Effects of Ovariectomy and Low-Calcium Diet on Six Different Sites of the Rat Skeleton
Abstract
1. Introduction
2. Materials and Methods
2.1. Experimental Animal Model and Induction of Osteoporosis-like Condition
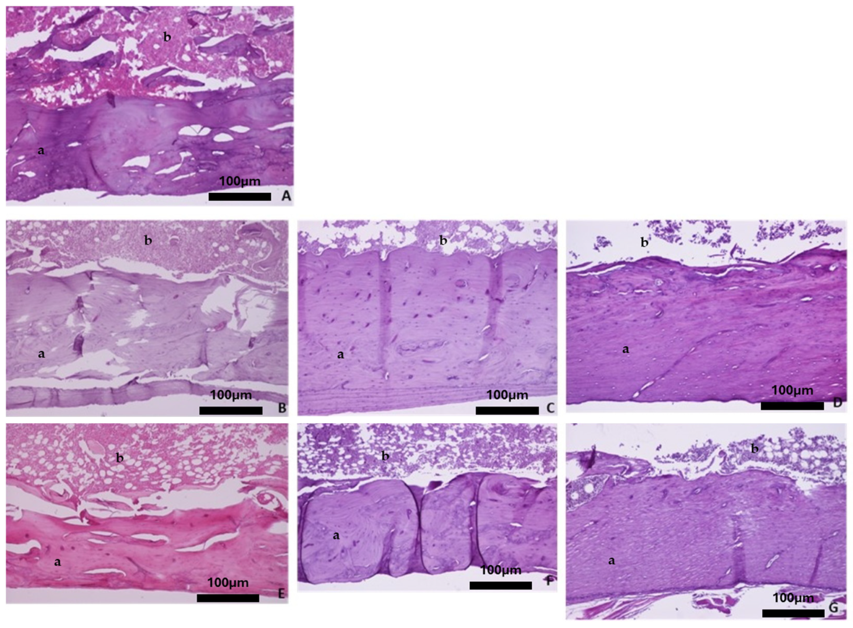
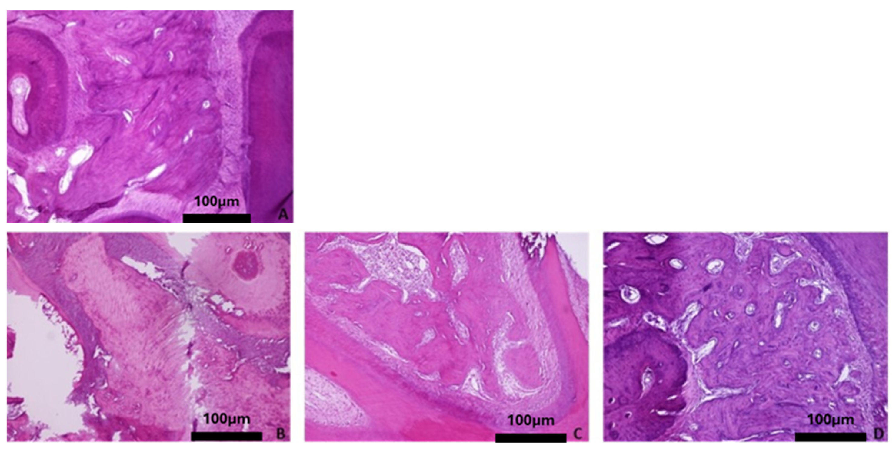
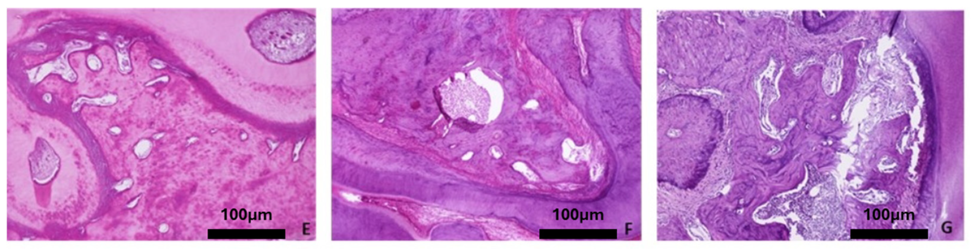
2.2. Qualitative Histology Analysis
2.3. Dual-Energy Χ-Ray Absorptiometry (DXA)
2.4. Power Analysis for Sample Size Determination
2.5. Statistical Analysis
3. Results
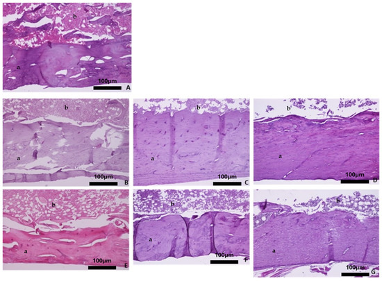
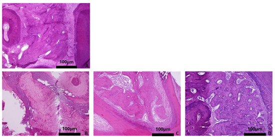
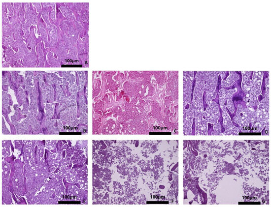
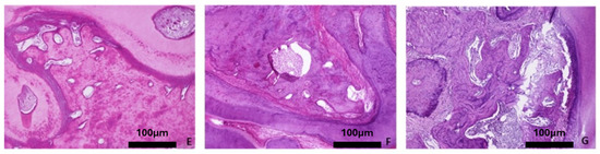
3.1. Qualitative Histology Analysis
3.2. DXA Measurements
3.2.1. Mandible
3.2.2. Parietal Bone
3.2.3. Femur
3.2.4. Tibia
4. Discussion
Author Contributions
Funding
Institutional Review Board Statement
Informed Consent Statement
Data Availability Statement
Acknowledgments
Conflicts of Interest
Abbreviations
| OVX | Ovariectomized |
| Ctrl | Control |
| FDA | Food and Drug Administration |
| DXA | Dual-energy X-ray absorptiometry |
| BMD | Bone mineral density |
| ROI | Region of interest |
| CI | Confidence interval |
| SD | Standard deviation |
References
- Amin, U.; McPartland, A.; O’Sullivan, M.; Silke, C. An overview of the management of osteoporosis in the aging female population. Womens Health 2023, 19, 17455057231176655. [Google Scholar] [CrossRef] [PubMed]
- Yu, B.; Wang, C.Y. Osteoporosis: The Result of an ‘Aged’ Bone Microenvironment. Trends Mol. Med. 2016, 22, 641–644. [Google Scholar] [CrossRef] [PubMed]
- Yin, X.; Zhou, C.; Li, J.; Liu, R.; Shi, B.; Yuan, Q.; Zou, S. Autophagy in bone homeostasis and the onset of osteoporosis. Bone Res. 2019, 7, 28. [Google Scholar] [CrossRef] [PubMed]
- Dervis, E. Oral implications of osteoporosis. Oral Surg. Oral Med. Oral Pathol. Oral Radiol. Endod. 2005, 100, 349–356. [Google Scholar] [CrossRef] [PubMed]
- White, S.C.; Rudolph, D.J. Alterations of the trabecular pattern of the jaws in patients with osteoporosis. Oral Surg. Oral Med. Oral Pathol. Oral Radiol. Endod. 1999, 88, 628–635. [Google Scholar] [CrossRef] [PubMed]
- Koth, V.S.; Salum, F.G.; de Figueiredo, M.A.Z.; Cherubini, K. Repercussions of osteoporosis on the maxillofacial complex: A critical overview. J. Bone Miner. Metab. 2021, 39, 117–125. [Google Scholar] [CrossRef] [PubMed]
- Singhal, S.; Chand, P.; Singh, B.P.; Singh, S.V.; Rao, J.; Shankar, R.; Kumar, S. The effect of osteoporosis on residual ridge resorption and masticatory performance in denture wearers. Gerodontology 2012, 29, e1059–e1066. [Google Scholar] [CrossRef] [PubMed]
- Tezal, M.; Wactawski-Wende, J.; Grossi, S.G.; Ho, A.W.; Dunford, R.; Genco, R.J. The relationship between bone mineral density and periodontitis in postmenopausal women. J. Periodontol. 2000, 71, 1492–1498. [Google Scholar] [CrossRef] [PubMed]
- Springe, B.; Slaidina, A.; Soboleva, U.; Lejnieks, A. Bone mineral density and mandibular residual ridge resorption. Int. J. Prosthodont. 2014, 27, 270–276. [Google Scholar] [CrossRef] [PubMed][Green Version]
- Slaidina, A.; Springe, B.; Abeltins, A.; Uribe, S.E.; Lejnieks, A. The Effect of General Bone Mineral Density on the Quantity and Quality of the Edentulous Mandible: A Cross-Sectional Clinical Study. Dent. J. 2023, 11, 17. [Google Scholar] [CrossRef] [PubMed]
- Donos, N.; Dereka, X.; Mardas, N. Experimental models for guided bone regeneration in healthy and medically compromised conditions. Periodontol 2000 2015, 68, 99–121. [Google Scholar] [CrossRef] [PubMed]
- Sato, Y.; Kitagawa, N.; Isobe, A. Implant treatment in ultra-aged society. Jpn. Dent. Sci. Rev. 2018, 54, 45–51. [Google Scholar] [CrossRef] [PubMed]
- Calciolari, E.; Mardas, N.; Dereka, X.; Anagnostopoulos, A.K.; Tsangaris, G.T.; Donos, N. The effect of experimental osteoporosis on bone regeneration: Part 2, proteomics results. Clin. Oral Implants Res. 2017, 28, e135–e145. [Google Scholar] [CrossRef] [PubMed]
- Calciolari, E.; Mardas, N.; Dereka, X.; Kostomitsopoulos, N.; Petrie, A.; Donos, N. The effect of experimental osteoporosis on bone regeneration: Part 1, histology findings. Clin. Oral Implants Res. 2017, 28, e101–e110. [Google Scholar] [CrossRef] [PubMed]
- Calciolari, E.; Donos, N.; Mardas, N. Osteoporotic Animal Models of Bone Healing: Advantages and Pitfalls. J. Investig. Surg. 2017, 30, 342–350. [Google Scholar] [CrossRef] [PubMed]
- Turner, A.S. Animal models of osteoporosis--necessity and limitations. Eur. Cell Mater. 2001, 1, 66–81. [Google Scholar] [CrossRef]
- Mardas, N.; Busetti, J.; de Figueiredo, J.A.; Mezzomo, L.A.; Scarparo, R.K.; Donos, N. Guided bone regeneration in osteoporotic conditions following treatment with zoledronic acid. Clin. Oral Implants Res. 2017, 28, 362–371. [Google Scholar] [CrossRef] [PubMed]
- Mardas, N.; Dereka, X.; Stavropoulos, A.; Patel, M.; Donos, N. The role of strontium ranelate and guided bone regeneration in osteoporotic and healthy conditions. J. Periodontal Res. 2021, 56, 330–338. [Google Scholar] [CrossRef] [PubMed]
- Dereka, X.; Calciolari, E.; Donos, N.; Mardas, N. Osseointegration in osteoporotic-like condition: A systematic review of preclinical studies. J. Periodontal Res. 2018, 53, 933–940. [Google Scholar] [CrossRef] [PubMed]
- Kilkenny, C.; Browne, W.; Cuthill, I.C.; Emerson, M.; Altman, D.G.; Group NCRRGW. Animal research: Reporting in vivo experiments: The ARRIVE guidelines. Br. J. Pharmacol. 2010, 160, 1577–1579. [Google Scholar] [CrossRef] [PubMed]
- Schwarz, F.; Iglhaut, G.; Becker, J. Quality assessment of reporting of animal studies on pathogenesis and treatment of peri-implant mucositis and peri-implantitis. A systematic review using the ARRIVE guidelines. J. Clin. Periodontol. 2012, 39 (Suppl. S12), 63–72. [Google Scholar] [CrossRef] [PubMed]
- Lelovas, P.P.; Xanthos, T.T.; Thoma, S.E.; Lyritis, G.P.; Dontas, I.A. The laboratory rat as an animal model for osteoporosis research. Comp. Med. 2008, 58, 424–430. [Google Scholar] [PubMed]
- Thompson, D.D.; Simmons, H.A.; Pirie, C.M.; Ke, H.Z. FDA Guidelines and animal models for osteoporosis. Bone 1995, 17, 125S–133S. [Google Scholar] [CrossRef] [PubMed]
- Liu, X.L.; Li, C.L.; Lu, W.W.; Cai, W.X.; Zheng, L.W. Skeletal site-specific response to ovariectomy in a rat model: Change in bone density and microarchitecture. Clin. Oral Implants Res. 2015, 26, 392–398. [Google Scholar] [CrossRef] [PubMed]
- Hara, T.; Sato, T.; Oka, M.; Mori, S.; Shirai, H. Effects of ovariectomy and/or dietary calcium deficiency on bone dynamics in the rat hard palate, mandible and proximal tibia. Arch. Oral Biol. 2001, 46, 443–451. [Google Scholar] [CrossRef] [PubMed]
- Prado, R.F.; Silveira, V.; Rocha, R.F.; Vasconcellos, L.M.; Carvalho, Y.R. Effects of experimental osteoporosis and low calcium intake on postextraction sockets of rats. Int. J. Exp. Pathol. 2012, 93, 139–147. [Google Scholar] [CrossRef] [PubMed]
- Gao, X.; Ma, W.; Dong, H.; Yong, Z.; Su, R. Establishing a rapid animal model of osteoporosis with ovariectomy plus low calcium diet in rats. Int. J. Clin. Exp. Pathol. 2014, 7, 5123–5128. [Google Scholar] [PubMed]
- Hsu, P.Y.; Tsai, M.T.; Wang, S.P.; Chen, Y.J.; Wu, J.; Hsu, J.T. Cortical Bone Morphological and Trabecular Bone Microarchitectural Changes in the Mandible and Femoral Neck of Ovariectomized Rats. PLoS ONE 2016, 11, e0154367. [Google Scholar] [CrossRef] [PubMed]
- Leitner, M.M.; Tami, A.E.; Montavon, P.M.; Ito, K. Longitudinal as well as age-matched assessments of bone changes in the mature ovariectomized rat model. Lab. Anim. 2009, 43, 266–271. [Google Scholar] [CrossRef] [PubMed]
- Moriya, Y.; Ito, K.; Murai, S. Effects of experimental osteoporosis on alveolar bone loss in rats. J. Oral Sci. 1998, 40, 171–175. [Google Scholar] [CrossRef] [PubMed]
- Liu, Z.; Liu, L.; Kang, C.; Xie, Q.; Zhang, B.; Li, Y. Effects of estrogen deficiency on microstructural changes in rat alveolar bone proper and periodontal ligament. Mol. Med. Rep. 2015, 12, 3508–3514. [Google Scholar] [CrossRef] [PubMed][Green Version]
- Shipov, A.; Zaslansky, P.; Riesemeier, H.; Segev, G.; Atkins, A.; Kalish-Achrai, N.; Weiner, S.; Shahar, R. The influence of estrogen deficiency on the structural and mechanical properties of rat cortical bone. PeerJ 2021, 9, e10213. [Google Scholar] [CrossRef] [PubMed]
- De Lara, R.M.; Dos Santos, M.C.; Omori, M.A.; Baratto-Filho, F.; Brancher, J.A.; Nelson-Filho, P. The role of postnatal estrogen deficiency on cranium dimensions. Clin. Oral Investig. 2021, 25, 3249–3255. [Google Scholar] [CrossRef] [PubMed]
- Guo, X.; Yu, X.; Yao, Q.; Qin, J. Early effects of ovariectomy on bone microstructure, bone turnover markers and mechanical properties in rats. BMC Musculoskelet. Disord. 2022, 23, 316. [Google Scholar] [CrossRef] [PubMed]
- Francisco, J.I.; Yu, Y.; Oliver, R.A.; Walsh, W.R. Relationship between age, skeletal site, and time post-ovariectomy on bone mineral and trabecular microarchitecture in rats. J. Orthop. Res. 2011, 29, 189–196. [Google Scholar] [CrossRef] [PubMed]
- Alghamdi, H.S.; van den Beucken, J.J.; Jansen, J.A. Osteoporotic rat models for evaluation of osseointegration of bone implants. Tissue Eng. Part. C Methods 2014, 20, 493–505. [Google Scholar] [CrossRef] [PubMed]
- Kuroda, S.; Mukohyama, H.; Kondo, H.; Aoki, K.; Ohya, K.; Ohyama, T.; Kasugai, S. Bone mineral density of the mandible in ovariectomized rats: Analyses using dual energy X-ray absorptiometry and peripheral quantitative computed tomography. Oral Dis. 2003, 9, 24–28. [Google Scholar] [CrossRef] [PubMed]
- Liu, Z.; Yan, C.; Kang, C.; Zhang, B.; Li, Y. Distributional variations in trabecular architecture of the mandibular bone: An in vivo micro-CT analysis in rats. PLoS ONE 2015, 10, e0116194. [Google Scholar] [CrossRef] [PubMed]
- Li, C.L.; Liu, X.L.; Cai, W.X.; Lu, W.W.; Zwahlen, R.A.; Zheng, L.W. Effect of ovariectomy on stimulating intracortical remodeling in rats. BioMed Res. Int. 2014, 2014, 421431. [Google Scholar] [CrossRef]
- Yang, J.; Pham, S.M.; Crabbe, D.L. Effects of oestrogen deficiency on rat mandibular and tibial microarchitecture. Dentomaxillofac. Radiol. 2003, 32, 247–251. [Google Scholar] [CrossRef] [PubMed]
- Patullo, I.M.; Takayama, L.; Patullo, R.F.; Jorgetti, V.; Pereira, R.M. Influence of ovariectomy and masticatory hypofunction on mandibular bone remodeling. Oral Dis. 2009, 15, 580–586. [Google Scholar] [CrossRef] [PubMed]
- Tanaka, M.; Ejiri, S.; Kohno, S.; Ozawa, H. The effect of aging and ovariectomy on mandibular condyle in rats. J. Prosthet. Dent. 1998, 79, 685–690. [Google Scholar] [CrossRef] [PubMed]
- Coutel, X.; Delattre, J.; Marchandise, P.; Falgayrac, G.; Béhal, H.; Kerckhofs, G.; Penel, G.; Olejnik, C. Mandibular bone is protected against microarchitectural alterations and bone marrow adipose conversion in ovariectomized rats. Bone 2019, 127, 343–352. [Google Scholar] [CrossRef] [PubMed]
- Allison, H.; O’Sullivan, L.M.; McNamara, L.M. Temporal changes in cortical microporosity during estrogen deficiency associated with perilacunar resorption and osteocyte apoptosis: A pilot study. Bone Rep. 2022, 16, 101590. [Google Scholar] [CrossRef] [PubMed]
- Tanaka, M.; Toyooka, E.; Kohno, S.; Ozawa, H.; Ejiri, S. Long-term changes in trabecular structure of aged rat alveolar bone after ovariectomy. Oral Surg. Oral Med. Oral Pathol. Oral Radiol. Endod. 2003, 95, 495–502. [Google Scholar] [CrossRef] [PubMed]
- Watanabe, K.; Lewis, S.; Guo, X.; Ni, A.; Lee, B.S.; Deguchi, T.; Kim, D.-G. Regional variations of jaw bone characteristics in an ovariectomized rat model. J. Mech. Behav. BioMed Mater. 2020, 110, 103952. [Google Scholar] [CrossRef] [PubMed]
- Mavropoulos, A.; Kiliaridis, S.; Rizzoli, R.; Ammann, P. Normal masticatory function partially protects the rat mandibular bone from estrogen-deficiency induced osteoporosis. J. Biomech. 2014, 47, 2666–2671. [Google Scholar] [CrossRef] [PubMed]
- Saleh, N.; Nassef, N.A.; Shawky, M.K.; Elshishiny, M.I.; Saleh, H.A. Novel approach for pathogenesis of osteoporosis in ovariectomized rats as a model of postmenopausal osteoporosis. Exp. Gerontol. 2020, 137, 110935. [Google Scholar] [CrossRef] [PubMed]
- Kalu, D.N. The ovariectomized rat model of postmenopausal bone loss. Bone Miner. 1991, 15, 175–191. [Google Scholar] [CrossRef] [PubMed]
- Mosekilde, L. Assessing bone quality--animal models in preclinical osteoporosis research. Bone 1995, 17, 343S–352S. [Google Scholar] [CrossRef]
- Jee, W.S.; Yao, W. Overview: Animal models of osteopenia and osteoporosis. J. Musculoskelet. Neuronal Interact. 2001, 1, 193–207. [Google Scholar] [PubMed]
- Yousefzadeh, N.; Kashfi, K.; Jeddi, S.; Ghasemi, A. Ovariectomized rat model of osteoporosis: A practical guide. EXCLI J. 2020, 19, 89–107. [Google Scholar] [CrossRef] [PubMed]
- Stokovic, N.; Ivanjko, N.; Maticic, D.; Luyten, F.P.; Vukicevic, S. Bone Morphogenetic Proteins, Carriers, and Animal Models in the Development of Novel Bone Regenerative Therapies. Materials 2021, 14, 3513. [Google Scholar] [CrossRef] [PubMed]
- Brunello, G.; Panda, S.; Schiavon, L.; Sivolella, S.; Biasetto, L.; Del Fabbro, M. The Impact of Bioceramic Scaffolds on Bone Regeneration in Preclinical In Vivo Studies: A Systematic Review. Materials 2020, 13, 1500. [Google Scholar] [CrossRef] [PubMed]
- Diker, N.; Sarican, H.; Cumbul, A.; Kilic, E. Effects of systemic erythropoietin treatment and heterogeneous xenograft in combination on bone regeneration of a critical-size defect in an experimental model. J. Craniomaxillofac. Surg. 2018, 46, 1919–1923. [Google Scholar] [CrossRef] [PubMed]
- Okata, H.; Nakamura, M.; Henmi, A.; Yamaguchi, S.; Mikami, Y.; Shimauchi, H.; Sasano, Y. Calcification during bone healing in a standardised rat calvarial defect assessed by micro-CT and SEM-EDX. Oral Dis. 2015, 21, 74–82. [Google Scholar] [CrossRef] [PubMed]
- Dontas, I.A.; Lelovas, P.P.; Kourkoulis, S.K.; Aligiannis, N.; Paliogianni, A.; Mitakou, S.; Galanos, A.; Kassi, E.; Mitousoudis, A.; Xanthos, T.T.; et al. Protective effect of Sideritis euboea extract on bone mineral density and strength of ovariectomized rats. Menopause 2011, 18, 915–922. [Google Scholar] [CrossRef] [PubMed]
- Seidling, R.; Lehmann, L.J.; Lingner, M.; Mauermann, E.; Obertacke, U.; Schwarz, M.L. Analysis of the osseointegrative force of a hyperhydrophilic and nanostructured surface refinement for TPS surfaces in a gap healing model with the Gottingen minipig. J. Orthop. Surg. Res. 2016, 11, 119. [Google Scholar] [CrossRef] [PubMed][Green Version]
- Blake, J.; Cosman, F.A.; Lewiecki, E.M.; McClung, M.R.; Pinkerton, J.; Shapiro, M. Management of osteoporosis in postmenopausal women: The 2021 position statement of The North American Menopause Society. Menopause 2021, 28, 973–997. [Google Scholar] [CrossRef] [PubMed]
- Mavropoulos, A.; Rizzoli, R.; Ammann, P. Different responsiveness of alveolar and tibial bone to bone loss stimuli. J. Bone Miner. Res. 2007, 22, 403–410. [Google Scholar] [CrossRef] [PubMed]
- Fonseca, H.; Bezerra, A.; Coelho, A.; Duarte, J.A. Association between Visceral and Bone Marrow Adipose Tissue and Bone Quality in Sedentary and Physically Active Ovariectomized Wistar Rats. Life 2021, 11, 478. [Google Scholar] [CrossRef] [PubMed]
- Omori, M.A.; Marañón-Vásquez, G.A.; Romualdo, P.C.; Neto, E.C.M.; Stuani, M.B.S.; Matsumoto, M.A.N.; Nelson-Filho, P.; Proff, P.; León, J.E.; Kirschneck, C.; et al. Effect of ovariectomy on maxilla and mandible dimensions of female rats. Orthod. Craniofac. Res. 2020, 23, 342–350. [Google Scholar] [CrossRef] [PubMed]
- Rocabado, J.M.R.; Kaku, M.; Nozaki, K.; Ida, T.; Kitami, M.; Aoyagi, Y.; Uoshima, K. A multi-factorial analysis of bone morphology and fracture strength of rat femur in response to ovariectomy. J. Orthop. Surg. Res. 2018, 13, 318. [Google Scholar] [CrossRef] [PubMed]
- Gkastaris, K.; Goulis, D.G.; Potoupnis, M.; Anastasilakis, A.D.; Kapetanos, G. Obesity, osteoporosis and bone metabolism. J. Musculoskelet. Neuronal Interact. 2020, 20, 372–381. [Google Scholar] [PubMed]
- Van Leeuwen, J.; Koes, B.W.; Paulis, W.D.; van Middelkoop, M. Differences in bone mineral density between normal-weight children and children with overweight and obesity: A systematic review and meta-analysis. Obes. Rev. 2017, 18, 526–546. [Google Scholar] [CrossRef] [PubMed]
- Johnston, B.D.; Ward, W.E. The ovariectomized rat as a model for studying alveolar bone loss in postmenopausal women. BioMed Res. Int. 2015, 2015, 635023. [Google Scholar] [CrossRef] [PubMed]
- Esteves, C.M.; Moraes, R.M.; Gomes, F.C.; Marcondes, M.S.; Lima, G.M.; Anbinder, A.L. Ovariectomy-associated changes in interradicular septum and in tibia metaphysis in different observation periods in rats. Pathol. Res. Pract. 2015, 211, 125–129. [Google Scholar] [CrossRef]
- O’Sullivan, L.M.; Allison, H.; Parle, E.E.; Schiavi, J.; McNamara, L.M. Secondary alterations in bone mineralisation and trabecular thickening occur after long-term estrogen deficiency in ovariectomised rat tibiae, which do not coincide with initial rapid bone loss. Osteoporos. Int. 2020, 31, 587–599. [Google Scholar] [CrossRef] [PubMed]
- Siriarchavatana, P.; Kruger, M.C.; Miller, M.R.; Tian, H.S.; Wolber, F.M. The Influence of Obesity, Ovariectomy, and Greenshell Mussel Supplementation on Bone Mineral Density in Rats. JBMR Plus 2022, 6, e10571. [Google Scholar] [CrossRef] [PubMed]
- Liu, J.; Kim, E.K.; Ni, A.; Kim, Y.-R.; Zheng, F.; Lee, B.S.; Kim, D.-G. Multiscale characterization of ovariectomized rat femur. J. Biomech. 2021, 122, 110462. [Google Scholar] [CrossRef] [PubMed]
- Heiss, C.; Govindarajan, P.; Schlewitz, G.; Hemdan, N.Y.; Schliefke, N.; Alt, V.; Thormann, U.; Lips, K.S.; Wenisch, S.; Langheinrich, A.C.; et al. Induction of osteoporosis with its influence on osteoporotic determinants and their interrelationships in rats by DEXA. Med. Sci. Monit. 2012, 18, BR199–BR207. [Google Scholar] [CrossRef]
- Zhang, Y.; Lai, W.P.; Leung, P.C.; Wu, C.F.; Wong, M.S. Short- to mid-term effects of ovariectomy on bone turnover, bone mass and bone strength in rats. Biol. Pharm. Bull. 2007, 30, 898–903. [Google Scholar] [CrossRef] [PubMed]
- Li, Y.; Tseng, W.J.; de Bakker, C.M.J.; Zhao, H.; Chung, R.; Liu, X.S. Peak trabecular bone microstructure predicts rate of estrogen-deficiency-induced bone loss in rats. Bone 2021, 145, 115862. [Google Scholar] [CrossRef] [PubMed]








| Site | Baseline | Groups | 3 Months | 6 Months | 9 Months | p-Value over time | p-Value interaction |
|---|---|---|---|---|---|---|---|
| Mandible | 0.297 ± 0.025 | Ctrl | 0.253 ± 0.044 | 0.274 ± 0.023 | 0.270 ± 0.035 | 0.174 | 0.598 |
| 0.297 ± 0.025 | OVX | 0.265 ± 0.019 | 0.262 ± 0.011 | 0.256 ± 0.006 a | 0.028 | ||
| 1.000 | P- | 0.584 | 0.224 | 0.430 | |||
| Parietal bone | 0.082 ± 0.044 | Ctrl | 0.128 ± 0.072 | 0.085 ± 0.059 | 0.078 ± 0.012 | 0.507 | 0.199 |
| 0.082 ± 0.044 b | OVX | 0.087 ± 0.034 b | 0.017 ± 0.011 | 0.068 ± 0.01 c | <0.001 | ||
| 1.000 | P- | 0.280 | 0.012 | 0.206 | |||
| Femoral diaphysis | 0.300 ± 0.038 | Ctrl | 0.245 ± 0.017 d | 0.255 ± 0.015 a | 0.261 ± 0.026 | 0.009 | 0.01 |
| 0.300 ± 0.038 | OVX | 0.207 ± 0.035 a | 0.191 ± 0.009 d | 0.162 ± 0.025 d | 0.001 | ||
| 1.000 | P- | 0.041 | <0.001 | <0.001 | |||
| Total femur | 0.242 ± 0.018 | Ctrl | 0.234 ± 0.047 | 0.246 ± 0.021 | 0.252 ± 0.020 | 0.767 | 0.021 |
| 0.242 ± 0.018 | OVX | 0.200 ± 0.029 | 0.204 ± 0.006 a | 0.177 ± 0.039 a | 0.002 | ||
| 1.000 | P- | 0.186 | 0.003 | 0.004 | |||
| Proximal tibia | 0.328 ± 0.062 | Ctrl | 0.286 ± 0.023 | 0.278 ± 0.049 | 0.252 ± 0.020 | 0.132 | 0.029 |
| 0.328 ± 0.062 | OVX | 0.215 ± 0.014 a,e | 0.222 ± 0.016 a,e | 0.165 ± 0.01 d | <0.001 | ||
| 1.000 | P- | <0.001 | <0.001 | <0.001 | |||
| Total tibia | 0.209 ± 0.014 | Ctrl | 0.191 ± 0.022 | 0.202 ± 0.010 | 0.207 ± 0.023 | 0.316 | 0.007 |
| 0.209 ± 0.014 e | OVX | 0.195 ± 0.029 e | 0.190 ± 0.007 e | 0.163 ± 0.005 | <0.001 | ||
| 1.000 | P- | 0.776 | 0.037 | 0.012 |
Disclaimer/Publisher’s Note: The statements, opinions and data contained in all publications are solely those of the individual author(s) and contributor(s) and not of MDPI and/or the editor(s). MDPI and/or the editor(s) disclaim responsibility for any injury to people or property resulting from any ideas, methods, instructions or products referred to in the content. |
© 2025 by the authors. Licensee MDPI, Basel, Switzerland. This article is an open access article distributed under the terms and conditions of the Creative Commons Attribution (CC BY) license (https://creativecommons.org/licenses/by/4.0/).
Share and Cite
Dereka, X.; Emfietzoglou, R.; Lelovas, P. Effects of Ovariectomy and Low-Calcium Diet on Six Different Sites of the Rat Skeleton. Biomimetics 2025, 10, 474. https://doi.org/10.3390/biomimetics10070474
Dereka X, Emfietzoglou R, Lelovas P. Effects of Ovariectomy and Low-Calcium Diet on Six Different Sites of the Rat Skeleton. Biomimetics. 2025; 10(7):474. https://doi.org/10.3390/biomimetics10070474
Chicago/Turabian StyleDereka, Xanthippi, Rodopi Emfietzoglou, and Pavlos Lelovas. 2025. "Effects of Ovariectomy and Low-Calcium Diet on Six Different Sites of the Rat Skeleton" Biomimetics 10, no. 7: 474. https://doi.org/10.3390/biomimetics10070474
APA StyleDereka, X., Emfietzoglou, R., & Lelovas, P. (2025). Effects of Ovariectomy and Low-Calcium Diet on Six Different Sites of the Rat Skeleton. Biomimetics, 10(7), 474. https://doi.org/10.3390/biomimetics10070474

