Image-Guided Treatment of Liver Tumors
A special issue of Cancers (ISSN 2072-6694). This special issue belongs to the section "Cancer Therapy".
Deadline for manuscript submissions: 30 April 2026 | Viewed by 704
Special Issue Editors
Interests: liver; ablation; radioembolization; colorectal cancer; hepatocellular carcinoma
Special Issue Information
Dear Colleagues,
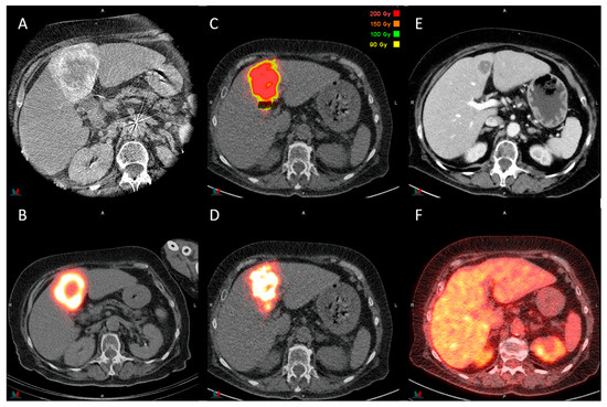
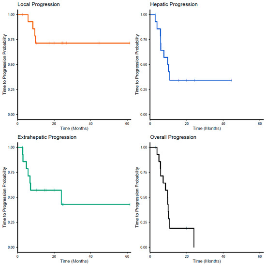
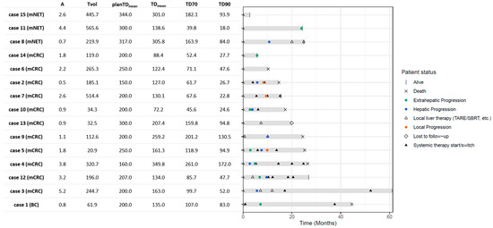
Image-guided therapies have transformed the landscape of liver tumor treatment, offering minimally invasive options with increased precision and improved patient outcomes. These therapies—ranging from ablation techniques such as microwave ablation and irreversible electroporation to vascular interventions like radioembolization with yttrium-90 microspheres, chemoembolization, portal vein embolization, and double vein embolization—are rapidly evolving with advances in imaging, technology, and interdisciplinary collaboration.
This Special Issue of Cancers aims to highlight recent innovations, clinical outcomes, and translational research in the field of image-guided treatment of liver tumors (both primary liver tumors and liver metastases). We welcome original research articles, comprehensive reviews, and case-based insights that explore novel techniques, procedural optimization, and combination strategies that enhance therapeutic efficacy and patient selection.
We invite you to contribute to this Special Issue and help advance the understanding and application of image-guided interventions for liver tumors.
We are looking forward to receiving your contributions.
Dr. Maarten L. J. Smits
Dr. Niek Wijnen
Guest Editors
Manuscript Submission Information
Manuscripts should be submitted online at www.mdpi.com by registering and logging in to this website. Once you are registered, click here to go to the submission form. Manuscripts can be submitted until the deadline. All submissions that pass pre-check are peer-reviewed. Accepted papers will be published continuously in the journal (as soon as accepted) and will be listed together on the special issue website. Research articles, review articles as well as communications are invited. For planned papers, a title and short abstract (about 250 words) can be sent to the Editorial Office for assessment.
Submitted manuscripts should not have been published previously, nor be under consideration for publication elsewhere (except conference proceedings papers). All manuscripts are thoroughly refereed through a single-blind peer-review process. A guide for authors and other relevant information for submission of manuscripts is available on the Instructions for Authors page. Cancers is an international peer-reviewed open access semimonthly journal published by MDPI.
Please visit the Instructions for Authors page before submitting a manuscript. The Article Processing Charge (APC) for publication in this open access journal is 2900 CHF (Swiss Francs). Submitted papers should be well formatted and use good English. Authors may use MDPI's English editing service prior to publication or during author revisions.
Keywords
- liver
- thermal ablation
- radioembolization
- TACE
- yttrium-90
- portal vein embolization
- radiation oncology
- interventional oncology
Benefits of Publishing in a Special Issue
- Ease of navigation: Grouping papers by topic helps scholars navigate broad scope journals more efficiently.
- Greater discoverability: Special Issues support the reach and impact of scientific research. Articles in Special Issues are more discoverable and cited more frequently.
- Expansion of research network: Special Issues facilitate connections among authors, fostering scientific collaborations.
- External promotion: Articles in Special Issues are often promoted through the journal's social media, increasing their visibility.
- Reprint: MDPI Books provides the opportunity to republish successful Special Issues in book format, both online and in print.
Further information on MDPI's Special Issue policies can be found here.
