Sign in to use this feature.

Years

Between: -

Subjects

remove_circle_outline
remove_circle_outline
remove_circle_outline
remove_circle_outline
remove_circle_outline
remove_circle_outline
remove_circle_outline
remove_circle_outline
remove_circle_outline

Journals

remove_circle_outline
remove_circle_outline
remove_circle_outline
remove_circle_outline
remove_circle_outline
remove_circle_outline

Article Types

Countries / Regions

remove_circle_outline
remove_circle_outline
remove_circle_outline
remove_circle_outline
remove_circle_outline

Search Results (614)

Search Parameters:
Keywords = risk decomposition

Order results
Result details
Results per page
Select all
Export citation of selected articles as:
44 pages, 5889 KB  
Article
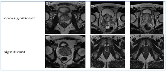
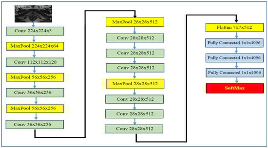
A Multi-Stage Hybrid Learning Model with Advanced Feature Fusion for Enhanced Prostate Cancer Classification
by Sameh Abd El-Ghany and A. A. Abd El-Aziz
Diagnostics 2025, 15(24), 3235; https://doi.org/10.3390/diagnostics15243235 (registering DOI) - 17 Dec 2025
Abstract
Background: Cancer poses a significant health risk to humans, with prostate cancer (PCa) being the second most common and deadly form among men, following lung cancer. Each year, it affects over a million individuals and presents substantial diagnostic challenges due to variations [...] Read more.
Background: Cancer poses a significant health risk to humans, with prostate cancer (PCa) being the second most common and deadly form among men, following lung cancer. Each year, it affects over a million individuals and presents substantial diagnostic challenges due to variations in tissue appearance and imaging quality. In recent decades, various techniques utilizing Magnetic Resonance Imaging (MRI) have been developed for identifying and classifying PCa. Accurate classification in MRI typically requires the integration of complementary feature types, such as deep semantic representations from Convolutional Neural Networks (CNNs) and handcrafted descriptors like Histogram of Oriented Gradients (HOG). Therefore, a more robust and discriminative feature integration strategy is crucial for enhancing computer-aided diagnosis performance. Objectives: This study aims to develop a multi-stage hybrid learning model that combines deep and handcrafted features, investigates various feature reduction and classification techniques, and improves diagnostic accuracy for prostate cancer using magnetic resonance imaging. Methods: The proposed framework integrates deep features extracted from convolutional architectures with handcrafted texture descriptors to capture both semantic and structural information. Multiple dimensionality reduction methods, including singular value decomposition (SVD), were evaluated to optimize the fused feature space. Several machine learning (ML) classifiers were benchmarked to identify the most effective diagnostic configuration. The overall framework was validated using k-fold cross-validation to ensure reliability and minimize evaluation bias. Results: Experimental results on the Transverse Plane Prostate (TPP) dataset for binary classification tasks showed that the hybrid model significantly outperformed individual deep or handcrafted approaches, achieving superior accuracy of 99.74%, specificity of 99.87%, precision of 99.87%, sensitivity of 99.61%, and F1-score of 99.74%. Conclusions: By combining complementary feature extraction, dimensionality reduction, and optimized classification, the proposed model offers a reliable and generalizable solution for prostate cancer diagnosis and demonstrates strong potential for integration into intelligent clinical decision-support systems. Full article
Show Figures

Figure 1

27 pages, 814 KB  
Article
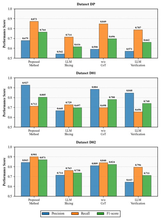
Concurrency Bug Detection via Static Analysis and Large Language Models
by Zuocheng Feng, Yiming Chen, Kaiwen Zhang, Xiaofeng Li and Guanjun Liu
Future Internet 2025, 17(12), 578; https://doi.org/10.3390/fi17120578 - 15 Dec 2025
Abstract
Concurrency bugs originate from complex and improper synchronization of shared resources, presenting a significant challenge for detection. Traditional static analysis relies heavily on expert knowledge and frequently fails when code is non-compilable. Conversely, large language models struggle with semantic sparsity, inadequate comprehension of [...] Read more.
Concurrency bugs originate from complex and improper synchronization of shared resources, presenting a significant challenge for detection. Traditional static analysis relies heavily on expert knowledge and frequently fails when code is non-compilable. Conversely, large language models struggle with semantic sparsity, inadequate comprehension of concurrent semantics, and the tendency to hallucinate. To address the limitations of static analysis in capturing complex concurrency semantics and the hallucination risks associated with large language models, this study proposes ConSynergy. This novel framework integrates the structural rigor of static analysis with the semantic reasoning capabilities of large language models. The core design employs a robust task decomposition strategy that decomposes concurrency bug detection into a four-stage pipeline: shared resource identification, concurrency-aware slicing, data-flow reasoning, and formal verification. This approach fundamentally mitigates hallucinations from large language models caused by insufficient program context. First, the framework identifies shared resources and applies a concurrency-aware program slicing technique to precisely extract concurrency-related structural features, thereby alleviating semantic sparsity. Second, to enhance the large language model’s comprehension of concurrent semantics, we design a concurrency data-flow analysis based on Chain-of-Thought prompting. Third, the framework incorporates a Satisfiability Modulo Theories solver to ensure the reliability of detection results, alongside an iterative repair mechanism based on large language models that dramatically reduces dependency on code compilability. Extensive experiments on three mainstream concurrency bug datasets, including DataRaceBench, the concurrency subset of Juliet, and DeepRace, demonstrate that ConSynergy achieves an average precision and recall of 80.0% and 87.1%, respectively. ConSynergy outperforms state-of-the-art baselines by 10.9% to 68.2% in average F1 score, demonstrating significant potential for practical application. Full article
Show Figures

Figure 1

18 pages, 6293 KB  
Article
Operational Modal Analysis of a Monopile Offshore Wind Turbine via Bayesian Spectral Decomposition
by Mumin Rao, Xugang Hua, Chi Yu, Zhouquan Feng, Jiayi Deng, Zengru Yang, Yuhuan Zhang, Feiyun Deng and Zhichao Wu
J. Mar. Sci. Eng. 2025, 13(12), 2326; https://doi.org/10.3390/jmse13122326 - 8 Dec 2025
Viewed by 191
Abstract
Offshore wind turbines (OWTs) operate under harsh marine conditions involving strong winds, waves, and salt-laden air, which increase the risk of excessive vibrations and structural failures such as tower collapse. To ensure structural safety and achieve effective vibration control, accurate modal parameter identification [...] Read more.
Offshore wind turbines (OWTs) operate under harsh marine conditions involving strong winds, waves, and salt-laden air, which increase the risk of excessive vibrations and structural failures such as tower collapse. To ensure structural safety and achieve effective vibration control, accurate modal parameter identification is essential. In this study, a vibration monitoring system was developed, and the Bayesian Spectral Decomposition (BSD) method was applied for the operational modal analysis of a 5.5 MW monopile OWT. The monitoring system consisted of ten uniaxial accelerometers mounted at five elevations along the tower, with two orthogonally oriented sensors at each level to capture horizontal vibrations. Due to continuous nacelle yawing, the measured accelerations were projected onto the structural fore–aft (FA) and side–side (SS) directions prior to modal analysis. Two days of vibration and SCADA data were collected: one under rated rotor speed and another including one hour of idle state. Data preprocessing involved outlier removal, low-pass filtering, and directional projection. The obtained data were divided into 20-min segments, and the BSD approach was applied to extract the primary modal parameters in both FA and SS directions. Comparison with results from the Stochastic Subspace Identification (SSI) technique showed strong consistency, verifying the reliability of the BSD method and its advantage in uncertainty quantification. The results indicate that the identified modal frequencies remain relatively stable under both rated and idle conditions, whereas the damping ratios increase with wind speed, with a more significant growth observed in the FA direction. Full article
Show Figures

Figure 1

21 pages, 2478 KB  
Article
Road Adhesion Coefficient Estimation Method for Distributed Drive Electric Vehicles Based on SR-UKF
by Jinhui Li, Xinyu Wei and Hui Peng
Vehicles 2025, 7(4), 154; https://doi.org/10.3390/vehicles7040154 - 6 Dec 2025
Viewed by 136
Abstract
To improve recognition accuracy, convergence speed, and numerical stability in estimating the road adhesion coefficient for distributed-drive electric vehicles, a nonlinear seven-degree-of-freedom vehicle dynamics model was developed based on a modified Dugoff tire model. Using the Unscented Kalman Filter (UKF) as a foundation, [...] Read more.
To improve recognition accuracy, convergence speed, and numerical stability in estimating the road adhesion coefficient for distributed-drive electric vehicles, a nonlinear seven-degree-of-freedom vehicle dynamics model was developed based on a modified Dugoff tire model. Using the Unscented Kalman Filter (UKF) as a foundation, a Square-Root Unscented Kalman Filter (SR-UKF) algorithm was derived through covariance-square-root processing and Singular Value Decomposition (SVD). A co-simulation platform was built with CarSim and Simulink, and a vehicle speed-following model was developed for simulation analysis. The results show that the SR-UKF algorithm for road identification consistently maintains matrix positive definiteness, ensures numerical stability, speeds up convergence, and fully utilizes measurement information. Simulations under various road conditions (high-adhesion, low-adhesion, split-μ, and opposite-μ) and driving scenarios demonstrate that, compared to the traditional UKF, the SR-UKF converges faster and provides higher estimation accuracy, enabling real-time, accurate estimation of the road adhesion coefficient across multiple scenarios. Final results confirm that the SR-UKF exhibits excellent estimation accuracy and robustness on low-adhesion surfaces, confirming its superiority under high-risk conditions. This offers a dependable basis for improving vehicle active safety. Full article
(This article belongs to the Topic Dynamics, Control and Simulation of Electric Vehicles)
Show Figures

Figure 1

16 pages, 1736 KB  
Article
A First Process-Oriented Characterization of Eriolobus trilobatus (Labill. ex Poiret) Bark from Turkey: Chemical, Morphological and Energy Properties
by Umut Șen, Cengiz Yücedağ, Büşra Balcı, Şefik Arıcı, Günnur Koçar, Beyza Şat, Catarina Viegas, Margarida Gonçalves, Isabel Miranda and Helena Pereira
Processes 2025, 13(12), 3946; https://doi.org/10.3390/pr13123946 - 6 Dec 2025
Viewed by 202
Abstract
For the first time, Eriolobus trilobatus bark from Turkey has been characterized in terms of its chemical, extractive, fuel, and ash characteristics using SEM–EDS, wet chemical analysis, phenolic analysis, FT-IR, TGA, XRF, XRD, BET surface area measurement, proximate analysis, and ash fusion temperature [...] Read more.
For the first time, Eriolobus trilobatus bark from Turkey has been characterized in terms of its chemical, extractive, fuel, and ash characteristics using SEM–EDS, wet chemical analysis, phenolic analysis, FT-IR, TGA, XRF, XRD, BET surface area measurement, proximate analysis, and ash fusion temperature (AFT) determination. The results showed that the bark contains 13% ash, dominated by calcium oxalate, and 15% extractives, largely composed of polar phenolic compounds with moderate radical-scavenging potential. Thermal decomposition of bark proceeds in four distinct stages, associated with the sequential degradation of extractives/hemicelluloses, cellulose, lignin/suberin, and inorganic fractions. The higher calorific value of 14.9 MJ/kg indicates moderate fuel quality compared with conventional woody biomass. Ash is mesoporous with a CaO-rich structure highly suitable for catalytic applications in biodiesel production and biomass gasification. Ash fusion analysis revealed a high flow temperature (1452 °C), indicating a very low slagging risk during thermochemical conversion. Overall, E. trilobatus bark is a promising material for value-added biorefinery pathways, enabling processes for the production of biochars, CaO-based catalysts, phenolic extracts, and sustainable energy. The valorization of E. trilobatus bark not only enhances the economic potential of forestry residues but also provides environmental co-benefits through carbon soil amendment and landscape applications. Full article
(This article belongs to the Section Environmental and Green Processes)
Show Figures

Graphical abstract

30 pages, 4862 KB  
Article
A Multi-Channel Δ-BiLSTM Framework for Short-Term Bus Load Forecasting Based on VMD and LOWESS
by Yeran Guo, Li Wang and Jie Zhao
Electronics 2025, 14(23), 4772; https://doi.org/10.3390/electronics14234772 - 4 Dec 2025
Viewed by 162
Abstract
Short-term bus load forecasting in distribution networks faces severe challenges of non-stationarity, high-frequency disturbances, and multi-scale coupling arising from renewable integration and emerging loads such as centralized EV charging. Conventional statistical and deep learning approaches often exhibit instability under abrupt fluctuations, whereas decomposition-based [...] Read more.
Short-term bus load forecasting in distribution networks faces severe challenges of non-stationarity, high-frequency disturbances, and multi-scale coupling arising from renewable integration and emerging loads such as centralized EV charging. Conventional statistical and deep learning approaches often exhibit instability under abrupt fluctuations, whereas decomposition-based frameworks risk redundancy and information leakage. This study develops a hybrid forecasting framework that integrates variational mode decomposition (VMD), locally weighted scatterplot smoothing (LOWESS), and a multi-channel differential bidirectional long short-term memory network (Δ-BiLSTM). VMD decomposes the bus load sequence into intrinsic mode functions (IMFs), residuals are adaptively smoothed using LOWESS, and effective channels are selected through correlation-based redundancy control. The Δ-target learning strategy enhances the modeling of ramping dynamics and abrupt transitions, while Bayesian optimization and time-sequenced validation ensure reproducibility and stable training. Case studies on coastal-grid bus load data demonstrate substantial improvements in accuracy. In single-step forecasting, RMSE is reduced by 65.5% relative to ARIMA, and R2 remains above 0.98 for horizons h = 1–3, with slower error growth than LSTM, RNN, and SVM. Segment-wise analysis further shows that, for h=1, the RMSE on the fluctuation, stable, and peak segments is reduced by 69.4%, 62.5%, and 62.4%, respectively, compared with ARIMA. The proposed Δ-BiLSTM exhibits compact error distributions and narrow interquartile ranges, confirming its robustness under peak-load and highly volatile conditions. Furthermore, the framework’s design ensures both transparency and reliable training, contributing to its robustness and practical applicability. Overall, the VMD–LOWESS–Δ-BiLSTM framework achieves superior accuracy, calibration, and robustness in complex, noisy, and non-stationary environments. Its interpretable structure and reproducible training protocol make it a reliable and practical solution for short-term bus load forecasting in modern distribution networks. Full article
Show Figures

Figure 1

29 pages, 7931 KB  
Article
Decadal- and Annual-Scale Interactions Between the North Atlantic Oscillation and Precipitation over Northern Algeria: Identifying Suitable Wavelet Families for Nonlinear Analysis
by Bilel Zerouali, Mohamed Chettih, Zaki Abda, Wafa Saleh Alkhuraiji, Celso Augusto Guimarães Santos, Mohamed Saber, Nadjem Bailek, Neyara Radwan and Youssef M. Youssef
Atmosphere 2025, 16(12), 1373; https://doi.org/10.3390/atmos16121373 - 3 Dec 2025
Viewed by 316
Abstract
The North Atlantic Oscillation (NAO) represents the dominant atmospheric mode governing climate variability across the Northern Hemisphere, particularly influencing precipitation regimes in regions such as northern Algeria. This study investigates the nonlinear linkage between monthly NAO indices and rainfall over northern Algeria for [...] Read more.
The North Atlantic Oscillation (NAO) represents the dominant atmospheric mode governing climate variability across the Northern Hemisphere, particularly influencing precipitation regimes in regions such as northern Algeria. This study investigates the nonlinear linkage between monthly NAO indices and rainfall over northern Algeria for the period 1970–2009 using a cross-multiresolution analysis framework based on seven wavelet families—Daubechies, Biorthogonal, Reverse Biorthogonal, Discrete Meyer, Symlets, Coiflets, and Fejer–Korovkin—comprising a total of 106 individual mother wavelets. More than 700 cross-correlations were computed per NAO–rainfall pair to identify wavelet families that yield stable and physically coherent teleconnection structures across seven decomposition scales (D1–A7). The maximum decomposition level (27 = 128 months, ≈10.6 years) captures intra-annual to decadal variability without extending into multidecadal regimes, ensuring temporal representativeness relative to the 40-year record length. The results reveal that short-term scales (D1–D3) are dominated by noise, masking weak correlations (≤±0.20), while stronger and more coherent relationships emerge at longer scales, reaching ±0.4 at the annual and ±0.75 at the decadal bands. These findings confirm the pronounced influence of low-frequency NAO variability on regional precipitation. Unlike previous studies limited to a few Daubechies wavelets, this work systematically compares 106 wavelet forms and evaluates robustness through reproducibility across scales, consistency among wavelet families, and physical coherence with known NAO periodicities (2–4 and 8–12 years). By emphasizing stability and physical plausibility over statistical significance alone, this approach minimizes the risk of spurious correlations due to multiple testing and highlights genuine scale-dependent teleconnection patterns. The application of discrete wavelet transforms thus enhances signal clarity, isolates meaningful oscillations, and provides a robust diagnostic framework for understanding NAO–rainfall dynamics in northern Algeria. Full article
(This article belongs to the Special Issue State-of-the-Art in Severe Weather Research)
Show Figures

Figure 1

33 pages, 12224 KB  
Article
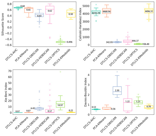
Unsupervised Clustering of InSAR Time-Series Deformation in Mandalay Region from 2022 to 2025 Using Dynamic Time Warping and Longest Common Subsequence
by Jingyi Qin, Zhifang Zhao, Dingyi Zhou, Mengfan Yuan, Chaohai Liu, Xiaoyan Wei and Tin Aung Myint
Remote Sens. 2025, 17(23), 3920; https://doi.org/10.3390/rs17233920 - 3 Dec 2025
Viewed by 348
Abstract
Urban land subsidence poses a significant threat in rapidly urbanizing regions, threatening infrastructure integrity and sustainable development. This study focuses on Mandalay, Myanmar, and presents a novel clustering framework—Dynamic Time Warping and Trend-based Longest Common Subsequence with Agglomerative Hierarchical Clustering (DTLCS-AHC)—to classify spatiotemporal [...] Read more.
Urban land subsidence poses a significant threat in rapidly urbanizing regions, threatening infrastructure integrity and sustainable development. This study focuses on Mandalay, Myanmar, and presents a novel clustering framework—Dynamic Time Warping and Trend-based Longest Common Subsequence with Agglomerative Hierarchical Clustering (DTLCS-AHC)—to classify spatiotemporal deformation patterns from Small Baseline Subset (SBAS) Interferometric Synthetic Aperture Radar (InSAR) time series derived from Sentinel-1A imagery covering January 2022 to March 2025. The method identifies four characteristic deformation regimes: stable uplift, stable subsidence, primary subsidence, and secondary subsidence. Time–frequency analysis employing Empirical Mode Decomposition (EMD) and Discrete Fourier Transform (DFT) reveals seasonal oscillations in stable areas. Notably, a transition from subsidence to uplift was detected in specific areas approximately seven months prior to the Mw 7.7 earthquake, but causal relationships require further validation. This study further establishes correlations between subsidence and both urban expansion and rainfall patterns. A physically informed conceptual model is developed through multi-source data integration, and cross-city validation in Yangon confirms the robustness and generalizability of the approach. This research provides a scalable technical framework for deformation monitoring and risk assessment in tropical, data-scarce urban environments. Full article
Show Figures

Graphical abstract

19 pages, 280 KB  
Article
Determinants and Transmission Channels of Financial Cycle Synchronization in EU Member States
by Matei-Nicolae Kubinschi, Robert-Adrian Grecu and Nicoleta Sîrbu
J. Risk Financial Manag. 2025, 18(12), 690; https://doi.org/10.3390/jrfm18120690 - 3 Dec 2025
Viewed by 292
Abstract
This paper investigates the determinants and transmission channels underlying the synchronization between financial and business cycles across European Union (EU) member states. For the empirical approach, we combine frequency-domain filtering techniques with spillover index analysis to track cross-country macro-financial interlinkages. We measure financial [...] Read more.
This paper investigates the determinants and transmission channels underlying the synchronization between financial and business cycles across European Union (EU) member states. For the empirical approach, we combine frequency-domain filtering techniques with spillover index analysis to track cross-country macro-financial interlinkages. We measure financial cycle correlations and spillovers in terms of common exposures to trade linkages, overlapping systemic risk episodes, and bilateral financial claims. An important finding is that financial and business cycles tend to move together, largely due to shared macro-financial conditions and systemic stress episodes. While the data reveal strong co-movement between these cycles, the analysis does not imply a specific direction of causality. In particular, it remains possible that shifts in financial conditions can amplify or even precede business-cycle fluctuations, as seen during major crises. The focus of this study is, therefore, on the interdependence and synchronization of these cycles rather than on causal sequencing. The analysis combines complementary filtering and variance-decomposition methods to quantify the interdependencies shaping EU financial stability, providing a basis for enhanced macroprudential policy coordination. The policy implications for macroprudential authorities entail taking into account cross-border effects and spillovers when implementing instruments for taming the financial cycle. Full article
(This article belongs to the Special Issue Business, Finance, and Economic Development)
39 pages, 3352 KB  
Article
Mapping Financial Contagion in Emerging Markets: The Role of the VIX and Geopolitical Risk in BRICS Plus Spillovers
by Chourouk Kasraoui, Naif Alsagr, Ahmed Jeribi and Sahbi Farhani
Int. J. Financial Stud. 2025, 13(4), 228; https://doi.org/10.3390/ijfs13040228 - 2 Dec 2025
Viewed by 524
Abstract
Using a time-frequency and quantile connectedness approach, our study examines the complex return spillovers dynamics between BRICS Plus stock markets, the volatility index (VIX), and the global geopolitical risk index (GPRD). By employing advanced models such as TVP-VAR, quantile connectedness, and spectral decomposition, [...] Read more.
Using a time-frequency and quantile connectedness approach, our study examines the complex return spillovers dynamics between BRICS Plus stock markets, the volatility index (VIX), and the global geopolitical risk index (GPRD). By employing advanced models such as TVP-VAR, quantile connectedness, and spectral decomposition, we demonstrate how these markets interact across different market conditions and periods. Our results indicate that the VIX consistently acts as the dominant net transmitter of shocks, especially during periods of heightened uncertainty such as the COVID-19 pandemic, the Russian-Ukraine conflict, and the Trump-era U.S.-China trade tensions. In contrast, the GPRD functions predominantly as a net receiver of shocks, indicating its potential role as a hedge during geopolitical crises. BRICS Plus markets exhibit heterogeneous behavior: Brazil, South Africa, and Russia frequently emerge as net transmitters, while China, India, Egypt, Saudi Arabia, and the UAE primarily act as net receivers. Spillovers are strongest at the extremes of the return distribution and are mainly driven by short-term dynamics, underscoring the importance of high-frequency reactions over persistent long-term effects. These findings highlight the asymmetric, nonlinear, and state-dependent nature of global financial contagion, offering important insights for risk management, asset allocation, and macroprudential policy design in emerging market contexts. Full article
Show Figures

Figure 1

23 pages, 5410 KB  
Article
Surface Uplift Induced by Groundwater Level Variations Revealed Using MT-InSAR Time-Series Observations
by Seongcheon Park, Sang-Hoon Hong and Francesca Cigna
Remote Sens. 2025, 17(23), 3875; https://doi.org/10.3390/rs17233875 - 29 Nov 2025
Viewed by 415
Abstract
By altering aquifer storage capacity, groundwater level (GWL) plays a critical role in driving surface deformation, including ground subsidence and uplift. Groundwater depletion can induce sinkholes or subsidence, whereas recharge can cause surface uplift. These processes pose significant risks to soft grounds composed [...] Read more.
By altering aquifer storage capacity, groundwater level (GWL) plays a critical role in driving surface deformation, including ground subsidence and uplift. Groundwater depletion can induce sinkholes or subsidence, whereas recharge can cause surface uplift. These processes pose significant risks to soft grounds composed of soft alluvial sediments, emphasizing the importance of regular monitoring. In this study, we applied the small baseline subset (SBAS) technique to conduct a time-series analysis of surface deformation in Gimhae City, South Korea, where a continuous GWL increase was observed. Seasonal trend decomposition using the Loess (STL) method was employed to isolate the long-term GWL trend by removing seasonal variability. Multi-frequency synthetic aperture radar datasets, including ALOS PALSAR, COSMO-SkyMed, and Sentinel-1, revealed a cumulative surface uplift of approximately 9.2 cm, primarily concentrated along the deepest GWL contour line and confined between two lineament structures. The decomposed velocities from Sentinel-1 highlighted the predominance of vertical displacement over horizontal movement. Time-series analyses consistently showed uplift patterns, whereas correlation analysis demonstrated a strong relationship (R2 > 0.75) between surface deformation and GWL changes from 2013 to 2021. These results suggest a significant link between surface uplift and the rising GWL in Gimhae City, providing insights into the hydrogeological processes that influence ground deformation. Furthermore, a time lag between the GWL changes and surface displacement was identified, providing valuable insights into the dynamics of groundwater-related surface deformation. Full article
(This article belongs to the Section Environmental Remote Sensing)
Show Figures

Graphical abstract

29 pages, 8075 KB  
Article
Long-Term Temperature and Precipitation Trends Across South America, Urban Centers, and Brazilian Biomes
by José Roberto Rozante, Gabriela Rozante and Iracema Fonseca de Albuquerque Cavalcanti
Atmosphere 2025, 16(12), 1332; https://doi.org/10.3390/atmos16121332 - 25 Nov 2025
Viewed by 484
Abstract
This study examines long-term trends in maximum (Tmax) and minimum (Tmin) near-surface air temperatures and precipitation across South America, focusing on Brazilian biomes and national capitals, using ERA5 reanalysis data for 1979–2024. To isolate the underlying climate signal, seasonal cycles were removed using [...] Read more.
This study examines long-term trends in maximum (Tmax) and minimum (Tmin) near-surface air temperatures and precipitation across South America, focusing on Brazilian biomes and national capitals, using ERA5 reanalysis data for 1979–2024. To isolate the underlying climate signal, seasonal cycles were removed using Seasonal-Trend decomposition based on Loess (STL), which effectively separates short-term variability from long-term trends. Temperature trends were quantified using ordinary least squares (OLS) regression, allowing consistent estimation of linear changes over time, while precipitation trends were assessed using the non-parametric Mann–Kendall test combined with Theil–Sen slope estimation, a robust approach that minimizes the influence of outliers and serial correlation in hydroclimatic data. Results indicate widespread but spatially heterogeneous warming, with Tmax increasing faster than Tmin, consistent with reduced cloudiness and evaporative cooling. A meridional precipitation dipole is evident, with drying across the Cerrado, Pantanal, Caatinga, and Pampa, contrasted by rainfall increases in northern South America linked to ITCZ shifts. The Pantanal emerges as the most vulnerable biome, showing strong warming (+0.51 °C decade−1) and the steepest rainfall decline (−10.45 mm decade−1). Satellite-based fire detections (2013–2024) reveal rising wildfire activity in the Amazon, Pantanal, and Cerrado, aligning with the “hotter and drier” climate regime. In the capitals, persistent Tmax increases suggest enhanced urban heat island effects, with implications for public health and energy demand. Although ERA5 provides coherent spatial coverage, regional biases and sparse in situ observations introduce uncertainties, particularly in the Amazon and Andes, these do not alter the principal finding that the magnitude and persistence of the 1979–2024 warming lie well above the range of interdecadal variability typically associated with the Atlantic Multidecadal Oscillation (AMO) and the Pacific Decadal Oscillation (PDO). This provides strong evidence that the recent warming is not cyclical but reflects the externally forced secular warming signal. These findings underscore growing fire risk, ecosystem stress, and urban vulnerability, highlighting the urgency of targeted adaptation and resilience strategies under accelerating climate change. Full article
(This article belongs to the Special Issue Hydroclimate Extremes Under Climate Change)
Show Figures

Figure 1

18 pages, 7581 KB  
Article
Improving Soil Properties and Microbiomes by Mixed Eucalyptus–Cupressus Afforestation
by You-Wei Zuo, Yu-Ying Liu, Ya-Xin Jiang, Wen-Qiao Li, Yang Peng, Sheng-Mao Zhou, Shi-Qi You, Sheng-Qiao Liu and Hong-Ping Deng
Biology 2025, 14(12), 1667; https://doi.org/10.3390/biology14121667 - 24 Nov 2025
Viewed by 274
Abstract
Monoculture plantations of Eucalyptus in China have raised ecological concerns due to water depletion, soil degradation, and fire risk. Integrating Eucalyptus with Cupressus offers a sustainable approach to improving forest ecosystem health. In this study, we established five forest treatments, pure Eucalyptus (1:0), [...] Read more.
Monoculture plantations of Eucalyptus in China have raised ecological concerns due to water depletion, soil degradation, and fire risk. Integrating Eucalyptus with Cupressus offers a sustainable approach to improving forest ecosystem health. In this study, we established five forest treatments, pure Eucalyptus (1:0), mixed EucalyptusCupressus at three ratios (2:1, 1:1, and 1:2), and pure Cupressus (0:1), to assess their effects on soil properties, microbial diversity, and metabolomic profiles. Laboratory analyses revealed significant differences in physicochemical soil properties (such as water content (p < 0.05), pH (p < 0.001), organic carbon (p < 0.001), and nitrogen (p < 0.001)) among various groups within the mixed forests. Microbial community investigations highlighted a unique microbial signature in EucalyptusCupressus mixed forests, especially when the tree ratio was 1:2, characterized by a rich (Chao1, p < 0.05) and diverse (Shannon, p < 0.05) array of bacterial taxa. The mixed EucalyptusCupressus forest also exhibited an uplift in microbial communities, bacterial genera such as RB41, and fungal genera including Penicillium, Talaromyces, and Mortierella, which are associated with enhanced organic matter decomposition and nutrient cycling. Interactive networks within microbial communities were revealed through co-occurrence and Spearman correlation analyses, highlighting potential symbiotic relationships and ecological complexities. Metabolomic analysis, coupled with pathway analysis, further illuminated metabolic shifts in the mixed forests, emphasizing alterations in key metabolic pathways such as phenylpropanoid biosynthesis, tyrosine metabolism, arachidonic acid metabolism, and isoquinoline alkaloid biosynthesis. Collectively, these results show that moderately mixed EucalyptusCupressus forests improve soil fertility and microbial multifunctionality, providing a practical model for sustainable and resilient forest management in subtropical regions. Full article
Show Figures

Graphical abstract

34 pages, 6981 KB  
Article
Increasing Automation on Mission Planning for Heterogeneous Multi-Rotor Drone Fleets in Emergency Response
by Ilham Zerrouk, Esther Salamí, Cristina Barrado, Gautier Hattenberger and Enric Pastor
Drones 2025, 9(12), 816; https://doi.org/10.3390/drones9120816 - 24 Nov 2025
Viewed by 495
Abstract
Drones are increasingly vital for disaster management, yet emergency fleets often consist of heterogeneous platforms, complicating task allocation. Efficient deployment requires rapid assignment based on vehicle and payload characteristics. This work proposes a three-step method composed of fleet analysis, area decomposition and trajectory [...] Read more.
Drones are increasingly vital for disaster management, yet emergency fleets often consist of heterogeneous platforms, complicating task allocation. Efficient deployment requires rapid assignment based on vehicle and payload characteristics. This work proposes a three-step method composed of fleet analysis, area decomposition and trajectory generation for multi-rotor drone surveillance, aiming to achieve complete area coverage in minimal time while respecting no-fly zones. The three-step method generates optimized trajectories for all drones in less than 2 min, ensuring uniform precision and reduced flight distance compared to state-of-the-art methods, achieving mean distance gains of up to 9.31% with a homogeneous fleet of 10 drones. Additionally, a comparative analysis of area partitioning algorithms reveals that simplifying the geometry of the surveillance region can lead to more effective divisions and less complex trajectories. This simplification results in approximately 8.4% fewer turns, even if it slightly increases the total area to be covered. Full article
Show Figures

Graphical abstract

22 pages, 1900 KB  
Article
Measuring and Enhancing Food Security Resilience in China Under Climate Change
by Xiaoliang Xie, Yihong Hu, Xialian Li, Saijia Li, Xiaoyu Li and Ying Li
Systems 2025, 13(12), 1054; https://doi.org/10.3390/systems13121054 - 23 Nov 2025
Viewed by 368
Abstract
As global warming intensifies, extreme weather phenomena such as heatwaves, flash droughts, torrential floods, cold waves, and blizzards are becoming increasingly frequent. Against this backdrop, traditional static food security assessment methods fail to capture the dynamic transmission patterns of agricultural productivity risks and [...] Read more.
As global warming intensifies, extreme weather phenomena such as heatwaves, flash droughts, torrential floods, cold waves, and blizzards are becoming increasingly frequent. Against this backdrop, traditional static food security assessment methods fail to capture the dynamic transmission patterns of agricultural productivity risks and their regional heterogeneity. Therefore, it is imperative to reconstruct a resilience analysis paradigm for food production systems, dynamically investigate the mechanisms through which climate change affects China’s agricultural productivity and discern the interactive effects between technological evolution and climate constraints. This will provide theoretical foundations for building a climate-resilient food security system. Accordingly, this study establishes a multidimensional resilience measurement index system for China’s grain productivity by integrating agricultural factor elasticity analysis with disaster impact response modeling. Through production function decomposition and hybrid forecasting models, we reveal the evolutionary patterns of China’s grain productivity under climate risk shocks and trace the transmission pathways of risk fluctuations. Key findings indicate the following: (1) Extreme climate events exhibit significant negative correlations with grain production, with drought and flood impacts demonstrating pronounced regional heterogeneity. (2) A dynamic game relationship exists between agricultural technological progress and climate risk constraints, where the marginal contribution of resource efficiency improvements to productivity growth shows diminishing returns. (3) Climate-sensitive factors vary substantially across agricultural zones: Northeast China faces dominant cold damage, North China experiences drought stress, while South China contends with humid-heat disasters as primary regional risks. Consequently, strengthening foundational agricultural infrastructure and optimizing regionally differentiated risk mitigation strategies constitute critical pathways for enhancing food security resilience. (4) Future research should leverage higher-resolution, county-level data and incorporate a wider range of socio-economic variables to enhance granular understanding and predictive accuracy. Full article
Show Figures

Figure 1

Back to TopTop