Novel Approaches and Advances in Interventional Oncology
A special issue of Cancers (ISSN 2072-6694). This special issue belongs to the section "Methods and Technologies Development".
Deadline for manuscript submissions: closed (30 September 2025) | Viewed by 25004
Special Issue Editors
Interests: head and neck tumors; liver tumors; lung tumors; interventional oncology; interventional radiology; thermal ablation; transarterial chemoembolization
Special Issues, Collections and Topics in MDPI journals
Interests: interventional radiology; interventional oncology; liver cancer; hepatocellular carcinoma; liver metastases; thermal ablation; embolization; chemoembolization; lung cancer; pulmonary metastases
Special Issue Information
Dear Colleagues,
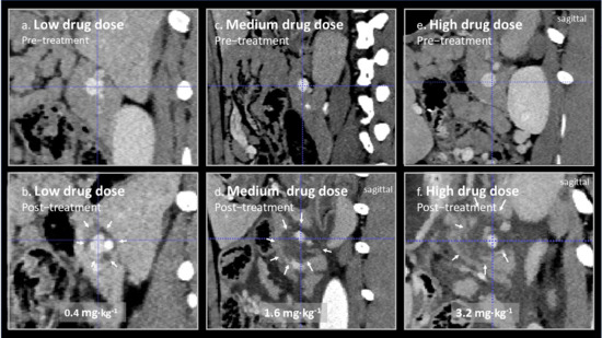
Minimally invasive interventional therapies under image guidance are essential for the management of various tumors, especially primary and secondary liver and lung malignancies. Over the past few decades, significant advances have been made in the treatment of oncological patients regarding the indications and techniques of such treatments. However, this great heterogeneity of treatments has also led to an increase in the complexity of the patients’ treatment. This highlights the continuous need for studies focusing on these treatments. The main objective of this Special Issue is to discuss new findings and novel approaches for treating various solid tumors using interventional treatments. Research articles on the combination of interventional treatments with immunotherapy are welcome and highly appreciated.
Prof. Dr. Thomas Vogl
Guest Editor
Dr. Hamzah Adwan
Guest Editor Assistant
Manuscript Submission Information
Manuscripts should be submitted online at www.mdpi.com by registering and logging in to this website. Once you are registered, click here to go to the submission form. Manuscripts can be submitted until the deadline. All submissions that pass pre-check are peer-reviewed. Accepted papers will be published continuously in the journal (as soon as accepted) and will be listed together on the special issue website. Research articles, review articles as well as communications are invited. For planned papers, a title and short abstract (about 100 words) can be sent to the Editorial Office for announcement on this website.
Submitted manuscripts should not have been published previously, nor be under consideration for publication elsewhere (except conference proceedings papers). All manuscripts are thoroughly refereed through a single-blind peer-review process. A guide for authors and other relevant information for submission of manuscripts is available on the Instructions for Authors page. Cancers is an international peer-reviewed open access semimonthly journal published by MDPI.
Please visit the Instructions for Authors page before submitting a manuscript. The Article Processing Charge (APC) for publication in this open access journal is 2900 CHF (Swiss Francs). Submitted papers should be well formatted and use good English. Authors may use MDPI's English editing service prior to publication or during author revisions.
Keywords
- interventional oncological treatments
- combination treatments
- hypo- and hyper-thermal ablation
- transarterial chemoembolization
- transarterial chemoperfusion
- transarterial embolization
- selective internal radiotherapy
- immunotherapy
Benefits of Publishing in a Special Issue
- Ease of navigation: Grouping papers by topic helps scholars navigate broad scope journals more efficiently.
- Greater discoverability: Special Issues support the reach and impact of scientific research. Articles in Special Issues are more discoverable and cited more frequently.
- Expansion of research network: Special Issues facilitate connections among authors, fostering scientific collaborations.
- External promotion: Articles in Special Issues are often promoted through the journal's social media, increasing their visibility.
- Reprint: MDPI Books provides the opportunity to republish successful Special Issues in book format, both online and in print.
Further information on MDPI's Special Issue policies can be found here.

