Clinical Efficacy of Percutaneous Image-Guided Ablation in Breast Cancer Metastases to the Liver
Simple Summary
Abstract
1. Introduction
2. Materials and Methods
2.1. Data Collection
2.2. Procedures
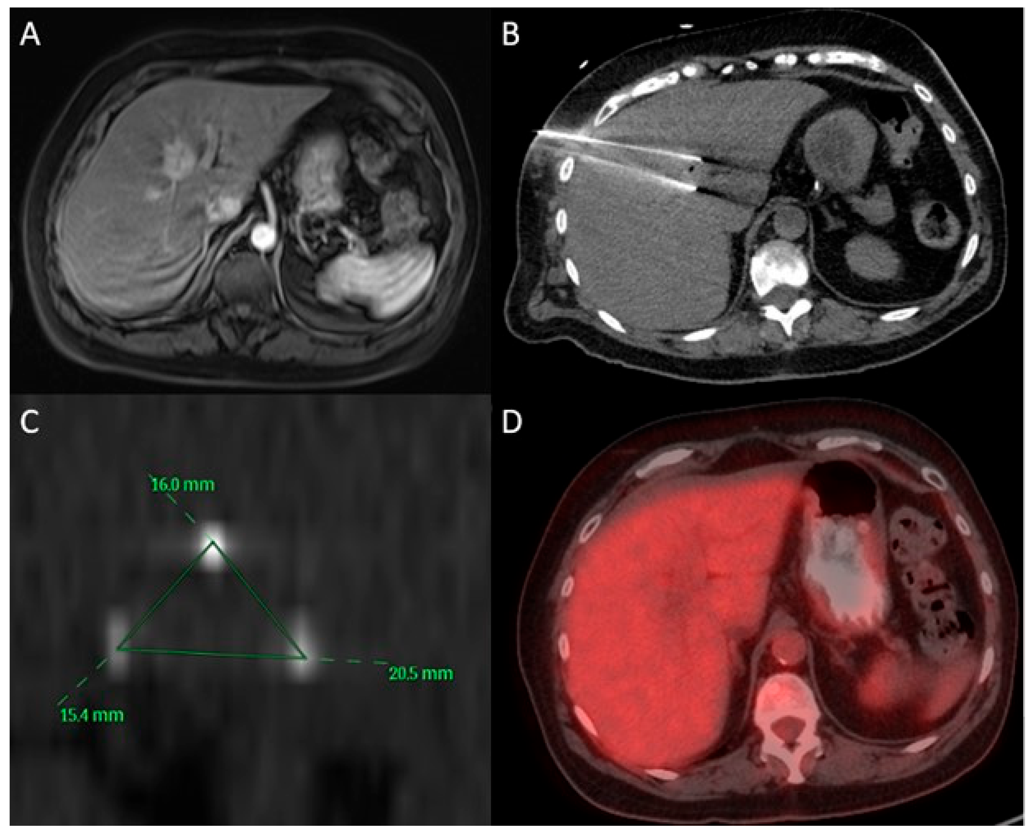
2.2.1. MWA
2.2.2. IRE
2.3. Imaging and Follow-Up
2.4. Objectives
3. Results
3.1. Patient and Tumor Characteristics
3.2. Efficacy
3.3. Safety
4. Discussion
5. Conclusions
Author Contributions
Funding
Institutional Review Board Statement
Informed Consent Statement
Data Availability Statement
Acknowledgments
Conflicts of Interest
Abbreviations
| BCLM | Breast Cancer Liver Metastases |
| MBC | Metastatic Breast Cancer |
| OS | Overall Survival |
| SBRT | Stereotactic Body Radiotherapy |
| TACE | Transarterial Chemoembolization |
| TARE/Y-90 | Transarterial Radioembolization/Yttrium-90 |
| MWA | Microwave Ablation |
| IRE | Irreversible Electroporation |
| CT | Computed Tomography |
| CIRSE | Cardiovascular and Interventional Radiological Society of Europe |
| m-RECIST | Modified Response Evaluation Criteria in Solid Tumors |
| LTP | Local Tumor Progression |
| LTPFS | Local Tumor Progression-Free Survival |
| CTCAE | Common Terminology Criteria for Adverse Events |
| RFA | Radiofrequency Ablation |
| CRLM | Colorectal Liver Metastases |
| ESMO | European Society for Medical Oncology |
| NCCN | National Comprehensive Cancer Network |
References
- Siegel, R.L.; Giaquinto, A.N.; Jemal, A. Cancer statistics, 2024. CA Cancer J. Clin. 2024, 74, 12–49. [Google Scholar] [CrossRef] [PubMed]
- Adam, R.; Aloia, T.; Krissat, J.; Bralet, M.P.; Paule, B.; Giacchetti, S.; Delvart, V.; Azoulay, D.; Bismuth, H.; Castaing, D. Is liver resection justified for patients with hepatic metastases from breast cancer? Ann. Surg. 2006, 244, 897–908; discussion 907–908. [Google Scholar] [CrossRef]
- Chen, X.; Zheng, Z.; Chen, L.; Zheng, H. MAPK, NFkappaB, and VEGF signaling pathways regulate breast cancer liver metastasis. Oncotarget 2017, 8, 101452–101460. [Google Scholar] [CrossRef]
- Lin, Z.; Yan, S.; Zhang, J.; Pan, Q. A Nomogram for Distinction and Potential Prediction of Liver Metastasis in Breast Cancer Patients. J. Cancer 2018, 9, 2098–2106. [Google Scholar] [CrossRef]
- Tabariès, S.; Siegel, P.M. Breast Cancer Liver Metastasis. In Liver Metastasis: Biology and Clinical Management; Brodt, P., Ed.; Springer: Dordrecht, The Netherlands, 2011; pp. 273–303. [Google Scholar]
- Rangarajan, K.; Lazzereschi, L.; Votano, D.; Hamady, Z. Breast cancer liver metastases: Systematic review and time to event meta-analysis with comparison between available treatments. Ann. R. Coll. Surg. Engl. 2023, 105, 293–305. [Google Scholar] [CrossRef]
- Wells, S.A.; Hinshaw, J.L.; Lubner, M.G.; Ziemlewicz, T.J.; Brace, C.L.; Lee, F.T., Jr. Liver Ablation: Best Practice. Radiol. Clin. N. Am. 2015, 53, 933–971. [Google Scholar] [CrossRef] [PubMed]
- Gennari, A.; Andre, F.; Barrios, C.H.; Cortes, J.; de Azambuja, E.; DeMichele, A.; Dent, R.; Fenlon, D.; Gligorov, J.; Hurvitz, S.; et al. ESMO Clinical Practice Guideline for the diagnosis, staging and treatment of patients with metastatic breast cancer. Ann. Oncol. 2021, 32, 1475–1495. [Google Scholar] [CrossRef]
- Meloni, M.F.; Chiang, J.; Laeseke, P.F.; Dietrich, C.F.; Sannino, A.; Solbiati, M.; Nocerino, E.; Brace, C.L.; Lee, F.T., Jr. Microwave ablation in primary and secondary liver tumours: Technical and clinical approaches. Int. J. Hyperth. 2017, 33, 15–24. [Google Scholar] [CrossRef] [PubMed]
- Tasu, J.P.; Tougeron, D.; Rols, M.P. Irreversible electroporation and electrochemotherapy in oncology: State of the art. Diagn. Interv. Imaging 2022, 103, 499–509. [Google Scholar] [CrossRef]
- Ruarus, A.H.; Barabasch, A.; Catalano, O.; Leen, E.; Narayanan, G.; Nilsson, A.; Padia, S.A.; Wiggermann, P.; Scheffer, H.J.; Meijerink, M.R. Irreversible Electroporation for Hepatic Tumors: Protocol Standardization Using the Modified Delphi Technique. J. Vasc. Interv. Radiol. 2020, 31, 1765–1771.e15. [Google Scholar] [CrossRef]
- The NCCN Guidelines for Patients with Metastatic Breast Cancer. Available online: https://www.nccn.org/patients/guidelines/content/PDF/stage_iv_breast-patient.pdf (accessed on 20 November 2025).
- van der Lei, S.; Puijk, R.S.; Dijkstra, M.; Schulz, H.H.; Vos, D.J.W.; De Vries, J.J.J.; Scheffer, H.J.; Lissenberg-Witte, B.I.; Aldrighetti, L.; Arntz, M.; et al. Thermal ablation versus surgical resection of small-size colorectal liver metastases (COLLISION): An international, randomised, controlled, phase 3 non-inferiority trial. Lancet Oncol. 2025, 26, 187–199. [Google Scholar] [CrossRef]
- von Elm, E.; Altman, D.G.; Egger, M.; Pocock, S.J.; Gotzsche, P.C.; Vandenbroucke, J.P.; STROBE Initiative. The Strengthening the Reporting of Observational Studies in Epidemiology (STROBE) Statement: Guidelines for reporting observational studies. Int. J. Surg. 2014, 12, 1495–1499. [Google Scholar] [CrossRef]
- Shady, W.; Petre, E.N.; Do, K.G.; Gonen, M.; Yarmohammadi, H.; Brown, K.T.; Kemeny, N.E.; D’Angelica, M.; Kingham, P.T.; Solomon, S.B.; et al. Percutaneous Microwave versus Radiofrequency Ablation of Colorectal Liver Metastases: Ablation with Clear Margins (A0) Provides the Best Local Tumor Control. J. Vasc. Interv. Radiol. 2018, 29, 268–275.e1. [Google Scholar] [CrossRef]
- Crocetti, L.; de Baere, T.; Pereira, P.L.; Tarantino, F.P. CIRSE Standards of Practice on Thermal Ablation of Liver Tumours. Cardiovasc. Interv. Radiol. 2020, 43, 951–962. [Google Scholar] [CrossRef] [PubMed]
- Fournier, L.; Ammari, S.; Thiam, R.; Cuenod, C.A. Imaging criteria for assessing tumour response: RECIST, mRECIST, Cheson. Diagn. Interv. Imaging 2014, 95, 689–703. [Google Scholar] [CrossRef]
- Common Terminology Criteria for Adverse Events (CTCAE) v5.0 2017. Available online: https://dctd.cancer.gov/research/ctep-trials/for-sites/adverse-events/ctcae-v5-5x7.pdf (accessed on 25 June 2024).
- IBM Corp. IBM® SPSS® Statistics for Windows; Version 26.0; IBM Corp: Armonk, NY, USA, 2019. [Google Scholar]
- R Core Team. R: A Language and Environment for Statistical Computing, R for Windows; Version 4.2.1; R Foundation for Statistical Computing: Vienna, Austria, 2022. [Google Scholar]
- Bai, X.M.; Yang, W.; Zhang, Z.Y.; Jiang, A.N.; Wu, W.; Lee, J.C.; Chen, M.-H.; Yan, K. Long-term outcomes and prognostic analysis of percutaneous radiofrequency ablation in liver metastasis from breast cancer. Int. J. Hyperth. 2019, 35, 183–193. [Google Scholar] [CrossRef]
- Veltri, A.; Gazzera, C.; Barrera, M.; Busso, M.; Solitro, F.; Filippini, C.; Garetto, I. Radiofrequency thermal ablation (RFA) of hepatic metastases (METS) from breast cancer (BC): An adjunctive tool in the multimodal treatment of advanced disease. Radiol. Medica 2014, 119, 327–333. [Google Scholar] [CrossRef] [PubMed]
- Meloni, M.F.; Andreano, A.; Laeseke, P.F.; Livraghi, T.; Sironi, S.; Lee, F.T., Jr. Breast cancer liver metastases: US-guided percutaneous radiofrequency ablation--intermediate and long-term survival rates. Radiology 2009, 253, 861–869. [Google Scholar] [CrossRef] [PubMed]
- Shady, W.; Petre, E.N.; Gonen, M.; Erinjeri, J.P.; Brown, K.T.; Covey, A.M.; Alago, W.; Durack, J.C.; Maybody, M.; Brody, L.A.; et al. Percutaneous Radiofrequency Ablation of Colorectal Cancer Liver Metastases: Factors Affecting Outcomes—A 10-year Experience at a Single Center. Radiology 2016, 278, 601–611. [Google Scholar] [CrossRef]
- Jakobs, T.F.; Hoffmann, R.T.; Schrader, A.; Stemmler, H.J.; Trumm, C.; Lubienski, A.; Murthy, R.; Helmberger, T.K.; Reiser, M.F. CT-guided radiofrequency ablation in patients with hepatic metastases from breast cancer. Interv. Radiol. 2009, 32, 38–46. [Google Scholar] [CrossRef]
- Franzese, C.; Comito, T.; Vigano, L.; Pedicini, V.; Franceschini, D.; Clerici, E.; Loi, M.; Donadon, M.; Poretti, D.; Solbiati, L.; et al. Liver Metastases-directed Therapy in the Management of Oligometastatic Breast Cancer. Clin. Breast Cancer 2020, 20, 480–486. [Google Scholar] [CrossRef]
- He, X.; Zhang, Q.; Feng, Y.; Li, Z.; Pan, Q.; Zhao, Y.; Zhu, W.; Zhang, N.; Zhou, J.; Wang, L.; et al. Resection of liver metastases from breast cancer: A multicentre analysis. Clin. Transl. Oncol. 2020, 22, 512–521. [Google Scholar] [CrossRef]
- Sadot, E.; Lee, S.Y.; Sofocleous, C.T.; Solomon, S.B.; Gonen, M.; Kingham, T.P.; Allen, P.J.; DeMatteo, R.P.; Jarnagin, W.R.; Hudis, C.A.; et al. Hepatic Resection or Ablation for Isolated Breast Cancer Liver Metastasis: A Case-control Study with Comparison to Medically Treated Patients. Ann. Surg. 2016, 264, 147–154. [Google Scholar] [CrossRef]
- Ehrl, D.; Rothaug, K.; Hempel, D.; Rau, H.G. Importance of liver resection in case of hepatic breast cancer metastases. Hepatogastroenterology 2013, 60, 2026–2033. [Google Scholar]
- Onal, C.; Guler, O.C.; Yildirim, B.A. Treatment outcomes of breast cancer liver metastasis treated with stereotactic body radiotherapy. Breast 2018, 42, 150–156. [Google Scholar] [CrossRef]
- Lalenis, C.; Posa, A.; Lancellotta, V.; Lippi, M.; Marazzi, F.; Barbieri, P.; Cornacchione, P.; Fischer, M.J.; Tagliaferri, L.; Iezzi, R. TACE Versus TARE in the Treatment of Liver-Metastatic Breast Cancer: A Systematic Review. Tomography 2025, 11, 81. [Google Scholar] [CrossRef]
- Deipolyi, A.R.; England, R.W.; Ridouani, F.; Riedl, C.C.; Kunin, H.S.; Boas, F.E.; Yarmohammadi, H.; Sofocleous, C.T. PET/CT Imaging Characteristics After Radioembolization of Hepatic Metastasis from Breast Cancer. Cardiovasc. Intervent. Radiol. 2020, 43, 488–494. [Google Scholar] [CrossRef] [PubMed]
- Chang, X.; Sun, P.; Zhang, J.; Zhang, L.; Wu, H.; Xie, Y.; Liu, J. CalliSpheres drug-eluting beads transarterial-chemoembolization in the treatment of liver metastases from breast cancer: Initial experience in 14 patients. Medicine 2021, 100, e28407. [Google Scholar] [CrossRef] [PubMed]
- Aarts, B.M.; Munoz, F.M.G.; Wildiers, H.; Dezentje, V.O.; Baetens, T.R.; Schats, W.; Lopez-Yurda, M.; Dresen, R.C.; Veen, B.J.d.W.-V.d.; Deroose, C.M.; et al. Intra-Arterial Therapies for Liver Metastatic Breast Cancer: A Systematic Review and Meta-Analysis. Cardiovasc. Interv. Radiol. 2021, 44, 1868–1882. [Google Scholar] [CrossRef] [PubMed]
- van der Lei, S.; Dijkstra, M.; Nieuwenhuizen, S.; Schulz, H.H.; Vos, D.J.W.; Versteeg, K.S.; Buffart, T.E.; Swijnenburg, R.-J.; de Vries, J.J.J.; Bruynzeel, A.M.E.; et al. Unresectable Intermediate-Size (3–5 cm) Colorectal Liver Metastases: Stereotactic Ablative Body Radiotherapy Versus Microwave Ablation (COLLISION-XL): Protocol of a Phase II/III Multicentre Randomized Cardiovasc. Interv. Radiol. 2023, 46, 1076–1085. [Google Scholar] [CrossRef]
- Reynolds, I.S.; Cromwell, P.M.; Walshe, J.M.; Crown, J.; Maguire, D.; Geoghegan, J.; Swan, N.; Hoti, E. Hepatic resection for breast cancer related liver metastases: A single institution experience. Scand. J. Surg. 2022, 111, 14574969221088685. [Google Scholar] [CrossRef] [PubMed]




| Patient Characteristics (N = 32) | Value (N, %) | |
|---|---|---|
| Age in years (mean, range) | 61.3 (32–85) | |
| Extrahepatic disease | Total | 27 (84%) |
| Bone | 24 (75%) | |
| Brain | 6 (18.8%) | |
| Lung | 7 (21.9%) | |
| Ovaria | 1 (3.1%) | |
| Distant lymph nodes | 6 (18.8%) | |
| Synchronous metastases | 8 (25%) | |
| Indication for ablation | Oligometastatic disease | 12 (37.5%) |
| Progression under systemic therapy | 20 (62.5%) | |
| Line of therapy at time of ablation | 1 | 2 (6.3%) |
| 2 | 7 (21.95) | |
| 3 | 14 (43.8%) | |
| 4 | 5 (15.6%) | |
| 5 | 2 (6.3%) | |
| 6 | 2 (6.3%) | |
| Receptor status | ER+ | 30 (93.8%) |
| PR+ | 25 (78.1%) | |
| HER2+ | 8 (25.0%) | |
| Adjuvant therapy for breast primary | Surgery breast primary | 31 (96.9%) |
| Radiotherapy | 15 (46.9%) | |
| Chemotherapy | 21 (65.6%) | |
| Hormonal therapy | 19 (59.4%) | |
| Targeted therapy | 2 (6.3%) | |
| Neoadjuvant therapy for metastases before ablation | Locoregional therapy for other metastases | 4 (12.5%) |
| Chemotherapy | 22 (68.8%) | |
| Hormonal therapy | 29 (90.6%) | |
| Targeted therapy | 29 (90.6%) | |
| Procedure and Tumor Characteristics (N = 57) | Value (N, %) | |
|---|---|---|
| Type of procedure | MWA | 50 (87.7%) |
| IRE | 7 (12.3%) | |
| Number of liver tumors per procedure | 1 | 26 (65.0%) |
| 2 | 11 (27.5%) | |
| 3 | 3 (7.5%) | |
| Location of tumor (segment) | 1 | 1 (1.8%) |
| 2 | 5 (8.8%) | |
| 3 | 7 (12.3%) | |
| 4 a/b | 12 (21.1%) | |
| 5 | 7 (12.3%) | |
| 6 | 6 (10.5%) | |
| 7 | 11 (19.3%) | |
| 8 | 8 (14.0%) | |
| Largest tumor diameter size in cm (mean, range) | 2.9 (0.9–7.0) | |
Disclaimer/Publisher’s Note: The statements, opinions and data contained in all publications are solely those of the individual author(s) and contributor(s) and not of MDPI and/or the editor(s). MDPI and/or the editor(s) disclaim responsibility for any injury to people or property resulting from any ideas, methods, instructions or products referred to in the content. |
© 2025 by the authors. Licensee MDPI, Basel, Switzerland. This article is an open access article distributed under the terms and conditions of the Creative Commons Attribution (CC BY) license (https://creativecommons.org/licenses/by/4.0/).
Share and Cite
Narayanan, G.; Ruiz, E.M.; Dijkstra, M.; Gentile, N.T.; Donahue, D.; Gandhi, R.T.; Mahtani, R.L.; Mautner, S.; van den Bemd, B.A.T. Clinical Efficacy of Percutaneous Image-Guided Ablation in Breast Cancer Metastases to the Liver. Cancers 2025, 17, 3823. https://doi.org/10.3390/cancers17233823
Narayanan G, Ruiz EM, Dijkstra M, Gentile NT, Donahue D, Gandhi RT, Mahtani RL, Mautner S, van den Bemd BAT. Clinical Efficacy of Percutaneous Image-Guided Ablation in Breast Cancer Metastases to the Liver. Cancers. 2025; 17(23):3823. https://doi.org/10.3390/cancers17233823
Chicago/Turabian StyleNarayanan, Govindarajan, Elizabeth Mary Ruiz, Madelon Dijkstra, Nicole T. Gentile, Danielle Donahue, Ripal T. Gandhi, Reshma L. Mahtani, Starr Mautner, and Bente A. T. van den Bemd. 2025. "Clinical Efficacy of Percutaneous Image-Guided Ablation in Breast Cancer Metastases to the Liver" Cancers 17, no. 23: 3823. https://doi.org/10.3390/cancers17233823
APA StyleNarayanan, G., Ruiz, E. M., Dijkstra, M., Gentile, N. T., Donahue, D., Gandhi, R. T., Mahtani, R. L., Mautner, S., & van den Bemd, B. A. T. (2025). Clinical Efficacy of Percutaneous Image-Guided Ablation in Breast Cancer Metastases to the Liver. Cancers, 17(23), 3823. https://doi.org/10.3390/cancers17233823

