariana Bonilla, Jenny Saldaña, and Gustavo Salinas. 2015. "Inhibition of Tapeworm Thioredoxin and Glutathione Pathways by an Oxadiazole N-Oxide Leads to Reduced Mesocestoides vogae Infection Burden in Mice" Molecules 20, no. 7: 11793-11807. https://doi.org/10.3390/molecules200711793
APA StylePasquet, V., Bisio, H., López, G. V., Romanelli-Cedrez, L., Bonilla, M., Saldaña, J., & Salinas, G. (2015). Inhibition of Tapeworm Thioredoxin and Glutathione Pathways by an Oxadiazole N-Oxide Leads to Reduced Mesocestoides vogae Infection Burden in Mice. Molecules, 20(7), 11793-11807. https://doi.org/10.3390/molecules200711793
