A Multi-Source Circular Geodesic Voting Model for Image Segmentation
Abstract
1. Introduction
Integration of Neural Networks and Active Contour Models for Image Segmentation
- We introduce a variational PolarVoting model for image segmentation that blends the enhancement from the geometric regularization of the CGV approach and the learning capabilities of the deep learning-based PolarMask model. This fusion leverages the classical PolarMask model to generate initialization information, thereby enhancing segmentation precision, especially in complicated scenarios.
- The traditional CGV model utilizes a single user-provided source point to create the voting score map, which may suffer from unexpected difficulties for complex images. Our model advances the CGV model by incorporating multiple source points, an enhancement designed to achieve more robust segmentation, particularly for intricate object boundaries.
- The efficacy of the proposed PolarVoting model is evaluated on both real-world natural and medical images. Experimental results demonstrate that the PolarVoting model indeed outperforms both PolarMask and the traditional single-source CGV model, underscoring its effectiveness across varied contexts.
2. Preliminaries
2.1. PolarMask Model
2.1.1. PolarMask Segmentation
2.1.2. Limitations of the PolarMask Model
- The PolarMask model constructs the final contour by directly connecting the predicted points on the instance contour. This means that to achieve a more detailed representation of the contour, a greater number of polar rays must be predicted. For instance, as shown in Figure 2a, constructing the contour of an instance using only 36 points would lead to poor segmentation results. Furthermore, as previously mentioned, the mask regression branch has a shape of to predict the length of each polar ray. When the number of rays is large, the branch structure becomes more complex, making training more challenging. Therefore, selecting an appropriate value for the hyper-parameter n is a delicate task for PolarMask.
- In the PolarMask model, only the point with the greatest length for each ray is preserved. However, if there are multiple points along the ground truth contour, as in the case of the example shown in Figure 2b, PolarMask struggles to accurately capture the true contour of the instance, even when the number of rays is large. As a result, PolarMask encounters significant challenges in segmenting U-shaped instances.
- The PolarMask model does not incorporate contour regularization. In scenarios where image quality is low or distorted by noise, such as in medical CT images, the absence of regularization can lead to unexpected and irregular segmentation results, highlighting significant room for improvement.
2.2. The Circular Geodesic Voting Model
2.2.1. Geodesic Minimal Path Model with Asymmetric Quadratic Metrics
2.2.2. Overall Pipeline
Computing the Adaptive Cut
Building the Set of Endpoints
Performing Geodesic Voting
Final Segmentation
2.2.3. Limitations
- The CGV model is inherently designed for interactive image segmentation, as it relies on the manual input of a landmark point. Consequently, it is unsuitable for scenarios requiring fully automatic segmentation.
- In constructing the score map, the model utilizes a single point on the instance contour as the source point. While effective for simpler contours, this approach may struggle to accurately capture the complexity of highly intricate instance contours.
3. A Multi-Source Circular Geodesic Voting Model
3.1. Update the Vertices
3.2. Construct Multiple Adaptive Cuts
3.3. Circular Geodesic Voting with Distance Competition and Multiple Cuts
3.3.1. The Construction of Voting Paths
3.3.2. Voting Score Map with Multiple Cuts
4. Experiments
4.1. Experimental Configuration
4.1.1. Datasets
- Natural Images: We utilize the Berkeley Segmentation Dataset 500 (BSDS500) [40] as the dataset for natural images, which serves as a standard benchmark for contour detection. This dataset is specifically designed to evaluate natural edge detection, encompassing not only object contours but also interior and background boundaries.
- Medical Images: For medical images, we select X-ray computed tomography (CT) scans from [41]. This dataset is commonly used in medical image segmentation evaluations, with image resolution ranging from to pixels, depending on the specific context of each test.
4.1.2. Baseline Methods
4.2. Qualitative Comparison Analysis
4.3. Quantitative Performance Analysis
4.4. Influence of Source Points on Performance
4.4.1. Effect of the Number of Source Points
4.4.2. Effect of the Placement of Source Points
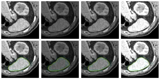
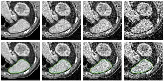
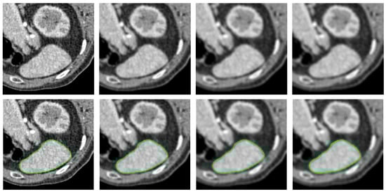
4.5. Performance Under Adverse Conditions
5. Conlusions
Author Contributions
Funding
Institutional Review Board Statement
Data Availability Statement
Conflicts of Interest
References
- Luo, X.; Wang, G.; Liao, W.; Chen, J.; Song, T.; Chen, Y.; Zhang, S.; Metaxas, D.N.; Zhang, S. Semi-supervised medical image segmentation via uncertainty rectified pyramid consistency. Med. Image Anal. 2022, 80, 102517. [Google Scholar] [CrossRef]
- Ning, Z.; Zhong, S.; Feng, Q.; Chen, W.; Zhang, Y. SMU-Net: Saliency-guided morphology-aware U-Net for breast lesion segmentation in ultrasound image. IEEE Trans. Med. Imaging 2021, 41, 476–490. [Google Scholar] [CrossRef] [PubMed]
- Zhou, W.; Dong, S.; Lei, J.; Yu, L. MTANet: Multitask-aware network with hierarchical multimodal fusion for RGB-T urban scene understanding. IEEE Trans. Intell. Veh. 2022, 8, 48–58. [Google Scholar] [CrossRef]
- Yao, S.; Guan, R.; Huang, X.; Li, Z.; Sha, X.; Yue, Y.; Lim, E.G.; Seo, H.; Man, K.L.; Zhu, X.; et al. Radar-camera fusion for object detection and semantic segmentation in autonomous driving: A comprehensive review. IEEE Trans. Intell. Veh. 2023, 9, 2094–2128. [Google Scholar] [CrossRef]
- Deng, Y.; Xi, H.; Zhou, G.; Chen, A.; Wang, Y.; Li, L.; Hu, Y. An effective image-based tomato leaf disease segmentation method using MC-UNet. Plant Phenomics 2023, 5, 0049. [Google Scholar] [CrossRef] [PubMed]
- Wu, F.; Yang, Z.; Mo, X.; Wu, Z.; Tang, W.; Duan, J.; Zou, X. Detection and counting of banana bunches by integrating deep learning and classic image-processing algorithms. Comput. Electron. Agric. 2023, 209, 107827. [Google Scholar] [CrossRef]
- Minaee, S.; Boykov, Y.; Porikli, F.; Plaza, A.; Kehtarnavaz, N.; Terzopoulos, D. Image segmentation using deep learning: A survey. IEEE Trans. Pattern Anal. Mach. Intell. 2021, 44, 3523–3542. [Google Scholar] [CrossRef]
- Wang, Z.; Wang, E.; Zhu, Y. Image segmentation evaluation: A survey of methods. Artif. Intell. Rev. 2020, 53, 5637–5674. [Google Scholar] [CrossRef]
- Sultana, F.; Sufian, A.; Dutta, P. Evolution of image segmentation using deep convolutional neural network: A survey. Knowl.-Based Syst. 2020, 201, 106062. [Google Scholar] [CrossRef]
- Ronneberger, O.; Fischer, P.; Brox, T. U-net: Convolutional networks for biomedical image segmentation. In Proceedings of the Medical Image Computing and Computer-Assisted Intervention—MICCAI 2015: 18th International Conference, Munich, Germany, 5–9 October 2015; proceedings, part III 18. Springer: Berlin/Heidelberg, Germany, 2015; pp. 234–241. [Google Scholar]
- Chen, L.C.; Papandreou, G.; Kokkinos, I.; Murphy, K.; Yuille, A.L. Deeplab: Semantic image segmentation with deep convolutional nets, atrous convolution, and fully connected crfs. IEEE Trans. Pattern Anal. Mach. Intell. 2017, 40, 834–848. [Google Scholar] [CrossRef]
- Xie, E.; Sun, P.; Song, X.; Wang, W.; Liu, X.; Liang, D.; Shen, C.; Luo, P. Polarmask: Single shot instance segmentation with polar representation. In Proceedings of the IEEE/CVF Conference on Computer Vision and Pattern Recognition, Seattle, WA, USA, 13–19 June 2020; pp. 12193–12202. [Google Scholar]
- Xie, E.; Wang, W.; Ding, M.; Zhang, R.; Luo, P. Polarmask++: Enhanced polar representation for single-shot instance segmentation and beyond. IEEE Trans. Pattern Anal. Mach. Intell. 2021, 44, 5385–5400. [Google Scholar] [CrossRef]
- Zou, L.; Song, L.T.; Weise, T.; Wang, X.F.; Huang, Q.J.; Deng, R.; Wu, Z.Z. A survey on regional level set image segmentation models based on the energy functional similarity measure. Neurocomputing 2021, 452, 606–622. [Google Scholar] [CrossRef]
- Liu, L.; Chen, D.; Shu, M.; Cohen, L.D. Grouping Boundary Proposals for Fast Interactive Image Segmentation. IEEE Trans. Image Process. 2024, 33, 793–808. [Google Scholar] [CrossRef]
- Yang, D.; Peng, B.; Al-Huda, Z.; Malik, A.; Zhai, D. An overview of edge and object contour detection. Neurocomputing 2022, 488, 470–493. [Google Scholar] [CrossRef]
- Heidler, K.; Mou, L.; Loebel, E.; Scheinert, M.; Lefèvre, S.; Zhu, X.X. A deep active contour model for delineating glacier calving fronts. IEEE Trans. Geosci. Remote Sens. 2023, 61, 5615912. [Google Scholar] [CrossRef]
- Choi, J.; Suh, D. A depthwise convolutional neural network model based on active contour for multi-defect wafer map pattern classification. Eng. Appl. Artif. Intell. 2025, 139, 109707. [Google Scholar] [CrossRef]
- Xu, C.; Wang, J.; Tao, J.; Zhang, J.; Zheng, P. A knowledge augmented deep learning method for vision-based yarn contour detection. J. Manuf. Syst. 2022, 63, 317–328. [Google Scholar] [CrossRef]
- Li, Y.; Cao, G.; Wang, T.; Cui, Q.; Wang, B. A novel local region-based active contour model for image segmentation using Bayes theorem. Inf. Sci. 2020, 506, 443–456. [Google Scholar] [CrossRef]
- Nouri, M.; Baleghi, Y. An active contour model reinforced by convolutional neural network and texture description. Neurocomputing 2023, 528, 125–135. [Google Scholar] [CrossRef]
- Nguyen, D.H.; Nguyen, D.M.; Mai, T.T.; Nguyen, T.; Tran, K.T.; Nguyen, A.T.; Pham, B.T.; Nguyen, B.T. ASMCNN: An efficient brain extraction using active shape model and convolutional neural networks. Inf. Sci. 2022, 591, 25–48. [Google Scholar] [CrossRef]
- Biesok, M.; Juszczyk, J.; Badura, P. Breast tumor segmentation in ultrasound using distance-adapted fuzzy connectedness, convolutional neural network, and active contour. Sci. Rep. 2024, 14, 25859. [Google Scholar] [CrossRef]
- Zhou, S.; Liu, H.; Liu, L.; Shu, M.; Chen, D.; Cohen, L.D. A Generalized Geodesic Voting Framework for Interactive Image Segmentation. IEEE Trans. Instrum. Meas. 2024, 74, 5001814. [Google Scholar] [CrossRef]
- Tian, Z.; Chu, X.; Wang, X.; Wei, X.; Shen, C. Fully convolutional one-stage 3d object detection on lidar range images. Adv. Neural Inf. Process. Syst. 2022, 35, 34899–34911. [Google Scholar]
- Lions, P.L. Generalized Solutions of Hamilton-Jacobi Equations; Pitman Publishing: Lanham, MD, USA, 1982. [Google Scholar]
- Sethian, J.A.; Vladimirsky, A. Ordered upwind methods for static Hamilton–Jacobi equations: Theory and algorithms. SIAM J. Numer. Anal. 2003, 41, 325–363. [Google Scholar] [CrossRef]
- Mirebeau, J.M. Anisotropic fast-marching on cartesian grids using lattice basis reduction. SIAM J. Numer. Anal. 2014, 52, 1573–1599. [Google Scholar] [CrossRef]
- Peyré, G.; Cohen, L.D. Geodesic remeshing using front propagation. Int. J. Comput. Vis. 2006, 69, 145–156. [Google Scholar] [CrossRef]
- Sochen, N.; Kimmel, R.; Malladi, R. A general framework for low level vision. IEEE Trans. Image Process. 1998, 7, 310–318. [Google Scholar] [CrossRef] [PubMed]
- Xu, C.; Prince, J.L. Snakes, shapes, and gradient vector flow. IEEE Trans. Image Process. 1998, 7, 359–369. [Google Scholar]
- Mirebeau, J.M.; Portegies, J. Hamiltonian fast marching: A numerical solver for anisotropic and non-holonomic eikonal PDEs. Image Process. Line 2019, 9, 47–93. [Google Scholar] [CrossRef]
- Mille, J.; Bougleux, S.; Cohen, L.D. Combination of piecewise-geodesic paths for interactive segmentation. Int. J. Comput. Vis. 2015, 112, 1–22. [Google Scholar] [CrossRef]
- Chen, D.; Zhu, J.; Zhang, X.; Shu, M.; Cohen, L.D. Geodesic paths for image segmentation with implicit region-based homogeneity enhancement. IEEE Trans. Image Process. 2021, 30, 5138–5153. [Google Scholar] [CrossRef] [PubMed]
- Chen, D.; Mirebeau, J.M.; Shu, H.; Cohen, L.D. A Region-based Randers geodesic approach for image segmentation. Int. J. Comput. Vis. 2024, 132, 349–391. [Google Scholar] [CrossRef]
- Chen, D.; Mirebeau, J.M.; Cohen, L.D. Global minimum for a Finsler elastica minimal path approach. Int. J. Comput. Vis. 2017, 122, 458–483. [Google Scholar] [CrossRef]
- Mirebeau, J.M. Fast-marching methods for curvature penalized shortest paths. J. Math. Imag. Vis. 2018, 60, 784–815. [Google Scholar] [CrossRef]
- Chen, D.; Spencer, J.; Mirebeau, J.M.; Chen, K.; Cohen, L.D. Asymmetric geodesic distance propagation for active contours. In Proceedings of the 29th British Machine Vision Conference (BMVC’18), Newcastle, UK, 3–6 September 2018. [Google Scholar]
- Cohen, L.D.; Kimmel, R. Global minimum for active contour models: A minimal path approach. Int. J. Comput. Vis. 1997, 24, 57–78. [Google Scholar] [CrossRef]
- Martin, D.; Fowlkes, C.; Tal, D.; Malik, J. A Database of Human Segmented Natural Images and its Application to Evaluating Segmentation Algorithms and Measuring Ecological Statistics. In Proceedings of the Eighth IEEE International Conference on Computer Vision, Vancouver, BC, Canada, 7–14 July 2001; Volume 2, pp. 416–423. [Google Scholar]
- Spencer, J.; Chen, K.; Duan, J. Parameter-free selective segmentation with convex variational methods. IEEE Trans. Image Process. 2018, 28, 2163–2172. [Google Scholar] [CrossRef] [PubMed]












| PolarMask | CGV | PolarVoting | |||
|---|---|---|---|---|---|
| Mean | Std | Mean | Std | Mean | Std |
| 0.2928 | 0.1841 | 0.6639 | 0.3344 | 0.8561 | 0.1541 |
| Number of Source Points | |||||||||
|---|---|---|---|---|---|---|---|---|---|
| 5 | 10 | 15 | 20 | 25 | |||||
| Mean | Std | Mean | Std | Mean | Std | Mean | Std | Mean | Std |
| 0.7550 | 0.2432 | 0.8017 | 0.2436 | 0.8728 | 0.1576 | 0.8733 | 0.1572 | 0.8739 | 0.1576 |
Disclaimer/Publisher’s Note: The statements, opinions and data contained in all publications are solely those of the individual author(s) and contributor(s) and not of MDPI and/or the editor(s). MDPI and/or the editor(s) disclaim responsibility for any injury to people or property resulting from any ideas, methods, instructions or products referred to in the content. |
© 2024 by the authors. Licensee MDPI, Basel, Switzerland. This article is an open access article distributed under the terms and conditions of the Creative Commons Attribution (CC BY) license (https://creativecommons.org/licenses/by/4.0/).
Share and Cite
Zhou, S.; Shu, M.; Di, C. A Multi-Source Circular Geodesic Voting Model for Image Segmentation. Entropy 2024, 26, 1123. https://doi.org/10.3390/e26121123
Zhou S, Shu M, Di C. A Multi-Source Circular Geodesic Voting Model for Image Segmentation. Entropy. 2024; 26(12):1123. https://doi.org/10.3390/e26121123
Chicago/Turabian StyleZhou, Shuwang, Minglei Shu, and Chong Di. 2024. "A Multi-Source Circular Geodesic Voting Model for Image Segmentation" Entropy 26, no. 12: 1123. https://doi.org/10.3390/e26121123
APA StyleZhou, S., Shu, M., & Di, C. (2024). A Multi-Source Circular Geodesic Voting Model for Image Segmentation. Entropy, 26(12), 1123. https://doi.org/10.3390/e26121123

