Sign in to use this feature.

Years

Between: -

Subjects

remove_circle_outline
remove_circle_outline
remove_circle_outline
remove_circle_outline
remove_circle_outline
remove_circle_outline
remove_circle_outline

Journals

Article Types

Countries / Regions

Search Results (57)

Search Parameters:
Keywords = rat femur model

Order results
Result details
Results per page
Select all
Export citation of selected articles as:
17 pages, 3302 KB  
Article
Effects of Ovariectomy and Low-Calcium Diet on Six Different Sites of the Rat Skeleton
by Xanthippi Dereka, Rodopi Emfietzoglou and Pavlos Lelovas
Biomimetics 2025, 10(7), 474; https://doi.org/10.3390/biomimetics10070474 - 18 Jul 2025
Viewed by 1363
Abstract
The aim of this study was to evaluate structural and micro-architectural changes in the mandible, parietal bone, femur, and tibia in OVX rats at different time periods after ovariectomy. Forty-two 11-month-old female Wistar rats were used. Six rats without surgery were euthanized to [...] Read more.
The aim of this study was to evaluate structural and micro-architectural changes in the mandible, parietal bone, femur, and tibia in OVX rats at different time periods after ovariectomy. Forty-two 11-month-old female Wistar rats were used. Six rats without surgery were euthanized to serve as a baseline. Eighteen rats were ovariectomized and fed with a calcium-deficient diet, and eighteen animals were used as controls (Ctrls) and fed with a standard diet. Six OVX rats and six Ctrls were euthanized at 3, 6, and 9 months. Qualitative histology and dual-energy X-ray absorptiometry (DXA) were performed. Histological evaluation of bones harvested from the OVX groups revealed trabecular bone reduction, while no significant differences in the cortical bone of OVX and Ctrls were observed. DXA measurements of (1) femoral diaphysis showed a significant decrease in the OVX group compared to the Ctrl groups at 3 (p = 0.041), 6 (p < 0.001), and 9 months (p < 0.001); (2) the proximal tibia showed a significant decrease in the OVX group compared to the Ctrl groups (p < 0.001); (3) parietal bone showed a significant difference between OVX and Ctrls at 6 months (p = 0.012); and (4) the mandible showed no significant differences between the OVX and Ctrl groups. OVX aged rats might present reductions in the density of the femoral diaphysis, proximal tibia, parietal bone, and mandible at different time points. These findings contribute to the field of biomimetics by providing more details for the understanding of age- and hormone-related bone changes in the osteoporotic-like rat model. Such data are critical for the development of biomimetic materials and structures that attempt to simulate natural bone adaptation and deterioration, especially in the context of postmenopausal or osteoporotic conditions. Full article
(This article belongs to the Section Biomimetics of Materials and Structures)
Show Figures

Figure 1

13 pages, 1875 KB  
Article
The Validation of an Experimental Model in Wistar Female Rats to Study Osteopenia and Osteoporosis
by Artur Lage Pedroso, Raul Canal, Sergio Alexandre Gehrke, Eleani Maria da Costa, Antonio Scarano, Fernanda Barchesi Zanelatto and André Antonio Pelegrine
Bioengineering 2025, 12(7), 702; https://doi.org/10.3390/bioengineering12070702 - 27 Jun 2025
Cited by 2 | Viewed by 2403
Abstract
Background: Osteoporosis is a systemic disease characterized by a progressive decrease in bone density and deterioration of the tissue’s microarchitecture. This results in greater structural fragility and a higher risk of fractures. Osteopenia represents the beginning of the process of decreasing bone density [...] Read more.
Background: Osteoporosis is a systemic disease characterized by a progressive decrease in bone density and deterioration of the tissue’s microarchitecture. This results in greater structural fragility and a higher risk of fractures. Osteopenia represents the beginning of the process of decreasing bone density and, if left untreated, can lead to osteoporosis. The objective of this study was to validate an experimental model for establishing cases of decreased bone density that allows for the creation of different levels of severity of mineral loss and changes in bone microstructure. Materials and Methods: Twenty female Wistar rats, 12 weeks old and with a body weight ranging from 300 to 400 g, were used in this study. The animals were randomly distributed into five groups (n = 5 per group): a control group (CG), where the animals were not ovariectomized (OVX), and four experimental groups, where the animals were OVX and euthanized at different times: 30 days (G30), 40 days (G40), 60 days (G60), and 80 days (G80). The animals in the experimental groups underwent bilateral ovariectomy to induce mineral loss. The femurs were collected after the periods established for each group and analyzed using microcomputed tomography (μCT) to determine bone density and count the number of trabeculae. Furthermore, the T-score was calculated for each group. Results: There were significant differences in bone density when comparing all groups, with GC > G30 > G40 > G60 > G80. For the number of trabeculae, GC presented more trabeculae than all other groups. More trabeculae were also observed in G30 when compared to G40, G60, and G80; however, there were no differences between G40, G60, and G80. Regarding the calculation of the T-score by group, osteopenia was observed in G30 (T-score: −2.42) and osteoporosis was observed in G40, G60, and G80 (T-scores: −4.38, −6.34, and −7.71, respectively). Conclusions: The results demonstrate that ovariectomy induces progressive changes in bone structure, with the onset of osteopenia 30 days after ovariectomy and osteoporosis after 40 days in this experimental model. These results may aid future investigations that seek to focus on the specific treatment of osteopenia and/or osteoporosis. Full article
(This article belongs to the Special Issue Advanced Engineering Technologies in Orthopaedic Research)
Show Figures

Figure 1

19 pages, 1701 KB  
Article
A Preclinical Investigation of Estrogenic Bone Protection in a Hypertensive Rat Model Under Gender-Affirming Hormone Therapy
by Lucas Streckwall, Germán A. Colareda, Daiana Escudero, Romina G. Diaz and Juan M. Fernández
Biology 2025, 14(6), 650; https://doi.org/10.3390/biology14060650 - 3 Jun 2025
Viewed by 1432
Abstract
The goal of gender-affirming hormone therapy (GAHT) is to align an individual’s physical characteristics with their gender identity by suppressing endogenous sex hormones and replacing them with those consistent with their gender. Transgender women undergoing GAHT are at higher risk of cardiovascular complications, [...] Read more.
The goal of gender-affirming hormone therapy (GAHT) is to align an individual’s physical characteristics with their gender identity by suppressing endogenous sex hormones and replacing them with those consistent with their gender. Transgender women undergoing GAHT are at higher risk of cardiovascular complications, and since clinical evidence suggests that hypertension is associated with increased bone loss, we investigated the effects of estrogen treatment on bone health in a hypertensive transgender animal model. Male spontaneously hypertensive rats were orchiectomized (Orch), and half of them received estrogen treatment (Orch + Es), while a third group remained intact as controls. Bone marrow progenitor cells (BMPCs) were isolated to assess osteogenic potential, and femurs were collected for histological and mechanical analysis. BMPCs from Orch + Es rats exhibited enhanced osteogenic potential compared to those from Orch rats. Histological analysis revealed a higher number of osteocytes and fewer adipocytes in the Orch + Es group. Mechanical testing showed reduced bone strength in Orch rats, which was partially preserved in Orch + Es animals. In conclusion, estrogen administration mitigated the deleterious effects of testosterone depletion on BMPCs and provided protective effects on bone structure and strength in this preclinical model of GAHT in hypertensive rats. Full article
(This article belongs to the Special Issue Osteoblast Differentiation in Health and Disease)
Show Figures

Figure 1

19 pages, 6147 KB  
Article
Vitamin E Improves Cellular and Structural Bone Histomorphometry in an Alcohol-Induced Osteoporosis Rat Model
by Norazlina Mohamed, Seham Salem Ahmed Abukhadir, Syed Alhafiz Syed Hashim, Nur Sabariah Adnan, Muhamad Arizi Aziz and Norliza Muhammad
Pharmaceuticals 2024, 17(12), 1730; https://doi.org/10.3390/ph17121730 - 20 Dec 2024
Cited by 2 | Viewed by 1601
Abstract
Background: Alcohol-induced osteoporosis is a significant health concern, impairing bone formation and enhancing resorption, thereby weakening skeletal integrity. This study examines the effects of palm vitamin E on bone histomorphometry in a male rat model of alcohol-induced osteoporosis. Methods: Three-month-old Sprague–Dawley [...] Read more.
Background: Alcohol-induced osteoporosis is a significant health concern, impairing bone formation and enhancing resorption, thereby weakening skeletal integrity. This study examines the effects of palm vitamin E on bone histomorphometry in a male rat model of alcohol-induced osteoporosis. Methods: Three-month-old Sprague–Dawley rats were randomized into seven groups, with one baseline control group (BC) and six experimental groups undergoing a two-phase treatment. In the first month, the control group received normal saline, while experimental groups received intraperitoneal alcohol (3 g/kg) three times weekly. For the subsequent two months, alcohol treatment continued in one group (A), while others received olive oil (C), saline (AN), alpha-tocopherol (AA), or palm vitamin E (AE) orally. Results: Femur histomorphometric analysis post-sacrifice showed that alcohol exposure significantly decreased osteoblastic activity and impaired bone microarchitecture, evidenced by reduced Ob.S/BS, OS/BS, OV/BV, Tb.Th, BV/TV, and Tb.N, alongside increased Oc.S/BS, ES/BS, and Tb.Sp. Both alpha-tocopherol and palm vitamin E improved bone parameters, with palm vitamin E showing superior efficacy except in OV/BV. Conclusions: These findings suggest that palm vitamin E may offer a therapeutic benefit for mitigating alcohol-induced bone damage. Full article
(This article belongs to the Special Issue The Pharmacological Management of Bone and Muscle Disorders)
Show Figures

Figure 1

19 pages, 5368 KB  
Article
Amorphous Calcium Carbonate Enhances Fracture Healing in a Rat Fracture Model
by Tsu-Te Yeh, Chun-Kai Chen, Yaswanth Kuthati, Lokesh Kumar Mende, Chih-Shung Wong and Zwe-Ling Kong
Nutrients 2024, 16(23), 4089; https://doi.org/10.3390/nu16234089 - 27 Nov 2024
Cited by 3 | Viewed by 4537
Abstract
Background: Delayed and failed fracture repair and bone healing remain significant public health issues. Dietary supplements serve as a safe, inexpensive, and non-surgical means to aid in different stages of fracture repair. Studies have shown that amorphous calcium carbonate (ACC) is absorbed [...] Read more.
Background: Delayed and failed fracture repair and bone healing remain significant public health issues. Dietary supplements serve as a safe, inexpensive, and non-surgical means to aid in different stages of fracture repair. Studies have shown that amorphous calcium carbonate (ACC) is absorbed 2 to 4.6 times more than crystalline calcium carbonate in humans. Objectives: In the present study, we assessed the efficacy of ACC on femoral fracture healing in a male Wistar rat model. Methods: Eighty male Wistar rats were randomly divided into five groups (n = six per group): sham, fracture + water, fracture + 0.5× (206 mg/kg) ACC, fracture + 1× ACC (412 mg/kg), and fracture + 1.5× (618 mg/kg) ACC, where ACC refers to the equivalent supplemental dose of ACC for humans. A 21-gauge needle was placed in the left femoral shaft, and we then waited for three weeks. After three weeks, the sham group of rats was left without fractures, while the remaining animals had their left mid-femur fractured with an impactor, followed by treatment with different doses of oral ACC for three weeks. Weight-bearing capacity, microcomputed tomography, and serum biomarkers were evaluated weekly. After three weeks, the rats were sacrificed, and their femur bones were isolated to conduct an evaluation of biomechanical strength and histological analysis. Results: Weight-bearing tests showed that treatment with ACC at all the tested doses led to a significant increase in weight-bearing capacity compared to the controls. In addition, microcomputed tomography and histological studies revealed that ACC treatment improved callus formation dose-dependently. Moreover, biomechanical strength was improved in a dose-dependent fashion in ACC-treated rats compared to the controls. In addition, supplementation with ACC significantly lowered bone formation and resorption marker levels two–three weeks post-fracture induction, indicating accelerated fracture recovery. Conclusions: Our preliminary data demonstrate that ACC supplementation improves fracture healing, with ACC-supplemented rats healing in a shorter time than control rats. Full article
Show Figures

Figure 1

24 pages, 59806 KB  
Article
Histological Analysis of the Effect of a Vector Potential Generator on the Femur of a Hindlimb-Suspended Rat
by Wataru Minamizono, Nao Yashima, Hiroya Matsunaga, Kaoru Fujikawa, Hirai Suito, Takumi Okunuki and Masafumi Ohsako
Anatomia 2024, 3(4), 277-300; https://doi.org/10.3390/anatomia3040023 - 26 Nov 2024
Cited by 1 | Viewed by 2297
Abstract
Disuse osteoporosis occurs due to rest and reduced mechanical stimulation. Under these conditions, bone resorption exceeds bone formation, leading to a decrease in bone density. Vector potential (VP) generators have been developed, and their ability to maintain cartilage thickness has been reported. However, [...] Read more.
Disuse osteoporosis occurs due to rest and reduced mechanical stimulation. Under these conditions, bone resorption exceeds bone formation, leading to a decrease in bone density. Vector potential (VP) generators have been developed, and their ability to maintain cartilage thickness has been reported. However, their effects on bone tissue remain unstudied. In this study, experiments were conducted to test the effects of VP on bones that had undergone weight reduction due to hindlimb suspension as a model of disuse osteoporosis. Methods: In this study, 7-week-old male Wistar rats (N = 6 each) were classified into control (CO), hindlimb suspension (HS), and VP energization intervention groups. The tail was used to suspend the HS and VP to remove the load applied to the hindlimbs. The VP conditions were as follows: voltage, 67 mV; frequency, 20 kHz, 0.12 mA; experimental intervention, 30 min/day, 5 days/week, for 3 weeks. At the end of the experimental period, the rats were euthanized with carbon dioxide gas, and histological specimens were fixed in 4% paraformaldehyde (PFA) in the femur and analyzed by electron microscopy, bone morphometry, immunohistology, bone fracture testing, and gene expression analysis. Results: HS decreased trabecular bone density and strength. However, VP maintained a significantly higher bone mass than HS, and VP did not differ from CO in bone strength; more osteoclasts were observed on the bone surface in HS, but they were suppressed in VP, and gene expression of CTSK and MMP-9 was decreased. Conclusions: VP suppressed bone resorption by osteoclasts, suggesting that VP is useful in the treatment of disuse osteoporosis. Full article
Show Figures

Figure 1

12 pages, 10714 KB  
Article
Bio-Calcium from Skipjack Tuna Frame Attenuates Bone Loss in Ovariectomy-Induced Osteoporosis Rats
by Jirakrit Saetang, Acharaporn Issuriya, Watcharapol Suyapoh, Peerapon Sornying, Krisana Nilsuwan and Soottawat Benjakul
Mar. Drugs 2024, 22(10), 472; https://doi.org/10.3390/md22100472 - 16 Oct 2024
Cited by 7 | Viewed by 3084
Abstract
Bio-calcium derived from fish frames may offer several advantages for osteoporosis prevention. This study aimed to evaluate the effects of bio-calcium derived from skipjack tuna frames on bone loss in ovariectomized rats. Tuna bio-calcium was prepared through enzymatic hydrolysis, defatting, bleaching, and grinding [...] Read more.
Bio-calcium derived from fish frames may offer several advantages for osteoporosis prevention. This study aimed to evaluate the effects of bio-calcium derived from skipjack tuna frames on bone loss in ovariectomized rats. Tuna bio-calcium was prepared through enzymatic hydrolysis, defatting, bleaching, and grinding processes. The bioavailability of calcium was tested using the Caco-2 cell monolayer model, showing that 13% of tuna bio-calcium was absorbed, compared to 10% for calcium carbonate. Rats were divided into the five following groups: (1) OVX, (2) sham-operated, (3), OVX + estrogen-treated (4) OVX + calcium carbonate-treated, and (5) OVX + tuna bio-calcium-treated. All groups were raised for eight weeks. Tuna bio-calcium was able to increase BV/TV by 26% in the femur and 29% in the tibia, compared to 13% and 17% in the OVX group, respectively. Trabecular thickness in the femur upsurged to 360 µm in the tuna group, while a thickness of 290 µm was observed in the control. Additionally, osteoclast numbers were reduced to 5 N.Oc/mm in the femur and 6 N.Oc/mm in the tibia in the tuna group, compared to 35 and 45 N.Oc/mm in the control. Overall, tuna bio-calcium effectively prevented bone loss and can serve as a promising natural alternative for managing osteoporosis. Full article
Show Figures

Figure 1

11 pages, 1103 KB  
Article
Evaluation of the Effects of Locally Applied Resveratrol and Cigarette Smoking on Bone Healing
by Muhsin Fırat İskender, Müge Çına, Şevket Tolga Çamlı, İbrahim Metin Çiriş and Ramazan Oğuz Yüceer
Appl. Sci. 2024, 14(15), 6411; https://doi.org/10.3390/app14156411 - 23 Jul 2024
Viewed by 2173
Abstract
Background: Bone healing is a complex process controlled by various mechanisms. It is known that cigarette smoking (CS) negatively affects bone healing by disrupting many of these mechanisms. In an effort to find ways to eliminate these negative effects caused by CS, studies [...] Read more.
Background: Bone healing is a complex process controlled by various mechanisms. It is known that cigarette smoking (CS) negatively affects bone healing by disrupting many of these mechanisms. In an effort to find ways to eliminate these negative effects caused by CS, studies have been conducted on various vitamins, antioxidants, and medications. Since high doses and repeated injections are required to increase the therapeutic effect of conventional drug applications, controlled drug delivery systems have been developed to avoid such problems. This study aimed to investigate the effects of resveratrol (RES), which has been made into a controlled drug delivery system, on bone healing in rats that were experimentally exposed to cigarette smoke to create a chronic smoking model. Methods: After establishing a chronic CS model by exposing the subjects to cigarette smoke of six cigarettes/day for four weeks, monocortical critical size defects of 3 mm (SD ± 0.02 mm) in diameter were created in the femur using a trephine bur. During the operation, the defects in RES groups were filled locally with a gel-formed solution of RES (50 µM) and Pluronic F-127 (14 µL). CS exposure was continued during the bone healing period after surgery. All groups were sacrificed one month after the operation, and femur samples were taken. Results: The obtained samples were examined by histomorphometric and immunohistochemical techniques; osteoblast count, new bone area, macroscopic filling score, vascularization, and proliferation were evaluated. Conclusion: The results of this study indicate that CS negatively affects bone healing and that local application of RES reduces this effect. Full article
(This article belongs to the Section Applied Dentistry and Oral Sciences)
Show Figures

Figure 1

14 pages, 4448 KB  
Article
The Impact of Defect Size on Bone Healing in Critical-Size Bone Defects Investigated on a Rat Femur Defect Model Comparing Two Treatment Methods
by Andreas Kammerer, Frederik Alexander Hartmann, Christoph Nau, Maximilian Leiblein, Alexander Schaible, Jonas Neijhoft, Dirk Henrich, René Verboket and Maren Janko
Bioengineering 2024, 11(3), 287; https://doi.org/10.3390/bioengineering11030287 - 19 Mar 2024
Cited by 11 | Viewed by 4706
Abstract
Critical-size bone defects up to 25 cm can be treated successfully using the induced membrane technique established by Masquelet. To shorten this procedure, human acellular dermis (HAD) has had success in replacing this membrane in rat models. The aim of this study was [...] Read more.
Critical-size bone defects up to 25 cm can be treated successfully using the induced membrane technique established by Masquelet. To shorten this procedure, human acellular dermis (HAD) has had success in replacing this membrane in rat models. The aim of this study was to compare bone healing for smaller and larger defects using an induced membrane and HAD in a rat model. Using our established femoral defect model in rats, the animals were placed into four groups and defects of 5 mm or 10 mm size were set, either filling them with autologous spongiosa and surrounding the defect with HAD or waiting for the induced membrane to form around a cement spacer and filling this cavity in a second operation with a cancellous bone graft. Healing was assessed eight weeks after the operation using µ-CT, histological staining, and an assessment of the progress of bone formation using an established bone healing score. The α-smooth muscle actin used as a signal of blood vessel formation was stained and counted. The 5 mm defects showed significantly better bone union and a higher bone healing score than the 10 mm defects. HAD being used for the smaller defects resulted in a significantly higher bone healing score even than for the induced membrane and significantly higher blood vessel formation, corroborating the good results achieved by using HAD in previous studies. In comparison, same-sized groups showed significant differences in bone healing as well as blood vessel formation, suggesting that 5 mm defects are large enough to show different results in healing depending on treatment; therefore, 5 mm is a viable size for further studies on bone healing. Full article
(This article belongs to the Special Issue Biomaterials for Bone Repair and Regeneration)
Show Figures

Figure 1

13 pages, 10338 KB  
Article
Calcium Deficiency Decreases Bone Mass without Affecting Adiposity in Ovariectomized Rats Fed a High-Fat Diet
by Jay J. Cao and Brian R. Gregoire
Nutrients 2024, 16(4), 478; https://doi.org/10.3390/nu16040478 - 7 Feb 2024
Cited by 4 | Viewed by 2484
Abstract
Obesity induced by a high-fat (HF) diet increases bone resorption and/or decreases bone formation, resulting in reduced bone mass and strength in various animal models. Studies showed that Ca intake is a modifiable factor for osteoporosis and obesity. This study investigated whether Ca [...] Read more.
Obesity induced by a high-fat (HF) diet increases bone resorption and/or decreases bone formation, resulting in reduced bone mass and strength in various animal models. Studies showed that Ca intake is a modifiable factor for osteoporosis and obesity. This study investigated whether Ca deficiency affects bone structure and adiposity in ovariectomized (OVX) rats fed a HF diet. We hypothesized that Ca deficiency further decreases bone mass and increases fat mass in HF-fed OVX rats. Forty-seven OVX at 6-month-old were randomly assigned to four groups in a 2 × 2 factorial design: normal-fat (NF, 10% fat as energy) or HF (45% fat as energy) diet with either low Ca (LC, 1 g/4057 kcal) or normal Ca (NC, 6 g/4057 kcal). In addition, 12 sham-operated rats at 6 months old were fed a NFNC diet as a control for the OVX procedure. Rats were fed the respective diet for 4 months. Dietary Ca content did not affect body weight, fat mass, lean mass, food intake, energy intake, and serum cytokines. Compared to NC, LC resulted in lower tibial bone volume/total volume (BV/TV, p < 0.01), connectivity density (p < 0.01), trabecular number (Tb.N, p = 0.01), bone mineral density (BMD, p < 0.01), and femur weight (p < 0.01), femur content of Ca (p < 0.01), Cu (p = 0.03), Zn (p < 0.01), and greater trabecular separation (Tb.Sp, p < 0.01) at proximal tibia indicating bone structure deterioration. Compared to rats on the NF diet, animals fed the HF had lower BV/TV (p = 0.03) and Tb.N (p < 0.01) with greater body weight (p < 0.01), fat mass (p < 0.01), Tb.Sp (p = 0.01), the content of Ca, Cu, and Zn in the femur, and serum leptin (p < 0.01). There were no significant interactions between Ca and fat for body composition and bone structural parameters. Compared to Sham, OVX resulted in greater body weight and fat mass. The trabecular bone structure of the tibia, but not the cortical bone, was significantly impaired by the OVX procedure. These data indicate that inadequate Ca intake and a high-fat diet have independent negative effects on bone structure and that Ca deficiency does not affect adiposity in OVX rats. Full article
(This article belongs to the Section Micronutrients and Human Health)
Show Figures

Figure 1

14 pages, 2814 KB  
Article
Effects of a Combination of Polynucleotide and Hyaluronic Acid for Treating Osteoarthritis
by Seung Hee Choi, Hyun Chul Kim, Seul Gi Jang, Yeon Jae Lee, Jun Young Heo, Gi Ryang Kweon and Min Jeong Ryu
Int. J. Mol. Sci. 2024, 25(3), 1714; https://doi.org/10.3390/ijms25031714 - 30 Jan 2024
Cited by 11 | Viewed by 8607
Abstract
Knee osteoarthritis (OA), an age-related degenerative disease characterized by severe pain and disability, is treated using polynucleotides (PNs) and hyaluronic acid (HA). The intra-articular (IA) injection of HA has been studied extensively in both animal models and in humans; however, the efficacy and [...] Read more.
Knee osteoarthritis (OA), an age-related degenerative disease characterized by severe pain and disability, is treated using polynucleotides (PNs) and hyaluronic acid (HA). The intra-articular (IA) injection of HA has been studied extensively in both animal models and in humans; however, the efficacy and mechanisms of action remain unclear. In addition, there has been a paucity of research regarding the use of PN alone or in combination with HA in OA. To investigate the effect of the combined injection of PN and HA in vivo, pathological and behavioral changes were assessed in an OA model. Anterior cruciate ligament transection and medial meniscectomy were performed in Sprague-Dawley rats to create the OA animal model. The locomotor activity improved following PNHA injection, while the OARSI grade improved in the medial tibia and femur. In mild OA, TNFα levels decreased histologically in the PN, HA, and PNHA groups but only the PNHA group showed behavioral improvement in terms of distance. In conclusion, PNHA exhibited anti-inflammatory effects during OA progression and improved locomotor activity regardless of the OARSI grade. Full article
(This article belongs to the Section Molecular Pharmacology)
Show Figures

Figure 1

24 pages, 5730 KB  
Article
Mesoporous Bioactive Glass-Incorporated Injectable Strontium-Containing Calcium Phosphate Cement Enhanced Osteoconductivity in a Critical-Sized Metaphyseal Defect in Osteoporotic Rats
by Seemun Ray, Ulrich Thormann, Inga Kramer, Ursula Sommer, Matthäus Budak, Matthias Schumacher, Anne Bernhardt, Anja Lode, Christine Kern, Marcus Rohnke, Christian Heiss, Katrin S. Lips, Michael Gelinsky and Volker Alt
Bioengineering 2023, 10(10), 1203; https://doi.org/10.3390/bioengineering10101203 - 16 Oct 2023
Cited by 4 | Viewed by 2910
Abstract
In this study, the in vitro and in vivo bone formation behavior of mesoporous bioactive glass (MBG) particles incorporated in a pasty strontium-containing calcium phosphate bone cement (pS100G10) was studied in a metaphyseal fracture-defect model in ovariectomized rats and compared to a plain [...] Read more.
In this study, the in vitro and in vivo bone formation behavior of mesoporous bioactive glass (MBG) particles incorporated in a pasty strontium-containing calcium phosphate bone cement (pS100G10) was studied in a metaphyseal fracture-defect model in ovariectomized rats and compared to a plain pasty strontium-containing calcium phosphate bone cement (pS100) and control (empty defect) group, respectively. In vitro testing showed good cytocompatibility on human preosteoblasts and ongoing dissolution of the MBG component. Neither the released strontium nor the BMG particles from the pS100G10 had a negative influence on cell viability. Forty-five female Sprague–Dawley rats were randomly assigned to three different treatment groups: (1) pS100 (n = 15), (2) pS100G10 (n = 15), and (3) empty defect (n = 15). Twelve weeks after bilateral ovariectomy and multi-deficient diet, a 4 mm wedge-shaped fracture-defect was created at the metaphyseal area of the left femur in all animals. The originated fracture-defect was substituted with pS100 or pS100G10 or left empty. After six weeks, histomorphometrical analysis revealed a statistically significant higher bone volume/tissue volume ratio in the pS100G10 group compared to the pS100 (p = 0.03) and empty defect groups (p = 0.0001), indicating enhanced osteoconductivity with the incorporation of MBG. Immunohistochemistry revealed a significant decrease in the RANKL/OPG ratio for pS100 (p = 0.004) and pS100G10 (p = 0.003) compared to the empty defect group. pS100G10 showed a statistically higher expression of BMP-2. In addition, a statistically significant higher gene expression of alkaline phosphatase, osteoprotegerin, collagen1a1, collagen10a1 with a simultaneous decrease in RANKL, and carbonic anhydrase was seen in the pS100 and pS100G10 groups compared to the empty defect group. Mass spectrometric imaging by time-of-flight secondary ion mass spectrometry (ToF-SIMS) showed the release of Sr2+ ions from both pS100 and pS100G10, with a gradient into the interface region. ToF-SIMS imaging also revealed that resorption of the MBG particles allowed for new bone formation in cement pores. In summary, the current work shows better bone formation of the injectable pasty strontium-containing calcium phosphate bone cement with incorporated mesoporous bioactive glass compared to the bioactive-free bone cement and empty defects and can be considered for clinical application for osteopenic fracture defects in the future. Full article
(This article belongs to the Special Issue Advances in Biomimetic Materials and Biomedical Devices)
Show Figures

Graphical abstract

15 pages, 3569 KB  
Article
Proton and Carbon Ion Irradiation Changes the Process of Endochondral Ossification in an Ex Vivo Femur Organotypic Culture Model
by Vanessa Etschmaier, Dietmar Glänzer, Nicole Eck, Ute Schäfer, Andreas Leithner, Dietmar Georg and Birgit Lohberger
Cells 2023, 12(18), 2301; https://doi.org/10.3390/cells12182301 - 18 Sep 2023
Cited by 2 | Viewed by 1995
Abstract
Particle therapy (PT) that utilizes protons and carbon ions offers a promising way to reduce the side effects of radiation oncology, especially in pediatric patients. To investigate the influence of PT on growing bone, we exposed an organotypic rat ex vivo femur culture [...] Read more.
Particle therapy (PT) that utilizes protons and carbon ions offers a promising way to reduce the side effects of radiation oncology, especially in pediatric patients. To investigate the influence of PT on growing bone, we exposed an organotypic rat ex vivo femur culture model to PT. After irradiation, histological staining, immunohistochemical staining, and gene expression analysis were conducted following 1 or 14 days of in vitro culture (DIV). Our data indicated a significant loss of proliferating chondrocytes at 1 DIV, which was followed by regeneration attempts through chondrocytic cluster formation at 14 DIV. Accelerated levels of mineralization were observed, which correlated with increased proteoglycan production and secretion into the pericellular matrix. Col2α1 expression, which increased during the cultivation period, was significantly inhibited by PT. Additionally, the decrease in ColX expression over time was more pronounced compared to the non-IR control. The chondrogenic markers BMP2, RUNX2, OPG, and the osteogenic marker ALPL, showed a significant reduction in the increase in expression after 14 DIV due to PT treatment. It was noted that carbon ions had a stronger influence than protons. Our bone model demonstrated the occurrence of pathological and regenerative processes induced by PT, thus building on the current understanding of the biological mechanisms of bone. Full article
Show Figures

Figure 1

26 pages, 1511 KB  
Article
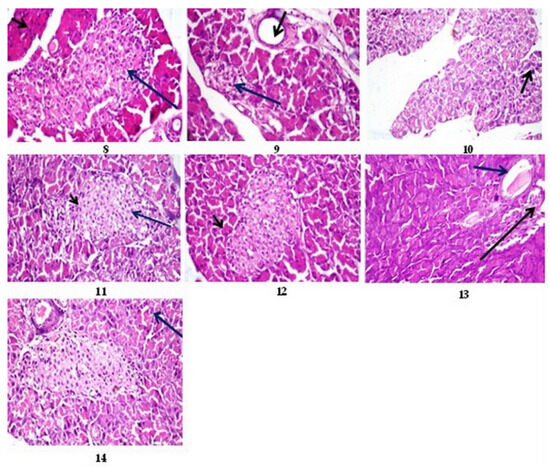
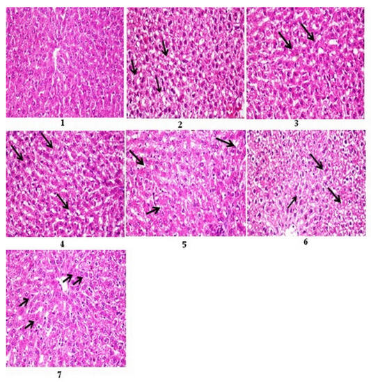
Nutritional Composition and Anti-Type 2 Diabetes Mellitus Potential of Femur Bone Extracts from Bovine, Chicken, Sheep, and Goat: Phytochemical and In Vivo Studies
by Naseh A. Algehainy, Esraa M. Mohamed, Hanan F. Aly, Eman A. Younis, Faisal H. Altemani, Mohammad A. Alanazi, Gerhard Bringmann, Usama Ramadan Abdelmohsen and Abeer H. Elmaidomy
Nutrients 2023, 15(18), 4037; https://doi.org/10.3390/nu15184037 - 18 Sep 2023
Cited by 3 | Viewed by 3435
Abstract
Nutritional deficits in one’s diet have been established as the key risk factor for T2DM in recent years. Nutritional therapy has been demonstrated to be useful in treating T2DM. The current study was carried out to assess the nutritional composition of bovine (12 [...] Read more.
Nutritional deficits in one’s diet have been established as the key risk factor for T2DM in recent years. Nutritional therapy has been demonstrated to be useful in treating T2DM. The current study was carried out to assess the nutritional composition of bovine (12 months), chicken (4 months), sheep (13 months), and goat (9 months) femur bone extracts, as well as their potential therapeutic effects on T2DM regression in a Wistar albino rat model (500 mg/kg b.wt.). The proximate composition of the different extracts, their fatty acid composition, their amino acids, and their mineral contents were identified. In vivo data indicated considerably improved T2DM rats, as seen by lower serum levels of TL, TG, TC, ALT, AST, ALP, bilirubin, creatinine, urea, IL-6, TNF-α, sICAM-1, sVCAM-1, and MDA. Low levels of HDL-C, GSH, and total proteins were restored during this study. Histological investigations of liver and pancreatic tissue revealed that the distribution of collagen fibers was nearly normal. The bovine extract, on the other hand, was the most active, followed by the sheep, goat, and finally chicken extract. This research could result in the creation of a simple, noninvasive, low-cost, and reliable method for T2DM control, paving the way for potential early therapeutic applications in T2DM control. Full article
(This article belongs to the Section Nutrition and Diabetes)
Show Figures

Figure 1

13 pages, 1081 KB  
Article
Measuring Bone Healing: Parameters and Scores in Comparison
by Nicolas Söhling, Olivia Von Jan, Maren Janko, Christoph Nau, Ulrike Ritz, Ingo Marzi, Dirk Henrich and René D. Verboket
Bioengineering 2023, 10(9), 1011; https://doi.org/10.3390/bioengineering10091011 - 26 Aug 2023
Cited by 3 | Viewed by 3590
Abstract
(1) Background: Bone healing is a complex process that can not be replicated in its entirety in vitro. Research on bone healing still requires the animal model. The critical size femur defect (CSFD) in rats is a well-established model for fractures in humans [...] Read more.
(1) Background: Bone healing is a complex process that can not be replicated in its entirety in vitro. Research on bone healing still requires the animal model. The critical size femur defect (CSFD) in rats is a well-established model for fractures in humans that exceed the self-healing potential. New therapeutic approaches can be tested here in vivo. Histological, biomechanical, and radiological parameters are usually collected and interpreted. However, it is not yet clear to what extent they correlate with each other and how necessary it is to record all parameters. (2) Methods: The basis for this study was data from three animal model studies evaluating bone healing. The µCT and histological (Movat pentachrome, osteocalcin) datasets/images were reevaluated and correlation analyses were then performed. Two image processing procedures were compared in the analysis of the image data. (3) Results: There was a significant correlation between the histologically determined bone fraction (Movat pentachrome staining) and bending stiffness. Bone fraction determined by osteocalcin showed no prognostic value. (4) Conclusions: The evaluation of the image datasets using ImageJ is sufficient and simpler than the combination of both programs. Determination of the bone fraction using Movat pentachrome staining allows conclusions to be drawn about the biomechanics of the bone. A standardized procedure with the ImageJ software is recommended for determining the bone proportion. Full article
(This article belongs to the Special Issue Biomechanics Analysis in Tissue Engineering)
Show Figures

Figure 1

Back to TopTop