Evaluation of the Effects of Locally Applied Resveratrol and Cigarette Smoking on Bone Healing
Abstract
1. Introduction
2. Materials and Methods
2.1. Study Design
2.2. Surgical Procedures
2.3. Preparation and Administration of RES
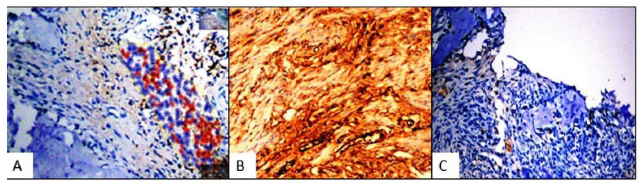
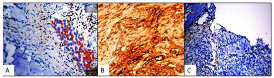
2.4. Histomorphometric and Immunohistochemical Evaluations
2.5. Statistical Analyses
3. Results
3.1. Study Groups
3.2. New Bone Area
3.3. Vascularization
3.4. Macroscopic Bone-Filling Levels
3.5. Osteoblast Levels
3.6. Proliferation
4. Discussion
5. Conclusions
Author Contributions
Funding
Institutional Review Board Statement
Informed Consent Statement
Data Availability Statement
Conflicts of Interest
References
- Tang, T.H.; Fitzsimmons, T.R.; Bartold, P.M. Effect of smoking on concentrations of receptor activator of nuclear factor kappa B ligand and osteoprotegerin in human gingival crevicular fluid. J. Clin. Periodontol. 2009, 36, 713–718. [Google Scholar] [CrossRef]
- Sørensen, L.T.; Toft, B.G.; Rygaard, J.; Ladelund, S.; Paddon, M.; James, T.; Taylor, R.; Gottrup, F. Effect of smoking, smoking cessation, and nicotine patch on wound dimension, vitamin C, and systemic markers of collagen metabolism. Surgery 2010, 148, 982–990. [Google Scholar] [CrossRef] [PubMed]
- Ma, L.; Zheng, L.W.; Sham, M.H.; Cheung, L.K. Uncoupled angiogenesis and osteogenesis in nicotine-compromised bone healing. J. Bone Miner. Res. Off. J. Am. Soc. Bone Miner. Res. 2010, 25, 1305–1313. [Google Scholar] [CrossRef]
- Kolkesen Şahin, Ö.; Çina Aksoy, M.; Avunduk, M.C. Effects of resveratrol and cigarette smoking onbone healing: Histomorphometric evaluation. Turk. J. Med. Sci. 2016, 46, 1203–1208. [Google Scholar] [CrossRef] [PubMed]
- Valavanidis, A.; Vlachogianni, T.; Fiotakis, K. Tobacco Smoke: Involvement of Reactive Oxygen Species and Stable Free Radicals in Mechanisms of Oxidative Damage, Carcinogenesis and Synergistic Effects with Other Respirable Particles. Int. J. Environ. Res. Public. Health 2009, 6, 445–462. [Google Scholar] [CrossRef] [PubMed]
- DePhillipo, N.N.; Aman, Z.S.; Kennedy, M.I.; Begley, J.P.; Moatshe, G.; LaPrade, R.F. Efficacy of Vitamin C Supplementation on Collagen Synthesis and Oxidative Stress After Musculoskeletal Injuries: A Systematic Review. Orthop. J. Sports Med. 2018, 6, 2325967118804544. [Google Scholar] [CrossRef] [PubMed]
- Wong, S.K.; Mohamad, N.V.; Ibrahim, N.I.; Chin, K.Y.; Shuid, A.N.; Ima-Nirwana, S. The Molecular Mechanism of Vitamin E as a Bone-Protecting Agent: A Review on Current Evidence. Int. J. Mol. Sci. 2019, 20, 1453. [Google Scholar] [CrossRef]
- Hernigou, J.; Schuind, F. Tobacco and bone fractures: A review of the facts and issues that every orthopaedic surgeon should know. Bone Jt. Res. 2019, 8, 255–265. [Google Scholar] [CrossRef] [PubMed]
- Wang, W.; Zhang, L.M.; Guo, C.; Han, J.F. Resveratrol promotes osteoblastic differentiation in a rat model of postmenopausal osteoporosis by regulating autophagy. Nutr. Metab. 2020, 17, 29. [Google Scholar] [CrossRef] [PubMed]
- Riccitiello, F.; De Luise, A.; Conte, R.; D’Aniello, S.; Vittoria, V.; Di Salle, A.; Calarco, A.; Peluso, G. Effect of resveratrol release kinetic from electrospun nanofibers on osteoblast and osteoclast differentiation. Eur. Polym. J. 2018, 99, 289–297. [Google Scholar] [CrossRef]
- Cottart, C.H.; Nivet-Antoine, V.; Laguillier-Morizot, C.; Beaudeux, J. Resveratrol bioavailability and toxicity in humans. Mol. Nutr. Food Res. 2010, 54, 7–16. [Google Scholar] [CrossRef] [PubMed]
- Sánchez-Fidalgo, S.; Cárdeno, A.; Villegas, I.; Talero, E.; de la Lastra, C.A. Dietary supplementation of resveratrol attenuates chronic colonic inflammation in mice. Eur. J. Pharmacol. 2010, 633, 78–84. [Google Scholar] [CrossRef] [PubMed]
- Salla, M.; Karaki, N.; El Kaderi, B.; Ayoub, A.J.; Younes, S.; Abou Chahla, M.N.; Baksh, S.; El Khatib, S. Enhancing the Bioavailability of Resveratrol: Combine It, Derivatize It, or Encapsulate It? Pharmaceutics 2024, 16, 569. [Google Scholar] [CrossRef]
- Zhang, W.; Meng, L.; Lv, X.; Wang, L.; Zhao, P.; Wang, J.; Zhang, X.; Chen, J.; Wu, Z. Enhancing Stability and Antioxidant Activity of Resveratrol-Loaded Emulsions by Ovalbumin–Dextran Conjugates. Foods 2024, 13, 1246. [Google Scholar] [CrossRef]
- Adhikari, N.; Prasad Aryal, Y.; Jung, J.K.; Ha, J.H.; Choi, S.Y.; Kim, J.Y.; Lee, T.H.; Kim, S.H.; Yamamoto, H.; Suh, J.Y.; et al. Resveratrol enhances bone formation by modulating inflammation in the mouse periodontitis model. J. Periodontal Res. 2021, 56, 735–745. [Google Scholar] [CrossRef]
- Lee, Y.S.; Kim, Y.S.; Lee, S.Y.; Kim, G.H.; Kim, B.J.; Lee, S.H.; Lee, K.U.; Kim, G.S.; Kim, S.W.; Koh, J.M. AMP kinase acts as a negative regulator of RANKL in the differentiation of osteoclasts. Bone 2010, 47, 926–937. [Google Scholar] [CrossRef] [PubMed]
- Dai, Z.; Li, Y.; Quarles, L.D.; Song, T.; Pan, W.; Zhou, H.; Xiao, Z. Resveratrol enhances proliferation and osteoblastic differentiation in human mesenchymal stem cells via ER-dependent ERK1/2 activation. Phytomed. Int. J. Phytother. Phytopharm. 2007, 14, 806–814. [Google Scholar] [CrossRef]
- Casati, M.Z.; Algayer, C.; Cardoso da Cruz, G.; Ribeiro, F.V.; Casarin, R.C.; Pimentel, S.P.; Cirano, F.R. Resveratrol decreases periodontal breakdown and modulates local levels of cytokines during periodontitis in rats. J. Periodontol. 2013, 84, 58–64. [Google Scholar] [CrossRef]
- Liu, Z.P.; Li, W.X.; Yu, B.; Huang, J.; Sun, J.; Huo, J.S.; Liu, C.X. Effects of trans-resveratrol from Polygonum uspidatum on bone loss using the ovariectomized rat model. J. Med. Food 2005, 8, 14–19. [Google Scholar] [CrossRef]
- Pearson, K.J.; Baur, J.A.; Lewis, K.N.; Peshkin, L.; Price, N.L.; Labinskyy, N.; Swindell, W.R.; Kamara, D.; Minor, R.K.; Perez, E.; et al. Resveratrol delays age-related deterioration and mimics transcriptional aspects of dietary restriction without extending life span. Cell Metab. 2008, 8, 157–168. [Google Scholar] [CrossRef]
- Casarin, R.C.; Casati, M.Z.; Pimentel, S.P.; Cirano, F.R.; Algayer, M.; Pires, P.R.; Ghiraldini, B.; Duarte, P.M.; Ribeiro, F.V. Resveratrol improves bone repair by modulation of bone morphogenetic proteins and osteopontin gene expression in rats. Int. J. Oral Maxillofac. Surg. 2014, 43, 900–906. [Google Scholar] [CrossRef] [PubMed]
- Song, L.H.; Pan, W.; Yu, Y.H.; Quarles, L.D.; Zhou, H.H.; Xiao, Z.S. Resveratrol prevents CsA inhibition of proliferation and osteoblastic differentiation of mouse bone marrow-derived mesenchymal stem cells through an ER/NO/cGMP pathway. Toxicol. Vitro Int. J. Publ. Assoc. BIBRA 2006, 20, 915–922. [Google Scholar] [CrossRef] [PubMed]
- Li, J.; Mooney, D.J. Designing hydrogels for controlled drug delivery. Nat. Rev. Mater. 2016, 1, 16071. [Google Scholar] [CrossRef] [PubMed]
- Lin, Y.; Jiandong, D. Injectable hydrogels as unique biomedical materials. Chem. Soc. Rev. 2008, 37, 1473–1481. [Google Scholar]
- Almeida, H.; Amaral, M.H.; Lobão, P. Temperature and pH stimuli-responsive polymers and their applications in controlled and selfregulated drug delivery. J. Appl. Pharm. Sci. 2012, 2, 1–10. [Google Scholar]
- Diniz, I.M.; Chen, C.; Xu, X.; Ansari, S.; Zadeh, H.H.; Marques, M.M.; Shi, S.; Moshaverinia, A. Pluronic F-127 hydrogel as a promising scaffold for encapsulation of dental-derived mesenchymal stem cells. J. Mater. Sci. Mater. Med. 2015, 26, 153. [Google Scholar] [CrossRef] [PubMed]
- Dumortier, G.; Grossiord, J.L.; Agnely, F.; Chaumeil, J.C. A Review of Poloxamer 407 Pharmaceutical and Pharmacological Characteristics. Pharm. Res. 2006, 23, 12. [Google Scholar] [CrossRef] [PubMed]
- Uysal, T.; Gorgulu, S.; Yagci, A.; Karslioglu, Y.; Gunhan, O.; Sagdic, D. Effect of resveratrol on bone formation in the expanded inter-premaxillary suture: Early bone changes. Orthod. Craniofac. Res. 2011, 14, 80–87. [Google Scholar] [CrossRef] [PubMed]
- Yoon, V.; Maalouf, N.M.; Sakhaee, K. The effects of smoking on bone metabolism. Osteoporosis international: A journal established as result of cooperation between the European Foundation for Osteoporosis and the National Osteoporosis Foundation of the USA. Osteoporos. Int. 2012, 23, 2081–2092. [Google Scholar] [CrossRef]
- Cusano, N.E. Skeletal Effects of Smoking. Curr. Osteoporos. Rep. 2015, 13, 302–309. [Google Scholar] [CrossRef]
- Al-Bashaireh, A.M.; Haddad, L.G.; Weaver, M.; Chengguo, X.; Kelly, D.L.; Yoon, S. The Effect of Tobacco Smoking on Bone Mass: An Overview of Pathophysiologic Mechanisms. J. Osteoporos. 2018, 2018, 1206235. [Google Scholar] [CrossRef] [PubMed]
- Scolaro, J.A.; Schenker, M.L.; Yannascoli, S.; Baldwin, K.; Mehta, S.; Ahn, J. Cigarette smoking increases complications following fracture: A systematic review. J. Bone Jt. Surg. Am. 2014, 96, 674–681. [Google Scholar] [CrossRef] [PubMed]
- Moghaddam, A.; Zimmermann, G.; Hammer, K.; Bruckner, T.; Grützner, P.A.; von Recum, J. Cigarette smoking influences the clinical and occupational outcome of patients with tibial shaft fractures. Injury 2011, 42, 1435–1442. [Google Scholar] [CrossRef] [PubMed]
- Bhattarai, G.; Poudel, S.B.; Kook, S.H.; Lee, J.C. Resveratrol prevents alveolar bone loss in an experimental rat model of periodontitis. Acta Biomater. 2016, 29, 398–408. [Google Scholar] [CrossRef]
- Kost, J.; Langer, R. Responsive polymeric delivery systems. Adv. Drug Deliv. Rev. 2001, 46, 125–148. [Google Scholar] [CrossRef] [PubMed]
- Ozkan, A.; Bayar, G.R.; Altug, H.A.; Sencimen, M.; Dogan, N.; Gunaydin, Y.; Erdogan, E. The effect of cigarette smoking on the healing of extraction sockets: An immunohistochemical study. J. Craniofac. Surg. 2014, 25, 397–402. [Google Scholar] [CrossRef] [PubMed]
- Saldanha, J.B.; Casati, M.Z.; Neto, F.H.; Sallum, E.A.; Nociti, F.H. Smoking may affect the alveolar process dimensions and radiographic bone density in maxillary extraction sites: A prospective study in humans. J. Oral Maxillofac. Surg. 2006, 64, 1359–1365. [Google Scholar] [CrossRef]
- Bergström, J. Influence of tobacco smoking on periodontal bone height. Longterm bservations and a hypothesis. J. Clin. Periodontol. 2004, 31, 260–266. [Google Scholar] [CrossRef] [PubMed]
- Ward, K.D.; Klesges, R.C. A meta-analysis of the effects of cigarette smoking on bone mineral density. Calcif. Tissue Int. 2001, 68, 259–270. [Google Scholar] [CrossRef]
- Franck, F.C.; Benatti, B.B.; Andia, D.C.; Cirano, F.R.; Casarin, R.C.; Corrêa, M.G.; Ribeiro, F.V. Impact of resveratrol on bone repair in rats exposed to cigarette smoke inhalation: Histomorphometric and bone-related gene expression analysis. Int. J. Oral Maxillofac. Surg. 2018, 47, 541–548. [Google Scholar] [CrossRef]
- Ozcan Kucuk, A.; Alan, H.; Gul, M.; Yolcu, U. Evaluating the Effect of Resveratrol on the Healing of Extraction Sockets in Cyclosporine A-Treated Rats. Int. J. Oral Maxillofac. Surg. 2018, 76, 1404–1413. [Google Scholar] [CrossRef] [PubMed]
- Rothem, D.E.; Rothem, L.; Soudry, M.; Dahan, A.; Eliakim, R. Nicotine modulates bone metabolism-associated gene expression in osteoblast cells. J. Bone Miner. Metab. 2009, 27, 555–561. [Google Scholar] [CrossRef] [PubMed]
- Arakkunakorn, W.; Pholthien, W.; Sajomsang, W.; Basit, A.; Sripetthong, S.; Nalinbenjapun, S.; Ovatlarnporn, C. Validated HPLC method for simultaneous quantitative determination of dimethylcurcumin and resveratrol in pluronic-F127 nanomicelles: Formulation with enhanced anticancer efficacy. MethodsX 2023, 11, 102457. [Google Scholar] [CrossRef] [PubMed]
- Amri, A.; Chaumeil, J.C.; Sfar, S.; Charrueau, C. Administration of resveratrol: What formulation solutions to bioavailability limitations? J. Control. Release 2012, 158, 182–193. [Google Scholar] [CrossRef] [PubMed]
- Peng, Y.; Wu, S.; Li, Y.; Crane, J.L. Type H blood vessels in bone modeling and remodeling. Theranostics 2020, 10, 426–436. [Google Scholar] [CrossRef] [PubMed]
- Chang, C.J.; Jou, I.M.; Wu, T.T.; Su, F.C.; Tai, T.W. Cigarette smoke inhalation impairs angiogenesis in early bone healing processes and delays fracture union. Bone Jt. Res. 2020, 9, 99–107. [Google Scholar] [CrossRef] [PubMed]
- Kaga, S.; Zhan, L.; Matsumoto, M.; Maulik, N. Resveratrol enhances neovascularization in the infarcted rat myocardium through the induction of thioredoxin-1, heme oxygenase-1 and vascular endothelial growth factor. J. Mol. Cell Cardiol. 2005, 39, 813–822. [Google Scholar] [CrossRef] [PubMed]
- Heikkinen, J.; Tanner, T.; Bergmann, U.; Palosaari, S.; Lehenkari, P. Cigarette smoke and nicotine effect on human mesenchymal stromal cell wound healing and osteogenic differentiation capacity. Tob. Induc. Dis. 2024, 22, 10. [Google Scholar] [CrossRef]
- Min, K.K.; Neupane, S.; Adhikari, N.; Sohn, W.J.; An, S.Y.; Kim, J.Y.; An, C.H.; Lee, Y.; Kim, Y.G.; Park, J.W.; et al. Effects of resveratrol on bone-healing capacity in the mouse tooth extraction socket. J. Periodontal Res. 2020, 55, 247–257. [Google Scholar] [CrossRef]


| New Bone Area Scores | Control (n, %) | RES (n, %) | CS + RES (n, %) | CS (n, %) | p | |
|---|---|---|---|---|---|---|
| New Bone Area | Score 0 | 6 (60.0) a | 0 (0.0) b | 1 (10.0) a,b | 6 (60.0) a | 0.01 * |
| Score 1 | 3 (30.0) a,b | 0 (0.0) b | 5 (50.0) a | 4 (40.0) a,b | ||
| Score 2 | 1 (10.0) a | 4 (36.4) a | 2 (20.0) a | 0 (0.0) a | ||
| Score 3 | 0 (0.0) a | 3 (27.3) a | 2 (20.0) a | 0 (0.0) a | ||
| Score 4 | 0 (0.0) a | 4 (36.4) a | 0 (0.0) | 0 (0.0) a |
| Vascularization Scores | Control (n, %) | RES (n, %) | CS + RES (n, %) | CS (n, %) | p | |
|---|---|---|---|---|---|---|
| Vascularization | Score 0 | 10 (100.0) a | 4 (36.4) b | 6 (60.0) a,b | 8 (80.0) a,b | 0.02 * |
| Score 1 | 0 (0.0) a | 5 (45.5) a | 4 (40.0) a | 2 (20.0) a | ||
| Score 2 | 0 (0.0) a | 2 (18.2) a | 0 (0.0) a | 0 (0.0) a |
| Macroscopic Bone Filling (%) | Control (n, %) | RES (n, %) | CS + RES (n, %) | CS (n, %) | p | |
|---|---|---|---|---|---|---|
| Macroscopic Bone | 0–25% | 4 (40.0) a,b | 0 (0.0) b | 1 (10.0) b | 8 (80.0) a | 0.01 * |
| 25–50% | 6 (60.0) a | 0 (0.0) b | 2 (20.0) a,b | 2 (20.0) a,b | ||
| 50–75% | 0 (0.0) a | 2 (18.2) a | 5 (50.0) a | 0 (0.0) a | ||
| 75+% | 0 (0.0) a | 9 (81.8) b | 2 (20) a | 0 (0.0) a |
| Median (Min-Maks.) | X2 | p | |
|---|---|---|---|
| Control a | 0.23 (0.01–2.13) | 29.49 | 0.01 * |
| RES b | 11.00 (5.66–38.68) | ||
| CS + RES c | 2.71 (0.01–10.00) | ||
| CS d | 0.10 (0.01–0.29) |
| Proliferation (%) | Control (n, %) | RES (n, %) | CS + RS (n, %) | CS (n, %) | p | |
|---|---|---|---|---|---|---|
| Proliferation Levels | None | 8 (80.0) | 3 (27.3) | 3 (30.0) | 6 (60.0) | 0.06 |
| 0–1% | 2 (20.0) | 3 (27.3) | 5 (50.0) | 4 (40.0) | ||
| 1–3% | 0 (0.0) | 2 (18.2) | 2 (20.0) | 0 (0.0) | ||
| 3+% | 0 (0.0) | 3 (27.3) | 0 (0.0) | 0 (0.0) |
Disclaimer/Publisher’s Note: The statements, opinions and data contained in all publications are solely those of the individual author(s) and contributor(s) and not of MDPI and/or the editor(s). MDPI and/or the editor(s) disclaim responsibility for any injury to people or property resulting from any ideas, methods, instructions or products referred to in the content. |
© 2024 by the authors. Licensee MDPI, Basel, Switzerland. This article is an open access article distributed under the terms and conditions of the Creative Commons Attribution (CC BY) license (https://creativecommons.org/licenses/by/4.0/).
Share and Cite
İskender, M.F.; Çına, M.; Çamlı, Ş.T.; Çiriş, İ.M.; Yüceer, R.O. Evaluation of the Effects of Locally Applied Resveratrol and Cigarette Smoking on Bone Healing. Appl. Sci. 2024, 14, 6411. https://doi.org/10.3390/app14156411
İskender MF, Çına M, Çamlı ŞT, Çiriş İM, Yüceer RO. Evaluation of the Effects of Locally Applied Resveratrol and Cigarette Smoking on Bone Healing. Applied Sciences. 2024; 14(15):6411. https://doi.org/10.3390/app14156411
Chicago/Turabian Styleİskender, Muhsin Fırat, Müge Çına, Şevket Tolga Çamlı, İbrahim Metin Çiriş, and Ramazan Oğuz Yüceer. 2024. "Evaluation of the Effects of Locally Applied Resveratrol and Cigarette Smoking on Bone Healing" Applied Sciences 14, no. 15: 6411. https://doi.org/10.3390/app14156411
APA Styleİskender, M. F., Çına, M., Çamlı, Ş. T., Çiriş, İ. M., & Yüceer, R. O. (2024). Evaluation of the Effects of Locally Applied Resveratrol and Cigarette Smoking on Bone Healing. Applied Sciences, 14(15), 6411. https://doi.org/10.3390/app14156411

