Advances and Innovations in Radiology: From Contrast-Enhanced Mammography to Artificial Intelligence and Beyond
A special issue of Journal of Clinical Medicine (ISSN 2077-0383). This special issue belongs to the section "Nuclear Medicine & Radiology".
Deadline for manuscript submissions: closed (20 February 2026) | Viewed by 1607
Special Issue Editor
2. Department of Biotechnology and Life Sciences, University of Insubria, Via J.H. Dunant, 3, 21100 Varese, Italy
Interests: breast imaging; contrast-enhanced mammography; breast MRI; radiomics
Special Issues, Collections and Topics in MDPI journals
Special Issue Information
Dear Colleagues,
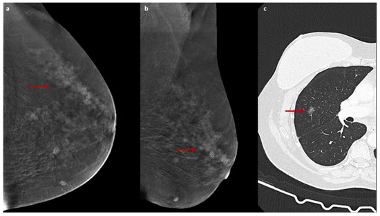
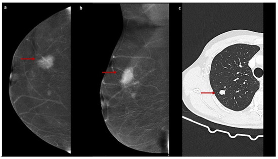
The field of radiology is undergoing a profound transformation spurred by the integration of artificial intelligence, advanced imaging techniques, and evolving clinical workflows. Specifically, contrast-enhanced mammography (CEM) has emerged as a promising tool for breast imaging, offering diagnostic performance comparable to that of MRI in certain scenarios. Meanwhile, artificial intelligence and radiomics are opening unprecedented opportunities for image analysis, prognostic modeling, and personalized medicine.
This Special Issue aims to collect high-quality contributions addressing the most recent advances and innovations in diagnostic and interventional radiology. We seek original research, reviews, and expert perspectives that highlight how these technologies are reshaping clinical practice and advancing the frontiers of medical imaging.
Topics of Interest We welcome submissions on (but not limited to):
- Contrast-Enhanced Mammography: clinical applications, performance comparisons, technological innovations;
- Artificial Intelligence and Machine Learning: diagnostic algorithms, workflow optimization, ethical challenges;
- Radiomics and Imaging Biomarkers: prognostic models, validation studies, integration with clinical data;
- Advanced Techniques in Breast Imaging;
- Interventional Breast Radiology: new devices, techniques, and outcomes.
Dr. Luca Nicosia
Guest Editor
Manuscript Submission Information
Manuscripts should be submitted online at www.mdpi.com by registering and logging in to this website. Once you are registered, click here to go to the submission form. Manuscripts can be submitted until the deadline. All submissions that pass pre-check are peer-reviewed. Accepted papers will be published continuously in the journal (as soon as accepted) and will be listed together on the special issue website. Research articles, review articles as well as short communications are invited. For planned papers, a title and short abstract (about 250 words) can be sent to the Editorial Office for assessment.
Submitted manuscripts should not have been published previously, nor be under consideration for publication elsewhere (except conference proceedings papers). All manuscripts are thoroughly refereed through a single-blind peer-review process. A guide for authors and other relevant information for submission of manuscripts is available on the Instructions for Authors page. Journal of Clinical Medicine is an international peer-reviewed open access semimonthly journal published by MDPI.
Please visit the Instructions for Authors page before submitting a manuscript. The Article Processing Charge (APC) for publication in this open access journal is 2600 CHF (Swiss Francs). Submitted papers should be well formatted and use good English. Authors may use MDPI's English editing service prior to publication or during author revisions.
Keywords
- contrast-enhanced mammography (CEM)
- artificial intelligence
- radiomics
- diagnostic imaging innovations
- inter-ventional radiology
Benefits of Publishing in a Special Issue
- Ease of navigation: Grouping papers by topic helps scholars navigate broad scope journals more efficiently.
- Greater discoverability: Special Issues support the reach and impact of scientific research. Articles in Special Issues are more discoverable and cited more frequently.
- Expansion of research network: Special Issues facilitate connections among authors, fostering scientific collaborations.
- External promotion: Articles in Special Issues are often promoted through the journal's social media, increasing their visibility.
- Reprint: MDPI Books provides the opportunity to republish successful Special Issues in book format, both online and in print.
Further information on MDPI's Special Issue policies can be found here.
